Genome Analysis of a Polysaccharide-Degrading Bacterium Microbulbifer sp. HZ11 and Degradation of Alginate
Abstract
1. Introduction
2. Results
2.1. Characterization and Systematic Classification of Strain HZ11
2.2. Genome Annotation and Analysis
2.3. The Utilizing Abilities of Carbohydrates
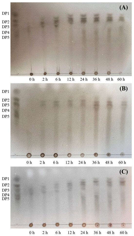
2.4. Detection of Alginate Lyase Activity and Enzymatic Properties
2.5. RT-qPCR of Alginate Lyases
3. Discussion
3.1. HZ11 Could Be a New Species of Microbulbifer sp.
3.2. The Enzyme Properties of HZ11 Was Different with Other M. sp.
3.3. HZ11 Metabolizes Alginate Through the PUL System and Has the Potential to Ferment Brown Algae to Produce Ethanol
4. Materials and Methods
4.1. Screening and Identification of Microbulbifer sp. HZ11
4.2. Phenotypic Characteristics
4.3. Genome Sequencing and Annotation
4.4. The Utilizing Abilities of Carbohydrates
4.5. Detection of Alginate Lyase Activity and Enzymatic Properties
4.6. Preparation and Detection of the Enzymatic Degradation of Alginate
4.7. RT-qPCR of Alginate Lyase Genes
5. Conclusions
Supplementary Materials
Author Contributions
Funding
Institutional Review Board Statement
Data Availability Statement
Conflicts of Interest
References
- Beuder, S.; Braybrook, S. Brown algal cell walls and development. Semin. Cell. Dev. Biol. 2023, 134, 103–111. [Google Scholar] [CrossRef] [PubMed]
- Chi, S.; Liu, T.; Wang, X.M.; Wang, R.; Wang, S.S.; Wang, G.L.; Shan, G.L.; Liu, C. Functional genomics analysis reveals the biosynthesis pathways of important cellular components (alginate and fucoidan) of Saccharina. Curr. Genet. 2018, 64, 259–273. [Google Scholar] [CrossRef] [PubMed]
- Cheng, D.Y.; Jiang, C.C.; Xu, J.C.; Liu, Z.; Mao, X.Z. Characteristics and applications of alginate lyases: A review. Int. J. Biol. Macromol. 2020, 164, 1304–1320. [Google Scholar] [CrossRef]
- Liu, J.; Yang, S.Q.; Li, X.T.; Yan, Q.J.; Reaney, M.; Jiang, Z.Q. Alginate Oligosaccharides: Production, Biological Activities, and Potential Applications. Compr. Rev. Food Sci. Food Saf. 2019, 18, 1859–1881. [Google Scholar] [CrossRef]
- Wang, X.X.; Xu, W.; Dai, Q.Y.; Liu, X.Y.; Guang, C.; Zhang, W.; Mu, W. Characterization of a thermostable PL-31 family alginate lyase from Paenibacillus ehimensis and its application for alginate oligosaccharides bioproduction. Enzym. Microb. Technol. 2023, 166, 110221. [Google Scholar] [CrossRef]
- Qiu, X.M.; Qi, L.; Zheng, B.D.; Zhao, W.L.; Ye, J.; Xiao, M.T. Preparation and potential antitumor activity of alginate oligosaccharides degraded by alginate lyase from Cobetia marina. Carbohydr. Res. 2023, 534, 108962. [Google Scholar] [CrossRef] [PubMed]
- Falkeborg, M.; Cheong, L.Z.; Gianfico, C.; Sztukiel, K.; Kristensen, K.; Glasius, M.; Xu, X.B.; Guo, Z. Alginate oligosaccharides: Enzymatic preparation and antioxidant property evaluation. Food Chem. 2014, 164, 185–194. [Google Scholar] [CrossRef]
