Debate on the Morphological Variability of the Lateral Pterygoid Muscle—Discrepancies, Speculations and New Original Anatomical Samples
Abstract
1. Introduction
2. Previous Studies on the Lateral Pterygoid Muscle
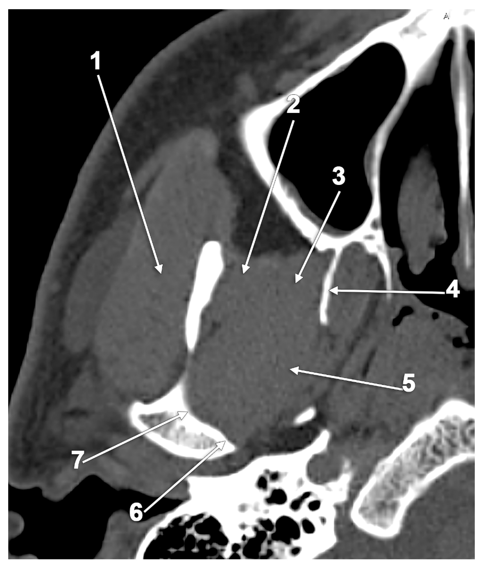
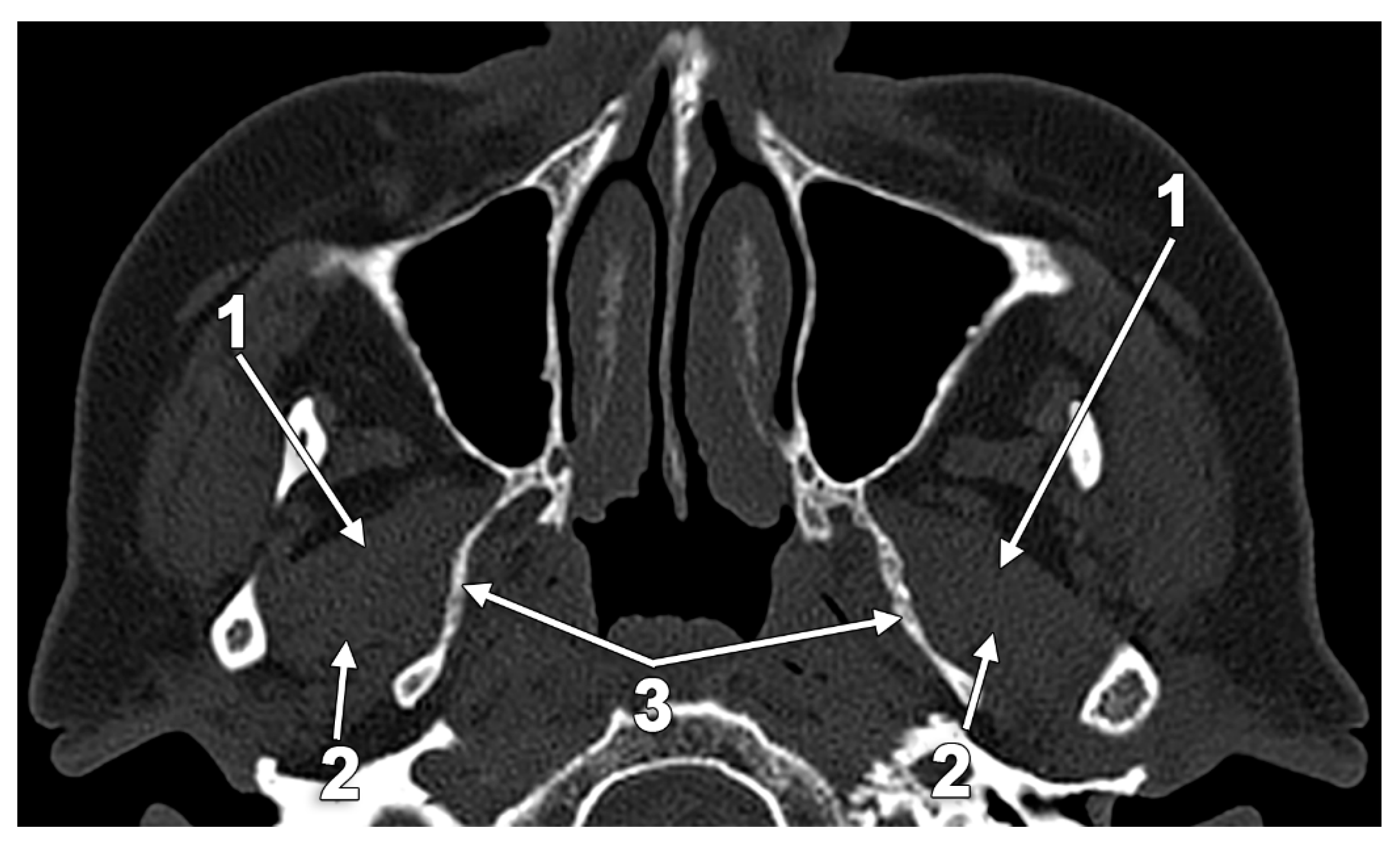
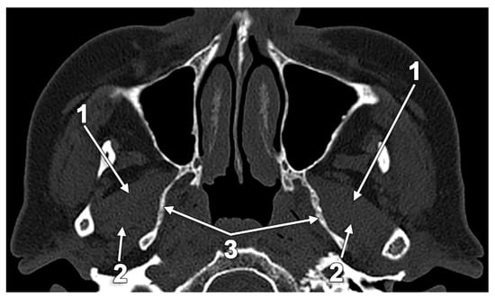
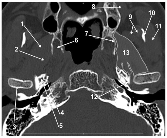
3. The Anatomy of the Lateral Pterygoid Muscle
3.1. Origin of the Lateral Pterygoid Muscle
3.2. Insertions of the Lateral Pterygoid Muscle
3.3. Innervation of the Lateral Pterygoid Muscle
The Reciprocal Innervation of the Lateral Pterygoid Muscle Heads
3.4. Vascularization of the Lateral Pterygoid Muscle
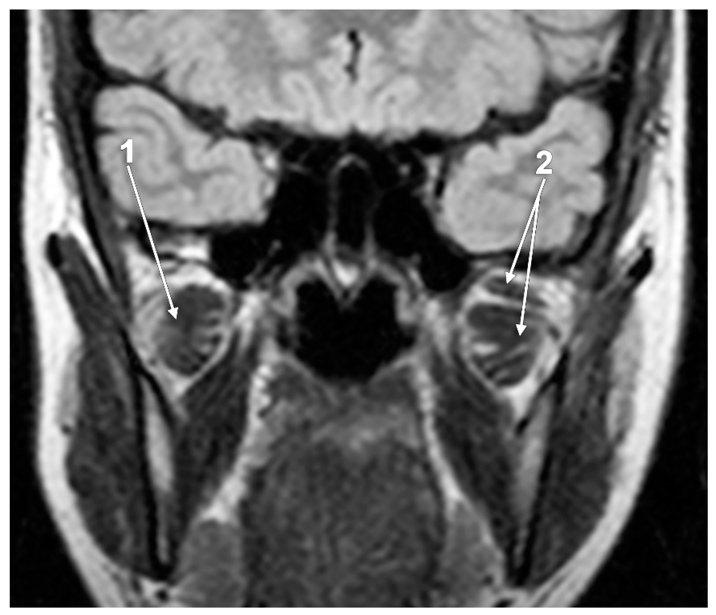
4. The Structure of the Lateral Pterygoid Muscle
4.1. Structural Variants of the Lateral Pterygoid Muscle Insertion
4.2. Variable Number of Heads and Bundles of the Lateral Pterygoid Muscle
4.2.1. The Single-Headed Lateral Pterygoid Muscle
4.2.2. The Lateral and Medial Bundles of the Superior Head of the Lateral Pterygoid Muscle
4.2.3. The Lateral and Medial Bundles of the Inferior Head of the Lateral Pterygoid Muscle
4.2.4. Nerves, Arteries, and the Lateral Pterygoid Muscle
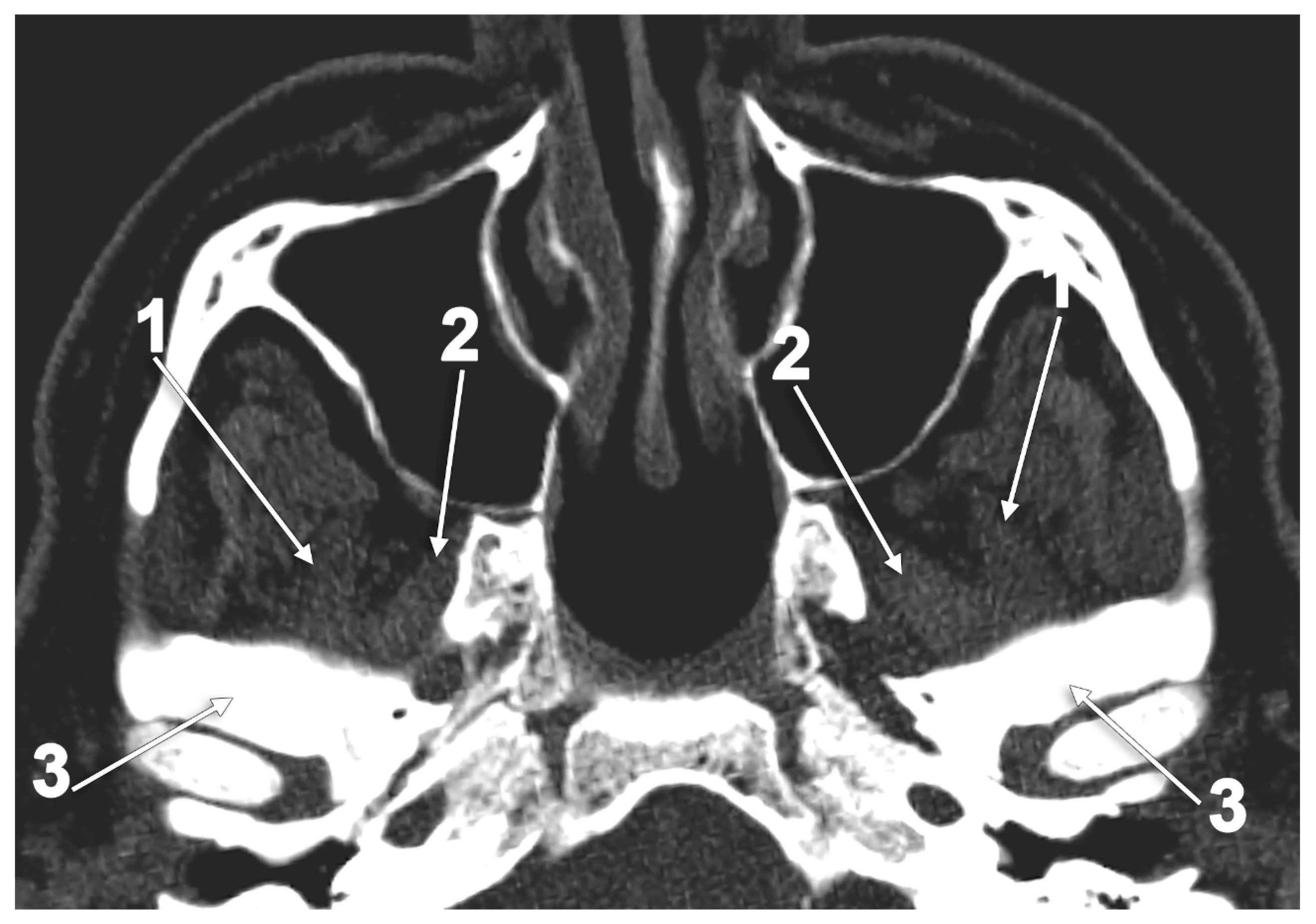
5. Modified Origin Sites of the Lateral Pterygoid Muscle
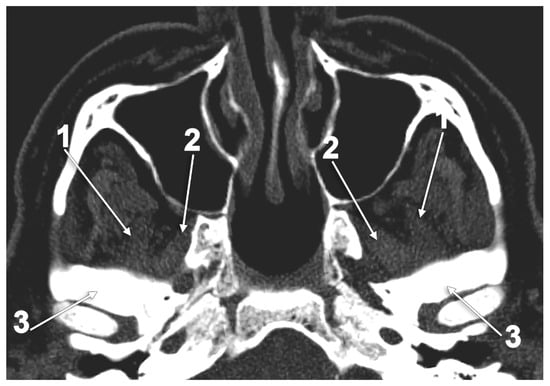
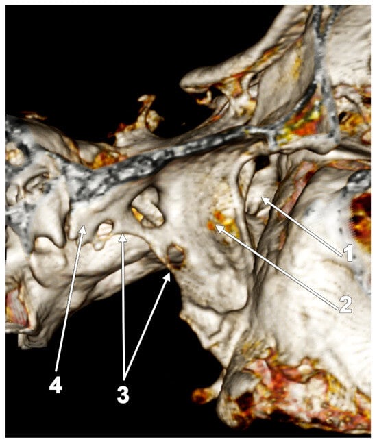
5.1. Broad Lateral Pterygoid Plates
5.2. The Pterygospinous and Pterygoalar Bars
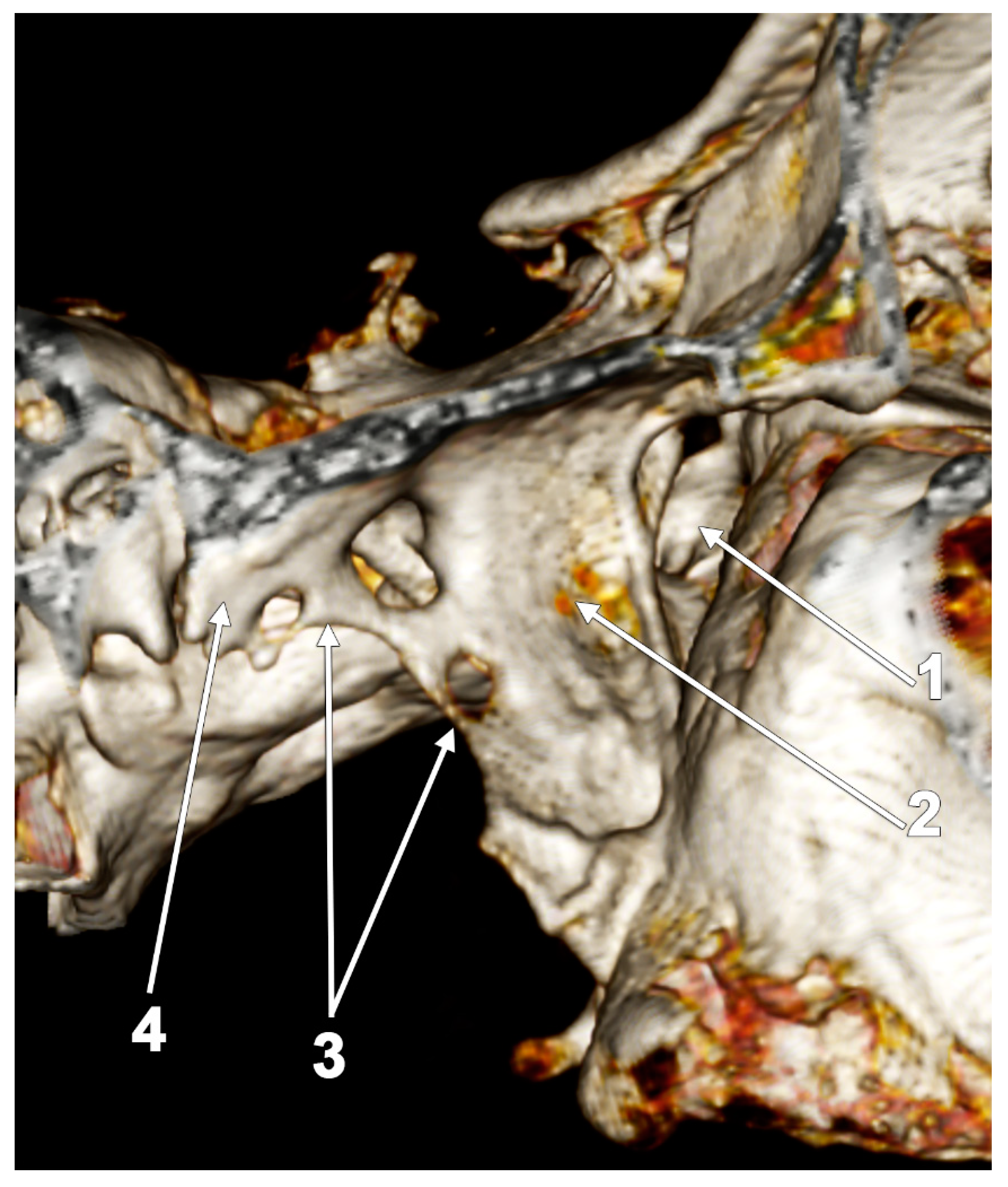
6. Aberrant Insertion Sites and Accessory Bundles of the Lateral Pterygoid Muscle
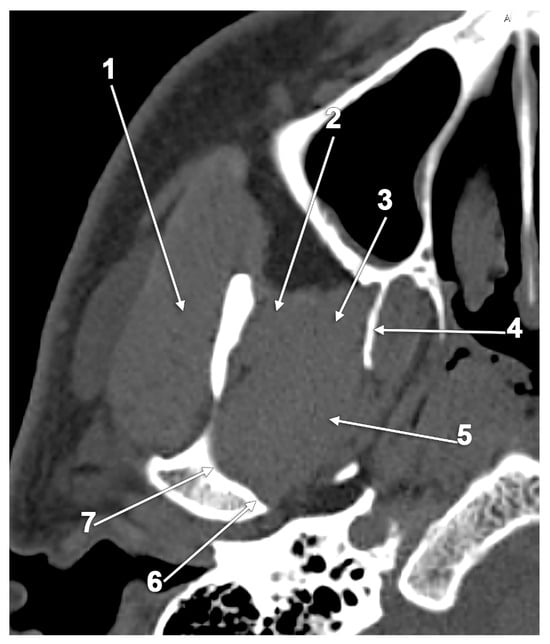
6.1. The Extraincisural Insertion of the Lateral Pterygoid Muscle
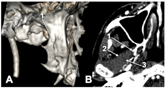
The Accessory Pterygoid Fovea
6.2. The Pterygoideus Proprius Muscle
6.3. The Maxillomandibularis Muscle
6.4. The Pterygospinous Muscle
6.5. The Pterygofacialis Muscle
6.6. The Sphenomandibular Muscle
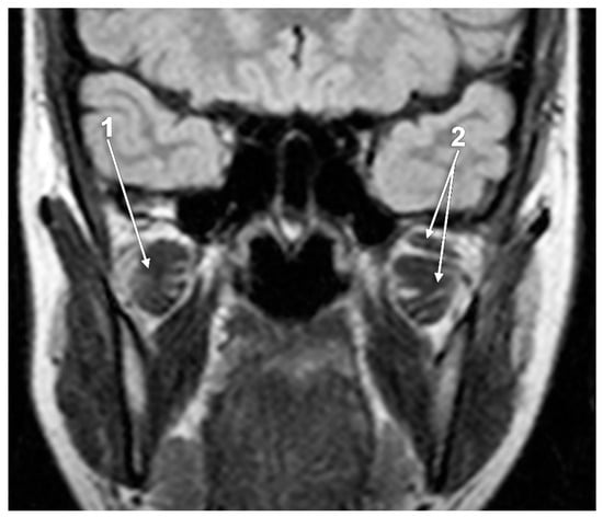
7. The Volume of the Lateral Pterygoid Muscle
The Atrophy and Hypertrophy of the Lateral Pterygoid Muscle
8. Conclusions
Author Contributions
Funding
Institutional Review Board Statement
Conflicts of Interest
References
- Rouviere, H.; Delmas, A. Anatomie Humaine. Tête et cou; Masson: Paris, France, 1985. [Google Scholar]
- Standring, S.; Anand, N.; Birch, R.; Collins, P.; Crossman, A.; Gleeson, M.; Jawaheer, G.; Smith, A.L.; Spratt, J.D.; Stringer, M.D.; et al. Gray’s Anatomy: The Anatomical Basis of Clinical Practice; Elsevier: London, UK, 2016. [Google Scholar]
- Murray, G.M. The lateral pterygoid muscle: Function and dysfunction. Semin. Orthod. 2012, 18, 44–50. [Google Scholar] [CrossRef]
