Primary Prostatic Stromal Sarcoma: A Case Report and Review of the Literature
Abstract
1. Introduction
2. Case Report
3. Discussion
3.1. Diagnostic Workup
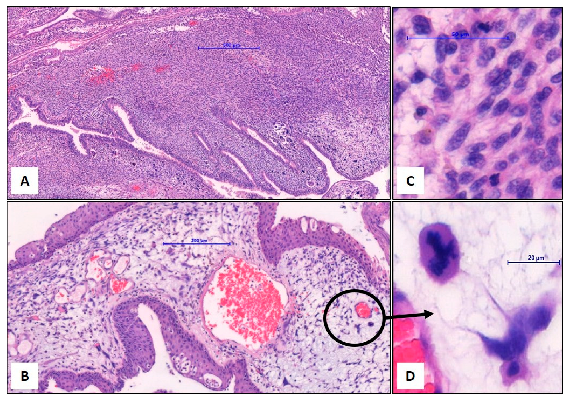
3.2. Histopathological Findings
3.3. Treatment
4. Future Directions and Novel Therapies
5. Conclusions
Funding
Institutional Review Board Statement
Informed Consent Statement
Data Availability Statement
Conflicts of Interest
References
- Wei, Y.; Wang, H.; Xie, D.; Lu, J.; Liang, X.; He, W.; Yang, P.; Wang, J. Analysis of three primary prostatic sarcoma cases and literature review. Prostate 2024, 84, 1218–1223. [Google Scholar] [CrossRef] [PubMed]
- McKenney, J.K. Mesenchymal tumors of the prostate. Mod. Pathol. 2018, 31, S133–S142. [Google Scholar] [CrossRef] [PubMed]
- Sexton, W.J.; Lance, R.E.; Reyes, A.O.; Pisters, P.W.; Tu, S.M.; Pisters, L.L. Adult prostate sarcoma: The M. D. Anderson Cancer Center Experience. J. Urol. 2001, 166, 521–525. [Google Scholar] [CrossRef]
- Ding, B.; Zhang, Y.; Hu, W.; Hu, D.; Liu, J.; Zhao, S.; Wang, F.; Xue, L.; Xu, Z.; Chen, L. Adult primary prostate sarcoma: A multi-center cohort study and comparison between Chinese and American cases. Asian J. Surg. 2021, 44, 247–253. [Google Scholar] [CrossRef]
- Sohn, M.; Kwon, T.; Jeong, I.G.; Hong, S.; You, D.; Hong, J.H.; Ahn, H.; Kim, C.S. Histologic variability and diverse oncologic outcomes of prostate sarcomas. Korean J. Urol. 2014, 55, 797–801. [Google Scholar] [CrossRef]
- Ronchi, A.; La Mantia, E.; Gigantino, V.; Perdonà, S.; De Sio, M.; Facchini, G.; Franco, R.; De Chiara, A. A rare case of malignant solitary fibrous tumor in prostate with review of the literature. Diagn. Pathol. 2017, 12, 50. [Google Scholar] [CrossRef]
- Öztürk, H. Primary spindle cell sarcoma of the prostate and (18)F-fluorodeoxyglucose-positron-emission tomography/computed tomography findings. Urol. Ann. 2015, 7, 115–119. [Google Scholar] [CrossRef] [PubMed]
- Ueda, S.; Okada, K.; Kanzawa, M.; Fukuda, T.; Furukawa, J.; Fujisawa, M. A case of prostate stromal sarcoma involving the rectum. J. Surg. Case Rep. 2020, 2020, rjaa165. [Google Scholar] [CrossRef]
- Huh, J.S.; Park, K.K.; Kim, Y.J.; Kim, S.D. Diagnosis of a gastrointestinal stromal tumor presenting as a prostatic mass: A case report. World J Men’s Health 2014, 32, 184–188. [Google Scholar] [CrossRef]
- Li, Y.; Mongan, J.; Behr, S.C.; Sud, S.; Coakley, F.V.; Simko, J.; Westphalen, A.C. Beyond Prostate Adenocarcinoma: Expanding the Differential Diagnosis in Prostate Pathologic Conditions. RadioGraphics 2016, 36, 1055–1075. [Google Scholar] [CrossRef]
- Yang, W.; Liu, A.; Wu, J.; Niu, M. Prostatic stromal sarcoma: A case report and literature review. Medicine 2018, 97, e0495. [Google Scholar] [CrossRef] [PubMed]
- Froehner, M.; Bartholdt, E.; Meye, A.; Manseck, A.; Wirth, M.P. Adult prostate sarcoma diagnosed from tissue spontaneously excreted through the urethra. Urol. Oncol. 2004, 22, 119–120. [Google Scholar] [CrossRef] [PubMed]
- Xu, W.; Dong, H.; Ru, G.; Zhao, M. ARID1A deficient undifferentiated spindle cell and rhabdoid sarcoma of the prostate: Report of a unique case with emphasis on diagnostic implications. Diagn. Pathol. 2022, 17, 22. [Google Scholar] [CrossRef] [PubMed]