- Zhu, Y.B.; Wu, L.Y.; Chen, Y.H.; Ni, H.; Xiao, A.F.; Cai, H.N. Characterization of an extracellular biofunctional alginate lyase from marine Microbulbifer sp. ALW1 and antioxidant activity of enzymatic hydrolysates. Microbiol. Res. 2016, 182, 49–58. [Google Scholar] [CrossRef]
- Wang, H.; Zhu, B.W. Directed preparation of algal oligosaccharides with specific structures by algal polysaccharide degrading enzymes. Int. J. Biol. Macromol. 2024, 277, 134093. [Google Scholar] [CrossRef]
- Perumal, P.; Dong, C.D.; Chauhan, A.; Anisha, G.; Kadri, M.; Chen, C.W.; Singhania, R.; Patel, A. Advances in oligosaccharides production from algal sources and potential applications. Biotechnol. Adv. 2023, 67, 108195. [Google Scholar]
- Zheng, Y.T.; Wang, Y.J.; Dan, M.L.; Li, Y.P.; Zhao, G.H.; Wang, D.M. Characterization of degradation patterns and enzymatic properties of a novel alkali-resistant alginate lyase AlyRm1 from Rubrivirga marina. Curr. Res. Food Sci. 2023, 6, 100414. [Google Scholar] [CrossRef] [PubMed]
- Li, L.; Zhu, B.W.; Yao, Z.; Jiang, J.J. Directed preparation, structure-activity relationship and applications of alginate oligosaccharides with specific structures: A systematic review. Food Res. Int. 2023, 170, 112990. [Google Scholar] [CrossRef] [PubMed]
- Zhu, B.; Yin, H. Alginate lyase: Review of major sources and classification, properties, structure-function analysis and applications. Bioengineered 2015, 6, 125–131. [Google Scholar] [CrossRef] [PubMed]
- Wang, P.; Cai, Y.; Zhong, H.; Chen, R.T.; Yi, Y.T.; Ye, Y.R.; Li, L.L. Expression and characterization of an efficient alginate lyase from Psychromonas sp. SP041 through metagenomics analysis of rotten kelp. Genes 2024, 15, 598. [Google Scholar] [CrossRef]
- Silva, M.; Silva, C.; Santos, L.; Medeiros, J.; Vieira, R.; Abud, A.; Almeida, R.; Tonholo, J. Alginate lyase produced by filamentous fungus through solid state fermentation using Sargassum from the Brazilian coast. Waste Biomass Valorization 2022, 13, 2947–2962. [Google Scholar] [CrossRef]
- Amin, M.; Bolch, C.; Adams, M.; Burke, C. Isolation of alginate lyase-producing bacteria and screening for their potential characteristics as abalone probionts. Aquac. Res. 2017, 48, 5614–5623. [Google Scholar] [CrossRef]
- Mohapatra, B.R. Fermentation Medium Optimization, Molecular modelling and docking analysis of the alginate lyase of a novel Pseudomonas Sp. LB56 isolated from seaweed waste. Biotechnol. Biotechnol. Equip. 2022, 36, 281–291. [Google Scholar] [CrossRef]
- Zhou, H.X.; Xu, S.S.; Yin, X.J.; Wang, F.L.; Li, Y. Characterization of a new bifunctional and cold-adapted Polysaccharide Lyase (PL) family 7 alginate lyase from Flavobacterium sp. Mar. Drugs 2020, 18, 388. [Google Scholar] [CrossRef]
