Successful Achilles Tendon Reattachment Using SpeedBridge in Haglund’s Triad Patients
Abstract
1. Introduction
2. Materials and Methods
2.1. Patients and Study Design
- -
- A history of prior Achilles tendon rupture;
- -
- Previous surgery on the same heel;
- -
- Treatment performed with a different surgical technique;
- -
- Incomplete follow-up;
- -
- Age under 18 years;
- -
- A lack of informed consent to participate in the study;
- -
- An inability to comply with postoperative care instructions.
2.2. Data Collection
- -
- Grade I: Adverse events with minimal clinical relevance that do not cause deviation from routine postoperative follow-up. Therapeutic measures include analgesia, antibiotics, and physiotherapy.
- -
- Grade II: Complications that are treatable but do not require additional surgical intervention or unplanned hospital admission.
- -
- Grade III: Complications that are treatable and require surgical intervention or unplanned hospital admission.
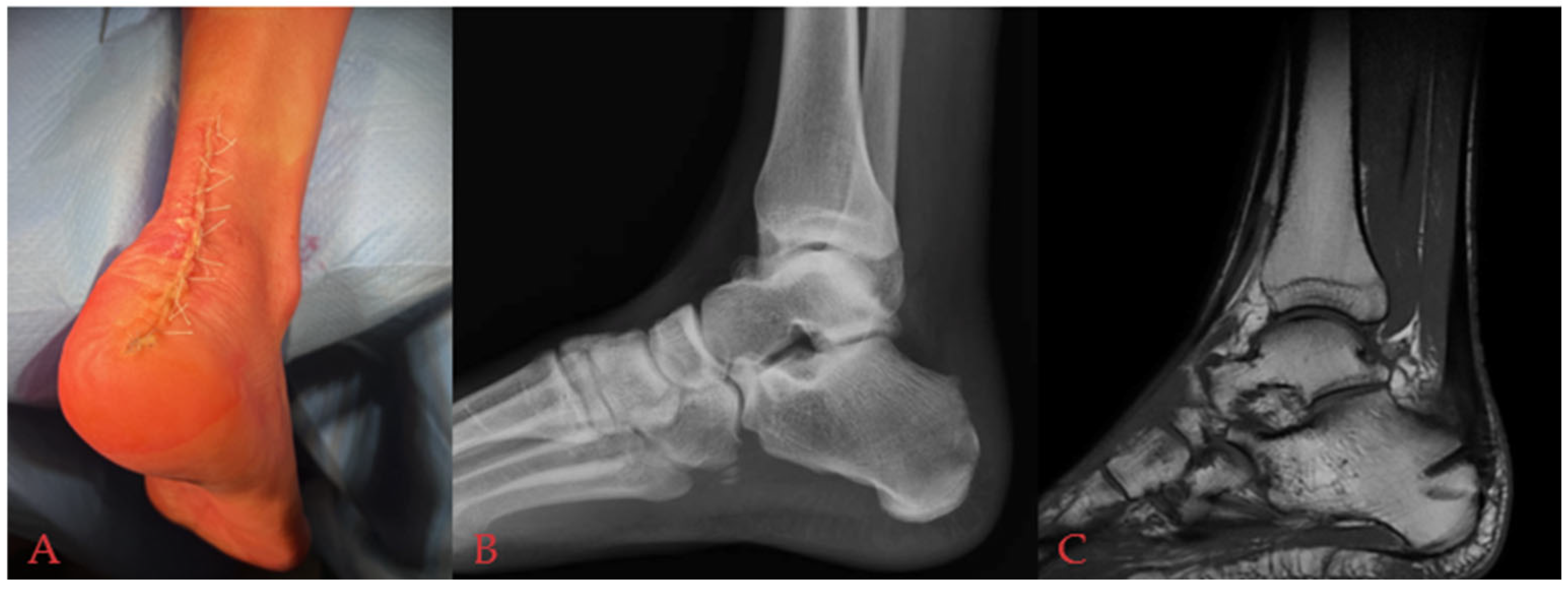
2.3. Surgical Technique
2.4. Statistical Analysis
3. Results
3.1. Population
3.2. Clinical Outcomes
4. Discussion
5. Conclusions
Author Contributions
Funding
Institutional Review Board Statement
Informed Consent Statement
Data Availability Statement
Conflicts of Interest
References
- Xia, Z.; Yew, A.K.S.; Zhang, T.K.; Su, H.C.D.; Ng, Y.C.S.; Rikhraj, I.S. Surgical Correction of Haglund’s Triad Using a Central Tendon-Splitting Approach: A Retrospective Outcomes Study. J. Foot Ankle Surg. 2017, 56, 1132–1138. [Google Scholar] [CrossRef]
- Haglund, P. Beitrag zur Klinik der Archillessehne. Zeitschr Orthop. Chir. 1927, 49, 49–58. [Google Scholar]
- Thomas, J.L.; Christensen, J.C.; Kravitz, S.R.; Mendicino, R.W.; Schuberth, J.M.; Vanore, J.V.; Weil, L.S.S.; Zlotoff, H.J.; Bouché, R.; Baker, J. The diagnosis and treatment of heel pain: A clinical practice guideline—Revision 2010. J. Foot Ankle Surg. 2010, 49, S1–S19. [Google Scholar] [CrossRef] [PubMed]
- Irwin, T.A. Current concepts review: Insertional achilles tendinopathy. Foot Ankle Int. 2010, 31, 933–939. [Google Scholar] [CrossRef] [PubMed]
- Notari, M.A.; Mittler, B.E. An investigation of Fowler-Philip’s angle in diagnosing Haglund’s deformity. J. Am. Podiatry Assoc. 1984, 74, 486–489. [Google Scholar] [CrossRef]
- Fathi Mahmoud, H.; Feisal, W.; Samir Fahmy, F. Satisfactory Functional Outcome and Significant Correlation with the Length of Haglund’s Deformity after Endoscopic Calcaneoplasty: A Minimum 4-Year Follow-Up Study. Adv. Orthop. 2022, 2022, 7889684. [Google Scholar] [CrossRef]
- Wu, Z.; Hua, Y.; Li, Y.; Chen, S. Endoscopic treatment of Haglund’s syndrome with a three portal technique. Int. Orthop. 2012, 36, 1623–1627. [Google Scholar] [CrossRef]
- Tourne, Y.; Baray, A.L.; Barthelemy, R.; Karhao, T.; Moroney, P. The Zadek calcaneal osteotomy in Haglund’s syndrome of the heel: Clinical results and a radiographic analysis to explain its efficacy. Foot Ankle Surg. 2022, 28, 79–87. [Google Scholar] [CrossRef]
