A Successful Treatment of Broncho-Esophageal Fistula with Esophageal Stenting Using Direct Endoscopic Visualization
Abstract
1. Introduction
2. Case Presentation Section
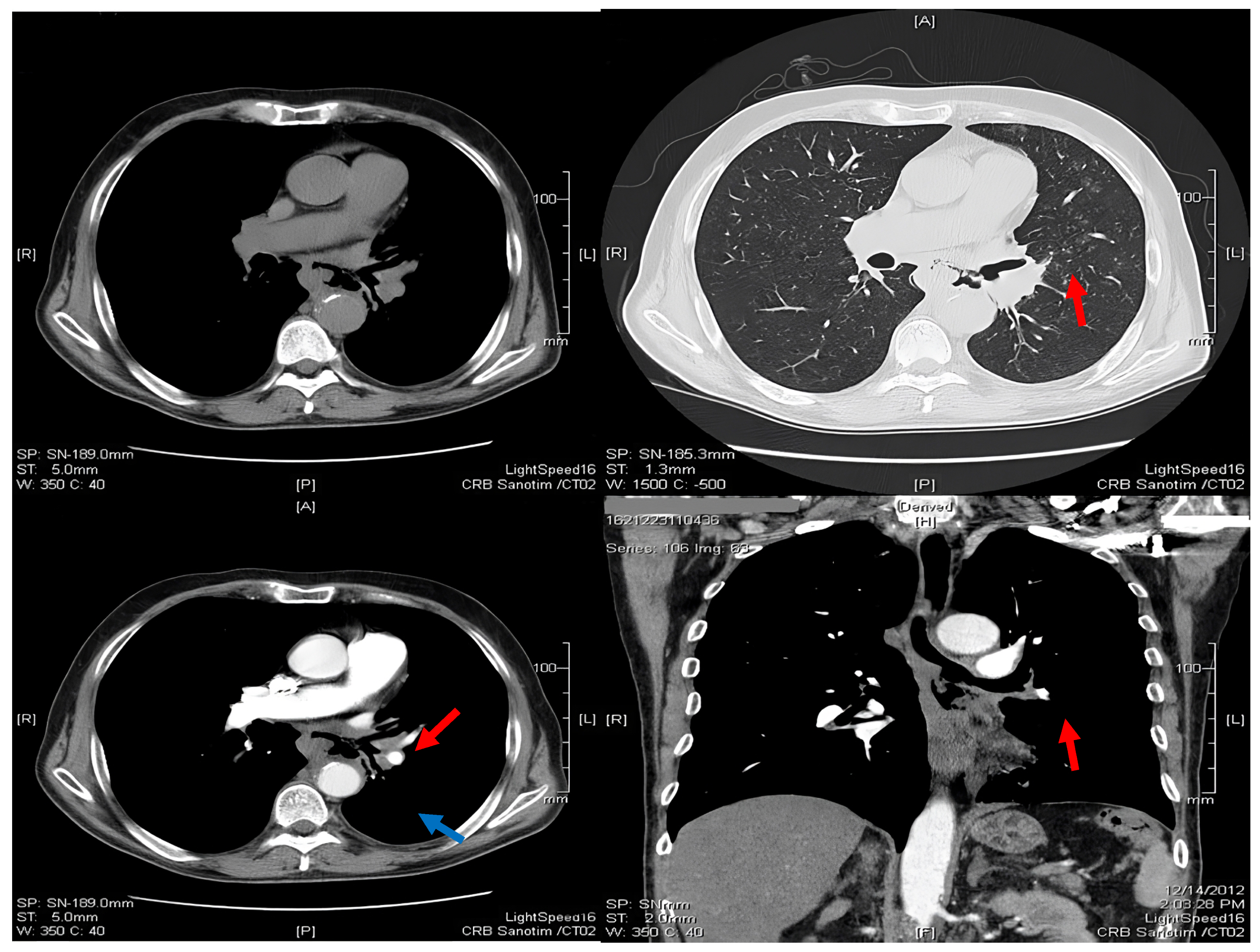
2.1. Thoracic Computed Tomography
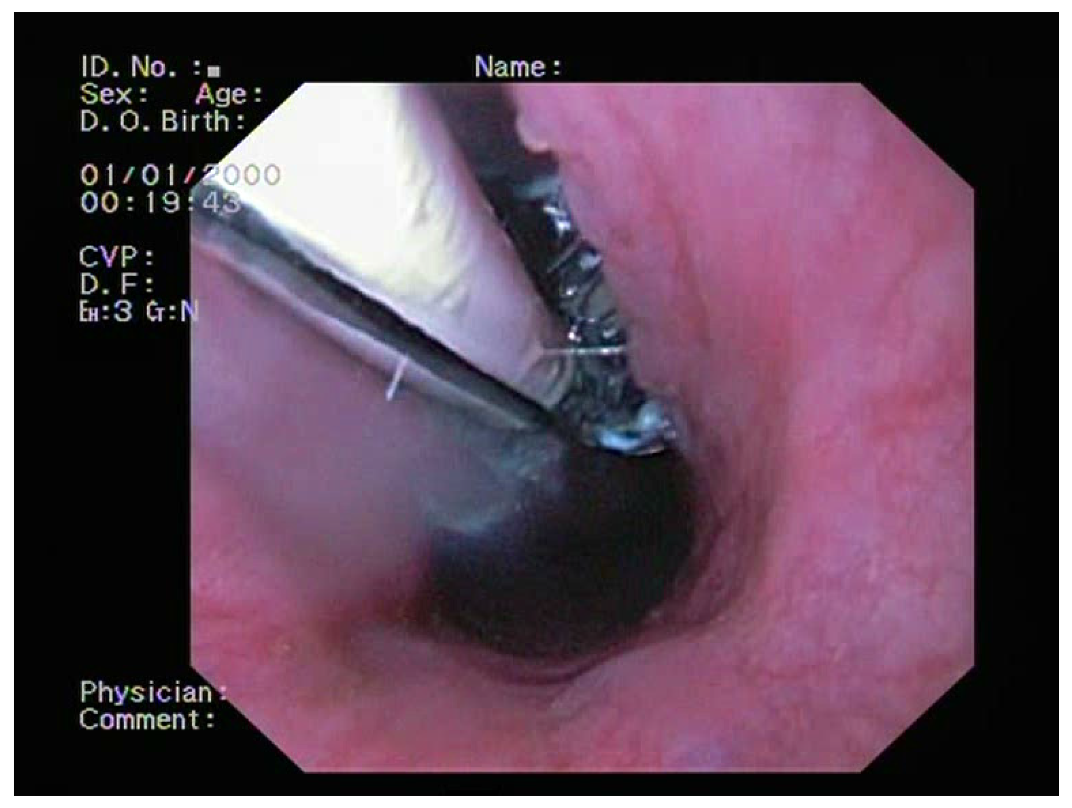
2.2. Bronchoscopy
2.3. Bronchial Biopsy
2.4. Treatment
3. Discussion
4. Conclusions
Author Contributions
Funding
Institutional Review Board Statement
Informed Consent Statement
Data Availability Statement
Conflicts of Interest
References
- Aggarwal, D.; Mohapatra, P.; Malhotra, B. Acquired bronchoesophageal fistula. Lung India 2009, 26, 24. [Google Scholar] [CrossRef]
- Fan, K.; Gao, S.; Gao, R.; Li, S.; Fu, J.; Zhang, G. Repair of a three-way congenital bronchoesophageal fistula in an adult patient: A case report. BMC Gastroenterol. 2021, 21, 452. [Google Scholar] [CrossRef] [PubMed]
- Shin, J.H.; Kim, J.-H.; Song, H.-Y. Interventional Management of Esophagorespiratory Fistula. Korean J. Radiol. 2010, 11, 133–140. [Google Scholar] [CrossRef] [PubMed][Green Version]
- Smith, C.; Bannon, M.; Ashraf, A.; Kaushik, P.; Marak, C. Bronchoesophageal fistula: An unusual manifestation of lung cancer. Respir. Med. Case Rep. 2022, 37, 101634. [Google Scholar] [CrossRef] [PubMed]
- Chang, C.H.; Lin, J. Management of aero-digestive fistulas in adults: The bronchoscopist’s perspective. Mediastinum 2023, 7, 33. [Google Scholar] [CrossRef] [PubMed]
- Argüder, E.; Aykun, G.; Karalezli, A.; Hasanoğlu, H.C. Bronchoesophageal fistula. J. Bronchol. Interv. Pulmonol. 2012, 19, 47–49. [Google Scholar] [CrossRef] [PubMed]
- Youness, H.A.; Harris, K.; Awab, A.; Keddissi, J.I. Bronchoscopic advances in the management of aerodigestive fistulas. J. Thorac. Dis. 2018, 10, 5636–5647. [Google Scholar] [CrossRef] [PubMed]
- Sugimoto, H.; Yoshihara, A.; Obata, D.; Sugimoto, K. Broncho-oesophageal fistula after lung cancer treatment. BMJ Case Rep. 2020, 13, e234630. [Google Scholar] [CrossRef] [PubMed]
- Buemi, L.; Stefanelli, S.; Bichard, P.; Luscher, M.; Becker, M. Esophageal pulmonary fistula—A rare complication of radiation therapy: A case report. J. Med. Case Rep. 2018, 12, 116. [Google Scholar] [CrossRef][Green Version]
