Tibial Insufficiency Fracture with Characteristics of an Atypical Fracture: A Rare Case and Literature Review
Abstract
1. Introduction
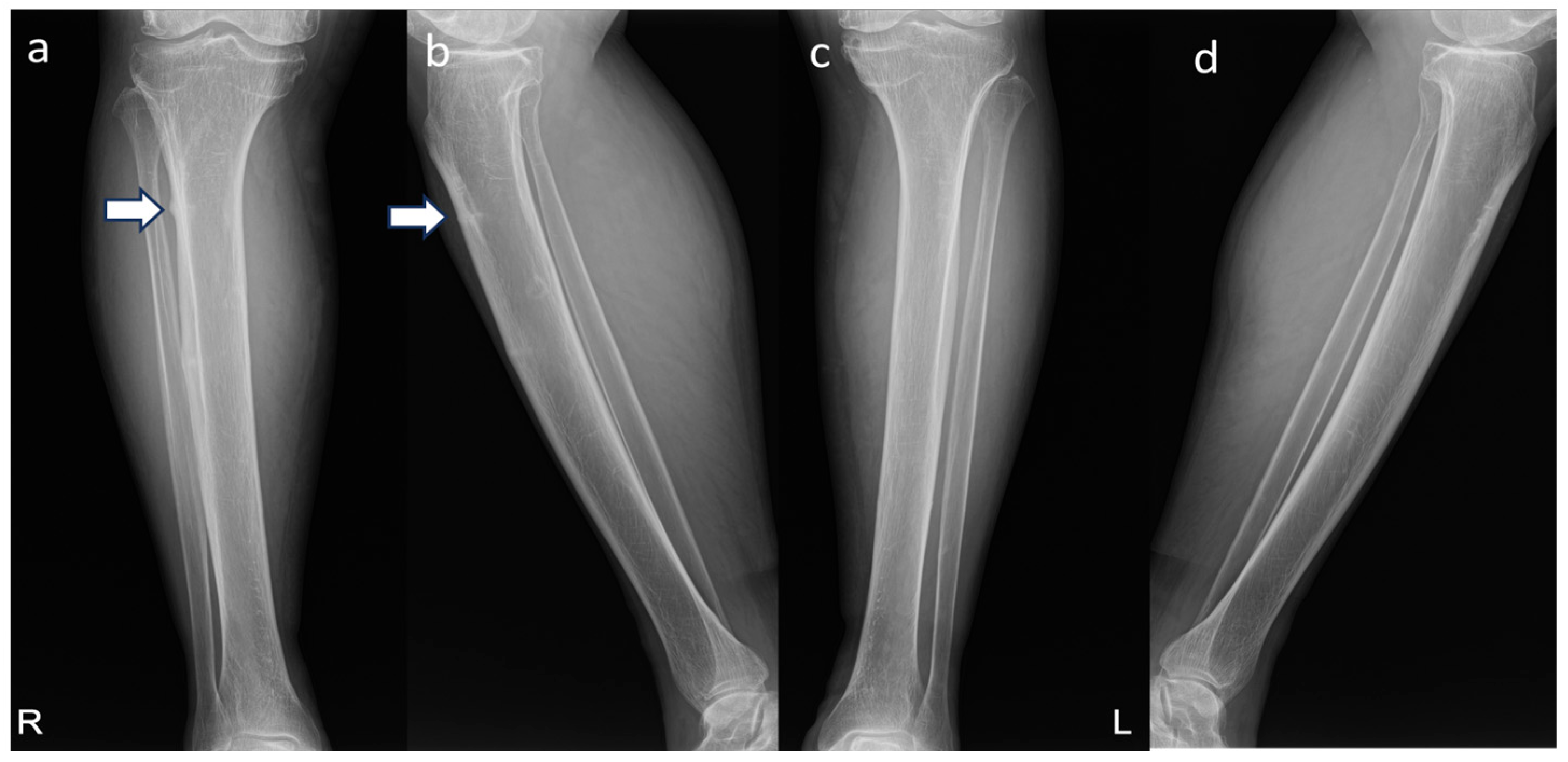
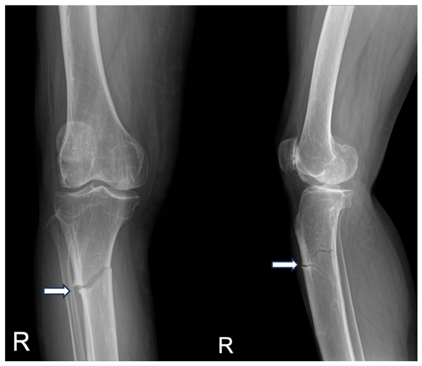
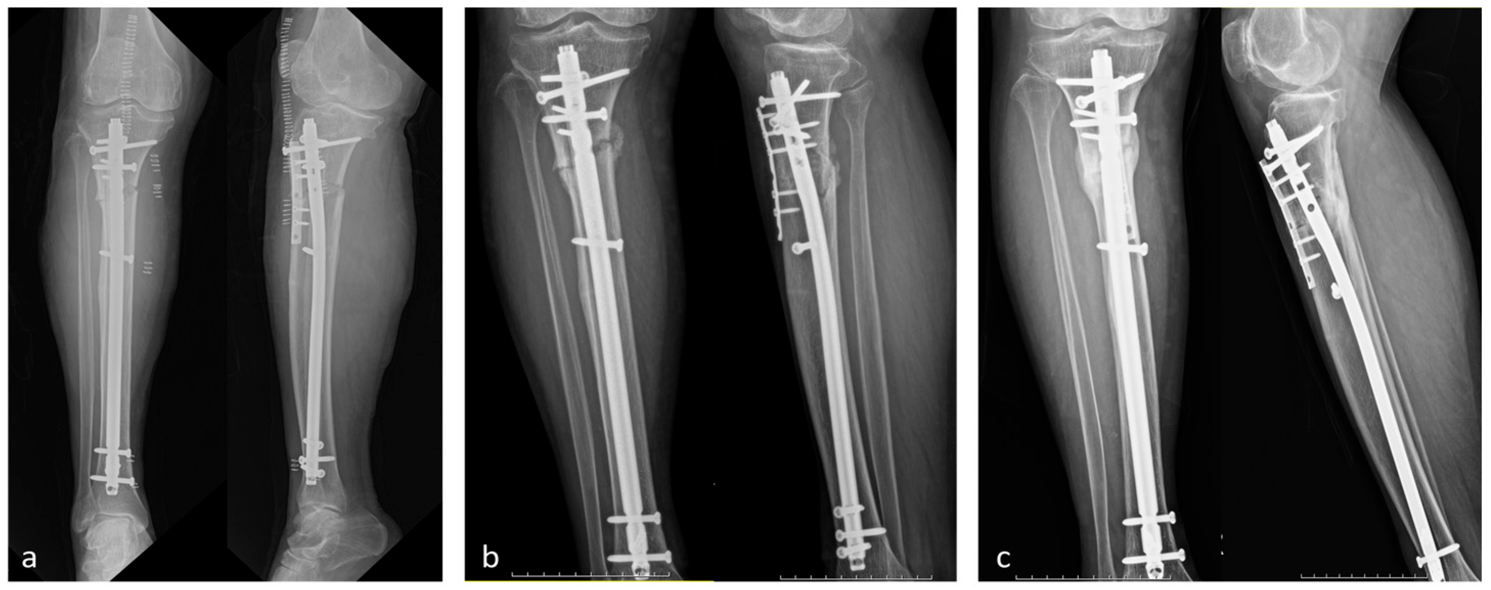
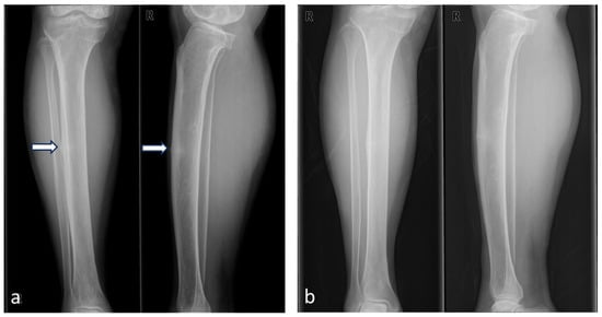
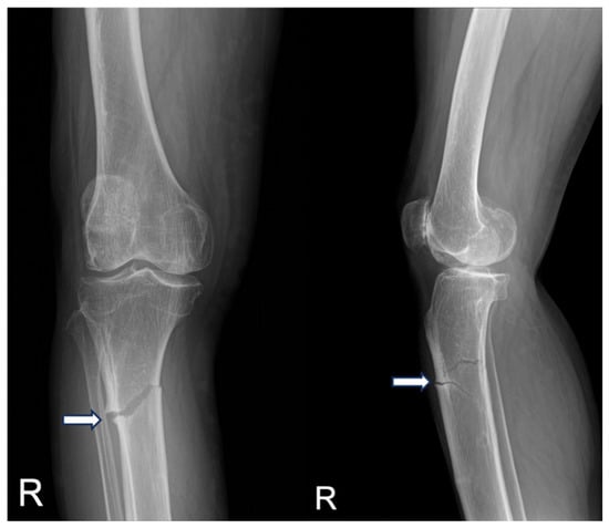
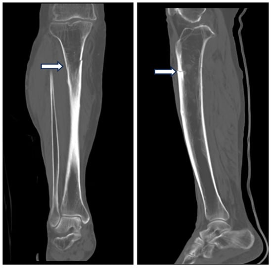
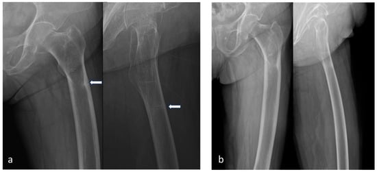
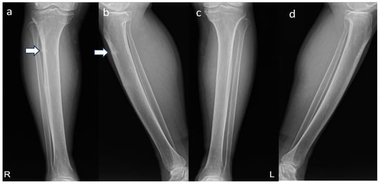
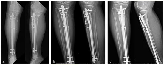
2. Case Presentation
3. Discussion
4. Conclusions
Author Contributions
Funding
Institutional Review Board Statement
Informed Consent Statement
Data Availability Statement
Conflicts of Interest
References
- European Prospective Osteoporosis Study Group; Felsenberg, D.; Silman, A.J.; Lunt, M.; Armbrecht, G.; Ismail, A.A.; Finn, J.D.; Cockerill, W.C.; Banzer, D.; Benevolenskaya, L.I.; et al. Incidence of vertebral fracture in Europe: Results from the European Prospective Osteoporosis Study (EPOS). J. Bone Miner. Res. 2002, 17, 716–724. [Google Scholar] [PubMed]
- Bone, H.G.; Hosking, D.; Devogelaer, J.P.; Tucci, J.R.; Emkey, E.D.; Tonino, R.P.; Rodriguez-Portales, J.A.; Downs, R.W.; Gupta, J.; Santora, A.C.; et al. Ten years’ experience with alendronate for osteoporosis in postmenopausal women. N. Engl. J. Med. 2004, 350, 1189–1199. [Google Scholar] [CrossRef] [PubMed]
- Shane, E.; Burr, D.; Abrahamsen, B.; Adler, R.A.; Brown, T.D.; Cheung, A.M.; Cheung, A.M.; Cosman, F.; Curtis, J.R.; Dell, R.; et al. Atypical subtrochanteric and diaphyseal femoral fractures: Second report of a task force of the American Society for Bone and Mineral Research. J. Bone Miner. Res. 2014, 29, 1–23. [Google Scholar] [CrossRef] [PubMed]
