Bioactive Bianthraquinones and Meroterpenoids from a Marine-Derived Stemphylium sp. Fungus
Abstract
1. Introduction
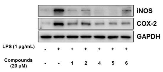
2. Results and Discussion
3. Materials and Methods
3.1. General Experimental Procedures
3.2. Fungal Material
3.3. Fermentation
3.4. Extraction and Isolation
3.5. Preparations of the (S)- and (R)-MTPA Esters of Compounds 7 and 8
3.5.1. (S)-MTPA Ester of 7 (7-4S)
3.5.2. (R)-MTPA Ester of 7 (7-4R)
3.5.3. (S)-MTPA Ester of 8 (8-2S)
3.5.4. (R)-MTPA Ester of 8 (8-2R)
3.6. Preparations of the (S)- and (R)-PGME Amides of Compounds 7 and 8
3.6.1. (S)-PGME Amide of 7 (7-18S)
3.6.2. (R)-PGME Amide of 7 (7-18R)
3.6.3. (S)-PGME Amide of 8 (8-18S)
3.6.4. (R)-PGME Amide of 8 (8-18R)
3.7. ECD Calculations
3.8. DP4 Analysis
3.9. Cytotoxic, Antibacterial, and Enzyme-Inhibitory Activities Assays
3.10. RAW 264.7 Cell Culture
3.11. Nitrite Production Measurement
3.12. Western Blotting Analysis
4. Conclusions
Supplementary Materials
Author Contributions
Funding
Conflicts of Interest
References
- Cox, R.J.; Simpson, T.J. Fungal type I polyketide synthases. Methods Enzymol. 2009, 459, 49–78. [Google Scholar] [CrossRef]
- Cox, R.J. Polyketides, proteins and genes in fungi: Programmed nano-machines begin to reveal their secrets. Org. Biomol. Chem. 2007, 5, 2010–2026. [Google Scholar] [CrossRef]
- Fouillaud, M.; Venkatachalam, M.; Girard-Valenciennes, E.; Caro, Y.; Dufosse, L. Anthraquinones and derivatives from marine-derived fungi: Structural diversity and selected biological activities. Mar. Drugs 2016, 14, 64. [Google Scholar] [CrossRef] [PubMed]
- Hussain, H.; Al-Sadi, A.M.; Schulz, B.; Steinert, M.; Khan, A.; Green, I.R.; Ahmed, I. A fruitful decade for fungal polyketides from 2007 to 2016: Antimicrobial activity, chemotaxonomy and chemodiversity. Future Med. Chem. 2017, 9, 1631–1648. [Google Scholar] [CrossRef] [PubMed]
- Stoessl, A.; Unwin, C.H.; Sthothers, J.B. On the biosynthesis of some polyketide metabolites in Alternaria solani: 13C and 2Hmr studies. Can. J. Chem. 1983, 61, 372–377. [Google Scholar] [CrossRef]
- Bringmann, G.; Irmer, A.; Feineis, D.; Gulder, T.A.M.; Fiedler, H.-P. Convergence in the biosynthesis of acetogenic natural products from plants, fungi, and bacteria. Phytochemistry 2009, 70, 1776–1786. [Google Scholar] [CrossRef]
- Caro, Y.; Anamale, L.; Fouillaud, M.; Laurent, P.; Petit, T.; Dufosse, L. Natural hydroxyanthraquinoid pigments as potent food grade colorants: An overview. Nat. Prod. Bioprospect. 2012, 2, 174–193. [Google Scholar] [CrossRef]
- Ge, X.; Sun, C.; Feng, Y.; Wang, L.; Peng, J.; Che, Q.; Gu, Q.; Zhu, T.; Li, D.; Zhang, G. Anthraquinone derivatives from a marine-derived fungus Sporendonema casei HDN16-802. Mar. Drugs 2019, 17, 334. [Google Scholar] [CrossRef]
