Reinitiating Chemotherapy beyond Progression after Maintenance Immunotherapy in Extensive-Stage Small-Cell Lung Cancer
Abstract
1. Introduction
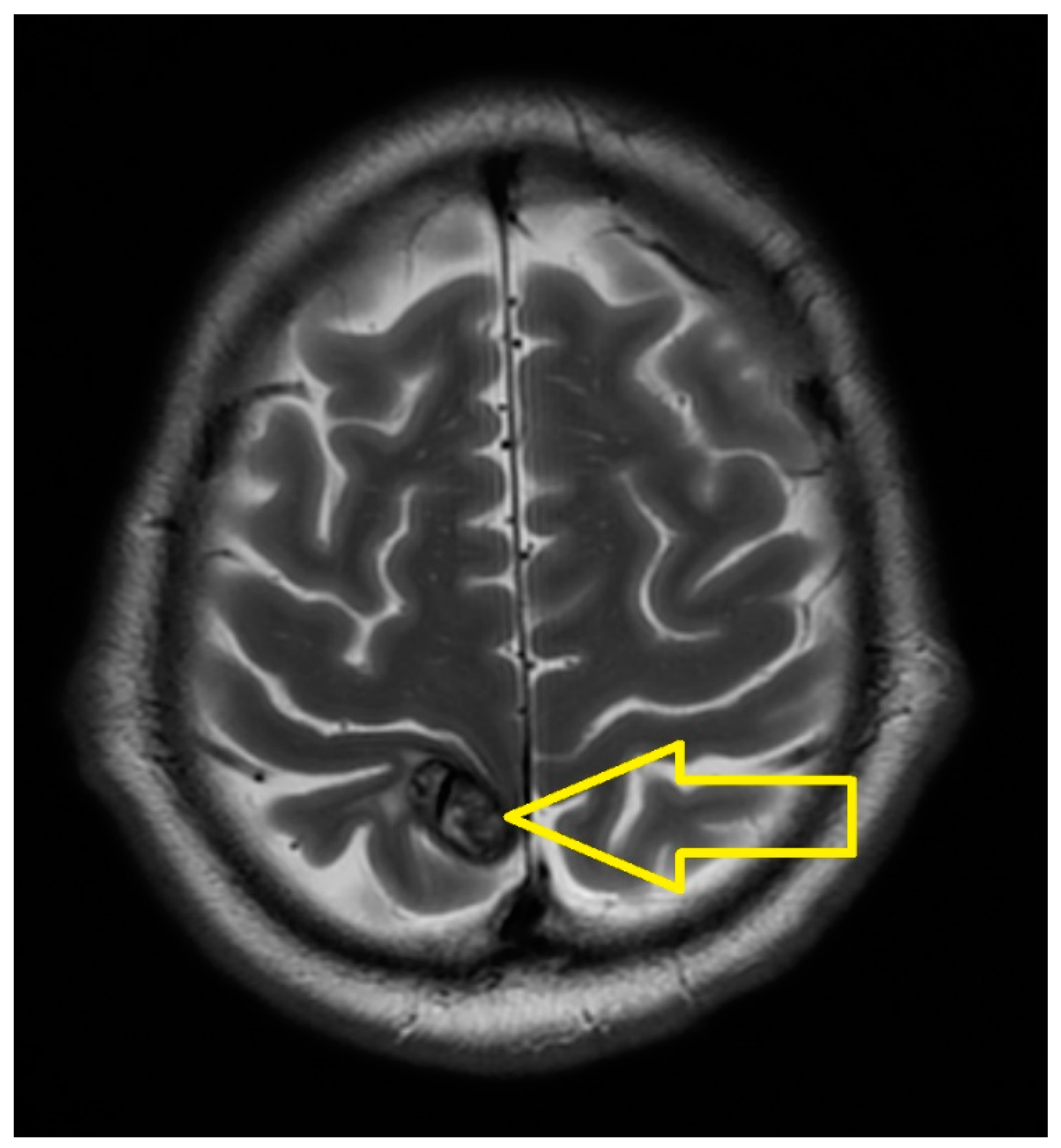
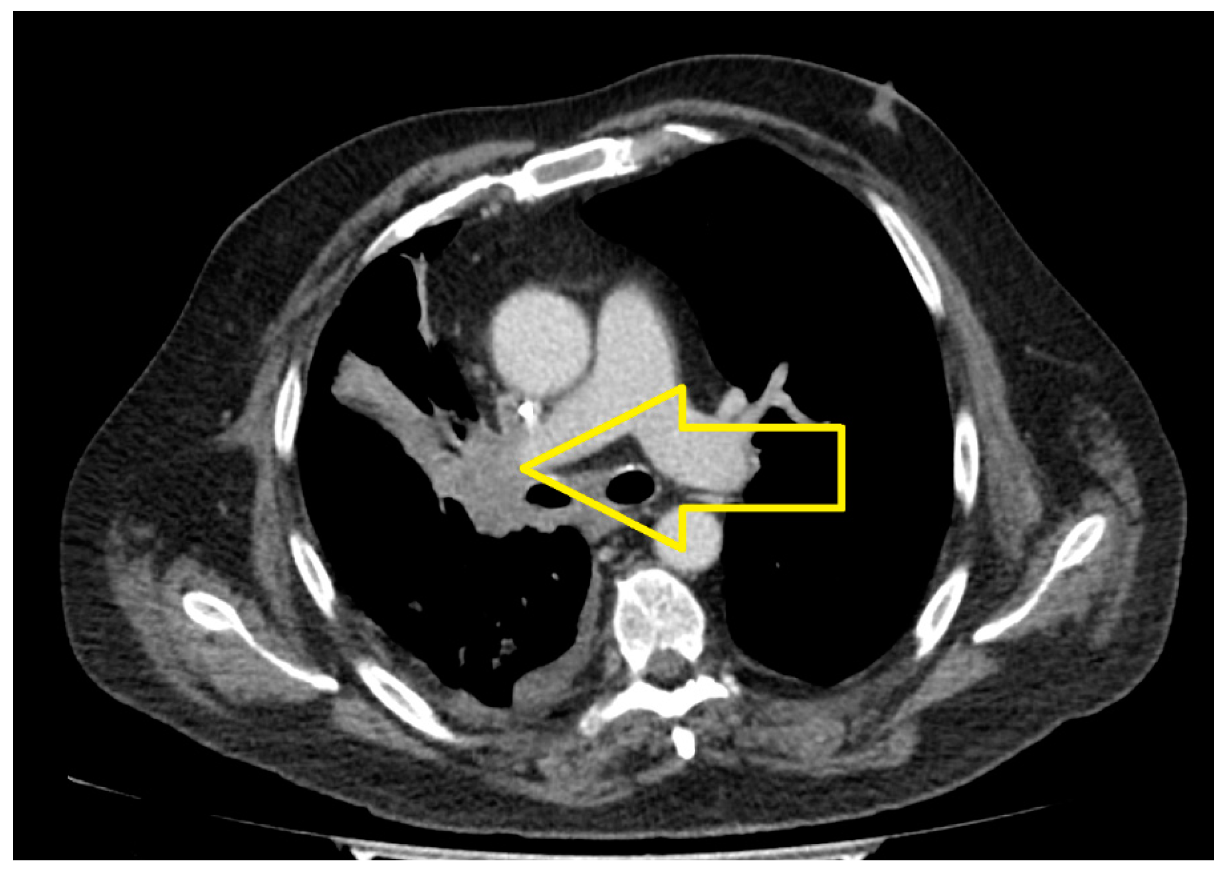
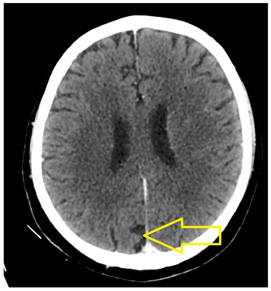
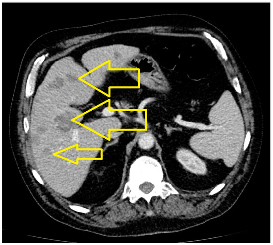
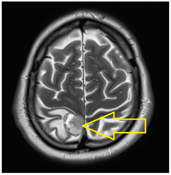
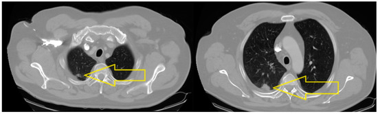
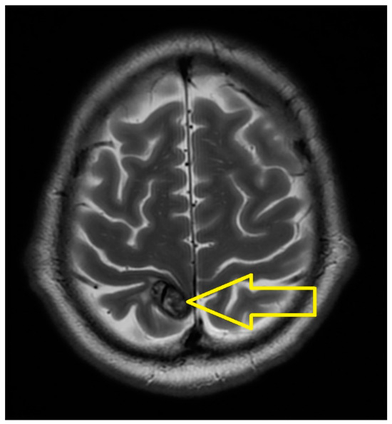
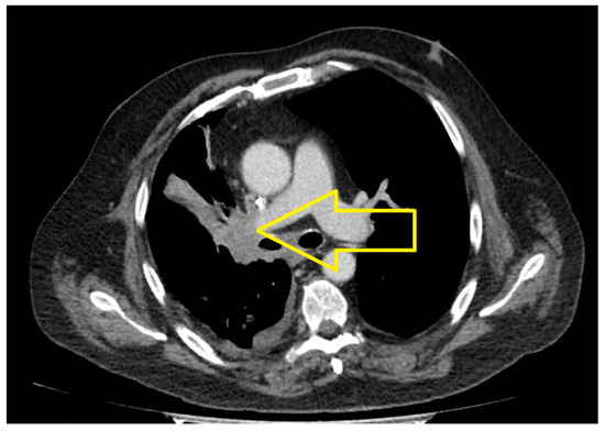
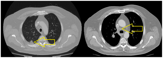
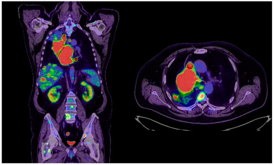
2. Case Presentation
- -
- 0 points—pain, shortness of breath, anxiety, depression, other symptoms;
- -
- 1–3 points—no symptoms;
- -
- 4–6 points—fatigue, drowsiness, nausea, loss of appetite, worst possible feeling of well-being, other symptoms (visual impairments);
- -
- 7–10 points—no symptoms.
- -
- Anxiety—2 points—normal;
- -
- Depression—7 points—normal.
3. Discussion and Literature Review
| No. | Author—Year | Subject | Reference No. |
|---|---|---|---|
| 1 | Dawe DE—2023 | Predictors of survival | [1] |
| 2 | Wang Q—2023 | Epidemiology | [4] |
| 3 | Basumallik N—2024 | Current treatments | [5] |
| 4 | Saida Y—2023 | Current landscape and future | [8] |
| 5 | Assi HI—2023 | Chemotherapy post-immunotherapy | [11] |
| 6 | Bebb DG—2023 | Symptoms and experiences | [23] |
| 7 | Rahnea-Nita RA—2023 | Efficacy of immunotherapy | [25] |
| 8 | Rahnea-Nita RA—2024 | Immunotherapy continued beyond progression | [29] |
| 9 | Meriggi F—2024 | Second-line treatment options | [31] |
| 10 | Hirata T—2023 | Second-line chemotherapy after immunotherapy | [33] |
4. Conclusions
Author Contributions
Funding
Institutional Review Board Statement
Informed Consent Statement
Data Availability Statement
Conflicts of Interest
References
