Investigation of CD56, ADAM17 and FGF21 Expressions in the Placentas of Preeclampsia Cases
Abstract
1. Introduction
2. Materials and Methods
2.1. Histopathological Examination
2.2. Immunohistochemical Method
2.3. Statistical Analysis
3. Results
3.1. Clinical Results
3.2. Histopathological Results
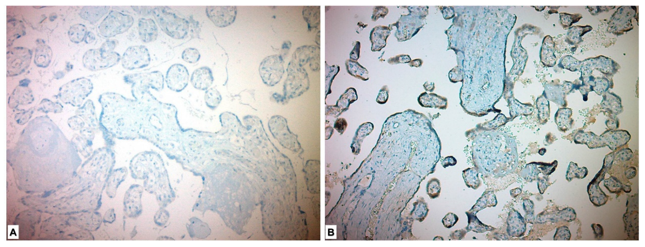
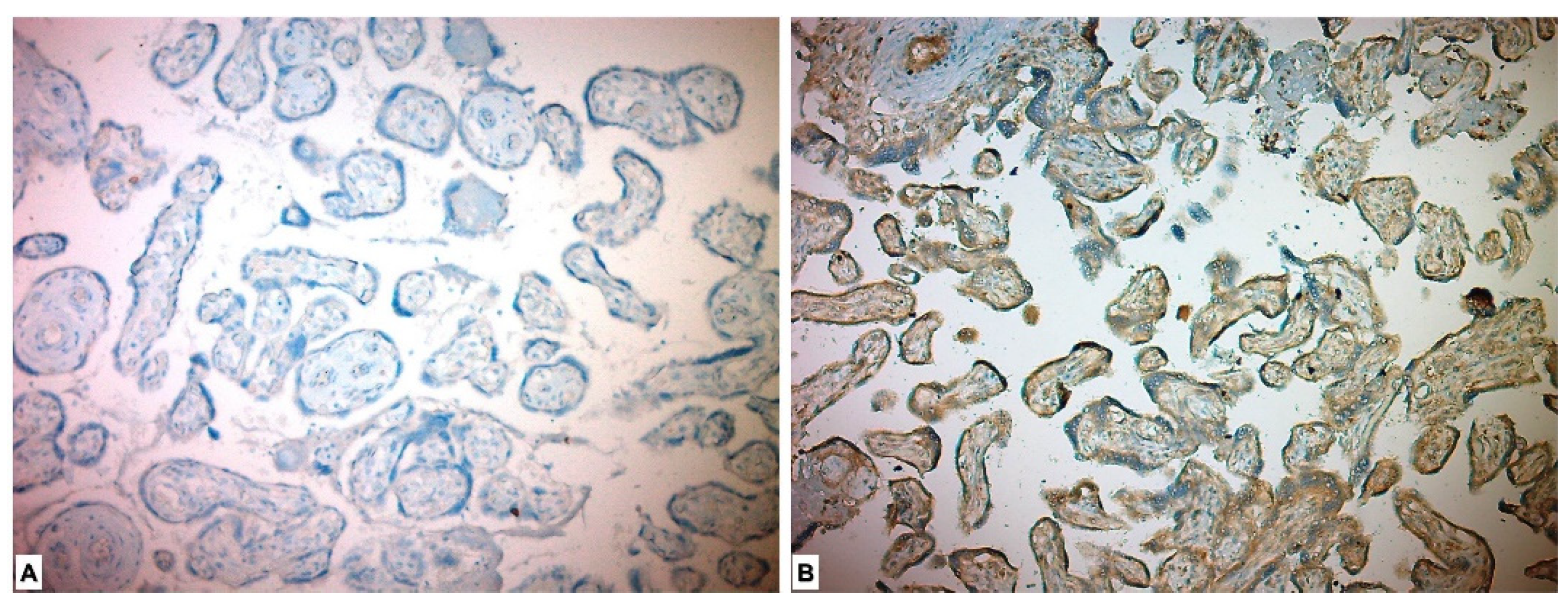
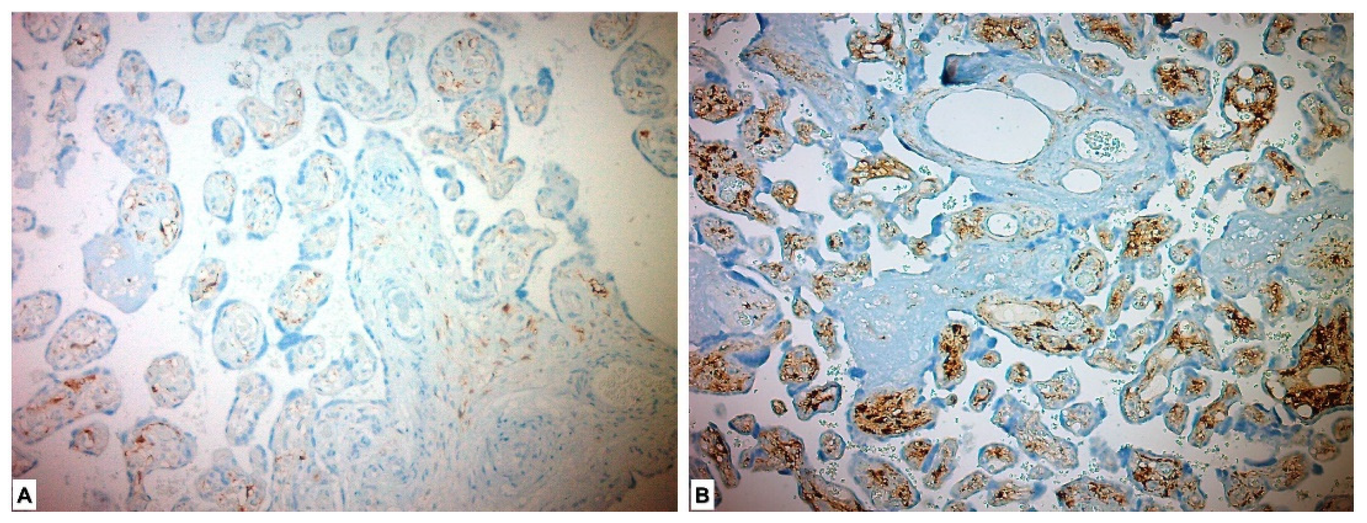
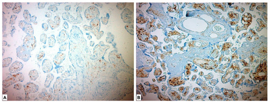
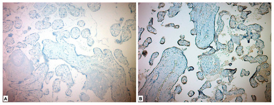
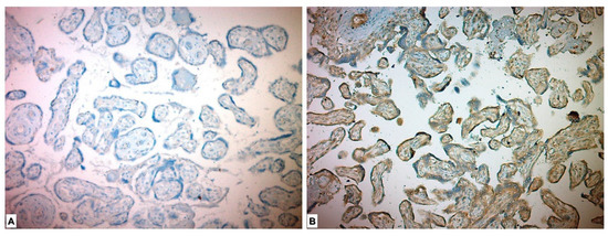
3.3. Immunohistochemical Results
4. Discussion
5. Conclusions
Author Contributions
Funding
Institutional Review Board Statement
Informed Consent Statement
Data Availability Statement
Conflicts of Interest
References
- Doğan, S.; Sel, G.; Arıkan, İ.İ.; Harma, M.İ.; Harma, M.; Barut, A.; Özmen, Ü.; Can, M. Accuracy of the 24-h urine protein excretion value in patients with preeclampsia: Correlation with instant and 24-h urine protein/creatinine and albumin/creatinine ratios. J. Obstet. Gynaecol. 2019, 39, 1075–1080. [Google Scholar] [CrossRef] [PubMed]
- Gestational Hypertension and Preeclampsia: ACOG practice bulletin, number 222. Obstet. Gynecol. 2020, 135, e237–e260. [CrossRef] [PubMed]
- Young, B.C.; Levine, R.J.; Karumanchi, S.A. Pathogenesis of preeclampsia. Annu. Rev. Pathol. Mech. Dis. 2010, 5, 173. [Google Scholar] [CrossRef] [PubMed]
- Harma, M.; Harma, M.; Erel, O. Oxidative stress in women with preeclampsia. Am. J. Obstet. Gynecol. 2005, 192, 656. [Google Scholar] [CrossRef]
- Croy, B.A.; Ashkar, A.A.; Minhas, K.; Greenwood, J.D. Can murine uterine natural killer cells give insights into the pathogenesis of preeclampsia? J. Soc. Gynecol. Investig. 2000, 7, 12–20. [Google Scholar] [CrossRef]
- Labarrere, C.A. Acute atherosis. A histopathological hallmark of immune aggression? Placenta 1988, 9, 95–108. [Google Scholar] [CrossRef]
- Redline, R.W.; Boyd, T.; Campbell, V.; Hyde, S.; Kaplan, C.; Khong, T.Y.; Prashner, H.R.; Waters, B.L. Maternal vascular underperfusion: Nosology and reproducibility of placental reaction patterns. Pediatr. Dev. Pathol. 2004, 7, 237–249. [Google Scholar] [CrossRef]
- Scheller, J.; Chalaris, A.; Garbers, C.; Rose-John, S. ADAM17: A molecular switch to control inflammation and tissue regeneration. Trends Immunol. 2011, 32, 380–387. [Google Scholar] [CrossRef]
