Surgical Outcomes of Thyroidectomy in Geriatric Patients Aged 80 Years and Older: A Single-Center Retrospective Cohort Study
Abstract
1. Introduction
2. Materials and Methods
2.1. Patient Population and Study Design
2.2. Thyroidectomy Protocol
2.3. Clinical and Pathologic Characteristics
2.4. Statistical Analysis
3. Results
3.1. Clinical Characteristics of the Patients before Thyroidectomy
3.2. The Surgical Outcome of the Patients after Thyroidectomy
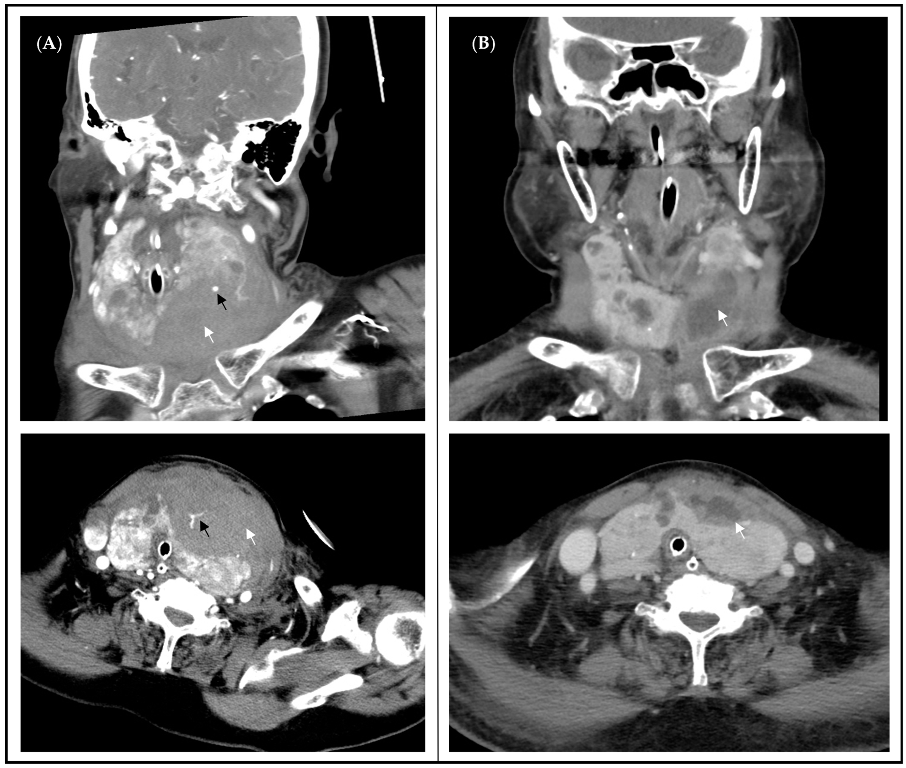
3.3. Two Reports of Rare Presentation
3.3.1. Case 1
3.3.2. Case 2
4. Discussion
5. Conclusions
Supplementary Materials
Author Contributions
Funding
Institutional Review Board Statement
Informed Consent Statement
Data Availability Statement
Acknowledgments
Conflicts of Interest
References
- National Development Council. Population Projection Report of the Republic of China (Taiwan); National Development Council: Taipei, Taiwan, 2022; ISBN 978-626-7162-20-0. [Google Scholar]
- World Population Prospects 2019, Highlights. Available online: https://www.un.org/development/desa/pd/news/world-population-prospects-2019-0 (accessed on 19 July 2024).
