Early Prediction and Streamline of Nucleophosmin Mutation Status in Acute Myeloid Leukemia Using Cup-Like Nuclear Morphology
Abstract
1. Introduction
2. Materials and Methods
2.1. Patients
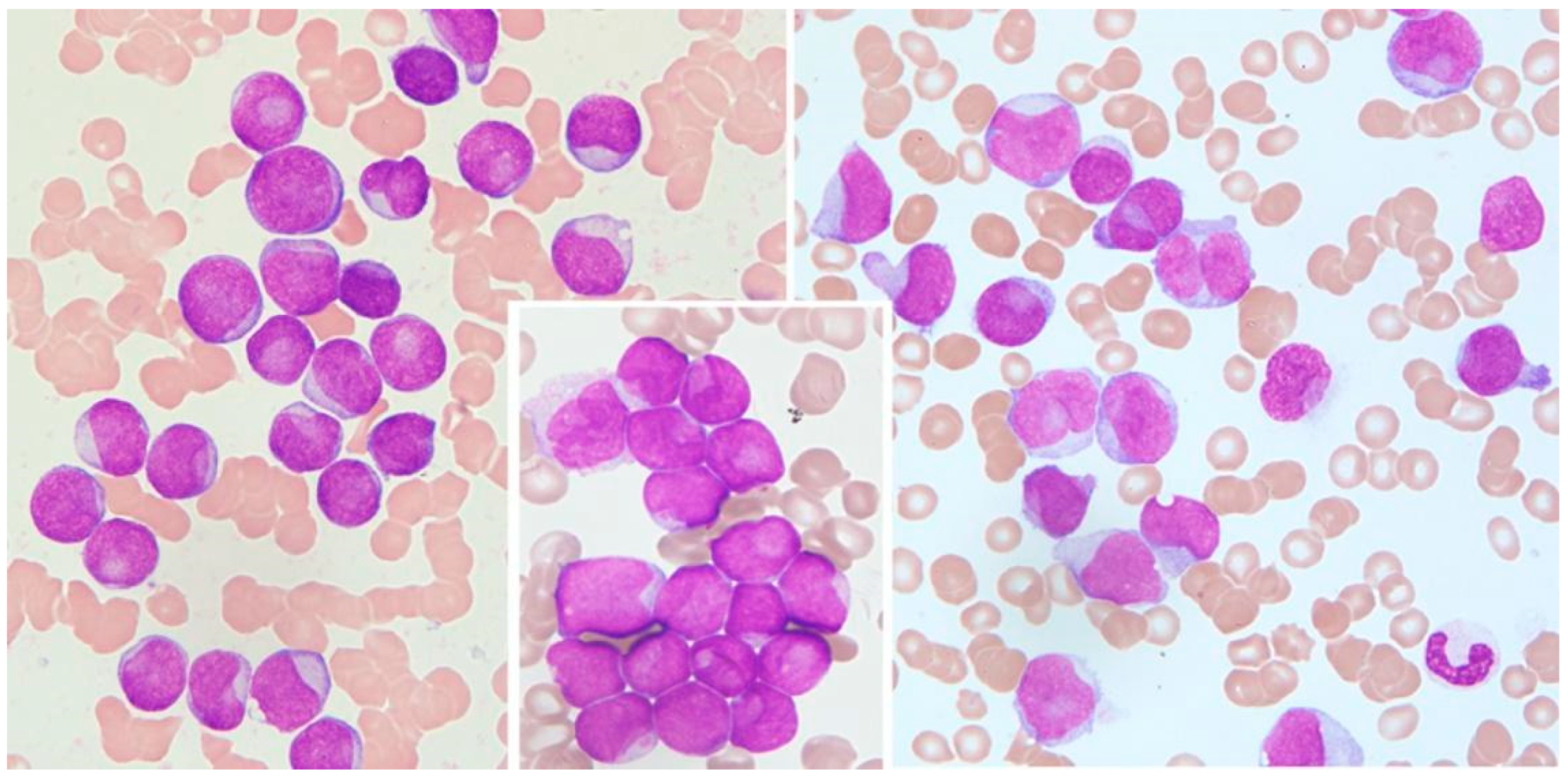
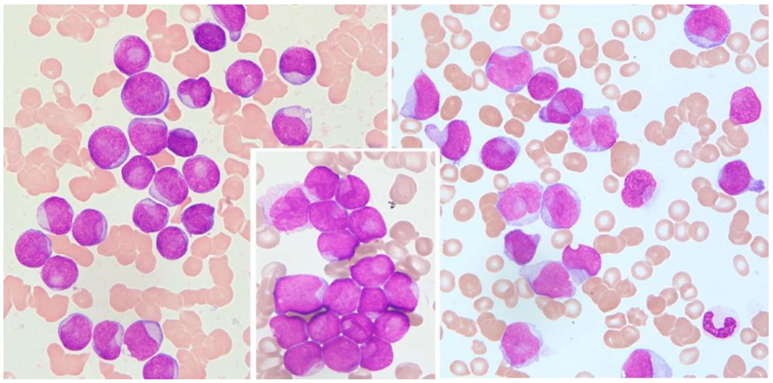
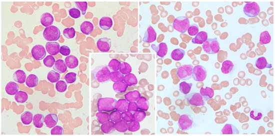
2.2. Cytomorphological Analysis
2.3. Immunophenotyping by Flow Cytometry, Molecular, and Genetic Analysis
2.4. Statistical Methods
3. Results
3.1. Correlation between CLB and NPM1 Mutation
3.2. Correlation between CLB and Leukemia Biology
3.3. Correlation between CLB and Different Hematological Characteristics
4. Discussion
5. Conclusions
Author Contributions
Funding
Institutional Review Board Statement
Informed Consent Statement
Data Availability Statement
Conflicts of Interest
References
- Arber, D.A.; Orazi, A.; Hasserjian, R.P.; Borowitz, M.J.; Calvo, K.R.; Kvasnicka, H.M.; Wang, S.A.; Bagg, A.; Barbui, T.; Branford, S.; et al. International Consensus Classification of Myeloid Neoplasms and Acute Leukemias: Integrating morphologic, clinical, and genomic data. Blood 2022, 140, 1200–1228. [Google Scholar] [CrossRef]
- Khoury, J.D.; Solary, E.; Abla, O.; Akkari, Y.; Alaggio, R.; Apperley, J.F.; Bejar, R.; Berti, E.; Busque, L.; Chan, J.K.C.; et al. The 5th edition of the World Health Organization Classification of Haematolymphoid Tumours: Myeloid and Histiocytic/Dendritic Neoplasms. Leukemia 2022, 36, 1703–1719. [Google Scholar] [CrossRef]
- Cazzola, M.; Sehn, L.H. Developing a classification of hematologic neoplasms in the era of precision medicine. Blood 2022, 140, 1193–1199. [Google Scholar] [CrossRef]
- Falini, B.; Mecucci, C.; Tiacci, E.; Alcalay, M.; Rosati, R.; Pasqualucci, L.; La Starza, R.; Diverio, D.; Colombo, E.; Santucci, A.; et al. GIMEMA Acute Leukemia Working Party. Cytoplasmic nucleophosmin in acute myelogenous leukemia with a normal karyotype. N. Engl. J. Med. 2005, 352, 254–266. [Google Scholar] [CrossRef] [PubMed]
- Döhner, H.; Wei, A.H.; Appelbaum, F.R.; Craddock, C.; DiNardo, C.D.; Dombret, H.; Ebert, B.L.; Fenaux, P.; Godley, L.A.; Hasserjian, R.P.; et al. Diagnosis and management of AML in adults: 2022 recommendations from an international expert panel on behalf of the ELN. Blood 2022, 140, 1345–1377. [Google Scholar] [CrossRef] [PubMed]