- Xue, Z.; Sun, X.M.; Chen, C.; Zhang, X.Y.; Chen, X.L.; Zhang, Y.Z.; Fan, S.J.; Xu, F. A novel alginate lyase: Identification, characterization, and potential application in alginate trisaccharide preparation. Mar. Drugs 2022, 20, 159. [Google Scholar] [CrossRef]
- Huang, H.Q.; Mo, K.L.; Hu, Y.H.; Liu, M.; Zhu, J.; Zou, X.X.; Bao, S.X. Microbulbifer harenosus sp. nov., an alginate-degrading bacterium isolated from coastal sand. Int. J. Syst. Evol. Microbiol. 2020, 70, 1639–1643. [Google Scholar] [CrossRef]
- Wang, X.H.; Zhang, Y.Q.; Zhang, X.R.; Zhang, X.D.; Sun, X.M.; Wang, X.F.; Sun, X.H.; Song, X.Y.; Zhang, Y.Z.; Wang, N.; et al. High-level extracellular production of a trisaccharide-producing alginate lyase AlyC7 in Escherichia coli and its agricultural application. Mar. Drugs 2024, 22, 230. [Google Scholar] [CrossRef] [PubMed]
- Zhang, L.Z.; Li, X.; Zhang, X.Y.; Li, Y.J.; Wang, L.S. Bacterial alginate metabolism: An important pathway for bioconversion of brown algae. Biotechnol. Biofuels 2021, 14, 158. [Google Scholar] [CrossRef] [PubMed]
- Long, L.F.; Hu, Q.S.; Wang, X.X.; Li, H.B.; Li, Z.P.; Jiang, Z.D.; Ni, H.; Li, Q.B.; Zhu, Y.B. A bifunctional exolytic alginate lyase from Microbulbifer sp. ALW1 with salt activation and calcium-dependent catalysis. Enzym. Microb. Technol. 2022, 161, 110109. [Google Scholar] [CrossRef] [PubMed]
- Li, H.B.; Huang, X.Y.; Yao, S.X.; Zhang, C.H.; Hong, X.; Wu, T.; Jiang, Z.D.; Ni, H.; Zhu, Y.B. Characterization of a bifunctional and endolytic alginate lyase from Microbulbifer sp. ALW1 and its application in alginate oligosaccharides production from Laminaria japonica. Protein Expr. Purif. 2022, 200, 106171. [Google Scholar] [CrossRef] [PubMed]
- Jiang, J.; Jiang, Z.Q.; Yan, Q.J.; Han, S.S.; Yang, S.Q. Biochemical characterization of a novel bifunctional alginate lyase from Microbulbifer arenaceous. Protein Expr. Purif. 2024, 213, 106372. [Google Scholar] [CrossRef]
- Chen, C.; Li, X.; Lu, C.; Zhou, X.; Chen, L.; Qiu, C.; Jin, Z.; Long, J. Advances in alginate lyases and the potential application of enzymatic prepared alginate oligosaccharides: A mini review. Int. J. Biol. Macromol. 2024, 260, 129506. [Google Scholar] [CrossRef]
- Hifney, A.; Gomaa, M.; Fawzy, M.; Abdel, K. Optimizing a low-cost production process of crude fucoidanase by Dendryphiella arenaria utilizing Cystoseira trinodis (Phaeophyceae) and enzymatic hydrolysis of the brown algal biomass. Waste Biomass Valorization 2019, 10, 2773–2781. [Google Scholar] [CrossRef]
- Huang, H.Q.; Zheng, Z.G.; Zou, X.X.; Wang, Z.X.; Gao, R.; Zhu, J.; Hu, Y.H.; Bao, S.X. Genome analysis of a novel polysaccharide-degrading bacterium Paenibacillus algicola and determination of alginate lyases. Mar. Drugs 2022, 20, 388. [Google Scholar] [CrossRef]
- Li, X.; Yang, M.; Mo, K.L.; Hu, Y.H.; Gu, H.J.; Sun, D.M.; Bao, S.X.; Huang, H. Genome analysis of multiple polysaccharide-degrading bacterium Microbulbifer thermotolerans HB226069: Determination of alginate lyase activity. Mar. Biotechnol. 2024, 26, 488–499. [Google Scholar] [CrossRef]