- Gessler, N.N.; Egorova, A.S.; Belozerskaia, T.A. Fungal anthraquinones. Appl. Biochem. Microbiol. 2013, 49, 85–99. [Google Scholar] [CrossRef]
- Fouillaud, M.; Caro, Y.; Venkatachalam, M.; Grondin, I.; Dufossé, L. Anthraquinones. In Phenolic Compounds in Food Characterization and Analysis; Nollet, L.M.L., Gutierrez-Uribe, J.A., Eds.; CRC Press: Boca Raton, FL, USA, 2018; pp. 130–170. [Google Scholar]
- Griffiths, S.; Mesarich, C.H.; Saccomanno, B.; Vaisberg, A.; Wit, P.J.G.M.; Cox, R.; Collemare, J. Elucidation of cladofulvin biosynthesis reveals a cytochrome P450 monooxygenase required for anthraquinone dimerization. Proc. Natl. Acad. Sci. USA 2016, 113, 6851–6856. [Google Scholar] [CrossRef]
- Bräse, S.; Encinas, A.; Keck, J.; Nising, C.F. Chemistry and biology of mycotoxins and related fungal metabolites. Chem. Rev. 2009, 109, 3903–3990. [Google Scholar] [CrossRef] [PubMed]
- Malik, E.M.; Muller, C.E. Anthraquinones as pharmacological tools and drugs. Med. Res. Rev. 2016, 36, 705–748. [Google Scholar] [CrossRef] [PubMed]
- Geris, R.; Simpson, T.J. Meroterpenoids produced by fungi. Nat. Prod. Rep. 2009, 26, 1063–1094. [Google Scholar] [CrossRef] [PubMed]
- Shi, Z.Z.; Miao, F.P.; Fang, S.T.; Liu, X.H.; Yin, X.L.; Ji, N.Y. Sesteralterin and tricycloalterfurenes A–D: terpenes with rarely occurring frameworks from the marine-alga-epiphytic fungus Alternaria alternata k21-1. J. Nat. Prod. 2017, 80, 2524–2529. [Google Scholar] [CrossRef]
- Zhang, G.J.; Wu, G.W.; Zhu, T.J.; Kurtán, T.; Mándi, A.; Jiao, J.J.; Li, J.; Qi, X.; Gu, Q.Q.; Li, D.H. Meroterpenoids with diverse ring systems from the sponge-associated fungus Alternaria sp. JJY-32. J. Nat. Prod. 2013, 76, 1946–1957. [Google Scholar] [CrossRef] [PubMed]
- Bai, Z.Q.; Lin, X.P.; Wang, J.F.; Zhou, X.F.; Liu, J.; Yang, B.; Yang, X.W.; Liao, S.R.; Wang, L.S.; Liu, Y.H. New meroterpenoids from the endophytic fungus Aspergillus flavipes AIL8 derived from the mangrove plant Acanthus ilicifolius. Mar. Drugs 2015, 13, 237–248. [Google Scholar] [CrossRef]
- Lou, J.; Fu, L.; Peng, Y.; Zhou, L. Metabolites from Alternaria fungi and their bioactivities. Molecules 2013, 18, 5891–5935. [Google Scholar] [CrossRef]
- Shen, L.; Tian, S.-J.; Song, H.-L.; Chen, X.; Guo, H.; Wan, D.; Wang, Y.-R.; Wang, F.-W.; Liu, L.-J. Cytotoxic tricycloalternarene compounds from endophyte Alternaria sp. W-1 associated with Laminaria japonica. Mar. Drugs 2018, 16, 402. [Google Scholar] [CrossRef]
- Zhang, H.; Zhao, Z.; Chen, J.; Bai, X.; Wang, H. Tricycloalternarene analogs from a symbiotic fungus Aspergillus sp. D and their antimicrobial and cytotoxic effects. Molecules 2018, 23, 855. [Google Scholar] [CrossRef]