- Lim, K.-H.; Liam, C.-K.; Wong, C.M.-M.; Lim, Y.-C. A 52-Year-Old Woman With Recurrent Hemoptysis. Chest 2001, 119, 955–957. [Google Scholar] [CrossRef]
- Kassis, E.S.; Belani, C.P.; Ferson, P.F.; Keenan, R.J.; Luketich, J.D. Hodgkin’s disease presenting with a bronchoesophageal fistula. Ann. Thorac. Surg. 1998, 66, 1409–1410. [Google Scholar] [CrossRef]
- Tywończuk-Szulc, M.; Kibiłda, B.; Bujnowski, T. Case of esophageal foreign body complicated by mediastinitis and broncho-esophageal fistula. Pol. Otolaryngol. 2004, 58, 615–618. [Google Scholar]
- Mathisen, D.J.; Grillo, H.C.; Wain, J.C.; Hilgenberg, A.D. Management of acquired nonmalignant tracheoesophageal fistula. Ann. Thorac. Surg. 1991, 52, 759–765. [Google Scholar] [CrossRef] [PubMed]
- Gschossmann, J.M.; Bonner, J.A.; Foote, R.L.; Shaw, E.G.; Martenson, J.A.J.; Su, J. Malignant tracheoesophageal fistula in patients with esophageal cancer. Cancer 1993, 72, 1513–1521. [Google Scholar] [CrossRef] [PubMed]
- Spalding, A.R.; Burney, D.P.; Richie, R.E. Acquired benign bronchoesophageal fistulas in the adult. Ann. Thorac. Surg. 1979, 28, 378–383. [Google Scholar] [CrossRef] [PubMed]
- Burt, M.; Diehl, W.; Martini, N.; Bains, M.S.; Ginsberg, R.J.; McCormack, P.M.; Rusch, V.W. Malignant esophagorespiratory fistula: Management options and survival. Ann. Thorac. Surg. 1991, 52, 1222–1229. [Google Scholar] [CrossRef] [PubMed]
- Schreiber, J.; Waldburg, N. Bronchoesophageal Fistula and Fatal Hemoptysis After Bevacizumab-Containing Chemotherapy Without Radiation in Lung Cancer. J. Clin. Oncol. 2012, 30, e324. [Google Scholar] [CrossRef] [PubMed]
- Koval, J.C.; Curley, R.M. Bronchoesophageal Fistula in Small Cell Lung Cancer. Chest 1990, 98, 512–513. [Google Scholar] [CrossRef] [PubMed]
- Khuwaja, S.; Azeem, A.; Guttmann, S. Bronchoesophageal fistula: A rare complication of non-small cell carcinoma (NSCLC) invading the mediastinum. BMJ Case Rep. 2019, 12, e230393. [Google Scholar] [CrossRef]
- Korpanty, G.; Alken, S.; Smyth, L.; Greene, J.; El-Helali, A.; Grogan, L.; Breathnach, O.S. Bronchoesophageal Fistula in a Patient With Stage IIIB Non–Small-Cell Lung Cancer. J. Thorac. Oncol. 2012, 7, 1622. [Google Scholar] [CrossRef]
