Pharmacological Mechanism of Aucklandiae Radix against Gastric Ulcer Based on Network Pharmacology and In Vivo Experiment
Abstract
1. Introduction
2. Materials and Methods
2.1. Network Pharmacological Analysis
2.1.1. Potential Active Components and Targets Prediction of AR
2.1.2. Disease Targets Prediction
2.1.3. Target of AR in the Treatment of GU
2.1.4. Component–Target Network Construction
2.1.5. PPI Network Construction
2.1.6. GO and KEGG Pathway Enrichment Analysis
2.2. Molecular Docking
2.3. In Vivo Experiment
2.3.1. Materials and Reagents
2.3.2. Preparation of AR Extract
2.3.3. Animals and Treatment
2.3.4. H&E Staining
2.3.5. Determination of Biochemical Indices of Gastric Tissue
2.4. Statistical Analysis
3. Results
3.1. Prediction of Potential Bioactive Components and Targets of AR
3.2. Target of AR in the Treatment of GU
3.3. Bioactive Component–Target Network of AR against GU
3.4. PPI Network Construction and Hub Targets
3.5. GO and KEGG Pathway Enrichment Analysis
3.6. Molecular Docking Verification
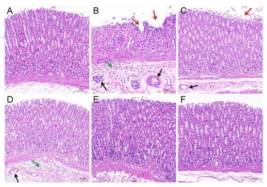
3.7. Effect of AR Extract on Indomethacin-Induced GU
3.8. AR Extract Alleviated Indomethacin-Induced Inflammation and Oxidative Stress Damage
4. Discussion
5. Conclusions
Author Contributions
Funding
Institutional Review Board Statement
Informed Consent Statement
Data Availability Statement
Acknowledgments
Conflicts of Interest
Abbreviations
References
- Li, Z.; Zou, D.; Ma, X.; Chen, J.; Shi, X.; Gong, Y.; Man, X.; Gao, L.; Zhao, Y.; Wang, R.; et al. Epidemiology of peptic ulcer disease: Endoscopic results of the systematic investigation of gastrointestinal disease in China. Am. J. Gastroenterol. 2010, 105, 2570–2577. [Google Scholar] [CrossRef]
- Harsha, C.; Banik, K.; Bordoloi, D.; Kunnumakkara, A.B. Antiulcer properties of fruits and vegetables: A mechanism based perspective. Food Chem. Toxicol. 2017, 108, 104–119. [Google Scholar] [CrossRef]
- Søreide, K.; Thorsen, K.; Harrison, E.M.; Bingener, J.; Møller, M.H.; Ohene-Yeboah, M.; Søreide, J.A. Perforated peptic ulcer. Lancet 2015, 386, 1288–1298. [Google Scholar] [CrossRef] [PubMed]
- Yang, R.Q.; Mao, H.; Huang, L.Y.; Su, P.Z.; Lu, M. Effects of hydrotalcite combined with esomeprazole on gastric ulcer healing quality: A clinical observation study. World J. Gastroenterol. 2017, 23, 1268–1277. [Google Scholar] [CrossRef]
- Lanas, A. We Are Using Too Many PPIs, and We Need to Stop: A European Perspective. Am. J. Gastroenterol. 2016, 111, 1085–1086. [Google Scholar] [CrossRef] [PubMed]
- Juillerat, P.; Schneeweiss, S.; Cook, E.F.; Ananthakrishnan, A.N.; Mogun, H.; Korzenik, J.R. Drugs that inhibit gastric acid secretion may alter the course of inflammatory bowel disease. Aliment. Pharmacol. Ther. 2012, 36, 239–247. [Google Scholar] [CrossRef]
- Shah, R.; Richardson, P.; Yu, H.; Kramer, J.; Hou, J.K. Gastric Acid Suppression Is Associated with an Increased Risk of Adverse Outcomes in Inflammatory Bowel Disease. Digestion 2017, 95, 188–193. [Google Scholar] [CrossRef] [PubMed]