- Ma, R.; Gu, Y.; Groome, L.J.; Wang, Y. ADAM17 regulates TNFα production by placental trophoblasts. Placenta 2011, 32, 975–980. [Google Scholar] [CrossRef]
- Palau, V.; Pascual, J.; Soler, M.J.; Riera, M. Role of ADAM17 in kidney disease. Am. J. Physiol. Renal. Physiol. 2019, 317, F333–F342. [Google Scholar] [CrossRef]
- Moreira de Queiroz, T.; Sriramula, S.; Chaudhari, A.; Filipeanu, C.; Lazartigues, E. Angiotensin-II promotes ACE2 shedding by increasing ADAM17 expression and oxidative stress in Neuro2A cells (874.10). FASEB J. 2014, 28, 874.10. [Google Scholar] [CrossRef]
- Domouzoglou, E.M.; Naka, K.K.; Vlahos, A.P.; Papafaklis, M.I.; Michalis, L.K.; Tsatsoulis, A.; Maratos-Flier, E. Fibroblast growth factors in cardiovascular disease: The emerging role of FGF. Am. J. Physiol. Heart Circ. Physiol. 2015, 309, H1029–H1038. [Google Scholar] [CrossRef] [PubMed]
- Semba, R.D.; Crasto, C.; Strait, J.; Sun, K.; Schaumberg, D.A.; Ferrucci, L. Elevated serum fibroblast growth factor 21 is associated with hypertension in community-dwelling adults. J. Hum. Hypertens. 2013, 27, 397–399. [Google Scholar] [CrossRef] [PubMed]
- Stepan, H.; Kley, K.; Hindricks, J.; Kralisch, S.; Jank, A.; Schaarschmidt, W.; Schrey, S.; Ebert, T.; Lössner, U.; Kratzsch, J.; et al. Serum levels of the adipokine fibroblast growth factor-21 are increased in preeclampsia. Cytokine 2013, 62, 322–326. [Google Scholar] [CrossRef]
- Romero, K.S.; Barrett, H.; Kubala, M.; McIntyre, D.; Callaway, L.; Nitert, M.D. Expression of placental fibroblast growth factor 21 (FGF21) is increased in placental tissue from pregnancies with preeclampsia. Placenta 2014, 9, A84. [Google Scholar] [CrossRef]
- Huang, Z.; Xu, A.; Cheung, B.M. The potential role of fibroblast growth factor 21 in lipid metabolism and hypertension. Curr. Hypertens. Rep. 2017, 19, 28. [Google Scholar] [CrossRef]
- Donthi, D.; Malik, P.; Mohamed, A.; Kousar, A.; Subramanian, R.A.; Manikyam, U.K. An Objective Histopathological Scoring System for Placental Pathology in Pre-Eclampsia and Eclampsia. Cureus 2020, 23, 12. [Google Scholar] [CrossRef]
- Parks, W.T. Placental hypoxia: The lesions of maternal malperfusion. Semin. Perinatol. 2015, 39, 9–19. [Google Scholar] [CrossRef]
- Zhang, P. CD56 Expression of Intravascular Trophoblasts Defines a Class of Vasculopathy in Preeclampsia and Other Pregnancy Complications. Fetal. Pediatr. Pathol. 2018. Available online: https://www.biorxiv.org/content/10.1101/293027v1.full (accessed on 1 May 2022). [CrossRef]