- Dawe, D.E.; Rittberg, R.; Syed, I.; Shanahan, M.K.; Moldaver, D.; Bucher, O.; Galloway, K.; Reynolds, K.; Paul, J.T.; Harlos, C.; et al. Real-world predictors of survival in patients with extensive-stage small-cell lung cancer in Manitoba, Canada: A retrospective cohort study. Front. Oncol. 2023, 13, 1191855. [Google Scholar] [CrossRef] [PubMed] [PubMed Central]
- Rudin, C.M.; Brambilla, E.; Faivre-Finn, C.; Sage, J. Small-cell lung cancer. Nat. Rev. Dis. Primers 2021, 7, 3. [Google Scholar] [CrossRef] [PubMed] [PubMed Central]
- Bernhardt, E.B.; Jalal, S.I. Small Cell Lung Cancer. Cancer Treat. Res. 2016, 170, 301–322. [Google Scholar] [CrossRef] [PubMed]
- Wang, Q.; Gümüş, Z.H.; Colarossi, C.; Memeo, L.; Wang, X.; Kong, C.Y.; Boffetta, P. SCLC: Epidemiology, Risk Factors, Genetic Susceptibility, Molecular Pathology, Screening, and Early Detection. J. Thorac. Oncol. 2023, 18, 31–46. [Google Scholar] [CrossRef] [PubMed] [PubMed Central]
- Basumallik, N.; Agarwal, M. Small Cell Lung Cancer. In StatPearls [Internet]; StatPearls Publishing: Treasure Island, FL, USA, 2024. [Google Scholar] [PubMed]
- Belluomini, L.; Calvetti, L.; Inno, A.; Pasello, G.; Roca, E.; Vattemi, E.; Veccia, A.; Menis, J.; Pilotto, S. SCLC Treatment in the Immuno-Oncology Era: Current Evidence and Unmet Needs. Front. Oncol. 2022, 12, 840783. [Google Scholar] [CrossRef] [PubMed] [PubMed Central]
- Badiu, C.D.; Rahnea-Nita, G.; Ciuhu, A.N.; Manea, C.A.; Smarandache, C.G.; Georgescu, D.G.; Bedereag, S.; Cocosila, C.; Braticevici, B.; Grigorean, V.T. Neuroendocrine renal carcinoma—Therapeutic and diagnostic issue. Acta Endocrinol. 2016, 12, 355–361. [Google Scholar] [CrossRef] [PubMed]
- Saida, Y.; Watanabe, S.; Kikuchi, T. Extensive-Stage Small-Cell Lung Cancer: Current Landscape and Future Prospects. OncoTargets Ther. 2023, 16, 657–671. [Google Scholar] [CrossRef] [PubMed] [PubMed Central]
- Waqar, S.N.; Morgensztern, D. Treatment advances in small cell lung cancer (SCLC). Pharmacol. Ther. 2017, 180, 16–23. [Google Scholar] [CrossRef] [PubMed]
