Sex Differences in Epidemiology, Morphology, Mechanisms, and Treatment of Mitral Valve Regurgitation
Abstract
1. Introduction
2. Epidemiology
3. Morphology and Imaging
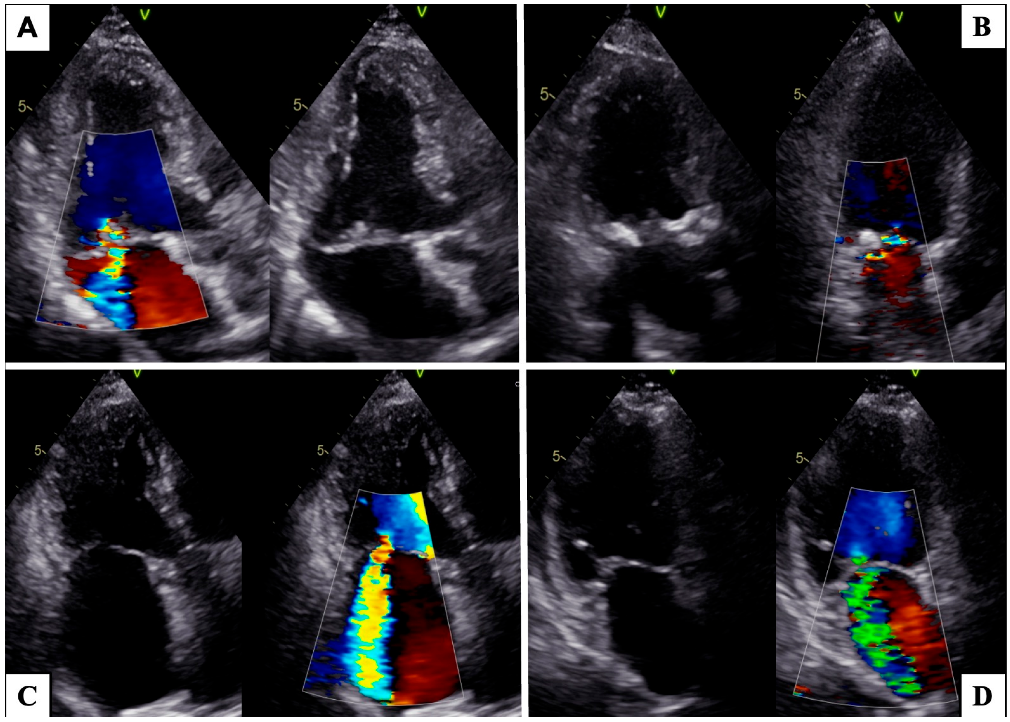
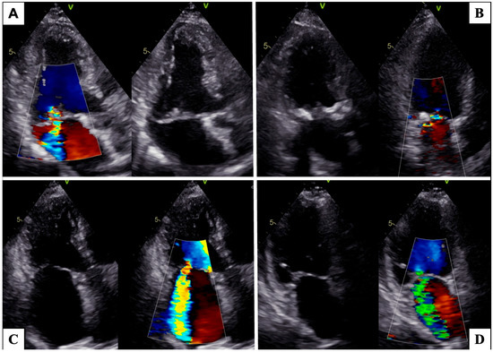
3.1. Sex-Specific MR Phenotypes
3.2. Multimodality Imaging in MR Assessment
4. Surgical Therapy
5. Interventional Therapy
5.1. Evidence from Randomized Clinical Trials
5.2. Evidence from Registries
6. Conclusions
Author Contributions
Funding
Institutional Review Board Statement
Informed Consent Statement
Data Availability Statement
Conflicts of Interest
References
- Nkomo, V.T.; Gardin, J.M.; Skelton, T.N.; Gottdiener, J.S.; Scott, C.G.; Enriquez-Sarano, M. Burden of valvular heart diseases: A population-based study. Lancet 2006, 368, 1005–1011. [Google Scholar] [CrossRef] [PubMed]
- DesJardin, J.T.; Chikwe, J.; Hahn, R.T.; Hung, J.W.; Delling, F.N. Sex Differences and Similarities in Valvular Heart Disease. Circ. Res. 2022, 130, 455–473. [Google Scholar] [CrossRef] [PubMed]
- Otto, C.M.; Nishimura, R.A.; Bonow, R.O.; Carabello, B.A.; Erwin, J.P.; Gentile, F.; Jneid, H.; Krieger, E.V.; Mack, M.; McLeod, C.; et al. 2020 ACC/AHA Guideline for the Management of Patients with Valvular Heart Disease: Executive Summary: A Report of the American College of Cardiology/American Heart Association Joint Committee on Clinical Practice Guidelines. Circulation 2021, 143, e35–e71. [Google Scholar] [CrossRef]
- Vahanian, A.; Beyersdorf, F.; Praz, F.; Milojevic, M.; Baldus, S.; Bauersachs, J.; Capodanno, D.; Conradi, L.; De Bonis, M.; De Paulis, R.; et al. 2021 ESC/EACTS Guidelines for the management of valvular heart disease. Eur. Heart J. 2022, 43, 561–632. [Google Scholar] [CrossRef] [PubMed]
- Singh, J.P.; Evans, J.C.; Levy, D.; Larson, M.G.; Freed, L.A.; Fuller, D.L.; Lehman, B.; Benjamin, E.J. Prevalence and clinical determinants of mitral, tricuspid, and aortic regurgitation (the Framingham Heart Study). Am. J. Cardiol. 1999, 83, 897–902. [Google Scholar] [CrossRef]
- Stefano, G.; Fox, K.; Schluchter, M.; Hoit, B.D. Prevalence of Unsuspected and Significant Mitral and Aortic Regurgitation. J. Am. Soc. Echocardiogr. 2008, 21, 38–42. [Google Scholar] [CrossRef]
- O’Gara, P.T.; Mack, M.J. Secondary Mitral Regurgitation. N. Engl. J. Med. 2020, 383, 1458–1467. [Google Scholar] [CrossRef]
- Ruiz, J.M.M.; Galderisi, M.; Buonauro, A.; Badano, L.; Aruta, P.; Swaans, M.J.; Sanchis, L.; Saraste, A.; Monaghan, M.; Theodoropoulos, K.C.; et al. Overview of mitral regurgitation in Europe: Results from the European Registry of mitral regurgitation (EuMiClip). Eur. Heart J.-Cardiovasc. Imaging 2018, 19, 503–507. [Google Scholar] [CrossRef]
- Andell, P.; Li, X.; Martinsson, A.; Andersson, C.; Stagmo, M.; Zöller, B.; Sundquist, K.; Smith, J.G. Epidemiology of valvular heart disease in a Swedish nationwide hospital-based register study. Heart 2017, 103, 1696–1703. [Google Scholar] [CrossRef]