- Geiger, E.J.; Black, D.M.; Li, B.H.; Ryan, D.S.; Dell, R.M.; Adams, A.L. Risk Factors for Atypical Femur Fractures in a Large, Prospective Cohort Study: A Multivariable Analysis from the Southern California Osteoporosis Cohort Study (SOCS). In Proceedings of the ASBMR 2018 Annual Meeting, Montréal, QC, Canada, 28 September–1 October 2018. [Google Scholar]
- Yang, K.H.; Min, B.W.; Ha, Y.C. Atypical femoral fracture: 2015 position statement of the Korean Society for Bone and Mineral Research. J. Bone Metab. 2015, 22, 87–91. [Google Scholar] [CrossRef] [PubMed]
- Bissonnette, L.; April, P.M.; Dumais, R.; Boire, G.; Roux, S. Atypical fracture of the tibial diaphysis associated with bisphosphonate therapy: A case report. Bone 2013, 56, 406–409. [Google Scholar] [CrossRef] [PubMed]
- Breglia, M.D.; Carter, J.D. Atypical insufficiency fracture of the tibia associated with long-term bisphosphonate therapy. J. Clin. Rheumatol. 2010, 16, 76–78. [Google Scholar] [CrossRef] [PubMed]
- Rogers, M.J.; Crockett, J.C.; Coxon, F.P.; Mönkkönen, J. Biochemical and molecular mechanisms of action of bisphosphonates. Bone 2011, 49, 34–41. [Google Scholar] [CrossRef] [PubMed]
- Pepper, M.; Akuthota, V.; McCarty, E.C. The pathophysiology of stress fractures. Clin. Sports Med. 2006, 25, 1–16. [Google Scholar] [CrossRef] [PubMed]
- Park, J.M.; Sung, K.S. Stress fractures of the tibia. Arthrosc. Orthop. Sports Med. 2015, 2, 95–102. [Google Scholar] [CrossRef]
- Shane, E.; Burr, D.; Ebeling, P.R.; Abrahamsen, B.; Adler, R.A.; Brown, T.D.; Cheung, A.M.; Cosman, F.; Curtis, J.R.; Dell, R.; et al. Atypical subtrochanteric and diaphyseal femoral fractures: Report of a task force of the American Society for Bone and Mineral Research. J. Bone Miner. Res. 2010, 25, 2267–2294. [Google Scholar] [CrossRef] [PubMed]
