A Prevalence Anatomic-Imaging Study of the Posterior Inferior Cerebellar Artery’s Origin
Abstract
1. Introduction
2. Materials and Methods
3. Results
4. Discussion
4.1. Typical PICA
4.2. Absent PICA
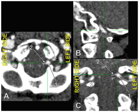
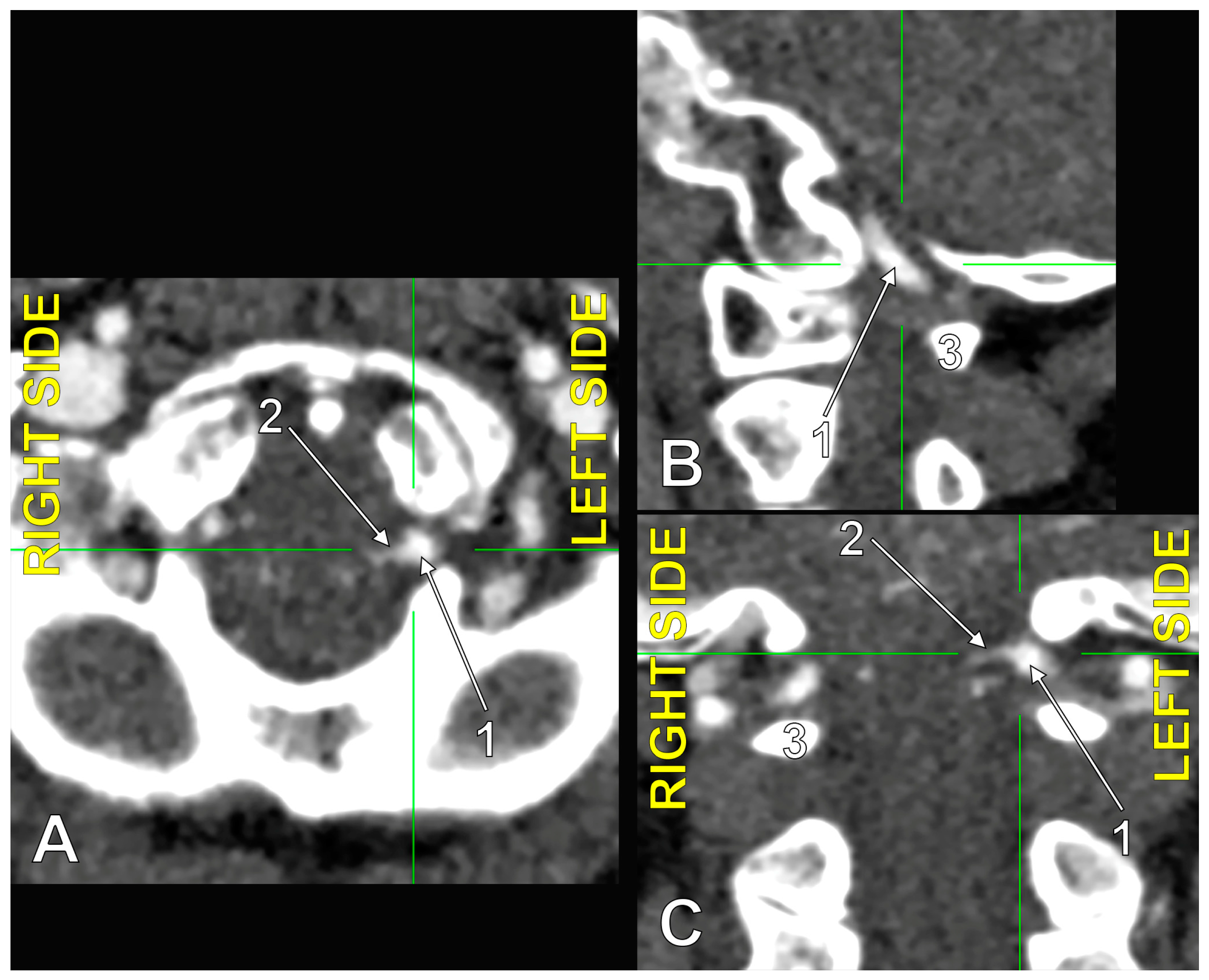
4.3. Extradural Origin of the PICA
4.4. Transdural Origin of the PICA
4.5. The PICA and the Marginal Sinus
4.6. The PICA and the Dural Ring of the VA
4.7. The Bihemispheric PICA
4.8. The Caudal Loop of the PICA
5. Conclusions
Author Contributions
Funding
Institutional Review Board Statement
Informed Consent Statement
Data Availability Statement
Conflicts of Interest
References
- George, B.; Bruneau, M.; Robert, F.S. Pathology and Surgery around the Vertebral Artery; Springer Science & Business Media: Paris, France, 2013. [Google Scholar]
- Tudose, R.C.; Rusu, M.C.; Hostiuc, S. The Vertebral Artery: A Systematic Review and a Meta-Analysis of the Current Literature. Diagnostics 2023, 13, 2036. [Google Scholar] [CrossRef] [PubMed]
- Demartini, Z., Jr.; Guimaraes, R.; Vialle, E.N.; Koppe, G.L.; Francisco, A.N.; Gatto, L.A.M. Origin of the Posterior Inferior Cerebellar Artery over the C1 Posterior Arch. Rev. Bras. Ortop. 2019, 54, 605–608. [Google Scholar]
- Yasargil, M.G. Microneurosurgery; Georg Thieme Verlag: Stuttgart, Germany, 1987. [Google Scholar]
- Rhoton, A.L., Jr. The cerebellar arteries. Neurosurgery. 2000, 47, S29–S68. [Google Scholar] [CrossRef]
- Amarenco, P. The spectrum of cerebellar infarctions. Neurology 1991, 41, 973–979. [Google Scholar] [CrossRef]
- Sharifi, M.; Ciszek, B. Bilaterally absent posterior inferior cerebellar artery: Case report. Surg. Radiol. Anat. 2013, 35, 623–625. [Google Scholar] [CrossRef]
- Pekcevik, Y.; Pekcevik, R. Variations of the cerebellar arteries at CT angiography. Surg. Radiol. Anat. 2014, 36, 455–461. [Google Scholar] [CrossRef]
- Mittal, S.; Singh, V.; Phadke, R.V.; Neyaz, Z. Endovascular treatment of ruptured pica aneurysms and association with its extradural origin: A single-center experience. Indian J. Radiol. Imaging 2018, 28, 232–238. [Google Scholar] [CrossRef]
- Dahl, R.H.; Horn, G.L., Jr.; Metwalli, Z.; Gopinath, S.P.; Benndorf, G. Endovascular Management of a Ruptured Aneurysm on a Posterior Inferior Cerebellar Artery with Extradural C2-Origin: Case Report and Literature Review. Neurointervention 2024, 19, 129–134. [Google Scholar] [CrossRef] [PubMed]
- Arslan, D.; Ozer, M.A.; Govsa, F.; Kitis, O. Surgicoanatomical aspect in vascular variations of the V3 segment of vertebral artery as a risk factor for C1 instrumentation. J. Clin. Neurosci. 2019, 68, 243–249. [Google Scholar] [CrossRef]
- Fortuniak, J.; Bobeff, E.; Polguj, M.; Kosla, K.; Stefanczyk, L.; Jaskolski, D.J. Anatomical anomalies of the V3 segment of the vertebral artery in the Polish population. Eur. Spine J. 2016, 25, 4164–4170. [Google Scholar] [CrossRef]
