Renal Angiomyolipoma with Tumor Thrombus in the Inferior Vena Cava and Right Atrium Accompanied by Renal Cell Carcinoma: A Case Report
Abstract
1. Introduction
2. Case Report
2.1. Medical History
2.2. Physical Examination and Laboratory Testing
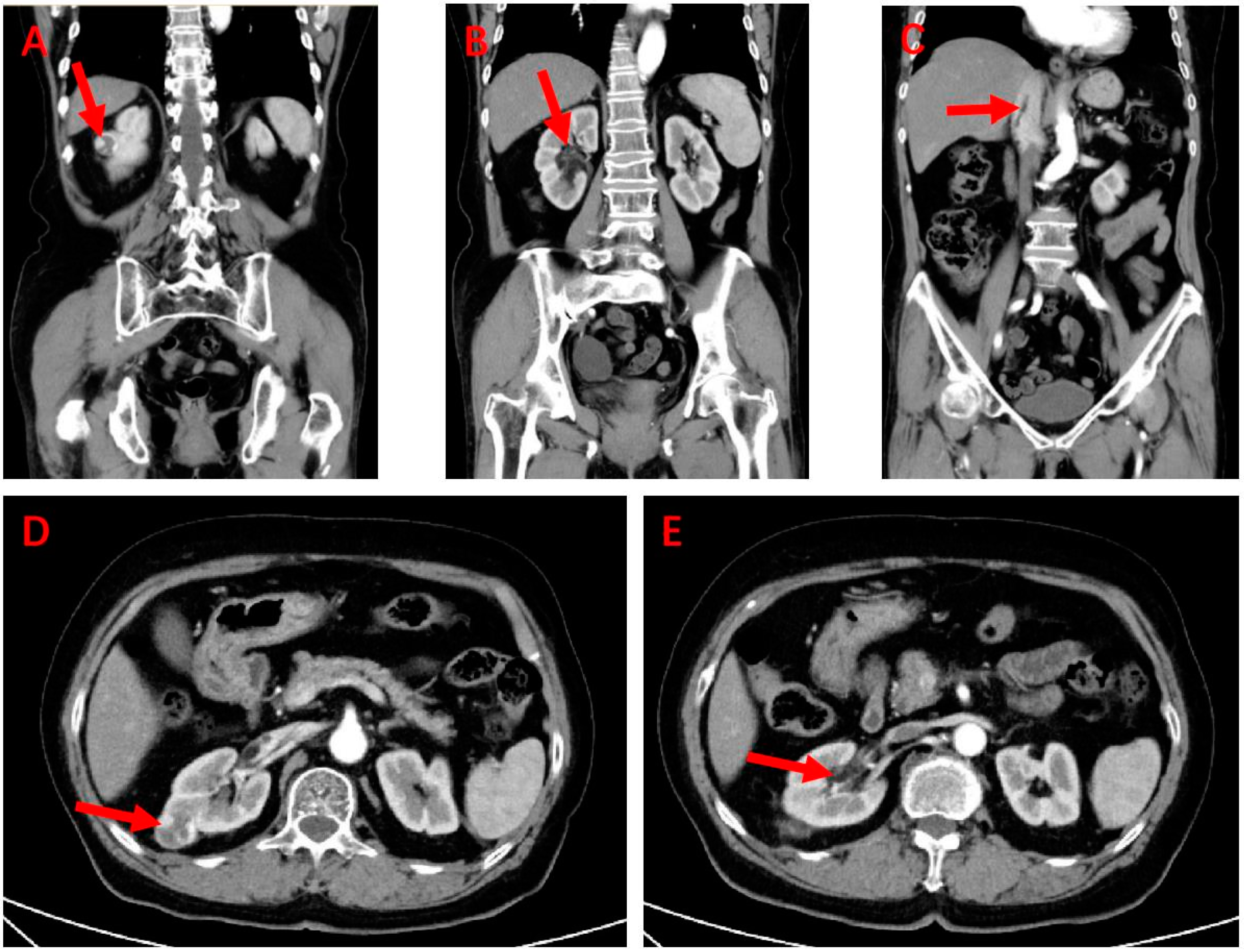
2.3. Imaging Examination
2.4. Therapeutic Regimen
2.5. Postoperative Pathology
2.6. Follow-Up Situation
3. Discussion
4. Conclusions
Supplementary Materials
Author Contributions
Funding
Institutional Review Board Statement
Informed Consent Statement
Data Availability Statement
Acknowledgments
Conflicts of Interest
References
- Lienert, A.R.; Nicol, D. Renal angiomyolipoma. BJU Int. 2012, 110 (Suppl. S4), 25–27. [Google Scholar] [CrossRef] [PubMed]
- Lopater, J.; Hartung, O.; Bretelle, F.; Bastide, C. Management of angiomyolipoma vena cava thrombus during pregnancy. Obstet. Gynecol. 2011, 117 Pt 2, 440–443. [Google Scholar] [CrossRef] [PubMed]
- Baert, J.; Vandamme, B.; Sciot, R.; Oyen, R.; Van Poppel, H.; Baert, L. Benign angiomyolipoma involving the renal vein and vena cava as a tumor thrombus: Case report. J. Urol. 1995, 153, 1205–1207. [Google Scholar] [CrossRef] [PubMed]
- Portocarrero, L.K.L.; Quental, K.N.; Samorano, L.P.; de Oliveira, Z.N.P.; Rivitti-Machado, M.C.D.M. Tuberous sclerosis complex: Review based on new diagnostic criteria. An. Bras. Dermatol. 2018, 93, 323–331. [Google Scholar] [CrossRef] [PubMed]
- Rodrigues, D.A.; Gomes, C.M.; Costa, I.M. Tuberous sclerosis complex. An. Bras. Dermatol. 2012, 87, 184–196. [Google Scholar] [CrossRef] [PubMed]
- Shankar, S.; Hulikanthimatt, K.S.; Awatti, S.M.; Narayanrao, S.T. Bilateral Multifocal Renal Angiomyolipoma Associated with Wunderlich’s Syndrome in a Tuberous Sclerosis Patient. J. Clin. Diagn. Res. 2015, 9, Ed01–Ed03. [Google Scholar] [CrossRef] [PubMed]
- Jinzaki, M.; Silverman, S.G.; Akita, H.; Nagashima, Y.; Mikami, S.; Oya, M. Renal angiomyolipoma: A radiological classification and update on recent developments in diagnosis and management. Abdom. Imaging 2014, 39, 588–604. [Google Scholar] [CrossRef] [PubMed]
- Gupta, D.; Vishwajeet, V.; Pandey, H.; Singh, M.; Sureka, B.; Elhence, P. Epithelioid angiomyolipoma with tumor thrombus in IVC and right atrium. Autops. Case Rep. 2020, 10, e2020190. [Google Scholar] [CrossRef]
- Flum, A.S.; Hamoui, N.; Said, M.A.; Yang, X.J.; Casalino, D.D.; McGuire, B.B.; Perry, K.T.; Nadler, R.B. Update on the Diagnosis and Management of Renal Angiomyolipoma. J. Urol. 2016, 195 Pt 1, 834–846. [Google Scholar] [CrossRef]
