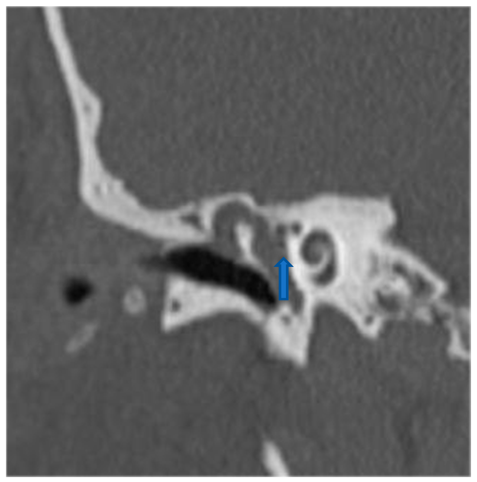
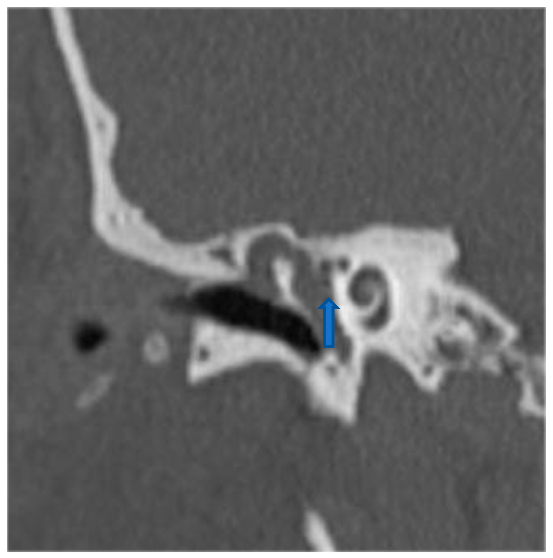
Intraoperative Management of Lateral Semicircular Canal Fistula in Cholesteatoma Surgery: Retrospective Case Series and Audiovestibular Follow-Up
Abstract
Share and Cite
Zica, M.D.; Voiosu, C.; Rusescu, A.; Ionita, I.; Gherasie, L.M.; Alius, O.R.; Branovici, A.B.; Hainarosie, R.; Zainea, V. Intraoperative Management of Lateral Semicircular Canal Fistula in Cholesteatoma Surgery: Retrospective Case Series and Audiovestibular Follow-Up. Medicina 2025, 61, 2144. https://doi.org/10.3390/medicina61122144
Zica MD, Voiosu C, Rusescu A, Ionita I, Gherasie LM, Alius OR, Branovici AB, Hainarosie R, Zainea V. Intraoperative Management of Lateral Semicircular Canal Fistula in Cholesteatoma Surgery: Retrospective Case Series and Audiovestibular Follow-Up. Medicina. 2025; 61(12):2144. https://doi.org/10.3390/medicina61122144
Chicago/Turabian StyleZica, Maria Denisa, Catalina Voiosu, Andreea Rusescu, Irina Ionita, Luana Maria Gherasie, Oana Ruxandra Alius, Alexandra Bizdu Branovici, Razvan Hainarosie, and Viorel Zainea. 2025. "Intraoperative Management of Lateral Semicircular Canal Fistula in Cholesteatoma Surgery: Retrospective Case Series and Audiovestibular Follow-Up" Medicina 61, no. 12: 2144. https://doi.org/10.3390/medicina61122144
APA StyleZica, M. D., Voiosu, C., Rusescu, A., Ionita, I., Gherasie, L. M., Alius, O. R., Branovici, A. B., Hainarosie, R., & Zainea, V. (2025). Intraoperative Management of Lateral Semicircular Canal Fistula in Cholesteatoma Surgery: Retrospective Case Series and Audiovestibular Follow-Up. Medicina, 61(12), 2144. https://doi.org/10.3390/medicina61122144