- Hong, J.T.; Kim, I.S.; Kim, J.Y.; Lee, H.J.; Kwon, J.Y.; Kim, M.S.; Sung, J.H. Risk factor analysis and decision-making of surgical strategy for V3 segment anomaly: Significance of preoperative CT angiography for posterior C1 instrumentation. Spine J. 2016, 16, 1055–1061. [Google Scholar] [CrossRef] [PubMed]
- Hong, J.T.; Lee, S.W.; Son, B.C.; Sung, J.H.; Yang, S.H.; Kim, I.S.; Park, C.K. Analysis of anatomical variations of bone and vascular structures around the posterior atlantal arch using three-dimensional computed tomography angiography. J. Neurosurg. Spine 2008, 8, 230–236. [Google Scholar] [CrossRef]
- Isaji, T.; Yasuda, M.; Kawaguchi, R.; Aoyama, M.; Niwa, A.; Nakura, T.; Matsuo, N.; Takayasu, M. Posterior inferior cerebellar artery with an extradural origin from the V3 segment: Higher incidence on the nondominant vertebral artery. J. Neurosurg. Spine 2018, 28, 154–159. [Google Scholar] [CrossRef]
- Kim, M.S. Developmental anomalies of the distal vertebral artery and posterior inferior cerebellar artery: Diagnosis by CT angiography and literature review. Surg. Radiol. Anat. 2016, 38, 997–1006. [Google Scholar] [CrossRef]
- Lister, J.R.; Rhoton, A.L., Jr.; Matsushima, T.; Peace, D.A. Microsurgical anatomy of the posterior inferior cerebellar artery. Neurosurgery 1982, 10, 170–199. [Google Scholar] [CrossRef] [PubMed]
- O’Donnell, C.M.; Child, Z.A.; Nguyen, Q.; Anderson, P.A.; Lee, M.J. Vertebral artery anomalies at the craniovertebral junction in the US population. Spine 2014, 39, E1053–E1057. [Google Scholar] [CrossRef] [PubMed]
- Omotoso, B.R.; Harrichandparsad, R.; Moodley, I.G.; Satyapal, K.S.; Lazarus, L. Fenestration of the vertebrobasilar junction detected with multidetector computed tomography angiography. Folia Morphol. 2022, 81, 510–514. [Google Scholar] [CrossRef]
- Tokuda, K.; Miyasaka, K.; Abe, H.; Abe, S.; Takei, H.; Sugimoto, S.; Tsuru, M. Anomalous atlantoaxial portions of vertebral and posterior inferior cerebellar arteries. Neuroradiology 1985, 27, 410–413. [Google Scholar] [CrossRef] [PubMed]
- Uchino, A.; Saito, N.; Watadani, T.; Okada, Y.; Kozawa, E.; Nishi, N.; Mizukoshi, W.; Inoue, K.; Nakajima, R.; Takahashi, M. Vertebral artery variations at the C1-2 level diagnosed by magnetic resonance angiography. Neuroradiology. 2012, 54, 19–23. [Google Scholar] [CrossRef]
- Wakao, N.; Takeuchi, M.; Nishimura, M.; Riew, K.D.; Kamiya, M.; Hirasawa, A.; Kawanami, K.; Imagama, S.; Sato, K.; Takayasu, M. Vertebral artery variations and osseous anomaly at the C1-2 level diagnosed by 3D CT angiography in normal subjects. Neuroradiology 2014, 56, 843–849. [Google Scholar] [CrossRef]
