Lumazine Peptides from the Marine-Derived Fungus Aspergillus terreus
Abstract
:1. Introduction

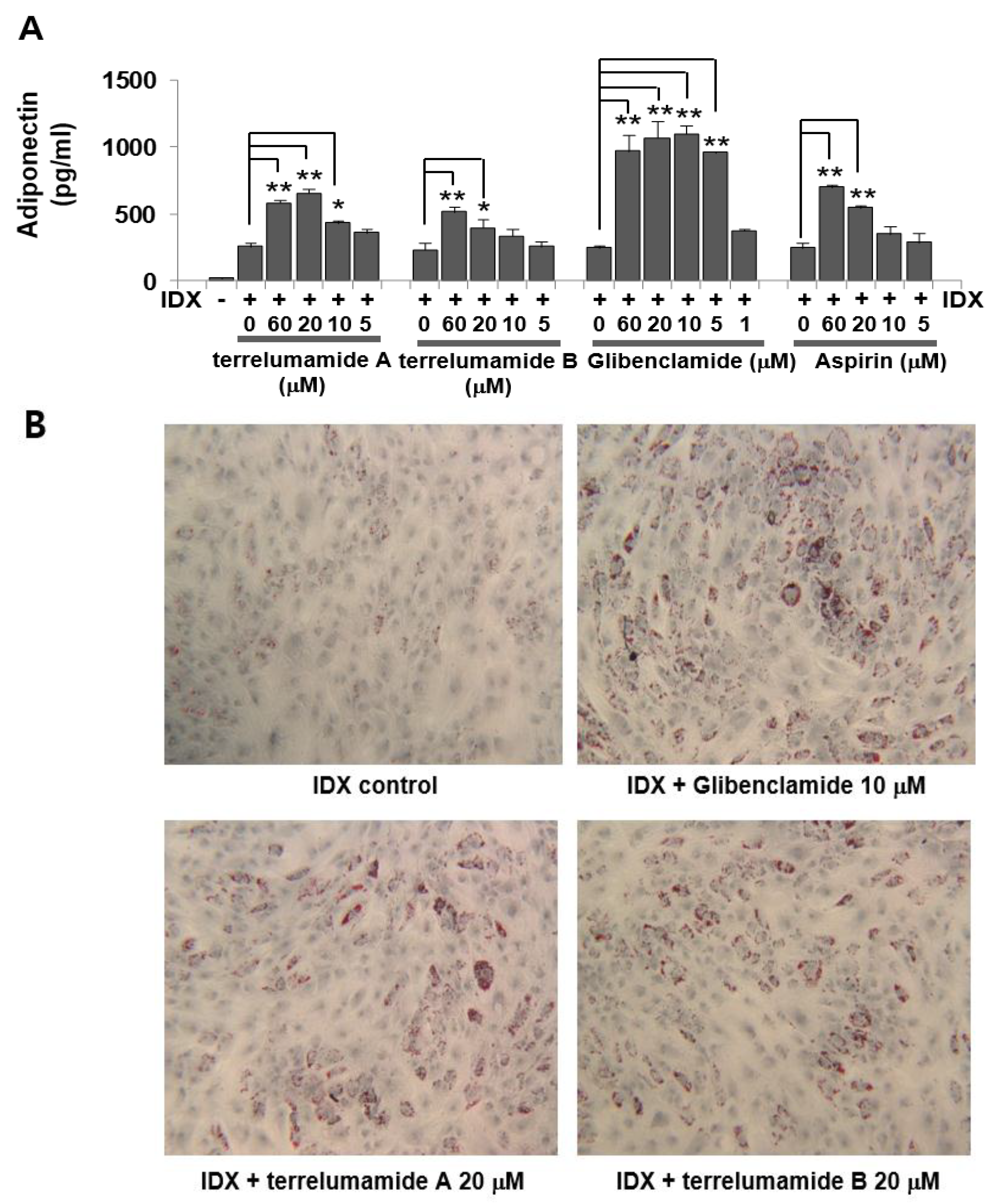
2. Results and Discussion


| 1 | 2 | |||||
|---|---|---|---|---|---|---|
| Position | δC, Type | δH, Mult (J in Hz) | HMBC a | δC, Type | δH, Mult (J in Hz) | HMBC |
| 2 | 150.0, C | 150.0, C | ||||
| 3-NH | 12.18, s | 4, 4a | 12.15, br s | |||
| 4 | 159.3, C | 159.3, C | ||||
| 4a | 127.2, C | 127.1, C | ||||
| 6 | 138.2, C | 138.5, C | ||||
| 7 | 146.2, CH | 9.30, s | 4a, 6, 8a | 146.3, CH | 9.28, s | 6, 8a |
| 8a | 151.1, C | 151.0, C | ||||
| 9 | 28.6, CH3 | 3.52, s | 2, 8a | 28.5, CH3 | 3.52, s | 2, 8a |
| 10 | 162.7, C | 162.6, C | ||||
| 1′-NH | 8.51, d (8.0) | 10, 2′, 4′ | 8.75, d (7.5) | 10, 2′, 4′ | ||
| 2′ | 59.7, CH | 4.56, dd (8.0, 2.8) | 3′, 4′ | 56.6, CH | 4.66, ddd (7.5, 5.0, 5.0) | 3′, 4′ |
| 3′ | 168.8, C | 168.7, C | ||||
| 4′ | 65.9, CH | 4.42, m | 61.0, CH2 | 4.01, ddd (10.6, 5.0, 5.0) | 2′, 3′ | |
| 3.89, ddd (10.6, 5.0, 5.0) | 2′, 3′ | |||||
| 4′-OH | 5.58, d (4.8) | 2′, 4′, 5′ | 5.44, dd (5.0, 5.0) | 2′, 4′ | ||
| 5′ | 20.5, CH3 | 1.19, d (6.3) | 2′, 4′ | |||
| 1″-NH | 11.11, s | 3′, 3″, 7″ | 11.11, s | 3′, 3″, 7″ | ||
| 2″ | 139.2, C | 139.3, C | ||||
| 3″ | 117.1, C | 117.0, C | ||||
| 4″ | 130.6, CH | 7.92, d (8.0) | 2″, 6″, 8″ | 130.6, CH | 7.92, d (8.0) | 2″, 6″, 8″ |
| 5″ | 123.4, CH | 7.21, dd (8.0, 8.0) | 3″, 7″ | 123.3, CH | 7.21, dd (8.0, 8.0) | 3″, 7″ |
| 6″ | 134.1, CH | 7.64, dd (8.0, 8.0) | 2″, 4″ | 134.1, CH | 7.63, dd (8.0, 8.0) | 2″, 4″ |
| 7″ | 120.7, CH | 8.44, d (8.0) | 3″, 5″ | 120.7, CH | 8.44, d (8.0) | 3″, 5″ |
| 8″ | 167.3, C | 167.3, C | ||||
| 9″ | 52.4, CH3 | 3.70, s | 8″ | 52.3, CH3 | 3.70, s | 8″ |




3. Experimental Section
3.1. General Experimental Procedures
3.2. Isolation and Identification of the Fungal Strain
3.3. Fermentation and Isolation
3.4. Determination of the Amino Acid Absolute Configurations [16,17]
3.5. Biological Assays
3.6. Fluorescence Measurements
4. Conclusions
Supplementary Files
Supplementary File 1Acknowledgments
Author Contributions
Conflicts of Interest
References
- Fenical, W. Chemical studies of marine bacteria: Developing a new resource. Chem. Rev. 1993, 93, 1673–1683. [Google Scholar] [CrossRef]
