Deep Introspection Regarding Cumulative Prognostic Factors in Liposarcoma and Atypical Lipomatous Tumor
Abstract
1. Introduction
Hypothesis Statement
2. Materials and Methods
2.1. Study Participants
- Study’s limitations
- -
- Sample size and distribution:
- -
- Selection bias:
- -
- Retrospective and cross-sectional design of the study:
- -
- Heterogeneity within tumor grade:
- -
- Potential interobserver variability:
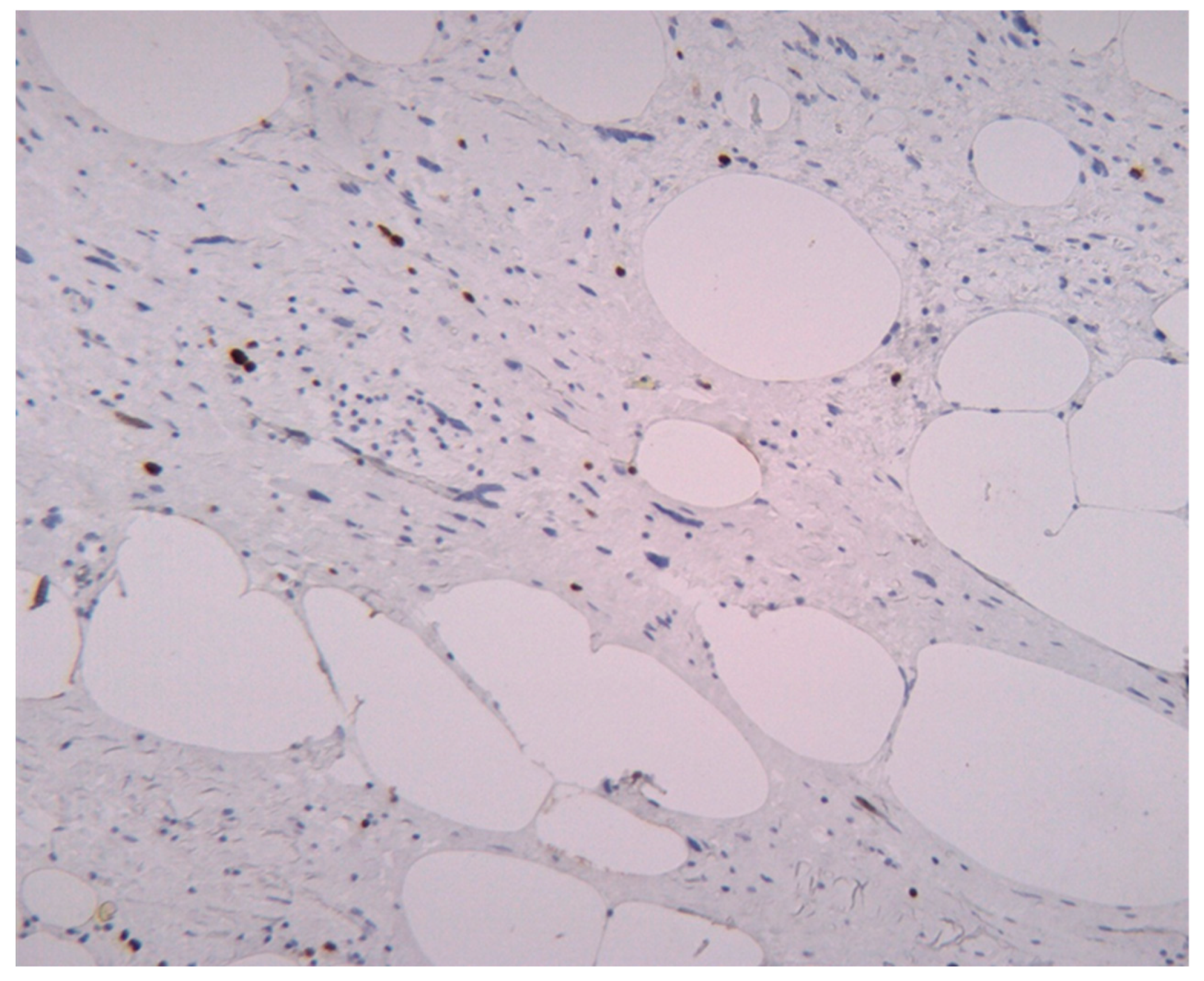
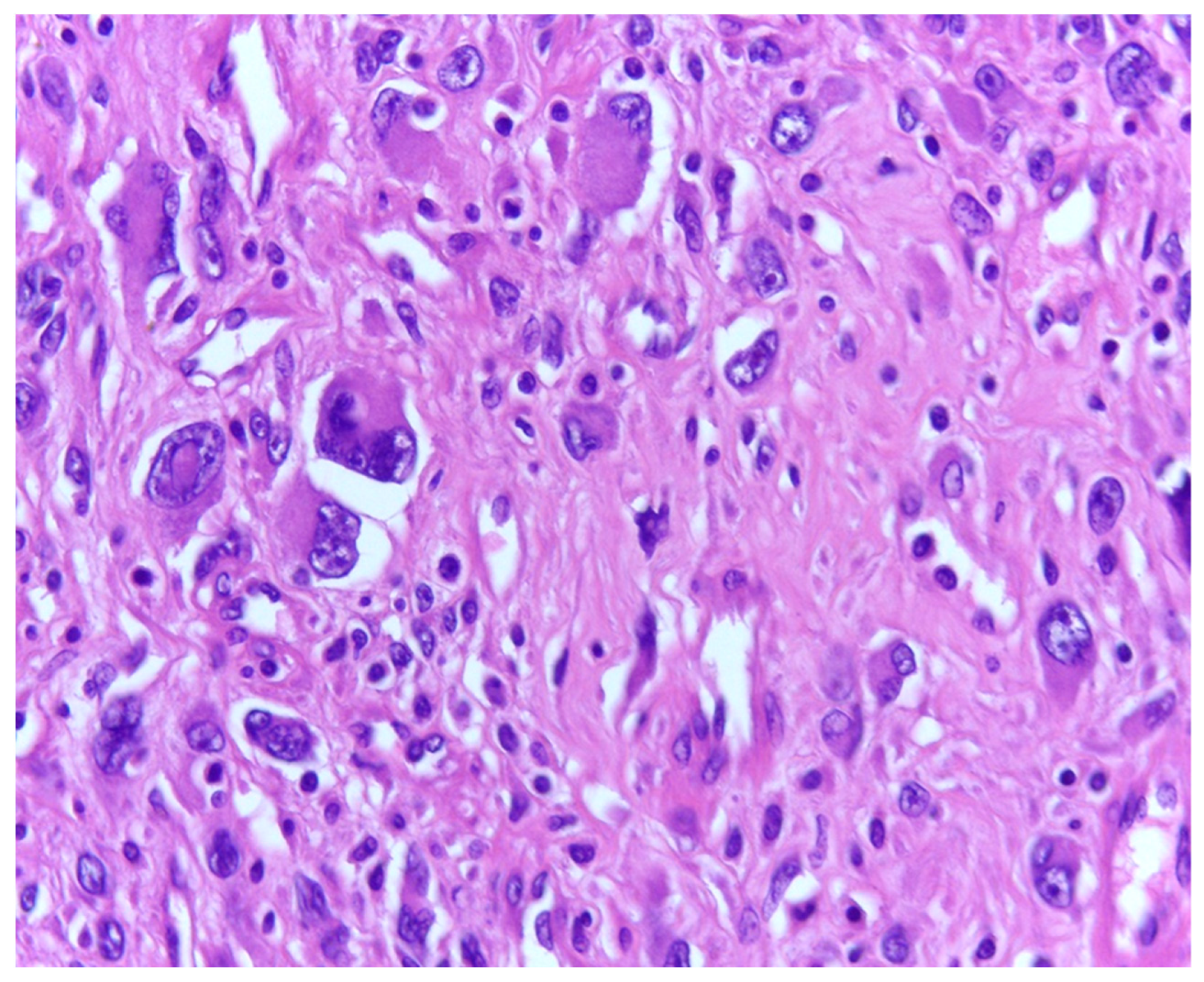
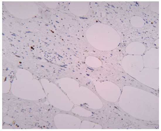
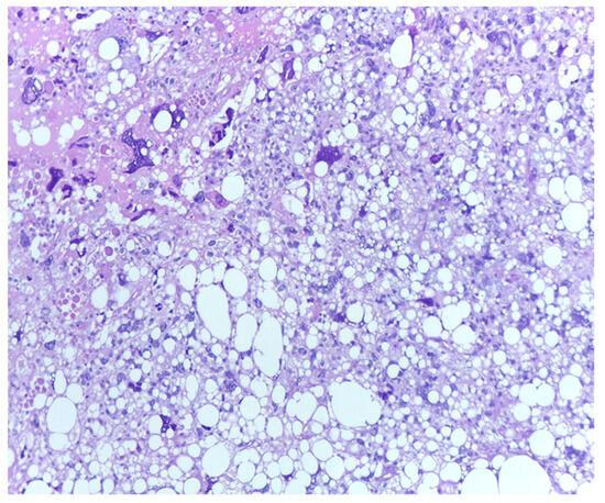
2.2. Clinical, Histopathological and Immunohistochemical Analysis
2.3. Data Collection and Analysis
2.4. Data Availability
3. Results
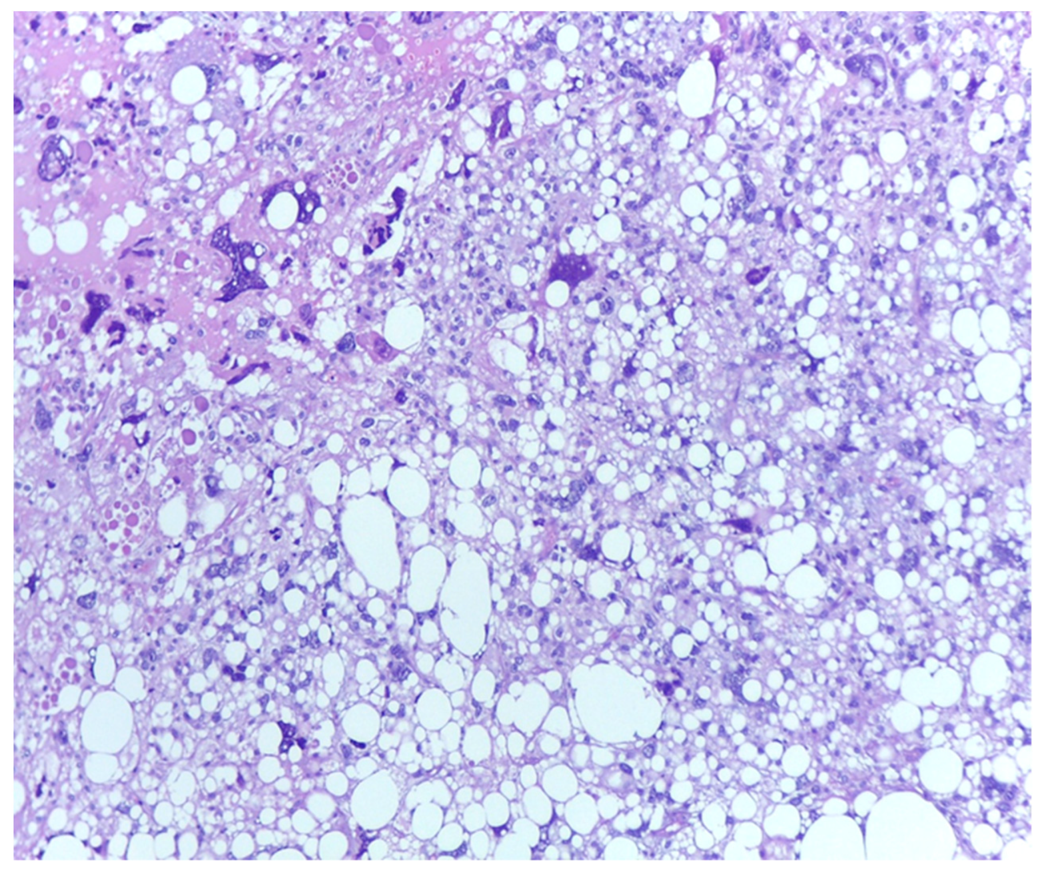
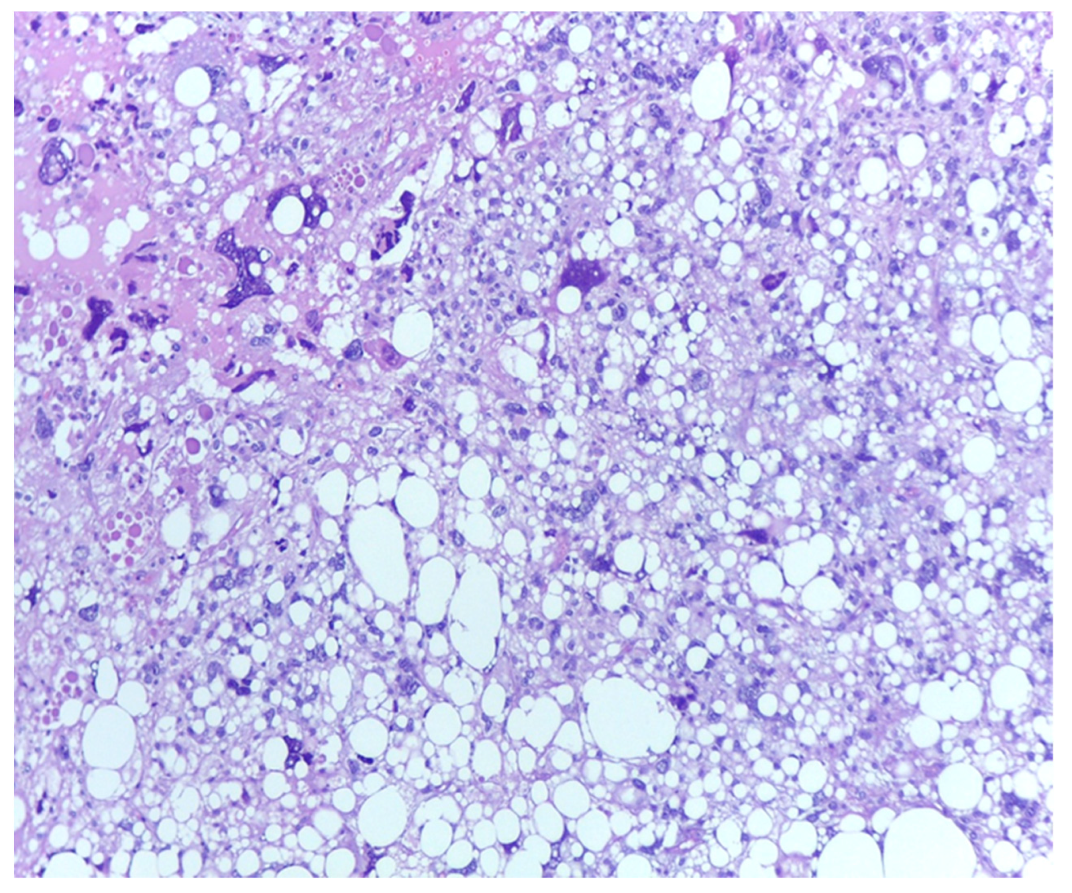
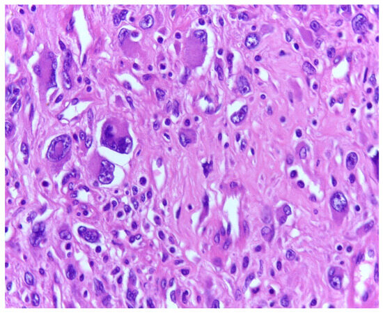
3.1. Tumor Grade
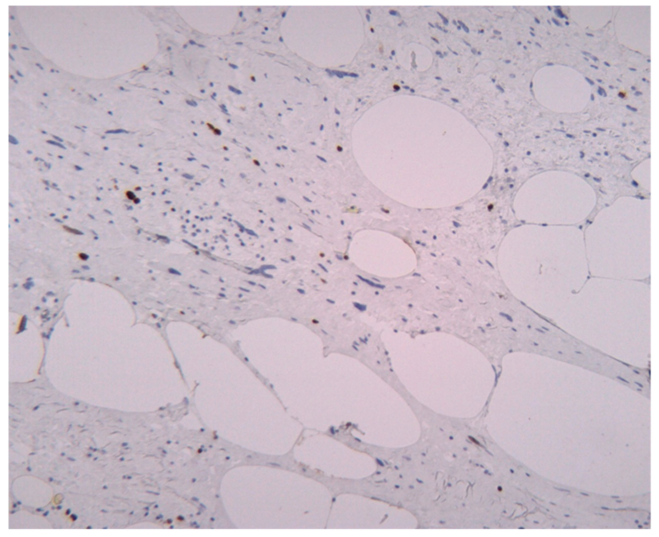
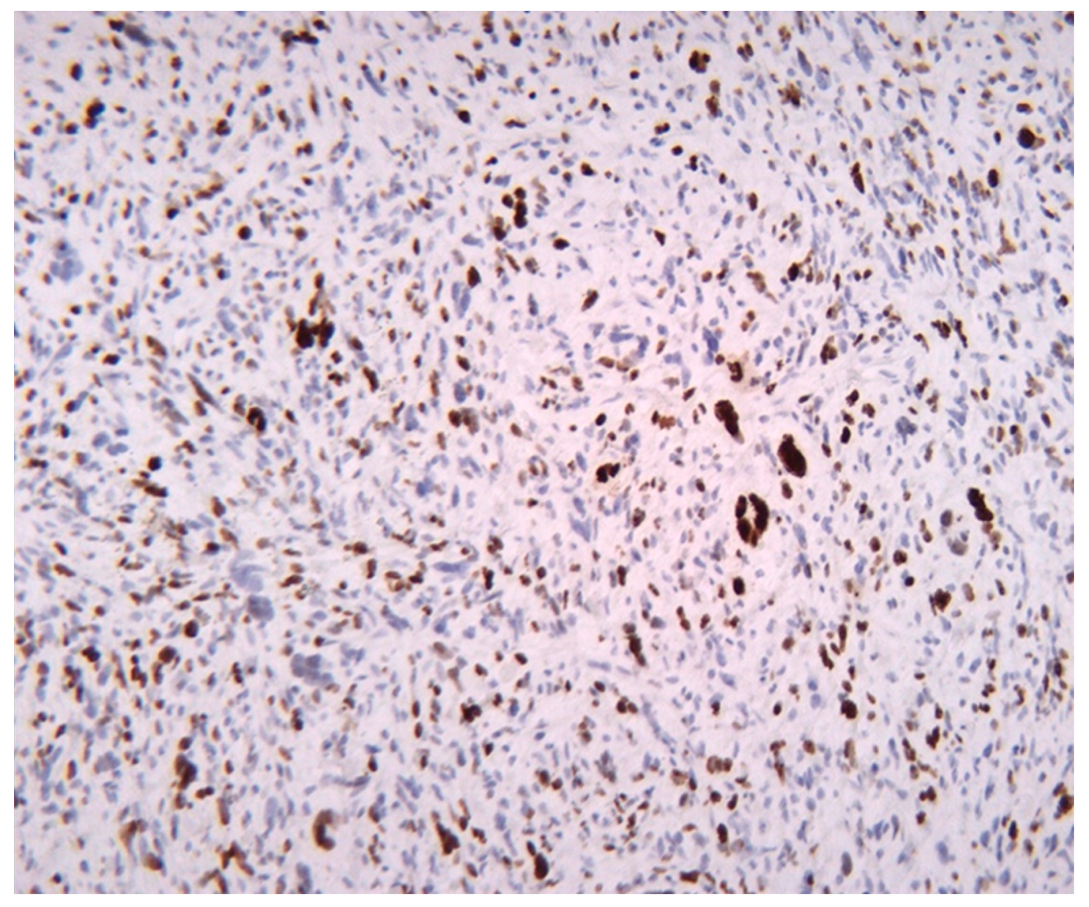
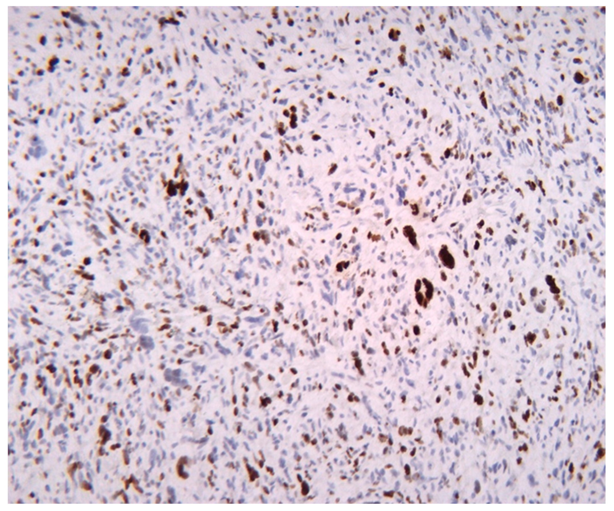
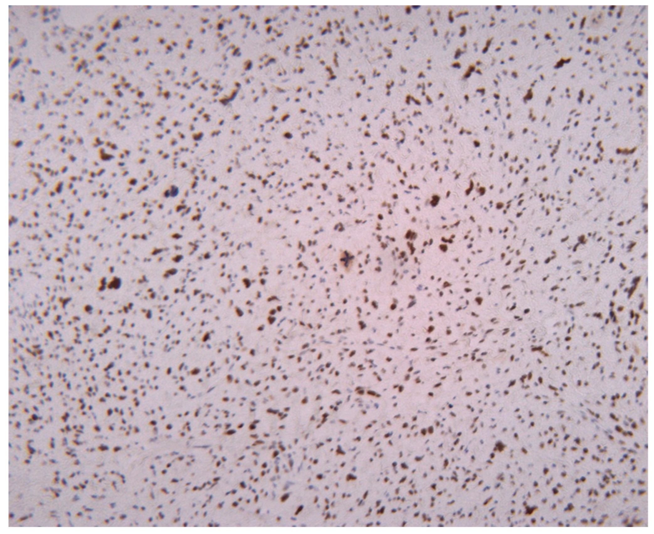
3.2. Proliferative Activity
3.3. Prognostic Value of the LEMON Score in Evaluating Overall Survival in Patients with Malignant Lipomatous Tumors
3.4. Distribution of Liposarcoma Cases by Tumor Grade and LEMON Risk Score
3.5. Distribution of Liposarcoma Tumor Grades by Ki67 Proliferation Index
4. Discussion
5. Conclusions
Author Contributions
Funding
Institutional Review Board Statement
Informed Consent Statement
Data Availability Statement
Conflicts of Interest
References
- Gruel, N.; Quignot, C.; Lesage, L.; El Zein, S.; Bonvalot, S.; Tzanis, D.; Ait Rais, K.; Quinquis, F.; Manciot, B.; Vibert, J.; et al. Cellular origin and clonal evolution of human dedifferentiated liposarcoma. Nat. Commun. 2024, 15, 7941. [Google Scholar] [CrossRef] [PubMed] [PubMed Central]
- Tuzzato, G.; Laranga, R.; Ostetto, F.; Bubbico, E.; Vara, G.; Bianchi, G. Primary High-Grade Myxoid Liposarcoma of the Extremities: Prognostic Factors and Metastatic Pattern. Cancers 2022, 14, 2657. [Google Scholar] [CrossRef] [PubMed] [PubMed Central]
- Siew, C.C.H.; Apte, S.S.; Baia, M.; Gyorki, D.E.; Ford, S.; van Houdt, W.J. Retroperitoneal and Mesenteric Liposarcomas. Surg. Oncol. Clin. N. Am. 2022, 31, 399–417. [Google Scholar] [CrossRef] [PubMed]
- Gronchi, A.; Ferrari, S.; Quagliuolo, V.; Broto, J.M.; Pousa, A.L.; Grignani, G.; Basso, U.; Blay, J.Y.; Tendero, O.; Beveridge, R.D.; et al. Histotype-tailored neoadjuvant chemotherapy versus standard chemotherapy in patients with high-risk soft-tissue sarcomas (ISG-STS 1001): An international, open-label, randomised, controlled, phase 3, multicentre trial. Lancet Oncol. 2017, 18, 812–822, Erratum in Lancet Oncol. 2017, 18, e301. https://doi.org/10.1016/S1470-2045(17)30371-6. [Google Scholar] [CrossRef] [PubMed]
