Isolated Avulsion Fracture of the Tibial Tuberosity in an Adult Treated with Suture-Bridge Fixation: A Rare Case and Literature Review
Abstract
:1. Introduction
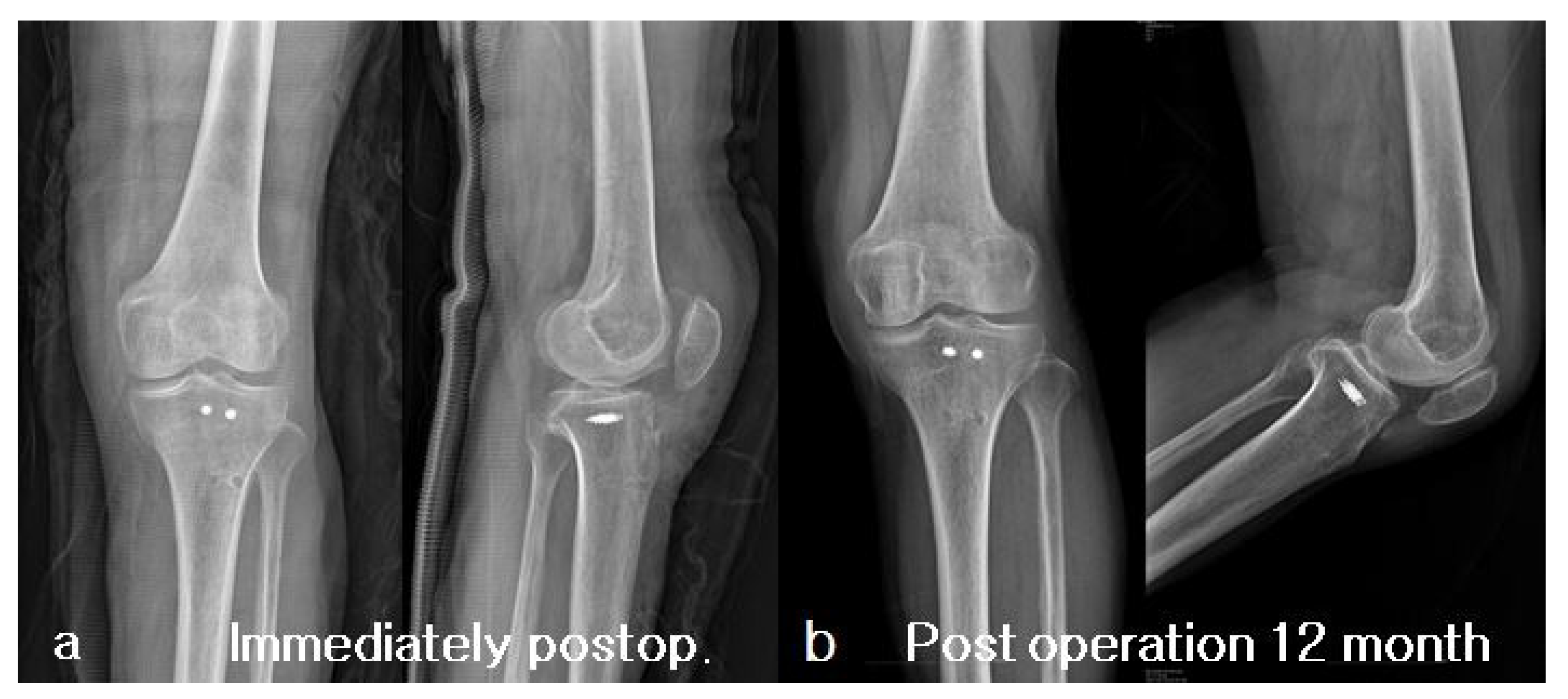
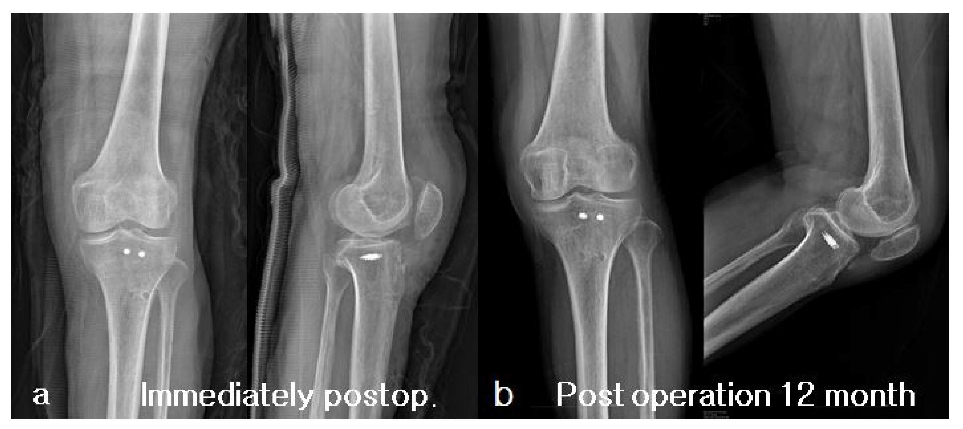
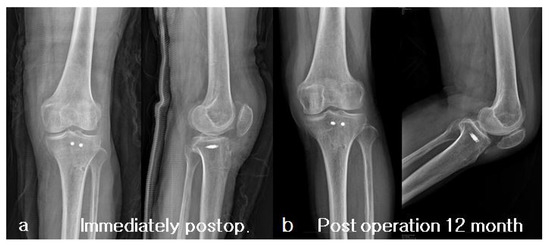
2. Case Presentation
3. Discussion
4. Conclusions
Author Contributions
Funding
Institutional Review Board Statement
Informed Consent Statement
Data Availability Statement
Conflicts of Interest
Abbreviations
| MR | magnetic resonance |
References
- Liu, Y.-P.; Hao, Q.-H.; Lin, F.; Wang, M.-M.; Hao, Y.-D. Tibial Tuberosity Avulsion Fracture and Open Proximal Tibial Fracture in an Adult: A Case Report and Literature Review. Medicine 2015, 94, e1684. [Google Scholar] [CrossRef] [PubMed]
- Pires e Albuquerque, R.; Campos, A.S.; de Araújo, G.C.; Gameiro, V.S. Fracture of tibial tuberosity in an adult. BMJ Case Rep. 2013, 2013, bcr2013202411. [Google Scholar] [CrossRef] [PubMed]
- Colton, C.; Krikler, S.; Schatzker, J.; Trafton, P. AO Surgery Reference; AO Foundation: Graubünden, Switzerland, 2012. [Google Scholar]
- Greenhagen, R.M.; Shinabarger, A.B.; Pearson, K.T.; Burns, P.R. Intermediate and long-term outcomes of the suture bridge technique for the management of insertional Achilles tendinopathy. Foot Ankle Spec. 2013, 6, 185–190. [Google Scholar] [CrossRef] [PubMed]
- Furuhata, R.; Kamata, Y.; Kono, A.; Nishimura, T.; Otani, S.; Morioka, H. Surgical Repair Using Suture Bridge Technique for Triceps Tendon Avulsion. Case Rep. Orthop. 2021, 2021, 5572126. [Google Scholar] [CrossRef] [PubMed]
- Mirbey, J.; Besancenot, J.; Chambers, R.T.; Durey, A.; Vichard, P. Avulsion fractures of the tibial tuberosity in the adolescent athlete. Risk factors, mechanism of injury, and treatment. Am. J. Sports Med. 1988, 16, 336–340. [Google Scholar] [CrossRef] [PubMed]
- Ogden, J.A.; Tross, R.B.; Murphy, M.J. Fractures of the tibial tuberosity in adolescents. J. Bone Jt. Surg. Am. 1980, 62, 205–215. [Google Scholar] [CrossRef]
- Choi, Y.H.; Park, D. A novel technique of tibial tuberosity fracture fixation with two knotless suture anchors in an adult: A case report and literature review. Acta Orthop. Traumatol. Turc. 2022, 56, 416–420. [Google Scholar] [CrossRef] [PubMed]
- Kim, K.-C.; Rhee, K.-J.; Shin, H.-D.; Kim, Y.-M. Arthroscopic fixation for displaced greater tuberosity fracture using the suture-bridge technique. Arthrosc. J. Arthrosc. Relat. Surg. 2008, 24, 120.e121–120.e123. [Google Scholar] [CrossRef] [PubMed]
