Surgical Treatment of Calcified Thoracic Herniated Disc Disease via the Transthoracic Approach with the Use of Intraoperative Computed Tomography (iCT) and Microscope-Based Augmented Reality (AR)
Abstract
1. Introduction
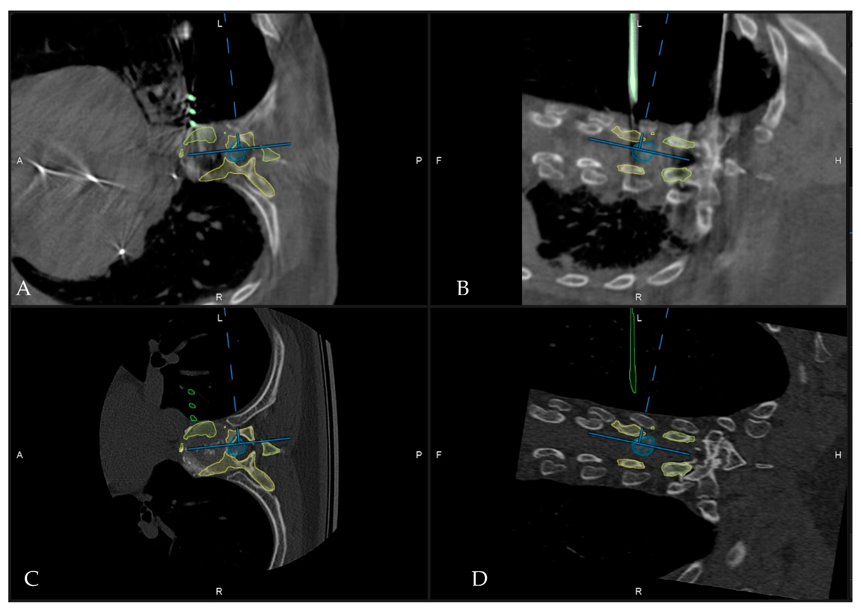
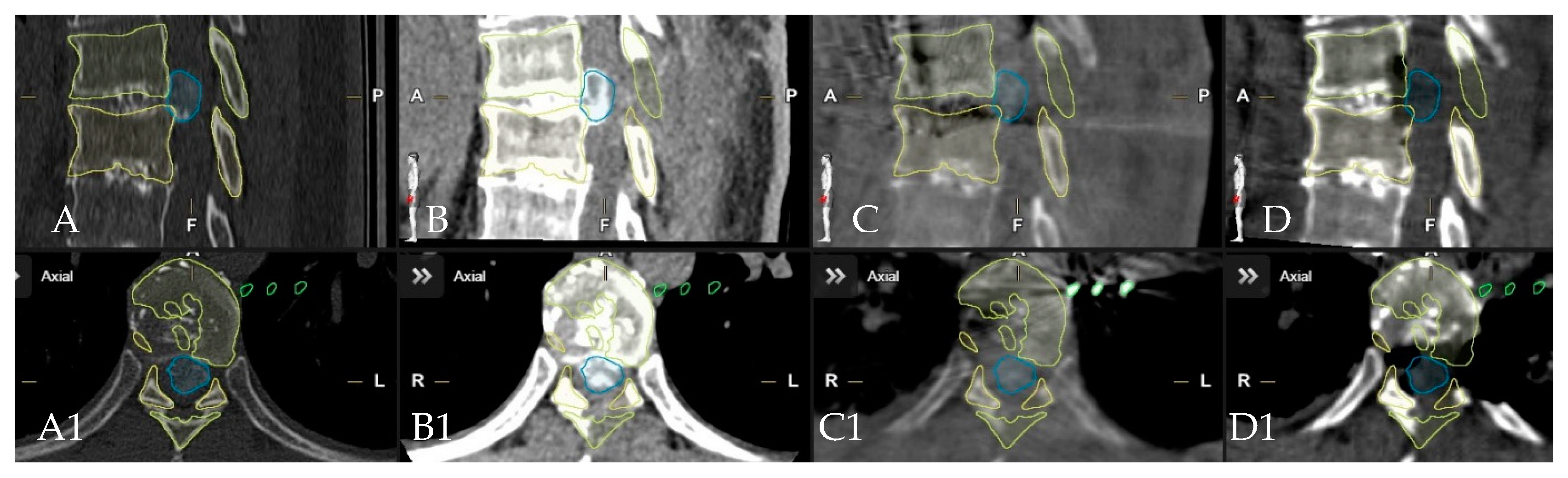
2. Materials and Methods
3. Results
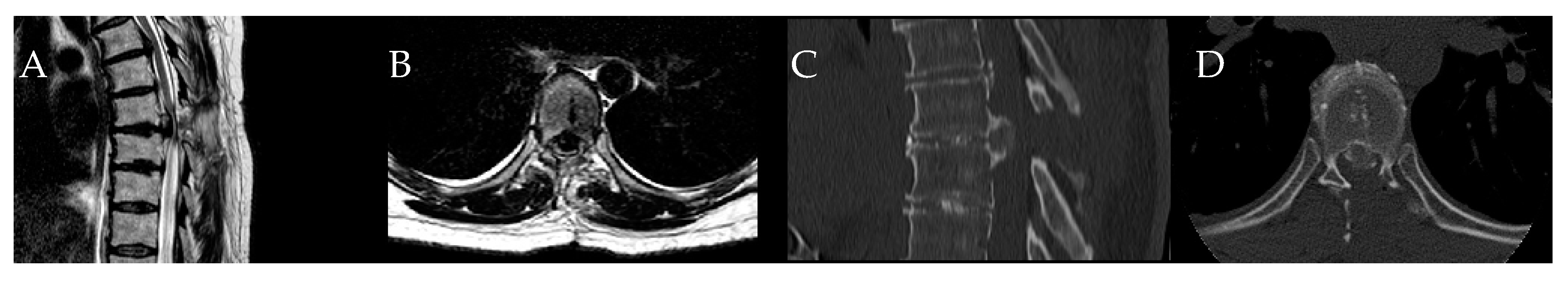
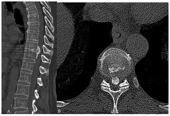
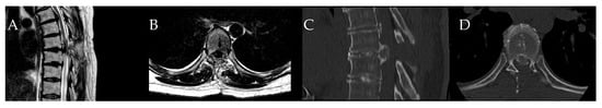
4. Patients
5. Discussion
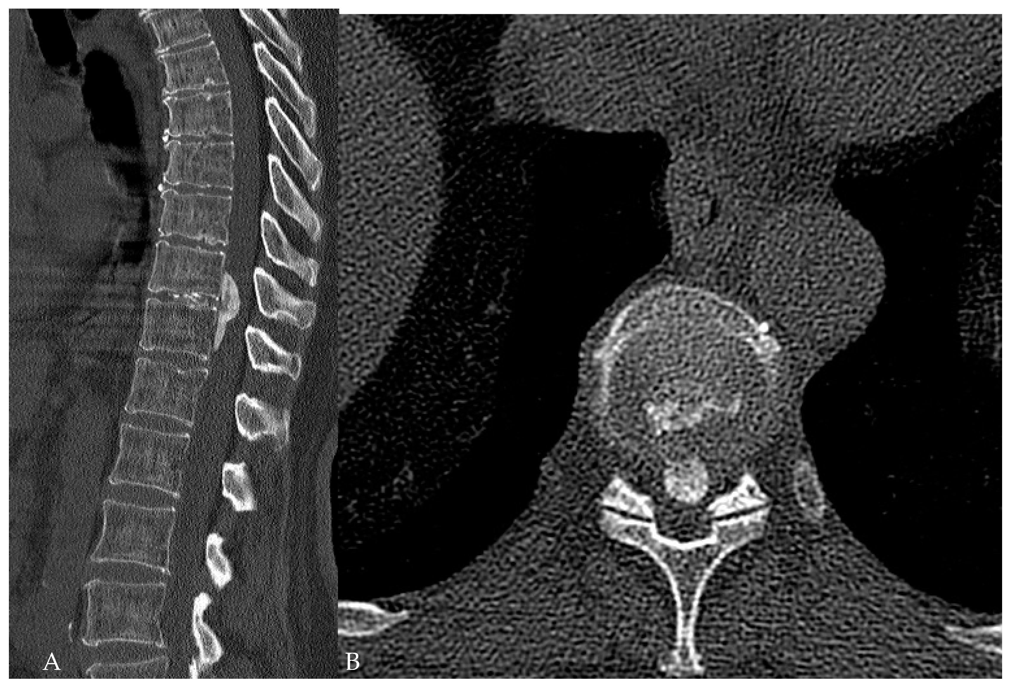
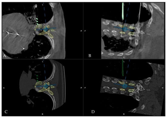
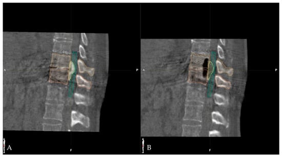
5.1. Surgical Technique and Outcome for Resection of Calcified Thoracic Disc
5.2. Anterolateral vs. Posterior Approach and Analysis of Clinical Outcomes
5.3. Use of Navigation and Intraoperative Imaging in the Resection of Herniated Thoracic Discs
5.4. Applications of Augmented Reality for Degenerative Spine Surgery
5.5. Limitations
6. Conclusions
Author Contributions
Funding
Institutional Review Board Statement
Informed Consent Statement
Data Availability Statement
Conflicts of Interest