- Huang, C.-H.; Pan, J.-H.; Chen, B.; Yu, M.; Huang, H.-B.; Zhu, X.; Lu, Y.-J.; She, Z.-G.; Lin, Y.-C. Three bianthraquinone derivatives from the mangrove endophytic fungus Alternaria sp. ZJ9-6B from the South China Sea. Mar. Drugs 2011, 9, 832–843. [Google Scholar] [CrossRef]
- Zhou, X.-M.; Zheng, C.-J.; Chen, G.-Y.; Song, X.-P.; Han, C.-R.; Li, G.-N.; Fu, Y.-H.; Chen, W.-H.; Niu, Z.-G. Bioactive anthraquinone derivatives from the mangrove-derived fungus Stemphylium sp. 33231. J. Nat. Prod. 2014, 77, 2021–2028. [Google Scholar] [CrossRef] [PubMed]
- Debbab, A.; Aly, A.H.; Edrada-Ebel, R.; Wray, V.; Pretsch, A.; Pescitelli, G.; Kurtan, T.; Proksch, P. New anthracene derivatives—Structure elucidation and antimicrobial activity. Eur. J. Org. Chem. 2012, 2012, 1351–1359. [Google Scholar] [CrossRef]
- Phuwapraisirisan, P.; Rangsan, J.; Siripong, P.; Tip-pyang, S. New antitumour fungal metabolites from Alternaria porri. Nat. Prod. Res. 2009, 23, 1063–1071. [Google Scholar] [CrossRef] [PubMed]
- Debbab, A.; Aly, A.H.; Edrada-Ebel, R.; Wray, V.; Müller, W.E.G.; Totzke, F.; Zirrgiebel, U.; Schächtele, C.; Kubbutat, M.H.G.; Lin, W.H.; et al. Bioactive metabolites from the endophytic fungus Stemphylium globuliferum isolated from Mentha pulegium. J. Nat. Prod. 2009, 72, 626–631. [Google Scholar] [CrossRef] [PubMed]
- Kwon, O.-S.; Kim, C.-K.; Byun, W.S.; Oh, J.; Lee, Y.-J.; Lee, H.-S.; Sim, C.J.; Oh, D.-C.; Lee, S.K.; Oh, K.-B.; et al. Cyclopeptides from the Sponge Stylissa flabelliformis. J. Nat. Prod. 2018, 81, 1426–1434. [Google Scholar] [CrossRef]
- Lee, H.-S.; Lee, T.-H.; Yang, S.H.; Shin, H.J.; Shin, J.; Oh, K.-B. Sesterterpene sulfates as isocitrate lyase inhibitors from tropical sponge Hippospongia sp. Bioorg. Med. Chem. Lett. 2007, 17, 2483–2486. [Google Scholar] [CrossRef]
- Oh, K.-B.; Kim, S.-H.; Lee, J.; Cho, W.-J.; Lee, T.; Kim, S. Discovery of diarylacrylonitriles as a novel series of small molecule sortase A inhibitors. J. Med. Chem. 2004, 47, 2418–2421. [Google Scholar] [CrossRef]
- Oh, K.-B.; Lee, J.H.; Chung, S.-C.; Shin, J.; Shin, H.J.; Kim, H.-K.; Lee, H.-S. Antimicrobial activities of the bromophenols from the red alga Odonthalia corymbifera and some synthetic derivatives. Bioorg. Med. Chem. Lett. 2008, 18, 104–108. [Google Scholar] [CrossRef]
- Hong, S.-H.; Ban, Y.H.; Byun, W.S.; Kim, D.; Jang, Y.-J.; An, J.S.; Shin, B.; Lee, S.K.; Shin, J.; Yoon, Y.J.; et al. Camporidines A and B: antimetastatic and anti-inflammatory polyketide alkaloids from a gut bacterium of Camponotus kiusiuensis. J. Nat. Prod. 2019, 82, 903–910. [Google Scholar] [CrossRef]
