Optical Coherence Tomography Biomarkers in Predicting Treatment Outcomes of Diabetic Macular Edema after Ranibizumab Injections
Abstract
1. Introduction
2. Materials and Methods
2.1. Inclusion and Exclusion Criteria
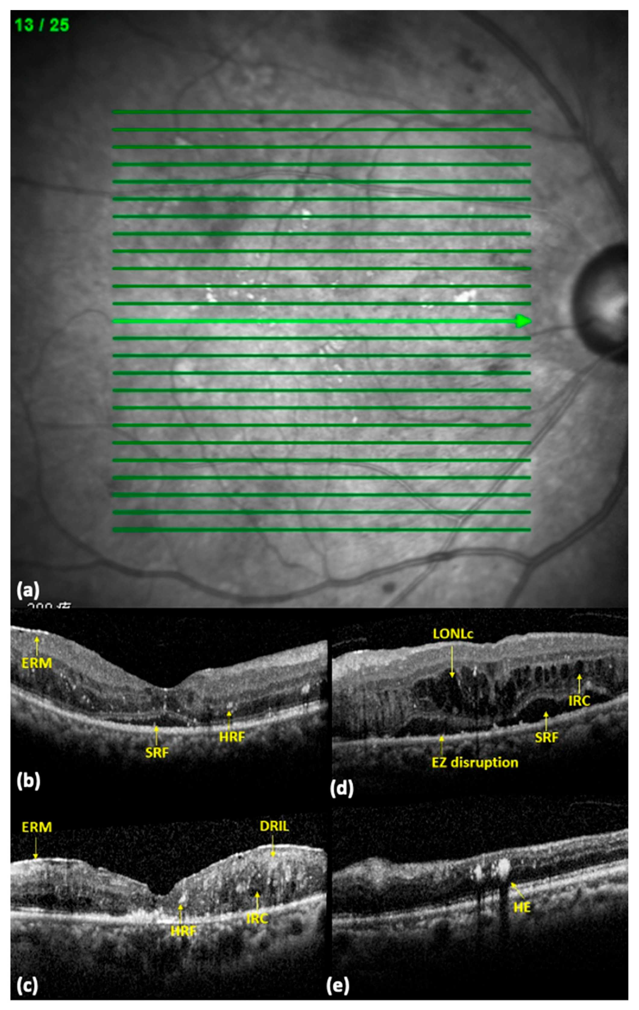
2.2. Imaging and Data Acquisition
2.3. Statistical Analysis
3. Results
3.1. Study Population
3.2. Anatomical and Functional Outcome
3.3. Optical Coherence Tomography Biomarker Analysis
4. Discussion
4.1. Specific Findings
4.2. Clinical Implications
4.3. Comparisons to Other Studies
4.4. Strengths and Limitations
4.5. Conclusions
Author Contributions
Funding
Institutional Review Board Statement
Informed Consent Statement
Data Availability Statement
Conflicts of Interest
References
- Yau, J.W.; Rogers, S.L.; Kawasaki, R.; Lamoureux, E.L.; Kowalski, J.W.; Bek, T.; Chen, S.-J.; Dekker, J.M.; Fletcher, A.; Grauslund, J.; et al. Global prevalence and major risk factors of diabetic retinopathy. Diabetes Care 2012, 35, 556–564. [Google Scholar] [CrossRef]
- Massin, P.; Bandello, F.; Garweg, J.G.; Hansen, L.L.; Harding, S.P.; Larsen, M.; Mitchell, P.; Sharp, D.; Wolf-Schnurrbusch, U.E.K.; Gekkieva, M.; et al. Safety and efficacy of ranibizumab in diabetic macular edema (RESOLVE Study): A 12-month, randomized, controlled, double-masked, multicenter phase II study. Diabetes Care 2010, 33, 2399–2405. [Google Scholar] [CrossRef] [PubMed]
- Korobelnik, J.F.; Do, D.V.; Schmidt-Erfurth, U.; Boyer, D.S.; Holz, F.G.; Heier, J.S.; Midena, E.; Kaiser, P.K.; Terasaki, H.; Marcus, D.M.; et al. Intravitreal aflibercept for diabetic macular edema. Ophthalmology 2014, 121, 2247–2254. [Google Scholar] [CrossRef] [PubMed]
- Nguyen, Q.D.; Brown, D.M.; Marcus, D.M.; Boyer, D.S.; Patel, S.; Feiner, L.; Gibson, A.; Sy, J.; Rundle, A.C.; Hopkins, J.J.; et al. Ranibizumab for diabetic macular edema: Results from 2 phase III randomized trials: RISE and RIDE. Ophthalmology 2012, 119, 789–801. [Google Scholar] [CrossRef]
- Mitchell, P.; Wong, T.Y. Management paradigms for diabetic macular edema. Am. J. Ophthalmol. 2014, 157, 505–513.e8. [Google Scholar] [CrossRef]
- Fujimoto, J.G.; Pitris, C.; Boppart, S.A.; Brezinski, M.E. Optical coherence tomography: An emerging technology for biomedical imaging and optical biopsy. Neoplasia 2000, 2, 9–25. [Google Scholar] [CrossRef] [PubMed]
- Vujosevic, S.; Berton, M.; Bini, S.; Casciano, M.; Cavarzeran, F.; Midena, E. Hyperreflective retinal spots and visual function after anti-vascular endothelial growth factor treatment in center-involving diabetic macular edema. Retina 2016, 36, 1298–1308. [Google Scholar] [CrossRef]