- Kutcher, R.; Rosenblatt, R.; Mitsudo, S.M.; Goldman, M.; Kogan, S. Renal angiomyolipoma with sonographic demonstration of extension into the inferior vena cava. Radiology 1982, 143, 755–756. [Google Scholar] [CrossRef]
- Que, X.; Zhu, Y.; Ye, C.; Bi, D.; Fan, J.; Ding, S.; Ning, H.; Ding, K. Invasive Epithelioid Angiomyolipoma with Tumor Thrombus in the Inferior Vena Cava: A Case Report and Literature Review. Urol. Int. 2017, 98, 120–124. [Google Scholar] [CrossRef] [PubMed]
- Kheir, P.; Abdessater, M.; El Khoury, J.; Akiel, R.; El Hachem, C.; Tawil, N.; El Khoury, R. Renal angiomyolipoma with IVC thrombus: A case report. Int. J. Surg. Case Rep. 2020, 70, 149–153. [Google Scholar] [CrossRef] [PubMed]
- Manassero, F.; Mogorovich, A.; Di Paola, G.; Valent, F.; Perrone, V.; Signori, S.; Boggi, U.; Selli, C. Renal cell carcinoma with caval involvement: Contemporary strategies of surgical treatment. Urol. Oncol. 2011, 29, 745–750. [Google Scholar] [CrossRef]
- Novick, A.C.; Kaye, M.C.; Cosgrove, D.M.; Angermeier, K.; Pontes, J.E.; Montie, J.E.; Streem, S.B.; Klein, E.; Stewart, R.; Goormastic, M. Experience with cardiopulmonary bypass and deep hypothermic circulatory arrest in the management of retroperitoneal tumors with large vena caval thrombi. Ann. Surg. 1990, 212, 472–476; discussion 476–477. [Google Scholar] [CrossRef] [PubMed]
- Montironi, R.; Cheng, L.; Scarpelli, M.; Lopez-Beltran, A. Pathology and Genetics: Tumours of the Urinary System and Male Genital System: Clinical Implications of the 4th Edition of the WHO Classification and Beyond. Eur. Urol. 2016, 70, 120–123. [Google Scholar] [CrossRef] [PubMed]
- Fox, C.; Salami, S.S.; Moreira, D.M.; Landis, G.S.; Chan, D.; Yaskiv, O.; Vira, M.A. Aggressive Renal Angiomyolipoma of the Lipomatous Variant with Inferior Vena Cava Thrombus: A Case Report and Review of the Literature. Urol. Case Rep. 2014, 2, 9–11. [Google Scholar] [CrossRef] [PubMed]
- Konosu-Fukaya, S.; Nakamura, Y.; Fujishima, F.; Kasajima, A.; McNamara, K.M.; Takahashi, Y.; Joh, K.; Saito, H.; Ioritani, N.; Ikeda, Y.; et al. Renal epithelioid angiomyolipoma with malignant features: Histological evaluation and novel immunohistochemical findings. Pathol. Int. 2014, 64, 133–141. [Google Scholar] [CrossRef] [PubMed]
- Northrup, H.; Koenig, M.K.; Pearson, D.A.; Au, K.S. Tuberous Sclerosis Complex. In GeneReviews®; Adam, M.P., Feldman, J., Mirzaa, G.M., Pagon, R.A., Wallace, S.E., Bean, L.J.H., Gripp, K.W., Amemiya, A., Eds.; University of Washington: Seattle, WA, USA, 1993. [Google Scholar]
