Antimicrobial and Defense Proteins in Chronic Rhinosinusitis with Nasal Polyps
Abstract
1. Introduction
2. Materials and Methods
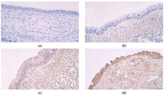
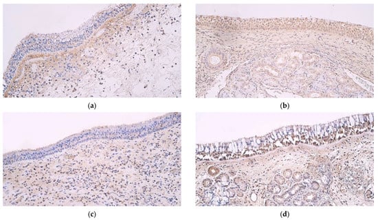
3. Results
4. Discussion
5. Conclusions
Author Contributions
Funding
Institutional Review Board Statement
Informed Consent Statement
Data Availability Statement
Conflicts of Interest
References
- Fokkens, W.J.; Lund, V.J.; Hopkins, C.; Hellings, P.W.; Kern, R.; Reitsma, S.; Toppila-Salmi, S.; Bernal-Sprekelsen, M.; Mullol, J.; Alobid, I.; et al. European Position Paper on Rhinosinusitis and Nasal Polyps 2020. Rhinology 2020, 58 (Suppl. S29), 1–464. [Google Scholar] [CrossRef]
- Chaaban, M.R.; Walsh, E.M.; Woodworth, B.A. Epidemiology and Differential Diagnosis of Nasal Polyps. Am. J. Rhinol. Allergy 2013, 27, 473–478. [Google Scholar] [CrossRef] [PubMed]
- Sedaghat, A.R.; Kuan, E.C.; Scadding, G.K. Epidemiology of Chronic Rhinosinusitis: Prevalence and Risk Factors. J. Allergy Clin. Immunol. Pract. 2022, 10, 1395–1403. [Google Scholar] [CrossRef] [PubMed]
- Cho, D.-Y.; Hunter, R.C.; Ramakrishnan, V.R. The Microbiome and Chronic Rhinosinusitis. Immunol. Allergy Clin. N. Am. 2020, 40, 251–263. [Google Scholar] [CrossRef] [PubMed]
- Stevens, W.W.; Lee, R.J.; Schleimer, R.P.; Cohen, N.A. Chronic rhinosinusitis pathogenesis. J. Allergy Clin. Immunol. 2015, 136, 1442–1453. [Google Scholar] [CrossRef]
- Carothers, D.G.; Graham, S.M.; Jia, H.P.; Ackermann, M.R.; Tack, B.F.; McCray, P.B. Production of β-Defensin Antimicrobial Peptides by Maxillary Sinus Mucosa. Am. J. Rhinol. 2001, 15, 175–180. [Google Scholar] [CrossRef]
- Luo, Y.; Song, Y. Mechanism of Antimicrobial Peptides: Antimicrobial, Anti-Inflammatory and Antibiofilm Activities. Int. J. Mol. Sci. 2021, 22, 11401. [Google Scholar] [CrossRef]
- Kumar, P.; Kizhakkedathu, J.; Straus, S. Antimicrobial Peptides: Diversity, Mechanism of Action and Strategies to Improve the Activity and Biocompatibility In Vivo. Biomolecules 2018, 8, 4. [Google Scholar] [CrossRef]
- Bin Hafeez, A.; Jiang, X.; Bergen, P.J.; Zhu, Y. Antimicrobial Peptides: An Update on Classifications and Databases. Int. J. Mol. Sci. 2021, 22, 11691. [Google Scholar] [CrossRef]
- Dhople, V.; Krukemeyer, A.; Ramamoorthy, A. The human beta-defensin-3, an antibacterial peptide with multiple biological functions. Biochim. Biophys. Acta BBA—Biomembr. 2006, 1758, 1499–1512. [Google Scholar] [CrossRef]
- Cieślik, M.; Bagińska, N.; Górski, A.; Jończyk-Matysiak, E. Human β-Defensin 2 and Its Postulated Role in Modulation of the Immune Response. Cells 2021, 10, 2991. [Google Scholar] [CrossRef]
- Chen, P.-H.; Fang, S.-Y. Expression of human β-defensin 2 in human nasal mucosa. Eur. Arch. Otorhinolaryngol. 2004, 261, 238–241. [Google Scholar] [CrossRef]
- Xiao, C.; He, G.; Deng, W.; Zhang, H.; Sun, W. Expression of human beta-defensin after endoscopic sinus surgery for chronic sinusitis. Nan Fang Yi Ke Da Xue Xue Bao 2010, 30, 1580–1583. [Google Scholar]
- Chen, X.; Niyonsaba, F.; Ushio, H.; Hara, M.; Yokoi, H.; Matsumoto, K.; Saito, H.; Nagaoka, I.; Ikeda, S.; Okumura, K.; et al. Antimicrobial peptides human β-defensin (hBD)-3 and hBD-4 activate mast cells and increase skin vascular permeability. Eur. J. Immunol. 2007, 37, 434–444. [Google Scholar] [CrossRef] [PubMed]