- Youssef, M.; Abo El Fadl, S.; Abd El Wahab, N.; Ismail, D. Histological Study of Human Placenta in Preeclampsia and the Role of Decidual Natural Killer Cells and Macrophages in its Pathogenesis. J. Med. Histol. 2020, 4, 176–188. [Google Scholar] [CrossRef]
- Du, M.; Wang, W.; Huang, L.; Guan, X.; Lin, W.; Yao, J.; Li, L. Natural killer cells in the pathogenesis of preeclampsia: A double-edged sword. J. Matern. Fetal. Neonatal. Med. 2022, 35, 1028–1035. [Google Scholar] [CrossRef]
- Lockwood, C.J.; Huang, S.J.; Chen, C.P.; Huang, Y.; Xu, J.; Faramarzi, S.; Kayisli, O.; Kayisli, U.; Koopman, L.; Smedts, D.; et al. Decidual cell regulation of natural killer cell–recruiting chemokines: Implications for the pathogenesis and prediction of preeclampsia. Am. J. Pathol. 2013, 183, 841–856. [Google Scholar] [CrossRef] [PubMed]
- Williams, P.J.; Bulmer, J.N.; Searle, R.F.; Innes, B.A.; Robson, S.C. Altered decidual leucocyte populations in the placental bed in pre-eclampsia and foetal growth restriction: A comparison with late normal pregnancy. Reproduction 2009, 138, 177–184. [Google Scholar] [CrossRef] [PubMed]
- Milosevic-Stevanovic, J.; Krstic, M.; Radovic-Janosevic, D.; Popovic, J.; Tasic, M.; Stojnev, S. Number of decidual natural killer cells & macrophages in pre-eclampsia. Indian J. Med. Res. 2016, 144, 823. [Google Scholar] [CrossRef] [PubMed]
- Wang, G.; Huang, Y.; Hu, T.; Zhang, B.; Tang, Z.; Yao, R.; Huang, Y.; Fan, X.; Ni, X. Contribution of placental 11β-HSD2 to the pathogenesis of preeclampsia. FASEB J. 2020, 34, 15379–15399. [Google Scholar] [CrossRef]
- Yang, Y.; Wang, Y.; Zeng, X.; Ma, X.J.; Zhao, Y.; Qiao, J.; Cao, B.; Li, Y.-X.; Ji, L.; Wang, Y.-L. Self-control of HGF regulation on human trophoblast cell invasion via enhancing c-Met receptor shedding by ADAM10 and ADAM. J. Clin. Endocrinol. Metab. 2012, 97, E1390–E1401. [Google Scholar] [CrossRef]
- Takaguri, A.; Kimura, K.; Hinoki, A.; Bourne, A.M.; Autieri, M.V.; Eguchi, S. A disintegrin and metalloprotease 17 mediates neointimal hyperplasia in vasculature. Hypertension 2011, 57, 841–845. [Google Scholar] [CrossRef]
- Da Silva, M.C.; Dos Santos, V.M.; da Silva, M.V.; Prazeres, T.C.; Maria do Socorro, S.C.; Calzerra, N.T.; Cartágenes, M.D.S.S.; Calzerra, N.T.M.; de Queiroz, T.M. Involvement of shedding induced by ADAM17 on the nitric oxide pathway in hypertension. Front. Mol. Biosci. 2022, 14, 1032177. [Google Scholar] [CrossRef]
