Clinical Characteristics and Prevalence of Celiac Disease in a Large Cohort of Type 1 Diabetes from Saudi Arabia
Abstract
1. Introduction
2. Materials and Methods
2.1. Study Design and Patients
2.2. Screening for CD
2.3. Endoscopic Study
2.4. Ethical Consideration
2.5. Statistical Analysis
3. Results
3.1. CD Seroprevalence
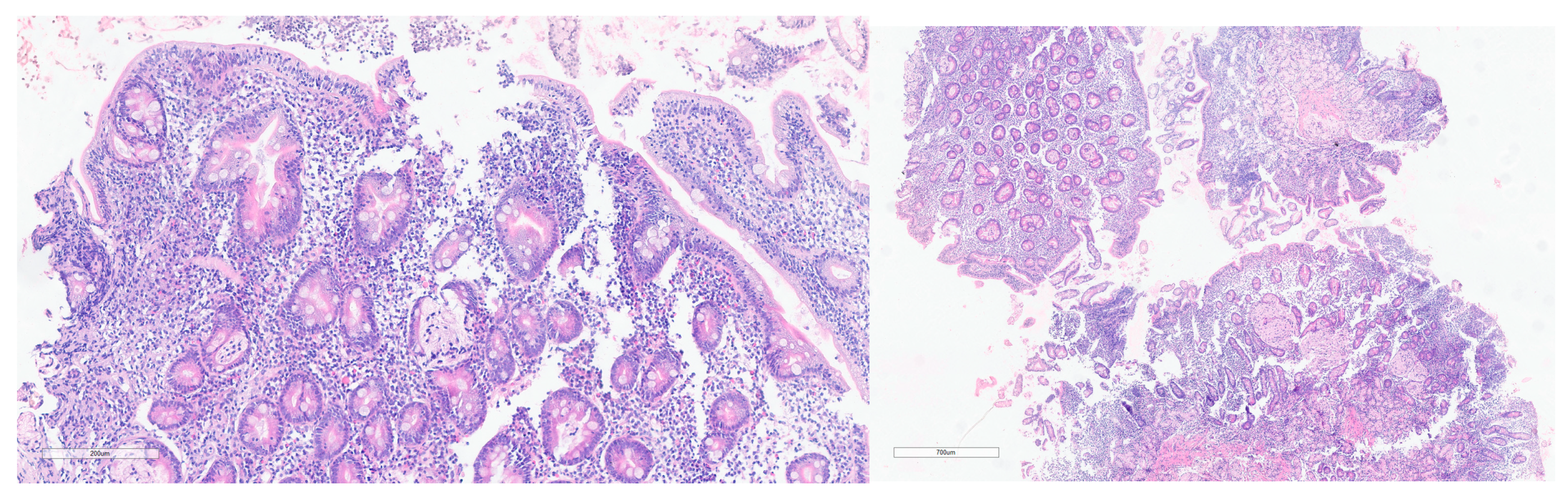
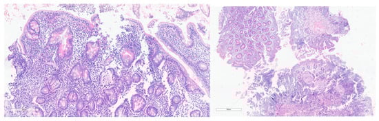
3.2. Histopathology Findings
4. Discussion
5. Conclusions
Author Contributions
Funding
Institutional Review Board Statement
Informed Consent Statement
Data Availability Statement
Conflicts of Interest
References
- El-Metwally, A.; Toivola, P.; AlAhmary, K.; Bahkali, S.; AlKhathaami, A.; AlSaqabi, M.K.; Al Ammar, S.A.; Jawed, M.; Alosaimi, S.M. The Epidemiology of Celiac Disease in the General Population and High-Risk Groups in Arab Countries: A Systematic Review. BioMed Res. Int. 2020, 2020, 6865917. [Google Scholar] [CrossRef]
- Caio, G.; Volta, U.; Sapone, A.; Leffler, D.A.; De Giorgio, R.; Catassi, C.; Fasano, A. Celiac disease: A comprehensive current review. BMC Med. 2019, 17, 142. [Google Scholar] [CrossRef] [PubMed]
- Akirov, A.; Pinhas-Hamiel, O. Co-occurrence of type 1 diabetes mellitus and celiac disease. World J. Diabetes 2015, 6, 707–714. [Google Scholar] [CrossRef] [PubMed]
- Ogrotis, I.; Koufakis, T.; Kotsa, K. Changes in the Global Epidemiology of Type 1 Diabetes in an Evolving Landscape of Environmental Factors: Causes, Challenges, and Opportunities. Medicina 2023, 59, 668. [Google Scholar] [CrossRef] [PubMed]
- King, J.A.; Jeong, J.; Underwood, F.E.; Quan, J.; Panaccione, N.; Windsor, J.W.; Coward, S.; deBruyn, J.; Ronksley, P.E.; Shaheen, A.A.; et al. Incidence of Celiac Disease Is Increasing Over Time: A Systematic Review and Meta-analysis. Am. J. Gastroenterol. 2020, 115, 507–525. [Google Scholar] [CrossRef]
- Pham-Short, A.; Donaghue, K.C.; Ambler, G.; Phelan, H.; Twigg, S.; Craig, M.E. Screening for Celiac Disease in Type 1 Diabetes: A Systematic Review. Pediatrics 2015, 136, e170–e176. [Google Scholar] [CrossRef]
- Singh, P.; Arora, A.; Strand, T.A.; Leffler, D.A.; Catassi, C.; Green, P.H.; Kelly, C.P.; Ahuja, V.; Makharia, G.K. Global Prevalence of Celiac Disease: Systematic Review and Meta-analysis. Clin. Gastroenterol. Hepatol. 2018, 16, 823–836.e822. [Google Scholar] [CrossRef]
- Camarca, M.E.; Mozzillo, E.; Nugnes, R.; Zito, E.; Falco, M.; Fattorusso, V.; Mobilia, S.; Buono, P.; Valerio, G.; Troncone, R. Celiac disease in type 1 diabetes mellitus. Ital. J. Pediatr. 2012, 38, 10. [Google Scholar] [CrossRef]
- Ide, A.; Eisenbarth, G.S. Genetic susceptibility in type 1 diabetes and its associated autoimmune disorders. Rev. Endocr. Metab. Disord. 2003, 4, 243–253. [Google Scholar] [CrossRef]