References
- Feigl, G.C.; Staribacher, D.; Kuzmin, D. Minimally Invasive Dorsal Approach in the Surgery of Giant Thoracic Disk Herniation: Technical Note and Clinical Case Report. World Neurosurg. 2022, 165, 154–158. [Google Scholar] [CrossRef] [PubMed]
- Hott, J.S.; Feiz-Erfan, I.; Kenny, K.; Dickman, C.A. Surgical management of giant herniated thoracic discs: Analysis of 20 cases. J. Neurosurg. Spine 2005, 3, 191–197. [Google Scholar] [CrossRef] [PubMed]
- Yuan, L.; Chen, Z.; Liu, Z.; Li, W.; Sun, C.; Liu, X. Clinical and radiographic features of adult calcified thoracic disc herniation: A retrospective analysis of 31 cases. Eur. Spine J. 2023, 32, 2387–2395. [Google Scholar] [CrossRef] [PubMed]
- Wessell, A.; Mushlin, H.; Fleming, C.; Lewis, E.; Sansur, C. Thoracic Discectomy Through a Unilateral Transpedicular or Costotransversectomy Approach With Intraoperative Ultrasound Guidance. Oper. Neurosurg. 2019, 17, 332–337. [Google Scholar] [CrossRef] [PubMed]
