Sporadic Parathyroid Adenoma: A Pilot Study of Novel Biomarkers in Females
Abstract
1. Introduction
2. Materials and Methods
2.1. Tissue Preparation and Assessment
2.2. Immunohistochemical Staining of ANXA2, MED12, MAPK1 and VDR
- (A)
- Allocation. The percentage of each type of parathyroid gland cell involved in the adenoma (over all adenoma cells) that was positive for each staining was assessed and scored as follows: i. 0: 0–5% rate; ii. 1: rate 6–30%; iii. 2: 31–70% rate; iv. 3: rate 71–100%.
- (B)
- Intensity. Graded as negative, mild, moderate, intense compared to the internal control (vessels, adipose tissue, normal parathyroid gland): i. 0: negative; ii. 1: soft; iii. 2: moderate; iv. 3: intense.
- (C)
- Type of staining. Staining was scored as cytoplasmic, membranous or nuclear depending on the part of the cell targeted: i. K: cytoplasmic; ii. M: membranous; iii. P: nuclear.
2.3. Statistical Analysis
3. Results
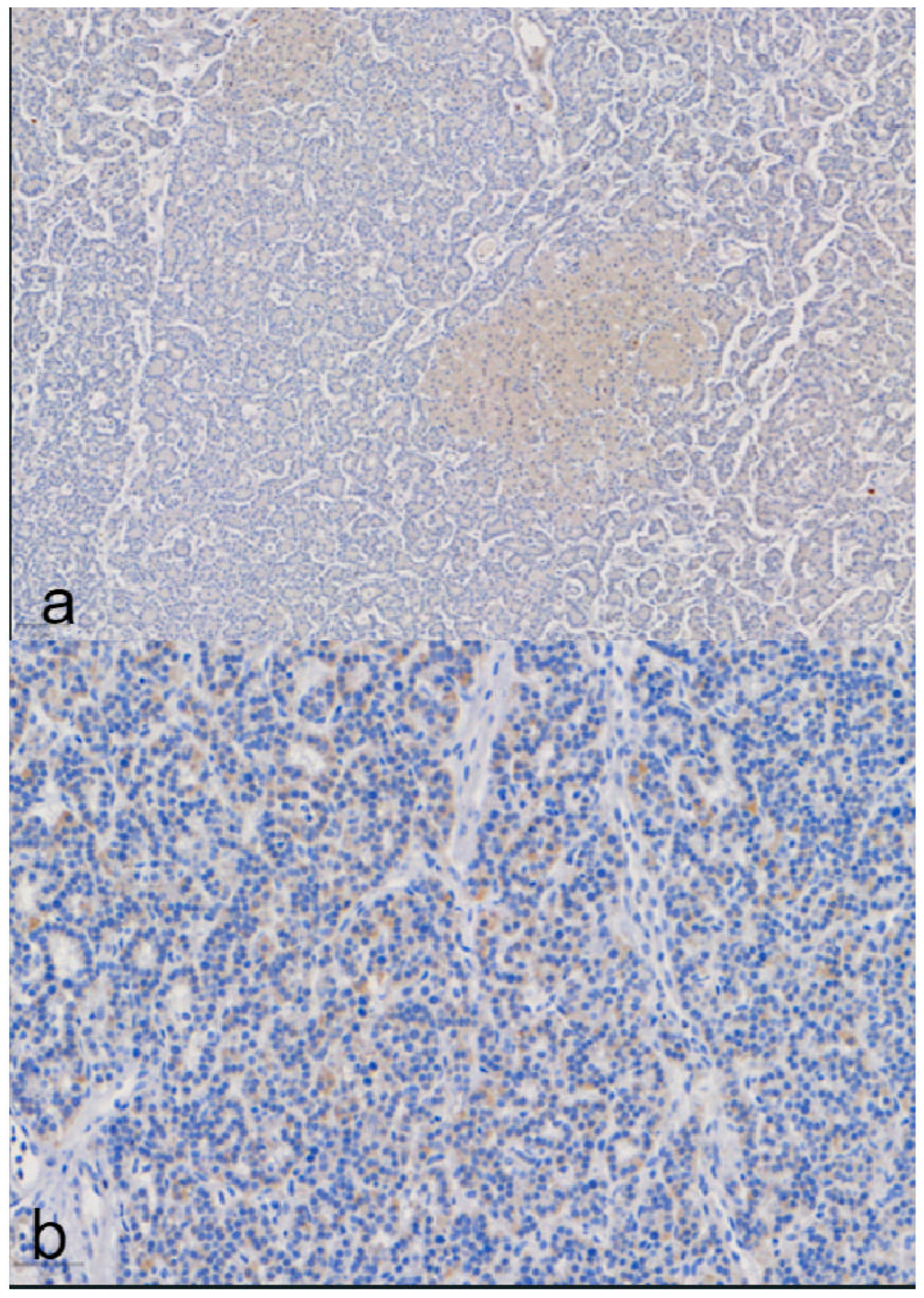
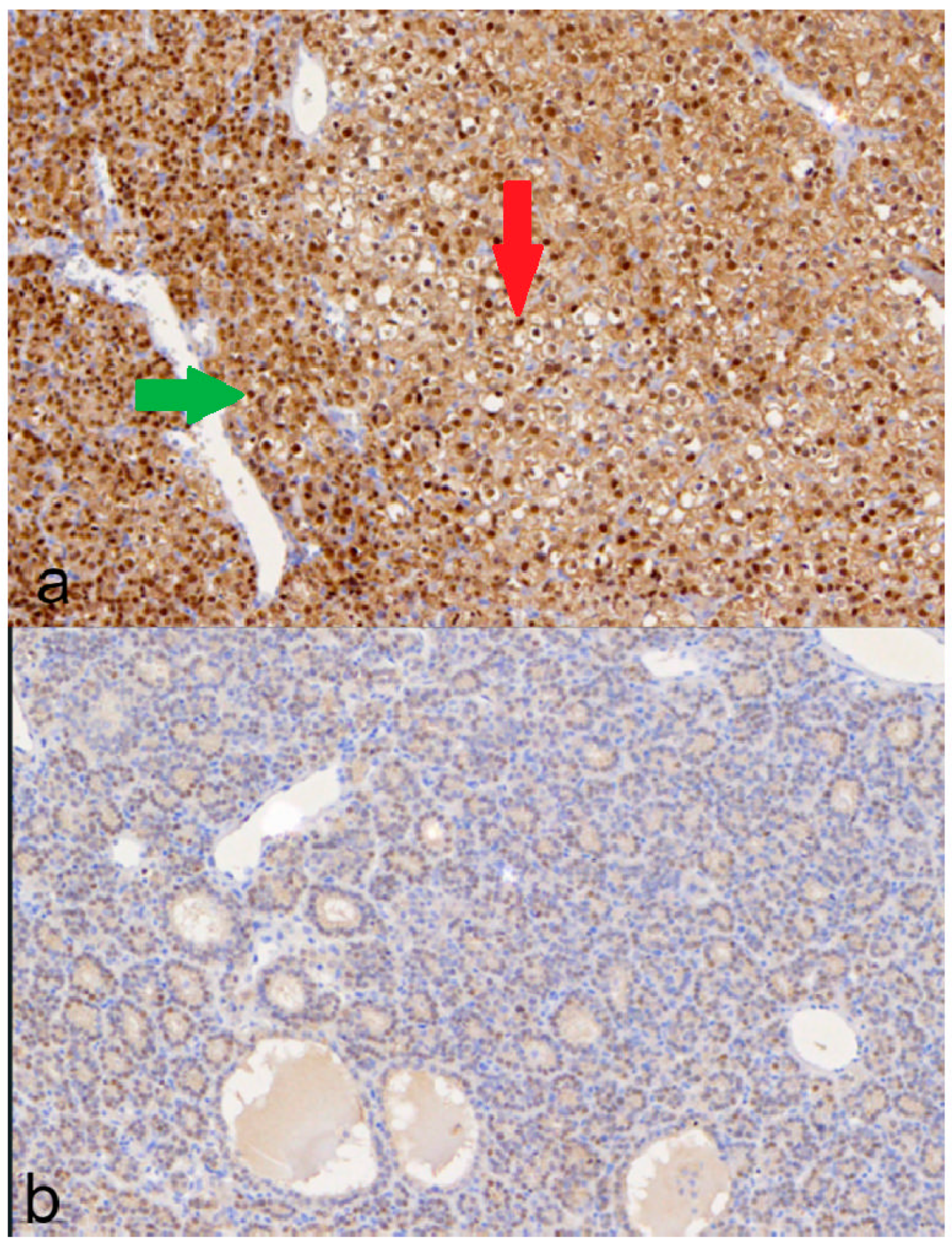
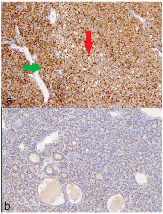
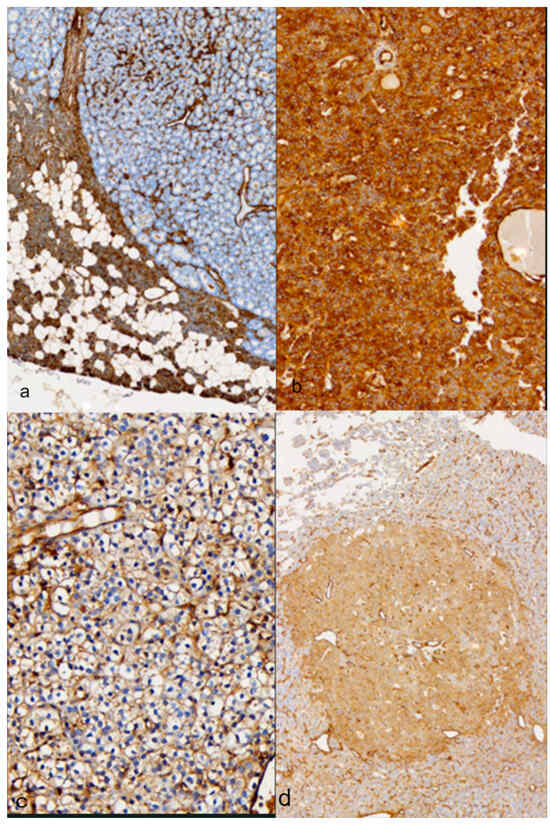
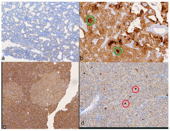
3.1. ANXA2 Immunohistochemical Staining