- Ali, R.; Patel, A.; Hussain, M.; DaCosta, T.; Bains, Y.; Miller, R. Unique Communication: A Case Report of Acquired Esophageal Pulmonary Fistula. J. Med. Cases 2021, 12, 347–350. [Google Scholar] [CrossRef]
- Moyes, L.H.; Mackay, C.K.; Forshaw, M.J. The use of self-expanding plastic stents in the management of oesophageal leaks and spontaneous oesophageal perforations. Diagn. Ther. Endosc. 2011, 2011, 418103. [Google Scholar] [CrossRef][Green Version]
- Dai, Y.Y.; Gretschel, S.; Dudeck, O.; Rau, B.; Schlag, P.M.; Hünerbein, M. Treatment of oesophageal anastomotic leaks by temporary stenting with self-expanding plastic stents. Br. J. Surg. 2009, 96, 887–891. [Google Scholar] [CrossRef] [PubMed]
- Dormann, A.J.; Eisendrath, P.; Wigginghaus, B.; Huchzermeyer, H.; Devière, J. Palliation of Esophageal Carcinoma with a New Self-Expanding Plastic Stent. Endoscopy 2003, 35, 207–211. [Google Scholar] [CrossRef] [PubMed]
- Vakil, N.; Morris, A.I.; Marcon, N.; Segalin, A.; Peracchia, A.; Bethge, N.; Zuccaro, G.; Bosco, J.J.; Jones, W.F. A prospective, randomized, controlled trial of covered expandable metal stents in the palliation of malignant esophageal obstruction at the gastroesophageal junction. Am. J. Gastroenterol. 2001, 96, 1791–1796. [Google Scholar] [CrossRef] [PubMed]
- Saranovic, D.; Djuric-Stefanovic, A.; Ivanovic, A.; Masulovic, D.; Pesko, P. Fluoroscopically guided insertion of self-expandable metal esophageal stents for palliative treatment of patients with malignant stenosis of esophagus and cardia: Comparison of uncovered and covered stent types. Dis. Esophagus 2005, 18, 230–238. [Google Scholar] [CrossRef] [PubMed]
- Sabharwal, T.; Hamady, M.S.; Chui, S.; Atkinson, S.; Mason, R.; Adam, A. A randomised prospective comparison of the Flamingo Wallstent and Ultraflex stent for palliation of dysphagia associated with lower third oesophageal carcinoma. Gut 2003, 52, 922–926. [Google Scholar] [CrossRef] [PubMed]
- Adam, A.; Ellul, J.; Watkinson, A.F.; Tan, B.S.; Morgan, R.A.; Saunders, M.P.; Mason, R.C. Palliation of inoperable esophageal carcinoma: A prospective randomized trial of laser therapy and stent placement. Radiology 1997, 202, 344–348. [Google Scholar] [CrossRef] [PubMed]
