An Ovarian Sertoli–Leydig Cell Tumor with Elevated Alpha-Fetoprotein in an Adolescent: A Rare Case Report and Literature Review
Abstract
1. Introduction
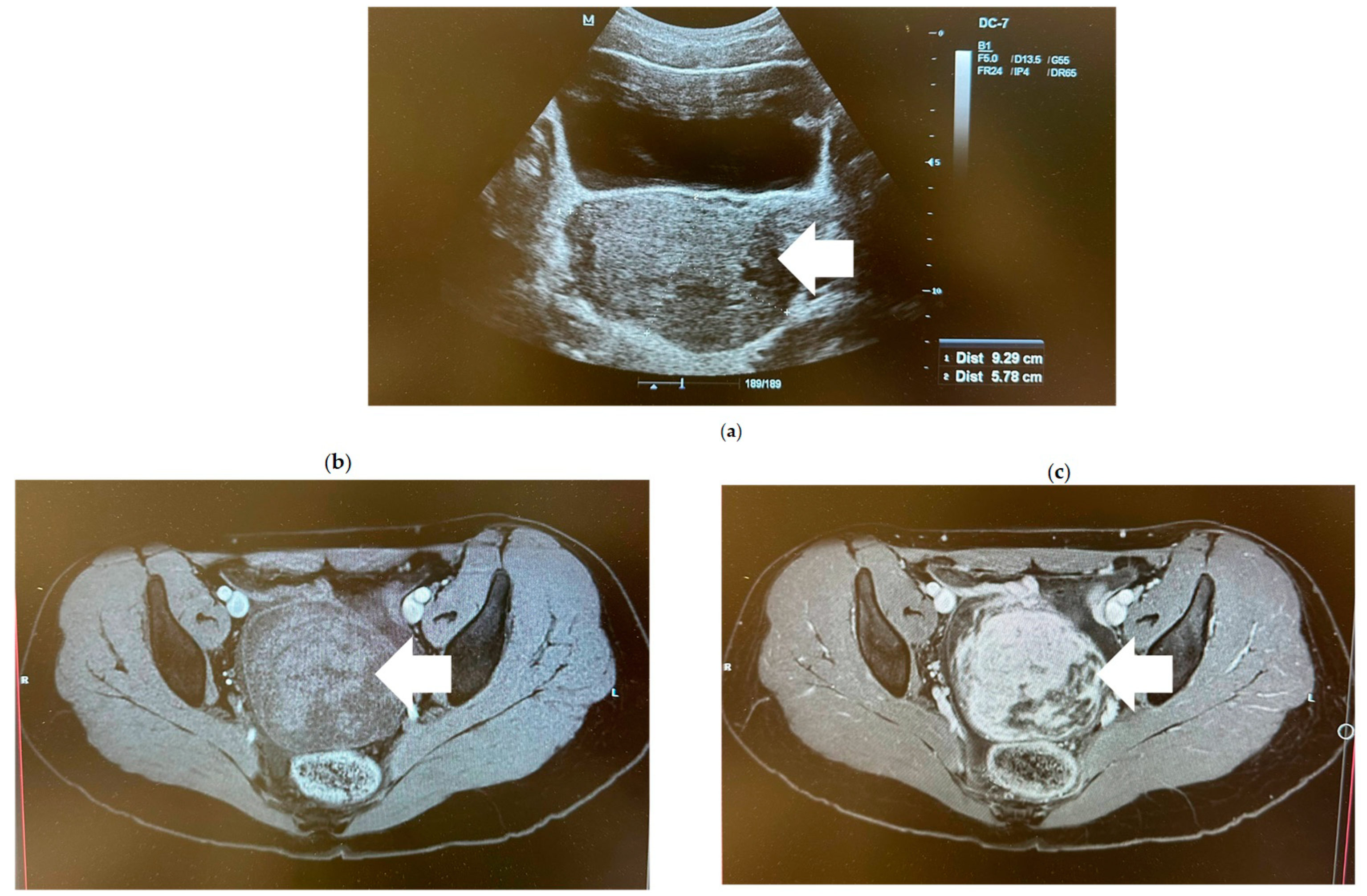
2. Case Report
3. Discussion and Review of the Literature
3.1. Clinical Features of Ovarian Sertoli–Leydig Cell Tumor
3.2. Laboratory Findings, Tumor Macroscopic and Histological Features, and Differential Diagnosis
3.3. Genetics
3.4. Treatment
3.5. Prognostic Factors and Follow-Up
4. Conclusions
Author Contributions
Funding
Institutional Review Board Statement
Informed Consent Statement
Data Availability Statement
Conflicts of Interest
References
- Zhang, H.Y.; Zhu, J.E.; Huang, W.; Zhu, J. Clinicopathologic features of ovarian Sertoli-Leydig cell tumors. Int. J. Clin. Exp. Pathol. 2014, 7, 6956. [Google Scholar]
- Pathology Outlines—Sertoli-Leydig Cell Tumor. Available online: https://www.pathologyoutlines.com/topic/ovarytumorsertolileydig.html (accessed on 6 November 2023).