- Paz-Ares, L.; Chen, Y.; Reinmuth, N.; Hotta, K.; Trukhin, D.; Statsenko, G.; Hochmair, M.J.; Özgüroğlu, M.; Ji, J.H.; Garassino, M.C.; et al. Durvalumab, with or without tremelimumab, plus platinum-etoposide in first-line treatment of extensive-stage small-cell lung cancer: 3-year overall survival update from CASPIAN. ESMO Open 2022, 7, 100408. [Google Scholar] [CrossRef] [PubMed] [PubMed Central]
- Assi, H.I.; Zerdan, M.B.; Hodroj, M.; Khoury, M.; Naji, N.S.; Amhaz, G.; Zeidane, R.A.; El Karak, F. Value of chemotherapy post immunotherapy in stage IV non-small cell lung cancer (NSCLC). Oncotarget 2023, 14, 517–525. [Google Scholar] [CrossRef] [PubMed] [PubMed Central]
- Voravud, N.; Sriuranpong, V.; Suwanrusme, H. Antianemic effect of once weekly regimen of epoetin alfa 40,000 units in anemic cancer patients receiving chemotherapy. J. Med. Assoc. Thai. 2007, 90, 1082–1088. [Google Scholar] [PubMed]
- Bruera, E.; Kuehn, N.; Miller, M.J.; Selmser, P.; Macmillan, K. The Edmonton Symptom Assessment System (ESAS): A Simple Method for the Assessment of Palliative Care Patients. J. Palliat. Care 1991, 7, 6–9. [Google Scholar] [CrossRef]
- Chang, V.T.; Hwang, S.S.; Feuerman, M. Validation of the Edmonton Symptom Assessment Scale. Cancer 2000, 88, 2164–2171. [Google Scholar] [CrossRef]
- Hui, D.; Bruera, E. The Edmonton Symptom Assessment System 25 Years Later: Past, Present, and Future Developments. J. Pain. Symptom Manag. 2017, 53, 630–643. [Google Scholar] [CrossRef]
- Zigmond, A.S.; Snaith, R.P. The Hospital Anxiety and Depression Scale. Acta Psychiatr. Scand. 1983, 67, 361–370. [Google Scholar] [CrossRef]
- Bjelland, I.; Dahl, A.A.; Haug, T.T.; Neckelmann, D. The validity of the Hospital Anxiety and Depression Scale. An updated literature review. J. Psychosom. Res. 2002, 52, 69–77. [Google Scholar] [CrossRef] [PubMed]
- Snaith, R.P. The Hospital Anxiety and Depression Scale. Health Qual. Life Outcomes 2003, 1, 29. [Google Scholar] [CrossRef]