- Eickhoff, A.; Knoll, M.; Jakobs, R.; Weickert, U.; Hartmann, D.; Schilling, D.; Eickhoff, J.C.; Riemann, J.F. Self-Expanding Metal Stents Versus Plastic Prostheses in the Palliation of Malignant Dysphagia. J. Clin. Gastroenterol. 2005, 39, 877–885. [Google Scholar] [CrossRef] [PubMed]
- Wang, C.; Wei, H.; Li, Y. Comparison of fully-covered vs partially covered self-expanding metallic stents for palliative treatment of inoperable esophageal malignancy: A systematic review and meta-analysis. BMC Cancer 2020, 20, 73. [Google Scholar] [CrossRef]
- Martinez, J.C.; Puc, M.M.; Quiros, R.M. Esophageal Stenting in the Setting of Malignancy. ISRN Gastroenterol. 2011, 2011, 719575. [Google Scholar] [CrossRef]
- Baron, T.H. Expandable Metal Stents for the Treatment of Cancerous Obstruction of the Gastrointestinal Tract. N. Engl. J. Med. 2001, 344, 1681–1687. [Google Scholar] [CrossRef] [PubMed]
- Patel, H.; Singh, R.; Mobin, N. The Unexpected Formation of a Broncho-Esophageal Fistula of the Right Main Stem Bronchus Status Post Esophageal Stent Placement: A Case Report. Cureus 2022, 14, e21641. [Google Scholar] [CrossRef]
- Homann, N.; Noftz, M.R.; Klingenberg-Noftz, R.D.; Ludwig, D. Delayed Complications after Placement of Self-Expanding Stents in Malignant Esophageal Obstruction: Treatment Strategies and Survival Rate. Dig. Dis. Sci. 2008, 53, 334–340. [Google Scholar] [CrossRef] [PubMed]
- Malla, J.; Zahra, A.; Venugopal, S.; Selvamani, T.Y.; Shoukrie, S.I.; Selvaraj, R.; Dhanoa, R.K.; Hamouda, R.K.; Mostafa, J. What Role Do Inflammatory Cytokines Play in Cancer Cachexia? Cureus 2022, 14, e26798. [Google Scholar] [CrossRef] [PubMed]
- Włodarczyk, J.R.; Kużdżał, J. Safety and efficacy of oesophageal stenting with simultaneous percutaneous endoscopic gastrostomy as a supplementary feeding route in unresectable proximal oesophageal cancer. Videosurgery Other Miniinvasive Tech. 2018, 13, 176–183. [Google Scholar] [CrossRef] [PubMed]
- Chen, Y.-H.; Li, S.-H.; Chiu, Y.-C.; Lu, H.-I.; Huang, C.-H.; Rau, K.-M.; Liu, C.-T. Comparative Study of Esophageal Stent and Feeding Gastrostomy/Jejunostomy for Tracheoesophageal Fistula Caused by Esophageal Squamous Cell Carcinoma. PLoS ONE 2012, 7, e42766. [Google Scholar] [CrossRef]