- Stockle, M.; Fanghanel, J.; Knuttel, H.; Alamanos, C.; Behr, M. The morphological variations of the lateral pterygoid muscle: A systematic review. Ann. Anat. 2019, 222, 79–87. [Google Scholar] [CrossRef] [PubMed]
- Haddioui, A.E.; Laison, F.; Zouaoui, A.; Bravetti, P.; Gaudy, J. Functional anatomy of the human lateral pterygoid muscle. Surg. Radiol. Anat. 2005, 27, 271–286. [Google Scholar] [CrossRef] [PubMed]
- Oliveira, A.T.; Camilo, A.A.; Bahia, P.R.; Carvalho, A.C.; DosSantos, M.F.; da Silva, J.V.; Monteiro, A.A. A novel method for intraoral access to the superior head of the human lateral pterygoid muscle. BioMed Res. Int. 2014, 2014, 432635. [Google Scholar] [CrossRef][Green Version]
- Fernandez Rubio, E.M.; Radlanski, R.J. Hypothesis for the lack of a muscular antagonist to the lateral pterygoid. Ann. Anat. 2022, 239, 151841. [Google Scholar] [CrossRef]
- Stratmann, U.; Mokrys, K.; Meyer, U.; Kleinheinz, J.; Joos, U.; Dirksen, D.; Bollmann, F. Clinical anatomy and palpability of the inferior lateral pterygoid muscle. J. Prosthet. Dent. 2000, 83, 548–554. [Google Scholar] [CrossRef]
- Coskun Akar, G.; Govsa, F.; Ozgur, Z. Examination of the heads of the lateral pterygoid muscle on the temporomandibular joint. J. Craniofacial Surg. 2009, 20, 219–223. [Google Scholar] [CrossRef]
- Murray, G.M.; Bhutada, M.; Peck, C.C.; Phanachet, I.; Sae-Lee, D.; Whittle, T. The human lateral pterygoid muscle. Arch. Oral Biol. 2007, 52, 377–380. [Google Scholar] [CrossRef]
- Murray, G.M.; Phanachet, I.; Uchida, S.; Whittle, T. The human lateral pterygoid muscle: A review of some experimental aspects and possible clinical relevance. Aust. Dent. J. 2004, 49, 2–8. [Google Scholar] [CrossRef]
- Desmons, S.; Graux, F.; Atassi, M.; Libersa, P.; Dupas, P.H. The lateral pterygoid muscle, a heterogeneous unit implicated in temporomandibular disorder: A literature review. Cranio 2007, 25, 283–291. [Google Scholar] [CrossRef]
- Davidoiu, A.M.; Lazar, M.; Vrapciu, A.D.; Radoi, P.M.; Toader, C.; Rusu, M.C. An Update on the Superior Cerebellar Artery Origin Type. Medicina 2023, 59, 2164. [Google Scholar] [CrossRef] [PubMed]
- Honee, G.L. The anatomy of the lateral pterygoid muscle. Acta Morphol. Neerl. Scand. 1972, 10, 331–340. [Google Scholar] [PubMed]
- Rouviere, H.; Delmas, A. Anatomie Humaine; Masson: Paris, France, 1974. [Google Scholar]
- Carpentier, P.; Yung, J.P.; Marguelles-Bonnet, R.; Meunissier, M. Insertions of the lateral pterygoid muscle: An anatomic study of the human temporomandibular joint. J. Oral Maxillofac. Surg. 1988, 46, 477–482. [Google Scholar] [CrossRef]
- Davies, J.C.; Charles, M.; Cantelmi, D.; Liebgott, B.; Ravichandiran, M.; Ravichandiran, K.; Agur, A.M. Lateral pterygoid muscle: A three-dimensional analysis of neuromuscular partitioning. Clin. Anat. 2012, 25, 576–583. [Google Scholar] [CrossRef]