- Pommert, L.; Bradley, W. Pediatric Gynecologic Cancers. Curr. Oncol. Rep. 2017, 19, 44. [Google Scholar] [CrossRef]
- Melero Cortés, L.M.; Martínez Maestre, M.Á.; Vieites Pérez-Quintela, M.B.; Gambadauro, P. Ovarian Sertoli–Leydig cell tumours: How typical is their typical presentation? J. Obstet. Gynaecol. 2017, 37, 655–659. [Google Scholar] [CrossRef]
- Hanley, K.Z.; Mosunjac, M.B. Practical Review of Ovarian Sex Cord–Stromal Tumors. Surg. Pathol. Clin. 2019, 12, 587–620. [Google Scholar] [CrossRef]
- Akman, L.; Ertas, I.E.; Gokcu, M.; Terek, M.C.; Sanci, M.; Sanli, U.; Zekioglu, O.; Ozsaran, A.A. Ovarian sertoli-leydig cell tumors: A multicenter long-term clinicopathological analysis of 27 patients. J. Cancer Res. Ther. 2016, 12, 290–294. [Google Scholar] [CrossRef] [PubMed]
- Schneider, D.T.; Orbach, D.; Cecchetto, G.; Stachowicz-Stencel, T.; Brummel, B.; Brecht, I.B.; Bisogno, G.; Ferrari, A.; Reguerre, Y.; Godzinski, J.; et al. Ovarian Sertoli Leydig cell tumours in children and adolescents: An analysis of the European Cooperative Study Group on Pediatric Rare Tumors (EXPeRT). Eur. J. Cancer 2015, 51, 543–550. [Google Scholar] [CrossRef] [PubMed]
- Durmuş, Y.; Kılıç, Ç.; Çakır, C.; Yüksel, D.; Boran, N.; Karalök, A.; Boyraz, G.; Turan, A.T. Sertoli–Leydig cell tumor of the ovary: Analysis of a single institution database and review of the literature. J. Obstet. Gynaecol. Res. 2019, 45, 1311–1318. [Google Scholar] [CrossRef] [PubMed]
- Xu, Q.; Zou, Y.; Zhang, X.F. Sertoli–Leydig cell tumors of ovary A case series. Medicine 2018, 97, e12865. [Google Scholar]
- Yuan, Z.; Huo, X.; Jiang, D.; Yu, M.; Cao, D.; Wu, H.; Shen, K.; Yang, J.; Zhang, Y.; Zhou, H.; et al. Clinical Characteristics and Mutation Analyses of Ovarian Sertoli-Leydig Cell Tumors. Oncologist 2020, 25, e1396–e1405. [Google Scholar] [CrossRef]
- Rabban, J.T.; Karnezis, A.N.; Devine, W.P. Practical roles for molecular diagnostic testing in ovarian adult granulosa cell tumour, Sertoli–Leydig cell tumour, microcystic stromal tumour and their mimics. Histopathology 2020, 76, 11–24. [Google Scholar] [CrossRef]