- Zhong, W.M.; Agarwal, V. Polymer degrading marine Microbulbifer bacteria: An un(der)utilized source of chemical and biocatalytic novelty. Beilstein J. Org. Chem. 2024, 20, 1635–1651. [Google Scholar] [CrossRef]
- Li, Z.; Du, Z.; Li, H.; Chen, Y.; Zheng, M.; Jiang, Z.; Du, X.; Ni, H.; Zhu, Y. Characterisation of marine bacterium Microbulbifer sp. ALW1 with Laminaria japonica degradation capability. AMB Express 2022, 12, 139. [Google Scholar] [CrossRef] [PubMed]
- Wakabayashi, M.; Sakatoku, A.; Noda, F.; Noda, M.; Tanaka, D.; Nakamura, S. Isolation and characterization of Microbulbifer species 6532A degrading seaweed thalli to single cell detritus particles. Biodegradation 2012, 23, 93–105. [Google Scholar] [CrossRef] [PubMed]
- Rekha, P.; Shastry, R.; Athmika, N. Genomic potential for exopolysaccharide production and differential polysaccharide degradation in closely related Alteromonas sp. PRIM-21 and Alteromonas fortis 1T. Antonie van Leeuwenhoek 2023, 116, 39–51. [Google Scholar] [CrossRef]
- Nguyen, T.; Vuong, T.; Han, H.; Li, Z.; Lee, Y.; Ko, J.; Nedashkovskaya, O.I.; Kim, S.G. Three marine species of the genus Fulvivirga, rich sources of carbohydrate-active enzymes degrading alginate, chitin, laminarin, starch, and xylan. Sci. Rep. 2023, 13, 6301. [Google Scholar] [CrossRef]
- Yoon, J.; Kim, H.; Kang, K.; Oh, T.; Park, Y. Transfer of Pseudomonas elongata Humm 1946 to the genus Microbulbifer as Microbulbifer elongatus comb. nov. Int. J. Syst. Evol. Microbiol. 2003, 53, 1357–1361. [Google Scholar] [CrossRef]
- Park, S.; Yoon, S.; Ha, M.; Yoon, J. Microbulbifer aestuariivivens sp. nov., isolated from a tidal flat. Int. J. Syst. Evol. Microbiol. 2017, 67, 1436–1441. [Google Scholar] [CrossRef]
- Moh, T.; Furusawa, G.; Amirul, A. Microbulbifer aggregans sp. nov., isolated from estuarine sediment from a mangrove forest. Int. J. Syst. Evol. Microbiol. 2017, 67, 4089–4094. [Google Scholar] [CrossRef]
- Calabrese, S.; Mohanty, B.P.; Malik, A.A. Soil microorganisms regulate extracellular enzyme production to maximize their growth rate. Biogeochemistry 2022, 158, 303–312. [Google Scholar] [CrossRef]
- Jiang, Z.; Guo, Y.; Wang, X.; Li, H.; Ni, H.; Li, L.; Xiao, A.; Zhu, Y. Molecular cloning and characterization of AlgL17, a new exo-oligoalginate lyase from Microbulbifer sp. ALW1. Protein Expr. Purif. 2019, 161, 17–27. [Google Scholar] [CrossRef]
- Wardman, J.; Bains, R.; Rahfeld, P.; Withers, S. Carbohydrate-active enzymes (CAZymes) in the gut microbiome. Nat. Rev. Microbiol. 2022, 20, 542–556. [Google Scholar] [CrossRef]
- Xu, F.; Cha, Q.Q.; Zhang, Y.Z.; Chen, X.L. Degradation and utilization of alginate by marine Pseudoalteromonas: A Review. Appl. Environ. Microbiol. 2021, 87, 17. [Google Scholar] [CrossRef]