- Sun, A.; Durocher-Allen, L.D.; Ellis, P.M.; Ung, Y.C.; Goffin, J.R.; Ramchandar, K.; Darling, G. Initial management of small-cell lung cancer (limited- and extensive-stage) and the role of thoracic radiotherapy and first-line chemotherapy: A systematic review. Curr. Oncol. 2019, 26, e372–e384. [Google Scholar] [CrossRef] [PubMed] [PubMed Central]
- Arriola, E.; Trigo, J.M.; Sánchez-Gastaldo, A.; Navarro, A.; Perez, C.; Crama, L.; Ponce-Aix, S. Prognostic value of clinical staging according to TNM in patients with SCLC: A real-world surveillance epidemiology and end-results database analysis. JTO Clin. Res. Rep. 2021, 3, 100266. [Google Scholar] [CrossRef]
- Wang, S.; Zimmermann, S.; Parikh, K.; Mansfield, A.S.; Adjei, A.A. Current diagnosis and management of small-cell lung cancer. Mayo Clin. Proc. 2019, 94, 1599–1622. [Google Scholar] [CrossRef]
- Shirasawa, M.; Fukui, T.; Kusuhara, S.; Hiyoshi, Y.; Ishihara, M.; Kasajima, M.; Nakahara, Y.; Otani, S.; Igawa, S.; Yokoba, M.; et al. Prognostic significance of the 8th edition of the TNM classification for patients with extensive disease small cell lung cancer. Cancer Manag. Res. 2018, 10, 6039–6047. [Google Scholar] [CrossRef] [PubMed]
- Bebb, D.G.; Murray, C.; Giannopoulou, A.; Felip, E. Symptoms and Experiences with Small Cell Lung Cancer: A Mixed Methods Study of Patients and Caregivers. Pulm. Ther. 2023, 9, 435–450. [Google Scholar] [CrossRef] [PubMed] [PubMed Central]
- Ciuhu, A.N.; Rahnea-Nita, G.; Popescu, M.; Rahnea-Nita, R.A. Abstract P5-15-22: Evaluation of quality of life in patients with advanced and metastatic breast cancer proposed for palliative chemotherapy and best supportive care versus best supportive care. Cancer Res. 2015, 75, 5-15-22. [Google Scholar] [CrossRef]
- Rahnea-Nita, R.A.; Stoian, A.R.; Anghel, R.M.; Rebegea, L.F.; Ciuhu, A.N.; Bacinschi, X.E.; Zgura, A.F.; Trifanescu, O.G.; Toma, R.V.; Constantin, G.B.; et al. The Efficacy of Immunotherapy in Long-Term Survival in Non-Small Cell Lung Cancer (NSCLC) Associated with the Syndrome of Inappropriate Antidiuretic Hormone Secretion (SIADH). Life 2023, 13, 1279. [Google Scholar] [CrossRef] [PubMed]