- Singh, A.; Shah, H.J.; Dabiri, B.E.; Landman, W. Renal Collision Tumor: A Case of Small Cell Lung Cancer Metastasis to Renal Angiomyolipoma. Clin. Nucl. Med. 2024, 49, e202–e205. [Google Scholar] [CrossRef]
- Lin, C.-Y.; Chen, H.-Y.; Ding, H.-J.; Yen, K.-Y.; Kao, C.-H. FDG PET or PET/CT in evaluation of renal angiomyolipoma. Korean J. Radiol. 2013, 14, 337–342. [Google Scholar] [CrossRef]
- Rumancik, W.; Bosniak, M.; Rosen, R.; Hulnick, D.; Rumancik, M.B.W.; Goldman, S.; Hartman, D.; Fishman, E.; Finizio, J.; Gatewood, O.; et al. Atypical renal and pararenal hamartomas associated with lymphangiomyomatosis. AJR Am. J. Roentgenol. 1984, 142, 971–972. [Google Scholar] [CrossRef]
- Brantley, R.E.; Mashni, J.W.; Bethards, R.E.; Chernys, A.E.; Chung, W.M. Computerized tomographic demonstration of inferior vena caval tumor thrombus from renal angiomyolipoma. J. Urol. 1985, 133, 836–837. [Google Scholar] [CrossRef] [PubMed]
- Arslan, B.; Gürkan, O.; Çetin, B.; Arslan, Ö.A.; Göv, T.; Yazıcı, G.; Eroglu, T.; Avcı, M.A.; Ozdemir, E. Evaluation of ABO blood groups and blood-based biomarkers as a predictor of growth kinetics of renal angiomyolipoma. Int. Urol. Nephrol. 2018, 50, 2131–2137. [Google Scholar] [CrossRef] [PubMed]
- Mittal, V.; Aulakh, B.S.; Daga, G. Benign renal angiomyolipoma with inferior vena cava thrombosis. Urology 2011, 77, 1503–1506. [Google Scholar] [CrossRef]
- Ito, H.; Nakashima, S.; Toma, H.; Misaki, T. Renal angiomyolipoma associated with inferior vena caval and right atrial thrombus. J. Urol. 1999, 162, 1371–1372. [Google Scholar] [CrossRef]
- Wang, B.-S.; Li, Y.-Z.; Fang, Y.-Y.; Zhang, S.-D.; Ma, L.-L. Imaging predictors for assessment of inferior vena cava wall invasion in patients with renal cell carcinoma and inferior vena cava tumor thrombus: A retrospective study. Chin. Med. J. 2020, 133, 2078–2083. [Google Scholar] [CrossRef]
- Khallouk, A.; Ahallal, Y.; Doublali, M.; Tazi, M.F.; Mellas, S.; El Fassi, M.J.; Farih, M.H. Concurrent bilateral renal angiomyolipoma and renal cell carcinoma in a patient with tuberous sclerosis complex. Rev. Urol. 2009, 11, 216–218. [Google Scholar]
- Cao, Q.-H.; Liu, F.; Xiao, P.; Tian, X.-Y.; Li, B.; Li, Z. Coexistence of renal epithelioid angiomyolipoma and clear cell carcinoma in patients without tuberous sclerosis. Int. J. Surg. Pathol. 2012, 20, 196–200. [Google Scholar] [CrossRef]
- Caliò, A.; Brunelli, M.; Gobbo, S.; Argani, P.; Munari, E.; Netto, G.; Martignoni, G. Cathepsin K: A Novel Diagnostic and Predictive Biomarker for Renal Tumors. Cancers 2021, 13, 2441. [Google Scholar] [CrossRef] [PubMed]