- Byun, W.S.; Kim, W.K.; Han, H.J.; Chung, H.-J.; Jang, K.; Kim, H.S.; Kim, S.; Kim, D.; Bae, E.S.; Park, S.; et al. Targeting histone methyltransferase DOT1L by a novel psammaplin A analog inhibits growth and metastasis of triple-negative breast cancer. Mol. Ther. Oncolytics 2019, 15, 140–152. [Google Scholar] [CrossRef]










| No. | 1 a | 2 b | 3 c | |||
|---|---|---|---|---|---|---|
| δC, Type | δH (J in Hz) | δC, Type | δH (J in Hz) | δC, Type | δH (J in Hz) | |
| 1 | 111.7, CH | 7.51, d (0.5) | 111.8, CH | 7.51, d (0.5) | 129.0, C | |
| 2 | 164.0, C | 163.7, C | 165.5, C d | |||
| 3 | 133.8, C | 133.8, C | 134.5, C | |||
| 4 | 131.2, CH | 7.65, d (0.5) | 131.3, CH | 7.65, d (0.5) | 130.5, CH | 8.00, s |
| 4a | 126.8, C | 127.1, C | 131.2, C | |||
| 5 | 165.8, C | 166.2, C | 106.9, CH | 7.20, d (2.5) | ||
| 6 | 125.3, C | 125.7, C | 167.1, C | |||
| 7 | 104.6, CH | 6.78, s | 104.3, CH | 6.80, s | 105.9, CH | 6.52, d (2.5) |
| 8 | 166.9, C | 167.1, C | 166.0, C | |||
| 8a | 111.9, C | 111.7, C | 112.1, C | |||
| 9 | 188.7, C | 188.6, C | 191.0, C | |||
| 9a | 134.7, C | 134.6, C | 132.8, C | |||
| 10 | 183.5, C | 183.5, C | 182.3, C | |||
| 10a | 133.4, C | 132.8, C | 137.8, C | |||
| 11 | 16.6, CH3 | 2.23, s | 16.6, CH3 | 2.23, s | 17.9, CH3 | 2.21, s |
| 12 | 56.9, CH3 | 3.69, s | 56.9, CH3 | 3.70, s | 56.3, CH3 | 3.89, s |
| 1′ | 70.6, CH | 4.73, d (7.5) | 70.6, CH | 4.73, d (7.4) | 75.2, CH | 4.58, d (4.7) |
| 2′ | 75.2, CH | 3.79, d (7.5) | 75.2, CH | 3.76, d (7.4) | 70.7, CH | 3.93, d (4.7) |
| 3′ | 74.6, C | 74.7, C | 75.4, C | |||
| 4′ | 70.1, CH | 4.26, s | 70.2, CH | 4.26, s | 70.6, CH | 4.39, s |
| 4a’ | 143.8, C | 143.9, C | 144.7, C | |||
| 5′ | 166.3, C | 166.5, C | 130.7, C | |||
| 6′ | 123.4, C | 123.9, C | 166.8, C | |||
| 7′ | 104.6, CH | 6.81, s | 104.6, CH | 6.82, s | 104.5, CH | 6.79, s |
| 8′ | 166.1, C | 166.4, C | 165.9, C | |||
| 8a’ | 111.0, C | 111.0, C | 110.9, C | |||
| 9′ | 190.5, C | 190.6, C | 189.6, C | |||
| 9a’ | 143.9, C | 143.7, C | 141.0, C | |||
| 10′ | 185.7, C | 185.5, C | 185.7, C | |||
| 10a’ | 130.8, C | 130.7, C | n.d. e | |||
| 11′ | 22.3, CH3 | 1.33, s | 22.3, CH3 | 1.32, s | 21.6, CH3 | 1.33, s |
| 12′ | 57.0, CH3 | 3.70, s | 57.0, CH3 | 3.71, s | 56.8, CH3 | 3.71, s |
| 13′ | 62.8, CH3 | 3.77, s | ||||
| No. | 7 a | 8 a | 9 b | |||
|---|---|---|---|---|---|---|
| δC, type | δH (J in Hz) | δC, type | δH (J in Hz) | δC, type | δH (J in Hz) | |
| 1 | 200.4, C | 199.9, C | 200.4, C | |||
| 2 | 33.6, CH2 | 2.62, m 2.32, ddd (16.9, 6.9, 4.9) | 72.4, CH | 4.07, dd (12.6, 4.9) | 33.6, CH2 | 2.62, m 2.32, ddd (17.0, 6.8, 5.1) |
| 3 | 30.5, CH2 | 2.18, m 1.97, m | 30.7, CH2 | 2.24, m1.83, m | 30.5, CH2 | 2.19, m 1.97, m |
| 4 | 66.8, CH | 4.30, t (5.1) | 28.8, CH2 | 2.58, m2.44, m | 66.8, CH | 4.29, t (5.3) |