- Ospina, N.S.; Papaleontiou, M. Thyroid Nodule Evaluation and Management in Older Adults: A Review of Practical Considerations for Clinical Endocrinologists. Endocr. Pract. 2021, 27, 261–268. [Google Scholar] [CrossRef]
- Lim, H.; Devesa, S.S.; Sosa, J.A.; Check, D.; Kitahara, C.M. Trends in Thyroid Cancer Incidence and Mortality in the United States, 1974–2013. JAMA 2017, 317, 1338–1348. [Google Scholar] [CrossRef] [PubMed]
- Grubey, J.S.; Raji, Y.; Duke, W.S.; Terris, D.J. Outpatient thyroidectomy is safe in the elderly and super-elderly. Laryngoscope 2018, 128, 290–294. [Google Scholar] [CrossRef] [PubMed]
- Sahli, Z.T.; Zhou, S.; Najjar, O.; Onasanya, O.; Segev, D.; Massie, A.; Zeiger, M.A.; Mathur, A. Octogenarians have worse clinical outcomes after thyroidectomy. Am. J. Surg. 2018, 216, 1171–1176. [Google Scholar] [CrossRef] [PubMed]
- Sahli, Z.T.; Ansari, G.; Gurakar, M.; Canner, J.K.; Segev, D.; Zeiger, M.A.; Mathur, A. Thyroidectomy in older adults: An American College of Surgeons National Surgical Quality Improvement Program study of outcomes. J. Surg. Res. 2018, 229, 20–27. [Google Scholar] [CrossRef] [PubMed]
- Papoian, V.; Marji, F.P.; Rosen, J.E.; Carroll, N.M.; Felger, E.A. Safety of Thyroid Surgery in the Elderly: A Propensity Score Matched Cohort Study. J. Surg. Res. 2019, 242, 239–243. [Google Scholar] [CrossRef] [PubMed]
- Diaconescu, M.R.; Glod, M.; Costea, I. Clinical Features and Surgical Treatment of Thyroid Pathology in Patients Over 65 Years. Chirurgia 2016, 111, 120–125. [Google Scholar] [CrossRef] [PubMed]
- Al-Qahtani, K.H.; Tunio, M.A.; Asiri, M.A.; Bayoumi, Y.; Balbaid, A.; Aljohani, N.J.; Fatani, H. Comparative clinicopathological and outcome analysis of differentiated thyroid cancer in Saudi patients aged below 60 years and above 60 years. Clin. Interv. Aging 2016, 11, 1169–1174. [Google Scholar] [CrossRef][Green Version]
- Zhang, L.M.; Hornor, M.A.; Robinson, T.; Rosenthal, R.A.; Ko, C.Y.; Russell, M.M. Evaluation of Postoperative Functional Health Status Decline Among Older Adults. JAMA Surg. 2020, 155, 950–958. [Google Scholar] [CrossRef]
- Gut, L.; Bernet, S.; Huembelin, M.; Mueller, M.; Baechli, C.; Koch, D.; Nebiker, C.; Schuetz, P.; Mueller, B.; Christ, E.; et al. Sex-Specific Differences in Outcomes Following Thyroidectomy: A Population-Based Cohort Study. Eur. Thyroid. J. 2021, 10, 476–485. [Google Scholar] [CrossRef]
- Abridged Life Table in Republic of China Area. 2021. Available online: https://www.lifetable.de/File/GetDocument/data/TWN/TWN000020212021CU1.pdf (accessed on 21 August 2024).
- Gervasi, R.; Orlando, G.; Lerose, M.A.; Amato, B.; Docimo, G.; Zeppa, P.; Puzziello, A. Thyroid surgery in geriatric patients: A literature review. BMC Surg. 2012, 12 (Suppl. S1), S16. [Google Scholar] [CrossRef] [PubMed]
- Moffatt, D.C.; Tucker, J.; Goldenberg, D. Management of compression symptoms of thyroid goiters: Hemithyroidectomy is equally as successful as total thyroidectomy. Am. J. Otolaryngol. 2023, 44, 103676. [Google Scholar] [CrossRef] [PubMed]
