Congenital Proximal Radioulnar Synostosis in an Elite Athlete–Case Report
Abstract
1. Introduction
2. Case Report
2.1. Clinical Examination, Scoring, and Functional Testing
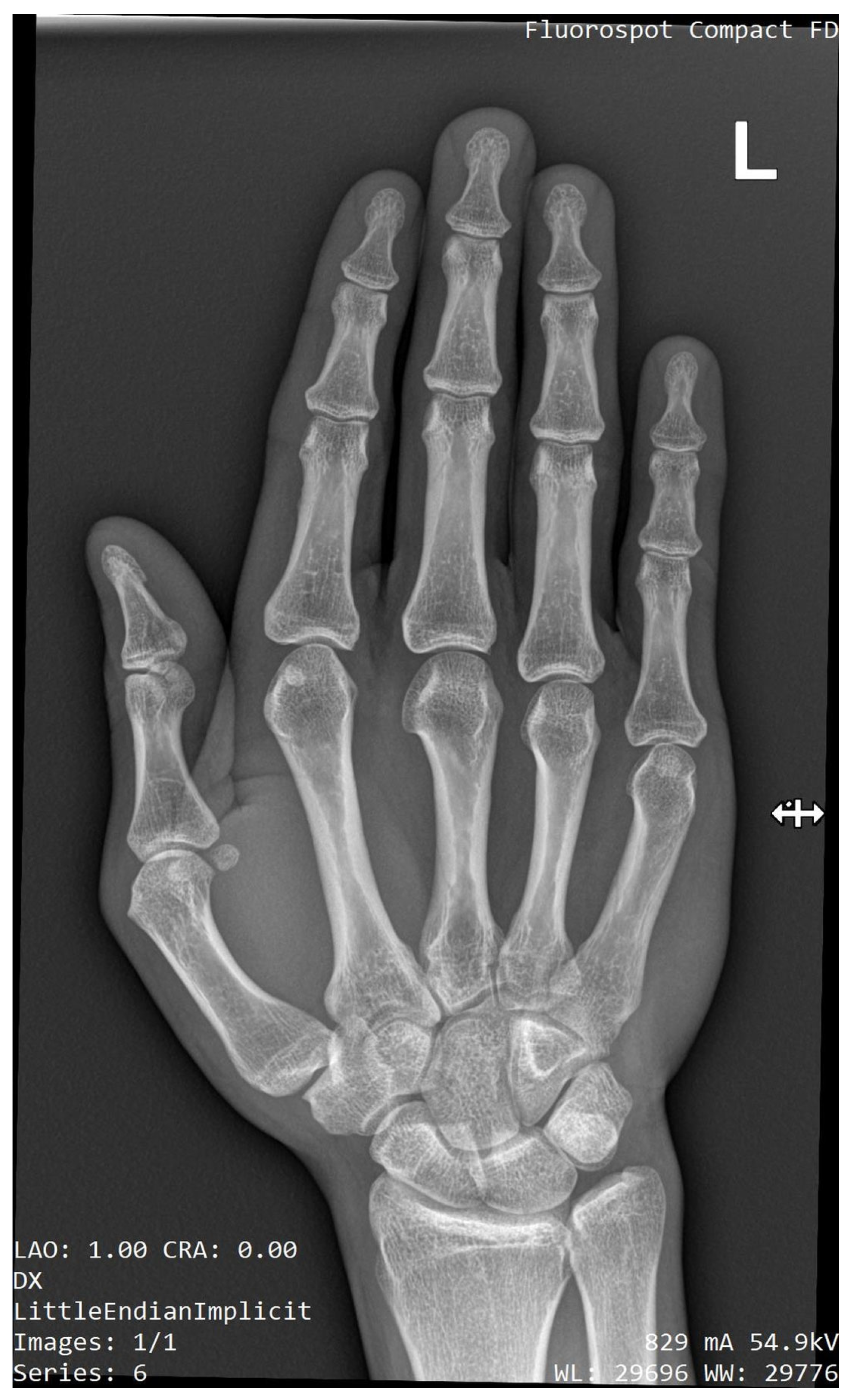
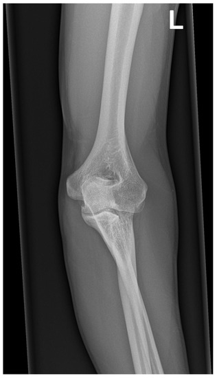
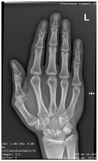
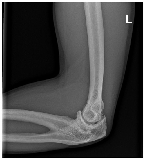
2.2. Radiographic Evaluation
2.3. Genetic Testing
3. Discussion
4. Conclusions
Author Contributions
Funding
Institutional Review Board Statement
Informed Consent Statement
Data Availability Statement
Conflicts of Interest
References
- Siemianowicz, A.; Wawrzynek, W.; Besler, K. Congenital radioulnar synostosis—Case report. Pol. J. Radiol. 2010, 75, 51–54. [Google Scholar] [PubMed]
- Farzan, M.; Daneshjou, K.; Mortazavi, S.M.J. Espander R. Congenital radioulnar synostosis: A report of 11 cases and review of literature. Acta Med. Iran. 2002, 40, 126–131. [Google Scholar]
- Barik, S.; Farr, S.; Gallone, G.; Zarantonello, P.; Trisolino, G.; Di Gennaro, G.L. Results after treatment of congenital radioulnar synostosis: A systematic review and pooled data analysis. J. Pediatr. Orthop. Part B. 2021, 30, 593–600. [Google Scholar] [CrossRef]
- Li, J.; Chen, K.; Wang, J.; Guo, Y.; Rai, S.; Tang, X. An anatomical classification of congenital proximal radioulnar synostosis based on retrospective MRI measurement combined with radiography. Sci. Rep. 2022, 12, 6585. [Google Scholar] [CrossRef] [PubMed]
- Alsharif, M.H.K.; Almasaad, J.M.; Taha, K.M.; Elamin, A.Y.; Bakhit, N.M.; Noureddin, M.A.; Mahdi, A.A.A. Congenital radioulnar synostosis presenting in adulthood—A case report. Pan. Afr. Med. J. 2020, 36, 75. [Google Scholar] [CrossRef] [PubMed]
- Burnei, G.; Ghiță, R.; Pârvan, A.; Japie, E.; Gavriliu, S.; Georgescu, I.; El Nayef, T.; Țiripa, I.; Hamei, I.T. Proximal congenital radial-ulnar synostosis and synchondrosis; pathogenic concept and a new therapeutic method. J. Med. Life 2013, 6, 365–368. [Google Scholar] [PubMed]
- Ünsal, Ş.S.; Bezirgan, U.; Özbek, E.A.; Özyıldıran, M.; Yıldırım, T.; Armangil, M. Poland’s syndrome concomitant with congenital proximal and distal radioulnar synostosis: A rare case report. Jt. Dis. Relat. Surg. 2021, 32, 814–817. [Google Scholar] [CrossRef]
- Vogels, A.; Fryns, J.P. Pfeiffer syndrome. Orphanet J. Rare Dis. 2006, 1, 19. [Google Scholar] [CrossRef]
- Wall, L.B.; Piper, S.L.; Habenicht, R.; Oishi, S.N.; Ezaki, M.B.; Goldfarb, C.A. Defining Features of The Upper Extremity in Holt-Oram Syndrome. J. Hand Surg. 2015, 40, 1764–1768. [Google Scholar] [CrossRef]
- Miura, T.; Nakamura, R.; Horii, E. Congenital hand anomalies in Japan: A family study. J. Hand Surg. 1990, 15, 439–444. [Google Scholar] [CrossRef]
