Rupture of Mycotic Abdominal Aortic Aneurysm as a Result of Incompletely Treated Multiple Peripheral Mycotic Aneurysms
Abstract
1. Introduction
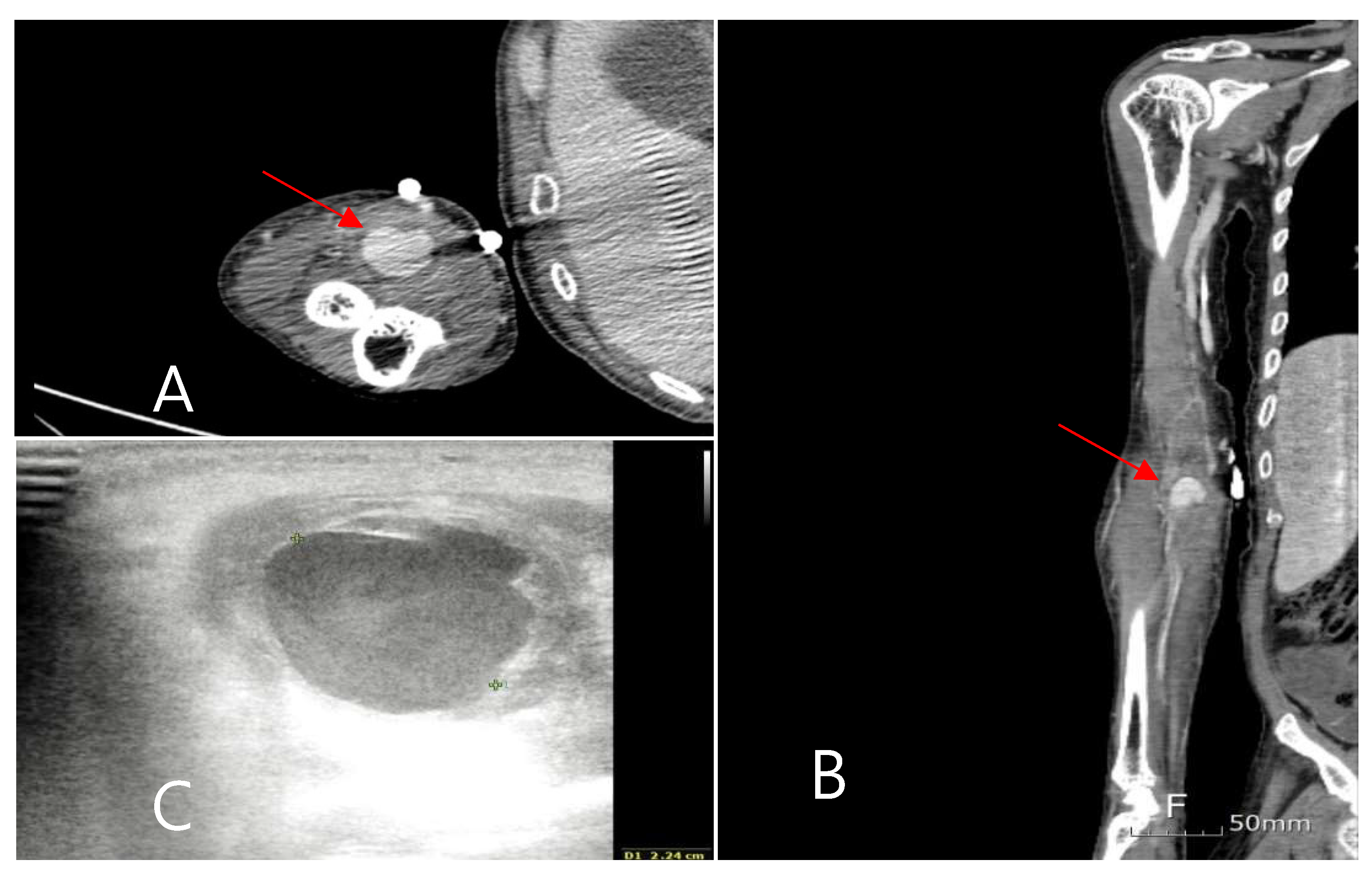
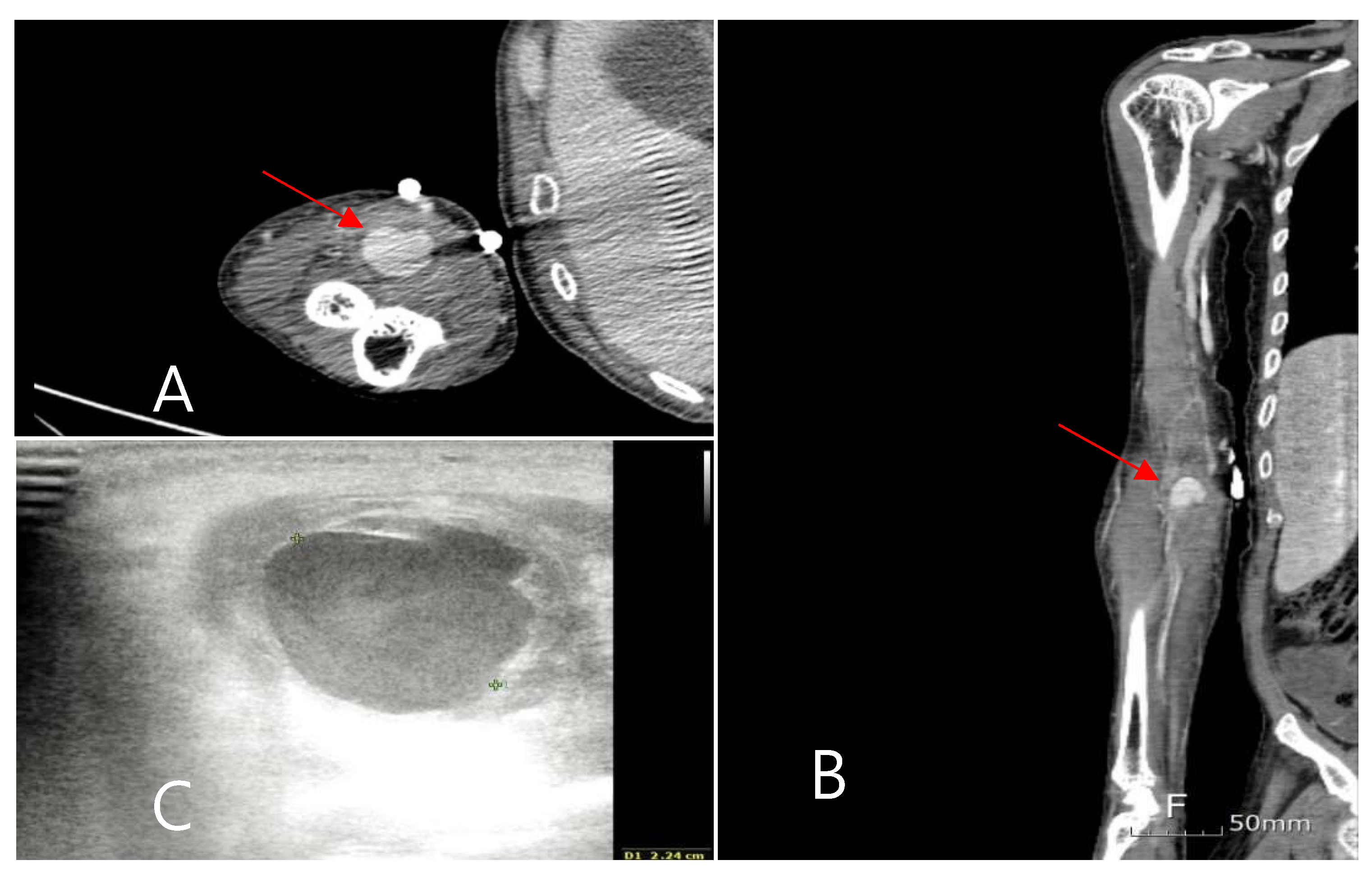
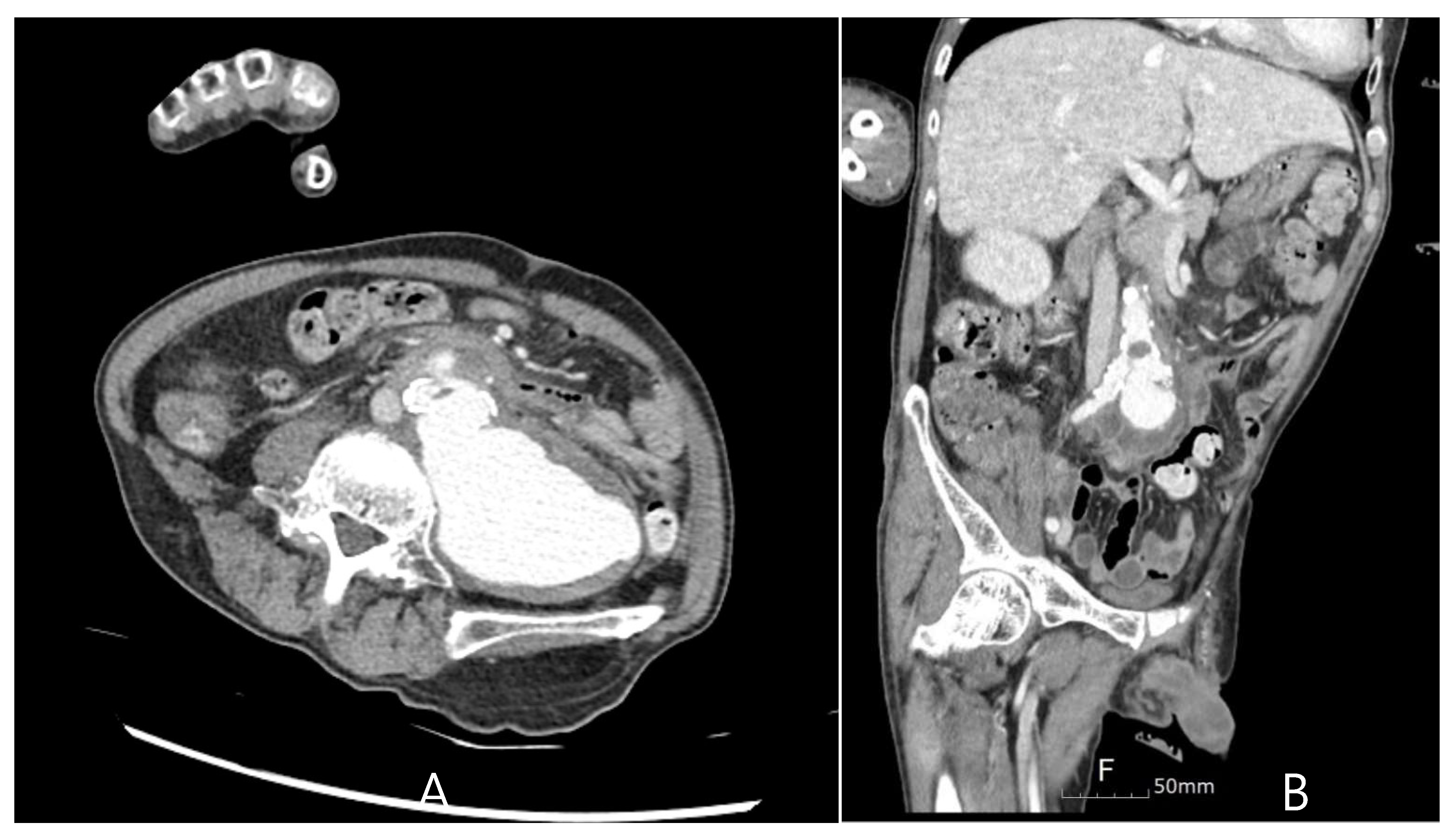
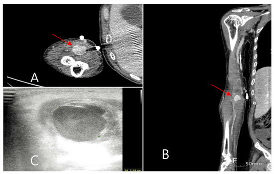
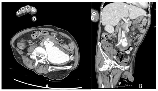
2. Case Description
3. Final Diagnosis
4. Treatment
5. Outcome and Follow-Up
6. Discussion
7. Conclusions
Author Contributions
Funding
Institutional Review Board Statement
Informed Consent Statement
Data Availability Statement
Conflicts of Interest
References
- Wilson, W.R.; Bower, T.C.; Creager, M.A.; Amin-Hanjani, S.; O’Gara, P.T.; Lockhart, P.B.; Darouiche, R.O.; Ramlawi, B.; Derdeyn, C.P.; Bolger, A.F.; et al. Vascular graft infections, mycotic aneurysms, and endovascular infections: A scientific statement from the American Heart Association. Circulation 2016, 134, e412–e460. [Google Scholar] [CrossRef] [PubMed]
- Sommerville, R.L.; Allen, E.V.; Edwards, J.E.J.M. Bland and infected arteriosclerotic abdominal aortic aneurysms: A clinicopathologic study. Medicine 1959, 38, 207–221. [Google Scholar] [CrossRef] [PubMed]