- van Dijk, C.N.; van Dyk, G.E.; Scholten, P.E.; Kort, N.P. Endoscopic calcaneoplasty. Am. J. Sports Med. 2001, 29, 185–189. [Google Scholar] [CrossRef]
- Scholten, P.E.; van Dijk, C.N. Endoscopic calcaneoplasty. Foot Ankle Clin. 2006, 11, 439–446. [Google Scholar] [CrossRef]
- Kolodziej, P.; Glisson, R.R.; Nunley, J.A. Risk of avulsion of the Achilles tendon after partial excision for treatment of insertional tendonitis and Haglund’s deformity: A biomechanical study. Foot Ankle Int. 1999, 20, 433–437. [Google Scholar] [CrossRef] [PubMed]
- Prasathaporn, N.; Thamrongskulsiri, N.; Itthipanichpong, T.; Limskul, D. Types of Retears After Knot-tying and Knotless Suture Bridge Rotator Cuff Repair: A Systematic Review and Meta-analysis. Orthop. J. Sport. Med. 2022, 10, 23259671221135604. [Google Scholar] [CrossRef] [PubMed]
- Delgado, D.A.; Lambert, B.S.; Boutris, N.; McCulloch, P.C.; Robbins, A.B.; Moreno, M.R.; Harris, J.D. Validation of Digital Visual Analog Scale Pain Scoring With a Traditional Paper-based Visual Analog Scale in Adults. J. Am. Acad. Orthop. Surg. Glob. Res. Rev. 2018, 2, e088. [Google Scholar] [CrossRef] [PubMed]
- Kitaoka, H.B.; Alexander, I.J.; Adelaar, R.S.; Nunley, J.A.; Myerson, M.S.; Sanders, M. Clinical rating systems for the ankle-hindfoot, midfoot, hallux, and lesser toes. Foot Ankle Int. 1994, 15, 349–353. [Google Scholar] [CrossRef]
- Hays, R.D.; Sherbourne, C.D.; Mazel, R.M. The RAND 36-Item Health Survey 1.0. Health Econ. 1993, 2, 217–227. [Google Scholar] [CrossRef]
- Lewis, T.L.; Mason, L.; Gordon, D.; Ray, R. The Clavien-Dindo complication classification modified for foot and ankle orthopaedic surgery. Foot Ankle Surg. 2022, 28, 800–802. [Google Scholar] [CrossRef]
- McGarvey, W.C.; Palumbo, R.C.; Baxter, D.E.; Leibman, B.D. Insertional Achilles tendinosis: Surgical treatment through a central tendon splitting approach. Foot Ankle Int. 2002, 23, 19–25. [Google Scholar] [CrossRef]
- Witt, B.L.; Hyer, C.F. Achilles tendon reattachment after surgical treatment of insertional tendinosis using the suture bridge technique: A case series. J. Foot Ankle Surg. 2012, 51, 487–493. [Google Scholar] [CrossRef]
- Miao, X.-D.; Jiang, H.; Wu, Y.-P.; Tao, H.-M.; Yang, D.-S.; Hu, H. Treatment of Calcified Insertional Achilles Tendinopathy by the Posterior Midline Approach. J. Foot Ankle Surg. 2016, 55, 529–534. [Google Scholar] [CrossRef]
- Ettinger, S.; Razzaq, R.; Waizy, H.; Claassen, L.; Daniilidis, K.; Stukenborg-Colsman, C.; Plaass, C. Operative Treatment of the Insertional Achilles Tendinopathy Through a Transtendinous Approach. Foot Ankle Int. 2016, 37, 288–293. [Google Scholar] [CrossRef]
- Ahn, J.H.; Ahn, C.-Y.; Byun, C.-H.; Kim, Y.-C. Operative Treatment of Haglund Syndrome With Central Achilles Tendon-Splitting Approach. J. Foot Ankle Surg. 2015, 54, 1053–1056. [Google Scholar] [CrossRef] [PubMed]
- Anderson, J.A.; Suero, E.; O’Loughlin, P.F.; Kennedy, J.G. Surgery for retrocalcaneal bursitis: A tendon-splitting versus a lateral approach. Clin. Orthop. Relat. Res. 2008, 466, 1678–1682. [Google Scholar] [CrossRef] [PubMed]