- Ludwig, A.; Hundhausen, C.; Lambert, M.H.; Broadway, N.; Andrews, R.C.; Bickett, D.M.; Leesnitzer, M.A.; Becherer, J.D. Metalloproteinase inhibitors for the disintegrin-like metalloproteinases ADAM10 and ADAM17 that differentially block constitutive and phorbol ester-inducib. 1, le shedding of cell surface molecules. Comb. Chem. High Throughput Screen. 2005, 8, 161–171. [Google Scholar] [CrossRef]
- Tateishi, H.; Tateishi, M.; Radwan, M.O.; Masunaga, T.; Kawatashiro, K.; Oba, Y.; Oyama, M.; Inoue-Kitahashi, N.; Fujita, M.; Okamoto, Y.; et al. A New Inhibitor of ADAM17 Composed of a Zinc-Binding Dithiol Moiety and a Specificity Pocket-Binding Appendage. Chem. Pharm. Bull. 2021, 69, 1123–1130. [Google Scholar] [CrossRef]
- M AbdElmagid, A.; A Elewa, H.; R Elawady, R.; A AbdEltawab, W. Role of fibroblast growth factor-21 in women with pre-eclampsia. Al-Azhar Med. J. 2017, 46, 689–698. [Google Scholar] [CrossRef]
- Dekker Nitert, M.; Scholz-Romero, K.; Kubala, M.H.; McIntyre, H.D.; Callaway, L.K.; Barrett, H.L. Placental fibroblast growth factor 21 is not altered in late-onset preeclampsia. Reprod. Biol. Endocrinol. 2015, 13, 14. [Google Scholar] [CrossRef] [PubMed]
- Irani, R.A.; Xia, Y. Renin angiotensin signaling in normal pregnancy and preeclampsia. Semin. Nephrol. 2011, 31, 47–58. [Google Scholar] [CrossRef] [PubMed]
- Irani, R.A.; Xia, Y. The functional role of the renin–angiotensin system in pregnancy and preeclampsia. Placenta 2008, 29, 763–771. [Google Scholar] [CrossRef] [PubMed]
- Gathiram, P.; Moodley, J. The role of the renin-angiotensin-aldosterone system in preeclampsia: A review. Curr. Hypertens. Rep. 2020, 22, 89. [Google Scholar] [CrossRef] [PubMed]
- Wallukat, G.; Homuth, V.; Fischer, T.; Lindschau, C.; Horstkamp, B.; Jüpner, A.; Baur, E.; Nissen, E.; Vetter, K.; Neichel, D.; et al. Patients with preeclampsia develop agonistic autoantibodies against the angiotensin AT 1 receptor. J. Clin. Investig. 1999, 103, 945–952. [Google Scholar] [CrossRef]
- Siddiqui, A.H.; Irani, R.A.; Blackwell, S.C.; Ramin, S.M.; Kellems, R.E.; Xia, Y. Angiotensin receptor agonistic autoantibody is highly prevalent in preeclampsia: Correlation with disease severity. Hypertension 2010, 55, 386–393. [Google Scholar] [CrossRef] [PubMed]