- Delling, F.N.; Vasan, R.S. Epidemiology and Pathophysiology of Mitral Valve Prolapse: New Insights into Disease Progression, Genetics, and Molecular Basis. Circulation 2014, 129, 2158–2170. [Google Scholar] [CrossRef]
- Freed, L.A.; Levy, D.; Levine, R.A.; Larson, M.G.; Evans, J.C.; Fuller, D.L.; Lehman, B.; Benjamin, E.J. Prevalence and Clinical Outcome of Mitral-Valve Prolapse. N. Engl. J. Med. 1999, 341, 1–7. [Google Scholar] [CrossRef] [PubMed]
- Devereux, R.B.; Brown, W.T.; Kramer-Fox, R.; Sachs, I. Inheritance of Mitral Valve Prolapse: Effect of Age and Sex on Gene Expression. Ann. Intern. Med. 1982, 97, 826–832. [Google Scholar] [CrossRef] [PubMed]
- Vakamudi, S.; Jellis, C.; Mick, S.; Wu, Y.; Gillinov, A.M.; Mihaljevic, T.; Cosgrove, D.M.; Svensson, L.; Cho, L. Sex Differences in the Etiology of Surgical Mitral Valve Disease. Circulation 2018, 138, 1749–1751. [Google Scholar] [CrossRef] [PubMed]
- Yadgir, S.; Johnson, C.O.; Aboyans, V.; Adebayo, O.M.; Adedoyin, R.A.; Afarideh, M.; Alahdab, F.; Alashi, A.; Alipour, V.; Arabloo, J.; et al. Global, Regional, and National Burden of Calcific Aortic Valve and Degenerative Mitral Valve Diseases, 1990–2017. Circulation 2020, 141, 1670–1680. [Google Scholar] [CrossRef] [PubMed]
- Avierinos, J.-F.; Inamo, J.; Grigioni, F.; Gersh, B.; Shub, C.; Enriquez-Sarano, M. Sex Differences in Morphology and Outcomes of Mitral Valve Prolapse. Ann. Intern. Med. 2008, 149, 787–795. [Google Scholar] [CrossRef] [PubMed]
- Nishimura, R.A.; McGoon, M.D.; Shub, C.; Miller, F.A.; Ilstrup, D.M.; Tajik, A. Echocardiographically Documented Mitral-Valve Prolapse. Long-term follow-up of 237 patients. N. Engl. J. Med. 1985, 313, 1305–1309. [Google Scholar] [CrossRef]
- Putnam, A.J.; Kebed, K.; Mor-Avi, V.; Rashedi, N.; Sun, D.; Patel, B.; Balkhy, H.; Lang, R.M.; Patel, A.R. Prevalence of mitral annular disjunction in patients with mitral valve prolapse and severe regurgitation. Int. J. Cardiovasc. Imaging 2020, 36, 1363–1370. [Google Scholar] [CrossRef]
- Sriram, C.S.; Syed, F.F.; Ferguson, M.E.; Johnson, J.N.; Enriquez-Sarano, M.; Cetta, F.; Cannon, B.C.; Asirvatham, S.J.; Ackerman, M.J. Malignant Bileaflet Mitral Valve Prolapse Syndrome in Patients with Otherwise Idiopathic Out-of-Hospital Cardiac Arrest. J. Am. Coll. Cardiol. 2013, 62, 222–230. [Google Scholar] [CrossRef]
- Groeneveld, S.A.; Kirkels, F.P.; Cramer, M.J.; Evertz, R.; Haugaa, K.H.; Postema, P.G.; Prakken, N.H.J.; Teske, A.J.; Wilde, A.A.M.; Velthuis, B.K.; et al. Prevalence of Mitral Annulus Disjunction and Mitral Valve Prolapse in Patients with Idiopathic Ventricular Fibrillation. J. Am. Heart Assoc. 2022, 11, e025364. [Google Scholar] [CrossRef]