- Lai, R.; Ding, C. 18F-FDG PET/CT Imaging in an Adolescent Patient with Primary Prostatic Stromal Sarcoma. Clin. Nucl. Med. 2019, 44, 45–47. [Google Scholar] [CrossRef] [PubMed]
- Reese, A.C.; Ball, M.W.; Efron, J.E.; Chang, A.; Meyer, C.; Bivalacqua, T.J. Favorable Response to Neoadjuvant Chemotherapy and Radiation in a Patient with Prostatic Stromal Sarcoma. J. Clin. Oncol. 2012, 30, e353–e355. [Google Scholar] [CrossRef]
- Zhang, Z.H.; Feng, G.W.; Liu, Z.F.; Qiao, L.; Zhang, T.; Gao, C.; Xu, Y. A young man with primary prostatic extra-gastrointestinal stromal tumor: A rare case report and review of the literature. Int. J. Clin. Exp. Pathol. 2014, 7, 1764–1770. [Google Scholar]
- Zamparese, R.; Corini, F.; Braccischi, A.; D’Angelo, A.; Diamanti, L.; Del Vecchio, M.; Giannubilo, W.; Mambelli, V. Primary sarcoma of the specialised prostatic stroma: A case report and review of the literature. Case Rep. Pathol. 2011, 2011, 252805. [Google Scholar] [CrossRef]
- Salih, F.M.; Mama, R.K.; Omar, S.S.; Hamza, H.T.; Isaac, R.H.; Salih, J.; Mula-Hussain, L. Prostatic stromal sarcoma—Management course of a rare presentation: A case report. Curr. Probl. Cancer Case Rep. 2023, 9, 100221. [Google Scholar] [CrossRef]
- Rao, B.V.; Nair, H.; Murthy, S.; Sharma, R.; Rao, S. Prostatic High-Grade Stromal Sarcoma—A Rare Encounter. Indian J. Surg. Oncol. 2017, 8, 440–442. [Google Scholar] [CrossRef]
- Ohashi, M.; Shiraishi, T.; Fujihara, A.; Yamada, T.; Ueda, T.; Hongo, F.; Ukimura, O. Detection of relatively poor but definitive blood supply in prostate stromal sarcoma using transrectal ultrasonography with superb microvascular imaging. Int. Cancer Conf. J. 2022, 11, 215–218. [Google Scholar] [CrossRef]
- Strander, H.; Turesson, I.; Cavallin-Ståhl, E. A systematic overview of radiation therapy effects in soft tissue sarcomas. Acta Oncol. 2003, 42, 516–531. [Google Scholar] [CrossRef] [PubMed]
- von Mehren, M.; Kane, J.M.; Agulnik, M.; Bui, M.M.; Carr-Ascher, J.; Choy, E.; Connelly, M.; Dry, S.; Ganjoo, K.N.; Gonzalez, R.J.; et al. Soft Tissue Sarcoma, Version 2.2022, NCCN Clinical Practice Guidelines in Oncology. J. Natl. Compr. Cancer Netw. 2022, 20, 815–833. [Google Scholar] [CrossRef] [PubMed]
- Hudson, M.M.; Bhatia, S.; Casillas, J.; Landier, W. Long-term Follow-up Care for Childhood, Adolescent, and Young Adult Cancer Survivors. Pediatrics 2021, 148, e2021053127. [Google Scholar] [CrossRef] [PubMed]
- Chen, M.; Dong, Y.; Xu, B.; Liu, Y. Primary Prostatic Stromal Sarcoma on 18F-PSMA PET/CT. Clin. Nucl. Med. 2024, 49, 956–958. [Google Scholar] [CrossRef]
- Yang, B.; Yuan, J.; Yu, S.; Wang, D. A case report of primary mesenchymal sarcoma of the prostate and the thoughts on its treatment. Asian J. Surg. 2023, 46, 4934–4935. [Google Scholar] [CrossRef]
- Oza, J.; Doshi, S.D.; Hao, L.; Musi, E.; Schwartz, G.K.; Ingham, M. Homologous recombination repair deficiency as a therapeutic target in sarcoma. Semin. Oncol. 2020, 47, 380–389. [Google Scholar] [CrossRef]