- Chen, C.Y.; Chen, W.C.; Hung, C.M.; Wei, Y.F. Chemotherapy or chemo-immunotherapy as first-line treatment for extensive-stage small-cell lung cancer: A meta-analysis. Immunotherapy 2021, 13, 1165–1177. [Google Scholar] [CrossRef] [PubMed]
- Konala, V.M.; Madhira, B.R.; Ashraf, S.; Graziano, S. Use of Immunotherapy in Extensive-Stage Small Cell Lung Cancer. Oncology 2020, 98, 749–754. [Google Scholar] [CrossRef] [PubMed]
- Walia, H.K.; Sharma, P.; Singh, N.; Sharma, S. Immunotherapy in Small Cell Lung Cancer Treatment: A Promising Headway for Future Perspective. Curr. Treat. Options Oncol. 2022, 23, 268–294. [Google Scholar] [CrossRef] [PubMed]
- Rahnea-Nita, R.A.; Rebegea, L.F.; Toma, R.V.; Mocanu, H.; Soare, I.; Mihailov, R.; Nechifor, A.; Guliciuc, M.; Constantin, G.B.; Rahnea-Nita, G. Immunotherapy Combined with Radiation in Malignant Melanoma without BRAF Mutations Brain Metastases—Favorable Response after Immunotherapy Continued beyond Progression. J. Pers. Med. 2024, 14, 86. [Google Scholar] [CrossRef] [PubMed]
- Kang, D.H.; Choi, C.M.; Park, C.K.; Oh, I.J.; Kim, Y.C.; Yoon, S.H.; Kim, Y.; Lee, J.E. Immune checkpoint inhibitor score (IChIS) predicts survival benefit of immunotherapy in patients with non-small cell lung cancer. Tuberc. Respir. Dis. 2024; ahead of print. [Google Scholar] [CrossRef] [PubMed]
- Meriggi, F. Second-Line Treatment Options for Small-Cell Lung Cancer: A Light at the End of the Tunnel. Cancers 2024, 16, 255. [Google Scholar] [CrossRef] [PubMed] [PubMed Central]
- Dwary, A.D.; Master, S.; Patel, A.; Cole, C.; Mansour, R.; Mills, G.; Koshy, N.; Peddi, P.; Burton, G.; Hammoud, D.; et al. Excellent response to chemotherapy post immunotherapy. Oncotarget 2017, 8, 91795–91802. [Google Scholar] [CrossRef] [PubMed] [PubMed Central]