- Imamura, Y.; Tanaka, S.; Yoshizawa, A.; Sakamoto, R.; Date, H. Dedifferentiated liposarcoma lung metastases with different FDG-PET/CT findings. Surg. Case Rep. 2023, 9, 73. [Google Scholar] [CrossRef] [PubMed] [PubMed Central]
- Lee, A.T.J.; Thway, K.; Huang, P.H.; Jones, R.L. Clinical and Molecular Spectrum of Liposarcoma. J. Clin. Oncol. 2018, 36, 151–159. [Google Scholar] [CrossRef] [PubMed] [PubMed Central]
- Dehner, C.A.; Hagemann, I.S.; Chrisinger, J.S.A. Retroperitoneal Dedifferentiated Liposarcoma. Am. J. Clin. Pathol. 2021, 156, 920–925. [Google Scholar] [CrossRef] [PubMed]
- Gjorgova Gjeorgjievski, S.; Thway, K.; Dermawan, J.K.; John, I.; Fisher, C.; Rubin, B.P.; Jenkins, S.; Thangaiah, J.J.; Folpe, A.L.; Fritchie, K.J. Pleomorphic Liposarcoma: A Series of 120 Cases With Emphasis on Morphologic Variants. Am. J. Surg. Pathol. 2022, 46, 1700–1705. [Google Scholar] [CrossRef] [PubMed]
- Ciongariu, A.M.; Țăpoi, D.A.; Dumitru, A.V.; Bejenariu, A.; Marin, A.; Costache, M. Pleomorphic Liposarcoma Unraveled: Investigating Histopathological and Immunohistochemical Markers for Tailored Diagnosis and Therapeutic Innovations. Medicina 2024, 60, 950. [Google Scholar] [CrossRef] [PubMed] [PubMed Central]
- Zhuang, A.; Fang, Y.; Heger, M.; Ma, L.; Xu, J.; Wang, J.; Lu, W.; Tong, H.; Zhou, Y.; Zhang, Y. Tumor grade and symptoms at presentation are survival risk factors in Chinese patients with primary retroperitoneal sarcoma. J. Clin. Transl. Res. 2022, 8, 584–593. [Google Scholar] [PubMed] [PubMed Central]
- Lin, X.; Davion, S.; Bertsch, E.C.; Omar, I.; Nayar, R.; Laskin, W.B. Federation Nationale des Centers de Lutte Contre le Cancer grading of soft tissue sarcomas on needle core biopsies using surrogate markers. Hum. Pathol. 2016, 56, 147–154. [Google Scholar] [CrossRef] [PubMed]
- VanArsdale, T.; Boshoff, C.; Arndt, K.T.; Abraham, R.T. Molecular Pathways: Targeting the Cyclin D-CDK4/6 Axis for Cancer Treatment. Clin. Cancer Res. 2015, 21, 2905–2910. [Google Scholar] [CrossRef] [PubMed]
- Aslam, A.; Din, H.U.; Qadir, A.; Aslam, U.; Humayoun, S.; Ahmed, W. Diagnostic Accuracy of Immunohistochemical Expression of p16, MDM2, and CDK4 in Well-Differentiated and De-Differentiated Liposarcoma in MDM2 Fluorescent in situ Hybridisation Confirmed Cases. J. Coll. Physicians Surg. Pak. 2024, 34, 1051–1055. [Google Scholar] [CrossRef] [PubMed]
- Mariño-Enríquez, A.; Hornick, J.L.; Dal Cin, P.; Cibas, E.S.; Qian, X. Dedifferentiated liposarcoma and pleomorphic liposarcoma: A comparative study of cytomorphology and MDM2/CDK4 expression on fine-needle aspiration. Cancer Cytopathol. 2014, 122, 128–137. [Google Scholar] [CrossRef] [PubMed]