- Swerdlow, S.H.; Campo, E.; Pileri, S.A.; Harris, N.L.; Stein, H.; Siebert, R.; Advani, R.; Ghielmini, M.; Salles, G.A.; Zelenetz, A.D.; et al. The 2016 revision of the World Health Organization classification of lymphoid neoplasms. Blood 2016, 127, 2375–2390. [Google Scholar] [CrossRef]
- Falini, B.; Bolli, N.; Shan, J.; Martelli, M.P.; Liso, A.; Pucciarini, A.; Bigerna, B.; Pasqualucci, L.; Mannucci, R.; Rosati, R.; et al. Both carboxy-terminus NES motif and mutated tryptophan(s) are crucial for aberrant nuclear export of nucleophosmin leukemic mutants in NPMc+ AML. Blood 2006, 107, 4514–4523. [Google Scholar] [CrossRef] [PubMed]
- Chen, W.; Rassidakis, G.Z.; Li, J.; Routbort, M.; Jones, D.; Kantarjian, H.; Medeiros, L.J.; Bueso-Ramos, C.E. High frequency of NPM1 gene mutations in acute myeloid leukemia with prominent nuclear invaginations (“cup-like” nuclei). Blood 2006, 108, 1783–1784. [Google Scholar] [CrossRef]
- Park, B.G.; Chi, H.S.; Jang, S.; Park, C.J.; Kim, D.Y.; Lee, J.H.; Lee, J.H.; Lee, K.H. Association of cup-like nuclei in blasts with FLT3 and NPM1 mutations in acute myeloid leukemia. Ann. Hematol. 2013, 92, 451–457. [Google Scholar] [CrossRef]
- Schnittger, S.; Schoch, C.; Kern, W.; Mecucci, C.; Tschulik, C.; Martelli, M.F.; Haferlach, T.; Hiddemann, W.; Falini, B. Nucleophosmin gene mutations are predictors of favorable prognosis in acute myelogenous leukemia with a normal karyotype. Blood 2005, 106, 3733–3739. [Google Scholar] [CrossRef]
- Thiede, C.; Koch, S.; Creutzig, E.; Steudel, C.; Illmer, T.; Schaich, M.; Ehninger, G. Prevalence and prognostic impact of NPM1 mutations in 1485 adult patients with acute myeloid leukemia (AML). Blood 2006, 107, 4011–4020. [Google Scholar] [CrossRef]
- Döhner, K.; Schlenk, R.F.; Habdank, M.; Scholl, C.; Rücker, F.G.; Corbacioglu, A.; Bullinger, L.; Fröhling, S.; Döhner, H. Mutant nucleophosmin (NPM1) predicts favorable prognosis in younger adults with acute myeloid leukemia and normal cytogenetics: Interaction with other gene mutations. Blood 2005, 106, 3740–3746. [Google Scholar] [CrossRef] [PubMed]
- Ravandi, F.; Cloos, J.; Buccisano, F.; Dillon, R.; Döhner, K.; Freeman, S.D.; Hourigan, C.S.; Ossenkoppele, G.J.; Roboz, G.J.; Subklewe, M.; et al. Measurable residual disease monitoring in patients with acute myeloid leukemia treated with lower-intensity therapy: Roadmap from an ELN-DAVID expert panel. Am. J. Hematol. 2023, 98, 1847–1855. [Google Scholar] [CrossRef] [PubMed]