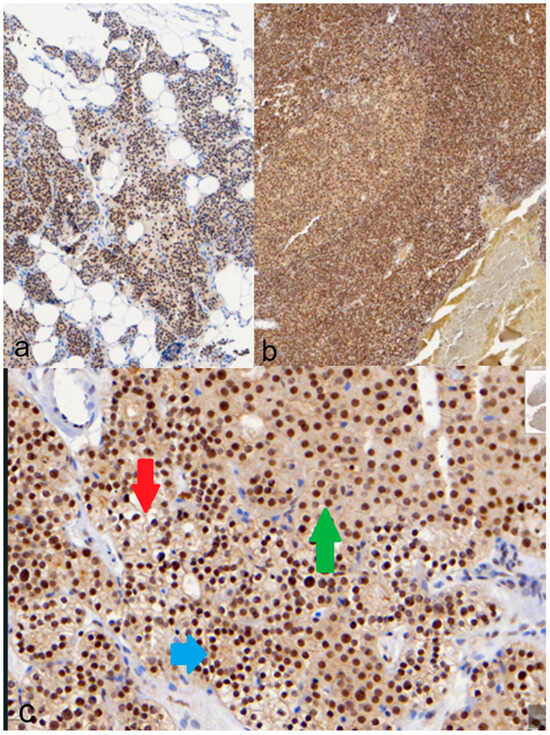
3.2. MED12 Immunohistochemical Staining
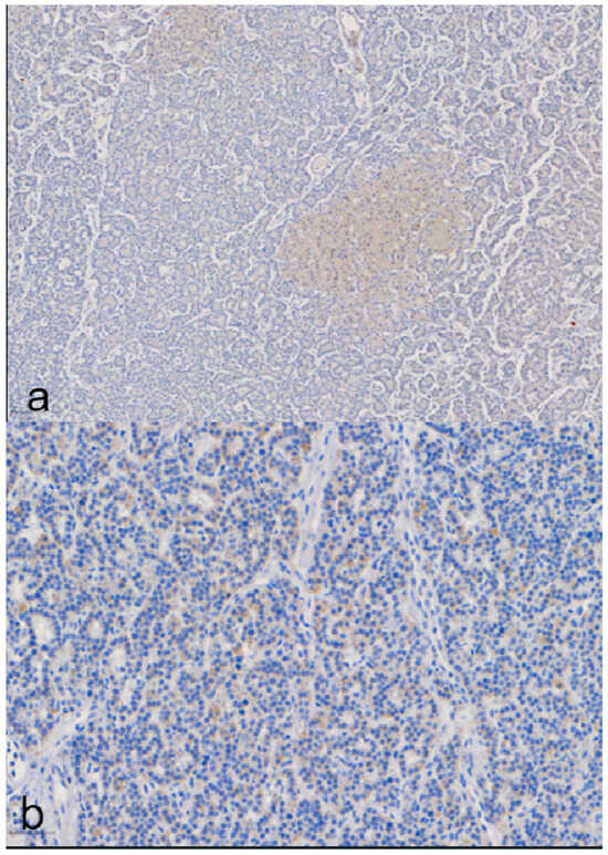
3.3. MAPK1 Immunohistochemical Staining
3.4. VDR Immunohistochemical Staining
4. Discussion
5. Conclusions
Author Contributions
Funding
Institutional Review Board Statement
Informed Consent Statement
Data Availability Statement
Conflicts of Interest
References
- Bilezikian, J.P.; Brandi, M.L.; Eastell, R.; Silverberg, S.J.; Udelsman, R.; Marcocci, C.; Potts, J.T. Guidelines for the management of asymptomatic primary hyperparathyroidism: Summary statement from the Fourth International Workshop. J. Clin. Endocrinol. Metab. 2014, 99, 3561–3569. [Google Scholar] [CrossRef] [PubMed]
- Cusano, N.E.; Cetani, F. Normocalcemic primary hyperparathyroidism. Arch. Endocrinol. Metab. 2022, 66, 666–677. [Google Scholar] [CrossRef] [PubMed]
- Zavatta, G.; Clarke, B.L. Normocalcemic Hyperparathyroidism: A Heterogeneous Disorder Often Misdiagnosed? JBMR Plus 2020, 4, e10391. [Google Scholar] [CrossRef] [PubMed]
- Erickson, L.A.; Mete, O.; Juhlin, C.C.; Perren, A.; Gill, A.J. Overview of the 2022 WHO Classification of Parathyroid Tumors. Endocr. Pathol. 2022, 33, 64–89. [Google Scholar] [CrossRef] [PubMed]
