The Effect of MicroRNA 21 and MicroRNA 200b Expression on Carcinogenesis in Endometriosis-Associated Ovarian Cancers and Relationship with Clinicopathological Parameters
Abstract
1. Introduction
2. Materials and Methods
2.1. Study Design and Patient Selection
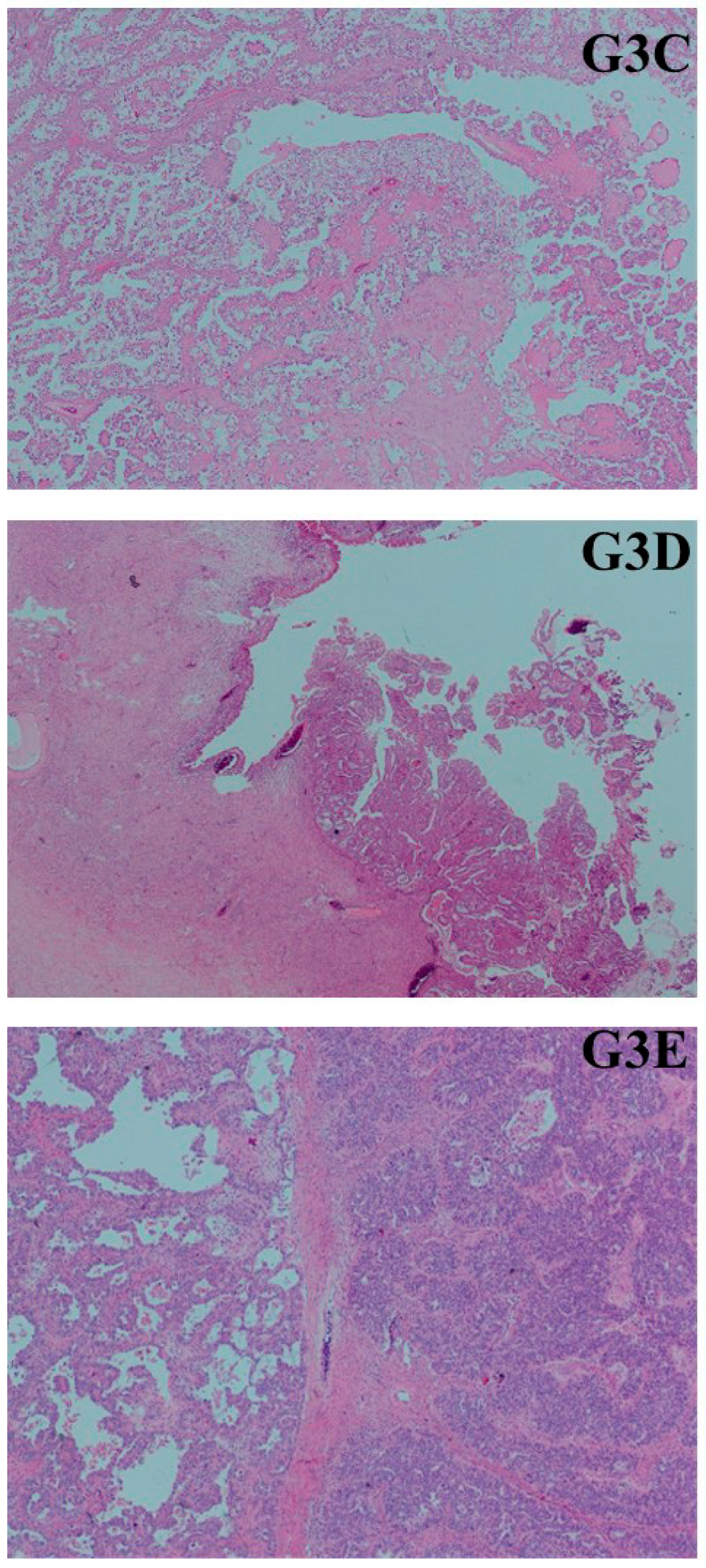
2.2. Histopathological Evaluation and Tissue Sampling Methods
2.3. RNA Isolation and cDNA Synthesis
2.4. Quantitative Real-Time PCR Analysis
2.5. Statistical Analysis
3. Results
3.1. Clinicopathological Findings
3.2. RT-PCR miRNA 21 and miRNA 200b Analysis Findings
4. Discussion
5. Conclusions
Supplementary Materials
Author Contributions
Funding
Institutional Review Board Statement
Informed Consent Statement
Data Availability Statement
Conflicts of Interest
References
- Talu, C.K. MikroRNA’ lar ve mikroRNA’ ların biyobelirteç olarak endometriozis ve endometriozis ilişkili epitelyal over kanserlerindeki rolü. Dokuz Eylül Üniversitesi Tıp Fakültesi Derg. 2021, 35, 401–414. [Google Scholar]
- WHO Classification of Tumours. Female Genital Tumours, 5th ed.; WHO Classification of Tumours Editorial Board: Lyon, France, 2020; ISBN 978-92-832-4504-9. [Google Scholar]
- Matias-Guiu, X.; Stewart, C.J.R. Endometriosis-Associated Ovarian Neoplasia. Pathology 2018, 50, 190–204. [Google Scholar] [CrossRef] [PubMed]
- Agarwal, S.K.; Chapron, C.; Giudice, L.C.; Laufer, M.R.; Leyland, N.; Missmer, S.A.; Singh, S.S.; Taylor, H.S. Clinical Diagnosis of Endometriosis: A Call to Action. Am. J. Obstet. Gynecol. 2019, 220, 354.e1–354.e12. [Google Scholar] [CrossRef] [PubMed]
- Tang, L.; Bian, C. Research Progress in Endometriosis-Associated Ovarian Cancer. Front. Oncol. 2024, 14, 1381244. [Google Scholar] [CrossRef]
- Vannini, I.; Fanini, F.; Fabbri, M. Emerging Roles of microRNAs in Cancer. Curr. Opin. Genet. Dev. 2018, 48, 128–133. [Google Scholar] [CrossRef]
- Menon, A.; Abd-Aziz, N.; Khalid, K.; Poh, C.L.; Naidu, R. miRNA: A Promising Therapeutic Target in Cancer. Int. J. Mol. Sci. 2022, 23, 11502. [Google Scholar] [CrossRef]
- Bhadra, M.; Sachan, M.; Nara, S. Current Strategies for Early Epithelial Ovarian Cancer Detection Using miRNA as a Potential Tool. Front. Mol. Biosci. 2024, 11, 1361601. [Google Scholar] [CrossRef]
- Steinbuch, S.C.; Lüß, A.-M.; Eltrop, S.; Götte, M.; Kiesel, L. Endometriosis-Associated Ovarian Cancer: From Molecular Pathologies to Clinical Relevance. Int. J. Mol. Sci. 2024, 25, 4306. [Google Scholar] [CrossRef]
- Adilbayeva, A.; Kunz, J. Pathogenesis of Endometriosis and Endometriosis-Associated Cancers. Int. J. Mol. Sci. 2024, 25, 7624. [Google Scholar] [CrossRef]
- Suryawanshi, S.; Vlad, A.M.; Lin, H.-M.; Mantia-Smaldone, G.; Laskey, R.; Lee, M.; Lin, Y.; Donnellan, N.; Klein-Patel, M.; Lee, T.; et al. Plasma microRNAs as Novel Biomarkers for Endometriosis and Endometriosis-Associated Ovarian Cancer. Clin. Cancer Res. 2013, 19, 1213–1224. [Google Scholar] [CrossRef]