- Zhu, C.; Tan, H.; Cheng, T.; Shen, H.; Shao, J.; Guo, Y.; Shi, S.; Zhang, X. Human β-defensin 3 inhibits antibiotic-resistant Staphylococcus biofilm formation. J. Surg. Res. 2013, 183, 204–213. [Google Scholar] [CrossRef]
- Sutton, J.M.; Pritts, T.A. Human beta-defensin 3: A novel inhibitor of Staphylococcus-Produced biofilm production. Commentary on “Human β-defensin 3 inhibits antibiotic-resistant Staphylococcus biofilm formation”. J. Surg. Res. 2014, 186, 99–100. [Google Scholar] [CrossRef] [PubMed]
- Biswas, L.; Götz, F. Molecular Mechanisms of Staphylococcus and Pseudomonas Interactions in Cystic Fibrosis. Front. Cell. Infect. Microbiol. 2022, 11, 1383. [Google Scholar] [CrossRef]
- Batoni, G.; Maisetta, G.; Esin, S.; Campa, M. Human Beta-Defensin-3: A Promising Antimicrobial Peptide. Mini-Rev. Med. Chem. 2006, 6, 1063–1073. [Google Scholar] [CrossRef] [PubMed]
- Schneider, J.J.; Unholzer, A.; Schaller, M.; Schäfer-Korting, M.; Korting, H.C. Human defensins. J. Mol. Med. 2005, 83, 587–595. [Google Scholar] [CrossRef]
- Lohova, E.; Vitenberga-Verza, Z.; Kazoka, D.; Pilmane, M. Local Defence System in Healthy Lungs. Clin. Pract. 2021, 11, 728–746. [Google Scholar] [CrossRef]
- Bandurska, K.; Berdowska, A.; Barczyńska-Felusiak, R.; Krupa, P. Unique features of human cathelicidin LL-37: Unique Features of Human Cathelicidin LL-37. BioFactors 2015, 41, 289–300. [Google Scholar] [CrossRef] [PubMed]
- Kim, S.T.; Cha, H.E.; Kim, D.Y.; Han, G.C.; Chung, Y.; Young, J.L.; Hwang, Y.J.; Lee, H. Antimicrobial Peptide LL-37 is Upregulated in Chronic Nasal Inflammatory Disease. Acta Oto-Laryngol. 2003, 123, 81–85. [Google Scholar] [CrossRef] [PubMed]
- Cao, Y.; Chen, F.; Sun, Y.; Hong, H.; Wen, Y.; Lai, Y.; Xu, Z.; Luo, X.; Chen, Y.; Shi, J.; et al. LL-37 promotes neutrophil extracellular trap formation in chronic rhinosinusitis with nasal polyps. Clin. Exp. Allergy 2019, 49, 990–999. [Google Scholar] [CrossRef]
- Ooi, E.H.; Wormald, P.-J.; Carney, A.S.; James, C.L.; Tan, L.W. Fungal Allergens Induce Cathelicidin LL-37 Expression in Chronic Rhinosinusitis Patients in a Nasal Explant Model. Am. J. Rhinol. 2007, 21, 367–372. [Google Scholar] [CrossRef] [PubMed]
- Kim, S.-W.; Roh, J.; Park, C.-S. Immunohistochemistry for Pathologists: Protocols, Pitfalls, and Tips. J. Pathol. Transl. Med. 2016, 50, 411–418. [Google Scholar] [CrossRef]
- Pilmane, M.; Luts, A.; Sundler, F. Changes in neuroendocrine elements in bronchial mucosa in chronic lung disease in adults. Thorax 1995, 50, 551–554. [Google Scholar] [CrossRef] [PubMed]
- Tobin, G.; Luts, A.; Sundler, F.; Ekström, J. Peptidergic innervation of the major salivary glands of the ferret. Peptides 1990, 11, 863–867. [Google Scholar] [CrossRef]
- Dambergs, K.; Sumeraga, G.; Pilmane, M. Morphopathogenesis of Adult Acquired Cholesteatoma. Medicina 2023, 59, 306. [Google Scholar] [CrossRef] [PubMed]
- Konopecka, V.; Pilmane, M.; Sumerags, D.; Sumeraga, G. Distribution and Appearance of Ki-67, IL-1α, IL-10, and PGP 9.5 in Reinke’s Oedema-Affected Larynx Tissue Compared with Control Tissue. Life 2021, 11, 1379. [Google Scholar] [CrossRef]
- Viksne, R.J.; Sumeraga, G.; Pilmane, M. Characterization of Cytokines and Proliferation Marker Ki67 in Chronic Rhinosinusitis with Nasal Polyps: A Pilot Study. Medicina 2021, 57, 607. [Google Scholar] [CrossRef]
- Hulse, K.E.; Stevens, W.W.; Tan, B.K.; Schleimer, R.P. Pathogenesis of nasal polyposis. Clin. Exp. Allergy 2015, 45, 328–346. [Google Scholar] [CrossRef]