- Odvina, C.V.; Levy, S.; Rao, S.; Zerwekh, J.E.; Rao, D.S. Unusual midshaft fractures during long-term bisphosphonate therapy. Clin. Endocrinol. 2010, 72, 161–168. [Google Scholar] [CrossRef] [PubMed]
- Imbuldeniya, A.M.; Jiwa, N.; Murphy, J.P. Bilateral atypical insufficiency fractures of the proximal tibia and a unilateral distal femoral fracture associated with long-term intravenous bisphosphonate therapy: A case report. J. Med. Case Rep. 2012, 6, 50. [Google Scholar] [CrossRef] [PubMed]
- Cecchetti, S.; Soubrier, M.; Grobost, V.; Malochet-Guinamand, S. Atypical insufficiency fractures associated with long-term bisphosphonate therapy: 3 case reports. J. Bone Biol. Osteoporosis 2015, 1, 34–40. [Google Scholar]
- Schimpf, R.; Siekmann, H.; Bauer, C.; Radetzki, F. Atypische distale Tibiaschaftfrakturen bei liegenden KTEP beidseits unter antiresorptiver Therapie. Orthopäde 2018, 47, 688–691. [Google Scholar] [CrossRef] [PubMed]
- Malabu, U.H.; Lockett, J.; Lyster, E.; Maguire, J.; Tan, Y. Atypical tibial fracture in a 63-year-old woman with intermittent use of bisphosphonate unmasking hypophosphatasia. J. Endocr. Soc. 2019, 3, 2082–2087. [Google Scholar] [CrossRef] [PubMed]
- Suthar, A.; Yukata, K.; Suetomi, Y.; Yamazaki, K.; Sakai, T.; Fujii, H. Bisphosphonate-related atypical insufficiency fracture of the tibial plateau: A case report. J. Med. Investig. 2021, 68, 186–188. [Google Scholar] [CrossRef] [PubMed]
- Chiang, C.Y.; Zebaze, R.M.D.; Ghasem-Zadeh, A.; Iuliano-Burns, S.; Hardidge, A.; Seeman, E. Teriparatide improves bone quality and healing of atypical femoral fractures associated with bisphosphonate therapy. Bone 2013, 52, 360–365. [Google Scholar] [CrossRef] [PubMed]