- Dong, M.; Yang, P.; Hua, F. miR-191 Modulates Malignant Transformation of Endometriosis Through Regulating TIMP3. Med. Sci. Monit. Int. Med. J. Exp. Clin. Res. 2015, 21, 915–920. [Google Scholar] [CrossRef]
- Tian, X.; Xu, L.; Wang, P. MiR-191 Inhibits TNF-α Induced Apoptosis of Ovarian Endometriosis and Endometrioid Carcinoma Cells by Targeting DAPK1. Int. J. Clin. Exp. Pathol. 2015, 8, 4933–4942. [Google Scholar] [PubMed]
- Braicu, O.-L.; Budisan, L.; Buiga, R.; Jurj, A.; Achimas-Cadariu, P.; Pop, L.A.; Braicu, C.; Irimie, A.; Berindan-Neagoe, I. miRNA Expression Profiling in Formalin-Fixed Paraffin-Embedded Endometriosis and Ovarian Cancer Samples. Onco Targets Ther. 2017, 10, 4225–4238. [Google Scholar] [CrossRef]
- Nakamura, N.; Terai, Y.; Nunode, M.; Kokunai, K.; Konishi, H.; Taga, S.; Nakamura, M.; Yoo, M.; Hayashi, M.; Yamashita, Y.; et al. The Differential Expression of miRNAs between Ovarian Endometrioma and Endometriosis-Associated Ovarian Cancer. J. Ovarian Res. 2020, 13, 51. [Google Scholar] [CrossRef]
- Kumari, P.; Sharma, I.; Saha, S.C.; Srinivasan, R.; Minhas, P. Diagnostic Potential of Differentially Regulated microRNAs among Endometriosis, Endometrioid Ovarian Cancer, and Endometrial Cancer. J. Cancer Res. Ther. 2021, 17, 1003–1011. [Google Scholar] [CrossRef] [PubMed]
- Sethi, S.; Sethi, S.; Bluth, M.H. Clinical Implication of MicroRNAs in Molecular Pathology: An Update for 2018. Clin. Lab. Med. 2018, 38, 237–251. [Google Scholar] [CrossRef]
- Prislei, S.; Martinelli, E.; Mariani, M.; Raspaglio, G.; Sieber, S.; Ferrandina, G.; Shahabi, S.; Scambia, G.; Ferlini, C. MiR-200c and HuR in Ovarian Cancer. BMC Cancer 2013, 13, 72. [Google Scholar] [CrossRef]
- Cao, Y.; Jin, Y.; Yu, J.; Wang, J.; Yan, J.; Zhao, Q. Research Progress of Neuroblastoma Related Gene Variations. Oncotarget 2016, 8, 18444–18455. [Google Scholar] [CrossRef]
- Meng, X.; Müller, V.; Milde-Langosch, K.; Trillsch, F.; Pantel, K.; Schwarzenbach, H. Diagnostic and Prognostic Relevance of Circulating Exosomal miR-373, miR-200a, miR-200b and miR-200c in Patients with Epithelial Ovarian Cancer. Oncotarget 2016, 7, 16923–16935. [Google Scholar] [CrossRef]
- Oliveira, D.N.P.; Carlsen, A.L.; Heegaard, N.H.H.; Prahm, K.P.; Christensen, I.J.; Høgdall, C.K.; Høgdall, E.V. Diagnostic Plasma miRNA-Profiles for Ovarian Cancer in Patients with Pelvic Mass. PLoS ONE 2019, 14, e0225249. [Google Scholar] [CrossRef]
- Eggers, J.C.; Martino, V.; Reinbold, R.; Schäfer, S.D.; Kiesel, L.; Starzinski-Powitz, A.; Schüring, A.N.; Kemper, B.; Greve, B.; Götte, M. microRNA miR-200b Affects Proliferation, Invasiveness and Stemness of Endometriotic Cells by Targeting ZEB1, ZEB2 and KLF4. Reprod. Biomed. Online 2016, 32, 434–445. [Google Scholar] [CrossRef] [PubMed]