- Thomas, F.; Hehemann, J.; Hehemann, J.; Rebuffet, E.; Rebuffet, E.; Czjzek, M.; Michel, G. Environmental and gut Bacteroidetes: The food connection. Front. Cell. Infect. Microbiol. 2011, 2, 00093. [Google Scholar] [CrossRef]
- Thomas, F.; Barbeyron, T.; Tonon, T.; Génicot, S.; Czjzek, M.; Michel, G. Characterization of the first alginolytic operons in a marine bacterium: From their emergence in marine Flavobacteriia to their independent transfers to marine Proteobacteria and human gut Bacteroides. Environ. Microbiol. 2012, 14, 2379–2394. [Google Scholar] [CrossRef]
- Mann, A.; Hahnke, R.; Huang, S.X.; Werner, J.; Xing, P.; Barbeyron, T.; Huettel, B.; Stüber, K.; Reinhardt, R.; Harder, J.; et al. The Genome of the alga-associated marine Flavobacterium Formosa agariphila KMM 3901T reveals a broad potential for degradation of algal polysaccharides. Appl. Environ. Microbiol. 2013, 79, 21. [Google Scholar] [CrossRef]
- Cheng, W.W.; Yan, X.Y.; Xiao, J.L.; Chen, Y.Y.; Chen, M.H.; Jin, J.Y.; Bai, Y.; Wang, Q.; Liao, Z.Y.; Chen, Q.Z. Isolation, identification, and whole genome sequence analysis of the alginate-degrading bacterium Cobetia sp. cqz5-12. Sci. Rep. 2020, 10, 10920. [Google Scholar] [CrossRef]
- Mei, X.W.; Liu, G.C.; Chen, G.N.; Zhang, Y.Y.; Xue, C.H.; Chang, Y.G. Characterization and structural identification of a family 16 carbohydrate-binding module (CBM): First structural insights into porphyran-binding CBM. Int. J. Biol. Macromol. 2024, 265, 131041. [Google Scholar] [CrossRef]
- Liu, H.; Huang, M.; Wei, S.X.; Wang, X.W.; Zhao, Y.Q.; Han, Z.Y.; Ye, X.F.; Li, Z.K.; Ji, Y.L.; Cui, Z.L.; et al. Characterization of a multi-domain exo-β-1, 3-galactanase from Paenibacillus xylanexedens. Int. J. Biol. Macromol. 2024, 266, 131413. [Google Scholar] [CrossRef]
- Mei, X.W.; Chang, Y.G.; Shen, J.J.; Zhang, Y.Y.; Xue, C.H. Expression and characterization of a novel alginate-binding protein: A promising tool for investigating alginate. Carbohydr. Polym. 2020, 246, 116645. [Google Scholar] [CrossRef]
- Xu, H.Y.; Gao, Q.; Li, L.; Su, T.; Ming, D.M. How alginate lyase produces quasi-monodisperse oligosaccharides: A normal-mode-based docking and molecular dynamics simulation study. Carbohydr. Res. 2024, 536, 109022. [Google Scholar] [CrossRef]
- Michel, G.; Barbeyron, T.; Kloareg, B.; Czjzek, M. The family 6 carbohydrate-binding modules have coevolved with their appended catalytic modules toward similar substrate specificity. Glycobiology 2009, 19, 615–623. [Google Scholar] [CrossRef]
- Norlander, S.; Jasilionis, A.; Allahgholi, L.; Wennerberg, C.; Grey, C.; Adlercreutz, P.; Karlsson, E. Inter domain linker region affects properties of CBM6 in GH5_34 arabinoxylanases and alters oligosaccharide product profile. Glycobiology 2024, 34, 048. [Google Scholar] [CrossRef] [PubMed]
- Zhang, W.; Ren, X.H.; Bao, L.Y. Enzyme detection and metabolic process tracking of ethanol fermentation by a natural alginate fermentation strain. Braz. Arch. Biol. Technol. 2018, 61, e18160418. [Google Scholar] [CrossRef]