- Shah, D.M. Role of the renin-angiotensin system in the pathogenesis of preeclampsia. Am. J. Physiol. Renal. Physiol. 2005, 288, F614–F625. [Google Scholar] [CrossRef]




| Parameters | Study Group (PE) n = 60 | Control Group n = 43 | p |
|---|---|---|---|
| Age, mean ± SS | 29.7 ± 5.7 * | 29.9 ± 5.6 | 0.868 § |
| Gestational week, median (Q1–Q3) | 33 (32–35) ** | 38 (37–38) | <0.001 † |
| Birthweight, mean ± SS | 2055 ± 667 | 3122 ± 531 | <0.001 § |
| Parity, n (%) | 0.474 ¶ | ||
| Nulliparity | 32 (53.3) | 19 (44.2) | |
| Multiparity | 28 (46.7) | 24 (55.8) | |
| APGAR 1, median (Q1–Q3) | 9 (8–9) | 9 (8–9) | 0.105 † |
| APGAR 5, ort ± SS | 9 ± 0.8 | 9 ± 0.5 | 0.025 † |
| Maturity n (%) | <0.001 ¶ | ||
| Premature | 50 (83.3) | 7 (16.7) | |
| Term | 10 (16.7) | 35 (83.3) | |
| NICU n (%) | <0.001 ¶ | ||
| Inpatient | 40 (66.6) | 8 (19) | |
| Outpatient | 20 (33.3) | 34 (81) | |
| Umb.A. pH, median (Q1–Q3) | 7.334 (7.302–7.360) | 7.334 (7.309–7.39) | 0.417 † |
| Placental Changes | Study Group (PE) n = 55 | Control Group n = 43 | p |
|---|---|---|---|
| Deciduitis n (%) | <0.002 * | ||
| Present | 10 (18.2) | 0 | |
| Absent | 45 (81.8) | 43 (100) | |
| Placenta Giant Cell n (%) | <0.001 * | ||
| Present | 7 (12.7) | 0 | |
| Absent | 48 (87.3) | 43 (100) | |
| Perivillous Fibrin Deposition n (%) | <0.001 * | ||
| Present | 49 (89.1) | 0 | |
| Absent | 6 (10.9) | 43 (100) | |
| Intervillous Fibrin (%) | <0.001 * | ||
| Present | 49 (89.1) | 0 | |
| Absent | 6 (10.9) | 43 (100) | |
| Intervillous Bleeding n (%) | <0.001 * | ||
| Present | 39 (70.9) | 0 | |
| Absent | 16 (10.9) | 43 (100) | |
| Infarcts n (%) | <0.001 * | ||
| Present | 14 (25.5) | 0 | |
| Absent | 41 (74.5) | 43 (100) | |
| Calcification n (%) | <0.001 * | ||
| Present | 21 (38.2) | 0 | |
| Absent | 34 (61.8) | 43 (100) | |
| Laminar Necrosis n (%) | <0.001 * | ||
| Present | 25 (45.5) | 0 | |
| Absent | 41 (74.5) | 43 (100) | |
| Syncytial Knot n (%) | <0.001 * | ||
| Present | 54 (98.2) | 0 | |
| Absent | 1 (1.8) | 43 (100) | |
| Distal Villous Hypoplasia (%) | NA ** | ||
| Present | 4 (7.3) | 0 | |
| Absent | 51 (92.7) | 43 (100) | |
| Chorionic Pseudocyst n (%) | NA ** | ||
| Present | 2 (3.6) | 0 | |
| Absent | 53 (96.4) | 43 (100) | |
| Marker | Study Group (PE) n = 56 | Control Group n = 43 | p |
|---|---|---|---|
| CD56 n (%) | <0.001 * | ||
| High Expression | 29 (51.8) | 0 | |
| Low Expression | 27 (48.2) | 43 (100) | |