- Karnezis, A.N.; Wang, Y.; Keul, J.; Tessier-Cloutier, B.; Magrill, J.; Kommoss, S.; Senz, J.; Yang, W.; Proctor, L.; Schmidt, D.; et al. DICER1 and FOXL2 Mutation Status Correlates with Clinicopathologic Features in Ovarian Sertoli-Leydig Cell Tumors. Am. J. Surg. Pathol. 2019, 43, 628–638. [Google Scholar] [CrossRef] [PubMed]
- Guo, Y.; Wang, J.; Li, Y.; Wang, Y. Ovarian Sertoli-Leydig cell tumors: An analysis of 13 cases. Arch. Gynecol. Obstet. 2020, 302, 203–208. [Google Scholar] [CrossRef] [PubMed]
- de Kock, L.; Terzic, T.; McCluggage, W.G.; Stewart, C.J.; Shaw, P.; Foulkes, W.D.; Clarke, B.A. DICER1 Mutations are Consistently Present in Moderately and Poorly Differentiated Sertoli-Leydig Cell Tumors. Am. J. Surg. Pathol. 2017, 41, 1178–1187. [Google Scholar] [CrossRef] [PubMed]
- Kato, N.; Kusumi, T.; Kamataki, A.; Tsunoda, R.; Fukase, M.; Kurose, A. DICER1 hotspot mutations in ovarian Sertoli-Leydig cell tumors: A potential association with androgenic effects. Hum. Pathol. 2017, 59, 41–47. [Google Scholar] [CrossRef] [PubMed]
- El-Bahrawy, M. Alpha-fetoprotein-producing non-germ cell tumours of the female genital tract. Eur. J. Cancer 2010, 46, 1317–1322. [Google Scholar] [CrossRef] [PubMed]
- Gouy, S.; Arfi, A.; Maulard, A.; Pautier, P.; Bentivegna, E.; Leary, A.; Chargari, C.; Genestie, C.; Morice, P. Results from a Monocentric Long-Term Analysis of 23 Patients with Ovarian Sertoli-Leydig Cell Tumors. Oncologist 2019, 24, 702–709. [Google Scholar] [CrossRef]
- Nasioudis, D.; Mastroyannis, S.A.; FHaggerty, A.; M Ko, E.; Latif, N.A. Ovarian Sertoli-Leydig and granulosa cell tumor: Comparison of epidemiology and survival outcomes. Arch. Gynecol. Obstet. 2020, 302, 481–486. [Google Scholar] [CrossRef]
- Ray-Coquard, I.; Morice, P.; Lorusso, D.; Prat, J.; Oaknin, A.; Pautier, P.; Colombo, N. Non-epithelial ovarian cancer: ESMO Clinical Practice Guidelines for diagnosis, treatment and follow-up. Ann. Oncol. 2018, 29, iv1–iv18. [Google Scholar] [CrossRef]
- Jeon, Y.; Choi, Y.S.; Jang, E.S.; Kim, J.W.; Jeong, S.H. Persistent α-fetoprotein elevation in healthy adults and mutational analysis of a-fetoprotein promoter, enhancer, and silencer regions. Gut Liver 2017, 11, 136–141. [Google Scholar] [CrossRef]
- Pathology Outlines—Yolk Sac Tumor. Available online: https://www.pathologyoutlines.com/topic/ovarytumoryolksac.html (accessed on 6 November 2023).