- Kuna, L.; Jakab, J.; Smolic, R.; Raguz-Lucic, N.; Vcev, A.; Smolic, M. Peptic Ulcer Disease: A Brief Review of Conventional Therapy and Herbal Treatment Options. J. Clin. Med. 2019, 8, 179. [Google Scholar] [CrossRef] [PubMed]
- Chinese Pharmacopoeia Commission. Pharmacopoeia of the People’s Republic of China, Part I; China Medical Science and Technology Press: Beijing, China, 2020; p. 63. [Google Scholar]
- Huang, Z.; Wei, C.; Yang, K.; Yu, Z.; Wang, Z.; Hu, H. Aucklandiae Radix and Vladimiriae Radix: A systematic review in ethnopharmacology, phytochemistry and pharmacology. J. Ethnopharmacol. 2021, 280, 114372. [Google Scholar] [CrossRef]
- Zheng, J.; Shang, M.; Wang, J.; Dai, G.; Song, J.; Duan, B. Research progress on chemical constituents, pharmacological effects and clinical applications of Aucklandiae Radix and prediction analysis on Q-Marker. Chin. Tradit. Herb. Drugs 2022, 53, 4198–4213. [Google Scholar]
- Tang, F.; Liu, M.; Ao, H. Comparative study on chemical composition and antibacterial activity of essential oil from Aucklandiae radix and Vladimiriae radix. Chin. Arch. Tradit. Chin. Med. 2020, 38, 165–168. [Google Scholar] [CrossRef]
- Park, E.J.; Park, S.W.; Kim, H.J.; Kwak, J.H.; Lee, D.U.; Chang, K.C. Dehydrocostuslactone inhibits LPS-induced inflammation by p38MAPK-dependent induction of hemeoxygenase-1 in vitro and improves survival of mice in CLP-induced sepsis in vivo. Int. Immunopharmacol. 2014, 22, 332–340. [Google Scholar] [CrossRef] [PubMed]
- Hasson, S.S.; Al-Shubi, A.S.H.; Al-Busaidi, J.Z.; Al-Balushi, M.S.; Hakkim, F.L.; Rashan, L.; Aleemallah, G.M.; Al-Jabri, A.A. Potential of Aucklandia Lappa Decne Ethanolic Extract to Trigger Apoptosis of Human T47D and Hela Cells. Asian Pac. J. Cancer Prev. 2018, 19, 1917–1925. [Google Scholar] [CrossRef] [PubMed]
- Yang, X.; Zhang, X.; Yang, S.P.; Le, T.; Chen, B. Evaluation of Aucklandia lappa Decne extracts as antiulcer activity in animals. Pak. J. Pharm. Sci. 2016, 29, 1695–1701. [Google Scholar]
- Xu, Y.; Guo, P.; Wang, Y.; Xia, T.; Shen, Y.; Zhang, Q.; Huang, J.; Chen, H.; Lei, N.; Xie, Y. Effect and mechanism of ethanol extracts of muxiang (Radix Aucklandiae) on gastric ulcers in rats. J. Tradit. Chin. Med. 2020, 40, 59–66. [Google Scholar]
- Wu, Z.; Li, W.; Liu, G.; Tang, Y. Network-Based Methods for Prediction of Drug-Target Interactions. Front. Pharmacol. 2018, 9, 1134. [Google Scholar] [CrossRef]
- Zhou, P.; Zhou, R.; Min, Y.; An, L.P.; Wang, F.; Du, Q.Y. Network Pharmacology and Molecular Docking Analysis on Pharmacological Mechanisms of Astragalus membranaceus in the Treatment of Gastric Ulcer. Evid. Based Complement. Altern. Med. 2022, 2022, 9007396. [Google Scholar] [CrossRef]
- Lin, Y.; Shen, C.; Wang, F.; Fang, Z.; Shen, G. Network Pharmacology and Molecular Docking Study on the Potential Mechanism of Yi-Qi-Huo-Xue-Tong-Luo Formula in Treating Diabetic Peripheral Neuropathy. J. Diabetes Res. 2021, 2021, 9941791. [Google Scholar] [CrossRef]