- Raad, M.; Ndlovu, S.; Hǿgsand, T.; Ahmed, S.; Norris, M. Fracture of tibial tuberosity in an adult with Paget’s disease of the bone—An interesting case and review of literature. Trauma Case Rep. 2021, 32, 100440. [Google Scholar] [CrossRef] [PubMed]
- Levi, J.H.; Coleman, C.R. Fracture of the tibial tubercle. Am. J. Sports Med. 1976, 4, 254–263. [Google Scholar] [CrossRef] [PubMed]
- Mounasamy, V.; Brown, T.E. Avulsion fracture of the tibial tuberosity with articular extension in an adult: A novel method of fixation. Eur. J. Orthop. Surg. Traumatol. 2008, 18, 157–159. [Google Scholar] [CrossRef]
- Brown, E.; Sohail, M.T.; West, J.; Davies, B.; Mamarelis, G.; Sohail, M.Z. Tibial Tuberosity Fracture in an Elderly Gentleman: An Unusual Injury Pattern. Case Rep. Orthop. 2020, 2020, 8650927. [Google Scholar] [CrossRef] [PubMed]
- K AJ, L.P. Avulsion Fracture of the Tibial Tubercle in an Adult Treated with Tension-Band Wiring: A Case Report. Internet J. Orthop. Surg. 2009, 18, 2–5. [Google Scholar]
- Cho, B.-K.; Park, J.-K.; Choi, S.-M. Reattachment using the suture bridge augmentation for Achilles tendon avulsion fracture with osteoporotic bony fragment. Foot 2017, 31, 35–39. [Google Scholar] [CrossRef] [PubMed]
- Georgiou, G.; Dimitrakopoulou, A.; Siapkara, A.; Kazakos, K.; Provelengios, S.; Dounis, E. Simultaneous bilateral tibial tubercle avulsion fracture in an adolescent: A case report and review of the literature. Knee Surg. Sports Traumatol. Arthrosc. Off. J. ESSKA 2007, 15, 147–149. [Google Scholar] [CrossRef]
- Nimityongskul, P.; Montague, W.L.; Anderson, L.D. Avulsion fracture of the tibial tuberosity in late adolescence. J. Trauma 1988, 28, 505–509. [Google Scholar] [CrossRef] [PubMed]
- Rigby, R.B.; Cottom, J.M.; Vora, A. Early weightbearing using Achilles suture bridge technique for insertional Achilles tendinosis: A review of 43 patients. J. Foot Ankle Surg. 2013, 52, 575–579. [Google Scholar] [CrossRef] [PubMed]
- Silva Júnior, A.T.D.; Silva, L.J.D.; Silva Filho, U.C.D.; Teixeira, E.M.; Araújo, H.R.S.; Moraes, F.B.d. Anterior avulsion fracture of the tibial tuberosity in adolescents—Two case reports. Rev. Bras. Ortop. 2016, 51, 610–613. [Google Scholar] [CrossRef] [PubMed]
- Slobogean, G.P.; Mulpuri, K.; Alvarez, C.M.; Reilly, C.W. Comminuted simultaneous bilateral tibial tubercle avulsion fractures: A case report. J. Orthop. Surg. 2006, 14, 319–321. [Google Scholar] [CrossRef] [PubMed]





| Age (Years) | Injury Mechanism | Fixation Method | Remarks | |
|---|---|---|---|---|
| Mounasamy et al. [5] | 49 | Fall from ladder | Plate and screws | Immobilized in a knee brace for three weeks |