- Namazi, F.; Bijl, P.; Vo, N.M.; Wijngaarden, S.E.; Marsan, N.A.; Delgado, V.; Bax, J.J. Sex differences in prognosis of significant secondary mitral regurgitation. ESC Heart Fail. 2021, 8, 3539–3546. [Google Scholar] [CrossRef]
- Stolfo, D.; Uijl, A.; Vedin, O.; Strömberg, A.; Foxen, U.L.; Rosano, G.M.; Sinagra, G.; Dahlström, U.; Savarese, G. Sex-Based Differences in Heart Failure Across the Ejection Fraction Spectrum. JACC Heart Fail. 2019, 7, 505–515. [Google Scholar] [CrossRef] [PubMed]
- Ho, J.E.; Brouwers, F.P.; Enserro, D.; Shah, S.J.; Psaty, B.M.; Bartz, T.M.; Santhanakrishnan, R.; Lee, D.S.; Liu, K.; Blaha, M.J.; et al. Abstract 11958: Predicting Heart Failure with Preserved and Reduced Ejection Fraction: The International Collaboration on Heart Failure Subtypes. Circ. Heart Fail. 2016, 9, e003116. [Google Scholar] [CrossRef] [PubMed]
- Fleury, M.-A.; Clavel, M.-A. Sex and Race Differences in the Pathophysiology, Diagnosis, Treatment, and Outcomes of Valvular Heart Diseases. Can. J. Cardiol. 2021, 37, 980–991. [Google Scholar] [CrossRef] [PubMed]
- Giustino, G.; Overbey, J.; Taylor, D.; Ailawadi, G.; Kirkwood, K.; DeRose, J.; Gillinov, M.A.; Dagenais, F.; Mayer, M.-L.; Moskowitz, A.; et al. Sex-Based Differences in Outcomes after Mitral Valve Surgery for Severe Ischemic Mitral Regurgitation. JACC Heart Fail. 2019, 7, 481–490. [Google Scholar] [CrossRef]
- Coffey, S.; Roberts-Thomson, R.; Brown, A.; Carapetis, J.; Chen, M.; Enriquez-Sarano, M.; Zühlke, L.; Prendergast, B.D. Global epidemiology of valvular heart disease. Nat. Rev. Cardiol. 2021, 18, 853–864. [Google Scholar] [CrossRef]
- Nitsche, C.; Koschutnik, M.; Kammerlander, A.; Hengstenberg, C.; Mascherbauer, J. Gender-specific differences in valvular heart disease. Wien. Klin. Wochenschr. 2020, 132, 61–68. [Google Scholar] [CrossRef]
- Patlolla, S.H.; Schaff, H.V.; Nishimura, R.A.; Geske, J.B.; Lahr, B.D.; Lee, A.T.; Eleid, M.F.; Ommen, S.R.; Dearani, J.A. Mitral Annular Calcification in Obstructive Hypertrophic Cardiomyopathy: Prevalence and Outcomes. Ann. Thorac. Surg. 2021, 114, 1679–1687. [Google Scholar] [CrossRef]
- Deferm, S.; Bertrand, P.B.; Verbrugge, F.H.; Verhaert, D.; Rega, F.; Thomas, J.D.; Vandervoort, P.M. Atrial Functional Mitral Regurgitation. J. Am. Coll. Cardiol. 2019, 73, 2465–2476. [Google Scholar] [CrossRef]
- Gual-Capllonch, F.; de Ibarra, J.I.S.; Bayés-Genís, A.; Delgado, V. Atrial Mitral and Tricuspid Regurgitation: Sex Matters. A Call for Action to Unravel the Differences Between Women and Men. Front. Cardiovasc. Med. 2022, 9, 877592. [Google Scholar] [CrossRef]
- Bach, D.S.; Radeva, J.I.; Birnbaum, H.G.; Fournier, A.A.; Tuttle, E.G. Prevalence, referral patterns, testing, and surgery in aortic valve disease: Leaving women and elderly patients behind? J. Heart Valve Dis. 2007, 16, 362–369. [Google Scholar]