- Acosta, A.M.; Sholl, L.M.; Dickson, B.C.; McKenney, J.K.; Gordetsky, J.B.; Pins, M.R.; Marino-Enriquez, A.; Dong, F.; Dubuc, A.M.; Cin, P.D.; et al. Re-evaluating tumors of purported specialized prostatic stromal origin reveals molecular heterogeneity, including non-recurring gene fusions characteristic of uterine and soft tissue sarcoma subtypes. Mod. Pathol. 2021, 34, 1763–1779. [Google Scholar] [CrossRef]
- Mir, O.; Brodowicz, T.; Italiano, A.; Wallet, J.; Blay, J.-Y.; Bertucci, F.; Chevreau, C.; Piperno-Neumann, S.; Bompas, E.; Salas, S.; et al. Safety and efficacy of regorafenib in patients with advanced soft tissue sarcoma (REGOSARC): A randomised, double-blind, placebo-controlled, phase 2 trial. Lancet Oncol. 2016, 17, 1732–1742. [Google Scholar] [CrossRef]
- Paoluzzi, L.; Cacavio, A.; Ghesani, M.; Karambelkar, A.; Rapkiewicz, A.; Weber, J.; Rosen, G. Response to anti-PD1 therapy with nivolumab in metastatic sarcomas. Clin. Sarcoma Res. 2016, 6, 24. [Google Scholar] [CrossRef]
- Le, D.T.; Uram, J.N.; Wang, H.; Bartlett, B.R.; Kemberling, H.; Eyring, A.D.; Skora, A.D.; Luber, B.S.; Azad, N.S.; Laheru, D.; et al. PD-1 Blockade in Tumors with Mismatch-Repair Deficiency. N. Engl. J. Med. 2015, 372, 2509–2520. [Google Scholar] [CrossRef]
- Marcus, L.; Fashoyin-Aje, L.A.; Donoghue, M.; Yuan, M.; Rodriguez, L.; Gallagher, P.S.; Philip, R.; Ghosh, S.; Theoret, M.R.; Beaver, J.A.; et al. FDA Approval Summary: Pembrolizumab for the Treatment of Tumor Mutational Burden-High Solid Tumors. Clin. Cancer Res. 2021, 27, 4685–4689. [Google Scholar] [CrossRef] [PubMed]
- Guven, D.C.; Stephen, B.; Sahin, T.K.; Cakir, I.Y.; Erul, E.; Aksoy, S. The efficacy of immune checkpoint inhibitors in rare tumors: A systematic review of published clinical trials. Crit. Rev. Oncol./Hematol. 2022, 174, 103700. [Google Scholar] [CrossRef] [PubMed]
- Fendler, W.P.; Pabst, K.M.; Kessler, L.; Fragoso Costa, P.; Ferdinandus, J.; Weber, M.; Lippert, M.; Lueckerath, K.; Umutlu, L.; Kostbade, K.; et al. Safety and Efficacy of 90Y-FAPI-46 Radioligand Therapy in Patients with Advanced Sarcoma and Other Cancer Entities. Clin. Cancer Res. 2022, 28, 4346–4353. [Google Scholar] [CrossRef] [PubMed]
- Marafi, F.; Esmail, A.; Usmani, S. Prostate-Specific Membrane Antigen Expression in Metastatic Angiosarcoma Detected on 18F-PMSA PET/CT: A New Potential Prognostic Marker. Clin. Nucl. Med. 2022, 47, e147–e148. [Google Scholar] [CrossRef]
- Kleiburg, F.; Heijmen, L.; Gelderblom, H.; Kielbasa, S.M.; Bovée, J.V.; De Geus-Oei, L.F. Prostate-specific membrane antigen (PSMA) as a potential target for molecular imaging and treatment in bone and soft tissue sarcomas. Br. J. Radiol. 2023, 96, 20220886. [Google Scholar] [CrossRef]



| Cases | Surgical Margin | Pathological Diagnosis | Immunohistochemistry |
|---|---|---|---|
| Our case | Microscopically negative | Prostatic stromal sarcoma | Vimentin (+); CD34, ER and PR (focally,+), Desmin and SMA (rare cell +); p53(+); CK panel, EMA, S100, CD99, Myogenin, CK19, BCL-2 (−); Ki67 index 40% |
| Ueda et al. [8] | Microscopically negative | Prostatic stromal sarcoma | Vimentin, CD34(+); KI67 index 20%, PSA, C-KIT, stat 6 (−) |
| Yang et al. [11] | Microscopically negative | Prostatic stromal sarcoma | Vimentin(+),PSA; CD34(−); |