- Cetani, F.; Pardi, E.; Borsari, S.; Marcocci, C. Molecular pathogenesis of primary hyperparathyroidism. J. Endocrinol. Invest. 2011, 34, 35–39. [Google Scholar] [PubMed]
- Lu, M.; Kjellin, H.; Fotouhi, O.; Lee, L.; Nilsson, I.L.; Haglund, F.; Höög, A.; Lehtiö, J.; Larsson, C. Molecular profiles of oxyphilic and chief cell parathyroid adenoma. Mol. Cell Endocrinol. 2018, 470, 84–95. [Google Scholar] [CrossRef] [PubMed]
- Arya, A.K.; Bhadada, S.K.; Singh, P.; Dahiya, D.; Kaur, G.; Sharma, S.; Saikia, U.N.; Behera, A.; Rao, S.D.; Bhasin, M. Quantitative proteomics analysis of sporadic parathyroid adenoma tissue samples. J. Endocrinol. Invest. 2019, 42, 577–590. [Google Scholar] [CrossRef]
- Donadio, E.; Giusti, L.; Cetani, F.; Da Valle, Y.; Ciregia, F.; Giannaccini, G.; Pardi, E.; Saponaro, F.; Torregrossa, L.; Basolo, F.; et al. Evaluation of formalin-fixed paraffin-embedded tissues in the proteomic analysis of parathyroid glands. Proteome Sci. 2011, 9, 29. [Google Scholar] [CrossRef] [PubMed]