- Liu, Z.; Xu, G.; Xu, L.; Zhang, Y.; Huang, Y. Perioperative Cardiac Complications in Patients Over 80 Years of Age with Coronary Artery Disease Undergoing Noncardiac Surgery: The Incidence and Risk Factors. Clin. Interv. Aging 2020, 15, 1181–1191. [Google Scholar] [CrossRef]
- Bolat, İ. Preoperative Right Ventricular Echocardiographic Parameters Predict Perioperative Cardiovascular Complications in Patients Undergoing Non-Cardiac Surgery. Heart Lung Circ. 2020, 29, 1146–1151. [Google Scholar] [CrossRef]
- Dellal, F.D.; Özdemir, D.; Tam, A.A.; Baser, H.; Tatli Dogan, H.; Parlak, O.; Ersoy, R.; Cakir, B. Clinicopathological features of thyroid cancer in the elderly compared to younger counterparts: Single-center experience. J. Endocrinol. Investig. 2017, 40, 471–479. [Google Scholar] [CrossRef]
- Păduraru, D.N.; Ion, D.; Carsote, M.; Andronic, O.; Bolocan, A. Post-thyroidectomy Hypocalcemia—Risk Factors and Management. Chirurgia 2019, 114, 564–570. [Google Scholar] [CrossRef] [PubMed]
- Echanique, K.A.; Govindan, A.; Mohamed, O.M.; Sylvester, M.; Baredes, S.; Ying, M.Y.; Kalyoussef, E. Age-Related Trends of Patients Undergoing Thyroidectomy: Analysis of US Inpatient Data from 2005 to 2013. Otolaryngol. Head Neck Surg. 2019, 160, 457–464. [Google Scholar] [CrossRef]
- Gorbea, E.; Goldrich, D.Y.; Agarwal, J.; Nayak, R.; Iloreta, A.M. The impact of surgeon volume on total thyroidectomy outcomes among otolaryngologists. Am. J. Otolaryngol. 2020, 41, 102726. [Google Scholar] [CrossRef]
- Eskander, A.; Noel, C.W.; Griffiths, R.; Pasternak, J.D.; Higgins, K.; Urbach, D.; Goldstein, D.P.; Irish, J.C.; Fu, R. Surgeon Thyroidectomy Case Volume Impacts Disease-free Survival in the Management of Thyroid Cancer. Laryngoscope 2023, 133 (Suppl. S4), S1–S15. [Google Scholar] [CrossRef]
- Wahl, T.S.; Graham, L.A.; Hawn, M.T.; Richman, J.; Hollis, R.H.; Jones, C.E.; Copeland, L.A.; Burns, E.A.; Itani, K.M.; Morris, M.S. Association of the Modified Frailty Index With 30-Day Surgical Readmission. JAMA Surg. 2017, 152, 749–757. [Google Scholar] [CrossRef]
- Panayi, A.C.; Orkaby, A.R.; Sakthivel, D.; Endo, Y.; Varon, D.; Roh, D.; Orgill, D.; Neppl, R.; Javedan, H.; Bhasin, S.; et al. Impact of frailty on outcomes in surgical patients: A systematic review and meta-analysis. Am. J. Surg. 2019, 218, 393–400. [Google Scholar] [CrossRef]
- Cappelli, C.; Pirola, I.; Agosti, B.; Tironi, A.; Gandossi, E.; Incardona, P.; Marini, F.; Guerini, A.; Castellano, M. Complications after fine-needle aspiration cytology: A retrospective study of 7449 consecutive thyroid nodules. Br. J. Oral Maxillofac. Surg. 2017, 55, 266–269. [Google Scholar] [CrossRef] [PubMed]
- Albrecht, J.S.; Gruber-Baldini, A.L.; Hirshon, J.M.; Brown, C.H.; Goldberg, R.; Rosenberg, J.H.; Comer, A.C.; Furuno, J.P. Hospital discharge instructions: Comprehension and compliance among older adults. J. Gen. Intern. Med. 2014, 29, 1491–1498. [Google Scholar] [CrossRef] [PubMed]
- Renom-Guiteras, A. Potentially inappropriate medication among people with dementia: Towards individualized decision-making. Eur. Geriatr. Med. 2021, 12, 569–575. [Google Scholar] [CrossRef]