- Mantilla, J.G.; Ricciotti, R.W.; Chen, E.Y.; Liu, Y.J.; Hoch, B.L. Amplification of DNA damage-inducible transcript 3 (DDIT3) is associated with myxoid liposarcoma-like morphology and homologous lipoblastic differentiation in dedifferentiated liposarcoma. Mod. Pathol. 2019, 32, 585–592. [Google Scholar] [CrossRef] [PubMed]
- Yıldırım, S.; Çiftdemir, M.; Ustabaşıoğlu, F.E.; Üstün, F.; Usta, U. Evaluation of the factors affecting survival and local recurrence in thigh soft tissue sarcomas. Jt. Dis. Relat. Surg. 2024, 35, 130–137. [Google Scholar] [CrossRef] [PubMed] [PubMed Central]
- Yamashita, K.; Kohashi, K.; Yamada, Y.; Akatsuka, S.; Ikuta, K.; Nishida, Y.; Toyokuni, S.; Oda, Y. Prognostic significance of the MDM2/HMGA2 ratio and histological tumor grade in dedifferentiated liposarcoma. Genes Chromosom. Cancer 2021, 60, 26–37. [Google Scholar] [CrossRef] [PubMed]
- Ciongariu, A.M.; Țăpoi, D.A.; Dumitru, A.V.; Enache, V.; Marin, A.; Creangă, C.A.; Costache, M. Enhancing Liposarcoma Prognosis—A New Predictive Scoring System Integrating Histopathological Insights. Cancer Manag. Res. 2025, 17, 331–348. [Google Scholar] [CrossRef] [PubMed] [PubMed Central]
- Schöffski, P.; Chawla, S.; Maki, R.G.; Italiano, A.; Gelderblom, H.; Choy, E.; Grignani, G.; Camargo, V.; Bauer, S.; Rha, S.Y.; et al. Eribulin versus dacarbazine in previously treated patients with advanced liposarcoma or leiomyosarcoma: A randomised, open-label, multicentre, phase 3 trial. Lancet 2016, 387, 1629–1637. [Google Scholar] [CrossRef] [PubMed]
- Littau, M.J.; Bunn, C.; Kim, P.; Kulshrestha, S.; Tonelli, C.; Abdelsattar, Z.M.; Luchette, F.A.; Baker, M.S. Low and moderate grade retroperitoneal liposarcoma: Is adjuvant radiotherapy associated with improved survival in patients undergoing R1 resection? Am. J. Surg. 2022, 223, 527–530. [Google Scholar] [CrossRef] [PubMed]
- Nyström, H.; Jönsson, M.; Nilbert, M.; Carneiro, A. Immune-cell infiltration in high-grade soft tissue sarcomas; prognostic implications of tumor-associated macrophages and B-cells. Acta Oncol. 2023, 62, 33–39. [Google Scholar] [CrossRef] [PubMed]
- Suster, D.I.; Suster, S. Liposarcomas of the mediastinum. Mediastinum 2020, 4, 27. [Google Scholar] [CrossRef] [PubMed] [PubMed Central]
- Arthur, A.; Orton, M.R.; Emsley, R.; Vit, S.; Kelly-Morland, C.; Strauss, D.; Lunn, J.; Doran, S.; Lmalem, H.; Nzokirantevye, A.; et al. A CT-based radiomics classification model for the prediction of histological type and tumour grade in retroperitoneal sarcoma (RADSARC-R): A retrospective multicohort analysis. Lancet Oncol. 2023, 24, 1277–1286. [Google Scholar] [CrossRef] [PubMed] [PubMed Central]
