Ultrasound- and Doppler-Guided WALANT Arthroscopic Surgery for Patellar Tendinopathy with Partial Rupture in Elite Athletes—A 2-Year Follow-Up of a Prospective Case Series
Abstract
1. Introduction
2. Materials and Methods
2.1. Study Sample
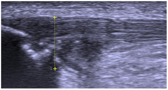
2.2. Pre-Operative Examination
2.3. Surgical Treatment
2.4. Post-Operative Care and Rehabilitation
2.5. Outcome Measures
2.6. Ethics
2.7. Statistical Methods
3. Results
4. Discussion
4.1. Subjective Improvement and Return to Sport
4.2. Bony Pathology and Partial Tendon Rupture
4.3. Complications
4.4. Methodological Considerations
5. Conclusions
Author Contributions
Funding
Institutional Review Board Statement
Informed Consent Statement
Data Availability Statement
Conflicts of Interest
References
- Khan, K.M.; Maffulli, N.; Coleman, B.D.; Cook, J.L.; Taunton, J.E. Patellar tendinopathy: Some aspects of basic science and clinical management. Br. J. Sports Med. 1998, 32, 346–355. [Google Scholar] [CrossRef] [PubMed]
- Kettunen, J.A.; Kvist, M.; Alanen, E.; Kujala, U.M. Long-term prognosis for Jumper´s knee in male athletes: A prospective follow-up study. Am. J. Sports Med. 2002, 30, 689–692. [Google Scholar] [CrossRef] [PubMed]
- Lian, O.B.; Engebretsen, L.; Bahr, R. Prevalence of jumper’s knee among elite athletes from different sports: A cross-sectional study. Am. J. Sports Med. 2005, 33, 561–567. [Google Scholar] [CrossRef] [PubMed]
- Gisslén, K.; Gyulai, C.; Söderman, K.; Alfredson, H. High prevalence of jumper´s knee and sonographic changes in Swedish elite junior volleyball players compared to matched controls. Br. J. Sports Med. 2005, 39, 298–301. [Google Scholar] [CrossRef] [PubMed]
- Malliaris, P.; Cook, J.; Kent, P.; Alfredson, H. Anthropometric risk factors for patellar tendon injury among volleyball players. Br. J. Sports Med. 2007, 41, 259–263. [Google Scholar] [CrossRef] [PubMed]
- Alfredson, H.; Masci, L.M. Ultrasound and Doppler-guided surgery for the treatment of Jumper´s knee in professional rugby players. Pain Stud. Treat. 2015, 3, 1–5. [Google Scholar] [CrossRef][Green Version]
- Cook, J.L. What´s the appropriate treatment for patellar tendinopathy? Br. J. Sports Med. 2001, 35, 291–294. [Google Scholar] [CrossRef] [PubMed]
- Kongsgaard, M.; Kovanen, V.; Aagaard, P.; Doessing, S.; Hansen, P.; Laursen, A.H.; Kaldau, N.C.; Kjaer, M.; Magnusson, S.P. Corticosteroid injections, eccentric decline squat training and heavy slow resistance training in patellar tendinopathy. Scand. J. Med. Sci. Sports 2009, 19, 790–802. [Google Scholar] [CrossRef] [PubMed]
- Bahr, R.; Fossan, B.; Løken, S.; Engebretsen, L. Surgical treatment compared with eccentric training for patellar tendinopathy (Jumper’s knee). A randomized, controlled trial. J. Bone Jt. Surg. Am. 2006, 88, 1689–1698. [Google Scholar] [CrossRef] [PubMed]
- Malliaras, P.; Cook, J.; Purdam, C.; Rio, E. Patellar tendinopathy: Clinical diagnosis, load management, and advice for challenging case presentations. J. Orthop. Sports Phys. Ther. 2015, 45, 887–898. [Google Scholar] [CrossRef] [PubMed]
- Alfredson, H.; Masci, L. Partial ruptures and bone pathology in Patellar Tendinopathy-ultrasound and surgical findings. Rheumatol. Orthop. Med. 2019, 4, 1–3. [Google Scholar]
- Danielson, P.; Andersson, G.; Alfredson, H.; Forsgren, S. Marked sympathetic component in the perivascular innervation of the dorsal paratendinous tissue of the patellar tendon in arthroscopically treated tendinosis patients. Knee Surg. Sports Traumatol. Arthrosc. 2008, 16, 621–626. [Google Scholar] [CrossRef] [PubMed]
- Willberg, L.; Sunding, K.; Öhberg, L.; Forssblad, M.; Alfredson, H. Treatment of Jumper´s knee: Promising short-term results in a pilot study using a new arthroscopic approach based on imaging findings. Knee Surg. Sports Traumatol. Arthrosc. 2007, 15, 676–681. [Google Scholar] [CrossRef]
- Willberg, L.; Sunding, K.; Forsblad, M.; Alfredson, H. Ultrasound- and doppler-guided arthroscopic shaving to treat Jumper´s knee. Knee Surg. Sports Traumatol. Arthrosc. 2007, 15, 1400–1403. [Google Scholar] [CrossRef]
- Willberg, L.; Sunding, K.; Forssblad, M.; Fahlstrom, M. Sclerosing polidocanol injections or arthroscopic shaving to treat patellar tendinopathy/jumper’s knee? A randomised controlled study. Br. J. Sports Med. 2011, 45, 411–415. [Google Scholar] [CrossRef]