- Yaniv, D.; Vainer, I.; Amir, I.; Robenshtok, E.; Hirsch, D.; Watt, T.; Hilly, O.; Shkedy, Y.; Shpitzer, T.; Bachar, G.; et al. Quality of life following lobectomy versus total thyroidectomy is significantly related to hypothyroidism. J. Surg. Oncol. 2022, 126, 640–648. [Google Scholar] [CrossRef] [PubMed]



| Characteristics | Overall (N = 17) | Benign (N = 12) | Malignant (N = 5) | p-Value |
|---|---|---|---|---|
| Age † (years) | 85.6 ± 4.8 | 84.4 ± 2.9 | 88.4 ± 7.4 | 0.339 |
| Sex, female, n (%) | 14 (82.4%) | 10 (83.3%) | 4 (80%) | 1.000 |
| BMI † | 24.5 ± 4.3 | 24.2 ± 4.9 | 25.1 ± 2.4 | 0.383 |
| Family history of thyroid disease, n (%) | 1 (6%) | 0 | 1 (20%) | 0.294 |
| History of thyroidectomy | 2 (11.8%) | 1 (8.3%) | 1 (20%) | 0.515 |
| Functional status, n (%) | 1.000 | |||
| Independent | 10 (58.8%) | 7 (58.3%) | 3 (60%) | |
| Partially dependent | 7 (41.2%) | 5 (41.7%) | 2 (40%) | |
| Totally dependent | 0 | 0 | 0 | |
| Comorbidity, n (%) | ||||
| Type 2 Diabetes mellitus | 5 (30.4%) | 2 (16.7%) | 3 (60%) | 0.117 |
| Hypertension | 12 (70.6%) | 8 (66.7%) | 4 (80%) | 1.000 |
| Cardiac vascular disease | 2 (11.8%) | 1 (8.3%) | 1 (20%) | 0.515 |
| Chronic kidney disease | 9 (52.9%) | 7 (58.3%) | 2 (40%) | 0.620 |
| Chronic pulmonary disease | 2 (11.8%) | 2 (16.7%) | 0 | 1.000 |
| Chronic anemia | 6 (35.3%) | 3 (25%) | 3 (60%) | 0.280 |
| Other cancers | 3 (17.6%) | 2 (16.7%) | 1 (20%) | 1.000 |
| Modified Frailty Index †,†† | 0.16 ± 0.12 (0.2 [0–0.4]) | 0.15 ± 0.12 (0.15 [0–0.4]) | 0.18 ± 0.11 (0.2 [0–0.3]) | 0.574 |
| All compression symptoms, n (%) | 14 (82.4%) | 10(83.3%) | 4 (80%) | 1 |
| Palpable mass or foreign body sensation | 11 (64.7%) | 7 (58.3) | 4 (80%) | 0.600 |
| Difficulty in breathing | 9 (52.9%) | 6 (50%) | 3 (60%) | 1.000 |
| Dysphagia | 6(35.3%) | 4 (33.3%) | 2 (40%) | 1.000 |
| Voice change | 2 (11.8%) | 1(9.3%) | 1 (20%) | 0.515 |
| Preoperative evaluation, n (%) | ||||
| Neck CT scan | 10 (58.8%) | 6 (50%) | 4 (80%) | 0.338 |
| TI-RADS T1/T2/T3/T4/T5, n | 0/8/4/5/0 | 0/7/1/4/0 | 0/1/3/1/0 | 0.667 |
| Echocardiography | 11 (64.7%) | 7 (58.3) | 4 (80%) | 0.600 |
| Lung function test | 5 (29.4%) | 3 (25%) | 2 (40%) | 0.472 |
| ASA-1/2/3/4, n | 0/6/11/0 | 0/4/8/0 | 0/2/3/0 | 0.605 |
| Dominant tumor size † (cm) | 5.5 ± 2.8 | 5.5 ± 2.3 | 5.6 ± 4.2 | 1 |
| FNAC | 15 (88.2%) | 11 (91.7%) | 4 (80%) | 0.447 |
| Time †† | 1 [0–17] | 1 [0–17] | 2 [0–9] | 1.000 |
| Unilateral % | 10 (66.7%) | 8 (72.7%) | 3 (60%) | 0.407 |
| Bilateral % | 5 (33.3%) | 3 (27.2%) | 2 (40%) | 0.407 |
| Bethesda category | ||||
| Nondiagnostic | 4 (26.7%) | 2 (16.7%) | 2 (40%) | |
| Benign | 8 (53.3%) | 8 (66.7%) | 0 | |
| Atypia | 2 (13.3%) | 1 (8.3%) | 1 (20%) | |
| Suspicious for malignancy | 0 | 0 | 0 | |
| Malignancy | 1 (6.7%) | 0 | 1 (20%) |
| Characteristics | Overall (N = 17) | Benign (N = 12) | Malignant (N = 5) | p-Value |
|---|---|---|---|---|
| Surgery | 0.538 | |||
| Unilateral thyroidectomy, n (%) | 13 (76.4%) | 10 (83.3%) | 3 (60%) | |
| Bilateral thyroidectomy, n (%) | 4 (23.6%) | 2 (16.7%) | 2 (40%) | |