- Bao, F.; Yu, L.; Babu, S.; Wang, T.; Hoffenberg, E.J.; Rewers, M.; Eisenbarth, G.S. One third of HLA DQ2 homozygous patients with type 1 diabetes express celiac disease-associated transglutaminase autoantibodies. J. Autoimmun. 1999, 13, 143–148. [Google Scholar] [CrossRef]
- Rohrer, T.R.; Wolf, J.; Liptay, S.; Zimmer, K.P.; Fröhlich-Reiterer, E.; Scheuing, N.; Marg, W.; Stern, M.; Kapellen, T.M.; Hauffa, B.P.; et al. Microvascular Complications in Childhood-Onset Type 1 Diabetes and Celiac Disease: A Multicenter Longitudinal Analysis of 56,514 Patients from the German-Austrian DPV Database. Diabetes Care 2015, 38, 801–807. [Google Scholar] [CrossRef] [PubMed]
- Robert, A.A.; Al-Dawish, A.; Mujammami, M.; Dawish, M.A.A. Type 1 Diabetes Mellitus in Saudi Arabia: A Soaring Epidemic. Int. J. Pediatr. 2018, 2018, 9408370. [Google Scholar] [CrossRef] [PubMed]
- Al-Hussaini, A.; Troncone, R.; Khormi, M.; AlTuraiki, M.; Alkhamis, W.; Alrajhi, M.; Halal, T.; Fagih, M.; Alharbi, S.; Bashir, M.S.; et al. Mass Screening for Celiac Disease Among School-aged Children: Toward Exploring Celiac Iceberg in Saudi Arabia. J. Pediatr. Gastroenterol. Nutr. 2017, 65, 646–651. [Google Scholar] [CrossRef]
- Aljebreen, A.M.; Almadi, M.A.; Alhammad, A.; Al Faleh, F.Z. Seroprevalence of celiac disease among healthy adolescents in Saudi Arabia. World J. Gastroenterol. 2013, 19, 2374–2378. [Google Scholar] [CrossRef] [PubMed]
- Safi, M.A. Celiac disease in type 1 diabetes mellitus in the Kingdom of Saudi Arabia. Characterization and meta-analysis. Saudi Med. J. 2019, 40, 647–656. [Google Scholar] [CrossRef] [PubMed]
- Saadah, O.I.; Al-Agha, A.E.; Al Nahdi, H.M.; Bokhary, R.Y.; Bin Talib, Y.Y.; Al-Mughales, J.A.; Al Bokhari, S.M. Prevalence of celiac disease in children with type 1 diabetes mellitus screened by anti-tissue transglutaminase antibody from Western Saudi Arabia. Saudi Med. J. 2012, 33, 541–546. [Google Scholar]
- Al-Hussaini, A.; Sulaiman, N.; Al-Zahrani, M.; Alenizi, A.; El Haj, I. High prevalence of celiac disease among Saudi children with type 1 diabetes: A prospective cross-sectional study. BMC Gastroenterol. 2012, 12, 180. [Google Scholar] [CrossRef]
- Bin-Abbas, B.S.; Al Qahtani, M.A. Clinical guidelines for the management of type 1 diabetes in children in Saudi Arabia endorsed by the Saudi Society of Endocrinology and Metabolism, (SSEM). Int. J. Pediatr. Adolesc. Med. 2014, 1, 97–101. [Google Scholar] [CrossRef]
- Husby, S.; Koletzko, S.; Korponay-Szabó, I.; Kurppa, K.; Mearin, M.L.; Ribes-Koninckx, C.; Shamir, R.; Troncone, R.; Auricchio, R.; Castillejo, G.; et al. European Society Paediatric Gastroenterology, Hepatology and Nutrition Guidelines for Diagnosing Coeliac Disease 2020. J. Pediatr. Gastroenterol. Nutr. 2020, 70, 141–156. [Google Scholar] [CrossRef]