- Yamaguchi, S.; Eguchi, K.; Kiura, Y.; Takeda, M.; Kurisu, K. Posterolateral protrusion of the vertebral artery over the posterior arch of the atlas: Quantitative anatomical study using three-dimensional computed tomography angiography. J. Neurosurg. Spine 2008, 9, 167–174. [Google Scholar] [CrossRef] [PubMed]
- Zhu, S.W.; Yang, Y.; Liu, Y.G.; Cao, J.W.; Li, F. Anatomical Features and Clinical Significance of Radiculomuscular Artery Variants Involving the Suboccipital Segment of Vertebral Artery: Angiographic and Cadaver Studies. Clin. Neuroradiol. 2018, 28, 75–80. [Google Scholar] [CrossRef]
- Xu, S.; Ruan, S.; Song, X.; Yu, J.; Xu, J.; Gong, R. Evaluation of vertebral artery anomaly in basilar invagination and prevention of vascular injury during surgical intervention: CTA features and analysis. Eur. Spine J. 2018, 27, 1286–1294. [Google Scholar] [CrossRef] [PubMed]
- Bruneau, M.; George, B. Surgical Anatomy of the Vertebral Artery at Craniovertebral Junction Level. In Surgery of the Cranio-Vertebral Junction; Tessitore, E., Dehdashti, A.R., Schonauer, C., Thomé, C., Eds.; Springer Nature: Cham, Switzerland, 2020; pp. 43–59. [Google Scholar]
- Omotoso, B.R.; Harrichandparsad, R.; Lazarus, L. Prevalence of anatomical variations at the suboccipital (V3) segment of the vertebral artery: A systematic review. Neuroradiology 2023, 65, 1677–1684. [Google Scholar] [CrossRef]
- Davidoiu, A.M.; Minca, D.I.; Rusu, M.C.; Hostiuc, S.; Toader, C. The Fetal Type of Posterior Cerebral Artery. Medicina 2023, 59, 231. [Google Scholar] [CrossRef]
- Bruneau, M.; George, B. Foramen magnum meningiomas: Detailed surgical approaches and technical aspects at Lariboisiere Hospital and review of the literature. Neurosurg. Rev. 2008, 31, 19–32, discussion-3. [Google Scholar] [CrossRef] [PubMed]
- Salas, E.; Ziyal, I.M.; Bank, W.O.; Santi, M.R.; Sekhar, L.N. Extradural origin of the posteroinferior cerebellar artery: An anatomic study with histological and radiographic correlation. Neurosurgery 1998, 42, 1326–1331. [Google Scholar] [CrossRef]
- Akgun, V.; Battal, B.; Bozkurt, Y.; Oz, O.; Hamcan, S.; Sari, S.; Akgun, H. Normal anatomical features and variations of the vertebrobasilar circulation and its branches: An analysis with 64-detector row CT and 3T MR angiographies. Sci. World J. 2013, 2013, 620162. [Google Scholar] [CrossRef] [PubMed]
- Fine, A.D.; Cardoso, A.; Rhoton, A.L., Jr. Microsurgical anatomy of the extracranial-extradural origin of the posterior inferior cerebellar artery. J. Neurosurg. 1999, 91, 645–652. [Google Scholar] [CrossRef]
- Salamon, G.; Huang, Y.P. Radiologic Anatomy of the Brain; Springer: Berlin/Heidelberg, Germany; New York, NY, USA, 1976. [Google Scholar]
- Margolis, M.; Newton, T. The posterior inferior cerebellar artery. In Radiology of the Skull and Brain; Newton, T., Potts, D., Eds.; CV Mosby: St.Louis, MO, USA, 1974; pp. 1710–1774. [Google Scholar]