| IONM, n (%) | 12 (70.6%) | 8 (66.7%) | 4 (80%) | 1.000 |
| Energy devices, n (%) | 12 (70.6%) | 8 (66.7%) | 4 (80%) | 1.000 |
| Operation time †,†† (min) | 183.9 ± 57.0 (180 [130–350]) | 164.3 ± 32.0 (157.5 [130–230]) | 231.0 ± 79.1(200 [155–350]) | 0.048 |
| Unilateral thyroidectomy (min) | 172.0 ± 43.3 (155 [130–270]) | 161.1 ± 34.4 (145 [130–230]) | 208.3 ± 58.0(200 [155–270]) | 0.143 |
| Bilateral thyroidectomy (min) | 222.5 ± 85 (222 [180–350]) | 180.0 ± 0(180 [180–180]) | 265.0 ± 120.2(265 [180–350]) | 1.000 |
| Blood loss †,†† (mL) | 80 ± 135 (0 [0–400]) | 33 ± 75 (0 [0–250]) | 192 ± 189 (210 [0–400]) | 0.12 |
| Thyroid volume *,†,†† (mL) | 97.9 ± 86.1 (86.2 [5.5–284.5] | 91.9 ± 82.6 (71.9 [14.7–284.5]) | 112.5 ± 102.7 (103.5 [5.5–227.8]) | 0.861 |
| Each Thyroid volume ***,†,†† (mL) | 97.9 ± 86.1 (60.4 [5.5–284.5] | 78.7 ± 75.2 (58.9 [14.7–284.5]) | 69.1 ± 52 (103 [5.5–113.9]) | 0.820 |
| Unilateral thyroidectomy †,†† (mL) | 70.3 ± 76.4 (57.5 [5.5–284.5]) | 78.6 ± 82.6 (57.5 [14.7–284.5]) | 42.9 ± 53 (19.6 [5.5–103.5]) | 0.469 |
| Bilateral thyroidectomy †,†† (mL) | 187.7 ± 46.6 (201.2 [120.7–227.8]) | 158.5 ± 53.5 (158.5 [120.7–196.4]) | 216.9 ± 15.4 (216.9 [206–227.8]) | 0.333 |
| Thyroid weight †,††,** (g) | 117.3 ± 131.2 (90 [10–510]) | 96.0 ± 84.6 (90 [10–300]) | 160.0 ± 201.7 (110 [10–510]) | 0.743 |
| Each thyroid weight **** (g) | 88.3 ± 85.6 (65 [10–300]) | 84.5 ± 85.2 ([10–300]) | 69.1 ± 52 (65 [10–255] | 0.979 |
| Unilateral thyroidectomy †,†† (g) | 80.9 ± 84.8 (70 [10–300]) | 91.3 ± 95.2 (80 [10–300]) | 53.3 ± 51.3 (40 [10–110]) | 0.673 |
| Bilateral thyroidectomy †,†† (g) | 217.5 ± 195.2 (125 [110–510]) | 115.0 ± 7.1 (115 [110–120]) | 320.0 ± 268.7 (320 [130–510]) | 0.333 |
| Length of stay †,†† (days) | 3.1 ± 4.2 (2 [1–15]) | 1.7 ± 0.8 (1.5 [1–3]) | 6.6 ± 6.8 (2 [1–15]) | 0.134 |
| Time to operation †,†† (months) | 98.9 ± 143.3 (12 [1–500]) | 114.6 ± 162.5 (42 [2–500]) | 61.4 ± 83.6 (3 [1–180]) | 0.737 |
| Postoperative follow-up time †,†† (months) | 33.2 ± 27.6 (28 [2–91]) | 32 ± 28 (24.5 [2–91]) | 36 ± 29.5 (28 [9–85]) | 0.646 |
| Patient No. | Age | Sex | Functional Status | Comorbidity | mFI | Indication for Surgery | Patient Referred from Specialist | FNAC | Operation | Operation Time (min) | Postoperative Complication | Postoperative Stay (Days) | Follow-Up Time (Months) |
|---|---|---|---|---|---|---|---|---|---|---|---|---|---|
| 1 | 98 | F | independent | DM, HTN, CKD, Hyperthyroidism | 0.2 | Hematoma after FNAC caused respiratory failure | Endocrinologists | Non-diagnostic | Left thyroidectomy | 270 | nil | 15 * | 19 ǝ |
| 2 | 92 | F | dependent | HTN | 0.2 | Rapid progression of neck mass with skin ulceration | Endocrinologists | Squamous cell carcinoma | Total thyroidectomy + PMMC flap | 350 | Transient hypocalcemia | 13 * | 28 ǝ |
| 3 | 90 | M | independent | DM, HTN, CKD, Urothelial carcinoma | 0.2 | Difficulty in breathing and mass sensation | Urologist | Benign | Total thyroidectomy | 180 | nil | 2 | 9 ※ |