- Bugni, T.S.; Ireland, C.M. Marine-derived fungi: A chemically and biologically diverse group of microorganisms. Nat. Prod. Rep. 2004, 21, 143–163. [Google Scholar] [CrossRef] [PubMed]
- Fenical, W.; Jensen, P.R. Developing a new resource for drug discovery: Marine actinomycete bacteria. Nat. Chem. Biol. 2006, 2, 666–673. [Google Scholar] [CrossRef] [PubMed]
- Cragg, G.M.; Grothaus, P.G.; Newman, D.J. Impact of natural products on developing new anti-cancer agents. Chem. Rev. 2009, 109, 3012–3043. [Google Scholar] [CrossRef] [PubMed]
- Bhatnagar, I.; Kim, S.K. Immense essence of excellence: Marine microbial bioactive compounds. Mar. Drugs 2010, 8, 2673–2701. [Google Scholar] [CrossRef] [PubMed]
- Blunt, J.W.; Copp, B.R.; Keyzers, R.A.; Munro, M.H.G.; Prinsep, M.R. Marine natural products. Nat. Prod. Rep. 2014, 31, 160–258, and earlier reports in the series. [Google Scholar] [CrossRef] [PubMed]
- Hu, G.-P.; Yuan, J.; Sun, L.; She, Z.-G.; Wu, J.-H.; Lan, X.-J.; Zhu, X.; Lin, Y.-C.; Chen, S.-P. Statistical research on marine natural products based on data obtained between 1985 and 2008. Mar. Drugs 2011, 9, 514–525. [Google Scholar] [CrossRef] [PubMed]
- Ellestad, G.A.; Mirando, P.; Kunstmann, M.P. Structure of the metabolite LL-S490β from an unidentified Aspergillus species. J. Org. Chem. 1973, 38, 4204–4205. [Google Scholar] [CrossRef] [PubMed]
- Li, G.-Y.; Li, B.-G.; Yang, T.; Yin, J.-H.; Qi, H.-Y.; Liu, G.-Y.; Zhang, G.-L. Sesterterpenoids, terretonins A–D, and an alkaloid, asterrelenin, from Aspergillus terreus. J. Nat. Prod. 2005, 68, 1243–1246. [Google Scholar] [CrossRef] [PubMed]
- Ling, K.H.; Yang, C.-K.; Peng, F.-T. Territrems, tremorgenic mycotoxins of Aspergillus terreus. Appl. Environ. Microbiol. 1979, 37, 355–357. [Google Scholar] [PubMed]
- Loesgen, S.; Bruhn, T.; Meindl, K.; Dix, I.; Schulz, B.; Zeeck, A.; Bringmann, G. (+)-Flavipucine, the missing member of the pyridione epoxide family of fungal antibiotics. Eur. J. Org. Chem. 2011, 2011, 5156–5162. [Google Scholar] [CrossRef]
- Meyer, S.W.; Mordhorst, T.F.; Lee, C.; Jensen, P.R.; Fenical, W.; Köck, M. Penilumamide, a novel lumazine peptide isolated from the marine-derived fungus, Penicillium sp. CNL-338. Org. Biomol. Chem. 2010, 8, 2158–2163. [Google Scholar] [CrossRef] [PubMed]