- Cornips, E.M.; Janssen, M.L.; Beuls, E.A. Thoracic disc herniation and acute myelopathy: Clinical presentation, neuroimaging findings, surgical considerations, and outcome. J. Neurosurg. Spine 2011, 14, 520–528. [Google Scholar] [CrossRef] [PubMed]
- Liu, N.; Chen, Z.; Qi, Q.; Li, W.; Guo, Z. Circumspinal decompression and fusion through a posterior midline incision to treat central calcified thoracolumbar disc herniation: A minimal 2-year follow-up study with reconstruction CT. Eur. Spine J. 2014, 23, 373–381. [Google Scholar] [CrossRef] [PubMed]
- Pojskić, M.; Bopp, M.; Saß, B.; Kirschbaum, A.; Nimsky, C.; Carl, B. Intraoperative Computed Tomography-Based Navigation with Augmented Reality for Lateral Approaches to the Spine. Brain Sci. 2021, 11, 646. [Google Scholar] [CrossRef] [PubMed]
- Pojskic, M. Surgical Treatment of Calcified Thoracic Herniated Disc Disease via Transthoracic Approach with Use of Intraoperative Computed Tomography (ICT) and Microscope-Based Augmented Reality (AR); Christopher Nimsky, B.S., Ed.; National Library of Medicine: Bethesda, MD, USA, 2023; Available online: https://www.sciencedirect.com/science/article/pii/S2772529423007889 (accessed on 24 May 2024).