| 4 | 82 | F | independent | nil | 0 | Multiple pulmonary nodules post wedge resection with pathologic confirmation of metastatic thyroid carcinoma. | Thoracic surgeon | nil | Right thyroidectomy Ɵ | 155 | Transient hypocalcemia | 1 | 85 ǝ |
| 5 | 80 | F | dependent | DM, HTN, Hyperthyroidism, Parkinsonism, atrial fibrillation | 0.3 | Chest tightness, difficulty in breathing | Endocrinologists | atypia cell | Left thyroidectomy Ɵ | 200 | nil | 2 | 39 ǝ |
| Patient No. | Age | Sex | Pathology | Associated Benign Thyroid Disease in Pathology | Dominant Tumor in Image Size (cm) | Pathological Cancer Size (cm) | Thyroid Weight (g) | Thyroid Volume(mL) | Multifocal | Angioinvasion | Lymphatic Invasion | Perineural Invasion | Extrathyroidal Extension |
|---|---|---|---|---|---|---|---|---|---|---|---|---|---|
| 1 | 98 | F | papillary microcarcinoma | Nodular goiter | 4.6 | 0.2 | 110 | 103.5 | Unifocal | nil | nil | nil | nil |
| 2 | 92 | F | poorly to undifferentiated carcinoma with prominent squamous differentiation, bilateral | Follicular neoplasm of uncertain malignant potential, left | 10.6 | 8 | 510 | 227.8 | Unifocal | nil | nil | nil | Present |
| 3 | 90 | M | Hürthle cell carcinoma, left | Nodular goiter, right | 9.3 | 9 | 130 | 206.0 | Unifocal | nil | nil | nil | nil |
| 4 | 82 | F | Papillary carcinoma, follicular variant, right | nil | 0.5 | 0.5 | 10 | 5.5 | Unifocal | nil | nil | nil | nil |
| 5 | 80 | F | Follicular carcinoma, encapsulated angioinvasive, with focal poorly differentiated thyroid carcinoma (5%) | nil | 3.9 | 3.2 | 40 | 19.6 | Unifocal | Present | nil | nil | nil |
Disclaimer/Publisher’s Note: The statements, opinions and data contained in all publications are solely those of the individual author(s) and contributor(s) and not of MDPI and/or the editor(s). MDPI and/or the editor(s) disclaim responsibility for any injury to people or property resulting from any ideas, methods, instructions or products referred to in the content. |
© 2024 by the authors. Licensee MDPI, Basel, Switzerland. This article is an open access article distributed under the terms and conditions of the Creative Commons Attribution (CC BY) license (https://creativecommons.org/licenses/by/4.0/).
Share and Cite
Huang, W.; Chen, Y.-J.; Chen, W.-H. Surgical Outcomes of Thyroidectomy in Geriatric Patients Aged 80 Years and Older: A Single-Center Retrospective Cohort Study. Medicina 2024, 60, 1383. https://doi.org/10.3390/medicina60091383
Huang W, Chen Y-J, Chen W-H. Surgical Outcomes of Thyroidectomy in Geriatric Patients Aged 80 Years and Older: A Single-Center Retrospective Cohort Study. Medicina. 2024; 60(9):1383. https://doi.org/10.3390/medicina60091383
Chicago/Turabian StyleHuang, Wei, Yi-Ju Chen, and Wei-Hsin Chen. 2024. "Surgical Outcomes of Thyroidectomy in Geriatric Patients Aged 80 Years and Older: A Single-Center Retrospective Cohort Study" Medicina 60, no. 9: 1383. https://doi.org/10.3390/medicina60091383
APA StyleHuang, W., Chen, Y.-J., & Chen, W.-H. (2024). Surgical Outcomes of Thyroidectomy in Geriatric Patients Aged 80 Years and Older: A Single-Center Retrospective Cohort Study. Medicina, 60(9), 1383. https://doi.org/10.3390/medicina60091383