- Dharshini, R.S.; Fathima, A.A.; Dharani, S.R.; Ramya, M. Utilization of alginate from brown macroalgae for ethanol production by Clostridium phytofermentans. Appl. Biochem. Microbiol. 2020, 56, 173–178. [Google Scholar] [CrossRef]
- Zhang, W.; Mao, Y.Q.; Liu, Z.W.; Wang, M.J. Ethanol production from Colpomenia sinuosa by an alginate fermentation strain Meyerozyma guilliermondii. Indian J. Microbiol. 2021, 62, 112–122. [Google Scholar] [CrossRef]
- Sawabe, T.; Setoguchi, N.; Inoue, S.; Tanaka, R.; Ootsubo, M.; Yoshimizu, M.; Ezura, Y. Acetic acid production of Vibrio halioticoli from alginate: A possible role for establishment of abalone-V. halioticoli association. Aquaculture 2003, 219, 671–679. [Google Scholar] [CrossRef]
- Inohara, Y.; Chunqi, J.; Mino, S.; Swabe, T. A first marine Vibrio biocatalyst to produce ethanol from alginate, which is a rich polysaccharide in brown macroalgal biomass. Curr. Microbiol. 2023, 80, 143. [Google Scholar] [CrossRef]
- Sun, X.K.; Gong, Y.; Shang, D.D.; Liu, B.T.; Du, Z.J.; Chen, G.J. Degradation of alginate by a newly isolated marine bacterium Agarivorans sp. B2Z047. Mar. Drugs 2022, 20, 254. [Google Scholar] [CrossRef]
- Dou, W.F.; Wei, D.; Li, H.; Li, H.; Rahman, M.; Shi, J.; Xu, Z.H.; Ma, Y.H. Purification and characterisation of a bifunctional alginate lyase from novel Isoptericola halotolerans CGMCC 5336. Carbohydr. Polym. 2013, 98, 1476–1482. [Google Scholar] [CrossRef]
- Hisano, T.; Nishimura, M.; Yamashita, T.; Imanaka, T.; Muramatsu, T.; Kimura, A.; Murata, K. A simple method for determination of substrate specificity of alginate lyases. J. Ferment. Bioeng. 1994, 78, 182–184. [Google Scholar] [CrossRef]
- Kumar, S.; Stecher, G.; Tamura, K. MEGA7: Molecular Evolutionary Genetics Analysis Version 7.0 for Bigger Datasets. Mol. Biol. Evol. 2016, 33, 1870–1874. [Google Scholar] [CrossRef]
- Dong, X.Z.; Cai, M.Y. Handbook of Identification of Common Bacterial System, 1st ed.; Science Press: Beijing, China, 2001; pp. 267–294. [Google Scholar]
- Chalita, M.; Kim, Y.; Park, S.; Oh, H.; Cho, J.; Moon, J.; Baek, N.; Moon, C.; Lee, K.; Yang, J.; et al. EzBioCloud: A genome-driven database and platform for microbiome identification and discovery. Int. J. Syst. Evol. Microbiol. 2024, 74, 006421. [Google Scholar] [CrossRef]
- Meier-Kolthoff, J.P.; Sardà, C.J.; Peinado-Olarte, R.L.; Göker, M. TYGS and LPSN: A database tandem for fast and reliable genome-based classification and nomenclature of prokaryotes. Nucleic Acids Res. 2022, 50, D801–D807. [Google Scholar] [CrossRef]
- Wang, J.Y.; Chitsaz, F.; Derbyshire, M.; Gonzales, N.; Gwadz, M.; Lu, S.N.; Marchler, G.; Song, J.; Thanki, N.; Yamashita, R.; et al. The conserved domain database in 2023. Nucleic Acids Res. 2023, 51, D384–D388. [Google Scholar] [CrossRef]