- Omami, G.; Lurie, A. Magnetic resonance imaging evaluation of discal attachment of superior head of lateral pterygoid muscle in individuals with symptomatic temporomandibular joint. Oral Surg. Oral Med. Oral Pathol. Oral Radiol. 2012, 114, 650–657. [Google Scholar] [CrossRef]
- Taskaya-Yilmaz, N.; Ceylan, G.; Incesu, L.; Muglali, M. A possible etiology of the internal derangement of the temporomandibular joint based on the MRI observations of the lateral pterygoid muscle. Surg. Radiol. Anat. 2005, 27, 19–24. [Google Scholar] [CrossRef]
- Terminology, F.I.P.f.A. FIPAT. Terminologia Anatomica; FIPAT.library.dal.ca.: Halifax, Nova Scotia, Canada, 2019. [Google Scholar]
- Sugisaki, M.; Komori, E.; Nakazawa, M.; Tanabe, H.; Kato, S. Anatomical studies of the lateral pterygoid muscle by the superior approach and a review of the literature. Jpn. J. Oral Maxillofac. Surg. 1986, 32, 718–730. [Google Scholar] [CrossRef]
- Widmalm, S.E.; Lillie, J.H.; Ash, M.M., Jr. Anatomical and electromyographic studies of the lateral pterygoid muscle. J. Oral Rehabil. 1987, 14, 429–446. [Google Scholar] [CrossRef]
- Wilkinson, T.; Chan, E.K. The anatomic relationship of the insertion of the superior lateral pterygoid muscle to the articular disc in the temporomandibular joint of human cadavers. Aust. Dent. J. 1989, 34, 315–322. [Google Scholar] [CrossRef]
- Wongwatana, S.; Kronman, J.H.; Clark, R.E.; Kabani, S.; Mehta, N. Anatomic basis for disk displacement in temporomandibular joint (TMJ) dysfunction. Am. J. Orthod Dentofac. Orthop 1994, 105, 257–264. [Google Scholar] [CrossRef]
- Heylings, D.J.; Nielsen, I.L.; McNeill, C. Lateral pterygoid muscle and the temporomandibular disc. J. Orofac. Pain 1995, 9, 9. [Google Scholar] [PubMed]
- Abe, S.; Ouchi, Y.; Ide, Y.; Yonezu, H. Perspectives on the role of the lateral pterygoid muscle and the sphenomandibular ligament in temporomandibular joint function. Cranio 1997, 15, 203–207. [Google Scholar] [CrossRef] [PubMed][Green Version]
- Kim, H.J.; Kwak, H.H.; Hu, K.S.; Park, H.D.; Kang, H.C.; Jung, H.S.; Koh, K.S. Topographic anatomy of the mandibular nerve branches distributed on the two heads of the lateral pterygoid. Int. J. Oral Maxillofac. Surg. 2003, 32, 408–413. [Google Scholar] [CrossRef] [PubMed]
- Naidoo, L.C. Lateral pterygoid muscle and its relationship to the meniscus of the temporomandibular joint. Oral Surg. Oral Med. Oral Pathol. Oral Radiol. Endod. 1996, 82, 4–9. [Google Scholar] [CrossRef] [PubMed]
- Zhang, L.; Sun, L.; Ma, X. A macroscopic and microscopic study of the relationship between the superior lateral pterygoid muscle and the disc of the temporomandibular joint. Zhonghua Kou Qiang Yi Xue Za Zhi 1998, 33, 267–269. [Google Scholar]