- Rizzo, R.; Pavone, V.; Corsello, G.; Sorge, G.; Neri, G.; Opitz, J.M. Autosomal dominant and sporadic radio-ulnar synostosis. Am. J. Med. Genet. 1997, 68, 127–134. [Google Scholar] [CrossRef]
- Spritz, R.A. Familial radioulnar synostosis. J. Med. Genet. 1978, 15, 160–162. [Google Scholar] [CrossRef] [PubMed]
- Shen, F.; Yang, Y.; Zheng, Y.; Li, P.; Luo, Z.; Fu, Y.; Zhu, G.; Mei, H.; Chen, S.; Zhu, Y. MECOM-related disorder: Radioulnar synostosis without hematological aberration due to unique variants. Genet. Med. Off. J. Am. Coll Med. Genet. 2022, 24, 1139–1147. [Google Scholar] [CrossRef]
- Timberlake, A.T.; Choi, J.; Zaidi, S.; Lu, Q.; Nelson-Williams, C.; Brooks, E.D.; Bilguvar, K.; Tikhonova, I.; Mane, S.; Yang, J.F.; et al. Two locus inheritance of non-syndromic midline craniosynostosis via rare SMAD6 and common BMP2 alleles. eLife 2016, 5, e20125. [Google Scholar] [CrossRef]
- Pan, Z.; Lu, W.; Li, X.; Huang, S.; Dai, P.; Yuan, Y. Multiple synostoses syndrome: Clinical report and retrospective analysis. Am. J. Med. Genet. A. 2020, 182, 1438–1448. [Google Scholar] [CrossRef]
- Takano, K.; Ogasawara, N.; Matsunaga, T.; Mutai, H.; Sakurai, A.; Ishikawa, A.; Himi, T. A novel nonsense mutation in the NOG gene causes familial NOG-related symphalangism spectrum disorder. Hum. Genome Var. 2016, 3, 16023. [Google Scholar] [CrossRef]
- Calpena, E.; Cuellar, A.; Bala, K.; Bs, S.M.A.S.; Koelling, N.; McGowan, S.J.; Phipps, J.M.; Balasubramanian, M.; Cunningham, M.L.; Douzgou, S.; et al. SMAD6 variants in craniosynostosis: Genotype and phenotype evaluation. Genet. Med. Off. J. Am. Coll. Med. Genet. 2020, 22, 1498–1506. [Google Scholar] [CrossRef]
- Wilkie, A.O.M.; Johnson, D.; Wall, S.A. Clinical genetics of craniosynostosis. Curr. Opin. Pediatr. 2017, 29, 622–628. [Google Scholar] [CrossRef]
- Wilkie, D.P.D. Congenital radio-ulnar synostosis. Br. J. Surg. 1913, 1, 366–375. [Google Scholar] [CrossRef]
- Jia, Y.; Geng, C.; Song, Z.; Lv, S.; Dai, B. Congenital unilateral proximal radioulnar synostosis: A surgical case report. Medicine 2020, 99, e19782. [Google Scholar] [CrossRef]
- Mayo Elbow Score—OrthoToolKit. Available online: https://orthotoolkit.com/mayo-elbow/ (accessed on 6 December 2022).
- DASH Score—OrthoToolKit. Available online: https://orthotoolkit.com/dash/ (accessed on 6 December 2022).
- Longo, U.G.; Franceschi, F.; Loppini, M.; Maffulli, N.; Denaro, V. Rating systems for evaluation of the elbow. Br. Med. Bull. 2008, 87, 131–161. [Google Scholar] [CrossRef] [PubMed]