- Chen, M.; Shao, C.-L.; Fu, X.-M.; Kong, C.-J.; She, Z.-G.; Wang, C.-Y. Lumazine peptides penilumamides B-D and the cyclic pentapeptide asperpeptide A from a gorgonian-derived Aspergillus sp. Fungus. J. Nat. Prod. 2014, 77, 1601–1606. [Google Scholar] [CrossRef] [PubMed]
- Guerriero, A.; D’Ambrosio, M.; Pietra, F.; Debitus, C.; Ribes, O. Pteridines, sterols, and indole derivatives from the lithistid sponge Corallistes undulatus of the Coral Sea. J. Nat. Prod. 1993, 56, 1962–1970. [Google Scholar] [CrossRef]
- Voerman, G.; Cavalli, S.; van der Marel, G.A.; Pfleiderer, W.; van Boom, J.H.; Filippov, D.V. 1,3-Dimethyllumazine derivatives from Limnatis nilotica. J. Nat. Prod. 2005, 68, 938–941. [Google Scholar] [CrossRef] [PubMed]
- Fujii, K.; Ikai, Y.; Mayumi, T.; Oka, H.; Suzuki, M.; Harada, K.-I. A nonempirical method using LC/MS for determination of the absolute configuration of constituent amino acids in a peptide: Elucidation of limitations of Marfey’s method and of its separation mechanism. Anal. Chem. 1997, 69, 3346–3352. [Google Scholar] [CrossRef]
- Fujii, K.; Ikai, Y.; Oka, H.; Suzuki, M.; Harada, K.-I. A nonempirical method using LC/MS for determination of the absolute configuration of constituent amino acids in a peptide: Combination of Marfey’s method with mass spectrometry and its practical application. Anal. Chem. 1997, 69, 5146–5151. [Google Scholar] [CrossRef]
- Cardellina, J.H. II.; Meinwald, J. Leucettidine, a novel pteridine from the calcareous sponge Leucetta microraphis. J. Org. Chem. 1981, 46, 4782–4784. [Google Scholar] [CrossRef]
- Debitus, C.; Cesario, M.; Guilhem, J.; Pascard, C.; Pais, M. Corallistine, a new polynitrogen compound from the sponge Corallistes fulvodesmus L. & L. Tetrahedron Lett. 1989, 30, 1535–1538. [Google Scholar] [CrossRef]
- Zuleta, I.A.; Vitelli, M.L.; Baggio, R.; Garland, M.T.; Seldes, A.M.; Palermo, J.A. Novel pteridine alkaloids from the sponge Clathria sp. Tetrahedron 2002, 58, 4481–4486. [Google Scholar] [CrossRef]
- Inoue, S.; Okada, K.; Tanino, H.; Kakoi, H.; Horii, N. 6-Propionyllumazines from the marine polychaete, Odontosyllis undecimdonta. Chem. Lett. 1990, 19, 367–368. [Google Scholar] [CrossRef]
