Endovascular Interventions of Cancer-Associated Venous Thromboembolism with Symptomatic Iliocaval Venous Thrombosis: A Case Report
Abstract
1. Introduction
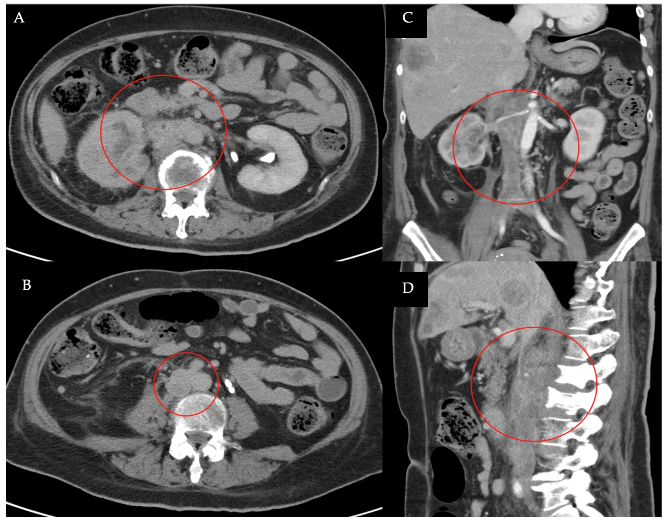
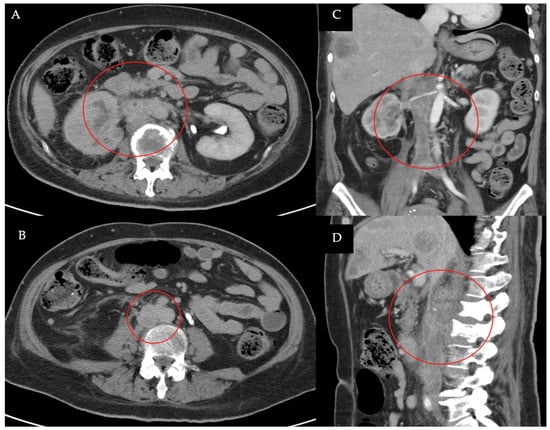
2. Detailed Case Description
3. Discussion
4. Conclusions
Author Contributions
Funding
Institutional Review Board Statement
Informed Consent Statement
Data Availability Statement
Conflicts of Interest
References
- Razak, N.B.A.; Jones, G.; Bhandari, M.; Berndt, M.C.; Metharom, P. Cancer-Associated Thrombosis: An Overview of Mechanisms, Risk Factors, and Treatment. Cancers 2018, 10, 380. [Google Scholar] [CrossRef] [PubMed] [PubMed Central]
- Gervaso, L.; Dave, H.; Khorana, A.A. Venous and Arterial Thromboembolism in Patients with Cancer: JACC: CardioOncology State-of-the-Art Review. JACC CardioOncol. 2021, 3, 173–190. [Google Scholar] [CrossRef] [PubMed]
- Fidelman, N. Update on treatment of cancer-associated thrombosis. Endovasc. Today 2019, 18, 104–112. [Google Scholar]
- Streiff, M.B.; Holmstrom, B.; Angelini, D.; Ashrani, A.; Elshoury, A.; Fanikos, J.; Fertrin, K.Y.; Fogerty, A.E.; Gao, S.; Goldhaber, S.Z.; et al. Cancer-Associated Venous Thromboembolic Disease, Version 2.2021, NCCN Clinical Practice Guidelines in Oncology. J. Natl. Compr. Cancer Netw. 2021, 19, 1181–1201. [Google Scholar] [PubMed]
- Kim, E.H.; Lee, H.G.; Oh, J.S.; Chun, H.J.; Gil Choi, B.; Lee, M.A. Application of manual aspiration thrombectomy in the treatment of deep vein thrombosis in cancer patients: Descriptive retrospective cohort study. PLoS ONE 2021, 16, e0255539. [Google Scholar] [CrossRef] [PubMed] [PubMed Central]
- Falanga, A.; Ay, C.; Di Nisio, M.; Gerotziafas, G.; Jara-Palomares, L.; Langer, F.; Lecumberri, R.; Mandala, M.; Maraveyas, A.; Pabinger, I.; et al. Venous thromboembolism in cancer patients: ESMO Clinical Practice Guideline. Ann. Oncol. 2023, 34, 452–467. [Google Scholar] [CrossRef] [PubMed]
- Mulder, F.I.; Horváth-Puhó, E.; van Es, N.; van Laarhoven, H.W.M.; Pedersen, L.; Moik, F.; Ay, C.; Büller, H.R.; Sørensen, H.T. Venous thromboembolism in cancer patients: A population-based cohort study. Blood 2021, 137, 1959–1969. [Google Scholar] [CrossRef] [PubMed]
- Girardi, L.; Wang, T.F.; Ageno, W.; Carrier, M. Updates in the Incidence, Pathogenesis, and Management of Cancer and Venous Thromboembolism. Arterioscler. Thromb. Vasc. Biol. 2023, 43, 824–831. [Google Scholar] [CrossRef] [PubMed]
- Muscat-Baron, L.; Borg, A.L.; Attard, L.M.; Gatt, A.; Riva, N. Cancer-Associated Abdominal Vein Thrombosis. Cancers 2023, 15, 5293. [Google Scholar] [CrossRef] [PubMed]
- Key, N.S.; Khorana, A.A.; Kuderer, N.M.; Bohlke, K.; Lee, A.Y.; Arcelus, J.I.; Wong, S.L.; Balaban, E.P.; Flowers, C.R.; Francis, C.W.; et al. Venous Thromboembolism Prophylaxis and Treatment in Patients with Cancer: ASCO Clinical Practice Guideline Update. J. Clin. Oncol. 2020, 38, 496–520. [Google Scholar] [CrossRef] [PubMed]
- Farge, D.; Frere, C.; Connors, J.M.; A Khorana, A.; Kakkar, A.; Ay, C.; Muñoz, A.; Brenner, B.; Prata, P.H.; Brilhante, D.; et al. 2022 international clinical practice guidelines for the treatment and prophylaxis of venous thromboembolism in patients with cancer, including patients with COVID-19. Lancet Oncol. 2022, 23, e334–e347. [Google Scholar] [CrossRef] [PubMed]
- Patel, R.M.; Pal, K.; Ahmed, S.H.; Kuban, J.D.; Patel, M.; Shah, K.; Habibollahi, P.; Metwalli, Z.; Gurusamy, V.; Gupta, S.; et al. Mechanical Venous Thrombectomy for Deep Venous Thrombosis in Cancer Patients: A Single-Center Retrospective Study. Cardiovasc. Interv. Radiol. 2024, 47, 556–566. [Google Scholar] [CrossRef] [PubMed]
