Primary Vaginal Mucinous Adenocarcinoma of Intestinal Type—Clinical, Radiological and Morphological Aspects
Abstract
1. Introduction
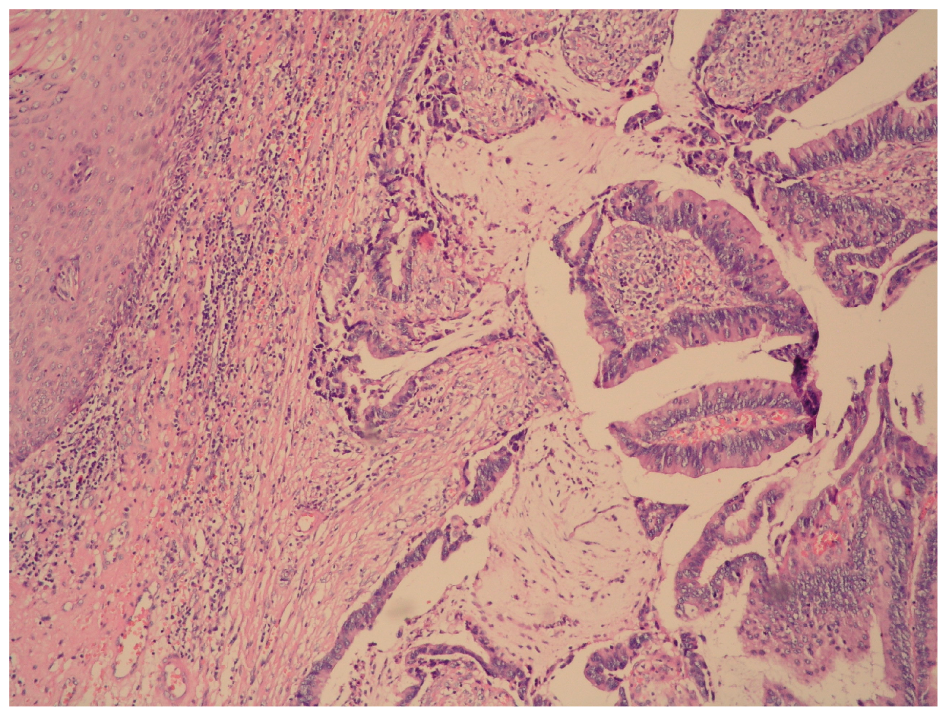
2. Case Presentation
3. Discussion
4. Conclusions
Author Contributions
Funding
Informed Consent Statement
Data Availability Statement
Acknowledgments
Conflicts of Interest
References
- Sung, H.; Ferlay, J.; Siegel, R.L.; Laversanne, M.; Soerjomataram, I.; Jemal, A.; Bray, F. Global Cancer Statistics 2020: GLOBOCAN Estimates of Incidence and Mortality Worldwide for 36 Cancers in 185 Countries. CA Cancer J. Clin. 2021, 71, 209–249. [Google Scholar] [CrossRef]
- Giannini, A.; Bogani, G.; Vizza, E.; Chiantera, V.; Laganà, A.S.; Muzii, L.; Salerno, M.G.; Caserta, D.; D’Oria, O. Advances on Prevention and Screening of Gynecologic Tumors: Are We Stepping Forward? Healthcare 2022, 10, 1605. [Google Scholar] [CrossRef]
- Amaral, A.; Miguelote, R.; Pires, M.J.; Castro, P.V.; Furtado, J.M. Primary vaginal adenocarcinoma of intestinal type: An uncommon presentation of a rare pathology. Acta Obstet. Ginecol. Port. 2015, 9, 260–263. [Google Scholar]
- Ugwu, A.O.; Haruna, M.; Okunade, K.S.; Ohazurike, E.; Anorlu, R.I.; Banjo, A.A.F. Primary vaginal adenocarcinoma of intestinal-type: Case report of a rare gynaecological tumour. Oxf. Med. Case Rep. 2019, 9, 383–386. [Google Scholar] [CrossRef]
- Broggi, G.; Piombino, E.; Magro, G.; Vecchio, G.M. Intestinal-type adenocarcinoma of the vagina: Clinico-pathologic features of a common tumor with a rare localization. Pathologica 2018, 110, 92–95. [Google Scholar]
- Sabri, A.; Li, C.; Monika, F.; Sharma, A.; Sharma, P. Primary Vaginal Adenocarcinoma of Intestinal-Type: A Case Report of a Rare Tumor With Review of Histology, Differential Diagnosis, and Literature. Cureus 2022, 14, e25298. [Google Scholar] [CrossRef]
- WHO. Classification of Tumours Editorial Board Female genital tumours. In WHO Classification of Tumours, 5th ed.; IARC Press: Lyon, France, 2020; Volume 4, ISBN 978-92-832-4504-9. [Google Scholar]
- Salhi, H.; Jaidane, O.; Ayadi, M.M.; Hassouna, J.B.; Dhiab, T.; Hechiche, M.; Rahal, K. Primary Mucinous Adenocarcinoma of the Vagina: A Case Report. Int. J. Curr. Res. 2017, 9, 47418–47419. [Google Scholar]
- Tatsumi, K.; Schlappe, B.; Everett, E.N.; Gibson, P.C.; Mount, S.L. Primary Vaginal Mucinous Adenocarcinoma of Intestinal Type, Associated With Intestinal Metaplasia of Skene Ducts in a Diethylstilbestrol-Exposed Woman. Am. J. Clin. Pathol. 2015, 144, 790–795. [Google Scholar] [CrossRef] [PubMed][Green Version]