- Fujita, S.; Iizuka, T.; Dauber, W. Variation of heads of lateral pterygoid muscle and morphology of articular disc of human temporomandibular joint--anatomical and histological analysis. J. Oral Rehabil. 2001, 28, 560–571. [Google Scholar] [CrossRef]
- Christo, J.E.; Bennett, S.; Wilkinson, T.M.; Townsend, G.C. Discal attachments of the human temporomandibular joint. Aust. Dent. J. 2005, 50, 152–160. [Google Scholar] [CrossRef][Green Version]
- Usui, A.; Akita, K.; Yamaguchi, K. An anatomic study of the divisions of the lateral pterygoid muscle based on the findings of the origins and insertions. Surg. Radiol. Anat. 2008, 30, 327–333. [Google Scholar] [CrossRef]
- Siessere, S.; Vitti, M.; Semprini, M.; Regalo, S.C.; Iyomasa, M.M.; Dias, F.J.; Issa, J.P.; de Sousa, L.G. Macroscopic and microscopic aspects of the temporomandibular joint related to its clinical implication. Micron 2008, 39, 852–858. [Google Scholar] [CrossRef]
- Matsunaga, K.; Usui, A.; Yamaguchi, K.; Akita, K. An anatomical study of the muscles that attach to the articular disc of the temporomandibular joint. Clin. Anat. 2009, 22, 932–940. [Google Scholar] [CrossRef]
- Kiliç, C.; Dergin, G.; Yazar, F.; Kurt, B.; Kutoğlu, T.; Ozan, H.; Balcioğlu, H.A. Insertions of the lateral pterygoid muscle to the disc-capsule complex of the temporomandibular joint and condyle. Turk. J. Med. Sci. 2010, 40, 435–441. [Google Scholar] [CrossRef]
- Sakaguchi-Kuma, T.; Hayashi, N.; Fujishiro, H.; Yamaguchi, K.; Shimazaki, K.; Ono, T.; Akita, K. An anatomic study of the attachments on the condylar process of the mandible: Muscle bundles from the temporalis. Surg. Radiol. Anat. 2016, 38, 461–467. [Google Scholar] [CrossRef] [PubMed]
- Antonopoulou, M.; Iatrou, I.; Paraschos, A.; Anagnostopoulou, S. Variations of the attachment of the superior head of human lateral pterygoid muscle. J. Craniomaxillofac. Surg. 2013, 41, e91–e97. [Google Scholar] [CrossRef] [PubMed]
- Mazza, D.; Marini, M.; Impara, L.; Cassetta, M.; Scarpato, P.; Barchetti, F.; Di Paolo, C. Anatomic examination of the upper head of the lateral pterygoid muscle using magnetic resonance imaging and clinical data. J. Craniofacial. Surg. 2009, 20, 1508–1511. [Google Scholar] [CrossRef]
- Dergin, G.; Kilic, C.; Gozneli, R.; Yildirim, D.; Garip, H.; Moroglu, S. Evaluating the correlation between the lateral pterygoid muscle attachment type and internal derangement of the temporomandibular joint with an emphasis on MR imaging findings. J. Craniomaxillofac. Surg. 2012, 40, 459–463. [Google Scholar] [CrossRef]
- Liu, S.; Wang, M.; Ai, T.; Wang, Q.; Wang, R.; Chen, W.; Pan, C.; Zhu, W. In vivo morphological and functional evaluation of the lateral pterygoid muscle: A diffusion tensor imaging study. Br. J. Radiol. 2016, 89, 20160041. [Google Scholar] [CrossRef]