- Szubert, M.; Nowak-Glück, A.; Domańska-Senderowska, D.; Szymańska, B.; Sowa, P.; Rycerz, A.; Wilczyński, J.R. miRNA Expression Profiles in Ovarian Endometriosis and Two Types of Ovarian Cancer-Endometriosis-Associated Ovarian Cancer and High-Grade Ovarian Cancer. Int. J. Mol. Sci. 2023, 24, 17470. [Google Scholar] [CrossRef] [PubMed]
- Liu, J.; Zhang, X.; Huang, Y.; Zhang, Q.; Zhou, J.; Zhang, X.; Wang, X. miR-200b and miR-200c Co-Contribute to the Cisplatin Sensitivity of Ovarian Cancer Cells by Targeting DNA Methyltransferases. Oncol. Lett. 2019, 17, 1453–1460. [Google Scholar] [CrossRef]
- Ji, K.; Wang, X.; Zhang, A.; Wen, H. Prognostic Value of microRNA-21 in Epithelial Ovarian Carcinoma: A Protocol for Systematic Review and Meta Analysis. Medicine 2020, 99, e23849. [Google Scholar] [CrossRef] [PubMed]
- Qiu, L.; Weng, G. The Diagnostic Value of Serum miR-21 in Patients with Ovarian Cancer: A Systematic Review and Meta-Analysis. J. Ovarian Res. 2022, 15, 51. [Google Scholar] [CrossRef]
- Xu, Y.Z.; Xi, Q.H.; Ge, W.L.; Zhang, X.Q. Identification of Serum microRNA-21 as a Biomarker for Early Detection and Prognosis in Human Epithelial Ovarian Cancer. Asian Pac. J. Cancer Prev. 2013, 14, 1057–1060. [Google Scholar] [CrossRef]
- Ralser, D.J.; Condic, M.; Egger, E.; Koensgen, D.; Mustea, A.; Stope, M.B. Evaluation of the Diagnostic Potential of Circulating MicroRNAs miR-1 and miR-21 in Patients With Ovarian Cancer. Anticancer Res. 2022, 42, 5839–5845. [Google Scholar] [CrossRef]
- Zoughi, S.; Faridbod, F.; Moradi, S. Rapid Enzyme-Free Detection of miRNA-21 in Human Ovarian Cancerous Cells Using a Fluorescent Nanobiosensor Designed Based on Hairpin DNA-Templated Silver Nanoclusters. Anal. Chim. Acta 2024, 1320, 342968. [Google Scholar] [CrossRef]




| Groups | Mean Age | Tissue | Mean miR-21 Expression (Fold Change) | Mean miR-200b Expression (Fold Change) |
|---|---|---|---|---|
| Group 1 | 54 | Eutopic endometrium | 22.19 | 0.005 |
| Group 2 | 43.6 | Eutopic endometrium | 0.18 | 0.009 |
| Endometriosis | 14.77 | 0.055 | ||
| Group 3 | 50.5 | Eutopic endometrium | 141.84 | 0.086 |
| Endometriosis | 74.84 | 0.011 | ||
| Cancer foci | 292.32 | 0.019 |
| Author, Reference No. | Material | Number of Cases, Material | miRNA Levels Detected in Cancer Tissue |
|---|---|---|---|
| Suryavanshi, S., 2013 [11] | Plasma | 14 EOC, 33 Endometriosis, 20 Healthy Controls | Increased levels: miR-15b, miR-16, miR-21, miR-195 |
| Dong, M., 2015 [12] | Serum and Tissue | 12 EOC, 12 Endometriosis, 12 Healthy Controls | Increased levels: miR-191 |