- Sophie, R.; Lu, N.; Campochiaro, P.A. Predictors of Functional and Anatomic Outcomes in Patients with Diabetic Macular Edema Treated with Ranibizumab. Ophthalmology 2015, 122, 1395–1401. [Google Scholar] [CrossRef]
- Nagai, N.; Suzuki, M.; Uchida, A.; Kurihara, T.; Ban, N.; Minami, S.; Shinoda, H.; Tsubota, K.; Ozawa, Y. The Area and Number of Intraretinal Cystoid Spaces Predict the Visual Outcome after Ranibizumab Monotherapy in Diabetic Macular Edema. J. Clin. Med. 2020, 9, 1391. [Google Scholar] [CrossRef]
- Vujosevic, S.; Torresin, T.; Bini, S.; Convento, E.; Pilotto, E.; Parrozzani, R.; Midena, E. Imaging retinal inflammatory biomarkers after intravitreal steroid and anti-VEGF treatment in diabetic macular oedema. Acta Ophthalmol. 2017, 95, 464–471. [Google Scholar] [CrossRef]
- Vujosevic, S.; Toma, C.; Villani, E.; Muraca, A.; Torti, E.; Florimbi, G.; Leporati, F.; Brambilla, M.; Nucci, P.; De Cilla’, S. Diabetic macular edema with neuroretinal detachment: OCT and OCT-angiography biomarkers of treatment response to anti-VEGF and steroids. Acta Diabetol. 2020, 57, 287–296. [Google Scholar] [CrossRef] [PubMed]
- Bonfiglio, V.; Reibaldi, M.; Pizzo, A.; Russo, A.; Macchi, I.; Faro, G.; Avitabile, T.; Longo, A. Dexamethasone for unresponsive diabetic macular oedema: Optical coherence tomography biomarkers. Acta Ophthalmol. 2019, 97, e540–e544. [Google Scholar] [CrossRef]
- Ceravolo, I.; Oliverio, G.W.; Alibrandi, A.; Bhatti, A.; Trombetta, L.; Rejdak, R.; Toro, M.D.; Trombetta, C.J. The Application of Structural Retinal Biomarkers to Evaluate the Effect of Intravitreal Ranibizumab and Dexamethasone Intravitreal Implant on Treatment of Diabetic Macular Edema. Diagnostics 2020, 10, 413. [Google Scholar] [CrossRef]
- Santos, A.R.; Gomes, S.C.; Figueira, J.; Nunes, S.; Lobo, C.L.; Cunha-Vaz, J.G. Degree of decrease in central retinal thickness predicts visual acuity response to intravitreal ranibizumab in diabetic macular edema. Ophthalmologica 2014, 231, 16–22. [Google Scholar] [CrossRef]
- Sun, J.K.; Lin, M.M.; Lammer, J.; Prager, S.; Sarangi, R.; Silva, P.S.; Aiello, L.P. Disorganization of the retinal inner layers as a predictor of visual acuity in eyes with center-involved diabetic macular edema. JAMA Ophthalmol. 2014, 132, 1309–1316. [Google Scholar] [CrossRef] [PubMed]
- Castro-Navarro, V.; Monferrer-Adsuara, C.; Navarro-Palop, C.; Montero-Hernández, J.; Cervera-Taulet, E. Effect of Dexamethasone Intravitreal Implant on Visual Acuity and Foveal Photoreceptor Integrity in Macular Edema Secondary to Retinal Vascular Disease. Ophthalmologica 2021, 244, 83–92. [Google Scholar] [CrossRef] [PubMed]
- Munk, M.R.; Sacu, S.; Huf, W.; Sulzbacher, F.; Mittermüller, T.J.; Eibenberger, K.; Rezar, S.; Bolz, M.; Kiss, C.G.; Simader, C.; et al. Differential diagnosis of macular edema of different pathophysiologic origins by spectral domain optical coherence tomography. Retina 2014, 34, 2218–2232. [Google Scholar] [CrossRef]