- Drula, E.; Garron, M.; Dogan, S.; Lombard, V.; Henrissat, B.; Terrapon, N. The carbohydrate-active enzyme database: Functions and literature. Nucleic Acids Res. 2022, 50, D571–D577. [Google Scholar] [CrossRef]
- Zheng, J.F.; Ge, Q.W.; Yan, Y.C.; Zhang, X.P.; Huang, L.; Yin, Y.B. dbCAN3: Automated carbohydrate-active enzyme and substrate annotation. Nucleic Acids Res. 2023, 51, W115–W121. [Google Scholar] [CrossRef]
- Kanehisa, M.; Sato, Y.; Kawashima, M. KEGG mapping tools for uncovering hidden features in biological data. Protein Sci. 2022, 31, 47–53. [Google Scholar] [CrossRef]
- Ausland, C.; Zheng, J.F.; Yi, H.D.; Yang, B.W.; Li, T.; Feng, X.H.; Zheng, B.; Yin, Y.B. dbCAN-PUL: A database of experimentally characterized CAZyme gene clusters and their substrates. Nucleic Acids Res. 2021, 49, D523–D528. [Google Scholar] [CrossRef]
- Muhammad, N.; Avila, F.; Nedashkovskaya, O.; Kim, S. Three novel marine species of the genus Reichenbachiella exhibiting degradation of complex polysaccharides. Front. Microbiol. 2023, 14, 1265676. [Google Scholar] [CrossRef]
- Kikuchi, M.; Konno, N.; Suzuki, T.; Fujii, Y.; Kodama, Y.; Isogai, A.; Habu, N. A bacterial endo-β-1, 4-glucuronan lyase, CUL-I from Brevundimonas sp. SH203, belonging to a novel polysaccharide lyase family. Protein Expr. Purif. 2020, 166, 105502. [Google Scholar] [CrossRef]
- Meng, Q.; Zhou, L.C.; Hassanin, H.; Jiang, B.; Liu, Y.C.; Chen, J.J.; Zhang, T. A new role of family 32 carbohydrate binding module in alginate lyase from Vibrio natriegens SK42.001 in altering its catalytic activity, thermostability and product distribution. Food Biosci. 2021, 42, 101112. [Google Scholar] [CrossRef]
- He, X.X.; Zhang, Y.H.; Wang, X.L.; Zhu, X.Y.; Chen, L.R.; Liu, W.Z.; Liu, Q.Q.; Ran, L.M.; Cheng, H.J.; Zhang, X.H. Characterization of multiple alginate lyases in a highly efficient alginate-degrading Vibrio strain and its degradation strategy. Appl. Environ. Microbiol. 2022, 88, 17. [Google Scholar] [CrossRef] [PubMed]













| Iterms | Results | Iterms | Results |
|---|---|---|---|
| Growth temperature (optimal) | 15–50 °C (28–30 °C) | Citrate utilization | + |
| Growth pH (optimal) | 3.0–9.5 (8.5) | Urease | + |
| Growth NaCl concentration (optimal) | 20–90 g/L (70 g/L) | Tryptophan deaminase | − |
| Ornithine decarboxylase | − | Indole production | − |
| Lysine decarboxylase | − | Oxidase | + |
| Arginine decarboxylase | − | Nitrate reduction | + |
| Arginine dihydroenzyme | + | Catalase | + |
| Category | Number |
|---|---|
| Sequence | 1 |
| Genome size (bp) | 4,248,867 |
| Bases (bp) | 171,101,961 |
| Total reads | 21,909 |
| Coverage (%) | 100 |
| N50 (bp) | 8400 |
| C+G% | 56.68 |
| Total ncRNA | 74 |
| Repeats Sequence | 84 |
| Protein-coding genes | 3477 |
| Total genes predicted | 3537 |
| Catabolic Enzymes | Family | Gene ID | EC Number |
|---|---|---|---|
| Alginate lyase | PL18 | gene0070 | 4.2.2.- |