- Dhorepatil, B.; Ladda, D.K.; Rapol, A.U. Rare case of primary mucinous adenocarcinoma of vagina. J. Cancer Res. Ther. 2013, 9, 514–516. [Google Scholar] [CrossRef] [PubMed]
- Nasu, K.; Kai, K.; Matsumoto, H.; Mori, C.; Takai, N.; Narahara, H. Primary mucinous adenocarcinoma of the vagina. Eur. J. Gynaec. Oncol. 2010, 31, 679–681. [Google Scholar]
- Franchi, M.; Garzon, S.; Calio, A.; Zorzato, P.C.; Bosco, M.; Casarin, J.; Festi, A.; Cromi, A.; Ghezzi, F.; Uccella, S. Intestinal-type primary vaginal adenocarcinoma. Review of the literature with report of a case: From diagnosis to management. J. Gynaecol. Obstet. 2021, 33, 79–89. [Google Scholar] [CrossRef]
- Zulfiqar, M.; Shetty, A.; Yano, M.; McGettigan, M.; Itani, M.; Naeem, M.; Ratts, V.S.; Siegel, C.L. Imaging of the Vagina: Spectrum of Disease with Emphasis on MRI Appearance. RadioGraphics 2021, 41, 1549–1568. [Google Scholar] [CrossRef]
- Gardner, C.S.; Sunil, J.; Klopp, A.H.; Devine, C.E.; Sagebiel, T.; Viswanathan, C.; Bhosale, P.R. Primary vaginal cancer: Role of MRI in diagnosis, staging and treatment. Br. J. Radiol. 2015, 88, 20150033. [Google Scholar] [CrossRef]
- Chow, L.; Tsui, B.Q.; Bahrami, S.; Masamed, R.; Memarzadeh, S.; Raman, S.S.; Patel, M.K. Gynecologic tumor board: A radiologist’s guide to vulvar and vaginal malignancies. Abdom. Radiol. 2021, 46, 5669–5686. [Google Scholar] [CrossRef]
- Russell, A.L.; Haagsma, B.; Madhuri, T.K. Primary vaginal adenocarcinoma of intestinal type or occult metastatic colon cancer: A diagnostic dilemma from a vaginal skin tag. Int. J. Women’s Health 2019, 11, 223–228. [Google Scholar] [CrossRef]
- Lu, W.; Zhang, X.; Lu, B. Benign intestinal glandular lesions in the vagina: A possible correlation with implantation. Diagn. Pathol. 2016, 11, 52. [Google Scholar] [CrossRef]
- Laalim, S.A.; Tourghai, I.; Ibnmejdoub, K.; Mazaz, K.; Raghy, S.; Chbani, L.; Abderahman, E.M.; Hijri, F.Z. Adénocarcinome vaginal primitif de type intestinal: Cas clinique et revue de la littérature. Pan Afr. Med. J. 2013, 15, 30. [Google Scholar] [CrossRef]
- Huang, X.S.; Fan, S.F.; Xu, J.X.; Xu, Y.J.; Song, X.; Xiang, J.Y.; Xue, L.M. Primary vaginal signet ring cell carcinoma. BJR Case Rep. 2023, 9, 20220050. [Google Scholar] [CrossRef] [PubMed]
- Zhu, X.D.; Wang, J.; You, Q.H.; Jiang, T.A. An isolated vaginal metastasis from intestinal signet ring cell carcinoma: A case report and literature review. BMC Cancer 2020, 20, 478. [Google Scholar] [CrossRef] [PubMed]