- Pei, X.; Han, J. Efficacy and feasibility of proximal radioulnar derotational osteotomy and internal fixation for the treatment of congenital radioulnar synostosis. J. Orthop. Surg. 2019, 14, 81. [Google Scholar] [CrossRef] [PubMed]
- Pontillo, M.; Spinelli, B.A.; Sennett, B.J. Prediction of in-season shoulder injury from preseason testing in division I collegiate football players. Sports Health 2014, 6, 497–503. [Google Scholar] [CrossRef]
- Yang, Y.; Zheng, Y.; Li, W.; Li, L.; Tu, M.; Zhao, L.; Mei, H.; Zhu, G.; Zhu, Y. SMAD6 is frequently mutated in nonsyndromic radioulnar synostosis. Genet. Med. Off. J. Am. Coll. Med. Genet. 2019, 21, 2577–2585. [Google Scholar] [CrossRef]
- Shen, F.; Yang, Y.; Li, P.; Zheng, Y.; Luo, Z.; Fu, Y.; Zhu, G.; Mei, H.; Chen, S.; Zhu, Y. A genotype and phenotype analysis of SMAD6 mutant patients with radioulnar synostosis. Mol. Genet. Genomic. Med. 2021, 10, e1850. [Google Scholar] [CrossRef]
- Germeshausen, M.; Ancliff, P.; Estrada, J.; Metzler, M.; Ponstingl, E.; Rütschle, H.; Schwabe, D.; Scott, R.H.; Ünal, Ş.; Wawer, A.; et al. MECOM-associated syndrome: A heterogeneous inherited bone marrow failure syndrome with amegakaryocytic thrombocytopenia. Blood Adv. 2018, 2, 586–596. [Google Scholar] [CrossRef]
- Niihori, T.; Ouchi-Uchiyama, M.; Sasahara, Y.; Kaneko, T.; Hashii, Y.; Irie, M.; Sato, A.; Saito-Nanjo, Y.; Funayama, R.; Nagashima, T.; et al. Mutations in MECOM, Encoding Oncoprotein EVI1, Cause Radioulnar Synostosis with Amegakaryocytic Thrombocytopenia. Am. J. Hum. Genet. 2015, 97, 848–854. [Google Scholar] [CrossRef]
- Walne, A.; Tummala, H.; Ellison, A.; Cardoso, S.; Sidhu, J.; Sciuccati, G.; Vulliamy, T.; Dokal, I. Expanding the phenotypic and genetic spectrum of radioulnar synostosis associated hematological disease. Haematologica 2018, 103, e284–e287. [Google Scholar] [CrossRef]
- Yang, Z.Y.; Ni, J.D.; Long, Z.; Kuang, L.T.; Tao, S.B. Unusual presentation of congenital radioulnar synostosis with osteoporosis, fragility fracture and nonunion: A case report and review of literature. World J. Clin. Cases. 2020, 8, 1538–1546. [Google Scholar] [CrossRef]
- Kepenek-Varol, B.; Hoşbay, Z. Is short-term hand therapy effective in a child with congenital radioulnar synostosis? A case report. J. Hand Ther. Off. J. Am. Soc. Hand Ther. 2020, 33, 435–442. [Google Scholar] [CrossRef]
- Tsai, J. Congenital radioulnar synostosis. Radiol. Case Rep. 2017, 12, 552–554. [Google Scholar] [CrossRef] [PubMed]
- Garg, G.; Gupta, S.P. Surgical outcome of delayed presentation of congenital proximal radioulnar synostosis. SICOT-J. 2015, 1, 33. [Google Scholar] [CrossRef] [PubMed]