| ADAM17 n (%) | <0.001 * | ||
| High Expression | 56 (100) | 0 | |
| Low Expression | 0 | 43 (100) | |
| FGF21 | <0.001 * | ||
| High Expression | 55 (98.2) | 0 | |
| Low Expression | 1 (1.8) | 43 (100) | |
| Marker | Non-Severe PE n = 18 | Severe PE n= 38 | p |
|---|---|---|---|
| CD56 n (%) | 0.106 * | ||
| Low Expression | 12 (66.7) | 15 (39.5) | |
| High Expression | 6 (33.3) | 23 (60.5) | |
| ADAM17 n (%) | NA ** | ||
| Low Expression | 0 | 0 | |
| High Expression | 18 (100) | 38 (100) | |
| FGF21 n (%) | NA ** | ||
| Low Expression | 1 (5.6) | 0 | |
| High Expression | 17 (94.4) | 38 (100) | |
Disclaimer/Publisher’s Note: The statements, opinions and data contained in all publications are solely those of the individual author(s) and contributor(s) and not of MDPI and/or the editor(s). MDPI and/or the editor(s) disclaim responsibility for any injury to people or property resulting from any ideas, methods, instructions or products referred to in the content. |
© 2023 by the authors. Licensee MDPI, Basel, Switzerland. This article is an open access article distributed under the terms and conditions of the Creative Commons Attribution (CC BY) license (https://creativecommons.org/licenses/by/4.0/).
Share and Cite
Darka Aslan, I.; Sel, G.; Barut, F.; Baser Acikgoz, R.; Balci, S.; Ozmen, U.; Barut, A.; Harma, M.; Harma, M.I. Investigation of CD56, ADAM17 and FGF21 Expressions in the Placentas of Preeclampsia Cases. Medicina 2023, 59, 1145. https://doi.org/10.3390/medicina59061145
Darka Aslan I, Sel G, Barut F, Baser Acikgoz R, Balci S, Ozmen U, Barut A, Harma M, Harma MI. Investigation of CD56, ADAM17 and FGF21 Expressions in the Placentas of Preeclampsia Cases. Medicina. 2023; 59(6):1145. https://doi.org/10.3390/medicina59061145
Chicago/Turabian StyleDarka Aslan, Irem, Gorker Sel, Figen Barut, Rabia Baser Acikgoz, Sibel Balci, Ulku Ozmen, Aykut Barut, Muge Harma, and Mehmet Ibrahim Harma. 2023. "Investigation of CD56, ADAM17 and FGF21 Expressions in the Placentas of Preeclampsia Cases" Medicina 59, no. 6: 1145. https://doi.org/10.3390/medicina59061145
APA StyleDarka Aslan, I., Sel, G., Barut, F., Baser Acikgoz, R., Balci, S., Ozmen, U., Barut, A., Harma, M., & Harma, M. I. (2023). Investigation of CD56, ADAM17 and FGF21 Expressions in the Placentas of Preeclampsia Cases. Medicina, 59(6), 1145. https://doi.org/10.3390/medicina59061145