- Litko, M.; Szkutnik, J.; Berger, M.; Rozylo-Kalinowska, I. Correlation between the lateral pterygoid muscle attachment type and temporomandibular joint disc position in magnetic resonance imaging. Dento Maxillo Facial Radiol. 2016, 45, 20160229. [Google Scholar] [CrossRef]
- Imanimoghaddam, M.; Madani, A.S.; Hashemi, E.M. The evaluation of lateral pterygoid muscle pathologic changes and insertion patterns in temporomandibular joints with or without disc displacement using magnetic resonance imaging. Int. J. Oral Maxillofac. Surg. 2013, 42, 1116–1120. [Google Scholar] [CrossRef]
- Melke, G.S.F.; Costa, A.L.F.; Lopes, S.; Fuziy, A.; Ferreira-Santos, R.I. Three-dimensional lateral pterygoid muscle volume: MRI analyses with insertion patterns correlation. Ann. Anat. 2016, 208, 9–18. [Google Scholar] [CrossRef]
- Balcioglu, H.A.; Uyanikgil, Y.; Yuruker, S.; Tuna, H.S.; Karacayli, U. Volumetric assessment of lateral pterygoid muscle in unilateral chewing: A stereologic study. J. Craniofacial. Surg. 2009, 20, 1364–1366. [Google Scholar] [CrossRef]
- Juniper, R.P. The superior pterygoid muscle? Br. J. Oral Surg. 1981, 19, 121–128. [Google Scholar] [CrossRef] [PubMed]
- Christensen, F.G. Some anatomical concepts associated with the temporomandibular joint. Ann. Aust. Coll. Dent. Surg. 1969, 2, 39–60. [Google Scholar]
- Lang, J. Clinical Anatomy of the Masticatory Apparatus and Peripharyngeal Spaces; Thieme Medical Publishers, Inc.: New York, NY, USA, 1995. [Google Scholar]
- Feneis, H.; Dauber, W. Pocket atlas of human anatomy: Based on the International Nomenclature, 4th ed.; Thieme: Stuttgart, Germany; New York, NY, USA, 2000. [Google Scholar]
- Luo, D.; Qiu, C.; Zhou, R.; Shan, T.; Yan, W.; Yang, J. Clinical study of magnetic resonance imaging-based texture analysis and fasciculation of the lateral pterygoid muscle in young patients with temporomandibular disorder. Oral Surg. Oral Med. Oral Pathol. Oral Radiol. 2023, 136, 382–393. [Google Scholar] [CrossRef] [PubMed]
- Osborn, J.W. Biomechanical implications of lateral pterygoid contribution to biting and jaw opening in humans. Arch. Oral Biol. 1995, 40, 1099–1108. [Google Scholar] [CrossRef]
- Naidoo, L.C.; Juniper, R.P. Morphometric analysis of the insertion of the upper head of the lateral pterygoid muscle. Oral Surg. Oral Med. Oral Pathol. Oral Radiol. Endod. 1997, 83, 441–446. [Google Scholar] [CrossRef]
- Porter, M.R. The attachment of the lateral pterygoid muscle to the meniscus. J. Prosthet. Dent. 1970, 24, 555–562. [Google Scholar] [CrossRef]