- Serife, K.; Karampelas, S.; Hottat, N.; Devalck, C.; Vanden Houte, K. 15-Year-Old Patient with an Unusual Alpha-Fetoprotein-Producing Sertoli-Leydig Cell Tumor of Ovary. Case Rep. Obstet. Gynecol. 2022, 2022, 4759826. [Google Scholar] [CrossRef]
- Yang, B.; Chour, W.; Guardado Salazar, C.; Zamiara, P.; Schmidt, R.J.; Raca, G.; Shillingford, N.; Zhou, S.; Warren, M.; Parham, D.M.; et al. Pediatric Sertoli-Leydig Cell Tumors of the Ovary: An Integrated Study of Clinicopathological Features, Pan-cancer-Targeted Next-generation Sequencing and Chromosomal Microarray Analysis From a Single Institution. Am. J. Surg. Pathol. 2024, 48, 194–203. [Google Scholar] [CrossRef] [PubMed]
- Brown, J.; Sood, A.K.; Deavers, M.T.; Milojevic, L.; Gershenson, D.M. Patterns of metastasis in sex cord-stromal tumors of the ovary: Can routine staging lymphadenectomy be omitted? Gynecol. Oncol. 2009, 113, 86–90. [Google Scholar] [CrossRef] [PubMed]
- Thrall, M.M.; Paley, P.; Pizer, E.; Garcia, R.; Goff, B.A. Patterns of spread and recurrence of sex cord-stromal tumors of the ovary. Gynecol. Oncol. 2011, 122, 242–245. [Google Scholar] [CrossRef] [PubMed]





| Yolk Sac Ovarian Tumor | Sertoli–Leydig Ovarian Tumor | |
|---|---|---|
| Clinical presentation | Acute abdomen, ovarian torsion, precocious puberty, abdominal pain or distention, palpable mass | Pelvic pain, pelvic mass, androgen-excess manifestations, estrogen-excess manifestations (rare) |
| Hormonal activity | - | Androgenic, estrogenic (rare) |
| Behavior | Malignant | Correlates with tumor grade and histologic subtype |
| Serum markers | Alpha fetoprotein (AFP) | Elevated testosterone (+/−), Alpha fetoprotein (AFP) (rare) |
| Immunohistochemical marker | SALL4 (+), AFP (+), | Inhibin (+), calretinin (+), SF1 (+), AFP (+/−), SALL4 (−) |
Disclaimer/Publisher’s Note: The statements, opinions and data contained in all publications are solely those of the individual author(s) and contributor(s) and not of MDPI and/or the editor(s). MDPI and/or the editor(s) disclaim responsibility for any injury to people or property resulting from any ideas, methods, instructions or products referred to in the content. |
© 2024 by the authors. Published by MDPI on behalf of the Lithuanian University of Health Sciences. Licensee MDPI, Basel, Switzerland. This article is an open access article distributed under the terms and conditions of the Creative Commons Attribution (CC BY) license (https://creativecommons.org/licenses/by/4.0/).
Share and Cite
Žilinskienė, G.; Bužinskienė, D.; Šidlovska, E.; Rudaitis, V. An Ovarian Sertoli–Leydig Cell Tumor with Elevated Alpha-Fetoprotein in an Adolescent: A Rare Case Report and Literature Review. Medicina 2024, 60, 1477. https://doi.org/10.3390/medicina60091477
Žilinskienė G, Bužinskienė D, Šidlovska E, Rudaitis V. An Ovarian Sertoli–Leydig Cell Tumor with Elevated Alpha-Fetoprotein in an Adolescent: A Rare Case Report and Literature Review. Medicina. 2024; 60(9):1477. https://doi.org/10.3390/medicina60091477
Chicago/Turabian StyleŽilinskienė, Gabija, Diana Bužinskienė, Evelina Šidlovska, and Vilius Rudaitis. 2024. "An Ovarian Sertoli–Leydig Cell Tumor with Elevated Alpha-Fetoprotein in an Adolescent: A Rare Case Report and Literature Review" Medicina 60, no. 9: 1477. https://doi.org/10.3390/medicina60091477
APA StyleŽilinskienė, G., Bužinskienė, D., Šidlovska, E., & Rudaitis, V. (2024). An Ovarian Sertoli–Leydig Cell Tumor with Elevated Alpha-Fetoprotein in an Adolescent: A Rare Case Report and Literature Review. Medicina, 60(9), 1477. https://doi.org/10.3390/medicina60091477