- Jonas, J.B.; Martus, P.; Degenring, R.F.; Kreissig, I.; Akkoyun, I. Predictive factors for visual acuity after intravitreal triamcinolone treatment for diabetic macular edema. Arch Ophthalmol. 2005, 123, 1338–1343. [Google Scholar] [CrossRef]
- Hwang, H.S.; Chae, J.B.; Kim, J.Y.; Kim, D.Y. Association between Hyperreflective Dots on Spectral-Domain Optical Coherence Tomography in Macular Edema and Response to Treatment. Investig. Ophthalmol. Vis. Sci. 2017, 58, 5958–5967. [Google Scholar] [CrossRef]
- Gaucher, D.; Sebah, C.; Erginay, A.; Haouchine, B.; Tadayoni, R.; Gaudric, A.; Massin, P. Optical coherence tomography features during the evolution of serous retinal detachment in patients with diabetic macular edema. Am. J. Ophthalmol. 2008, 145, 289–296. [Google Scholar] [CrossRef]
- Schreur, V.; Altay, L.; van Asten, F.; Groenewoud, J.M.M.; Fauser, S.; Klevering, B.J.; Hoyng, C.B.; De Jong, E.K. Hyperreflective foci on optical coherence tomography associate with treatment outcome for anti-VEGF in patients with diabetic macular edema. PLoS ONE 2018, 13, e0206482. [Google Scholar] [CrossRef] [PubMed]
- Bolz, M.; Schmidt-Erfurth, U.; Deak, G.; Mylonas, G.; Kriechbaum, K.; Scholda, C. Optical coherence tomographic hyperreflective foci: A morphologic sign of lipid extravasation in diabetic macular edema. Ophthalmology 2009, 116, 914–920. [Google Scholar] [CrossRef] [PubMed]
- Dugel, P.U.; Layton, A.; Varma, R.B. Diabetic Macular Edema Diagnosis and Treatment in the Real World: An Analysis of Medicare Claims Data (2008 to 2010). Ophthalmic Surg Lasers Imaging Retin. 2016, 47, 258–267. [Google Scholar] [CrossRef] [PubMed]
- Szeto, S.K.; Hui, V.W.K.; Tang, F.Y.; Yang, D.; Sun, Z.H.; Mohamed, S.; Chan, C.K.M.; Lai, T.Y.Y.; Cheung, C. OCT-based biomarkers for predicting treatment response in eyes with centre-involved diabetic macular oedema treated with anti-VEGF injections: A real-life retina clinic-based study. Br. J. Ophthalmol. 2021. [Google Scholar] [CrossRef]
- Grunwald, J.E.; Daniel, E.; Huang, J.; Ying, G.S.; Maguire, M.G.; Toth, C.A.; Jaffe, G.J.; Fine, S.L.; Blodi, B.; Klein, M.L.; et al. Risk of geographic atrophy in the comparison of age-related macular degeneration treatments trials. Ophthalmology 2014, 121, 150–161. [Google Scholar] [CrossRef]
- Lazzara, F.; Fidilio, A.; Platania, C.B.M.; Giurdanella, G.; Salomone, S.; Leggio, G.M.; Tarallo, V.; Cicatiello, V.; De Falco, S.; Eandi, C.M.; et al. Aflibercept regulates retinal inflammation elicited by high glucose via the PlGF/ERK pathway. Biochem. Pharmacol. 2019, 168, 341–351. [Google Scholar] [CrossRef]