- Reddy, D.J.; Shepard, A.D.; Evans, J.R.; Wright, D.J.; Smith, R.F.; Ernst, C.B. Management of infected aortoiliac aneurysms. Arch. Surg. 1991, 126, 873–878; discussion 878–879. [Google Scholar] [CrossRef] [PubMed]
- Raman, S.P.; Fishman, E.K. Mycotic aneurysms: A critical diagnosis in the emergency setting. Emerg. Radiol. 2014, 21, 191–196. [Google Scholar] [CrossRef] [PubMed]
- Huang, J.S.; Ho, A.S.; Ahmed, A.; Bhalla, S.; Menias, C.O. Borne identity: CT imaging of vascular infections. Emerg. Radiol. 2011, 18, 335–343. [Google Scholar] [CrossRef] [PubMed]
- Macedo, T.A.; Stanson, A.W.; Oderich, G.S.; Johnson, C.M.; Panneton, J.M.; Tie, M.L. Infected aortic aneurysms: Imaging findings. Radiology 2004, 231, 250–257. [Google Scholar] [CrossRef] [PubMed]
- Müller, B.T.; Wegener, O.R.; Grabitz, K.; Pillny, M.; Thomas, L.; Sandmann, W. Mycotic aneurysms of the thoracic and abdominal aorta and iliac arteries: Experience with anatomic and extra-anatomic repair in 33 cases. J. Vasc. Surg. 2001, 33, 106–113. [Google Scholar] [CrossRef] [PubMed]
- Lin, W.C.; Lui, C.C.; Lee, C.H.; Wang, H.C. Unusual femoral artery mycotic aneurysm complicated by infective spondylitis. Emerg. Radiol. 2008, 15, 207–210. [Google Scholar] [CrossRef] [PubMed]