- Carl, B.; Bopp, M.; Saß, B.; Pojskic, M.; Nimsky, C. Augmented reality in intradural spinal tumor surgery. Acta Neurochir. 2019, 161, 2181–2193. [Google Scholar] [CrossRef] [PubMed]
- Carl, B.; Bopp, M.; Saß, B.; Pojskic, M.; Voellger, B.; Nimsky, C. Spine Surgery Supported by Augmented Reality. Glob. Spine J. 2020, 10 (Suppl. 2), 41S–55S. [Google Scholar] [CrossRef]
- Severi, P.; Ruelle, A.; Andrioli, G. Multiple calcified thoracic disc herniations. A case report. Spine (Phila Pa 1976) 1992, 17, 449–451. [Google Scholar] [CrossRef]
- Quraishi, N.A.; Khurana, A.; Tsegaye, M.M.; Boszczyk, B.M.; Mehdian, S.M. Calcified giant thoracic disc herniations: Considerations and treatment strategies. Eur. Spine J. 2014, 23 (Suppl. S1), S76–S83. [Google Scholar] [CrossRef] [PubMed]
- Fujimaki, Y.; Kawahara, N.; Tomita, K.; Murakami, H.; Ueda, Y. How many ligations of bilateral segmental arteries cause ischemic spinal cord dysfunction? An experimental study using a dog model. Spine (Phila Pa 1976) 2006, 31, E781–E789. [Google Scholar] [CrossRef] [PubMed]
- Sivakumaran, R.; Uschold, T.D.; Brown, M.T.; Patel, N.R. Transfacet and Transpedicular Posterior Approaches to Thoracic Disc Herniations: Consecutive Case Series of 24 Patients. World Neurosurg. 2018, 120, e921–e931. [Google Scholar] [CrossRef]
- Shedid, D.; Wang, Z.; Najjar, A.; Yuh, S.J.; Boubez, G.; Sebaaly, A. Posterior Minimally Invasive Transpedicular Approach for Giant Calcified Thoracic Disc Herniation. Glob. Spine J. 2021, 11, 918–924. [Google Scholar] [CrossRef] [PubMed]
- Patel, M.; Mauria, R.; Kasliwal, M.K. Posterior-only approach for the treatment of symptomatic central thoracic disc herniation regardless of calcification: A consecutive case series of 30 cases over five years. Clin. Neurol. Neurosurg. 2022, 212, 107062. [Google Scholar] [CrossRef] [PubMed]
- Spallone, A.; Visocchi, M.; Greco, F.; Signorelli, F.; Gladi, M.; Fasinella, R.; Belogurov, A.; Iacoangeli, M. Costotransversectomy in the Surgical Treatment of Mediolateral Thoracic Disk Herniations: Long-Term Results and Recent Minimally Invasive Technical Adjuncts. Acta Neurochir. Suppl. 2023, 135, 375–383. [Google Scholar] [CrossRef] [PubMed]
- Debnath, U.K.; McConnell, J.R.; Sengupta, D.K.; Mehdian, S.M.; Webb, J.K. Results of hemivertebrectomy and fusion for symptomatic thoracic disc herniation. Eur. Spine J. 2003, 12, 292–299. [Google Scholar] [CrossRef] [PubMed]
- Russo, A.; Balamurali, G.; Nowicki, R.; Boszczyk, B.M. Anterior thoracic foraminotomy through mini-thoracotomy for the treatment of giant thoracic disc herniations. Eur. Spine J. 2012, 21 (Suppl. 2), S212–S220. [Google Scholar] [CrossRef] [PubMed]
- Moran, C.; Ali, Z.; McEvoy, L.; Bolger, C. Mini-open retropleural transthoracic approach for the treatment of giant thoracic disc herniation. Spine (Phila Pa 1976) 2012, 37, E1079–E1084. [Google Scholar] [CrossRef]
- Noureldine, M.H.A.; Pressman, E.; Krafft, P.R.; Molcanyi, M.; Tran, N.D.; Greenberg, M.S.; Alikhani, P. Management of Thoracic Disc Herniation Using the Mini-Open Retropleural Approach: Technique Illustration and Clinical Outcomes of 33 Patients From a Single Academic Center. Oper. Neurosurg. 2020, 19, 567–581. [Google Scholar] [CrossRef]
- Anand, N.; Regan, J.J. Video-assisted thoracoscopic surgery for thoracic disc disease: Classification and outcome study of 100 consecutive cases with a 2-year minimum follow-up period. Spine (Phila Pa 1976) 2002, 27, 871–879. [Google Scholar] [CrossRef] [PubMed]