- Yang, J.W.; Liang, C.; Yang, L. Advancements in the diagnosis and treatment of renal epithelioid angiomyolipoma: A narrative review. Kaohsiung J. Med. Sci. 2022, 38, 925–932. [Google Scholar] [CrossRef]
- Zhang, C.; Duan, Y.; Xia, M.; Dong, Y.; Chen, Y.; Zheng, L.; Chai, S.; Zhang, Q.; Wei, Z.; Liu, N.; et al. TFEB Mediates Immune Evasion and Resistance to mTOR Inhibition of Renal Cell Carcinoma via Induction of PD-L1. Clin. Cancer Res. 2019, 25, 6827–6838. [Google Scholar] [CrossRef]
- Makhov, P.; Joshi, S.; Ghatalia, P.; Kutikov, A.; Uzzo, R.G.; Kolenko, V.M. Resistance to Systemic Therapies in Clear Cell Renal Cell Carcinoma: Mechanisms and Management Strategies. Mol. Cancer Ther. 2018, 17, 1355–1364. [Google Scholar] [CrossRef] [PubMed]



Disclaimer/Publisher’s Note: The statements, opinions and data contained in all publications are solely those of the individual author(s) and contributor(s) and not of MDPI and/or the editor(s). MDPI and/or the editor(s) disclaim responsibility for any injury to people or property resulting from any ideas, methods, instructions or products referred to in the content. |
© 2024 by the authors. Licensee MDPI, Basel, Switzerland. This article is an open access article distributed under the terms and conditions of the Creative Commons Attribution (CC BY) license (https://creativecommons.org/licenses/by/4.0/).
Share and Cite
Shu, F.; Hao, Y.; Yan, Y.; Lu, M.; Ma, L.; Deng, S.; Ge, L.; Zhang, S. Renal Angiomyolipoma with Tumor Thrombus in the Inferior Vena Cava and Right Atrium Accompanied by Renal Cell Carcinoma: A Case Report. Medicina 2024, 60, 1293. https://doi.org/10.3390/medicina60081293
Shu F, Hao Y, Yan Y, Lu M, Ma L, Deng S, Ge L, Zhang S. Renal Angiomyolipoma with Tumor Thrombus in the Inferior Vena Cava and Right Atrium Accompanied by Renal Cell Carcinoma: A Case Report. Medicina. 2024; 60(8):1293. https://doi.org/10.3390/medicina60081293
Chicago/Turabian StyleShu, Fan, Yichang Hao, Ye Yan, Min Lu, Lulin Ma, Shaohui Deng, Liyuan Ge, and Shudong Zhang. 2024. "Renal Angiomyolipoma with Tumor Thrombus in the Inferior Vena Cava and Right Atrium Accompanied by Renal Cell Carcinoma: A Case Report" Medicina 60, no. 8: 1293. https://doi.org/10.3390/medicina60081293
APA StyleShu, F., Hao, Y., Yan, Y., Lu, M., Ma, L., Deng, S., Ge, L., & Zhang, S. (2024). Renal Angiomyolipoma with Tumor Thrombus in the Inferior Vena Cava and Right Atrium Accompanied by Renal Cell Carcinoma: A Case Report. Medicina, 60(8), 1293. https://doi.org/10.3390/medicina60081293