- Varshney, S.; Bhadada, S.K.; Saikia, U.N.; Sachdeva, N.; Behera, A.; Arya, A.K.; Sharma, S.; Bhansali, A.; Mithal, A.; Rao, S.D. Simultaneous expression analysis of vitamin D receptor, calcium-sensing receptor, cyclin D1, and PTH in symptomatic primary hyperparathyroidism in Asian Indians. Eur. J. Endocrinol. 2013, 169, 109–116. [Google Scholar] [CrossRef]
- Akpinar, G.; Kasap, M.; Canturk, N.Z.; Zulfigarova, M.; Islek, E.E.; Guler, S.A.; Simsek, T.; Canturk, Z. Proteomics analysis of tissue samples reveals changes in mitochondrial protein levels in parathyroid hyperplasia over adenoma. Cancer Genom. Proteom. 2017, 14, 197–211. [Google Scholar] [CrossRef]
- Giusti, L.; Cetani, F.; Ciregia, F.; Da Valle, Y.; Donadio, E.; Giannaccini, G.; Banti, C.; Pardi, E.; Saponaro, F.; Basolo, F.; et al. A proteomic approach to study parathyroid glands. Mol. Biosyst. 2011, 7, 687–699. [Google Scholar] [CrossRef] [PubMed]
- Christensen, M.V.; Høgdall, C.K.; Umsen, K.M.J.; Høgdall, E.V.S. Annexin A2 and cancer: A systematic review. Int. J. Oncol. 2018, 52, 5–18. [Google Scholar] [CrossRef] [PubMed]
- Sharma, M.C. Annexin A2 (ANX A2): An emerging biomarker and potential therapeutic target for aggressive cancers. Int. J. Cancer 2019, 144, 2074–2081. [Google Scholar] [CrossRef] [PubMed]