- Lachowiez, C.A.; Loghavi, S.; Kadia, T.M.; Daver, N.; Borthakur, G.; Pemmaraju, N.; Naqvi, K.; Alvarado, Y.; Yilmaz, M.; Short, N.; et al. Outcomes of older patients with NPM1-mutated AML: Current treatments and the promise of venetoclax-based regimens. Blood Adv. 2020, 4, 1311–1320. [Google Scholar] [CrossRef] [PubMed]
- Issa, G.C.; Aldoss, I.; DiPersio, J.; Cuglievan, B.; Stone, R.; Arellano, M.; Thirman, M.J.; Patel, M.R.; Dickens, D.S.; Shenoy, S.; et al. The menin inhibitor revumenib in KMT2A-rearranged or NPM1-mutant leukaemia. Nature 2023, 615, 920–924. [Google Scholar] [CrossRef]
- Fiskus, W.; Daver, N.; Boettcher, S.; Mill, C.P.; Sasaki, K.; Birdwell, C.E.; Davis, J.A.; Das, K.; Takahashi, K.; Kadia, T.M.; et al. Activity of menin inhibitor ziftomenib (KO-539) as monotherapy or in combinations against AML cells with MLL1 rearrangement or mutant NPM1. Leukemia 2022, 36, 2729–2733. [Google Scholar] [CrossRef]
- Rausch, J.; Dzama, M.M.; Dolgikh, N.; Stiller, H.L.; Bohl, S.R.; Lahrmann, C.; Kunz, K.; Kessler, L.; Echchannaoui, H.; Chen, C.W.; et al. Menin inhibitor ziftomenib (KO-539) synergizes with drugs targeting chromatin regulation or apoptosis and sensitizes acute myeloid leukemia with MLL rearrangement or NPM1 mutation to venetoclax. Haematologica 2023, 108, 2837–2843. [Google Scholar] [CrossRef]
- Ranieri, R.; Pianigiani, G.; Sciabolacci, S.; Perriello, V.M.; Marra, A.; Cardinali, V.; Pierangeli, S.; Milano, F.; Gionfriddo, I.; Brunetti, L.; et al. Current status and future perspectives in targeted therapy of NPM1-mutated AML. Leukemia 2022, 36, 2351–2367. [Google Scholar] [CrossRef]
- Lee, S.H.; Erber, W.N.; Porwit, A.; Tomonaga, M.; Peterson, L.C. International Council for Standardization in Hematology. ICSH guidelines for the standardization of bone marrow specimens and reports. Int. J. Lab. Hematol. 2008, 30, 349–364. [Google Scholar] [CrossRef]
- Kroschinsky, F.P.; Schäkel, U.; Fischer, R.; Mohr, B.; Oelschlaegel, U.; Repp, R.; Schaich, M.; Soucek, S.; Baretton, G.; Ehninger, G.; et al. Cup-like acute myeloid leukemia: New disease or artificial phenomenon? Haematologica 2008, 93, 283–286. [Google Scholar] [CrossRef]