- Martens, K.; Seys, S.F.; Alpizar, Y.A.; Schrijvers, R.; Bullens, D.M.A.; Breynaert, C.; Lebeer, S.; Steelant, B. Staphylococcus aureus enterotoxin B disrupts nasal epithelial barrier integrity. Clin. Exp. Allergy 2021, 51, 87–98. [Google Scholar] [CrossRef]
- Zhang, R.; Zhang, L.; Li, P.; Pang, K.; Liu, H.; Tian, L. Epithelial Barrier in the Nasal Mucosa, Related Risk Factors and Diseases. Int. Arch. Allergy Immunol. 2023, 184, 481–501. [Google Scholar] [CrossRef]
- Prince, A.A.; Steiger, J.D.; Khalid, A.N.; Dogrhamji, L.; Reger, C.; Claire, S.E.; Chiu, A.G.; Kennedy, D.W.; Palmer, J.N.; Cohen, N.A. Prevalence of Biofilm-forming Bacteria in Chronic Rhinosinusitis. Am. J. Rhinol. 2008, 22, 239–245. [Google Scholar] [CrossRef]
- Thienhaus, M.L.; Wohlers, J.; Podschun, R.; Hedderich, J.; Ambrosch, P.; Laudien, M. Antimicrobial peptides in nasal secretion and mucosa with respect to Staphylococcus aureus colonization in chronic rhinosinusitis with nasal polyps. Rhinol. J. 2011, 49, 554–561. [Google Scholar] [CrossRef] [PubMed]
- Pácová, H.; Astl, J.; Martínek, J. The incidence of β-defensin-1, 2, 3 in human healthy and chronically inflamed nasal and tonsillar mucosa. J. Appl. Biomed. 2010, 8, 81–86. [Google Scholar] [CrossRef]
- Ou, J.; Bassiouni, A.; Drilling, A.; Psaltis, A.J.; Vreugde, S.; Wormald, P.J. The persistence of intracellular Staphylococcus aureus in the sinuses: A longitudinal study. Rhinol. J. 2017, 55, 305–311. [Google Scholar] [CrossRef] [PubMed]
- Altunbulakli, C.; Costa, R.; Lan, F.; Zhang, N.; Akdis, M.; Bachert, C.; Akdis, C.A. Staphylococcus aureus enhances the tight junction barrier integrity in healthy nasal tissue, but not in nasal polyps. J. Allergy Clin. Immunol. 2018, 142, 665–668.e8. [Google Scholar] [CrossRef]
- Tomassen, P.; Vandeplas, G.; Van Zele, T.; Cardell, L.-O.; Arebro, J.; Olze, H.; Förster-Ruhrmann, U.; Kowalski, M.L.; Olszewska-Ziąber, A.; Holtappels, G.; et al. Inflammatory endotypes of chronic rhinosinusitis based on cluster analysis of biomarkers. J. Allergy Clin. Immunol. 2016, 137, 1449–1456.e4. [Google Scholar] [CrossRef]
- Coromina, J.; Sauret, J. Nasal Mucociliary Clearance in Patients with Nasal Polyposis. ORL 1990, 52, 311–315. [Google Scholar] [CrossRef]
- Chiu, A.G.; Palmer, J.N.; Woodworth, B.A.; Doghramji, L.; Cohen, M.B.; Prince, A.; Cohen, N.A. Baby Shampoo Nasal Irrigations for the Symptomatic Post-functional Endoscopic Sinus Surgery Patient. Am. J. Rhinol. 2008, 22, 34–37. [Google Scholar] [CrossRef] [PubMed]
- Meyer, J.E.; Harder, J.; Görögh, T.; Schröder, J.M.; Maune, S. hBD-2 gene expression in nasal mucosa. Laryngo-Rhino-Otologie 2000, 79, 400–403. [Google Scholar] [CrossRef] [PubMed]
- Xie, D.; Guo, Y.; Wu, D.; Xie, D. Expressions of LL-37 and IL-8 in chronic sinusitis with nasal polyps. Lin Chuang Er Bi Yan Hou Tou Jing Wai Ke Za Zhi J. Clin. Otorhinolaryngol. Head Neck Surg. 2010, 24, 337–340. [Google Scholar]
- Perestam, A.T.; Fujisaki, K.K.; Nava, O.; Hellberg, R.S. Comparison of real-time PCR and ELISA-based methods for the detection of beef and pork in processed meat products. Food Control 2017, 71, 346–352. [Google Scholar] [CrossRef]
- Georgakopoulos, B.; Hohman, M.H.; Le, P.H. Anatomy, Head and Neck, Nasal Concha. In StatPearls; StatPearls Publishing: Treasure Island, FL, USA, 2023. Available online: http://www.ncbi.nlm.nih.gov/books/NBK546636/ (accessed on 26 June 2023).