- Sun, Y.; Li, Y.; Li, J.; Xie, X.; Gu, F.; Sui, Z.; Zhang, K.; Yu, T. Efficacy of the Combination of Teriparatide and Denosumab in the Treatment of Postmenopausal Osteoporosis: A Meta-Analysis. Front. Pharmacol. 2022, 13, 888208. [Google Scholar] [CrossRef] [PubMed]
- Kates, S.L.; Ackert-Bicknell, C.L. How do bisphosphonates affect fracture healing? Injury 2016, 47 (Suppl. S1), S65–S68. [Google Scholar] [CrossRef] [PubMed]
- Lim, H.S.; Kim, C.K.; Park, Y.S.; Moon, Y.W.; Lim, S.J.; Kim, S.M. Factors Associated with Increased Healing Time in Complete Femoral Fractures After Long-Term Bisphosphonate Therapy. J. Bone Jt. Surg. Am. 2016, 98, 1978–1987. [Google Scholar] [CrossRef] [PubMed]








| Case Report | Age/Sex | Antiresorptive Agent (Duration) | Fracture Site | Treatment | Outcome |
|---|---|---|---|---|---|
| Odvina et al., 2010 [12] 1 | 38–77/F | Alendronate (10), Risedronate (3), 2–11 years | Femoral shaft (11), tibial (1), humeral (1) | Bone biopsy (6) | Delayed/non-healing |
| Imbuldeniya et al., 2012 [13] | 76/F | Pamidronate (6 years, post-alendronate 3 years) | Proximal tibiae (bilateral), distal femur | Conservative | Full resolution in 2 months |
| Bissonnette et al., 2013 [6] | 77/F | Zoledronic acid (4 years) | Left tibial diaphysis | IM nail fixation | Good healing at 4 months |
| Cecchetti et al., 2015 [14] | 58/F | Risedronate (5 years) | L tibia, bilateral tibial plateau, L femoral/tibial metaphysis, R tibia, calcaneus, talus | Conservative, teriparatide | Recurrent fractures |
| Cecchetti et al., 2015 [14] | 78/F | Alendronate (5 years) | Right tibial diaphysis | Conservative | Consolidation in 2 months |
| Schimpf et al., 2018 [15] | 76/F | Risedronate (5 years), Strontium ranelate (2 years), Zoledronate (4 years), denosumab (2 years) | Bilateral distal tibial metaphysis | Conservative (L), surgery (R) | Delayed healing (L), healed (R) |