- Tshomba, Y.; Sica, S.; Minelli, F.; Giovannini, S.; Murri, R.; De Nigris, F.; Codispoti, F.A.; Sticchi, D.; Tinelli, G. Management of mycotic aorto-iliac aneurysms: A 30-year monocentric experience. Eur. Rev. Med. Pharmacol. Sci. 2020, 24, 3274–3281. [Google Scholar] [CrossRef] [PubMed]
- Hubaut, J.J.; Albat, B.; Frapier, J.M.; Chaptal, P.A. Mycotic aneurysm of the extracranial carotid artery: An uncommon complication of bacterial endocarditis. Ann. Vasc. Surg. 1997, 11, 634–636. [Google Scholar] [CrossRef] [PubMed]
- John, S.; Walsh, K.M.; Hui, F.K.; Sundararajan, S.; Silverman, S.; Bain, M. Dynamic angiographic nature of cerebral mycotic aneurysms in patients with infective endocarditis. Stroke 2016, 47, e8–e10. [Google Scholar] [CrossRef] [PubMed]
- Salgado, A.V.; Furlan, A.J.; Keys, T.F. Mycotic aneurysm, subarachnoid hemorrhage, and indications for cerebral angiography in infective endocarditis. Stroke 1987, 18, 1057–1060. [Google Scholar] [CrossRef] [PubMed]
- Jara, F.M.; Lewis, J.F.; Magilligan, D.J. Operative experience with infective endocarditis and intracerebral mycotic aneurysm. J. Thorac. Cardiovasc. Surg. 1980, 80, 28–30. [Google Scholar] [CrossRef] [PubMed]
- Oohara, K.; Yamazaki, T.; Kanou, H.; Kobayashi, A. Infective endocarditis complicated by mycotic cerebral aneurysm: Two case reports of women in the peripartum period. Eur. J. Cardiothorac. Surg. 1998, 14, 533–535. [Google Scholar] [CrossRef] [PubMed]