- Girard, C.; De Percin, A.; Morin, C.; Talvard, M.; Fortenfant, F.; Congy-Jolivet, N.; Le Tallec, C.; Olives, J.-P.; Mas, E. Accuracy of Serological Screening for the Diagnosis of Celiac Disease in Type 1 Diabetes Children. Medicina 2023, 59, 1321. [Google Scholar] [CrossRef]
- Oberhuber, G.; Granditsch, G.; Vogelsang, H. The histopathology of coeliac disease: Time for a standardized report scheme for pathologists. Eur. J. Gastroenterol. Hepatol. 1999, 11, 1185–1194. [Google Scholar] [CrossRef] [PubMed]
- Aljulifi, M.Z.; Mahzari, M.; Alkhalifa, L.; Hassan, E.; Alshahrani, A.M.; Alotay, A.A. The prevalence of celiac disease in Saudi patients with type 1 diabetes mellitus. Ann. Saudi Med. 2021, 41, 71–77. [Google Scholar] [CrossRef] [PubMed]
- Al-Hakami, A.M. Pattern of thyroid, celiac, and anti-cyclic citrullinated peptide autoantibodies coexistence with type 1 diabetes mellitus in patients from Southwestern Saudi Arabia. Saudi Med. J. 2016, 37, 386–391. [Google Scholar] [CrossRef]
- Al-Agha, A.E.; Alafif, M.M.; Abd-Elhameed, I.A. Glycemic control, complications, and associated autoimmune diseases in children and adolescents with type 1 diabetes in Jeddah, Saudi Arabia. Saudi Med. J. 2015, 36, 26–31. [Google Scholar] [CrossRef]
- Alshareef, M.A.; Aljabri, K.S.; Bokhari, S.A.; Al Jiffri, A.M.; Elsaoud, H.M.A.; Akl, A.F.; Fageeh, S.M.; Alreffi, A.N.; Eltayeb, A.A.; Aljabri, N.K. The prevalence of celiac disease in Saudi patients with type 1 diabetes mellitus: Cross sectional study. Int. J. Diabetes Metab. Disord. 2016, 1, 1–4. [Google Scholar]
- Alghamdi, R.A.; Alghamdi, A.H.; Fureeh, A.A. Sero-prevalence of celiac disease among symptom-free type 1 diabetes mellitus in Al-Baha region, Saudi Arabia. J. Pharm. Biol. Sci. 2018, 13, 22–26. [Google Scholar]
- Nederstigt, C.; Uitbeijerse, B.S.; Janssen, L.G.M.; Corssmit, E.P.M.; de Koning, E.J.P.; Dekkers, O.M. Associated auto-immune disease in type 1 diabetes patients: A systematic review and meta-analysis. Eur. J. Endocrinol. 2019, 180, 135–144. [Google Scholar] [CrossRef] [PubMed]
- Taczanowska, A.; Schwandt, A.; Amed, S.; Tóth-Heyn, P.; Kanaka-Gantenbein, C.; Volsky, S.K.; Svensson, J.; Szypowska, A. Celiac disease in children with type 1 diabetes varies around the world: An international, cross-sectional study of 57 375 patients from the SWEET registry. J. Diabetes 2021, 13, 448–457. [Google Scholar] [CrossRef]
- Belhiba, O.; Bousfiha, A.A.; Jennane, F. Prevalence of celiac disease in Moroccan children with type 1 diabetes mellitus: A 16-year cross-sectional study. Qatar Med. J. 2023, 2023, 37. [Google Scholar] [CrossRef]
- Odeh, R.; Alassaf, A.; Gharaibeh, L.; Ibrahim, S.; Khdair Ahmad, F.; Ajlouni, K. Prevalence of celiac disease and celiac-related antibody status in pediatric patients with type 1 diabetes in Jordan. Endocr. Connect. 2019, 8, 780–787. [Google Scholar] [CrossRef]