- Bai, Y.; Yin, Y.; Chi, J.; Li, S.; Li, Y.; Guo, S. Management of stent-related tracheoesophageal fistula in complex post-tuberculosis tracheobronchial stenosis: A case report. Front. Med. 2022, 9, 996140. [Google Scholar] [CrossRef]






| Values | |
|---|---|
| Erythrocytes | 3,940,000/mm3 |
| Hemoglobin | 14.5 g/dL |
| Hematocrit | 42% |
| Leukocytes | 5730/mm3 |
| Thrombocytes | 304,000/mm3 |
| VSH | 9 mm/h |
Disclaimer/Publisher’s Note: The statements, opinions and data contained in all publications are solely those of the individual author(s) and contributor(s) and not of MDPI and/or the editor(s). MDPI and/or the editor(s) disclaim responsibility for any injury to people or property resulting from any ideas, methods, instructions or products referred to in the content. |
© 2024 by the authors. Licensee MDPI, Basel, Switzerland. This article is an open access article distributed under the terms and conditions of the Creative Commons Attribution (CC BY) license (https://creativecommons.org/licenses/by/4.0/).
Share and Cite
Banciu, C.; Aprotosoaie, A.; Vancea, D.; Taban, S.; Guse, C.; Budu, O.; Fabian, R.; Chiriac, S.; Căruntu, F.; Voicu, A. A Successful Treatment of Broncho-Esophageal Fistula with Esophageal Stenting Using Direct Endoscopic Visualization. Medicina 2024, 60, 524. https://doi.org/10.3390/medicina60040524
Banciu C, Aprotosoaie A, Vancea D, Taban S, Guse C, Budu O, Fabian R, Chiriac S, Căruntu F, Voicu A. A Successful Treatment of Broncho-Esophageal Fistula with Esophageal Stenting Using Direct Endoscopic Visualization. Medicina. 2024; 60(4):524. https://doi.org/10.3390/medicina60040524
Chicago/Turabian StyleBanciu, Christian, Adrian Aprotosoaie, Dorin Vancea, Sorina Taban, Cristina Guse, Oana Budu, Ramona Fabian, Sorin Chiriac, Florina Căruntu, and Adrian Voicu. 2024. "A Successful Treatment of Broncho-Esophageal Fistula with Esophageal Stenting Using Direct Endoscopic Visualization" Medicina 60, no. 4: 524. https://doi.org/10.3390/medicina60040524
APA StyleBanciu, C., Aprotosoaie, A., Vancea, D., Taban, S., Guse, C., Budu, O., Fabian, R., Chiriac, S., Căruntu, F., & Voicu, A. (2024). A Successful Treatment of Broncho-Esophageal Fistula with Esophageal Stenting Using Direct Endoscopic Visualization. Medicina, 60(4), 524. https://doi.org/10.3390/medicina60040524