- Ru, J.; Li, P.; Wang, J.; Zhou, W.; Li, B.; Huang, C.; Li, P.; Guo, Z.; Tao, W.; Yang, Y.; et al. TCMSP: A database of systems pharmacology for drug discovery from herbal medicines. J. Cheminformatics 2014, 6, 13. [Google Scholar] [CrossRef]
- Liu, Z.; Guo, F.; Wang, Y.; Li, C.; Zhang, X.; Li, H.; Diao, L.; Gu, J.; Wang, W.; Li, D.; et al. BATMAN-TCM: A Bioinformatics Analysis Tool for Molecular Mechanism of Traditional Chinese Medicine. Sci. Rep. 2016, 6, 21146. [Google Scholar] [CrossRef]
- Gfeller, D.; Grosdidier, A.; Wirth, M.; Daina, A.; Michielin, O.; Zoete, V. SwissTargetPrediction: A web server for target prediction of bioactive small molecules. Nucleic Acids Res. 2014, 42, W32–W38. [Google Scholar] [CrossRef] [PubMed]
- Rebhan, M.; Chalifa-Caspi, V.; Prilusky, J.; Lancet, D. GeneCards: Integrating information about genes, proteins and diseases. Trend Genet. 1997, 13, 163. [Google Scholar] [CrossRef] [PubMed]
- Amberger, J.S.; Bocchini, C.A.; Schiettecatte, F.; Scott, A.F.; Hamosh, A. OMIM.org: Online Mendelian Inheritance in Man (OMIM®), an online catalog of human genes and genetic disorders. Nucleic Acids Res. 2015, 43, D789–D798. [Google Scholar] [CrossRef] [PubMed]
- Gong, L.; Owen, R.P.; Gor, W.; Altman, R.B.; Klein, T.E. PharmGKB: An integrated resource of pharmacogenomic data and knowledge. Curr. Protoc. Bioinform. 2008, 23, 14–17. [Google Scholar] [CrossRef] [PubMed]
- Chen, X.; Ji, Z.L.; Chen, Y.Z. TTD: Therapeutic Target Database. Nucleic Acids Res. 2002, 30, 412–415. [Google Scholar] [CrossRef]
- Wishart, D.S.; Feunang, Y.D.; Guo, A.C.; Lo, E.J.; Marcu, A.; Grant, J.R.; Sajed, T.; Johnson, D.; Li, C.; Sayeeda, Z.; et al. DrugBank 5.0: A major update to the DrugBank database for 2018. Nucleic Acids Res. 2018, 46, D1074–D1082. [Google Scholar] [CrossRef]
- Shannon, P.; Markiel, A.; Ozier, O.; Baliga, N.S.; Wang, J.T.; Ramage, D.; Amin, N.; Schwikowski, B.; Ideker, T. Cytoscape: A software environment for integrated models of biomolecular interaction networks. Genome Res. 2003, 13, 2498–2504. [Google Scholar] [CrossRef]
- Szklarczyk, D.; Gable, A.L.; Lyon, D.; Junge, A.; Wyder, S.; Huerta-Cepas, J.; Simonovic, M.; Doncheva, N.T.; Morris, J.H.; Bork, P.; et al. STRING v11: Protein-protein association networks with increased coverage, supporting functional discovery in genome-wide experimental datasets. Nucleic Acids Res. 2019, 47, D607–D613. [Google Scholar] [CrossRef]
- Zhou, Y.; Zhou, B.; Pache, L.; Chang, M.; Khodabakhshi, A.H.; Tanaseichuk, O.; Benner, C.; Chanda, S.K. Metascape provides a biologist-oriented resource for the analysis of systems-level datasets. Nat. Commun. 2019, 10, 1523. [Google Scholar] [CrossRef]
- Burley, S.K.; Bhikadiya, C.; Bi, C.; Bittrich, S.; Chen, L.; Crichlow, G.V.; Christie, C.H.; Dalenberg, K.; Di Costanzo, L.; Duarte, J.M.; et al. RCSB Protein Data Bank: Powerful new tools for exploring 3D structures of biological macromolecules for basic and applied research and education in fundamental biology, biomedicine, biotechnology, bioengineering and energy sciences. Nucleic Acids Res. 2021, 49, D437–D451. [Google Scholar] [CrossRef]