- Wang, A.; Grayburn, P.; Foster, J.A.; McCulloch, M.L.; Badhwar, V.; Gammie, J.S.; Costa, S.P.; Benitez, R.M.; Rinaldi, M.J.; Thourani, V.H.; et al. Practice gaps in the care of mitral valve regurgitation: Insights from the American College of Cardiology mitral regurgitation gap analysis and advisory panel. Am. Heart J. 2016, 172, 70–79. [Google Scholar] [CrossRef] [PubMed]
- Mantovani, F.; Clavel, M.A.; Michelena, H.I.; Suri, R.M.; Schaff, H.V.; Enriquez-Sarano, M. Comprehensive Imaging in Women with Organic Mitral Regurgitation: Implications for Clinical Outcome. JACC Cardiovasc. Imaging 2016, 9, 388–396. [Google Scholar] [CrossRef] [PubMed]
- Yi, K.; Gao, J.; Wang, W.-X.; Ma, Y.-H.; Wang, W.; He, S.E.; Xu, X.-M.; Li, P.-F.; You, T. Gender-related differences on outcome following transcatheter mitral valve repair (TMVR): A systematic review and meta-analysis. J. Cardiothorac. Surg. 2023, 18, 1–11. [Google Scholar] [CrossRef] [PubMed]
- Goebel, B.; Heck, R.; Hamadanchi, A.; Otto, S.; Doenst, T.; Jung, C.; Lauten, A.; Figulla, H.R.; Schulze, P.C.; Poerner, T.C. Vena contracta area for severity grading in functional and degenerative mitral regurgitation: A transoesophageal 3D colour Doppler analysis in 500 patients. Eur. Heart J.-Cardiovasc. Imaging 2018, 19, 639–646. [Google Scholar] [CrossRef]
- Brady, B.; King, G.; Murphy, R.T.; Walsh, D. Myocardial strain: A clinical review. Ir. J. Med. Sci. 2022, 16, 1–8. [Google Scholar] [CrossRef]
- Ueyama, H.; Kuno, T.; Takagi, H.; Krishnamoorthy, P.; Prandi, F.R.; Palazzuoli, A.; Sharma, S.K.; Kini, A.; Lerakis, S. Prognostic value of left ventricular global longitudinal strain in mitral regurgitation: A systematic review. Heart Fail. Rev. 2022. [Google Scholar] [CrossRef]
- Bsc, A.C.M.D.; Afoke, J.; Punjabi, P.P.; Kanaganayagam, G.S. Global longitudinal strain to determine optimal timing for surgery in primary mitral regurgitation: A systematic review. J. Card. Surg. 2021, 36, 2458–2466. [Google Scholar] [CrossRef]
- Uretsky, S.; Animashaun, I.B.; Sakul, S.; Aldaia, L.; Marcoff, L.; Koulogiannis, K.; Argulian, E.; Rosenthal, M.; Wolff, S.D.; Gillam, L.D. American Society of Echocardiography Algorithm for Degenerative Mitral Regurgitation: Comparison with CMR. JACC Cardiovasc. Imaging 2022, 15, 747–760. [Google Scholar] [CrossRef]
- Vermes, E.; Iacuzio, L.; Levy, F.; Bohbot, Y.; Renard, C.; Gerber, B.; Maréchaux, S.; Tribouilloy, C. Role of Cardiovascular Magnetic Resonance in Native Valvular Regurgitation: A Comprehensive Review of Protocols, Grading of Severity, and Prediction of Valve Surgery. Front. Cardiovasc. Med. 2022, 9, 881141. [Google Scholar] [CrossRef]
- Badiani, S.; van Zalen, J.; Althunayyan, A.; Al-Borikan, S.; Treibel, T.; Marshall, A.; Patel, N.; Bhattacharyya, S.; Lloyd, G. Natriuretic peptide release during exercise in patients with valvular heart disease: A systematic review. Int. J. Clin. Pract. 2021, 75, e14137. [Google Scholar] [CrossRef]