- Akita, K.; Shimokawa, T.; Sato, T. Positional relationships between the masticatory muscles and their innervating nerves with special reference to the lateral pterygoid and the midmedial and discotemporal muscle bundles of temporalis. J. Anat. 2000, 197 Pt 2, 291–302. [Google Scholar] [CrossRef]
- Akita, K.; Shimokawa, T.; Sato, T. An anatomic study of the positional relationships between the lateral pterygoid muscle and its surrounding nerves. Eur. J. Anat. 2003, 7, 5–14. [Google Scholar]
- Foucart, J.M.; Girin, J.P.; Carpentier, P. Innervation of the human lateral pterygoid muscle. Surg. Radiol. Anat. 1998, 20, 185–189. [Google Scholar] [CrossRef]
- McNamara, J.A., Jr. The independent functions of the two heads of the lateral pterygoid muscle. Am. J. Anat. 1973, 138, 197–205. [Google Scholar] [CrossRef]
- Osborn, J. Internal derangement and the accessory ligaments around the temporomandibular joint. J. Oral Rehabil. 1995, 22, 731–740. [Google Scholar] [CrossRef] [PubMed]
- Hannam, A.G.; McMillan, A.S. Internal organization in the human jaw muscles. Crit. Rev. Oral Biol. Med. 1994, 5, 55–89. [Google Scholar] [CrossRef] [PubMed]
- Toure, G. Arterial Vascularization of the Mandibular Condyle and Fractures of the Condyle. Plast. Reconstr. Surg. 2018, 141, 718e–725e. [Google Scholar] [CrossRef] [PubMed]
- Rusu, M.C.; Dinca, D. Accessory pterygoid fovea of the human mandibular condyle. Cranio 2021, 39, 452–456. [Google Scholar] [CrossRef] [PubMed]
- Schumacher, G.-H. Funktionelle Morphologie der Kaumuskulatur; VEB G: Fischer, Germany, 1961. [Google Scholar]
- Miller, A.J. Craniomandibular Muscles: Their Role in Function and Form; CRC Press: Boca Raton, FL, USA, 2017. [Google Scholar]
- Murray, G.M.; Phanachet, I. The role of the human lateral pterygoid muscle in the control of horizontal jaw movements. J. Orofac. Pain 2001, 15, 279–292. [Google Scholar]
- McMillan, A. The role of the human lateral pterygoid muscle in the control of horizontal jaw movements—critical commentary 2. J. Orofac. Pain 2001, 15, 295–298. [Google Scholar]
- van Eijden, T.M.G.J.; Korfage, J.A.M.; Brugman, P. Architecture of the human jaw-closing and jaw-opening muscles. Anat. Rec. A Discov. Mol. Cell Evol. Biol. 1997, 248, 464–474. [Google Scholar] [CrossRef]
- Gaudy, J.-F. Architecture des Muscles Élévateurs da la Mandibule et leurs Rapports avec le Complexe Disco-Capsulaire de L’articulation Temporo-Mandibulaire. Ph.D. Thesis, Université Paris Descartes, Paris, France, 1993. Available online: https://theses.fr/1993PA05SA18 (accessed on 17 November 2024).
- Bravetti, P. Etude Histologique de L’articulation Temporo-Mandibulaire et des Muscles Environnants. Th.D. Thesis, Université Paris Descartes, Paris, France, 1998. Available online: https://theses.fr/1998PA05M092 (accessed on 17 November 2024).