- Macchi, V.; Porzionato, A.; Parenti, A.; De Caro, R. The course of the posterior inferior cerebellar artery may be related to its level of origin. Surg. Radiol. Anat. 2004, 26, 60–65. [Google Scholar] [CrossRef]
- Bergman, R.A.; Tubbs, R.S.; Shoja, M.M.; Loukas, M. Bergman’s Comprehensive Encyclopedia of Human Anatomic Variation; John Wiley & Sons: Hoboken, NJ, USA, 2016. [Google Scholar]
- Davidoiu, A.M.; Lazar, M.; Vrapciu, A.D.; Radoi, P.M.; Toader, C.; Rusu, M.C. An Update on the Superior Cerebellar Artery Origin Type. Medicina 2023, 59, 2164. [Google Scholar] [CrossRef] [PubMed]
- Stopford, J.S. The Arteries of the Pons and Medulla Oblongata. J. Anat. Physiol. 1916, 50, 131–164. [Google Scholar]
- Błaszczyk, M.; Ochwat, K.; Necka, S.; Kwiecińska, M.; Ostrowski, P.; Bonczar, M.; Żytkowski, A.; Walocha, J.; Mituś, J.; Koziej, M. The Arterial Anatomy of the Cerebellum—A Comprehensive Review. Brain Sci. 2024, 14, 763. [Google Scholar] [CrossRef]
- Woischneck, D.; Hussein, S. The anterior inferior cerebellar artery (AICA): Clinical and radiological significance. Neurosurg. Rev. 1991, 14, 293–295. [Google Scholar] [CrossRef] [PubMed]
- Battal, B.; Akgun, V.; Sari, S. Variations of the vertebrobasilar circulation and its impact on the clinical and radiologic evaluation. Surg. Radiol. Anat. 2014, 36, 203–204. [Google Scholar] [CrossRef]
- Stoodley, M.A.; Hermann, C.; Weir, B. Extradural posterior inferior cerebellar artery aneurysm. J. Neurosurg. 2000, 93, 899. [Google Scholar] [CrossRef] [PubMed]
- Brinjikji, W.; Cloft, H.; Kallmes, D.F. Anatomy of the posterior inferior cerebellar artery: Relevance for C1-C2 puncture procedures. Clin. Anat. 2009, 22, 319–323. [Google Scholar] [CrossRef]
- Duan, S.; He, H.; Lv, S.; Chen, L. Three-dimensional CT study on the anatomy of vertebral artery at atlantoaxial and intracranial segment. Surg. Radiol. Anat. 2010, 32, 39–44. [Google Scholar] [CrossRef]
- Vanek, P.; Bradac, O.; de Lacy, P.; Konopkova, R.; Lacman, J.; Benes, V. Vertebral artery and osseous anomalies characteristic at the craniocervical junction diagnosed by CT and 3D CT angiography in normal Czech population: Analysis of 511 consecutive patients. Neurosurg. Rev. 2017, 40, 369–376. [Google Scholar] [CrossRef]
- Miao, H.L.; Zhang, D.Y.; Wang, T.; Jiao, X.T.; Jiao, L.Q. Clinical Importance of the Posterior Inferior Cerebellar Artery: A Review of the Literature. Int. J. Med. Sci. 2020, 17, 3005–3019. [Google Scholar] [CrossRef]
- Ogasawara, Y.; Kashimura, H.; Aso, K.; Saura, H. Subarachnoid Hemorrhage Due to Ruptured Intracranial Aneurysm Arising from a Vertebral Artery-Bihemispheric Posterior Inferior Cerebellar Artery Bifurcation. J. Neurosci. Rural Pract. 2017, 8, 654–656. [Google Scholar] [CrossRef] [PubMed]