| Yirui Wei et al. [1] | Microscopically negative | High-grade sarcoma | Vimentin(+)KI67 (index approximately 90%); CK; Desmin (focally +); CK7; P63; EMA; SMA; CD34; BCL2; CD99; S100; CD31; MYOD1(−) |
| Yirui Wei et al. [1] | Microscopically negative | High-grade sarcoma/stromal sarcoma | Vimentin(+); CD34; CD31; BCL-2 (partially+); FVIII; SMA; Desmin; S-100; EMA; CK; CK19; CK7; CD99; ER(−) |
| Yirui Wei et al. [1] | Microscopically negative | Spindle cell sarcoma | Vimentin(+); BCL-2(+); KI67(index approximately 40%); Desmin (partially +); CK; S100; CD99; EMA; Myogenin; PgR; ER; CK19; SMA; CD34(−) |
| Froehner et al. [12] | Microscopically negative | High-grade stroma sarcoma | BCL-2, CD99, CD117 (+), CD34(−); CK-pan (−) |
| Xu et al. [13] | Microscopically negative | Spindle cell undifferentiated sarcoma | Vimentin(+), TLE (+), epithelial membrane antigen, AE1/3, Cam5.2, SATB2, and CD34 (focally +). SOX10, S100 protein, P63, cytokeratin5/6, NKX3.1, PSA, alpha-methylacyl-CoA racemase (AMACR), PgR, STAT6, CD117, DOG1, cyclinD1, smooth muscle actin, desmin, myogenin, HMB45, and claudin-4 (−) KI67 index approximately 50%, ARID1A deficient (IHC and NGS confirmed) |
| Ruihe et al. [14] | Microscopically negative | Prostatic stromal sarcoma | CD34, S-100 (+),Ki-67 (hot spot 40%+), SMA, Desmin, Myogenin, Myo D1,CK-pan, P504s, and SATB2 (−). |
| Ronchi et al. [6] | Microscopically negative | Malignant solitary fibrous tumor of the prostate | CD34, BCL-2, CD99, and STAT6 (+), PgR partially positive, CK, SMA, desmin, S100, EMA, calponin, CD117, ER, and B-catenin (−) |
| Reese et al. [15] | The surgical margins were positive after the initial subtotal prostatectomy, but no residual sarcoma was found in the cystoprostatectomy specimen following neoadjuvant therapy. | High-grade stromal sarcoma | CD117 and MDM2(+) |
| Öztürk et al. [7] | NA | Spindle cell sarcoma | Vimentin, SMA, and desmin(+), CD34, S100, and progesterone receptors(−). The Ki-67 proliferation index was 2%. |
| Huh et al. [9] | NA | primary prostatic extra-GIST | KIT (CD117) and CD34(+),desmin, SMA, CK, and S-100(−) |
| Zhang et al. [16] | NA | primary prostatic extra-GIST | DOG-1, CD117 (c-KIT), and CD34(+), S-100, SMA(−) The mitotic count was more than 10 per 50 HPF. |
| Zampareseet al. [17] | Microscopically negative | Low-grade sarcoma/stromal sarcoma | CD34 (+) and PgR (focal +), CK, desmin, S-100, Bcl-2, chromogranin, CD117, and SMA(−) Very low expression of p53 and Ki-67. |
| Salih FM et al. [18] | Very close to its excision margin | High-grade stromal sarcoma | CD117, CD34, ER, and PgR (-)Ki-67 proliferation index was 25%. |
| Rao et al. [19] | NA | High-grade stromal sarcoma | Vimentin, CD34, PgR, and SMA (focal +) Pancytokeratin, AMACR, h-caldesmon, myogenin, DOG-1, CD117 (-) |
| Ohashi et al. [20] | NA | Prostatic stromal sarcoma | Vimentin, CD34 (+)PgR (partly +) Desmin, Myo-D1, SS18-SSX, AE1/3, PSA, S100, and SMA(−) |
| Cases | Age | Symptom at Diagnosis | AJCC Stage | PSA Level at Diagnosis (ng/mL) | Surgical Procedure | Treatment | Metastatic Status at İnitial Presentation | Final Status | Survival Time |
|---|---|---|---|---|---|---|---|---|---|