- Gao, M.; Liu, L.; Liang, X.; Yu, Y.; Liu, X.; Liu, W. Influence of vitreomacular interface on anti-vascular endothelial growth factor treatment outcomes in neovascular age-related macular degeneration: A MOOSE-compliant meta-analysis. Medicine 2017, 96, e9345. [Google Scholar] [CrossRef]
- Ehlers, J.P.; Uchida, A.; Hu, M.; Figueiredo, N.; Kaiser, P.K.; Heier, J.S.; Brown, D.M.; Boyer, D.S.; Do, D.V.; Gibson, A.; et al. Higher-Order Assessment of OCT in Diabetic Macular Edema from the VISTA Study: Ellipsoid Zone Dynamics and the Retinal Fluid Index. Ophthalmol. Retin. 2019, 3, 1056–1066. [Google Scholar] [CrossRef]
- Framme, C.; Schweizer, P.; Imesch, M.; Wolf, S.; Wolf-Schnurrbusch, U. Behavior of SD-OCT–Detected Hyperreflective Foci in the Retina of Anti-VEGF–Treated Patients with Diabetic Macular Edema. Investig. Ophthalmol. Vis. Sci. 2012, 53, 5814–5818. [Google Scholar] [CrossRef]
- Wu, J.; Zhang, C.; Yang, Q.; Xie, H.; Zhang, J.; Qiu, Q.; Liu, K.; Luo, D.; Liu, F.; Zhang, J. Imaging Hyperreflective Foci as an Inflammatory Biomarker after Anti-VEGF Treatment in Neovascular Age-Related Macular Degeneration Patients with Optical Coherence Tomography Angiography. Biomed Res. Int. 2021, 2021, 6648191. [Google Scholar] [CrossRef]
- Łądkowska, J.; Gawęcki, M.; Szołkiewicz, M. Efficacy of Anti-Vascular Endothelial Growth Factor Treatment in Neovascular Age-Related Macular Degeneration and Systemic Cardiovascular Risk Factors. J. Clin. Med. 2021, 10, 4595. [Google Scholar] [CrossRef] [PubMed]
- Chung, Y.R.; Park, S.W.; Choi, S.Y.; Kim, S.W.; Moon, K.Y.; Kim, J.H.; Lee, K. Association of statin use and hypertriglyceridemia with diabetic macular edema in patients with type 2 diabetes and diabetic retinopathy. Cardiovasc. Diabetol. 2017, 16, 4. [Google Scholar] [CrossRef] [PubMed]
- Hoguet, A.; Chen, P.P.; Junk, A.K.; Mruthyunjaya, P.; Nouri-Mahdavi, K.; Radhakrishnan, S.; Takusagawa, H.L.; Chen, T.C. The Effect of Anti-Vascular Endothelial Growth Factor Agents on Intraocular Pressure and Glaucoma: A Report by the American Academy of Ophthalmology. Ophthalmology 2019, 126, 611–622. [Google Scholar] [CrossRef] [PubMed]





| Patients (No) | 35 |
| Age, yrs (mean ± sd) | 64.2 ± 10.9 |
| Gender, female/total (%) | 13/35 (37.1%) |
| HbA1c, % (mean ± sd) | 8.9 ± 2.5 |
| Eyes (No) | 65 |
| Sides, OD/total, (%) Numbers of IVR injection (mean ± sd) | 33/65 (50.8%) 7.6 ± 2.4 |
| Lens, pseudophakic/total, (%) | 35/65 (53.9%) |
| Initial CRT | 361.4 ± 99.7 |
| Initial LogMAR | 0.5 ± 0.4 |
| Initial IOP | 16.0 ± 3.5 |
| Diabetic retinopathy | |
| Severe NPDR | 1/65 (1.5%) |
| PDR | 42/65 (64.6%) |
| PDR s/p PRP | 22/65 (33.9%) |
| Biomarkers (No) | Whole | Age | Initial BCVA (LogMAR) | Initial CRT (μm) | ||||||