- Béné, M.C.; Nebe, T.; Bettelheim, P.; Buldini, B.; Bumbea, H.; Kern, W.; Lacombe, F.; Lemez, P.; Marinov, I.; Matutes, E.; et al. Immunophenotyping of acute leukemia and lymphoproliferative disorders: A consensus proposal of the European LeukemiaNet Work Package 10. Leukemia 2011, 25, 567–574. [Google Scholar] [CrossRef] [PubMed]
- Van Dongen, J.J.M.; Lhermitte, L.; Böttcher, S.; Almeida, J.; Van Der Velden, V.H.J.; Flores-Montero, J.; Rawstron, A.; Asnafi, V.; Lécrevisse, Q.; Lucio, P.; et al. EuroFlow antibody panels for standardized n-dimensional flow cytometric immunophenotyping of normal, reactive and malignant leukocytes. Leukemia 2012, 26, 1908–1975. [Google Scholar] [CrossRef]
- International Standing Committee on Human Cytogenomic Nomenclature. ISCN 2020: An International System for Human Cytogenomic Nomenclature (2020); McGowan-Jordan, J., Hastinas, R.J., Moore, S., Eds.; Karger AG: Basel, Switzerland, 2020; ISBN 978-3-318-06867-2. [Google Scholar] [CrossRef]
- Kiyoi, H.; Naoe, T.; Yokota, S.M.; Minami, S.; Kuriyama, K.; Takeshita, A.; Saito, K.; Hasegawa, S.; Shimodaira, S.; Tamura, J.; et al. Internal tandem duplication of FLT3 associated with leukocytosis in acute promyelocytic leukemia. Leukemia 1997, 11, 1447–1452. [Google Scholar] [CrossRef] [PubMed]
- Yamamoto, Y.; Kiyoi, H.; Nakano, Y.; Suzuki, R.; Kodera, Y.; Miyawaki, S.; Asou, N.; Kuriyama, K.; Yagasaki, F.; Shimazaki, C.; et al. Activating mutation of D835 within the activation loop of FLT3 in human hematologic malignancies. Blood 2001, 97, 2434–2439. [Google Scholar] [CrossRef]
- Zhou, X.H.; Obuchowski, N.A.; McClish, D.K. Statistical Methods in Diagnostic Medicine; John Wiley & Sons: Hoboken, NJ, USA, 2011; Volume 712, ISBN 978-0-470-18314-4. [Google Scholar] [CrossRef]
- Falini, B.; Dillon, R. Criteria for Diagnosis and Molecular Monitoring of NPM1-Mutated AML. Blood Cancer Discov. 2024, 5, 8–20. [Google Scholar] [CrossRef]
- Chen, W.; Konoplev, S.; Medeiros, L.J.; Koeppen, H.; Leventaki, V.; Vadhan-Raj, S.; Jones, D.; Kantarjian, H.M.; Falini, B.; Bueso-Ramos, C.E. Cuplike nuclei (prominent nuclear invaginations) in acute myeloid leukemia are highly associated with FLT3 internal tandem duplication and NPM1 mutation. Cancer 2009, 115, 5481–5489. [Google Scholar] [CrossRef]
- Arber, D.A.; Borowitz, M.J.; Cessna, M.; Etzell, J.; Foucar, K.; Hasserjian, R.P.; Rizzo, J.D.; Theil, K.; Wang, S.A.; Smith, A.T.; et al. Initial Diagnostic Workup of Acute Leukemia: Guideline From the College of American Pathologists and the American Society of Hematology. Arch. Pathol. Lab. Med. 2017, 141, 1342–1393. [Google Scholar] [CrossRef] [PubMed]