- Nakayama, M.; Wu, M.-d.; Inafuku, S.; Takimoto, I. Vertebro-basilar Insufficiency Induced by Foramen Magnum Pressure. Equil. Res. 1990, 49, 424–432. [Google Scholar] [CrossRef]
- Tubbs, R.S.; Ammar, K.; Liechty, P.; Wellons, J.C., III; Blount, J.P.; Salter, E.G.; Oakes, W.J. The marginal sinus. J. Neurosurg. 2006, 104, 429–431. [Google Scholar] [CrossRef]
- Evans, A.J.; Kallmes, D.F.; Jensen, M.E.; Dion, J.E. The marginal sinus normal anatomy and involvement with arteriovenous fistulae. Interv. Neuroradiol. 1996, 2, 215–221. [Google Scholar] [CrossRef]
- Rhoton, A.L., Jr. Rhoton’s Cranial Anatomy and Surgical Approaches; Oxford University Press: Oxford, UK, 2019. [Google Scholar]
- Tomaszek, D.E.; Rosner, M.J. Cerebellar infarction: Analysis of twenty-one cases. Surg. Neurol. 1985, 24, 223–226. [Google Scholar] [CrossRef] [PubMed]
- Kumral, E.; Kisabay, A.; Atac, C.; Calli, C.; Yunten, N. Spectrum of the posterior inferior cerebellar artery territory infarcts. Clinical-diffusion-weighted imaging correlates. Cerebrovasc. Dis. 2005, 20, 370–380. [Google Scholar] [CrossRef]
- Devin, C.J.; Kang, J.D. Vertebral artery injury in cervical spine surgery. Instr. Course. Lect. 2009, 58, 717–728. [Google Scholar] [PubMed]
- Toms, J.; Wadhwa, R.; Ambekar, S.; Cuellar, H. Bihemispheric posterior inferior cerebellar artery occurring with an azygos anterior cerebral artery: Case study. Case. Rep. Radiol. 2014, 2014, 541081. [Google Scholar] [CrossRef]
- Cullen, S.P.; Ozanne, A.; Alvarez, H.; Lasjaunias, P. The bihemispheric posterior inferior cerebellar artery. Neuroradiology 2005, 47, 809–812. [Google Scholar] [CrossRef]
- Rusu, M.C.; Hostiuc, S.; Pop, E.; Vâlcu, M. Forensic consequences of anatomical variants in cerebral vascularization—The case of bihemispheric posterior inferior cerebellar artery. Rom. J. Leg. Med. 2013, 21, 51–54. [Google Scholar] [CrossRef]
- Sardhara, J.; Behari, S.; Patwari, S.; Jaiswal, A.K.; Sahu, R.N.; Bharti, A.; Phadke, R.V. A low-lying, solitary, bihemispheric PICA with an associated spontaneous vertebral-PICA dissecting aneurysm. Acta Neurochir. 2013, 155, 1539–1542. [Google Scholar] [CrossRef]
- Carlson, A.P.; Alaraj, A.; Dashti, R.; Aletich, V.A. The bihemispheric posterior interior cerebellar artery: Anatomic variations and clinical relevance in 11 cases. J. Neurointerv. Surg. 2013, 5, 601–604. [Google Scholar] [CrossRef] [PubMed]
- Imahori, T.; Yamamoto, Y.; Miura, S.; Higashino, M.; Sugihara, M.; Mizobe, T.; Aihara, H.; Hosoda, K.; Tanaka, K.; Sasayama, T. Ruptured vertebral artery dissecting aneurysms involving a dominant posterior inferior cerebellar artery origin: A preferred indication for bypass surgery in clinical practice. Interdisc. Neurosurg. 2021, 23, 100999. [Google Scholar] [CrossRef]