|---|---|---|---|---|---|---|---|---|---|---|
| ≤65 | >65 | p 2 | ≤0.4 | >0.4 | p | ≤350 | >350 | p | ||
| DRIL (65) | 34 (52.3%) 1 | 18 (54.5%) | 16 (50.0%) | 0.7138 | 12 (33.3%) | 22 (75.8%) | * 0.0006 | 14 (35.8%) | 20 (76.9%) | * 0.0012 |
| ERM (65) | 32 (49.2%) | 17 (51.5%) | 15 (46.8%) | 0.7083 | 16 (44.4%) | 16 (55.1%) | 0.3898 | 15 (38.4%) | 17 (65.3%) | * 0.0334 |
| EZD (65) | 50 (76.9%) | 23 (69.6%) | 27 (84.3%) | 0.1603 | 22 (61.1%) | 28 (96.5%) | * 0.0007 | 26 (66.6%) | 24 (92.3%) | * 0.0162 |
| HE (65) | 29 (44.6%) | 15 (45.4%) | 14 (43.7%) | 0.8901 | 10 (27.7%) | 19 (65.5%) | * 0.0023 | 14 (35.8%) | 15 (57.6%) | 0.0833 |
| HRF (65) | 56 (86.2%) | 32 (96.9%) | 24 (75.0%) | * 0.0104 | 30 (83.3%) | 26 (89.6%) | 0.4632 | 33 (84.6%) | 23 (88.4%) | 0.6601 |
| Number of HRF (56) | 0.2764 | * 0.0143 | 0.2095 | |||||||
| 2–10 | 17 (30.4%) | 8 (25.0%) | 9 (37.5%) | 12 (40.0%) | 5 (19.2%) | 13 (39.3%) | 4 (17.3%) | |||
| 10–20 | 18 (32.1%) | 13 (40.6%) | 5 (20.8%) | 12 (40.0%) | 6 (23.0%) | 9 (27.2%) | 9 (39.1%) | |||
| >20 | 21 (37.5%) | 11 (34.3%) | 10 (41.6%) | 6 (20.0%) | 15 (57.6%) | 11 (33.3%) | 10 (43.4%) | |||
| HRF location (56) | * 0.0071 | * 0.0407 | 0.9981 | |||||||
| All layers | 29 (51.8%) | 21 (65.6%) | 8 (33.3%) | 13 (43.3%) | 16 (61.5%) | 17 (51.5%) | 12 (52.1%) | |||
| OPL-ONL | 22 (39.3%) | 11 (34.3%) | 11 (45.8%) | 16 (53.3%) | 6 (23.0%) | 13 (39.3%) | 9 (39.1%) | |||
| ILM-INL | 5 (8.9%) | 0 (0.0%) | 5 (20.8%) | 1 (3.33%) | 4 (15.3%) | 3 (9.0%) | 2 (8.6%) | |||
| IRC (65) | 42 (64.6%) | 23 (69.6%) | 19 (59.3%) | 0.3843 | 20 (55.5%) | 22 (75.8%) | 0.0888 | 21 (53.8%) | 21 (80.7%) | * 0.0262 |
| LONLC (65) | 27 (41.5%) | 15 (45.4%) | 12 (37.5%) | 0.5153 | 12 (33.3%) | 15 (51.7%) | 0.1347 | 6 (15.3%) | 21 (80.7%) | * <0.0001 |
| SRF (65) | 9 (13.9%) | 4 (12.1%) | 5 (15.6%) | 0.6826 | 1 (2.7%) | 8 (27.5%) | * 0.0040 | 3 (7.6%) | 6 (23.0%) | 0.0785 |
| VMI (65) | 41 (63.1%) | 29 (87.8%) | 12 (37.5%) | * <0.0001 | 24 (66.6%) | 17 (58.6%) | 0.5040 | 23 (58.9%) | 18 (69.2%) | 0.4012 |
| Logistic Regression, Dependent Variable: Final CRT Improved ≥ 50 μm | |||||||
|---|---|---|---|---|---|---|---|
| Parameter | Estimate | Standard Error | Wald Chi-Square | Pr > ChiSq | Odds Ratio | 95% Confidence Limits | |
| Intercept | 0.3352 | 0.6867 | 0.2383 | 0.6254 | |||
| DRIL (+) | 1.0813 | 0.3913 | 7.6356 | 0.0057 | 8.694 | 1.875 | 40.311 |
| LONLC (+) | 1.0705 | 0.3695 | 8.396 | 0.0038 | 8.509 | 1.999 | 36.211 |
| SRF (+) | 1.4335 | 0.6864 | 4.3613 | 0.0368 | 17.586 | 1.193 | 259.272 |
| Elastic Net Selection Summary | ||||||||
|---|---|---|---|---|---|---|---|---|
| Effect | Step | Model R-Square | Adjusted R-Square | Estimate | AIC | BIC | F Value | Pr > F |