- Morris, G.M.; Huey, R.; Lindstrom, W.; Sanner, M.F.; Belew, R.K.; Goodsell, D.S.; Olson, A.J. AutoDock4 and AutoDockTools4: Automated docking with selective receptor flexibility. J. Comput. Chem. 2009, 30, 2785–2791. [Google Scholar] [CrossRef] [PubMed]
- Zhang, K.W.; Zeng, F.X.; Zhu, R.X.; Zheng, Z.H. Exploration about the Clinical Application and Dosage of Radix Aucklandiae. Jilin J. Chin. Med. 2019, 39, 301–304. [Google Scholar] [CrossRef]
- Kuna, L.; Zjalic, M.; Kizivat, T.; Roguljic, H.; Nincevic, V.; Kolaric, T.O.; Wu, C.H.; Vcev, A.; Smolic, M.; Smolic, R. Pretreatment of Garlic Oil Extracts Hampers Epithelial Damage in Cell Culture Model of Peptic Ulcer Disease. Medicina 2022, 58, 91. [Google Scholar] [CrossRef] [PubMed]
- El-Ashmawy, N.E.; Khedr, E.G.; El-Bahrawy, H.A.; Selim, H.M. Gastroprotective effect of garlic in indomethacin induced gastric ulcer in rats. Nutrition 2016, 32, 849–854. [Google Scholar] [CrossRef] [PubMed]
- Tovey, F.I.; Bardhan, K.D.; Hobsley, M. Dietary phosphilipids and sterols protective against peptic ulceration. Phytother. Res. 2013, 27, 1265–1269. [Google Scholar] [CrossRef]
- Zhao, H.; Zhang, X.; Wang, M.; Lin, Y.; Zhou, S. Stigmasterol Simultaneously Induces Apoptosis and Protective Autophagy by Inhibiting Akt/mTOR Pathway in Gastric Cancer Cells. Front. Oncol. 2021, 11, 629008. [Google Scholar] [CrossRef]
- Onwuchekwa, C.; Oluwole, F.S. Anti-Gastric Ulcer Effect of Betulinic Acid in Male Albino Rats. Niger. J. Physiol. Sci. 2015, 30, 33–37. [Google Scholar]
- Zheng, H.; Chen, Y.; Zhang, J.; Wang, L.; Jin, Z.; Huang, H.; Man, S.; Gao, W. Evaluation of protective effects of costunolide and dehydrocostuslactone on ethanol-induced gastric ulcer in mice based on multi-pathway regulation. Chem. Biol. Interact. 2016, 250, 68–77. [Google Scholar] [CrossRef]
- Nardone, G.; Compare, D. The human gastric microbiota: Is it time to rethink the pathogenesis of stomach diseases? United Eur. Gastroenterol. J. 2015, 3, 255–260. [Google Scholar] [CrossRef]
- Xiaomin, Z.; Songze, D.; Ruobing, H. The Related Study on the Pathogenesis of Gastrointestinal Diseases in Gastrointestinal Flora and the Risk of Gastric Ulcer Carcinogenesis. J. Biomater. Tissue Eng. 2021, 11, 1418–1428. [Google Scholar]
- Lee, H.K.; Song, H.E.; Lee, H.B.; Kim, C.S.; Koketsu, M.; Ngan, L.T.; Ahn, Y.J. Growth inhibitory, bactericidal, and morphostructural effects of dehydrocostus lactone from Magnolia sieboldii Leaves on antibiotic-susceptible and -resistant strains of Helicobacter pylori. PLoS ONE 2014, 9, e95530. [Google Scholar] [CrossRef] [PubMed]
- Shao, X.; Lu, Y.; Pan, Z.; Yu, X.; Su, B.; Feng, Y. Experimental study on the effect of effective components of Radix Aucklandiae on Streptococcus mutans in vitro. Strait J. Prev. Med. 2018, 24, 73–75. [Google Scholar]