- Franco, S.; Geng, X.; Korostyshevskiy, V.; Karp, J.E.; Lai, C. Systematic review and meta-analysis: Prognostic impact of time from diagnosis to treatment in patients with acute myeloid leukemia. Cancer 2023, 129, 2975–2985. [Google Scholar] [CrossRef]
- Falini, B. NPM1-mutated acute myeloid leukemia: New pathogenetic and therapeutic insights and open questions. Am. J. Hematol. 2023, 98, 1452–1464. [Google Scholar] [CrossRef]
- Lopez, A.; Patel, S.; Geyer, J.T.; Racchumi, J.; Chadburn, A.; Simonson, P.; Ouseph, M.M.; Inghirami, G.; Mencia-Trinchant, N.; Guzman, M.L.; et al. Comparison of Multiple Clinical Testing Modalities for Assessment of NPM1-Mutant AML. Front. Oncol. 2021, 11, 701318. [Google Scholar] [CrossRef]
- Jakovic, L.; Bogdanovic, A.; Djordjevic, V.; Dencic-Fekete, M.; Kraguljac-Kurtovic, N.; Knezevic, V.; Tosic, N.; Pavlovic, S.; Terzic, T. The predictive value of morphological findings in early diagnosis of acute myeloid leukemia with recurrent cytogenetic abnormalities. Leuk. Res. 2018, 75, 23–28. [Google Scholar] [CrossRef]
- Falini, B.; Nicoletti, I.; Martelli, M.F.; Mecucci, C. Acute myeloid leukemia carrying cytoplasmic/mutated nucleophosmin (NPMc+ AML): Biologic and clinical features. Blood 2007, 109, 874–885. [Google Scholar] [CrossRef] [PubMed]
- Jost, E.; Herwartz, R.; Hoß, M.; Vankann, L.; Fuchs, R. Cup-like blasts in acute myeloid leukemia. Am. J. Hematol. 2015, 90, 847–848. [Google Scholar] [CrossRef] [PubMed]
- Bain, B.J.; Heller, M.; Toma, S.; Pavlů, J. The cytological features of NPM1-mutated acute myeloid leukemia. Am. J. Hematol. 2015, 90, 560. [Google Scholar] [CrossRef] [PubMed]
- Bennett, J.M.; Pryor, J.; Laughlin, T.S.; Rothberg, P.G.; Burack, W.R. Is the association of “cup-like” nuclei with mutation of the NPM1 gene in acute myeloid leukemia clinically useful? Am. J. Clin. Pathol. 2010, 134, 648–652. [Google Scholar] [CrossRef]
- Rastogi, P.; Naseem, S.; Varma, N.; Varma, S. Immunohistochemical Detection of NPM1 Mutation in Acute Myeloid Leukemia and its Association with Cup-like Nuclear Morphology of Blasts. Appl. Immunohistochem. Mol. Morphol. 2016, 24, 261–267. [Google Scholar] [CrossRef]