- Cornips, E.M. Crippling upper back pain after whiplash and other motor vehicle collisions caused by thoracic disc herniations: Report of 10 cases. Spine (Phila Pa 1976) 2014, 39, 988–995. [Google Scholar] [CrossRef] [PubMed]
- Quint, U.; Bordon, G.; Preissl, I.; Sanner, C.; Rosenthal, D. Thoracoscopic treatment for single level symptomatic thoracic disc herniation: A prospective followed cohort study in a group of 167 consecutive cases. Eur. Spine J. 2012, 21, 637–645. [Google Scholar] [CrossRef] [PubMed]
- Cornips, E.M.J.; Maesen, B.; Geskes, G.; Maessen, J.G.; Beuls, E.A.M.; Menovsky, T. T3-T4 Disc Herniations: Clinical Presentation, Imaging, and Transaxillary Approach. World Neurosurg. 2022, 158, e984–e995. [Google Scholar] [CrossRef] [PubMed]
- Fernández, R.C.; Mesa, M.; Rosenthal, D.; Rodrigo Paradells, V. Antero-lateral transthoracic endoscopic approach for a calcified thoracic disc herniation. Neurosurg. Focus. Video 2022, 7, V3. [Google Scholar] [CrossRef] [PubMed]
- Smith, J.S.; Eichholz, K.M.; Shafizadeh, S.; Ogden, A.T.; O’Toole, J.E.; Fessler, R.G. Minimally invasive thoracic microendoscopic diskectomy: Surgical technique and case series. World Neurosurg. 2013, 80, 421–427. [Google Scholar] [CrossRef]
- Gibbs, D.; Bayley, J.; Grossbach, A.J.; Xu, D.S. Lateral Retropleural Thoracic Diskectomy for a Calcified Herniated Disk: 2-Dimensional Operative Video. Oper. Neurosurg. 2023, 24, e107. [Google Scholar] [CrossRef] [PubMed]
- Houra, K.; Saftic, R.; Knight, M. Five-Year Outcomes After Transforaminal Endoscopic Foraminotomy and Discectomy for Soft and Calcified Thoracic Disc Herniations. Int. J. Spine Surg. 2021, 15, 494–503. [Google Scholar] [CrossRef]
- Kim, M.; Wainwright, J.; Stein, A.; Hanft, S. Posterior Transdural Approach for a Calcified Thoracic Intradural Disc Herniation Using a 3-Dimensional Exoscope: 2-Dimensional Operative Video. Oper. Neurosurg. 2021, 21, E44–E45. [Google Scholar] [CrossRef]
- Lowe, S.R.; Alshareef, M.A.; Kellogg, R.T.; Eriksson, E.A.; Kalhorn, S.P. A Novel Surgical Technique for Management of Giant Central Calcified Thoracic Disk Herniations: A Dual Corridor Method Involving Tubular Transthoracic/Retropleural Approach Followed by a Posterior Transdural Diskectomy. Oper. Neurosurg. 2019, 16, 626–632. [Google Scholar] [CrossRef]
- Nishimura, Y.; Thani, N.B.; Tochigi, S.; Ahn, H.; Ginsberg, H.J. Thoracic discectomy by posterior pedicle-sparing, transfacet approach with real-time intraoperative ultrasonography: Clinical article. J. Neurosurg. Spine 2014, 21, 568–576. [Google Scholar] [CrossRef]
- Bransford, R.; Zhang, F.; Bellabarba, C.; Konodi, M.; Chapman, J.R. Early experience treating thoracic disc herniations using a modified transfacet pedicle-sparing decompression and fusion. J. Neurosurg. Spine 2010, 12, 221–231. [Google Scholar] [CrossRef]
- Komp, M.; Ruetten, S. Full-endoscopic anterior excision of thoracic disc herniations, including giant and calcified discs with spinal cord compression: Surgical technique and outcomes. Eur. Spine J. 2023, 32, 2685–2693. [Google Scholar] [CrossRef]
- Konakondla, S.; Sofoluke, N.; Barber, S.M.; Rimini, S.A.; Slotkin, J.R. Outpatient endoscopic resection of large calcified thoracic disc herniation with caudal displacement. Neurosurg. Focus. Video 2022, 6, V18. [Google Scholar] [CrossRef] [PubMed]