- Ding, K.; Tan, Y.Y.; Ding, Y.; Fang, Y.; Yang, X.; Fang, J.; Xu, D.C.; Zhang, H.; Lu, W.; Li, M.; et al. β-Sitosterol improves experimental colitis in mice with a target against pathogenic bacteria. J. Cell. Biochem. 2019, 120, 5687–5694. [Google Scholar] [CrossRef] [PubMed]
- Wu, Y.X.; Jiang, F.J.; Liu, G.; Wang, Y.Y.; Gao, Z.Q.; Jin, S.H.; Nie, Y.J.; Chen, D.; Chen, J.L.; Pang, Q.F. Dehydrocostus lactone attenuates methicillin-resistant staphylococcus aureus-induced inflammation and acute lung injury via modulating macrophage polarization. Int. J. Mol. Sci. 2021, 22, 9754. [Google Scholar] [CrossRef] [PubMed]
- Beany, A.; Rainis, T. CMV-Related Gastric Ulcer and Gastroduodenitis in an Immunocompetent Patient: A Case Report and Literature Review. Case Rep. Gastrointest. Med. 2021, 2021, 3513223. [Google Scholar] [CrossRef] [PubMed]
- Sugimoto, M.; Yamaoka, Y.; Furuta, T. Influence of interleukin polymorphisms on development of gastric cancer and peptic ulcer. World J. Gastroenterol. 2010, 16, 1188–1200. [Google Scholar] [CrossRef]
- Yazdi, A.S.; Ghoreschi, K. The Interleukin-1 Family. Adv. Exp. Med. Biol. 2016, 941, 21–29. [Google Scholar] [CrossRef]
- Cai, D.; Duan, H.; Fu, Y.; Cheng, Z. Renal Tissue Damage Induced by Acute Kidney Injury in Sepsis Rat Model Is Inhibited by Cynaropicrin via IL-1β and TNF-α Down-Regulation. Dokl. Biochem. Biophys. 2021, 497, 151–157. [Google Scholar] [CrossRef]
- Chen, Y.; Miao, Z.; Sheng, X.; Li, X.; Ma, J.; Xu, X.; Li, H.; Kang, A. Sesquiterpene lactones-rich fraction from Aucklandia lappa Decne. alleviates dextran sulfate sodium induced ulcerative colitis through co-regulating MAPK and Nrf2/Hmox-1 signaling pathway. J. Ethnopharmacol. 2022, 295, 115401. [Google Scholar] [CrossRef]
- Yi, L.; Lu, Y.; Yu, S.; Cheng, Q.; Yi, L. Formononetin inhibits inflammation and promotes gastric mucosal angiogenesis in gastric ulcer rats through regulating NF-κB signaling pathway. J. Recept. Signal Transduct. Res. 2022, 42, 16–22. [Google Scholar] [CrossRef]
- Fan, M.J.; Duan, Y.Q.; Li, N.L.; Yang, X.Y.; Ma, J.; Gong, Z.H.; Wang, D.K. Effect and mechanism of Jingqi Yukui Capsules on gastric ulcer mucosa healing quality: Based on network pharmacology and animal experiment. Zhongguo Zhong Yao Za Zhi 2022, 47, 1350–1358. (In Chinese) [Google Scholar] [CrossRef]
- Takeuchi, K.; Amagase, K. Roles of Cyclooxygenase, Prostaglandin E2 and EP Receptors in Mucosal Protection and Ulcer Healing in the Gastrointestinal Tract. Curr. Pharm. Des. 2018, 24, 2002–2011. [Google Scholar] [CrossRef] [PubMed]
- Feng, L.; Sun, W.; Xia, Y.; Tang, W.W.; Chanmugam, P.; Soyoola, E.; Wilson, C.B.; Hwang, D. Cloning two isoforms of rat cyclooxygenase: Differential regulation of their expression. Arch. Biochem. Biophys. 1993, 307, 361–368. [Google Scholar] [CrossRef] [PubMed]