- Menegotto, P.R.; Farias, M.G.; Spagnol, F.; Siebert, M.; Filippi-Chiela, E.C.; Alegretti, A.P.; Pilger, D.A. Comparison of Nonsequencing Techniques for Identification of NPM1 Mutations and Associated Blast Morphology in Patients with Acute Myeloid Leukemia. Arch. Pathol. Lab. Med. 2023, 147, 701–709. [Google Scholar] [CrossRef]
- Fiskus, W.; Boettcher, S.; Daver, N.; Mill, C.P.; Sasaki, K.; Birdwell, C.E.; Davis, J.A.; Takahashi, K.; Kadia, T.M.; DiNardo, C.D.; et al. Effective Menin inhibitor-based combinations against AML with MLL rearrangement or NPM1 mutation (NPM1c). Blood Cancer J. 2022, 12, 5. [Google Scholar] [CrossRef]
- Wang, R.; Xu, P.; Chang, L.L.; Zhang, S.Z.; Zhu, H.H. Targeted therapy in NPM1-mutated AML: Knowns and unknowns. Front. Oncol. 2022, 12, 972606. [Google Scholar] [CrossRef]
- Alpermann, T.; Schnittger, S.; Eder, C.; Dicker, F.; Meggendorfer, M.; Kern, W.; Schmid, C.; Aul, C.; Staib, P.; Wendtner, C.M.; et al. Molecular subtypes of NPM1 mutations have different clinical profiles, specific patterns of accompanying molecular mutations and varying outcomes in intermediate risk acute myeloid leukemia. Haematologica 2016, 101, e55–e58. [Google Scholar] [CrossRef]



| CLB | Specificity | Sensitivity | Accuracy | PPV | NPV |
|---|---|---|---|---|---|
| ≥10% | 98.5 | 53.0 | 80.7 | 95.7 | 76.5 |
| ≥15% | 100 | 34.1 | 73.6 | 100 | 0.7 |
| AML Subtype | CLB (mean/SD) | CLB (Range) | CLB (Median) | Without Maturation vs. Others | With Maturation vs. Others |
|---|---|---|---|---|---|
| without maturation | 30.3 ± 15.6 | 12–54 | 28 | n.a. | |
| with maturation | 16.9 ± 16.8 | 0–50 | 14.5 | p = 0.045 | n.a. |
| morphological dysplastic features | 4.9 ± 7.1 | 0–19 | 0 | p = 0.0002 | p = 0.018 |
| myelomonocytic | 7.7 ± 10 | 0–32 | 1.5 | p = 0.0018 | p = 0.139 |
| monoblastic and monocytic | 9.2 ± 9.8 | 0–33 | 10 | p = 0.0009 | p = 0.343 |
| Features | CLB Positive | p Value | CLB ≥ 10% | p Value | CLB ≥ 15% | p Value |
|---|---|---|---|---|---|---|
| WBC (mean/SD) | 69.5 ± 76.6 vs. 30.6 ± 43.8 | p = 0.009 | 83.7 ± 80.5 vs. 26.6 ± 33.7 | p = 0.00052 | 76.9 ± 67.0 vs. 67.1 ± 69.6 | p = 0.014 |
| FLT3+ vs. FLT3− (%) | 16.6 ± 16.3 vs. 9.06 ± 11.8 | p = 0.017 | 63 vs. 46 | p = 0.094 | 46 vs. 27 | p = 0.07 |
| HLA-DR+ (%) (mean/SD) | 57.7 ± 17.3 vs. 82.9 ± 40.7 | p = 0.013 | 52.7 ± 40.8 vs. 80.9 ± 24.5 | p = 0.0009 | 39.6.7 ± 38.2 vs. 80.1 ± 27.1 | p = 0.00001 |