- Harazin-Lechowska, A.; Ambroziak-Lackowska, B.; Ryś, J.; Kruczak, A.; Gruchała, A.; Jaszcz-Gruchała, A.; Dańda, D.; Przewoźnik, M.; Halaszka, K. The role of histology, grading, location of tumour and ploidy in evaluation of outcome in patients with liposarcoma. Pol. J. Pathol. 2017, 68, 343–351. [Google Scholar] [CrossRef] [PubMed]
- Zhang, Q.; Li, J.M.; Liu, J.L.; Wei, Y.Z. Evaluation of prognostic factors for liposarcoma. Zhonghua Zhong Liu Za Zhi 2019, 41, 943–948. (In Chinese) [Google Scholar] [CrossRef] [PubMed]
- Knebel, C.; Lenze, U.; Pohlig, F.; Lenze, F.; Harrasser, N.; Suren, C.; Breitenbach, J.; Rechl, H.; von Eisenhart-Rothe, R.; Mühlhofer, H.M.L. Prognostic factors and outcome of Liposarcoma patients: A retrospective evaluation over 15 years. BMC Cancer 2017, 17, 410. [Google Scholar] [CrossRef] [PubMed] [PubMed Central]
- Zhu, M.M.T.; Shenasa, E.; Nielsen, T.O. Sarcomas: Immune biomarker expression and checkpoint inhibitor trials. Cancer Treat. Rev. 2020, 91, 102115. [Google Scholar] [CrossRef] [PubMed]
- Graham, D.S.; Qorbani, A.; Eckardt, M.A.; Klingbeil, K.D.; Chen, L.Y.; Chopra, S.; Eilber, F.C.; Dry, S.M. Does “Low-Grade” Dedifferentiated Liposarcoma Exist? The Role of Mitotic Index in Separating Dedifferentiated Liposarcoma From Cellular Well-differentiated Liposarcoma. Am. J. Surg. Pathol. 2023, 47, 649–660. [Google Scholar] [CrossRef] [PubMed]
- Wu, H.; Sukhanova, M.; Tang, H.; Lu, X.; Zhong, M.; Deshpande, H.; Pollack, S.M.; Laskin, W.B.; Alexiev, B.A. Use of Mitotic Activity and the Size of Any Dedifferentiated Component for Risk Assessment in MDM2-Amplified Liposarcoma. Arch. Pathol. Lab. Med. 2025, 149, 422–430. [Google Scholar] [CrossRef] [PubMed]
- Kouhsari, L.M.; LeBoit, P.E.; McCalmont, T.H.; Hinds, B.; North, J.P. Histopathologic and genetic findings in atypical spindle cell/pleomorphic lipomatous tumors and atypical pleomorphic fibromas. J. Cutan. Pathol. 2022, 49, 623–631. [Google Scholar] [CrossRef] [PubMed]
- Liu, D.N.; Wu, J.H.; Li, Z.W.; Wang, H.Y.; Tian, X.Y.; Hao, C.Y. Preoperative assessment of retroperitoneal Liposarcoma using volume-based 18F-FDG PET/CT: Implications for surgical strategy and prognosis. BMC Med. Imaging 2023, 23, 215. [Google Scholar] [CrossRef] [PubMed] [PubMed Central]
- Machado, I.; Cruz, J.; Righi, A.; Gambarotti, M.; Ferrari, C.; Ruengwanichayakun, P.; Giner, F.; Rausell, N.; Lavernia, J.; Sugita, S.; et al. Ki-67 immunoexpression and radiological assessment of necrosis improves accuracy of conventional and modified core biopsy systems in predicting the final grade assigned to adult-soft tissue sarcomas. An international collaborative study. Pathol. Res. Pract. 2021, 225, 153562. [Google Scholar] [CrossRef] [PubMed]