- Inoue, S.; Okada, K.; Tanino, H.; Kakoi, H.; Ohnishi, Y.; Horii, N. New lumazines from the marine polychaete, Odontosyllis undecimdonta. Chem. Lett. 1991, 20, 563–564. [Google Scholar] [CrossRef]
- Tanino, H.; Takakura, H.; Kakoi, H.; Okada, K.; Inoue, S. (S)-2-methyl-1,5-bis(1,3-dimethyl-6-lumazinyl)-1,5-pentanedione from the marine polychaete, Odontosyllis undecimdonta. Heterocycles 1996, 42, 125–128. [Google Scholar] [CrossRef]
- Rudolph, K.E.; Liberio, M.S.; Davis, R.A.; Carroll, A.R. Pteridine-, thymidine-, choline- and imidazole-derived alkaloids from the Australian ascidian, Leptoclinides durus. Org. Biomol. Chem. 2013, 11, 261–270. [Google Scholar] [CrossRef] [PubMed]
- Nagar-Anthal, K.R.; Worrell, V.E.; Teal, R.; Nagle, D.P. The pterin lumazine inhibits growth of methanogens and methane formation. Arch. Microbiol. 1996, 166, 136–140. [Google Scholar] [CrossRef]
- Cottam, H.B.; Shih, H.; Tehrani, L.R.; Wasson, D.B.; Carson, D.A. Substituted xanthines, pteridinediones, and related compounds as potential anti-inflammatory agents. Synthesis and biological evaluation of inhibitors of tumor necrosis factor α. J. Med. Chem. 1996, 39, 2–9. [Google Scholar] [CrossRef] [PubMed]
- Shin, D.W.; Kim, S.N.; Lee, S.M.; Lee, W.; Song, M.J.; Park, S.M.; Lee, T.R.; Baik, J.-H.; Kim, H.K.; Hong, J.-H.; et al. (−)-Catechin promotes adipocyte differentiation in human bone marrow mesenchymal stem cells through PPARγ transactivation. Biochem. Pharmacol. 2009, 77, 125–133. [Google Scholar] [CrossRef] [PubMed]
- Hundal, R.S.; Petersen, K.F.; Mayerson, A.B.; Randhawa, P.S.; Inzucchi, S.; Shoelson, S.E.; Shulman, G.I. Mechanism by which high-dose aspirin improves glucose metabolism in type 2 diabetes. J. Clin. Investig. 2002, 109, 1321–1326. [Google Scholar] [CrossRef] [PubMed]
- Mosmann, T. Rapid colorimetric assay for cellular growth and survival: Application to proliferation and cytotoxicity assays. J. Immunol. Methods 1983, 65, 55–63. [Google Scholar] [CrossRef] [PubMed]
- Ulukaya, E.; Ozdikicioglu, F.; Oral, A.Y.; Demirci, M. The MTT assay yields a relatively lower result of growth inhibition than the ATP assay depending on the chemotherapeutic drugs tested. Toxicology 2008, 22, 232–239. [Google Scholar]