| PL7 | gene0073, gene0074, gene0628, gene1910, gene1911, gene3508 | ||
| PL38 | gene0297 | ||
| poly(β-D-mannuronate) lyase | PL6 | gene0081 | 4.2.2.3 |
| oligo-alginate lyase | PL17 | gene0080 | 4.2.2.26 |
| α-Amylase | GH13 | gene1263, gene3041, gene3042, gene3044, gene3048 | 3.2.1.1 |
| Cellulase | GH5 | gene1049, gene1101, gene2339 | 3.2.1.4 |
| GH9 | gene1102 | ||
| Endo-1,4-β-xylanase | GH10 | gene2337 | 3.2.1.8 |
| Chitinase | GH18 | gene1079, gene1080, gene2143, gene2144 | 3.2.1.14 |
| α-glucosidase | GH13 | gene2990 | 3.2.1.20 |
| β-Glucosidase | GH3 | gene2341, gene2345, gene3054 | 3.2.1.21 |
| β-Galactosidase | GH2 | gene0299 | 3.2.1.23 |
| GH167 | gene2256 | ||
| Pullulanase | GH13 | gene0349 | 3.2.1.41 |
| beta-N-acetyl hexosaminidase | GH20 | gene0682, gene2447, gene2985 | 3.2.1.52 |
| GH3 | gene1932, gene2984 | ||
| β-agarase | GH50 | gene2235, gene2236, gene2277 | 3.2.1.81 |
| GH16 | gene2279 | ||
| GH86 | gene2283 | ||
| neopullulanase | GH13_46 | gene3042 | 3.2.1.135 |
| endo-chitodextinase | GH108 | gene2542 | 3.2.1.202 |
| Pectate lyase | PL1 | gene0313, gene2373 | 4.2.2.2 |
| PL10 | gene0316, gene0699 |
| polyM | polyG | Alginate | |
|---|---|---|---|
| Km (mg mL−1) | 6.95 ± 0.15 | 9.53 ± 0.23 | 5.95 ± 0.12 |
| Vmax (U mL−1 min−1) | 294.8 ± 17.08 | 231.0 ± 21.11 | 494.8 ± 26.22 |
Disclaimer/Publisher’s Note: The statements, opinions and data contained in all publications are solely those of the individual author(s) and contributor(s) and not of MDPI and/or the editor(s). MDPI and/or the editor(s) disclaim responsibility for any injury to people or property resulting from any ideas, methods, instructions or products referred to in the content. |
© 2024 by the authors. Licensee MDPI, Basel, Switzerland. This article is an open access article distributed under the terms and conditions of the Creative Commons Attribution (CC BY) license (https://creativecommons.org/licenses/by/4.0/).
Share and Cite
Liu, X.; Zhao, W.; Li, Y.; Sun, Z.; Lu, C.; Sun, L. Genome Analysis of a Polysaccharide-Degrading Bacterium Microbulbifer sp. HZ11 and Degradation of Alginate. Mar. Drugs 2024, 22, 569. https://doi.org/10.3390/md22120569
Liu X, Zhao W, Li Y, Sun Z, Lu C, Sun L. Genome Analysis of a Polysaccharide-Degrading Bacterium Microbulbifer sp. HZ11 and Degradation of Alginate. Marine Drugs. 2024; 22(12):569. https://doi.org/10.3390/md22120569
Chicago/Turabian StyleLiu, Xiao, Wentao Zhao, Yan Li, Zhongliang Sun, Chang Lu, and Liqin Sun. 2024. "Genome Analysis of a Polysaccharide-Degrading Bacterium Microbulbifer sp. HZ11 and Degradation of Alginate" Marine Drugs 22, no. 12: 569. https://doi.org/10.3390/md22120569
APA StyleLiu, X., Zhao, W., Li, Y., Sun, Z., Lu, C., & Sun, L. (2024). Genome Analysis of a Polysaccharide-Degrading Bacterium Microbulbifer sp. HZ11 and Degradation of Alginate. Marine Drugs, 22(12), 569. https://doi.org/10.3390/md22120569