| Our case | 34 | Dysuria, Microscopic hematuria | III | 4.81 | LRP | None | None | No evidence of recurrence | 15 months |
| Yirui Wei et al. [1] | 27 | Microscopic hematuria | IV | 2.23 | LRP | NA | Bilateral inguinal lymph nodes | No evidence of recurrence, lost to follow-up | 6 months |
| Yirui Wei et al. [1] | 64 | Dysuria | III | 0.88 | LRP | None | None | Died of disease | <12 months |
| Yirui Wei et al. [1] | 38 | Dysuria | III | 4.86 | LRP | None | None | No evidence of recurrence, lost to follow-up | 6 months |
| Ueda et al. [8] | 40 | Urinary distention | III | 0.62 | Total pelvic exenteration | Adjuvant 4 cycle doxorubicin and ifosfamide | None | No evidence of recurrence | 10 months |
| Yang et al. [11] | 49 | Dysuria, Microscopic hematuria | III | 0.64 | RP | None | None | NA | NA |
| Chen et al. [24] | 23 | Dysuria | IV | 1.08 | None | 8 cycle etoposide and VDC (vincristine, dactinomycin, cyclophosphamide) + external radiation therapy | Multiple liver metastasis | NA | NA |
| Yang et al. [25] | 58 | Difficulty in urination | III | 0.77 | RP | None | None | No evidence of recurrence | 12 months |
| Xu et al. [13] | 58 | Dysuria, Difficulty in urination | III | 3 | LRP with bilateral pelvic lymphadenectomy | Etoposide and cisplatin for 2 months before surgery doxorubicin and ifosfamide for 5 months | None | Bilateral inguinal lymph nodes, bilateral obturator muscles, sigmoid colon, and rectum metastasis | 9 months |
| Froehner et al. [12] | 31 | Gross hematuria | III | NA | Pelvic exenteration followed by sigmoidorectostomy and ileum neobladder construction | None | None | widespread metastases occurred 4 months after surgery | NA |
| Ruihe et al. [14] | 17 | Hematuria, abdominal pain | IV | NA | NA | NA | Multiple pulmonary nodules, bone lesions, pelvic lymph nodes | NA | NA |
| Ronchi et al. [6] | 62 | urinary retention, constipation | III | 5.8 | RP | None | None | No evidence of recurrence | 8 years |
| Hicks et al. [10] | 66 | urinary retention | III | NA | TURP followed by an open radical cystoprostatectomy with retroperitoneal lymph node dissection and urinary diversion | None | None | NA | NA |
| Reese et al. [15] | 66 | Obstructive lower urinary tract symptoms | III | 3.5 | Robotic-assisted suprapubic prostatectomy, followed by radical cystoprostatectomy with intraoperative radiation therapy | Neoadjuvant chemotherapy (ifosfamide and adriamycin) and radiation (50 Gy of intensity-modulated radiation therapy), followed by radical cystoprostatectomy with additional intraoperative radiation therapy (10 Gy) | No evidence of distant metastasis; however, a peritoneal tumor implant was later identified | Pathology from the cystoprostatectomy specimen showed no residual sarcoma; however, an 8 cm high-grade pleomorphic sarcoma consistent with the primary tumor was found in the resected peritoneal mass. | NA |
| Öztürk et al. [7] | 39 | Obstructive lower urinary tract symptoms | IV | 0.5 | NA | Doxorubicin-based chemotherapy | Widespread lung and liver metastases | NA | NA |