- Sunding, K.; Willberg, L.; Werner, S.; Alfredson, H.; Forssblad, M.; Fahlstrom, M. Sclerosing injections and ultrasound-guided arthroscopic shaving for patellar tendinopathy—Good clinical results and decreased tendon thickness after surgery—A medium term follow-up study. Knee Surg. Sports Traumatol. Arthrosc. 2015, 23, 2259–2268. [Google Scholar] [CrossRef]
- Willberg, L. Patellar and Achilles Tendinopathy: Sclerosing Injections and Ultrasound Guided Arthroscopic Shaving. Ph.D. Thesis, Umeå University, Umeå, Sweden, 2013. [Google Scholar]
- Spang, C.; Masci, L.; Alfredson, H. Is the superficial peritendinous tissue an additional pain driver in patellar tendinopathy? Studies on morphology and innervation in a case series. Medicina 2022, 58, 601. [Google Scholar] [CrossRef]
- Alfredson, H. Achilles and patellar tendons operated in local anesthesia. Am. J. Anest. Pain Med. 2018, 1, 1–2. [Google Scholar]
- Masci, L.; Alfredson, H.; Neal, B.; Wynter Bee, W. Ultrasound-guided tendon debridement improves pain, function and structure in persistent patellar tendinopathy: Short term follow-up of a case series. BMJ Open Sports Exerc. Med. 2020, 6, e000803. [Google Scholar] [CrossRef] [PubMed]
- Mendonça, L.d.M.; Ocarino, J.M.; Bittencourt, N.F.; Fernandes, L.M.; Verhagen, E.; Fonseca, S.T. The Accuracy of the VISA-P Questionnaire, Single-Leg Decline Squat, and Tendon Pain History to Identify Patellar Tendon Abnormalities in Adult Athletes. J. Orthop. Sports Phys. Ther. 2016, 46, 673–680. [Google Scholar] [CrossRef] [PubMed]


| Week | Rehabilitation Activities and Exercises |
|---|---|
| 1–2 | Gradually increased full weight-bearing walking, full range of motion exercises and isometric quadriceps contraction exercises. Short sessions with light-load biking. |
| 3–4 | Increased walking distances and light-load biking distances. Isometric quadriceps exercises. |
| 5–6 | Introduction of closed chain concentric quadriceps strength training (low-load and multiple repetitions). Introduction of two-legged low-load eccentric exercises. Free walking distances and heavier biking (including resistance intervals). |
| 7–8 | Heavier closed-chain concentric and two-legged eccentric quadriceps exercises Free biking. |
| 9–10 | Heavy concentric exercises and introduction of one-legged eccentric exercises. |
| 11 | Careful introduction of plyometric exercises (if tolerate heavy isometric, concentric and eccentric strength training). |
| 12 | Introduction of sport-specific exercises. |
Disclaimer/Publisher’s Note: The statements, opinions and data contained in all publications are solely those of the individual author(s) and contributor(s) and not of MDPI and/or the editor(s). MDPI and/or the editor(s) disclaim responsibility for any injury to people or property resulting from any ideas, methods, instructions or products referred to in the content. |
© 2024 by the authors. Licensee MDPI, Basel, Switzerland. This article is an open access article distributed under the terms and conditions of the Creative Commons Attribution (CC BY) license (https://creativecommons.org/licenses/by/4.0/).
Share and Cite
Alfredson, H.; Roberts, D.; Spang, C.; Waldén, M. Ultrasound- and Doppler-Guided WALANT Arthroscopic Surgery for Patellar Tendinopathy with Partial Rupture in Elite Athletes—A 2-Year Follow-Up of a Prospective Case Series. Medicina 2024, 60, 541. https://doi.org/10.3390/medicina60040541
Alfredson H, Roberts D, Spang C, Waldén M. Ultrasound- and Doppler-Guided WALANT Arthroscopic Surgery for Patellar Tendinopathy with Partial Rupture in Elite Athletes—A 2-Year Follow-Up of a Prospective Case Series. Medicina. 2024; 60(4):541. https://doi.org/10.3390/medicina60040541
Chicago/Turabian StyleAlfredson, Håkan, David Roberts, Christoph Spang, and Markus Waldén. 2024. "Ultrasound- and Doppler-Guided WALANT Arthroscopic Surgery for Patellar Tendinopathy with Partial Rupture in Elite Athletes—A 2-Year Follow-Up of a Prospective Case Series" Medicina 60, no. 4: 541. https://doi.org/10.3390/medicina60040541
APA StyleAlfredson, H., Roberts, D., Spang, C., & Waldén, M. (2024). Ultrasound- and Doppler-Guided WALANT Arthroscopic Surgery for Patellar Tendinopathy with Partial Rupture in Elite Athletes—A 2-Year Follow-Up of a Prospective Case Series. Medicina, 60(4), 541. https://doi.org/10.3390/medicina60040541