- Alfredo, J.M.; Grinberg, M.; Leão, P.P.; Chung, C.; Noedir, A.; Stolf, G.; Pileggi, F.; FACC. Extracranial mycotic aneurysms in infective endocarditis. Clin. Cardiol. 1986, 9, 65–72. [Google Scholar] [CrossRef] [PubMed]
- Satoru, K.; Yoshida, K.; Suzuki, K.; Matsumura, R.; Okuda, A. Successful surgical management for multiple cerebral mycotic aneurysms involving both carotid and vertebrobasilar systems in active infective endocarditis. Eur. J. Cardiothorac. Surg. 1994, 8, 508–510. [Google Scholar] [CrossRef] [PubMed]
- Kadowaki, M.; Hashimoto, M.; Nakashima, M.; Fukata, M.; Odashiro, K.; Uchida, Y.; Shimono, N. Radial mycotic aneurysm complicated with infective endocarditis caused by Streptococcus sanguinis. Intern. Med. 2013, 52, 2361–2365. [Google Scholar] [CrossRef] [PubMed]
- Yuan, S.; Wang, G. Cerebral mycotic aneurysm as a consequence of infective endocarditis: A literature review. Cor Vasa 2017, 59, e257–e265. [Google Scholar] [CrossRef]




Disclaimer/Publisher’s Note: The statements, opinions and data contained in all publications are solely those of the individual author(s) and contributor(s) and not of MDPI and/or the editor(s). MDPI and/or the editor(s) disclaim responsibility for any injury to people or property resulting from any ideas, methods, instructions or products referred to in the content. |