- Deng, F.Y.; Lei, S.F.; Zhang, Y.; Zhang, Y.L.; Zheng, Y.P.; Zhang, L.S.; Pan, R.; Wang, L.; Tian, Q.; Shen, H.; et al. Peripheral blood monocyte-expressed ANXA2 gene is involved in pathogenesis of osteoporosis in humans. Mol. Cell. Proteom. 2011, 10, M111.011700. [Google Scholar] [CrossRef] [PubMed]
- Zhang, X.; Liu, S.; Guo, C.; Zong, J.; Sun, M.Z. The association of annexin A2 and cancers. Clin. Transl. Oncol. 2012, 14, 634–640. [Google Scholar] [CrossRef] [PubMed]
- Jin, J.; Bhatti, D.L.; Lee, K.W.; Medrihan, L.; Cheng, J.; Wei, J.; Zhong, P.; Yan, Z.; Kooiker, C.; Song, C.; et al. Ahnak scaffolds p11/Anxa2 complex and L-type voltage-gated calcium channel and modulates depressive behavior. Mol. Psychiatry 2020, 25, 1035–1049. [Google Scholar] [CrossRef]
- Pandey, S.; Ranjan, R.; Pandey, S.; Mishra, R.M.; Seth, T.; Saxena, R. Effect of ANXA2 gene single nucleotide polymorphism (SNP) on the development of osteonecrosis in Indian sickle cell patient: A PCR-RFLP approach. Indian. J. Exp. Biol. 2012, 50, 455–458. [Google Scholar]
- Available online: https://www.uniprot.org/uniprotkb/Q93074/entry (accessed on 2 July 2024).