- Takazawa, A.; Yoshimura, Y.; Okamoto, M.; Tanaka, A.; Kito, M.; Aoki, K.; Uehara, T.; Takahashi, J.; Kato, H.; Nakayama, J. The usefulness of immunohistochemistry for phosphohistone H3 as a prognostic factor in myxoid liposarcoma. Sci. Rep. 2023, 13, 4733. [Google Scholar] [CrossRef] [PubMed] [PubMed Central]
- Sugita, S.; Sugawara, T.; Emori, M.; Aoyama, T.; Hosaka, M.; Segawa, K.; Fujita, H.; Hasegawa, T. Atypical spindle cell/pleomorphic lipomatous tumor with a sarcomatous component showing high mitotic activity and Ki-67 labeling index: Report of a unique case mimicking dedifferentiated liposarcoma. Med. Mol. Morphol. 2022, 55, 323–328. [Google Scholar] [CrossRef] [PubMed]
- Sun, P.; Ma, R.; Liu, G.; Wang, L.; Chang, H.; Li, Y. Pathological prognostic factors of retroperitoneal liposarcoma: Comprehensive clinicopathological analysis of 124 cases. Ann. Transl. Med. 2021, 9, 574. [Google Scholar] [CrossRef] [PubMed] [PubMed Central]
- Jagosky, M.H.; Anderson, C.J.; Symanowski, J.T.; Steuerwald, N.M.; Farhangfar, C.J.; Baldrige, E.A.; Benbow, J.H.; Livingston, M.B.; Patt, J.C.; Ahrens, W.A.; et al. Genomic alterations and clinical outcomes in patients with dedifferentiated liposarcoma. Cancer Med. 2023, 12, 7029–7038. [Google Scholar] [CrossRef] [PubMed] [PubMed Central]
- Zhu, H.; Sun, J.; Wei, S.; Wang, D.; Brandwein, M. Well-Differentiated Laryngeal/Hypopharyngeal Liposarcoma in the MDM2 Era Report of Three Cases and Literature Review. Head Neck Pathol. 2017, 11, 146–151. [Google Scholar] [CrossRef] [PubMed] [PubMed Central]
- Thway, K. Well-differentiated liposarcoma and dedifferentiated liposarcoma: An updated review. Semin. Diagn. Pathol. 2019, 36, 112–121. [Google Scholar] [CrossRef] [PubMed]
- Briski, L.M.; Jorns, J.M. Primary Breast Atypical Lipomatous Tumor/Well-Differentiated Liposarcoma and Dedifferentiated Liposarcoma. Arch. Pathol. Lab. Med. 2018, 142, 268–274. [Google Scholar] [CrossRef] [PubMed]
- Kovatcheva, M.; Liu, D.D.; Dickson, M.A.; Klein, M.E.; O’Connor, R.; Wilder, F.O.; Socci, N.D.; Tap, W.D.; Schwartz, G.K.; Singer, S.; et al. MDM2 turnover and expression of ATRX determine the choice between quiescence and senescence in response to CDK4 inhibition. Oncotarget 2015, 6, 8226–8243. [Google Scholar] [CrossRef] [PubMed] [PubMed Central]
- Perret, R.; Charville, G.W.; Alame, M.; Rebier, F.; Soubeyran, I.; Gross, J.M.; Graham, D.; Green, D.C.; Kerr, D.A.; Khan, W.A.; et al. Atypical Spindle Cell/Pleomorphic Lipomatous Tumor With Sarcomatous Transformation: Clinicopathologic and Molecular Analysis of 4 Cases. Mod. Pathol. 2024, 37, 100454. [Google Scholar] [CrossRef] [PubMed] [PubMed Central]