| 5 | 170.4, C | 170.8, C | 170.4, C | |||
| 6 | 107.5, C | 105.6, C | 107.5, C | |||
| 7 | 19.8, CH2 | 2.59, d (17.8) 2.22, dd (17.7, 4.2) | 19.8, CH2 | 2.68, d (17.8) 2.20, dd (17.7, 4.2) | 19.8, CH2 | 2.59, d (17.8) 2.22, dd (17.7, 4.2) |
| 8 | 78.1, CH | 3.95, dd (4.3, 1.2) | 77.9, CH | 3.95, dd (4.3, 1.2) | 78.1, CH | 3.95, dd (4.5, 1.3) |
| 9 | 85.8, C | 85.7, C | 85.8, C | |||
| 10 | 46.8, CH2 | 2.42, dd (13.6, 9.4) 2.07, dd (13.6, 3.9) | 46.9, CH2 | 2.39, m 2.00, dd (13.7, 3.7) | 46.8, CH2 | 2.42, dd (13.7, 9.5) 2.07, dd (13.6, 3.9) |
| 11 | 74.5, CH | 4.80, td (9.0, 3.9) | 74.5, CH | 4.80, td (9.0, 3.9) | 74.4, CH | 4.79, m |
| 12 | 127.5, CH | 5.17, br d (8.8) | 127.5, CH | 5.17, br d (8.8) | 127.7, CH | 5.17, br d (8.5) |
| 13 | 139.7, C | 139.7, C | 139.6, C | |||
| 14 | 40.2, CH2 | 1.99, m | 40.3, CH2 | 1.98, m | 40.1, CH2 | 1.98, m |
| 15 | 26.3, CH2 | 1.42, m | 26.5, CH2 | 1.42, m | 26.1, CH2 | 1.39, m |
| 16 | 34.5, CH2 | 1.59, m 1.38, m | 34.9, CH2 | 1.58, m 1.35, m | 34.4, CH2 | 1.58, m 1.38, m |
| 17 | 40.8, CH | 2.37, dq (13.8, 7.0) | 41.6, CH | 2.37, m | 40.5, CH | 2.46, m |
| 18 | 180.9, C | 182.1, C | 178.9, C | |||
| 19 | 20.1, CH3 | 1.35, s | 19.9, CH3 | 1.30, s | 20.1, CH3 | 1.35, s |
| 20 | 16.4, CH3 | 1.65, s | 16.4, CH3 | 1.64, s | 16.3, CH3 | 1.65, s |
| 21 | 17.7, CH3 | 1.11, d (7.0) | 18.0, CH3 | 1.11, d (7.0) | 17.5, CH3 | 1.11, d (7.0) |
| 22 | 52.1, OCH3 | 3.65, s | ||||
© 2020 by the authors. Licensee MDPI, Basel, Switzerland. This article is an open access article distributed under the terms and conditions of the Creative Commons Attribution (CC BY) license (http://creativecommons.org/licenses/by/4.0/).
Share and Cite
Hwang, J.-Y.; Park, S.C.; Byun, W.S.; Oh, D.-C.; Lee, S.K.; Oh, K.-B.; Shin, J. Bioactive Bianthraquinones and Meroterpenoids from a Marine-Derived Stemphylium sp. Fungus. Mar. Drugs 2020, 18, 436. https://doi.org/10.3390/md18090436
Hwang J-Y, Park SC, Byun WS, Oh D-C, Lee SK, Oh K-B, Shin J. Bioactive Bianthraquinones and Meroterpenoids from a Marine-Derived Stemphylium sp. Fungus. Marine Drugs. 2020; 18(9):436. https://doi.org/10.3390/md18090436
Chicago/Turabian StyleHwang, Ji-Yeon, Sung Chul Park, Woong Sub Byun, Dong-Chan Oh, Sang Kook Lee, Ki-Bong Oh, and Jongheon Shin. 2020. "Bioactive Bianthraquinones and Meroterpenoids from a Marine-Derived Stemphylium sp. Fungus" Marine Drugs 18, no. 9: 436. https://doi.org/10.3390/md18090436
APA StyleHwang, J.-Y., Park, S. C., Byun, W. S., Oh, D.-C., Lee, S. K., Oh, K.-B., & Shin, J. (2020). Bioactive Bianthraquinones and Meroterpenoids from a Marine-Derived Stemphylium sp. Fungus. Marine Drugs, 18(9), 436. https://doi.org/10.3390/md18090436