- Wiegerinck, J.I.; Kerkhoffs, G.M.; van Sterkenburg, M.N.; Sierevelt, I.N.; van Dijk, C.N. Treatment for insertional Achilles tendinopathy: A systematic review. Knee Surg. Sports Traumatol. Arthrosc. 2013, 21, 1345–1355. [Google Scholar] [CrossRef] [PubMed]
- Yuen, W.L.P.; Tan, P.T.; Kon, K.K.C. Surgical Treatment of Haglund’s Deformity: A Systematic Review and Meta-Analysis. Cureus 2022, 14, e27500. [Google Scholar] [CrossRef]
- Kondreddi, V.; Gopal, R.K.; Yalamanchili, R.K. Outcome of endoscopic decompression of retrocalcaneal bursitis. Indian J. Orthop. 2012, 46, 659–663. [Google Scholar] [CrossRef]
- Nunley, J.A.; Ruskin, G.; Horst, F. Long-term clinical outcomes following the central incision technique for insertional Achilles tendinopathy. Foot Ankle Int. 2011, 32, 850–855. [Google Scholar] [CrossRef]
- Oliva, F.; Via, A.G.; Maffulli, N. Physiopathology of intratendinous calcific deposition. BMC Med. 2012, 10, 95. [Google Scholar] [CrossRef]
- Johnson, K.W.; Zalavras, C.; Thordarson, D.B. Surgical management of insertional calcific achilles tendinosis with a central tendon splitting approach. Foot Ankle Int. 2006, 27, 245–250. [Google Scholar] [CrossRef]
- Gillis, C.T.; Lin, J.S. Use of a Central Splitting Approach and Near Complete Detachment for Insertional Calcific Achilles Tendinopathy Repaired With an Achilles Bridging Suture. J. Foot Ankle Surg. 2016, 55, 235–239. [Google Scholar] [CrossRef]
- Highlander, P.; Greenhagen, R.M. Wound complications with posterior midline and posterior medial leg incisions: A systematic review. Foot Ankle Spec. 2011, 4, 361–369. [Google Scholar] [CrossRef]
- Calder, J.D.F.; Saxby, T.S. Surgical treatment of insertional Achilles tendinosis. Foot Ankle Int. 2003, 24, 119–121. [Google Scholar] [CrossRef]
- Wagner, E.; Gould, J.; Bilen, E.; Fleisig, G.S.; Wilk, K.; Fowler, R. Change in plantarflexion strength after complete detachment and reconstruction of the Achilles tendon. Foot Ankle Int. 2004, 25, 800–804. [Google Scholar] [CrossRef]
- DeVries, J.G.; Summerhays, B.; Guehlstorf, D.W. Surgical correction of Haglund’s triad using complete detachment and reattachment of the Achilles tendon. J. Foot Ankle Surg. 2009, 48, 447–451. [Google Scholar] [CrossRef]
- Maffulli, N.; Testa, V.; Capasso, G.; Sullo, A. Calcific insertional Achilles tendinopathy: Reattachment with bone anchors. Am. J. Sports Med. 2004, 32, 174–182. [Google Scholar] [CrossRef]
- Wagner, E.; Gould, J.S.; Kneidel, M.; Fleisig, G.S.; Fowler, R. Technique and results of Achilles tendon detachment and reconstruction for insertional Achilles tendinosis. Foot Ankle Int. 2006, 27, 677–684. [Google Scholar] [CrossRef]
- Jiang, Y.; Li, Y.; Tao, T.; Li, W.; Zhang, K.; Gui, J.; Ma, Y. The Double-Row Suture Technique: A Better Option for the Treatment of Haglund Syndrome. BioMed Res. Int. 2016, 2016, 1895948. [Google Scholar] [CrossRef] [PubMed]
- Kar, S.; Sauarbh, S.; Digge, V.K. Double row reconstruction of achilles tendon (SpeedBridge technique) for haglund syndrome results in early weight bearing. J. Orthop. 2023, 39, 70–74. [Google Scholar] [CrossRef] [PubMed]