| Intercept | 0 | 0 | −10.88288 | 660.9025 | 594.4552 | 0 | 1 | |
| LONLC (+) | 1 | 0.1235 | 0.1096 | −13.1763 | 654.3362 | 587.3349 | 8.87 | 0.0041 |
| SRF (+) | 2 | 0.4322 | 0.4138 | −77.73782 | 628.1173 | 562.5221 | 33.71 | <0.0001 |
| DRIL (+) | 3 | 0.5179 | ** 0.4942 | −81.85528 | ** 619.4722 | ** 554.9817 | 10.85 | 0.0016 |
| Biomarkers (No) | Whole | Final CRT Response | Final BCVA Response | ||||||||||||
|---|---|---|---|---|---|---|---|---|---|---|---|---|---|---|---|
| CRT Improved ≥ 100 μm (ΔCRT ≤ −100 μm) | CRT Improved ≥ 100 μm (ΔCRT ≤ −100 μm) | BCVA Improved (ΔLogMAR ≤ 0) | BCVA not Improved (ΔLogMAR > 0) | ||||||||||||
| Baseline | End | p2 | Baseline | end | p | Baseline | end | p | Baseline | end | p | Baseline | end | p | |
| DRIL (65) | 34 (52.3%) 1 | 28 (43.0%) | 0.1336 | 14 (100.0%) | 9 (64.2%) | * 0.0136 | 20 (39.2%) | 19 (37.2%) | 0.7630 | 23 (46.9%) | 19 (38.7%) | 0.2482 | 10 (71.4%) | 8 (57.1%) | 0.3173 |
| ERM (65) | 32 (49.2%) | 37 (56.9%) | 0.2253 | 8 (57.1%) | 7 (50.0%) | 0.6547 | 24 (47.0%) | 30 (58.8%) | 0.0833 | 21 (42.8%) | 31 (63.2%) | * 0.0039 | 9 (64.2%) | 6 (42.8%) | 0.0833 |
| EZD (65) | 50 (76.9%) | 45 (69.2%) | 0.1655 | 14 (100.0%) | 11 (78.5%) | 0.0668 | 36 (70.5%) | 34 (66.6%) | 0.5271 | 34 (69.3%) | 32 (65.3%) | 0.5271 | 14 (100.0%) | 12 (85.7%) | 0.1422 |
| HE (65) | 29 (44.6%) | 25 (38.4%) | 0.3458 | 8 (57.1%) | 11 (78.5%) | 0.1797 | 21 (41.1%) | 14 (27.4%) | 0.0522 | 22 (44.8%) | 18 (36.7%) | 0.2482 | 6 (42.8%) | 7 (50.0%) | 0.6547 |
| HRF (65) | 56 (86.1%) | 59 (90.7%) | 0.3173 | 13 (92.8%) | 13 (92.8%) | 1.0000 | 43 (84.3%) | 46 (90.1%) | 0.2568 | 43 (87.7%) | 45 (91.8%) | 0.4142 | 11 (78.5%) | 13 (92.8%) | 0.1573 |
| Number of HRF (56) | * 0.0148 | 0.8089 | * 0.0078 | * 0.0107 | 0.7602 | ||||||||||
| 2–10 | 17 (30.3%) | 30 (50.8%) | 1 (7.6%) | 2 (15.3%) | 16 (37.2%) | 28 (60.8%) | 11 (25.8%) | 23 (51.1%) | 4 (36.3%) | 6 (46.1%) | |||||
| 10–20 | 18 (32.1%) | 20 (33.8%) | 6 (46.1%) | 6 (46.1%) | 12 (27.9%) | 14 (30.4%) | 14 (32.5%) | 15 (33.3%) | 4 (36.3%) | 5 (38.4%) | |||||
| >20 | 21 (37.5%) | 9 (15.2%) | 6 (46.1%) | 5 (38.4%) | 15 (34.8%) | 4 (8.6%) | 18 (41.8%) | 7 (15.5%) | 3 (27.2%) | 2 (15.3%) | |||||
| HRF location (56) | 0.4437 | 0.1314 | 0.3846 | 0.9418 | |||||||||||
| All layers | 29 (51.7%) | 24 (40.6%) | 7 (53.8%) | 9 (69.2%) | 0.3928 | 22 (51.1%) | 15 (32.6%) | 25 (58.1%) | 20 (44.4%) | 4 (36.3%) | 4 (30.7%) | ||||
| OPL-ONL | 22 (39.2%) | 30 (50.8%) | 5 (38.4%) | 2 (15.3%) | 0.3928 | 17 (39.5%) | 28 (60.8%) | 14 (32.5%) | 21 (46.6%) | 6 (54.5%) | 8 (61.5%) | ||||
| ILM-INL | 5 (8.9%) | 5 (8.4%) | 1 (7.6%) | 2 (15.3%) | 0.3928 | 4 (9.3%) | 3 (6.5%) | 4 (9.3%) | 4 (8.8%) | 1 (9.0%) | 1 (7.6%) | ||||