- Murphy, E.H.; Johns, B.; Varney, E.; Raju, S. Endovascular management of chronic total occlusions of the inferior vena cava and iliac veins. J. Vasc. Surg. Venous Lymphat. Disord. 2017, 5, 47–59. [Google Scholar] [CrossRef] [PubMed]
- Tran, L.M.; Go, C.; Zaghloul, M.; Malak, O.A.; Hager, E.; Eslami, M.H.; Chaer, R.A.; Avgerinos, E.D. Intravascular ultrasound evaluation during iliofemoral venous stenting is associated with improved midterm patency outcomes. J. Vasc. Surg. Venous Lymphat. Disord. 2022, 10, 1294–1303. [Google Scholar] [CrossRef] [PubMed]
- Midulla, M.; Chevallier, O.; Comby, P.; Giordano, G.; Pescatori, L.C.; Falvo, N.; Berg, J.C.v.D.; Cariati, M.; Loffroy, R. Endovas-cular management of the deep venous thrombosis: A new challenging role for the endovascular specialist in 2020. Catheter. Cardiovasc. Interv. 2021, 98, 748–755. [Google Scholar] [CrossRef] [PubMed]
- Zarrintan, S.; Yavari, N.; Tadayon, N.; Majidi, F.; Hosseini, S.M.; Haghighatkhah, H.; Parvas, E.; Kalantar-Motamedi, S.M.R. Iliofemoral Vein Stenting in a Patient with Pelvic Metastasis. Vasc. Spec. Int. 2021, 37, 18. [Google Scholar] [CrossRef] [PubMed]
- Charalel, R.A.; Vedantham, S. Deep Vein Thrombosis Interventions in Cancer Patients. Semin. Interv. Radiol. 2017, 34, 50–53. [Google Scholar] [CrossRef] [PubMed] [PubMed Central][Green Version]
- Desai, K.R.; Chen, R.I. Endovascular therapy for palliative care of cancer patients. Semin. Interv. Radiol. 2007, 24, 382–390. [Google Scholar] [CrossRef] [PubMed] [PubMed Central]
- Streiff, M.B.; Abutalib, S.A.; Farge, D.; Murphy, M.; Connors, J.M.; Piazza, G. Update on Guidelines for the Management of Cancer-Associated Thrombosis. Oncologist 2021, 26, e24–e40. [Google Scholar] [CrossRef] [PubMed] [PubMed Central]
- Yoon, W.J.; Halandras, P.; Aulivola, B.; Crisostomo, P. Malignancy Does not Affect Outcomes of Pharmacomechanical Thrombolysis in Acute Symptomatic Iliofemoral Deep Vein Thrombosis. Ann. Vasc. Surg. 2018, 51, 234–238. [Google Scholar] [CrossRef] [PubMed]




Disclaimer/Publisher’s Note: The statements, opinions and data contained in all publications are solely those of the individual author(s) and contributor(s) and not of MDPI and/or the editor(s). MDPI and/or the editor(s) disclaim responsibility for any injury to people or property resulting from any ideas, methods, instructions or products referred to in the content. |
© 2024 by the authors. Licensee MDPI, Basel, Switzerland. This article is an open access article distributed under the terms and conditions of the Creative Commons Attribution (CC BY) license (https://creativecommons.org/licenses/by/4.0/).
Share and Cite
Ng, S.R.; Chang, J.-C.; Jhan, J.-Y. Endovascular Interventions of Cancer-Associated Venous Thromboembolism with Symptomatic Iliocaval Venous Thrombosis: A Case Report. Medicina 2024, 60, 1369. https://doi.org/10.3390/medicina60081369
Ng SR, Chang J-C, Jhan J-Y. Endovascular Interventions of Cancer-Associated Venous Thromboembolism with Symptomatic Iliocaval Venous Thrombosis: A Case Report. Medicina. 2024; 60(8):1369. https://doi.org/10.3390/medicina60081369
Chicago/Turabian StyleNg, Shin Rui, Jui-Chih Chang, and Jin-You Jhan. 2024. "Endovascular Interventions of Cancer-Associated Venous Thromboembolism with Symptomatic Iliocaval Venous Thrombosis: A Case Report" Medicina 60, no. 8: 1369. https://doi.org/10.3390/medicina60081369
APA StyleNg, S. R., Chang, J.-C., & Jhan, J.-Y. (2024). Endovascular Interventions of Cancer-Associated Venous Thromboembolism with Symptomatic Iliocaval Venous Thrombosis: A Case Report. Medicina, 60(8), 1369. https://doi.org/10.3390/medicina60081369