- Nakhla, J.; Bhashyam, N.; De la Garza Ramos, R.; Nasser, R.; Kinon, M.D.; Yassari, R. Minimally invasive transpedicular approach for the treatment of central calcified thoracic disc disease: A technical note. Eur. Spine J. 2018, 27, 1575–1585. [Google Scholar] [CrossRef] [PubMed]
- Zhang, L.M.; Lv, W.Y.; Cheng, G.; Wang, D.Y.; Zhang, J.N.; Zhang, X.F. Percutaneous endoscopic decompression for calcified thoracic disc herniation using a novel T rigid bendable burr. Br. J. Neurosurg. 2023, 37, 439–441. [Google Scholar] [CrossRef] [PubMed]
- Walker, C.T.; Kalani, M.Y.S.; Oppenlander, M.E.; Godzik, J.; Martirosyan, N.L.; Standerfer, R.J.; Theodore, N. Circumferential dural resection technique and reconstruction for the removal of giant calcified transdural herniated thoracic discs. J. Neurosurg. Spine 2018, 28, 167–172. [Google Scholar] [CrossRef] [PubMed]
- Arts, M.P.; Bartels, R.H. Anterior or posterior approach of thoracic disc herniation? A comparative cohort of mini-transthoracic versus transpedicular discectomies. Spine J. 2014, 14, 1654–1662. [Google Scholar] [CrossRef]
- Otani, K.; Nakai, S.; Fujimura, Y.; Manzoku, S.; Shibasaki, K. Surgical treatment of thoracic disc herniation using the anterior approach. J. Bone Joint. Surg. Br. 1982, 64, 340–343. [Google Scholar] [CrossRef]
- Moon, S.J.; Lee, J.K.; Jang, J.W.; Hur, H.; Lee, J.H.; Kim, S.H. The transdural approach for thoracic disc herniations: A technical note. Eur. Spine J. 2010, 19, 1206–1211. [Google Scholar] [CrossRef]
- Soda, C.; Faccioli, F.; Marchesini, N.; Ricci, U.M.; Brollo, M.; Annicchiarico, L.; Benato, C.; Tomasi, I.; Pinna, G.P.; Teli, M. Trans-thoracic versus retropleural approach for symptomatic thoracic disc herniations: Comparative analysis of 94 consecutive cases. Br. J. Neurosurg. 2021, 35, 195–202. [Google Scholar] [CrossRef] [PubMed]
- McCormick, P.C. Retropleural approach to the thoracic and thoracolumbar spine. Neurosurgery 1995, 37, 908–914. [Google Scholar] [CrossRef]
- Kasliwal, M.K.; Deutsch, H. Minimally invasive retropleural approach for central thoracic disc herniation. Minim Invasive Neurosurg. 2011, 54, 167–171. [Google Scholar] [CrossRef]
- Nacar, O.A.; Ulu, M.O.; Pekmezci, M.; Deviren, V. Surgical treatment of thoracic disc disease via minimally invasive lateral transthoracic trans/retropleural approach: Analysis of 33 patients. Neurosurg. Rev. 2013, 36, 455–465. [Google Scholar] [CrossRef] [PubMed]
- Ruetten, S.; Hahn, P.; Oezdemir, S.; Baraliakos, X.; Merk, H.; Godolias, G.; Komp, M. Full-endoscopic uniportal decompression in disc herniations and stenosis of the thoracic spine using the interlaminar, extraforaminal, or transthoracic retropleural approach. J. Neurosurg. Spine 2018, 29, 157–168. [Google Scholar] [CrossRef]
- Berjano, P.; Garbossa, D.; Damilano, M.; Pejrona, M.; Bassani, R.; Doria, C. Transthoracic lateral retropleural minimally invasive microdiscectomy for T9-T10 disc herniation. Eur. Spine J. 2014, 23, 1376–1378. [Google Scholar] [CrossRef] [PubMed]
- Hubertus, V.; Selhausen, P.; Meinert, F.; Meyer, F.; Onken, J.S.; Schneider, U.C.; Hecht, N.; Czabanka, M.; Vajkoczy, P.; Woitzik, J. A minimally invasive tubular retractor-assisted retropleural approach for thoracic disc herniations–case series and technical note. Acta Neurochir. 2023, 165, 771–777. [Google Scholar] [CrossRef] [PubMed]
- Uribe, J.S.; Katsevman, G.A.; Morgan, C.D.; Paisan, G.M.; Snyder, L.A. Mini-open lateral retropleural thoracic discectomy approach. Neurosurg. Focus Video 2022, 7, V2. [Google Scholar] [CrossRef]