- Bi, Y.; Liang, H.; Han, X.; Li, K.; Zhang, W.; Lai, Y.; Wang, Q.; Jiang, X.; Zhao, X.; Fan, H. β-Sitosterol Suppresses LPS-Induced Cytokine Production in Human Umbilical Vein Endothelial Cells via MAPKs and NF-κB Signaling Pathway. Evid. Based Complement. Altern. Med. 2023, 2023, 9241090. [Google Scholar] [CrossRef] [PubMed]
- Liang, Q.; Yang, J.; He, J.; Chen, X.; Zhang, H.; Jia, M.; Liu, K.; Jia, C.; Pan, Y.; Wei, J. Stigmasterol alleviates cerebral ischemia/reperfusion injury by attenuating inflammation and improving antioxidant defenses in rats. Biosci. Rep. 2020, 40, BSR20192133. [Google Scholar] [CrossRef]
- Kim, H.J.; Kang, T.W.; Haam, K.; Kim, M.; Kim, S.K.; Kim, S.Y.; Lee, S.I.; Song, K.S.; Jeong, H.Y.; Kim, Y.S. Whole genome MBD-seq and RRBS analyses reveal that hypermethylation of gastrointestinal hormone receptors is associated with gastric carcinogenesis. Exp. Mol. Med. 2018, 50, 1–14. [Google Scholar] [CrossRef]
- Heinrichs, S.K.M.; Hess, T.; Becker, J.; Hamann, L.; Vashist, Y.K.; Butterbach, K.; Schmidt, T.; Alakus, H.; Krasniuk, I.; Höblinger, A.; et al. Evidence for PTGER4, PSCA, and MBOAT7 as risk genes for gastric cancer on the genome and transcriptome level. Cancer Med. 2018, 7, 5057–5065. [Google Scholar] [CrossRef]
- Szabó, I.; Tarnawski, A.S. Apoptosis in the gastric mucosa: Molecular mechanisms, basic and clinical implications. J. Physiol. Pharmacol. 2000, 51, 3–15. [Google Scholar]
- Cheng, B.; Chu, X.; Liu, R.; Ma, X.; Wang, M.; Zhang, J.; Jiao, P.; Gao, Q.; Ma, W.; Zhang, Y.; et al. Synthesis of Novel Pentacyclic Triterpenoid Derivatives that Induce Apoptosis in Cancer Cells through a ROS-dependent, Mitochondrial-Mediated Pathway. Mol. Pharm. 2023, 20, 701–710. [Google Scholar] [CrossRef]
- Oh, G.S.; Pae, H.O.; Chung, H.T.; Kwon, J.W.; Lee, J.H.; Kwon, T.O.; Kwon, S.Y.; Chon, B.H.; Yun, Y.G. Dehydrocostus lactone enhances tumor necrosis factor-alpha-induced apoptosis of human leukemia HL-60 cells. Immunopharmacol. Immunotoxicol. 2004, 26, 163–175. [Google Scholar] [CrossRef]
- Kang, K.; Lee, H.J.; Kim, C.Y.; Lee, S.B.; Tunsag, J.; Batsuren, D.; Nho, C.W. The chemopreventive effects of Saussurea salicifolia through induction of apoptosis and phase II detoxification enzyme. Biol. Pharm. Bull. 2007, 30, 2352–2359. [Google Scholar] [CrossRef] [PubMed]










| Target | center_x | center_y | center_z |
|---|---|---|---|
| AKT1 | 26.172 | −14.865 | −7.993 |
| PTGS2 | 22.594 | 40.999 | 39.56 |
| IL1B | 38.283 | 13.249 | 68.618 |
| CASP3 | 26.814 | 22.732 | 38.207 |
| CASP8 | 55.527 | 72.326 | 135.502 |
| Mol ID | Molecule Name | OB (%) | DL | PubChem ID | 2D Structure |
|---|---|---|---|---|---|
| MOL010813 | Benzo[a]carbazole | 35.22 | 0.22 | 9196 | ![]() |
| MOL010828 | cynaropicrin | 67.5 | 0.38 | 119093 | ![]() |
| MOL010839 | lappadilactone | 38.56 | 0.73 | 103581781 | ![]() |
| MOL000211 | Mairin | 55.38 | 0.78 | 64971 | ![]() |
| MOL000359 | sitosterol | 36.91 | 0.75 | 222284 | ![]() |
| MOL000449 | Stigmasterol | 43.83 | 0.76 | 5280794 | ![]() |
| MOL001298 | dehydrocostus lactone | 58.57 | 0.14 | 73174 | ![]() |