- Al-Sinani, S.; Sharef, S.W.; Al-Yaarubi, S.; Al-Zakwani, I.; Al-Naamani, K.; Al-Hajri, A.; Al-Hasani, S. Prevalence of celiac disease in omani children with type 1 diabetes mellitus: A cross sectional study. Oman Med. J. 2013, 28, 260–263. [Google Scholar] [CrossRef] [PubMed]
- Alyafei, F.; Soliman, A.; Alkhalaf, F.; Sabt, A.; De Sanctis, V.; Elsayed, N.; Waseef, R. Prevalence of β-cell antibodies and associated autoimmune diseases in children and adolescents with type 1 diabetes (T1DM) versus type 2 diabetes (T2DM) in Qatar. Acta Biomed. 2018, 89, 32–39. [Google Scholar] [CrossRef] [PubMed]
- Warsy, A.S.; Al-Jaser, M.H.; Albdass, A.; Al-Daihan, S.; Alanazi, M. Is consanguinity prevalence decreasing in Saudis?: A study in two generations. Afr. Health Sci. 2014, 14, 314–321. [Google Scholar] [CrossRef] [PubMed]
- Khayat, A.M.; Alshareef, B.G.; Alharbi, S.F.; AlZahrani, M.M.; Alshangity, B.A.; Tashkandi, N.F. Consanguineous Marriage and Its Association with Genetic Disorders in Saudi Arabia: A Review. Cureus 2024, 16, e53888. [Google Scholar] [CrossRef]
- Jansson-Knodell, C.L.; Hujoel, I.A.; West, C.P.; Taneja, V.; Prokop, L.J.; Rubio-Tapia, A.; Murray, J.A. Sex Difference in Celiac Disease in Undiagnosed Populations: A Systematic Review and Meta-analysis. Clin. Gastroenterol. Hepatol. 2019, 17, 1954–1968.e1913. [Google Scholar] [CrossRef]
- Cerutti, F.; Bruno, G.; Chiarelli, F.; Lorini, R.; Meschi, F.; Sacchetti, C. Younger age at onset and sex predict celiac disease in children and adolescents with type 1 diabetes: An Italian multicenter study. Diabetes Care 2004, 27, 1294–1298. [Google Scholar] [CrossRef]
- Larsson, K.; Carlsson, A.; Cederwall, E.; Jönsson, B.; Neiderud, J.; Jonsson, B.; Lernmark, Å.; Ivarsson, S.A.; Skåne Study Group. Annual screening detects celiac disease in children with type 1 diabetes. Pediatr. Diabetes 2008, 9, 354–359. [Google Scholar] [CrossRef]
- Bhadada, S.K.; Kochhar, R.; Bhansali, A.; Dutta, U.; Kumar, P.R.; Poornachandra, K.S.; Vaiphei, K.; Nain, C.K.; Singh, K. Prevalence and clinical profile of celiac disease in type 1 diabetes mellitus in north India. J. Gastroenterol. Hepatol. 2011, 26, 378–381. [Google Scholar] [CrossRef]
- Greco, D.; Pisciotta, M.; Gambina, F.; Maggio, F. Celiac disease in subjects with type 1 diabetes mellitus: A prevalence study in western Sicily (Italy). Endocrine 2013, 43, 108–111. [Google Scholar] [CrossRef]
- Hagopian, W.; Lee, H.S.; Liu, E.; Rewers, M.; She, J.X.; Ziegler, A.G.; Lernmark, Å.; Toppari, J.; Rich, S.S.; Krischer, J.P.; et al. Co-occurrence of Type 1 Diabetes and Celiac Disease Autoimmunity. Pediatrics 2017, 140, e20171305. [Google Scholar] [CrossRef]