- Farber, S.H.; Xu, D.S.; Walker, C.T.; Godzik, J.; Turner, J.D.; Uribe, J.S. Minimally Invasive Retropleural Thoracic Diskectomy: Step-by-Step Operative Planning, Execution, and Results. Oper. Neurosurg. 2022, 23, e220–e227. [Google Scholar] [CrossRef]
- Yuan, L.; Chen, Z.; Liu, Z.; Liu, X.; Li, W.; Sun, C. Comparison of Anterior Approach and Posterior Circumspinal Decompression in the Treatment of Giant Thoracic Discs. Glob. Spine J. 2023, 13, 17–24. [Google Scholar] [CrossRef]
- Saway, B.F.; Alshareef, M.; Lajthia, O.; Cunningham, C.; Shope, C.; Martinez, J.L.; Kalhorn, S.P. Ultrasonic spine surgery for every thoracic disc herniation: A 43-patient case series and technical note demonstrating safety and efficacy using a partial transpedicular thoracic discectomy with ultrasonic aspiration and ultrasound guidance. J. Neurosurg. Spine 2022, 36, 800–808. [Google Scholar] [CrossRef] [PubMed]
- Barbanera, A.; Serchi, E.; Fiorenza, V.; Nina, P.; Andreoli, A. Giant calcified thoracic herniated disc: Considerations aiming a proper surgical strategy. J. Neurosurg. Sci. 2009, 53, 19–25, discussion 25–26. [Google Scholar] [PubMed]
- Roelz, R.; Scholz, C.; Klingler, J.H.; Scheiwe, C.; Sircar, R.; Hubbe, U. Giant central thoracic disc herniations: Surgical outcome in 17 consecutive patients treated by mini-thoracotomy. Eur. Spine J. 2016, 25, 1443–1451. [Google Scholar] [CrossRef] [PubMed]
- Oltulu, I.; Cil, H.; Ulu, M.O.; Deviren, V. Clinical outcomes of symptomatic thoracic disk herniations treated surgically through minimally invasive lateral transthoracic approach. Neurosurg. Rev. 2019, 42, 885–894. [Google Scholar] [CrossRef] [PubMed]
- Carl, B.; Bopp, M.; Saß, B.; Pojskic, M.; Gjorgjevski, M.; Voellger, B.; Nimsky, C. Reliable navigation registration in cranial and spine surgery based on intraoperative computed tomography. Neurosurg. Focus. 2019, 47, E11. [Google Scholar] [CrossRef] [PubMed]
- Vyas, J.A.; van Gelder, J.M. Intraoperative computed tomography-guided transthoracic approach to giant calcified thoracic disc protrusion: Technical note. ANZ J. Surg. 2022, 92, 240–243. [Google Scholar] [CrossRef] [PubMed]
- Alcachupas, A.; Srikandarajah, N.; Carleton-Bland, N.; Clark, S. Anterolateral thoracic approach for thoracic discectomy using pedicle marking and 3D intraoperative imaging system. Br. J. Neurosurg. 2021, 1–3. [Google Scholar] [CrossRef] [PubMed]
- Tan, L.A.; Lopes, D.K.; Fontes, R.B. Ultrasound-guided posterolateral approach for midline calcified thoracic disc herniation. J. Korean Neurosurg. Soc. 2014, 55, 383–386. [Google Scholar] [CrossRef] [PubMed]
- Carl, B.; Bopp, M.; Saß, B.; Voellger, B.; Nimsky, C. Implementation of augmented reality support in spine surgery. Eur. Spine J. 2019, 28, 1697–1711. [Google Scholar] [CrossRef]
- Yu, H.; Zhou, Z.; Lei, X.; Liu, H.; Fan, G.; He, S. Mixed Reality-Based Preoperative Planning for Training of Percutaneous Transforaminal Endoscopic Discectomy: A Feasibility Study. World Neurosurg. 2019, 129, e767–e775. [Google Scholar] [CrossRef]
- Huang, X.; Liu, X.; Zhu, B.; Hou, X.; Hai, B.; Li, S.; Yu, D.; Zheng, W.; Li, R.; Pan, J.; et al. Evaluation of Augmented Reality Surgical Navigation in Percutaneous Endoscopic Lumbar Discectomy: Clinical Study. Bioengineering 2023, 10, 1297. [Google Scholar] [CrossRef] [PubMed]