© 2024 by the authors. Licensee MDPI, Basel, Switzerland. This article is an open access article distributed under the terms and conditions of the Creative Commons Attribution (CC BY) license (https://creativecommons.org/licenses/by/4.0/).
Share and Cite
Jang, L.C.; Kim, D.H.; Yoo, K.C. Rupture of Mycotic Abdominal Aortic Aneurysm as a Result of Incompletely Treated Multiple Peripheral Mycotic Aneurysms. Medicina 2024, 60, 1007. https://doi.org/10.3390/medicina60061007
Jang LC, Kim DH, Yoo KC. Rupture of Mycotic Abdominal Aortic Aneurysm as a Result of Incompletely Treated Multiple Peripheral Mycotic Aneurysms. Medicina. 2024; 60(6):1007. https://doi.org/10.3390/medicina60061007
Chicago/Turabian StyleJang, Lee Chan, Dae Hoon Kim, and Kwon Cheol Yoo. 2024. "Rupture of Mycotic Abdominal Aortic Aneurysm as a Result of Incompletely Treated Multiple Peripheral Mycotic Aneurysms" Medicina 60, no. 6: 1007. https://doi.org/10.3390/medicina60061007
APA StyleJang, L. C., Kim, D. H., & Yoo, K. C. (2024). Rupture of Mycotic Abdominal Aortic Aneurysm as a Result of Incompletely Treated Multiple Peripheral Mycotic Aneurysms. Medicina, 60(6), 1007. https://doi.org/10.3390/medicina60061007