- Lewis, T.L.; Srirangarajan, T.; Patel, A.; Yip, G.C.K.; Hussain, L.; Walker, R.; Singh, S.; Latif, A.; Abbasian, A. Clinical outcomes following surgical management of insertional Achilles tendinopathy using a double-row suture bridge technique with mean two-year follow-up. Eur. J. Orthop. Surg. Traumatol. 2023, 33, 1179–1184. [Google Scholar] [CrossRef] [PubMed]
- Güler, Y.; Birinci, M.; Hakyemez, Ö.S.; Buyukdogan, K.; Çaçan, M.A.; Arslanoglu, F.; Mermerkaya, M.U. Achilles tendon-splitting approach and double-row suture anchor repair for Haglund syndrome. Foot Ankle Surg. 2021, 27, 421–426. [Google Scholar] [CrossRef]
- DeVries, J.G.; Scharer, B.M. Double Row Fixation is More Costly and Does Not Have Clinical Benefit Over Single Anchor for Insertional Achilles Tendon Surgery. J. Foot Ankle Surg. 2023, 62, 618–622. [Google Scholar] [CrossRef]






| Mean | SD | Range | |
|---|---|---|---|
| Age (years) | 53.8 | 8.6 | 42–67 |
| Gender | 3 M–6 F | ||
| BMI (kg/m2) | 24.2 | 5.4 | 18.6–33.6 |
| Side | 3 R–6 L | ||
| Surgical Time (minutes) | 58 | 11 | 40–72 |
| Follow-up (months) | 34.0 | 14.1 | 12–48 |
| Pre-op | 6 Months | 12 Months | p-Value | |
|---|---|---|---|---|
| VAS | 7.4 ± 0.5 | 4.5 ± 1.4 | 1.9 ± 1.2 | p < 0.0001 |
| AOFAS | 60.8 ± 9.7 | 71.6 ± 13.4 | 97.8 ± 5.3 | p < 0.0001 |
| SF-36 | 35.8 ± 3.8 | 66.7 ± 8.9 | 87.2 ± 8.5 | p < 0.0001 |
Disclaimer/Publisher’s Note: The statements, opinions and data contained in all publications are solely those of the individual author(s) and contributor(s) and not of MDPI and/or the editor(s). MDPI and/or the editor(s) disclaim responsibility for any injury to people or property resulting from any ideas, methods, instructions or products referred to in the content. |
© 2025 by the authors. Published by MDPI on behalf of the Lithuanian University of Health Sciences. Licensee MDPI, Basel, Switzerland. This article is an open access article distributed under the terms and conditions of the Creative Commons Attribution (CC BY) license (https://creativecommons.org/licenses/by/4.0/).
Share and Cite
Bevoni, R.; Artioli, E.; Censoni, D.; Di Ponte, M.; Caravelli, S.; Mosca, M. Successful Achilles Tendon Reattachment Using SpeedBridge in Haglund’s Triad Patients. Medicina 2025, 61, 1445. https://doi.org/10.3390/medicina61081445
Bevoni R, Artioli E, Censoni D, Di Ponte M, Caravelli S, Mosca M. Successful Achilles Tendon Reattachment Using SpeedBridge in Haglund’s Triad Patients. Medicina. 2025; 61(8):1445. https://doi.org/10.3390/medicina61081445
Chicago/Turabian StyleBevoni, Roberto, Elena Artioli, Davide Censoni, Marco Di Ponte, Silvio Caravelli, and Massimiliano Mosca. 2025. "Successful Achilles Tendon Reattachment Using SpeedBridge in Haglund’s Triad Patients" Medicina 61, no. 8: 1445. https://doi.org/10.3390/medicina61081445
APA StyleBevoni, R., Artioli, E., Censoni, D., Di Ponte, M., Caravelli, S., & Mosca, M. (2025). Successful Achilles Tendon Reattachment Using SpeedBridge in Haglund’s Triad Patients. Medicina, 61(8), 1445. https://doi.org/10.3390/medicina61081445