- Gallo, G.; Forte, M.; Stanzione, R.; Cotugno, M.; Bianchi, F.; Marchitti, S.; Berni, A.; Volpe, M.; Rubattu, S. Functional Role of Natriuretic Peptides in Risk Assessment and Prognosis of Patients with Mitral Regurgitation. J. Clin. Med. 2020, 9, 1348. [Google Scholar] [CrossRef] [PubMed]
- Detaint, D.; Messika-Zeitoun, D.; Avierinos, J.-F. B-Type Natriuretic Peptide in Organic Mitral Regurgitation: Determinants and Impact on Outcome. Circulation 2005, 111, 2391–2397. [Google Scholar] [CrossRef] [PubMed]
- Redfield, M.M.; Rodeheffer, R.J.; Jacobsen, S.J.; Mahoney, D.W.; Bailey, K.R.; Burnett, J.C. Plasma brain natriuretic peptide concentration: Impact of age and gender. J. Am. Coll. Cardiol. 2002, 40, 976–982. [Google Scholar] [CrossRef] [PubMed]
- Cediel, G.; Codina, P.; Spitaleri, G.; Domingo, M.; Santiago-Vacas, E.; Lupón, J.; Bayes-Genis, A. Gender-Related Differences in Heart Failure Biomarkers. Front. Cardiovasc. Med. 2021, 7, 617705. [Google Scholar] [CrossRef]
- Ibrahim, M.F.; Paparella, D.; Ivanov, J.; Buchanan, M.R.; Brister, S.J. Gender-related differences in morbidity and mortality during combined valve and coronary surgery. J. Thorac. Cardiovasc. Surg. 2003, 126, 959–964. [Google Scholar] [CrossRef]
- Vassileva, C.M.; McNeely, C.; Mishkel, G.; Boley, T.; Markwell, S.; Hazelrigg, S. Gender Differences in Long-Term Survival of Medicare Beneficiaries Undergoing Mitral Valve Operations. Ann. Thorac. Surg. 2013, 96, 1367–1373. [Google Scholar] [CrossRef]
- Nashef, S.A.; Roques, F.; Sharples, L.D.; Nilsson, J.; Smith, C.; Goldstone, A.R.; Lockowandt, U. EuroSCORE II. Eur. J. Cardiothorac. Surg. 2012, 41, 734–744; discussion 744–745. [Google Scholar] [CrossRef]
- Feldman, T.; Foster, E.; Glower, D.D.; Kar, S.; Rinaldi, M.J.; Fail, P.S.; Smalling, R.W.; Siegel, R.; Rose, G.A.; Engeron, E.; et al. Percutaneous repair or surgery for mitral regurgitation. N. Engl. J. Med. 2011, 364, 1395–1406. [Google Scholar] [CrossRef]
- Feldman, T.; Kar, S.; Elmariah, S.; Smart, S.C.; Trento, A.; Siegel, R.J.; Apruzzese, P.; Fail, P.; Rinaldi, M.J.; Smalling, R.W.; et al. Randomized Comparison of Percutaneous Repair and Surgery for Mitral Regurgitation: 5-Year Results of EVEREST II. J. Am. Coll. Cardiol. 2015, 66, 2844–2854. [Google Scholar] [CrossRef]
- Obadia, J.-F.; Messika-Zeitoun, D.; Leurent, G.; Iung, B.; Bonnet, G.; Piriou, N.; Lefèvre, T.; Piot, C.; Rouleau, F.; Carrié, D.; et al. Percutaneous Repair or Medical Treatment for Secondary Mitral Regurgitation. N. Engl. J. Med. 2018, 379, 2297–2306. [Google Scholar] [CrossRef]
- Stone, G.W.; Lindenfeld, J.; Abraham, W.T.; Kar, S.; Lim, D.S.; Mishell, J.M.; Whisenant, B.; Grayburn, P.A.; Rinaldi, M.; Kapadia, S.R.; et al. Transcatheter Mitral-Valve Repair in Patients with Heart Failure. N. Engl. J. Med. 2018, 379, 2307–2318. [Google Scholar] [CrossRef] [PubMed]