- American Diabetes Association Professional Practice Committee. 14. Children and Adolescents: Standards of Care in Diabetes—2024. Diabetes Care 2023, 47, S258–S281. [Google Scholar] [CrossRef]
- Fröhlich-Reiterer, E.; Elbarbary, N.S.; Simmons, K.; Buckingham, B.; Humayun, K.N.; Johannsen, J.; Holl, R.W.; Betz, S.; Mahmud, F.H. ISPAD Clinical Practice Consensus Guidelines 2022: Other complications and associated conditions in children and adolescents with type 1 diabetes. Pediatr. Diabetes 2022, 23, 1451–1467. [Google Scholar] [CrossRef] [PubMed]
- DeMelo, E.N.; McDonald, C.; Saibil, F.; Marcon, M.A.; Mahmud, F.H. Celiac Disease and Type 1 Diabetes in Adults: Is This a High-Risk Group for Screening? Can. J. Diabetes 2015, 39, 513–519. [Google Scholar] [CrossRef] [PubMed]
- Fröhlich-Reiterer, E.E.; Kaspers, S.; Hofer, S.; Schober, E.; Kordonouri, O.; Pozza, S.B.; Holl, R.W. Anthropometry, metabolic control, and follow-up in children and adolescents with type 1 diabetes mellitus and biopsy-proven celiac disease. J. Pediatr. 2011, 158, 589–593.e582. [Google Scholar] [CrossRef]
- Kaspers, S.; Kordonouri, O.; Schober, E.; Grabert, M.; Hauffa, B.P.; Holl, R.W. Anthropometry, metabolic control, and thyroid autoimmunity in type 1 diabetes with celiac disease: A multicenter survey. J. Pediatr. 2004, 145, 790–795. [Google Scholar] [CrossRef]
- Rubio-Tapia, A.; Hill, I.D.; Semrad, C.; Kelly, C.P.; Greer, K.B.; Limketkai, B.N.; Lebwohl, B. American College of Gastroenterology Guidelines Update: Diagnosis and Management of Celiac Disease. Off. J. Am. Coll. Gastroenterol. ACG 2023, 118, 59–76. [Google Scholar] [CrossRef]
- Werkstetter, K.J.; Korponay-Szabó, I.R.; Popp, A.; Villanacci, V.; Salemme, M.; Heilig, G.; Lillevang, S.T.; Mearin, M.L.; Ribes-Koninckx, C.; Thomas, A.; et al. Accuracy in Diagnosis of Celiac Disease Without Biopsies in Clinical Practice. Gastroenterology 2017, 153, 924–935. [Google Scholar] [CrossRef]
- Leeds, J.S.; Hopper, A.D.; Hadjivassiliou, M.; Tesfaye, S.; Sanders, D.S. High prevalence of microvascular complications in adults with type 1 diabetes and newly diagnosed celiac disease. Diabetes Care 2011, 34, 2158–2163. [Google Scholar] [CrossRef]
- Hansen, D.; Brock-Jacobsen, B.; Lund, E.; Bjørn, C.; Hansen, L.P.; Nielsen, C.; Fenger, C.; Lillevang, S.T.; Husby, S. Clinical benefit of a gluten-free diet in type 1 diabetic children with screening-detected celiac disease: A population-based screening study with 2 years’ follow-up. Diabetes Care 2006, 29, 2452–2456. [Google Scholar] [CrossRef]

| Seronegative (n = 828) | Seropositive (n = 141) | p * | |
|---|---|---|---|
| Gender, males, n (%) | 357 (43.1) | 39 (9.8) | <0.001 |
| Gender, females, n (%) | 471 (56.9) | 102 (17.8) | |
| Age at inclusion, years | 14.9 ± 3.4 | 13.8 ± 3.6 | <0.001 |
| Age at T1D diagnosis, years | 9.9 ± 3.7 | 8.1 ± 3.3 | <0.001 |