- Hirata, T.; Hakozaki, T. Efficacy of second-line chemotherapy after immunotherapy in advanced non-small cell lung cancer. J. Thorac. Dis. 2023, 15, 3554–3556. [Google Scholar] [CrossRef] [PubMed]
- Itri, L.M. The use of epoetin alfa in chemotherapy patients: A consistent profile of efficacy and safety. Semin. Oncol. 2002, 29 (Suppl. S8), 81–87. [Google Scholar] [CrossRef] [PubMed]
- Rahnea-Nita, G. Aspecte de Teorie si Practica in Ingrijirea Paliativa; Editura Universitara: Bucuresti, Romania, 2013; pp. 81–83. ISBN 978-606-591-745-3. [Google Scholar]
- Barca-Hernando, M.; Muñoz-Martin, A.J.; Rios-Herranz, E.; Garcia-Escobar, I.; Beato, C.; Font, C.; Oncala-Sibajas, E.; Revuelta-Rodriguez, A.; Areses, M.C.; Rivas-Jimenez, V.; et al. Case-Control Analysis of the Impact of Anemia on Quality of Life in Patients with Cancer: A Qca Study Analysis. Cancers 2021, 13, 2517. [Google Scholar] [CrossRef] [PubMed] [PubMed Central]
- Littlewood, T.J.; Bajetta, E.; Nortier, J.W.R.; Vercammen, E.; Rapoport, B. Effects of epoetin alfa on hematologic parameters and quality of life in cancer patients receiving nonplatinum chemotherapy: Results of a randomized, double-blind, placebo-controlled trial. J. Clin. Oncol. 2001, 19, 2865–2874. [Google Scholar] [CrossRef] [PubMed]
- Hudis, C.A.; Vogel, C.L.; Gralow, J.R.; Williams, D. Weekly epoetin alfa during adjuvant chemotherapy for breast cancer: Effect on hemoglobin levels and quality of life. Clin. Breast Cancer 2005, 6, 132–142. [Google Scholar] [CrossRef]
- Grote, T.; Yeilding, A.L.; Castillo, R.; Butler, D.; Fishkin, E.; Henry, D.H.; DeLeo, M.; Fink, K.; Sullivan, D.J. Efficacy and safety analysis of epoetin alfa in patients with small-cell lung cancer: A randomized, double-blind, placebo-controlled trial. J. Clin. Oncol. 2005, 23, 9377–9386. [Google Scholar] [CrossRef]
- Parker, S.D.; King, N.; Jacobs, T.F. Pegfilgrastim. In StatPearls [Internet]; StatPearls Publishing: Treasure Island, FL, USA, 2024. [Google Scholar] [PubMed]