- Kilpatrick, S.E. Dedifferentiated Liposarcoma: A Comprehensive Historical Review With Proposed Evidence-based Guidelines Regarding a Diagnosis in Need of Further Clarification. Adv. Anat. Pathol. 2021, 28, 426–438. [Google Scholar] [CrossRef] [PubMed]
- MS, A.; K, C.; Bhargavan, R.V.; Somanathan, T.; Subhadradevi, L. An overview on liposarcoma subtypes: Genetic alterations and recent advances in therapeutic strategies. J. Mol. Histol. 2024, 55, 227–240. [Google Scholar] [CrossRef] [PubMed]
- Qu, G.; Zhang, C.; Tian, Z.; Yao, W. Diagnosis and Treatment of Myxoid Liposarcoma. Curr. Treat. Options Oncol. 2024, 25, 1289–1296. [Google Scholar] [CrossRef] [PubMed]
- Zhou, X.P.; Xing, J.P.; Sun, L.B.; Tian, S.Q.; Luo, R.; Liu, W.H.; Song, X.Y.; Gao, S.H. Molecular characteristics and systemic treatment options of liposarcoma: A systematic review. Biomed. Pharmacother. 2024, 178, 117204. [Google Scholar] [CrossRef] [PubMed]
- D’Ambrosio, L.; Van Houdt, W.; Stelmes, J.J.; Gronchi, A. First and further-line multidisciplinary treatment of retroperitoneal sarcomas. Curr. Opin. Oncol. 2022, 34, 328–334. [Google Scholar] [CrossRef] [PubMed]
- Scapa, J.V.; Cloutier, J.M.; Raghavan, S.S.; Peters-Schulze, G.; Varma, S.; Charville, G.W. DDIT3 Immunohistochemistry Is a Useful Tool for the Diagnosis of Myxoid Liposarcoma. Am. J. Surg. Pathol. 2021, 45, 230–239. [Google Scholar] [CrossRef] [PubMed] [PubMed Central]
- Bill, K.L.; Casadei, L.; Prudner, B.C.; Iwenofu, H.; Strohecker, A.M.; Pollock, R.E. Liposarcoma: Molecular targets and therapeutic implications. Cell Mol. Life Sci. 2016, 73, 3711–3718. [Google Scholar] [CrossRef] [PubMed] [PubMed Central]
- Kammerer-Jacquet, S.F.; Thierry, S.; Cabillic, F.; Lannes, M.; Burtin, F.; Henno, S.; Dugay, F.; Bouzillé, G.; Rioux-Leclercq, N.; Belaud-Rotureau, M.A.; et al. Differential diagnosis of atypical lipomatous tumor/well-differentiated liposarcoma and dedifferentiated liposarcoma: Utility of p16 in combination with MDM2 and CDK4 immunohistochemistry. Hum. Pathol. 2017, 59, 34–40. [Google Scholar] [CrossRef] [PubMed]
- Bagaria, S.P.; Gabriel, E.; Mann, G.N. Multiply recurrent retroperitoneal liposarcoma. J. Surg. Oncol. 2018, 117, 62–68. [Google Scholar] [CrossRef] [PubMed]
- Mokfi, R.; Boutaggount, F.; Maskrout, M.; Rais, G. Giant mesenteric myxoid liposarcoma: Challenges of diagnosis and treatment. Radiol. Case Rep. 2022, 17, 4227–4231. [Google Scholar] [CrossRef] [PubMed] [PubMed Central]
- Crago, A.M.; Dickson, M.A. Liposarcoma: Multimodality Management and Future Targeted Therapies. Surg. Oncol. Clin. N. Am. 2016, 25, 761–773. [Google Scholar] [CrossRef] [PubMed] [PubMed Central]