- Uchino, A. Variations of the Cerebellar Arteries. In Atlas of the Supraaortic Craniocervical Arterial Variations: MR CT Angiography; Springer Nature: Singapore, 2022; pp. 153–162. [Google Scholar]
- Boggio, N.; Mathkour, M.; Olewnik, L.; Iwanaga, J.; Bui, C.J.; Biro, E.E.; Tubbs, R.S. Bihemispheric posterior inferior cerebellar artery in a cadaver with Chiari I malformation. Folia Morphol. 2023, 82, 375–381. [Google Scholar] [CrossRef] [PubMed]
- Nishihiro, S.; Ichikawa, T.; Takahashi, Y.; Hirata, Y.; Kawai, N.; Kuramoto, S.; Ono, Y.; Goda, Y.; Kawauchi, M. Successful endovascular treatment of a ruptured bihemispheric posterior inferior cerebellar artery aneurysm: Illustrative case. J. Neurosurg. Case Lessons 2021, 2, CASE21367. [Google Scholar] [CrossRef] [PubMed]
- Reinacher, P.; Krings, T.; Bürgel, U.; Hans, F.J. Posterior inferior cerebellar artery (PICA) aneurysm arising from a bihemispheric PICA. Clin. Neuroradiol. 2006, 16, 190–191. [Google Scholar] [CrossRef]
- Tan, C.L.; Anil, G.; Yeo, T.T.; Chou, N. Challenges in the Management of a Ruptured Bihemispheric Posterior Inferior Cerebellar Artery Aneurysm. World Neurosurg. 2019, 122, 317–321. [Google Scholar] [CrossRef]






Disclaimer/Publisher’s Note: The statements, opinions and data contained in all publications are solely those of the individual author(s) and contributor(s) and not of MDPI and/or the editor(s). MDPI and/or the editor(s) disclaim responsibility for any injury to people or property resulting from any ideas, methods, instructions or products referred to in the content. |
© 2024 by the authors. Licensee MDPI, Basel, Switzerland. This article is an open access article distributed under the terms and conditions of the Creative Commons Attribution (CC BY) license (https://creativecommons.org/licenses/by/4.0/).
Share and Cite
Davidoiu, A.-M.; Rusu, M.C.; Toader, C.; Rădoi, P.M. A Prevalence Anatomic-Imaging Study of the Posterior Inferior Cerebellar Artery’s Origin. Medicina 2024, 60, 1397. https://doi.org/10.3390/medicina60091397
Davidoiu A-M, Rusu MC, Toader C, Rădoi PM. A Prevalence Anatomic-Imaging Study of the Posterior Inferior Cerebellar Artery’s Origin. Medicina. 2024; 60(9):1397. https://doi.org/10.3390/medicina60091397
Chicago/Turabian StyleDavidoiu, Ana-Maria, Mugurel Constantin Rusu, Corneliu Toader, and Petrinel Mugurel Rădoi. 2024. "A Prevalence Anatomic-Imaging Study of the Posterior Inferior Cerebellar Artery’s Origin" Medicina 60, no. 9: 1397. https://doi.org/10.3390/medicina60091397
APA StyleDavidoiu, A.-M., Rusu, M. C., Toader, C., & Rădoi, P. M. (2024). A Prevalence Anatomic-Imaging Study of the Posterior Inferior Cerebellar Artery’s Origin. Medicina, 60(9), 1397. https://doi.org/10.3390/medicina60091397