| Huh et al. [9] | 50 | Weak urinary stream, sensation of residual urine, and perineal discomfort | III | 0.85 | NA | Planned radical prostatectomy (patient refused surgery); no neoadjuvant treatment with imatinib due to cost and lack of insurance | None | no follow-up was conducted | Not specified due to lack of follow-up |
| Zhang et al. [16] | 31 | Dysuria, urinary frequency and urgency, and intermittent gross hematuria | III | 0.37 | No surgical treatment was performed due to the tumor’s extension and risk of rectal injury. | Administered imatinib (400 mg per day) intermittently due to financial reasons, resulting in poor response. | None | The patient developed intestinal obstruction and died from electrolyte disturbances and multiple organ failure. | The patient survived for a few months after diagnosis, but no exact survival time is provided. |
| Zamparese et al. [17] | 71 | Urinary obstruction symptoms | III | NA | TURP | None | None | No evidence of recurrence | 15 months |
| Salih FM et al. [18] | 21 | urinary retention | III | 2 | Radical cystoprostatectomy | Adjuvant 2 cycle doxorubicin and ifosfamide | None | A pelvic mass recurrence causing right-sided hydronephrosis was observed six months after adjuvant chemotherapy. | 17 months |
| Rao et al. [19] | 50 | dysuria | IV | NA | Radical cystoprostatectomy | None | İliac and inguinal lymph nodes | NA | NA |
| Ohashi et al. [20] | 23 | Gross hematuria, hematospermia | III | 1.12 | Total pelvic exenteration and construction of ileal conduit and colostomy | None | None | Lung and pelvic lymph node metastasis was observed two months after surgery. | NA |
Disclaimer/Publisher’s Note: The statements, opinions and data contained in all publications are solely those of the individual author(s) and contributor(s) and not of MDPI and/or the editor(s). MDPI and/or the editor(s) disclaim responsibility for any injury to people or property resulting from any ideas, methods, instructions or products referred to in the content. |
© 2024 by the authors. Published by MDPI on behalf of the Lithuanian University of Health Sciences. Licensee MDPI, Basel, Switzerland. This article is an open access article distributed under the terms and conditions of the Creative Commons Attribution (CC BY) license (https://creativecommons.org/licenses/by/4.0/).
Share and Cite
Erul, E.; Gülpınar, Ö.; Kuru Öz, D.; Berber, H.; Kiremitci, S.; Ürün, Y. Primary Prostatic Stromal Sarcoma: A Case Report and Review of the Literature. Medicina 2024, 60, 1918. https://doi.org/10.3390/medicina60121918
Erul E, Gülpınar Ö, Kuru Öz D, Berber H, Kiremitci S, Ürün Y. Primary Prostatic Stromal Sarcoma: A Case Report and Review of the Literature. Medicina. 2024; 60(12):1918. https://doi.org/10.3390/medicina60121918
Chicago/Turabian StyleErul, Enes, Ömer Gülpınar, Diğdem Kuru Öz, Havva Berber, Saba Kiremitci, and Yüksel Ürün. 2024. "Primary Prostatic Stromal Sarcoma: A Case Report and Review of the Literature" Medicina 60, no. 12: 1918. https://doi.org/10.3390/medicina60121918
APA StyleErul, E., Gülpınar, Ö., Kuru Öz, D., Berber, H., Kiremitci, S., & Ürün, Y. (2024). Primary Prostatic Stromal Sarcoma: A Case Report and Review of the Literature. Medicina, 60(12), 1918. https://doi.org/10.3390/medicina60121918