| Epithelial β Defensin 2 | Connective Tissue β Defensin 2 | Epithelial β Defensin 3 | Connective Tissue β Defensin 3 | Epithelial β Defensin 4 | Connective Tissue β Defensin 4 | Epithelial Cathelicidin LL 37 | Connective Tissue Cathelicidin LL 37 | |
|---|---|---|---|---|---|---|---|---|
| Primary polyps | 0.328 (SD ± 0.603) | 1.052 (SD ± 0.939) | 0.603 (SD ± 0.588) | 1.552 (SD ± 1.080) | 0 | 0 | 0.534 (SD ± 0.597) | 1.534 (SD ± 1.008) |
| Recurrent polyps | 0.526 (SD ± 0.716) | 1.632 (SD ± 0.970) | 0.342 (SD ± 0.473) | 1.263 (SD ± 1.147) | 0 | 0 | 0.816 (SD ± 0.691) | 1.632 (SD ± 0.831) |
| Control group | 3.059 (SD ± 0.659) | 1.647 (SD ± 0.386) | 1.853 (SD ± 0.843) | 0.912 (SD ± 0.618) | 0 | 0 | 2.176 (SD ± 0.809) | 1.294 (SD ± 0.811) |
| Primary vs. recurrent group | p = 0.283 | p = 0.050 | p = 0.096 | p = 0.387 | p > 0.999 | p > 0.999 | p = 0.145 | p = 0.568 |
| Primary vs. control group | p < 0.001 | p = 0.026 | p < 0.001 | p = 0.049 | p > 0.999 | p > 0.999 | p < 0.001 | p = 0.610 |
| Recurrent vs. control group | p < 0.001 | p = 0.950 | p < 0.001 | p = 0.531 | p > 0.999 | p > 0.999 | p < 0.001 | p = 0.315 |
| Factor 1 | Factor 2 | R | p Value |
|---|---|---|---|
| Connective tissue Cathelicidin LL 37 | Epithelial Cathelicidin LL 37 | 0.758 ** | <0.001 |
| Connective tissue Cathelicidin LL 37 | Connective tissue β defensin 3 | 0.584 ** | 0.001 |
| Connective tissue β defensin 2 | Epithelial β defensin 2 | 0.561 ** | 0.002 |
| Epithelial Cathelicidin LL 37 | Connective tissue β defensin 3 | 0.556 ** | 0.002 |
| Factor 1 | Factor 2 | R | p Value |
|---|---|---|---|
| Epithelial β defensin 2 | Connective tissue β defensin 2 | 0.635 ** | 0.004 |
| Epithelial β defensin 2 | Epithelial β defensin 3 | 0.505 * | 0.027 |
Disclaimer/Publisher’s Note: The statements, opinions and data contained in all publications are solely those of the individual author(s) and contributor(s) and not of MDPI and/or the editor(s). MDPI and/or the editor(s) disclaim responsibility for any injury to people or property resulting from any ideas, methods, instructions or products referred to in the content. |
© 2023 by the authors. Licensee MDPI, Basel, Switzerland. This article is an open access article distributed under the terms and conditions of the Creative Commons Attribution (CC BY) license (https://creativecommons.org/licenses/by/4.0/).
Share and Cite
Viksne, R.J.; Sumeraga, G.; Pilmane, M. Antimicrobial and Defense Proteins in Chronic Rhinosinusitis with Nasal Polyps. Medicina 2023, 59, 1259. https://doi.org/10.3390/medicina59071259
Viksne RJ, Sumeraga G, Pilmane M. Antimicrobial and Defense Proteins in Chronic Rhinosinusitis with Nasal Polyps. Medicina. 2023; 59(7):1259. https://doi.org/10.3390/medicina59071259
Chicago/Turabian StyleViksne, Rudolfs Janis, Gunta Sumeraga, and Mara Pilmane. 2023. "Antimicrobial and Defense Proteins in Chronic Rhinosinusitis with Nasal Polyps" Medicina 59, no. 7: 1259. https://doi.org/10.3390/medicina59071259
APA StyleViksne, R. J., Sumeraga, G., & Pilmane, M. (2023). Antimicrobial and Defense Proteins in Chronic Rhinosinusitis with Nasal Polyps. Medicina, 59(7), 1259. https://doi.org/10.3390/medicina59071259