| Duration of diabetes, years | 5 ± 2.9 | 5.7 ± 3.2 | 0.010 |
| HbA1c, % | 9.5 ± 1.6 | 8.8 ± 2.1 | <0.001 |
| BMI, kg/m2 | 22.5 ± 4.6 | 19.1 ± 4.2 | <0.001 |
| Anemia, n (%) | 213 (25.7%) | 56 (41.1) | <0.001 |
| Short stature, n (%) | 204 (24.6) | 45 (31.9) | 0.68 |
| Hypoglycemia, n (%) | 165 (19.9) | 44 (31.2) | 0.003 |
| Recurrent DKA, n (%) | 162 (19.6) | 37 (26.3) | 0.07 |
| Vitamin D3 deficiency, n (%) | 234 (28.3) | 72 (51.1) | <0.001 |
| Clinical Symptoms, n = 141 | % |
|---|---|
| Abdominal pain | 23.8 |
| Diarrhea | 24.1 |
| Constipation | 6.4 |
| Anemia | 41.1 |
| Short stature | 31.9 |
| Delayed puberty | 9.2 |
| Vitamin D deficiency | 51.2 |
Disclaimer/Publisher’s Note: The statements, opinions and data contained in all publications are solely those of the individual author(s) and contributor(s) and not of MDPI and/or the editor(s). MDPI and/or the editor(s) disclaim responsibility for any injury to people or property resulting from any ideas, methods, instructions or products referred to in the content. |
© 2024 by the authors. Published by MDPI on behalf of the Lithuanian University of Health Sciences. Licensee MDPI, Basel, Switzerland. This article is an open access article distributed under the terms and conditions of the Creative Commons Attribution (CC BY) license (https://creativecommons.org/licenses/by/4.0/).
Share and Cite
Hakami, M.; Yafei, S.; Hummadi, A.; Abutaleb, R.; Khawaji, A.; Solan, Y.; Aljohani, T.; Alhagawy, A.J.; Ali, A.A.; Bakkari, S.; et al. Clinical Characteristics and Prevalence of Celiac Disease in a Large Cohort of Type 1 Diabetes from Saudi Arabia. Medicina 2024, 60, 1940. https://doi.org/10.3390/medicina60121940
Hakami M, Yafei S, Hummadi A, Abutaleb R, Khawaji A, Solan Y, Aljohani T, Alhagawy AJ, Ali AA, Bakkari S, et al. Clinical Characteristics and Prevalence of Celiac Disease in a Large Cohort of Type 1 Diabetes from Saudi Arabia. Medicina. 2024; 60(12):1940. https://doi.org/10.3390/medicina60121940
Chicago/Turabian StyleHakami, Mohammed, Saeed Yafei, Abdulrahman Hummadi, Raed Abutaleb, Abdullah Khawaji, Yahia Solan, Turki Aljohani, Ali Jaber Alhagawy, Amer Al Ali, Shakir Bakkari, and et al. 2024. "Clinical Characteristics and Prevalence of Celiac Disease in a Large Cohort of Type 1 Diabetes from Saudi Arabia" Medicina 60, no. 12: 1940. https://doi.org/10.3390/medicina60121940
APA StyleHakami, M., Yafei, S., Hummadi, A., Abutaleb, R., Khawaji, A., Solan, Y., Aljohani, T., Alhagawy, A. J., Ali, A. A., Bakkari, S., Adawi, M., Saleh, M., Zaylaee, S., Aref, R., Tahash, K., Haddad, E., Hakami, A., Hobani, M., & Abutaleb, I. (2024). Clinical Characteristics and Prevalence of Celiac Disease in a Large Cohort of Type 1 Diabetes from Saudi Arabia. Medicina, 60(12), 1940. https://doi.org/10.3390/medicina60121940