- Wang, H.; Shen, Q.; Ye, L.-H.; Ye, J. MED12 mutations in human diseases. Protein Cell 2013, 4, 643–646. [Google Scholar] [CrossRef] [PubMed]
- Narayanan, D.L.; Phadke, S.R. A novel variant in MED12 gene: Further delineation of phenotype. Am. J. Med. Genet. A 2017, 173, 2257–2260. [Google Scholar] [CrossRef]
- Philibert, R.A.; Madan, A. Role of MED12 in transcription and human behavior. Pharmacogenomics 2007, 8, 909–916. [Google Scholar] [CrossRef]
- Napoli, C.; Schiano, C.; Soricelli, A. Increasing evidence of pathogenic role of the Mediator (MED) complex in the development of cardiovascular diseases. Biochimie 2019, 165, 1–8. [Google Scholar] [CrossRef] [PubMed]
- Pérot, G.; Croce, S.; Ribeiro, A.; Lagarde, P.; Velasco, V.; Neuville, A.; Coindre, J.-M.; Stoeckle, E.; Floquet, A.; MacGrogan, G.; et al. MED12 Alterations in Both Human Benign and Malignant Uterine Soft Tissue Tumors. PLoS ONE 2012, 7, e40015. [Google Scholar] [CrossRef] [PubMed]
- Laé, M.; Gardrat, S.; Rondeau, S.; Richardot, C.; Caly, M.; Chemlali, W.; Vacher, S.; Couturier, J.; Mariani, O.; Terrier, P.; et al. MED12 mutations in breast phyllodes tumors: Evidence of temporal tumoral heterogeneity and identification of associated critical signaling pathways. Oncotarget 2016, 7, 84428–84438. [Google Scholar] [CrossRef] [PubMed]
- Loke, B.N.; Md Nasir, N.D.; Thike, A.A.; Lee, J.Y.H.; Lee, C.S.; Teh, B.T.; Tan, P.H. Genetics and genomics of breast fibroadenomas. J. Clin. Pathol. 2018, 71, 381–387. [Google Scholar] [CrossRef] [PubMed]
- Available online: https://atlasgeneticsoncology.org/gene/41288/mapk1-(mitogen-activated-protein-kinase-1)/ (accessed on 2 July 2024).
- Available online: https://www.proteinatlas.org/ENSG00000100030-MAPK1 (accessed on 2 July 2024).
- Li, S.; Ma, Y.M.; Zheng, P.S.; Zhang, P. GDF15 promotes the proliferation of cervical cancer cells by phosphorylating AKT1 and Erk1/2 through the receptor ErbB2. J. Exp. Clin. Cancer Res. 2018, 37, 80. [Google Scholar] [CrossRef] [PubMed]
- Available online: https://www.uniprot.org/uniprotkb/P11473/entry#function (accessed on 2 July 2024).