- Lansu, J.; Bovée, J.V.M.G.; Braam, P.; van Boven, H.; Flucke, U.; Bonenkamp, J.J.; Miah, A.B.; Zaidi, S.H.; Thway, K.; Bruland, Ø.S.; et al. Dose Reduction of Preoperative Radiotherapy in Myxoid Liposarcoma: A Nonrandomized Controlled Trial. JAMA Oncol. 2021, 7, e205865. [Google Scholar] [CrossRef] [PubMed] [PubMed Central]
- Dolatabadi, S.; Jonasson, E.; Andersson, L.; Luna Santamaría, M.; Lindén, M.; Österlund, T.; Åman, P.; Ståhlberg, A. FUS-DDIT3 Fusion Oncoprotein Expression Affects JAK-STAT Signaling in Myxoid Liposarcoma. Front. Oncol. 2022, 12, 816894. [Google Scholar] [CrossRef] [PubMed] [PubMed Central]
- Dolatabadi, S.; Jonasson, E.; Lindén, M.; Fereydouni, B.; Bäcksten, K.; Nilsson, M.; Martner, A.; Forootan, A.; Fagman, H.; Landberg, G.; et al. JAK-STAT signalling controls cancer stem cell properties including chemotherapy resistance in myxoid liposarcoma. Int. J. Cancer 2019, 145, 435–449. [Google Scholar] [CrossRef] [PubMed] [PubMed Central]
- Hadjimichael, A.C.; Bekos, A.; Tsukamoto, S.; Nitta, Y.; Righi, A.; Errani, C.; Mavrogenis, A.F. Pleomorphic Liposarcoma Revisited. Orthopedics 2023, 46, e72–e80. [Google Scholar] [CrossRef] [PubMed]
- Fortemps, V.; Kurth, W. L’image du mois. Volumineux liposarcome pléomorphe excorié [Large excoriated pleomorphic liposarcoma]. Rev. Med. Liege. 2023, 78, 601–603. (In French) [Google Scholar] [PubMed]
- Callegaro, D.; Gronchi, A. Radiotherapy in Retroperitoneal Liposarcoma: Are We Looking for an Answer in the Wrong Place? Ann. Surg. Oncol. 2023, 30, 675–677. [Google Scholar] [CrossRef] [PubMed]
- Esaa, F.S.; Hobson, J.G.; Matar, R.N.; Prieto, P.A.; Somers, K.E. Toxic epidermal necrolysis after radiotherapy for pleomorphic liposarcoma. Dermatol. Online J. 2020, 26, 14. [Google Scholar] [CrossRef] [PubMed]
- Somaiah, N.; Tap, W. MDM2-p53 in liposarcoma: The need for targeted therapies with novel mechanisms of action. Cancer Treat. Rev. 2024, 122, 102668. [Google Scholar] [CrossRef] [PubMed]
- Assi, T.; Ngo, C.; Faron, M.; Verret, B.; Lévy, A.; Honoré, C.; Hénon, C.; Le Péchoux, C.; Bahleda, R.; Le Cesne, A. Systemic Therapy in Advanced Pleomorphic Liposarcoma: A Comprehensive Review. Curr. Treat. Options Oncol. 2023, 24, 1598–1613. [Google Scholar] [CrossRef] [PubMed]
- Que, Y.; Zhang, X.L.; Liu, Z.X.; Zhao, J.J.; Pan, Q.Z.; Wen, X.Z.; Xiao, W.; Xu, B.S.; Hong, D.C.; Guo, T.H.; et al. Frequent amplification of HDAC genes and efficacy of HDAC inhibitor chidamide and PD-1 blockade combination in soft tissue sarcoma. J. Immunother. Cancer 2021, 9, e001696. [Google Scholar] [CrossRef] [PubMed] [PubMed Central]
