Acute Infectious Purpura Fulminans Complicated by Bacterial Translocation after Rectal Cancer Surgery: A Case Report
Abstract
1. Background
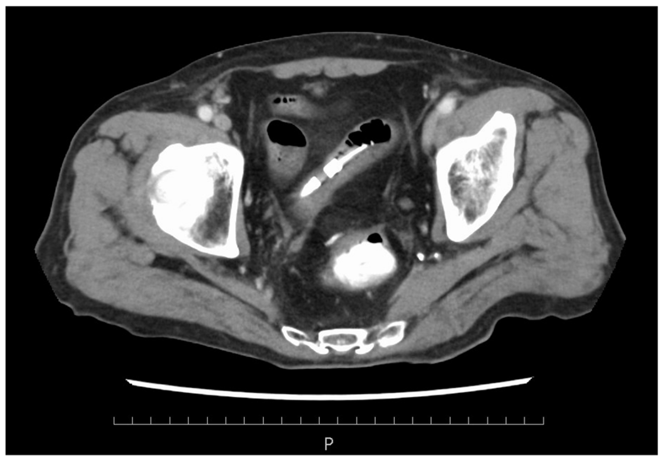
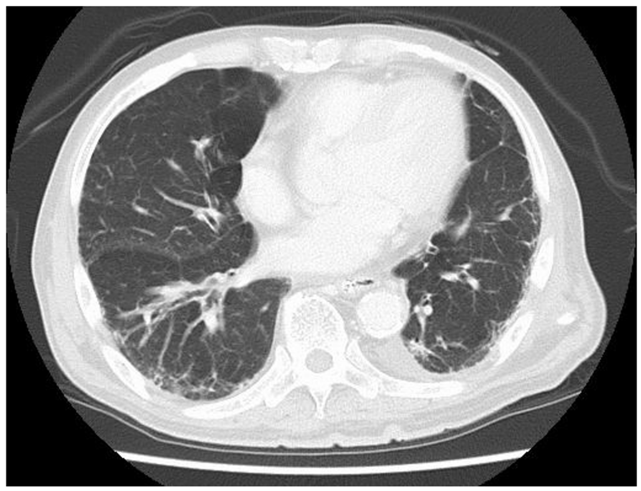
2. Case Presentation
3. Discussion
4. Conclusions
Author Contributions
Funding
Informed Consent Statement
Data Availability Statement
Conflicts of Interest
References
- Guelliot, O. Note sur trios cas de purpura infectieux foudroyant. Un Med. Sci. Nord-Est 1884, 8, 25–26. [Google Scholar]
- Kubo, K.; Chishiro, T.; Okamoto, H.; Matsushima, S. Purpura Fulminans (Symmetric Peripheral Gangrene): 7-year Consecutive Case Review in Japan. J. Jpn. Assoc. Infect. Dis. 2009, 83, 639–646. [Google Scholar]
- Contou, D.; Sonneville, R.; Canoui, P.F. Clinical Spectrum and Short-Term Outcome Of Adult Patients with Purpura Fulminans: A French Multicenter Retrospective Cohort Study. Intensive Care Med. 2018, 44, 1502–1511. [Google Scholar] [CrossRef] [PubMed]
- Okuzono, S.; Isomura, M.; Kanno, S. Streptococcus Pyogenes-Purpura Fulminans as an Invasive Form of Group A Streptococcal Infection. Ann. Clin. Microbiol. Antimicrob. 2018, 17, 31. [Google Scholar] [CrossRef] [PubMed]
- AlBarrak, M.; Matary, A.A. Neonatal purpura fulminans manifestation in early-onset group B streptococcal infection. Am. J. Case Rep. 2013, 14, 315–317. [Google Scholar] [PubMed]
- Kravitz, G.R.; Dries, D.J.; Peterson, M.L.; Schlievert, P.M. Purpura Fulminans Due to Staphylococcus aureus. Clin. Infect. Dis. 2005, 40, 941–947. [Google Scholar] [CrossRef] [PubMed]
- Donnenberg Michael, S. Enterobacteriaceae. In Principles and Practice of Infectious Diseases; Bennett, J.E., Dolin, R., Blaser, M.J., Eds.; Elsevier Health Sciences: Amsterdam, The Netherlands, 2014; Volume 2, p. 2514. [Google Scholar]
- Higashiguchi, T.; Imai, T. Nutritional Management for Bacterial Translocation During Ileus. J. Abdom. Emerg. Med. 1999, 19, 945–951. [Google Scholar]
- Shibuya, H.; Takayasu, S.; Sato, T. A Case of Purpura Fluminans with Septic Shock Possibly due to Bacterial Translocation of Citrobacter freundii. Nishinihon J. Dermatol. 2009, 71, 48–52. [Google Scholar] [CrossRef]
- Kasai Shoji Karasaki, H.; Maemoto, A.; Furukawa, S.; Itou, T.; Kono, T. Acute Infectious Purpura Fulminans Caused by Citrobacter freundii Sepsis in a Patient with Crohn’s Disease. Jpn. J. Soc. Coloproctol. 2018, 71, 91–99. [Google Scholar] [CrossRef]
- Yamamura, R.; Nakataki, E.; Fukuda, K.; Sugimoto, K.; Shikiji, T. Cases of Acute Infectious Purpura Fulminas and Clinical Study of Japanese 46 Cases. Nishinihon J. Dermatol. 2022, 84, 13. [Google Scholar] [CrossRef]
- Ohara, T.; Kusumoto, C. Symmetrical peripheral gangrene due to sepsis after sigmoidectomy: A case report. J. Jpn Soc. Surg. Infect. 2012, 9, 275–279. [Google Scholar]