- Ogino, T.; Hikino, K. Congenital radio-ulnar synostosis: Compensatory rotation around the wrist and rotation osteotomy. J. Hand Surg. Edinb. Scotl. 1987, 12, 173–178. [Google Scholar] [CrossRef]
- Bishay, S.N.G. Minimally invasive single-session double-level rotational osteotomy of the forearm bones to correct fixed pronation deformity in congenital proximal radioulnar synostosis. J. Child Orthop. 2016, 10, 295–300. [Google Scholar] [CrossRef] [PubMed]
- Hamiti, Y.; Yushan, M.; Yalikun, A.; Lu, C.; Yusufu, A. Derotational Osteotomy and Plate Fixation of the Radius and Ulna for the Treatment of Congenital Proximal Radioulnar Synostosis. Front. Surg. 2022, 9, 888916. [Google Scholar] [CrossRef]
- Bai, F.; Chen, S.; Liu, L.; Tong, D.; Li, P.; Rong, Y.; Wu, J.; Liu, B.; Yang, Y.; Wang, S. Treatment of Congenital Radioulnar Synostosis Using a Free Vascularized Fascia Lata Graft. Orthop. Surg. 2022, 14, 1229–1234. [Google Scholar] [CrossRef]
- Tedesco, L.J.; Swindell, H.W.; Anderson, F.L.; Jang, E.; Wong, T.T.; Kazam, J.K.; Kadiyala, R.K.; Popkin, C.A. Evaluation and Management of Hand, Wrist and Elbow Injuries in Ice Hockey. Open Access J. Sports Med. 2020, 11, 93–103. [Google Scholar] [CrossRef]





Disclaimer/Publisher’s Note: The statements, opinions and data contained in all publications are solely those of the individual author(s) and contributor(s) and not of MDPI and/or the editor(s). MDPI and/or the editor(s) disclaim responsibility for any injury to people or property resulting from any ideas, methods, instructions or products referred to in the content. |
© 2023 by the authors. Licensee MDPI, Basel, Switzerland. This article is an open access article distributed under the terms and conditions of the Creative Commons Attribution (CC BY) license (https://creativecommons.org/licenses/by/4.0/).
Share and Cite
Chandoga, I.; Petrovič, R.; Varga, I.; Šteňo, B.; Šteňová, E. Congenital Proximal Radioulnar Synostosis in an Elite Athlete–Case Report. Medicina 2023, 59, 531. https://doi.org/10.3390/medicina59030531
Chandoga I, Petrovič R, Varga I, Šteňo B, Šteňová E. Congenital Proximal Radioulnar Synostosis in an Elite Athlete–Case Report. Medicina. 2023; 59(3):531. https://doi.org/10.3390/medicina59030531
Chicago/Turabian StyleChandoga, Ilja, Róbert Petrovič, Ivan Varga, Boris Šteňo, and Emὄke Šteňová. 2023. "Congenital Proximal Radioulnar Synostosis in an Elite Athlete–Case Report" Medicina 59, no. 3: 531. https://doi.org/10.3390/medicina59030531
APA StyleChandoga, I., Petrovič, R., Varga, I., Šteňo, B., & Šteňová, E. (2023). Congenital Proximal Radioulnar Synostosis in an Elite Athlete–Case Report. Medicina, 59(3), 531. https://doi.org/10.3390/medicina59030531