| MOL010826 | costuslactone | 60.48 | 0.11 | 162416062 | ![]() |
| No. | Uniprot ID | Gene Name | Protein Name | Degree |
|---|---|---|---|---|
| 1 | P31749 | AKT1 | RAC-alpha serine/threonine-protein kinase | 14 |
| 2 | P35354 | PTGS2 | Prostaglandin G/H synthase 2 | 10 |
| 3 | P01584 | IL1B | Interleukin-1 beta | 9 |
| 4 | P42574 | CASP3 | Caspase-3 | 7 |
| 5 | Q14790 | CASP8 | Caspase-8 | 7 |
| 6 | P33261 | CYP2C19 | Cytochrome P450 2C19 | 6 |
| 7 | P19838 | NFKB1 | Nuclear factor NF-kappa-B p105 subunit | 6 |
| 8 | Q00987 | MDM2 | E3 ubiquitin-protein ligase Mdm2 | 6 |
| 9 | Q07817 | BCL2L1 | Bcl-2-like protein 1 | 6 |
| 10 | P03372 | ESR1 | Estrogen receptor | 6 |
| Key Targets (PDB ID) | Stigmasterol | Mairin | Sitosterol | Dehydrocostus Lactone |
|---|---|---|---|---|
| AKT1 (7NH5) | −10.4 | - | −9.9 | - |
| PTGS2 (5F19) | −9.3 | −9.4 | - | - |
| IL1B (5R8Q) | - | - | - | −6.9 |
| CASP3 (2DKO) | - | - | - | −6.4 |
| CASP8 (4JJ7) | - | - | - | −7.7 |
| Group | Ulcer Area (mm2) | Inhibition Rate (%) |
|---|---|---|
| Control | 0 | - |
| Model | 45.0 ± 17.6 ## | - |
| Ranitidine 40 mg/kg | 17.5 ± 4.8 * | 61.11 |
| ARE 0.15 g/kg | 36.6 ± 3.8 | 18.61 |
| ARE 0.3 g/kg | 30.8 ± 6.2 | 31.62 |
| ARE 0.6 g/kg | 22.4 ± 4.3 * | 50.26 |
Disclaimer/Publisher’s Note: The statements, opinions and data contained in all publications are solely those of the individual author(s) and contributor(s) and not of MDPI and/or the editor(s). MDPI and/or the editor(s) disclaim responsibility for any injury to people or property resulting from any ideas, methods, instructions or products referred to in the content. |
© 2023 by the authors. Licensee MDPI, Basel, Switzerland. This article is an open access article distributed under the terms and conditions of the Creative Commons Attribution (CC BY) license (https://creativecommons.org/licenses/by/4.0/).
Share and Cite
Feng, L.; A, L.; Li, H.; Mu, X.; Ta, N.; Bai, L.; Fu, M.; Chen, Y. Pharmacological Mechanism of Aucklandiae Radix against Gastric Ulcer Based on Network Pharmacology and In Vivo Experiment. Medicina 2023, 59, 666. https://doi.org/10.3390/medicina59040666
Feng L, A L, Li H, Mu X, Ta N, Bai L, Fu M, Chen Y. Pharmacological Mechanism of Aucklandiae Radix against Gastric Ulcer Based on Network Pharmacology and In Vivo Experiment. Medicina. 2023; 59(4):666. https://doi.org/10.3390/medicina59040666
Chicago/Turabian StyleFeng, Lan, Lisha A, Huifang Li, Xiyele Mu, Na Ta, Laxinamujila Bai, Minghai Fu, and Yongsheng Chen. 2023. "Pharmacological Mechanism of Aucklandiae Radix against Gastric Ulcer Based on Network Pharmacology and In Vivo Experiment" Medicina 59, no. 4: 666. https://doi.org/10.3390/medicina59040666
APA StyleFeng, L., A, L., Li, H., Mu, X., Ta, N., Bai, L., Fu, M., & Chen, Y. (2023). Pharmacological Mechanism of Aucklandiae Radix against Gastric Ulcer Based on Network Pharmacology and In Vivo Experiment. Medicina, 59(4), 666. https://doi.org/10.3390/medicina59040666