- Kosmidou, I.; Lindenfeld, J.; Abraham, W.T.; Rinaldi, M.J.; Kapadia, S.R.; Rajagopal, V.; Sarembock, I.J.; Brieke, A.; Gaba, P.; Rogers, J.H.; et al. Sex-Specific Outcomes of Transcatheter Mitral-Valve Repair and Medical Therapy for Mitral Regurgitation in Heart Failure. JACC Heart Fail. 2021, 9, 674–683. [Google Scholar] [CrossRef] [PubMed]
- Attizzani, G.F.; Ohno, Y.; Capodanno, D.; Cannata, S.; Dipasqua, F.; Immé, S.; Mangiafico, S.; Barbanti, M.; Ministeri, M.; Cageggi, A.; et al. Gender-related clinical and echocardiographic outcomes at 30-day and 12-month follow up after MitraClip implantation in the GRASP registry: Gender-Related Outcomes after MitraClip. Cathet. Cardiovasc. Intervent. 2015, 85, 889–897. [Google Scholar] [CrossRef]
- Estévez-Loureiro, R.; Settergren, M.; Winter, R.; Jacobsen, P.; Dall’Ara, G.; Sondergaard, L.; Cheung, G.; Pighi, M.; Ghione, M.; Ihlemann, N.; et al. Effect of Gender on Results of Percutaneous Edge-to-Edge Mitral Valve Repair with MitraClip System. Am. J. Cardiol. 2015, 116, 275–279. [Google Scholar] [CrossRef]
- Gafoor, S.; Sievert, H.; Maisano, F.; Baldus, S.; Schaefer, U.; Hausleiter, J.; Butter, C.; Ussia, G.P.; Geist, V.; Widder, J.D.; et al. Gender in the ACCESS-EU registry: A prospective, multicentre, non-randomised post-market approval study of MitraClip® therapy in Europe. EuroIntervention 2016, 12, e257–e264. [Google Scholar] [CrossRef] [PubMed]
- Doshi, R.; Shlofmitz, E.; Vadher, A.; Shah, J.; Meraj, P. Impact of sex on short term in-hospital outcomes with transcatheter edge-to-edge mitral valve repair. Cardiovasc. Revasc. Med. 2018, 19, 182–185. [Google Scholar] [CrossRef] [PubMed]
- Elbadawi, A.; Elzeneini, M.; Thakker, R.; Mahmoud, K.; Elgendy, I.Y.; Megaly, M.; Hamed, M.; Omer, M.A.; Chowdhury, M.; Ogunbayo, G.; et al. Sex Differences in In-Hospital Outcomes of Transcatheter Mitral Valve Repair (from a National Database). Am. J. Cardiol. 2020, 125, 1391–1397. [Google Scholar] [CrossRef]
- Werner, N.; Puls, M.; Baldus, S.; Lubos, E.; Bekeredjian, R.; Sievert, H.; Schofer, J.; Kuck, K.-H.; Möllmann, H.; Hehrlein, C.; et al. Gender-related differences in patients undergoing transcatheter mitral valve interventions in clinical practice: 1-year results from the German TRAMI registry. Catheter. Cardiovasc. Interv. 2020, 95, 819–829. [Google Scholar] [CrossRef]
- Park, S.-D.; Orban, M.; Karam, N.; Lubos, E.; Kalbacher, D.; Braun, D.; Stolz, L.; Neuss, M.; Butter, C.; Praz, F.; et al. Sex-Related Clinical Characteristics and Outcomes of Patients Undergoing Transcatheter Edge-to-Edge Repair for Secondary Mitral Regurgitation. JACC Cardiovasc. Interv. 2021, 14, 819–827. [Google Scholar] [CrossRef]
- Higuchi, S.; Orban, M.; Adamo, M.; Giannini, C.; Melica, B.; Karam, N.; Praz, F.; Kalbacher, D.; Lubos, E.; Stolz, L.; et al. Sex-specific impact of anthropometric parameters on outcomes after transcatheter edge-to-edge repair for secondary mitral regurgitation. Int. J. Cardiol. 2023, 371, 312–318. [Google Scholar] [CrossRef]