- Lee, H.-S.; Lee, T.-H.; Yang, S.H.; Shin, H.J.; Shin, J.; Oh, K.-B. Sesterterpene sulfates as isocitrate lyase inhibitors from tropical sponge Hippospongia sp. Bioorg. Med. Chem. Lett. 2007, 17, 2483–2486. [Google Scholar] [CrossRef] [PubMed]
- Oh, K.-B.; Kim, S.-H.; Lee, J.; Cho, W.-J.; Lee, T.; Kim, S. Discovery of diarylacrylonitriles as a novel series of small molecule sortase A inhibitors. J. Med. Chem. 2004, 47, 2418–2421. [Google Scholar] [CrossRef] [PubMed]
- Johansson, M.; Karlsson, L.; Wennergren, M.; Jansson, T.; Powell, T.L. Activity and protein expression of Na+/K+ ATPase are reduced in microvillous syncytiotrophoblast plasma membranes isolated from pregnancies complicated by intrauterine growth restriction. J. Clin. Endocrinol. Metab. 2003, 88, 2831–2837. [Google Scholar] [CrossRef] [PubMed]
- Oh, K.-B.; Lee, J.H.; Chung, S.-C.; Shin, J.; Shin, H.J.; Kim, H.-K.; Lee, H.-S. Antimicrobial activities of the bromophenols from the red alga Odonthalia corymbifera and some synthetic derivatives. Bioorg. Med. Chem. Lett. 2008, 18, 104–108. [Google Scholar] [CrossRef] [PubMed]
© 2015 by the authors; licensee MDPI, Basel, Switzerland. This article is an open access article distributed under the terms and conditions of the Creative Commons Attribution license (http://creativecommons.org/licenses/by/4.0/).
Share and Cite
You, M.; Liao, L.; Hong, S.H.; Park, W.; Kwon, D.I.; Lee, J.; Noh, M.; Oh, D.-C.; Oh, K.-B.; Shin, J. Lumazine Peptides from the Marine-Derived Fungus Aspergillus terreus. Mar. Drugs 2015, 13, 1290-1303. https://doi.org/10.3390/md13031290
You M, Liao L, Hong SH, Park W, Kwon DI, Lee J, Noh M, Oh D-C, Oh K-B, Shin J. Lumazine Peptides from the Marine-Derived Fungus Aspergillus terreus. Marine Drugs. 2015; 13(3):1290-1303. https://doi.org/10.3390/md13031290
Chicago/Turabian StyleYou, Minjung, Lijuan Liao, Soo Hyun Hong, Wanki Park, Dah In Kwon, Jeeyeon Lee, Minsoo Noh, Dong-Chan Oh, Ki-Bong Oh, and Jongheon Shin. 2015. "Lumazine Peptides from the Marine-Derived Fungus Aspergillus terreus" Marine Drugs 13, no. 3: 1290-1303. https://doi.org/10.3390/md13031290
APA StyleYou, M., Liao, L., Hong, S. H., Park, W., Kwon, D. I., Lee, J., Noh, M., Oh, D.-C., Oh, K.-B., & Shin, J. (2015). Lumazine Peptides from the Marine-Derived Fungus Aspergillus terreus. Marine Drugs, 13(3), 1290-1303. https://doi.org/10.3390/md13031290