| Malabu et al., 2019 [16] | 63/F | Alendronate (intermittent, 4 years) | Right proximal tibial shaft | Conservative | Successful healing |
| Suthar et al., 2021 [17] | 65/F | Risedronate (5 years) | Left tibial plateau | Conservative | Full recovery at 8 months |
Disclaimer/Publisher’s Note: The statements, opinions and data contained in all publications are solely those of the individual author(s) and contributor(s) and not of MDPI and/or the editor(s). MDPI and/or the editor(s) disclaim responsibility for any injury to people or property resulting from any ideas, methods, instructions or products referred to in the content. |
© 2024 by the authors. Published by MDPI on behalf of the Lithuanian University of Health Sciences. Licensee MDPI, Basel, Switzerland. This article is an open access article distributed under the terms and conditions of the Creative Commons Attribution (CC BY) license (https://creativecommons.org/licenses/by/4.0/).
Share and Cite
Kim, J.-Y.; Lee, S.-W. Tibial Insufficiency Fracture with Characteristics of an Atypical Fracture: A Rare Case and Literature Review. Medicina 2024, 60, 1814. https://doi.org/10.3390/medicina60111814
Kim J-Y, Lee S-W. Tibial Insufficiency Fracture with Characteristics of an Atypical Fracture: A Rare Case and Literature Review. Medicina. 2024; 60(11):1814. https://doi.org/10.3390/medicina60111814
Chicago/Turabian StyleKim, Ju-Yeong, and Se-Won Lee. 2024. "Tibial Insufficiency Fracture with Characteristics of an Atypical Fracture: A Rare Case and Literature Review" Medicina 60, no. 11: 1814. https://doi.org/10.3390/medicina60111814
APA StyleKim, J.-Y., & Lee, S.-W. (2024). Tibial Insufficiency Fracture with Characteristics of an Atypical Fracture: A Rare Case and Literature Review. Medicina, 60(11), 1814. https://doi.org/10.3390/medicina60111814
