A Case of Parinaud Oculoglandular Syndrome in Which Bartonella DNA Was Detected in the Cornea and Conjunctiva by Polymerase Chain Reaction
Abstract
1. Introduction
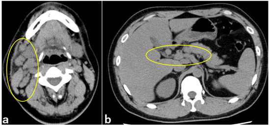
2. Case Report
3. Discussion
4. Conclusions
Author Contributions
Funding
Institutional Review Board Statement
Informed Consent Statement
Data Availability Statement
Acknowledgments
Conflicts of Interest
References
- Parinaud, H. Conjonctivite infectieuse paraissant transmise à l’homme par les animaux. Bull. Xoc. Ophtalmol. Paris 1889, 2, 29–31. [Google Scholar]
- Ouvrier, R. Henri Parinaud and his syndrome. Med. J. Aust. 1993, 158, 711–714. [Google Scholar] [CrossRef] [PubMed]
- Martin, X.; Uffer, S.; Gailloud, C. Ophthalmia nodosa and the oculoglandular syndrome of Parinaud. Br. J. Ophthalmol. 1986, 70, 536–542. [Google Scholar] [CrossRef] [PubMed]
- Mochizuki, M.; Sugita, S.; Kamoi, K.; Takase, H. A new era of uveitis: Impact of polymerase chain reaction in intraocular inflammatory diseases. Jpn J. Ophthalmol. 2017, 61, 1–20. [Google Scholar] [CrossRef] [PubMed]
- Nakano, S.; Sugita, S.; Tomaru, Y.; Hono, A.; Nakamuro, T.; Kubota, T.; Takase, H.; Mochizuki, M.; Takahashi, M.; Shimizu, N. Establishment of multiplex solid-phase strip PCR test for detection of 24 ocular infectious disease pathogens. Investig. Ophthalmol. Vis. Sci. 2017, 58, 1553–1559. [Google Scholar] [CrossRef] [PubMed]
- Le, H.H.; Palay, D.A.; Anderson, B.; Steinberg, J.P. Conjunctival swab to diagnose ocular cat scratch disease. Am. J. Ophthalmol. 1994, 118, 249–250. [Google Scholar] [CrossRef] [PubMed]
- Murakami, K.; Tsukahara, M.; Tsuneoka, H.; Iino, H.; Ishida, C.; Tsujino, K.; Umeda, A.; Furuya, T.; Kawauchi, S.; Sasaki, K. Cat scratch disease: Analysis of 130 seropositive cases. J. Infect. Chemother. 2002, 8, 349–352. [Google Scholar] [CrossRef] [PubMed]
- Kamoi, K.; Yoshida, T.; Takase, H.; Yokota, M.; Kawaguchi, T.; Mochizuki, M. Seroprevalence of Bartonella henselae in patients with uveitis and healthy individuals in Tokyo. Jpn J. Ophthalmol. 2009, 53, 490–493. [Google Scholar] [CrossRef] [PubMed]
- Cunningham, E.T.; Koehler, J.E. Ocular bartonellosis. Am. J. Ophthalmol. 2000, 130, 340–349. [Google Scholar] [CrossRef] [PubMed]
- Dörbecker, C.; Sander, A.; Oberle, K.; Schülin-Casonato, T. In vitro susceptibility of Bartonella species to 17 antimicrobial compounds: Comparison of Etest and agar dilution. J. Antimicrob. Chemother. 2006, 58, 784–788. [Google Scholar] [CrossRef] [PubMed]
- Shorbatli, L.A.; Koranyi, K.I.; Nahata, M.C. Effectiveness of antibiotic therapy in pediatric patients with cat scratch disease. Int. J. Clin. Pharm. 2018, 40, 1458–1461. [Google Scholar] [CrossRef] [PubMed]
- Liao, H.M.; Huang, F.Y.; Chi, H.; Wang, N.L.; Chen, B.F. Systemic cat scratch disease. J. Formos. Med. Assoc. 2006, 105, 674–679. [Google Scholar] [CrossRef] [PubMed]



Disclaimer/Publisher’s Note: The statements, opinions and data contained in all publications are solely those of the individual author(s) and contributor(s) and not of MDPI and/or the editor(s). MDPI and/or the editor(s) disclaim responsibility for any injury to people or property resulting from any ideas, methods, instructions or products referred to in the content. |
© 2024 by the authors. Published by MDPI on behalf of the Lithuanian University of Health Sciences. Licensee MDPI, Basel, Switzerland. This article is an open access article distributed under the terms and conditions of the Creative Commons Attribution (CC BY) license (https://creativecommons.org/licenses/by/4.0/).
Share and Cite
Saito, J.; Machida, A.; Inoue, D.; Shimizu, M.S.; Matsui, K.; Harada, K.; Kusano, M.; Mohamed, Y.H.; Uematsu, M. A Case of Parinaud Oculoglandular Syndrome in Which Bartonella DNA Was Detected in the Cornea and Conjunctiva by Polymerase Chain Reaction. Medicina 2024, 60, 1425. https://doi.org/10.3390/medicina60091425
Saito J, Machida A, Inoue D, Shimizu MS, Matsui K, Harada K, Kusano M, Mohamed YH, Uematsu M. A Case of Parinaud Oculoglandular Syndrome in Which Bartonella DNA Was Detected in the Cornea and Conjunctiva by Polymerase Chain Reaction. Medicina. 2024; 60(9):1425. https://doi.org/10.3390/medicina60091425
Chicago/Turabian StyleSaito, Junya, Akira Machida, Daisuke Inoue, Masumi Suzuki Shimizu, Kohsuke Matsui, Kohei Harada, Mao Kusano, Yasser Helmy Mohamed, and Masafumi Uematsu. 2024. "A Case of Parinaud Oculoglandular Syndrome in Which Bartonella DNA Was Detected in the Cornea and Conjunctiva by Polymerase Chain Reaction" Medicina 60, no. 9: 1425. https://doi.org/10.3390/medicina60091425
APA StyleSaito, J., Machida, A., Inoue, D., Shimizu, M. S., Matsui, K., Harada, K., Kusano, M., Mohamed, Y. H., & Uematsu, M. (2024). A Case of Parinaud Oculoglandular Syndrome in Which Bartonella DNA Was Detected in the Cornea and Conjunctiva by Polymerase Chain Reaction. Medicina, 60(9), 1425. https://doi.org/10.3390/medicina60091425