- Rusu, M.C.; Manoiu, V.S.; Nicolescu, M.I. Pennate myofibrils of the rat temporal muscle. Ann. Anat. 2023, 249, 152096. [Google Scholar] [CrossRef]
- Bergman, R.A.; Tubbs, R.S.; Shoja, M.M.; Loukas, M. Bergman’s Comprehensive Encyclopedia of Human Anatomic Variation; John Wiley & Sons: Hoboken, NJ, USA, 2016. [Google Scholar]
- Bertilsson, O.; Ström, D. A literature survey of a hundred years of anatomic and functional lateral pterygoid muscle research. J. Orofac. Pain 1995, 9, 17–23. [Google Scholar]
- Abe, S.; Takasaki, I.; Ichikawa, K.; Ide, Y. Investigations of the run and the attachment of the lateral pterygoid muscle in Japanese. Bull. Tokyo Dent. Coll. 1993, 34, 135–139. [Google Scholar]
- Naohara, H. The macroscopic and microscopic study of the human lateral pterygoid muscle. Tsurumi Shigaku 1989, 15, 1–26. [Google Scholar] [PubMed]
- Cho, H.J.; Lee, Y.S. A variety of number of heads of external pterygoid muscle. Taehan Ch’ikkwa Uisa Hyophoe Chi 1972, 10, 305–306. [Google Scholar] [PubMed]
- Pompei Filho, H.; Suazo, G.; Guimaraes, A. Prevalence of the third head of the lateral pterygoid muscle a magnetic resonance image study. Int. J. Morphol. 2009, 27, 1043–1046. [Google Scholar] [CrossRef]
- Birou, G.; Garcier, J.M.; Guillot, M.; Vanneuville, G.; Chazal, J. A study of the lateral pterygoid muscle: Anatomic sections and CT appearances. Surg. Radiol. Anat. 1991, 13, 307–311. [Google Scholar] [CrossRef] [PubMed]
- Abe, S.; Naito, H.; Nakao, T.; Yamamoto, M.; Won, S.-Y.; Kim, H.-J.; Ide, Y. Analysis of the Intramuscular Innervation of the Lateral Pterygoid Muscle. J. Hard Tissue Biol. 2011, 20, 259–264. [Google Scholar] [CrossRef][Green Version]
- Loughner, B.A.; Larkin, L.H.; Mahan, P.E. Nerve entrapment in the lateral pterygoid muscle. Oral Surg. Oral Med. Oral Pathol. 1990, 69, 299–306. [Google Scholar] [CrossRef]
- Ottone, N.E.; Sandoval, C.; Cid-Gutierrez, P.; Vasquez-Balboa, M.L.; Tubbs, R.S.; Fuentes, R. Systematic review and meta-analysis of the anatomy of the maxillary artery using the Anatomical Quality Assurance (AQUA) checklist. Surg. Radiol. Anat. 2021, 43, 1875–1886. [Google Scholar] [CrossRef]
- Gulses, A.; Oren, C.; Altug, H.A.; Ilica, T.; Sencimen, M. Radiologic assessment of the relationship between the maxillary artery and the lateral pterygoid muscle. J. Craniofacial. Surg. 2012, 23, 1465–1467. [Google Scholar] [CrossRef]
- Maeda, S.; Aizawa, Y.; Kumaki, K.; Kageyama, I. Variations in the course of the maxillary artery in Japanese adults. Anat. Sci. Int. 2012, 87, 187–194. [Google Scholar] [CrossRef]
- Orbay, H.; Kerem, M.; Unlu, R.E.; Comert, A.; Tuccar, E.; Sensoz, O. Maxillary artery: Anatomical landmarks and relationship with the mandibular subcondyle. Plast. Reconstr. Surg. 2007, 120, 1865–1870. [Google Scholar] [CrossRef]
- Hussain, A.; Binahmed, A.; Karim, A.; Sandor, G.K. Relationship of the maxillary artery and lateral pterygoid muscle in a caucasian sample. Oral Surg. Oral Med. Oral Pathol. Oral Radiol. Endod. 2008, 105, 32–36. [Google Scholar] [CrossRef] [PubMed]
- Dennison, J.; Batra, A.; Herbison, P. The maxillary artery and the lateral pterygoid muscle: The New Zealand story. Oral Surg. Oral Med. Oral Pathol. Oral Radiol. Endod. 2009, 108, e26–e29. [Google Scholar] [CrossRef]
- Nader, A.; Schittek, H.; Kendall, M.C. Lateral pterygoid muscle and maxillary artery are key anatomical landmarks for ultrasound-guided trigeminal nerve block. Anesthesiology 2013, 118, 957. [Google Scholar] [CrossRef] [PubMed]
- Lang, J.; Hetterich, A. Postnatal development of the pterygoid process. Anat. Anz. 1983, 154, 1–31. [Google Scholar] [PubMed]
- Antonopoulou, M.; Piagou, M.; Anagnostopoulou, S. An anatomical study of the pterygospinous and pterygoalar bars and foramina—their clinical relevance. J. Craniomaxillofac. Surg. 2008, 36, 104–108. [Google Scholar] [CrossRef]
- Henry, B.M.; Pekala, P.A.; Fraczek, P.A.; Pekala, J.R.; Natsis, K.; Piagkou, M.; Tomaszewski, K.A.; Tomaszewska, I.M. Prevalence, morphology, and morphometry of the pterygospinous bar: A meta-analysis. Surg. Radiol. Anat. 2020, 42, 497–507. [Google Scholar] [CrossRef]
- Rusu, M.C.; Pop, F.; Leonardi, R.; Motoc, A.G.; Jianu, A.M. Morphologic features of the fetal mandibular condyle: Layers, canals and microvascular pattern. Ann. Anat. 2011, 193, 436–446. [Google Scholar] [CrossRef]
- Van der Linden, E.J.; Burdi, A.R.; de Jongh, H.J. Critical periods in the prenatal morphogenesis of the human lateral pterygoid muscle, the mandibular condyle, the articular disk, and medial articular capsule. Am. J. Orthod Dentofac. Orthop 1987, 91, 22–28. [Google Scholar] [CrossRef]
- Akita, K.; Shimokawa, T.; Sato, T. Aberrant muscle between the temporalis and the lateral pterygoid muscles: M. pterygoideus proprius (Henle). Clin. Anat. 2001, 14, 288–291. [Google Scholar] [CrossRef]
- Mandal, G.; Montalbano, M.; Natsis, K.; Piagkou, M.; Tubbs, R.S.; Loukas, M. Musculus pterygoideus proprius: A meta-analysis. Clin. Anat. 2023, 37, 859–868. [Google Scholar] [CrossRef]
- Rusu, M.C.; Stoenescu, M.D.; Sandulescu, M. The Maxillomandibularis Muscle. J. Craniofacial. Surg. 2023, 35, e85–e86. [Google Scholar] [CrossRef] [PubMed]
- Dunn, G.F.; Hack, G.D.; Robinson, W.L.; Koritzer, R.T.; Sharawy, M.; Tillman, L.J. Anatomical observation of a craniomandibular muscle originating from the skull base: The sphenomandibularis. CRANIO® 1996, 14, 97–105. [Google Scholar] [CrossRef]
- Hack, G.D. The sphenomandibularis muscle: The controversy continues. J. Oral Maxillofac. Surg. 2011, 69, 2947–2948. [Google Scholar] [CrossRef] [PubMed]
- Geers, C.; Nyssen-Behets, C.; Cosnard, G.; Lengele, B. The deep belly of the temporalis muscle: An anatomical, histological and MRI study. Surg. Radiol. Anat. 2005, 27, 184–191. [Google Scholar] [CrossRef] [PubMed]