| Pires et al [6]. | 62 | Direct injury | Lag screw | Immobilized with a long brace for six weeks |
| Choi et al. [2] | 67 | Direct injury | Two suture anchor and fiber-tape | Functional brace for four weeks; 0 to 30° at first week, 0 to 120° at four weeks |
| Brown et al. [1] | 86 | Fall with twist | Screw and spike | Second fall caused implant loosening. |
| Tendon repair using suture anchor at the second surgery. | Immobilized with a cylindrical cast for four weeks and changed to a genu brace. | |||
| K AJ et al. [3] | 88 | Fall with twist | Lag screw and tension band wiring | Immobilized with an extension splint for six weeks and tolerable weight bearing. |
| Raad et al. [7] | 54 | Fall with twist | Lag screw and tension band wiring | Underlying Paget’s disease. Immobilized with a cast for six weeks and non-weight bearing. Changed to functional brace with progressive weight-bearing until 12 weeks. |
Disclaimer/Publisher’s Note: The statements, opinions and data contained in all publications are solely those of the individual author(s) and contributor(s) and not of MDPI and/or the editor(s). MDPI and/or the editor(s) disclaim responsibility for any injury to people or property resulting from any ideas, methods, instructions or products referred to in the content. |
© 2023 by the authors. Licensee MDPI, Basel, Switzerland. This article is an open access article distributed under the terms and conditions of the Creative Commons Attribution (CC BY) license (https://creativecommons.org/licenses/by/4.0/).
Share and Cite
Lee, D.H.; Lee, H.S.; Kong, C.-G.; Lee, S.-W. Isolated Avulsion Fracture of the Tibial Tuberosity in an Adult Treated with Suture-Bridge Fixation: A Rare Case and Literature Review. Medicina 2023, 59, 1565. https://doi.org/10.3390/medicina59091565
Lee DH, Lee HS, Kong C-G, Lee S-W. Isolated Avulsion Fracture of the Tibial Tuberosity in an Adult Treated with Suture-Bridge Fixation: A Rare Case and Literature Review. Medicina. 2023; 59(9):1565. https://doi.org/10.3390/medicina59091565
Chicago/Turabian StyleLee, Dong Hwan, Hwa Sung Lee, Chae-Gwan Kong, and Se-Won Lee. 2023. "Isolated Avulsion Fracture of the Tibial Tuberosity in an Adult Treated with Suture-Bridge Fixation: A Rare Case and Literature Review" Medicina 59, no. 9: 1565. https://doi.org/10.3390/medicina59091565
APA StyleLee, D. H., Lee, H. S., Kong, C.-G., & Lee, S.-W. (2023). Isolated Avulsion Fracture of the Tibial Tuberosity in an Adult Treated with Suture-Bridge Fixation: A Rare Case and Literature Review. Medicina, 59(9), 1565. https://doi.org/10.3390/medicina59091565