| PB blasts (%) (mean/SD) | 51.7 ± 35.9 vs. 17.1 ± 16.8 | p = 0.00005 | 60.8 ± 34.5 vs. 17.5 ± 16.5 | p = 0.00001 | 70.3 ± 28.8 vs. 24.4 ± 26.5 | p = 0.00001 |
| BM blasts (%) (mean/SD) | 67.9 ± 20.4 vs. 48.5 ± 18.6 | p = 0.0002 | 71.5 ± −20.2 vs. 50.6 ± 17.9 | p = 0.00007 | 74.6 ± −9.2 vs. 54.4 ± 19.7 | p = 0.00004 |
Disclaimer/Publisher’s Note: The statements, opinions and data contained in all publications are solely those of the individual author(s) and contributor(s) and not of MDPI and/or the editor(s). MDPI and/or the editor(s) disclaim responsibility for any injury to people or property resulting from any ideas, methods, instructions or products referred to in the content. |
© 2024 by the authors. Published by MDPI on behalf of the Lithuanian University of Health Sciences. Licensee MDPI, Basel, Switzerland. This article is an open access article distributed under the terms and conditions of the Creative Commons Attribution (CC BY) license (https://creativecommons.org/licenses/by/4.0/).
Share and Cite
Jakovic, L.; Djordjevic, V.; Kraguljac Kurtovic, N.; Virijevic, M.; Mitrovic, M.; Trajkovic, L.; Vidovic, A.; Bogdanovic, A. Early Prediction and Streamline of Nucleophosmin Mutation Status in Acute Myeloid Leukemia Using Cup-Like Nuclear Morphology. Medicina 2024, 60, 1443. https://doi.org/10.3390/medicina60091443
Jakovic L, Djordjevic V, Kraguljac Kurtovic N, Virijevic M, Mitrovic M, Trajkovic L, Vidovic A, Bogdanovic A. Early Prediction and Streamline of Nucleophosmin Mutation Status in Acute Myeloid Leukemia Using Cup-Like Nuclear Morphology. Medicina. 2024; 60(9):1443. https://doi.org/10.3390/medicina60091443
Chicago/Turabian StyleJakovic, Ljubomir, Vesna Djordjevic, Nada Kraguljac Kurtovic, Marijana Virijevic, Mirjana Mitrovic, Lazar Trajkovic, Ana Vidovic, and Andrija Bogdanovic. 2024. "Early Prediction and Streamline of Nucleophosmin Mutation Status in Acute Myeloid Leukemia Using Cup-Like Nuclear Morphology" Medicina 60, no. 9: 1443. https://doi.org/10.3390/medicina60091443
APA StyleJakovic, L., Djordjevic, V., Kraguljac Kurtovic, N., Virijevic, M., Mitrovic, M., Trajkovic, L., Vidovic, A., & Bogdanovic, A. (2024). Early Prediction and Streamline of Nucleophosmin Mutation Status in Acute Myeloid Leukemia Using Cup-Like Nuclear Morphology. Medicina, 60(9), 1443. https://doi.org/10.3390/medicina60091443