- Darawsheh, H.; Alsaegh, A.; Kanukoeva, E.; Saleev, R.; Saleeva, G.; Volel, B.; Kireeva, N.; Rebrova, E.; Vasil’ev, Y.L. The Pterygomandibular Space: A Volumetric Evaluation Using the Novel A-Silicone Injections Method. Diagnostics 2024, 14, 1161. [Google Scholar] [CrossRef] [PubMed]
- Yilmaz, D.; Kamburoglu, K.; Arslan, R. Quantitative volume and area assessment of masticatory muscles through magnetic resonance imaging in patients with temporomandibular joint disorders. Oral Surg. Oral Med. Oral Pathol. Oral Radiol. 2023, 135, 548–557. [Google Scholar] [CrossRef]
- Goto, T.K.; Nishida, S.; Yahagi, M.; Langenbach, G.E.; Nakamura, Y.; Tokumori, K.; Sakai, S.; Yabuuchi, H.; Yoshiura, K. Size and orientation of masticatory muscles in patients with mandibular laterognathism. J. Dent. Res. 2006, 85, 552–556. [Google Scholar] [CrossRef]
- Weijs, W.A.; Hillen, B. Physiological cross-section of the human jaw muscles. Acta Anat. 1985, 121, 31–35. [Google Scholar] [CrossRef]
- Weijs, W.A.; Hillen, B. Relationship between the physiological cross-section of the human jaw muscles and their cross-sectional area in computer tomograms. Acta Anat. 1984, 118, 129–138. [Google Scholar] [CrossRef]
- Goto, T.K.; Tokumori, K.; Nakamura, Y.; Yahagi, M.; Yuasa, K.; Okamura, K.; Kanda, S. Volume changes in human masticatory muscles between jaw closing and opening. J. Dent. Res. 2002, 81, 428–432. [Google Scholar] [CrossRef]
- Kim, H.; Shin, D.; Kang, J.; Kim, S.; Lim, H.; Lee, J.; Kim, B. Anatomical Characteristics of the Lateral Pterygoid Muscle in Mandibular Prognathism. Appl. Sci. 2021, 11, 7970. [Google Scholar] [CrossRef]
- D’Ippolito, S.; Borri Wolosker, A.; D’Ippolito, G.; Herbert de Souza, B.; Fenyo-Pereira, M. Evaluation of the lateral pterygoid muscle using magnetic resonance imaging. Dento Maxillo Facial Radiol. 2010, 39, 494–500. [Google Scholar] [CrossRef] [PubMed]
- Yang, X.; Pernu, H.; Pyhtinen, J.; Tiilikainen, P.A.; Oikarinen, K.S.; Raustia, A.M. MR abnormalities of the lateral pterygoid muscle in patients with nonreducing disk displacement of the TMJ. Cranio 2002, 20, 209–221. [Google Scholar] [CrossRef]
- Yang, X.; Pemu, H.; Pyhtinen, J.; Tiilikainen, P.A.; Oikarinen, K.S.; Raustia, A.M. MRI findings concerning the lateral pterygoid muscle in patients with symptomatic TMJ hypermobility. Cranio 2001, 19, 260–268. [Google Scholar] [CrossRef] [PubMed]
- Schellhas, K.P. MR imaging of muscles of mastication. AJR Am. J. Roentgenol. 1989, 153, 847–855. [Google Scholar] [CrossRef] [PubMed]
- Finden, S.G.; Enochs, W.S.; Rao, V.M. Pathologic changes of the lateral pterygoid muscle in patients with derangement of the temporomandibular joint disk: Objective measures at MR imaging. AJNR Am. J. Neuroradiol. 2007, 28, 1537–1539. [Google Scholar] [CrossRef]
- Lopes, S.L.; Costa, A.L.; Gamba Tde, O.; Flores, I.L.; Cruz, A.D.; Min, L.L. Lateral pterygoid muscle volume and migraine in patients with temporomandibular disorders. Imaging Sci. Dent. 2015, 45, 1–5. [Google Scholar] [CrossRef]
- Grunert, I.; Grubwieser, G.J.; Ulmer, H. Bilateral investigation of the temporomandibular joint. An autopsy study of edentulous individuals. J. Oral Rehabil. 2000, 27, 671–681. [Google Scholar] [CrossRef]

















| First Author, Year | TYPE I | TYPE II | TYPE III | TYPE IV | ||||
|---|---|---|---|---|---|---|---|---|
| Type | % | Type | % | Type | % | Type | % | |
| Kiliç, 2010 [35] | SLPM > TMJD, MC ILPM > MC | 36.7 | SLPM > TMJD ILPM > MC | 28.6% | SLPM > MC ILPM > MC | 26.5% | SLPM > TMJD ILPM > TMJD, MC | 8.2% |
| Dergin, 2012 [39] | SLPM > TMJD ILPM > MC | 29.6 | SLPM > TMJD, MC ILPM > MC | 40.8 | SLPM > TMJD ILPM&MLPM > MC | 29.6 | - | - |
| Litko, 2016 [41] | SLPM > TMJD ILPM > MC | 7.6 | SLPM > TMJD, MC ILPM > MC | 66.7 | SLPM > TMJD ILPM&MLPM > MC | 25.7 | ||
| Imanimoghaddam, 2013 [42] | SLPM > TMJD, MC (2 bundles) ILPM > MC | 63.75 | SLPM > TMJD, MC (1 bundle) ILPM > MC | 23.75 | SLPM > TMJD ILPM > MC | 12.5 | ||
| Taskaya-Yilmaz, 2005 [19] | SLPM > TMJD ILPM > MC | 66.9 | SLPM > TMJD, MC ILPM > MC | 33.1 | ||||
Disclaimer/Publisher’s Note: The statements, opinions and data contained in all publications are solely those of the individual author(s) and contributor(s) and not of MDPI and/or the editor(s). MDPI and/or the editor(s) disclaim responsibility for any injury to people or property resulting from any ideas, methods, instructions or products referred to in the content. |
© 2024 by the authors. Published by MDPI on behalf of the Lithuanian University of Health Sciences. Licensee MDPI, Basel, Switzerland. This article is an open access article distributed under the terms and conditions of the Creative Commons Attribution (CC BY) license (https://creativecommons.org/licenses/by/4.0/).
Share and Cite
Rusu, M.C.; Toader, C.; Tudose, R.C.; Grigoriţă, L.O. Debate on the Morphological Variability of the Lateral Pterygoid Muscle—Discrepancies, Speculations and New Original Anatomical Samples. Medicina 2024, 60, 1913. https://doi.org/10.3390/medicina60121913
Rusu MC, Toader C, Tudose RC, Grigoriţă LO. Debate on the Morphological Variability of the Lateral Pterygoid Muscle—Discrepancies, Speculations and New Original Anatomical Samples. Medicina. 2024; 60(12):1913. https://doi.org/10.3390/medicina60121913
Chicago/Turabian StyleRusu, Mugurel Constantin, Corneliu Toader, Răzvan Costin Tudose, and Laura Octavia Grigoriţă. 2024. "Debate on the Morphological Variability of the Lateral Pterygoid Muscle—Discrepancies, Speculations and New Original Anatomical Samples" Medicina 60, no. 12: 1913. https://doi.org/10.3390/medicina60121913
APA StyleRusu, M. C., Toader, C., Tudose, R. C., & Grigoriţă, L. O. (2024). Debate on the Morphological Variability of the Lateral Pterygoid Muscle—Discrepancies, Speculations and New Original Anatomical Samples. Medicina, 60(12), 1913. https://doi.org/10.3390/medicina60121913