- Schulten, H.J.; Al-Mansouri, Z.; Baghallab, I.; Bagatian, N.; Subhi, O.; Karim, S.; Al-Aradati, H.; Al-Mutawa, A.; Johary, A.; Meccawy, A.A.; et al. Comparison of microarray expression profiles between follicular variant of papillary thyroid carcinomas and follicular adenomas of the thyroid. BMC Genom. 2015, 16, S7. [Google Scholar] [CrossRef] [PubMed]
- Bi, C.; Li, B.; Du, L.; Wang, L.; Zhang, Y.; Cheng, Z.; Zhai, A. Vitamin D receptor, an important transcription factor associated with aldosterone-producing adenoma. PLoS ONE 2013, 8, e82309. [Google Scholar] [CrossRef] [PubMed]
- DeSantis, K.A.; Robilotto, S.L.; Matson, M.; Kotb, N.M.; Lapierre, C.M.; Minhas, Z.; Leder, A.A.; Abdul, K.; Facteau, E.M.; Welsh, J. VDR in salivary gland homeostasis and cancer. J. Steroid Biochem. Mol. Biol. 2020, 199, 105600. [Google Scholar] [CrossRef]
- Larriba, M.J.; Ordóñez-Morán, P.; Chicote, I.; Martín-Fernández, G.; Puig, I.; Muñoz, A.; Pálmer, H.G. Vitamin D receptor deficiency enhances Wnt/β-catenin signaling and tumor burden in colon cancer. PLoS ONE 2011, 6, e23524. [Google Scholar] [CrossRef]
- Twigt, B.A.; Scholten, A.; Valk, G.D.; Rinkes, I.H.B.; Vriens, M.R. Differences between sporadic and MEN related primary hyperparathyroidism; clinical expression, preoperative workup, operative strategy and follow-up. Orphanet. J. Rare Dis. 2013, 8, 50. [Google Scholar] [CrossRef]
- Gupta, G.K.; Gupta, G.K.; Agrawal, T.; Agrawal, T.; Pilichowska, M. Immunohistochemical expression of vitamin D receptor and forkhead box P3 in classic Hodgkin lymphoma: Correlation with clinical and pathologic findings. BMC Cancer 2020, 20, 535. [Google Scholar] [CrossRef] [PubMed]
- Liu, H.; He, Y.; Beck, J.; da Silva Teixeira, S.; Harrison, K.; Xu, Y.; Sisley, S. Defining vitamin D receptor expression in the brain using a novel VDRCre mouse. J. Comp. Neurol. 2021, 529, 2362–2375. [Google Scholar] [CrossRef] [PubMed]
- Rao, S.; Han, Z.H.; Phillips, E.R.; Palnitkar, S.; Parfitt, A.M. Reduced vitamin D receptor expression in parathyroid adenomas: Implications for pathogenesis. Clin. Endocrinol. 2000, 53, 373–381. [Google Scholar] [CrossRef]
- Rehab Mohamed Sharaf, E.; Basma Mostafa Mahmoud, A.; Samia Ibrahim, E.N.; Wesam Ismail, M. Expression of Vitamin D Receptor (VDR) in Urinary Bladder Carcinoma: Immunohistochemical and Histopathological Study. Int. J. Pathol. Clin. Res. 2022, 8, 139. [Google Scholar] [CrossRef]
- An, H.J.; Song, D.H. Displacement of Vitamin D receptor is related to lower histological grade of endometrioid carcinoma. Anticancer. Res. 2019, 39, 4143–4147. [Google Scholar] [CrossRef]





| Gender | |
| Female | 50 |
| Age (years) | 54.11 ± 12.46 |
| Preoperative serum calcium (mg/dL) (normal values 8.4–10.2) | 10.91 ± 0.76 |
| Postoperative serum calcium (mg/dL) (normal values 8.4–10.2) | 9.12 ± 0.62 |
| Preoperative parathyroid hormone (pg/mL) (normal values 10–68) | 82.77 ± 71.04 |
| Postoperative parathyroid hormone (pg/mL) (normal values 10–68) | 18.11 ± 16.99 |