- Soerge, P.; Hillemanns, P.; Klapdor, R.; Jentschke, M.; Christgen, M.; Hertel, H. Sentinel lymphonodectomy in early vaginal cancer using combined near infrared fluorescence from indocyanine green and technetium-99m nanocolloid—A first case report. Clin. Obstet. Gynecol. Reprod. Med. 2017, 3, 1–3. [Google Scholar] [CrossRef][Green Version]
- Baral, S.K.; Biswas, P.; Kaium, A.; Islam, A.; Dey, D.; Saber, A.; Rahaman, T.I.; Emran, T.B.; Hasan, M.N.; Jeong, M.K.; et al. A Comprehensive Discussion in Vaginal Cancer Based on Mechanisms, Treatments, Risk Factors and Prevention. Front. Oncol. 2022, 12, 883805. [Google Scholar] [CrossRef] [PubMed]








Disclaimer/Publisher’s Note: The statements, opinions and data contained in all publications are solely those of the individual author(s) and contributor(s) and not of MDPI and/or the editor(s). MDPI and/or the editor(s) disclaim responsibility for any injury to people or property resulting from any ideas, methods, instructions or products referred to in the content. |
© 2024 by the authors. Licensee MDPI, Basel, Switzerland. This article is an open access article distributed under the terms and conditions of the Creative Commons Attribution (CC BY) license (https://creativecommons.org/licenses/by/4.0/).
Share and Cite
Betova, T.; Trifonov, R.; Popovska, S.; Yordanov, A.; Karakadieva, K.; Dancheva, Z.; Kostov, S. Primary Vaginal Mucinous Adenocarcinoma of Intestinal Type—Clinical, Radiological and Morphological Aspects. Medicina 2024, 60, 525. https://doi.org/10.3390/medicina60040525
Betova T, Trifonov R, Popovska S, Yordanov A, Karakadieva K, Dancheva Z, Kostov S. Primary Vaginal Mucinous Adenocarcinoma of Intestinal Type—Clinical, Radiological and Morphological Aspects. Medicina. 2024; 60(4):525. https://doi.org/10.3390/medicina60040525
Chicago/Turabian StyleBetova, Tatyana, Radoslav Trifonov, Savelina Popovska, Angel Yordanov, Konstantina Karakadieva, Zhivka Dancheva, and Stoyan Kostov. 2024. "Primary Vaginal Mucinous Adenocarcinoma of Intestinal Type—Clinical, Radiological and Morphological Aspects" Medicina 60, no. 4: 525. https://doi.org/10.3390/medicina60040525
APA StyleBetova, T., Trifonov, R., Popovska, S., Yordanov, A., Karakadieva, K., Dancheva, Z., & Kostov, S. (2024). Primary Vaginal Mucinous Adenocarcinoma of Intestinal Type—Clinical, Radiological and Morphological Aspects. Medicina, 60(4), 525. https://doi.org/10.3390/medicina60040525