- Tsai, J.W.; Lee, J.C.; Hsieh, T.H.; Huang, S.C.; Lee, P.H.; Liu, T.T.; Kao, Y.C.; Chang, C.D.; Weng, T.F.; Li, C.F.; et al. Adult NTRK-rearranged spindle cell neoplasms of the viscera: With an emphasis on rare locations and heterologous elements. Mod. Pathol. 2022, 35, 911–921. [Google Scholar] [CrossRef] [PubMed]
- Mavroeidis, L.; Napolitano, A.; Huang, P.; Jones, R.L. Novel Therapeutics in Soft Tissue Sarcoma. Cancers 2024, 17, 10. [Google Scholar] [CrossRef] [PubMed] [PubMed Central]













| Statistic for High Risk (6–8) | Statistics for Low Risk (3–5) | |
| Number of patients | 51 | 48 |
| 1-year survival | 56.86% | 62.50% |
| 3-year survival | 27.45% | 39.58% |
| 5-year survival | 11.76% | 22.92% |
| Mean survival (months) | 26.49 | 37.93 |
| Median survival (months) | 17.48 | 15.26 |
Disclaimer/Publisher’s Note: The statements, opinions and data contained in all publications are solely those of the individual author(s) and contributor(s) and not of MDPI and/or the editor(s). MDPI and/or the editor(s) disclaim responsibility for any injury to people or property resulting from any ideas, methods, instructions or products referred to in the content. |
© 2025 by the authors. Published by MDPI on behalf of the Lithuanian University of Health Sciences. Licensee MDPI, Basel, Switzerland. This article is an open access article distributed under the terms and conditions of the Creative Commons Attribution (CC BY) license (https://creativecommons.org/licenses/by/4.0/).
Share and Cite
Ciongariu, A.-M.; Radu, Ș.-Ș.; Dumitru, A.-V.; Cîrstoiu, C.; Enache, V.; Marin, A.; Creangă, C.; Costache, M. Deep Introspection Regarding Cumulative Prognostic Factors in Liposarcoma and Atypical Lipomatous Tumor. Medicina 2025, 61, 1431. https://doi.org/10.3390/medicina61081431
Ciongariu A-M, Radu Ș-Ș, Dumitru A-V, Cîrstoiu C, Enache V, Marin A, Creangă C, Costache M. Deep Introspection Regarding Cumulative Prognostic Factors in Liposarcoma and Atypical Lipomatous Tumor. Medicina. 2025; 61(8):1431. https://doi.org/10.3390/medicina61081431
Chicago/Turabian StyleCiongariu, Ana-Maria, Șerban-Ștefan Radu, Adrian-Vasile Dumitru, Cătălin Cîrstoiu, Valentin Enache, Andrei Marin, Cosmin Creangă, and Mariana Costache. 2025. "Deep Introspection Regarding Cumulative Prognostic Factors in Liposarcoma and Atypical Lipomatous Tumor" Medicina 61, no. 8: 1431. https://doi.org/10.3390/medicina61081431
APA StyleCiongariu, A.-M., Radu, Ș.-Ș., Dumitru, A.-V., Cîrstoiu, C., Enache, V., Marin, A., Creangă, C., & Costache, M. (2025). Deep Introspection Regarding Cumulative Prognostic Factors in Liposarcoma and Atypical Lipomatous Tumor. Medicina, 61(8), 1431. https://doi.org/10.3390/medicina61081431