Disclaimer/Publisher’s Note: The statements, opinions and data contained in all publications are solely those of the individual author(s) and contributor(s) and not of MDPI and/or the editor(s). MDPI and/or the editor(s) disclaim responsibility for any injury to people or property resulting from any ideas, methods, instructions or products referred to in the content. |
© 2024 by the authors. Licensee MDPI, Basel, Switzerland. This article is an open access article distributed under the terms and conditions of the Creative Commons Attribution (CC BY) license (https://creativecommons.org/licenses/by/4.0/).
Share and Cite
Rahnea-Nita, R.-A.; Toma, R.-V.; Grigorean, V.T.; Coman, I.S.; Coman, V.E.; Pleşea, I.E.; Erchid, A.; Gorecki, G.-P.; Rahnea-Nita, G. Reinitiating Chemotherapy beyond Progression after Maintenance Immunotherapy in Extensive-Stage Small-Cell Lung Cancer. Medicina 2024, 60, 1225. https://doi.org/10.3390/medicina60081225
Rahnea-Nita R-A, Toma R-V, Grigorean VT, Coman IS, Coman VE, Pleşea IE, Erchid A, Gorecki G-P, Rahnea-Nita G. Reinitiating Chemotherapy beyond Progression after Maintenance Immunotherapy in Extensive-Stage Small-Cell Lung Cancer. Medicina. 2024; 60(8):1225. https://doi.org/10.3390/medicina60081225
Chicago/Turabian StyleRahnea-Nita, Roxana-Andreea, Radu-Valeriu Toma, Valentin Titus Grigorean, Ionuţ Simion Coman, Violeta Elena Coman, Iancu Emil Pleşea, Anwar Erchid, Gabriel-Petre Gorecki, and Gabriela Rahnea-Nita. 2024. "Reinitiating Chemotherapy beyond Progression after Maintenance Immunotherapy in Extensive-Stage Small-Cell Lung Cancer" Medicina 60, no. 8: 1225. https://doi.org/10.3390/medicina60081225
APA StyleRahnea-Nita, R.-A., Toma, R.-V., Grigorean, V. T., Coman, I. S., Coman, V. E., Pleşea, I. E., Erchid, A., Gorecki, G.-P., & Rahnea-Nita, G. (2024). Reinitiating Chemotherapy beyond Progression after Maintenance Immunotherapy in Extensive-Stage Small-Cell Lung Cancer. Medicina, 60(8), 1225. https://doi.org/10.3390/medicina60081225