- Jitpakdee, K.; Liu, Y.; Heo, D.H.; Kotheeranurak, V.; Suvithayasiri, S.; Kim, J.S. Minimally invasive endoscopy in spine surgery: Where are we now? Eur. Spine J. 2023, 32, 2755–2768. [Google Scholar] [CrossRef]
- Carl, B.; Bopp, M.; Saß, B.; Nimsky, C. Microscope-Based Augmented Reality in Degenerative Spine Surgery: Initial Experience. World Neurosurg. 2019, 128, e541–e551. [Google Scholar] [CrossRef] [PubMed]
- Hussain, I.; Cosar, M.; Kirnaz, S.; Schmidt, F.A.; Wipplinger, C.; Wong, T.; Härtl, R. Evolving Navigation, Robotics, and Augmented Reality in Minimally Invasive Spine Surgery. Glob. Spine J. 2020, 10 (Suppl. S2), 22S–33S. [Google Scholar] [CrossRef] [PubMed]
















| Patient Number | Age | Gender | Level | Approach | Preoperative Neurological Deficits | Postoperative Neurological Status | Operative Time (min) | Complications |
|---|---|---|---|---|---|---|---|---|
| 1 | 63 | Female | Th7–8 | Left transthoracic transpleural | No deficits | Unchanged | 102 | None |
| 2 | 50 | Female | Th11–12 | Right transthoracic transpleural | Paraparesis, Ataxia | Improved | 213 | Hematothorax, wound healing deficits |
| 3 | 46 | Female | Th7–8 | Left transthoracic transpleural | Paraparesis, Ataxia | Improved | 287 | None |
| 4 | 29 | Male | Th9–10 | Left transthoracic transpleural | Paraparesis, Ataxia | Improved | 602 | None |
| 5 | 71 | Female | Th10–11 | Left transthoracic transpleural | Paraparesis, Ataxia | Improved | 207 | None |
| 6 | 50 | Female | Th11–12 | Left transthoracic transpleural | Paraparesis, Ataxia | Improved | 254 | None |
Disclaimer/Publisher’s Note: The statements, opinions and data contained in all publications are solely those of the individual author(s) and contributor(s) and not of MDPI and/or the editor(s). MDPI and/or the editor(s) disclaim responsibility for any injury to people or property resulting from any ideas, methods, instructions or products referred to in the content. |
© 2024 by the authors. Licensee MDPI, Basel, Switzerland. This article is an open access article distributed under the terms and conditions of the Creative Commons Attribution (CC BY) license (https://creativecommons.org/licenses/by/4.0/).
Share and Cite
Pojskić, M.; Bopp, M.H.A.; Nimsky, C.; Saß, B. Surgical Treatment of Calcified Thoracic Herniated Disc Disease via the Transthoracic Approach with the Use of Intraoperative Computed Tomography (iCT) and Microscope-Based Augmented Reality (AR). Medicina 2024, 60, 887. https://doi.org/10.3390/medicina60060887
Pojskić M, Bopp MHA, Nimsky C, Saß B. Surgical Treatment of Calcified Thoracic Herniated Disc Disease via the Transthoracic Approach with the Use of Intraoperative Computed Tomography (iCT) and Microscope-Based Augmented Reality (AR). Medicina. 2024; 60(6):887. https://doi.org/10.3390/medicina60060887
Chicago/Turabian StylePojskić, Mirza, Miriam H. A. Bopp, Christopher Nimsky, and Benjamin Saß. 2024. "Surgical Treatment of Calcified Thoracic Herniated Disc Disease via the Transthoracic Approach with the Use of Intraoperative Computed Tomography (iCT) and Microscope-Based Augmented Reality (AR)" Medicina 60, no. 6: 887. https://doi.org/10.3390/medicina60060887
APA StylePojskić, M., Bopp, M. H. A., Nimsky, C., & Saß, B. (2024). Surgical Treatment of Calcified Thoracic Herniated Disc Disease via the Transthoracic Approach with the Use of Intraoperative Computed Tomography (iCT) and Microscope-Based Augmented Reality (AR). Medicina, 60(6), 887. https://doi.org/10.3390/medicina60060887