| IRC (65) | 42 (64.6%) | 32 (49.2%) | * 0.0253 | 13 (92.8%) | 13 (92.8%) | 1.0000 | 29 (56.8%) | 19 (37.2%) | * 0.0184 | 30 (61.2%) | 24 (48.9%) | 0.1336 | 10 (71.4%) | 7 (50.0%) | 0.0833 |
| LONLC (65) | 27 (41.5%) | 14 (21.5%) | * 0.0046 | 14 (100.0%) | 6 (42.8%) | * 0.0008 | 13 (25.4%) | 8 (15.6%) | 0.1655 | 17 (34.6%) | 8 (16.3%) | * 0.0201 | 9 (64.2%) | 5 (35.7%) | 0.1025 |
| SRF (65) | 9 (13.8%) | 1 (1.5%) | * 0.0047 | 6 (42.8%) | 1 (7.1%) | * 0.0253 | 3 (5.8%) | 0 (0%) | 0.0787 | 7 (14.2%) | 1 (2.0%) | * 0.0143 | 2 (14.2%) | 0 (0.0%) | 0.1422 |
| VMI (65) | 41 (63.0%) | 39 (60.0%) | 0.3173 | 12 (85.7%) | 11 (78.5%) | 0.3173 | 29 (56.8%) | 28 (54.9%) | 0.5637 | 33 (67.3%) | 31 (63.2%) | 0.3173 | 8 (57.1%) | 8 (57.1%) | 1.0000 |
Disclaimer/Publisher’s Note: The statements, opinions and data contained in all publications are solely those of the individual author(s) and contributor(s) and not of MDPI and/or the editor(s). MDPI and/or the editor(s) disclaim responsibility for any injury to people or property resulting from any ideas, methods, instructions or products referred to in the content. |
© 2023 by the authors. Licensee MDPI, Basel, Switzerland. This article is an open access article distributed under the terms and conditions of the Creative Commons Attribution (CC BY) license (https://creativecommons.org/licenses/by/4.0/).
Share and Cite
Chang, Y.-C.; Huang, Y.-T.; Hsu, A.Y.; Meng, P.-P.; Lin, C.-J.; Lai, C.-T.; Hsia, N.-Y.; Chen, H.-S.; Tien, P.-T.; Lin, J.-M.; et al. Optical Coherence Tomography Biomarkers in Predicting Treatment Outcomes of Diabetic Macular Edema after Ranibizumab Injections. Medicina 2023, 59, 629. https://doi.org/10.3390/medicina59030629
Chang Y-C, Huang Y-T, Hsu AY, Meng P-P, Lin C-J, Lai C-T, Hsia N-Y, Chen H-S, Tien P-T, Lin J-M, et al. Optical Coherence Tomography Biomarkers in Predicting Treatment Outcomes of Diabetic Macular Edema after Ranibizumab Injections. Medicina. 2023; 59(3):629. https://doi.org/10.3390/medicina59030629
Chicago/Turabian StyleChang, Yen-Chieh, Yu-Te Huang, Alan Y. Hsu, Ping-Ping Meng, Chun-Ju Lin, Chun-Ting Lai, Ning-Yi Hsia, Huan-Sheng Chen, Peng-Tai Tien, Jane-Ming Lin, and et al. 2023. "Optical Coherence Tomography Biomarkers in Predicting Treatment Outcomes of Diabetic Macular Edema after Ranibizumab Injections" Medicina 59, no. 3: 629. https://doi.org/10.3390/medicina59030629
APA StyleChang, Y.-C., Huang, Y.-T., Hsu, A. Y., Meng, P.-P., Lin, C.-J., Lai, C.-T., Hsia, N.-Y., Chen, H.-S., Tien, P.-T., Lin, J.-M., Chen, W.-L., & Tsai, Y.-Y. (2023). Optical Coherence Tomography Biomarkers in Predicting Treatment Outcomes of Diabetic Macular Edema after Ranibizumab Injections. Medicina, 59(3), 629. https://doi.org/10.3390/medicina59030629