| Tian, X., 2015 [13] | Tissue | 10 EOC, 10 Ovarian Endometrioma, 10 Healthy Controls | Increased levels: miR-191 |
| Braicu, O.L., 2017 [14] | Tissue | 8 EOC (Endometrioid Ca), 9 Endometriosis, 5 Healthy Control Ovarian Tissues | Decreased levels: miR-200b |
| Nakamura, N., 2020 [15] | Serum and Ascitic Fluid | 7 EOC (4 Endometrioid Ca, 3 Clear Cell Ca), 34 Ovarian Endometrioma | Increased levels: miR-486-5p |
| Kumari, P., 2021 [16] | Tissue | 10 Endometriosis, 10 Endometrioid-Type Ovarian Ca, 10 Healthy Control Tissues | Increased levels: miR-99b, miR-125a, miR-143, miR-145 Decreased levels: miR-16, miR-20a |
Disclaimer/Publisher’s Note: The statements, opinions and data contained in all publications are solely those of the individual author(s) and contributor(s) and not of MDPI and/or the editor(s). MDPI and/or the editor(s) disclaim responsibility for any injury to people or property resulting from any ideas, methods, instructions or products referred to in the content. |
© 2025 by the authors. Published by MDPI on behalf of the Lithuanian University of Health Sciences. Licensee MDPI, Basel, Switzerland. This article is an open access article distributed under the terms and conditions of the Creative Commons Attribution (CC BY) license (https://creativecommons.org/licenses/by/4.0/).
Share and Cite
Talu, E.C.K.; Ulukuş, E.Ç.; Çakır, Y.; Durak, M.G.; Bayramoğlu, Z.; Timur, H.T.; Kurt, S.; Özdemir, S.M.; Aktaş, S. The Effect of MicroRNA 21 and MicroRNA 200b Expression on Carcinogenesis in Endometriosis-Associated Ovarian Cancers and Relationship with Clinicopathological Parameters. Medicina 2025, 61, 1035. https://doi.org/10.3390/medicina61061035
Talu ECK, Ulukuş EÇ, Çakır Y, Durak MG, Bayramoğlu Z, Timur HT, Kurt S, Özdemir SM, Aktaş S. The Effect of MicroRNA 21 and MicroRNA 200b Expression on Carcinogenesis in Endometriosis-Associated Ovarian Cancers and Relationship with Clinicopathological Parameters. Medicina. 2025; 61(6):1035. https://doi.org/10.3390/medicina61061035
Chicago/Turabian StyleTalu, Esra Canan Kelten, Emine Çağnur Ulukuş, Yasemin Çakır, Merih Güray Durak, Zeynep Bayramoğlu, Hikmet Tunç Timur, Sefa Kurt, Sefai Merve Özdemir, and Safiye Aktaş. 2025. "The Effect of MicroRNA 21 and MicroRNA 200b Expression on Carcinogenesis in Endometriosis-Associated Ovarian Cancers and Relationship with Clinicopathological Parameters" Medicina 61, no. 6: 1035. https://doi.org/10.3390/medicina61061035
APA StyleTalu, E. C. K., Ulukuş, E. Ç., Çakır, Y., Durak, M. G., Bayramoğlu, Z., Timur, H. T., Kurt, S., Özdemir, S. M., & Aktaş, S. (2025). The Effect of MicroRNA 21 and MicroRNA 200b Expression on Carcinogenesis in Endometriosis-Associated Ovarian Cancers and Relationship with Clinicopathological Parameters. Medicina, 61(6), 1035. https://doi.org/10.3390/medicina61061035