- D’onofrio, A.; Gerosa, G. WITHDRAWN: Shifting A Paradigm of Cardiac Surgery: From Minimally Invasive To Micro-Invasive. J. Thorac. Cardiovasc. Surg. 2015, 24, 528–530. [Google Scholar] [CrossRef]
- Vairo, A.; Gaiero, L.; Marro, M.; Russo, C.; Bolognesi, M.; Soro, P.; Gallone, G.; Fioravanti, F.; Desalvo, P.; D’ascenzo, F.; et al. New Echocardiographic Parameters Predicting Successful Trans-Ventricular Beating-Heart Mitral Valve Repair with Neochordae at 3 Years: Monocentric Retrospective Study. J. Clin. Med. 2023, 12, 1748. [Google Scholar] [CrossRef] [PubMed]
- Wild, M.G.; Kreidel, F.; Hell, M.M.; Praz, F.; Mach, M.; Adam, M.; Reineke, D.; Ruge, H.; Ludwig, S.; Conradi, L.; et al. Transapical mitral valve implantation for treatment of symptomatic mitral valve disease: A real-world multicentre experience. Eur. J. Heart Fail. 2022, 24, 899–907. [Google Scholar] [CrossRef] [PubMed]


Disclaimer/Publisher’s Note: The statements, opinions and data contained in all publications are solely those of the individual author(s) and contributor(s) and not of MDPI and/or the editor(s). MDPI and/or the editor(s) disclaim responsibility for any injury to people or property resulting from any ideas, methods, instructions or products referred to in the content. |
© 2023 by the authors. Licensee MDPI, Basel, Switzerland. This article is an open access article distributed under the terms and conditions of the Creative Commons Attribution (CC BY) license (https://creativecommons.org/licenses/by/4.0/).
Share and Cite
Tersalvi, G.; Gaiero, L.; Capriolo, M.; Cristoforetti, Y.; Salizzoni, S.; Senatore, G.; Pedrazzini, G.; Biasco, L. Sex Differences in Epidemiology, Morphology, Mechanisms, and Treatment of Mitral Valve Regurgitation. Medicina 2023, 59, 1017. https://doi.org/10.3390/medicina59061017
Tersalvi G, Gaiero L, Capriolo M, Cristoforetti Y, Salizzoni S, Senatore G, Pedrazzini G, Biasco L. Sex Differences in Epidemiology, Morphology, Mechanisms, and Treatment of Mitral Valve Regurgitation. Medicina. 2023; 59(6):1017. https://doi.org/10.3390/medicina59061017
Chicago/Turabian StyleTersalvi, Gregorio, Lorenzo Gaiero, Michele Capriolo, Yvonne Cristoforetti, Stefano Salizzoni, Gaetano Senatore, Giovanni Pedrazzini, and Luigi Biasco. 2023. "Sex Differences in Epidemiology, Morphology, Mechanisms, and Treatment of Mitral Valve Regurgitation" Medicina 59, no. 6: 1017. https://doi.org/10.3390/medicina59061017
APA StyleTersalvi, G., Gaiero, L., Capriolo, M., Cristoforetti, Y., Salizzoni, S., Senatore, G., Pedrazzini, G., & Biasco, L. (2023). Sex Differences in Epidemiology, Morphology, Mechanisms, and Treatment of Mitral Valve Regurgitation. Medicina, 59(6), 1017. https://doi.org/10.3390/medicina59061017