- Fujita, H.; Ohe Hidenori Uemura, T.; Hirai, K.; Tachibana, T.; Mitsuyoshi, A. A Case of Acute Infectious Purpura Fulminans following Laparoscopic cholecystectomy. Jpn. J. Surg. Assoc. 2020, 81, 2507–2512. [Google Scholar] [CrossRef]
- Iida, Y.; Onitsuka, A.; Katagiri, Y. A Case of Acute Gangrenous Acalculous Cholecystitis Accompanied by Aeromonas hydrophilia and Clostridium perfringens Septic Shock. Jpn. J. Gastroenterol. 2007, 40, 296–300. [Google Scholar] [CrossRef][Green Version]
- Tokumitsu, Y.; Matsukuma, S.; Sakamoto, K.; Tokuhisa, Y.; Matsui, H.; Kanekiyo, S.; Tomochika, S.; Iida, M.; Suzuki, N.; Takeda, S.; et al. Effectiveness and Usefulness of Polymyxin-B Direct Hemoperfusion (PMX-DHP) for Septic Shock. J. Abdom. Emerg. Med. 2018, 38, 643–648. [Google Scholar]



| No | Author | Year | Patient | Bacteria Detected | Turning |
|---|---|---|---|---|---|
| 1 | Shibuya [9] | 2009 | 50-year-old male | Citrobacter freundii | Death |
| 2 | Kasai [10] | 2018 | 40-year-old female | Citrobacter freundii | Survival |
| 3 | Yamamura [11] | 2022 | 66-year-old male | Klebsiella pneumonia | Death |
| 73-year-old male | Citrobacter freundii | Death | |||
| 4 | Our case | 80-year-old male | Klebsiella aerogenes | Death |
Disclaimer/Publisher’s Note: The statements, opinions and data contained in all publications are solely those of the individual author(s) and contributor(s) and not of MDPI and/or the editor(s). MDPI and/or the editor(s) disclaim responsibility for any injury to people or property resulting from any ideas, methods, instructions or products referred to in the content. |
© 2024 by the authors. Licensee MDPI, Basel, Switzerland. This article is an open access article distributed under the terms and conditions of the Creative Commons Attribution (CC BY) license (https://creativecommons.org/licenses/by/4.0/).
Share and Cite
Nakanishi, R.; Ozawa, H.; Toyota, N.; Mise, M.; Akutsu, R.; Fujita, S. Acute Infectious Purpura Fulminans Complicated by Bacterial Translocation after Rectal Cancer Surgery: A Case Report. Medicina 2024, 60, 644. https://doi.org/10.3390/medicina60040644
Nakanishi R, Ozawa H, Toyota N, Mise M, Akutsu R, Fujita S. Acute Infectious Purpura Fulminans Complicated by Bacterial Translocation after Rectal Cancer Surgery: A Case Report. Medicina. 2024; 60(4):644. https://doi.org/10.3390/medicina60040644
Chicago/Turabian StyleNakanishi, Ryo, Heita Ozawa, Naoyuki Toyota, Minori Mise, Ritsuto Akutsu, and Shin Fujita. 2024. "Acute Infectious Purpura Fulminans Complicated by Bacterial Translocation after Rectal Cancer Surgery: A Case Report" Medicina 60, no. 4: 644. https://doi.org/10.3390/medicina60040644
APA StyleNakanishi, R., Ozawa, H., Toyota, N., Mise, M., Akutsu, R., & Fujita, S. (2024). Acute Infectious Purpura Fulminans Complicated by Bacterial Translocation after Rectal Cancer Surgery: A Case Report. Medicina, 60(4), 644. https://doi.org/10.3390/medicina60040644