| Preoperative serum phosphorus (mg/dL) (normal values 2.3–4.7) | 2.88 ± 0.46 |
| Postoperative serum phosphorus (mg/dL) (normal values 2.3–4.7) | 3.38 ± 0.74 |
| Adenoma diameter (cm) | 1.87 ± 0.73 |
| Adenoma weight (gr) | 1.12 ± 1.04 |
| Total Positivity | Chief Cells | Oxyphil Cells | Clear Cells | |||||||
|---|---|---|---|---|---|---|---|---|---|---|
| Positivity | Intensity | Type of Staining | Positivity | Intensity | Type of Staining | Positivity | Intensity | Type of Staining | ||
| ANXA2 | 60.8% | 51% | 27.5% mild 19.6% intense 46.5% mild and moderate | 59.4% cytoplasmic 3.9% membranous 21.6% cytoplasmic and membranous | 37.3% | Mild | cytoplasmic | 21.6% | Mild | Cytoplasmic |
| MED12 | 66% | 86.3% | 23.5% mild 23.5% moderate 25.5% mild and moderate 27.5% intense | Nuclear | 35.3% | 19.6% moderate | Nuclear | 33.3% | 15.7% moderate | Nuclear |
| MAPK1 | 11.8% | Negative | Negative | Negative | 17.7% | Mild | Cytoplasmic | Negative | Negative | Negative |
| VDR (all types) | 78.5% | NA | NA | All | NA | NA | All | NA | NA | All |
| VDR (nuclear type) | 22.8% | NA | NA | Nuclear | NA | NA | Nuclear | NA | NA | Nuclear |
Disclaimer/Publisher’s Note: The statements, opinions and data contained in all publications are solely those of the individual author(s) and contributor(s) and not of MDPI and/or the editor(s). MDPI and/or the editor(s) disclaim responsibility for any injury to people or property resulting from any ideas, methods, instructions or products referred to in the content. |
© 2024 by the authors. Licensee MDPI, Basel, Switzerland. This article is an open access article distributed under the terms and conditions of the Creative Commons Attribution (CC BY) license (https://creativecommons.org/licenses/by/4.0/).
Share and Cite
Cheva, A.; Chorti, A.; Boulogeorgou, K.; Chatzikyriakidou, A.; Achilla, C.; Bontinis, V.; Bontinis, A.; Milias, S.; Zarampoukas, T.; Bakkar, S.Y.; et al. Sporadic Parathyroid Adenoma: A Pilot Study of Novel Biomarkers in Females. Medicina 2024, 60, 1100. https://doi.org/10.3390/medicina60071100
Cheva A, Chorti A, Boulogeorgou K, Chatzikyriakidou A, Achilla C, Bontinis V, Bontinis A, Milias S, Zarampoukas T, Bakkar SY, et al. Sporadic Parathyroid Adenoma: A Pilot Study of Novel Biomarkers in Females. Medicina. 2024; 60(7):1100. https://doi.org/10.3390/medicina60071100
Chicago/Turabian StyleCheva, Angeliki, Angeliki Chorti, Kassiani Boulogeorgou, Anthoula Chatzikyriakidou, Charoula Achilla, Vangelis Bontinis, Alkis Bontinis, Stefanos Milias, Thomas Zarampoukas, Sohail Y. Bakkar, and et al. 2024. "Sporadic Parathyroid Adenoma: A Pilot Study of Novel Biomarkers in Females" Medicina 60, no. 7: 1100. https://doi.org/10.3390/medicina60071100
APA StyleCheva, A., Chorti, A., Boulogeorgou, K., Chatzikyriakidou, A., Achilla, C., Bontinis, V., Bontinis, A., Milias, S., Zarampoukas, T., Bakkar, S. Y., & Papavramidis, T. (2024). Sporadic Parathyroid Adenoma: A Pilot Study of Novel Biomarkers in Females. Medicina, 60(7), 1100. https://doi.org/10.3390/medicina60071100

