Morphopathogenesis of Adult Acquired Cholesteatoma
Abstract
:1. Introduction
2. Materials and Methods
2.1. Tissue Samples
2.2. Immunohistochemical Analysis
2.3. Statistical Analysis
3. Results
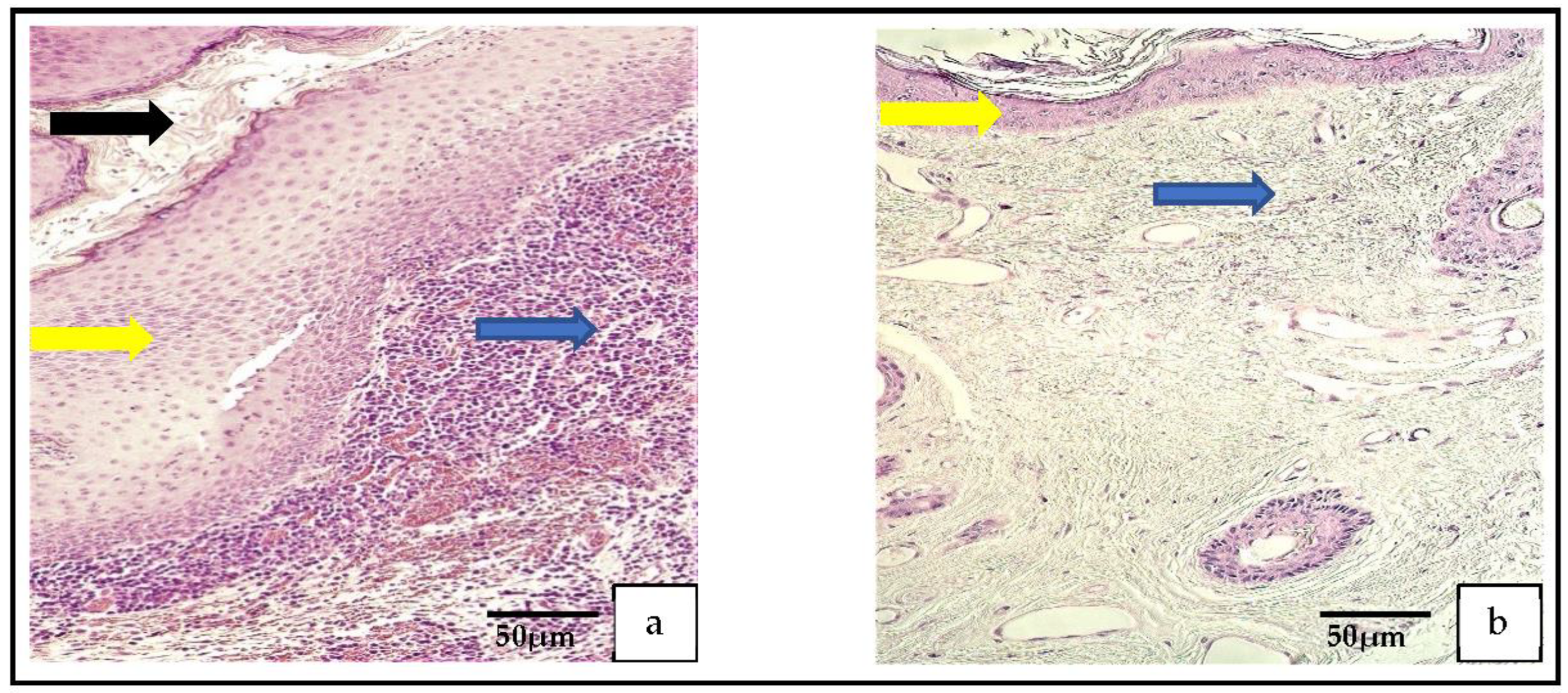
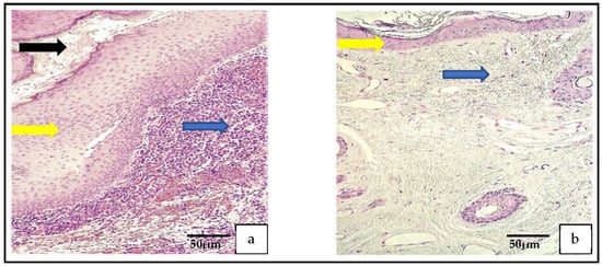
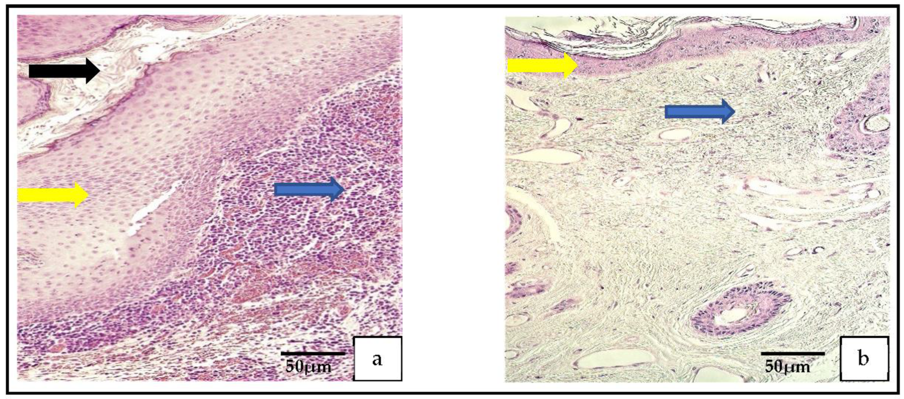
3.1. Description of the Tissue
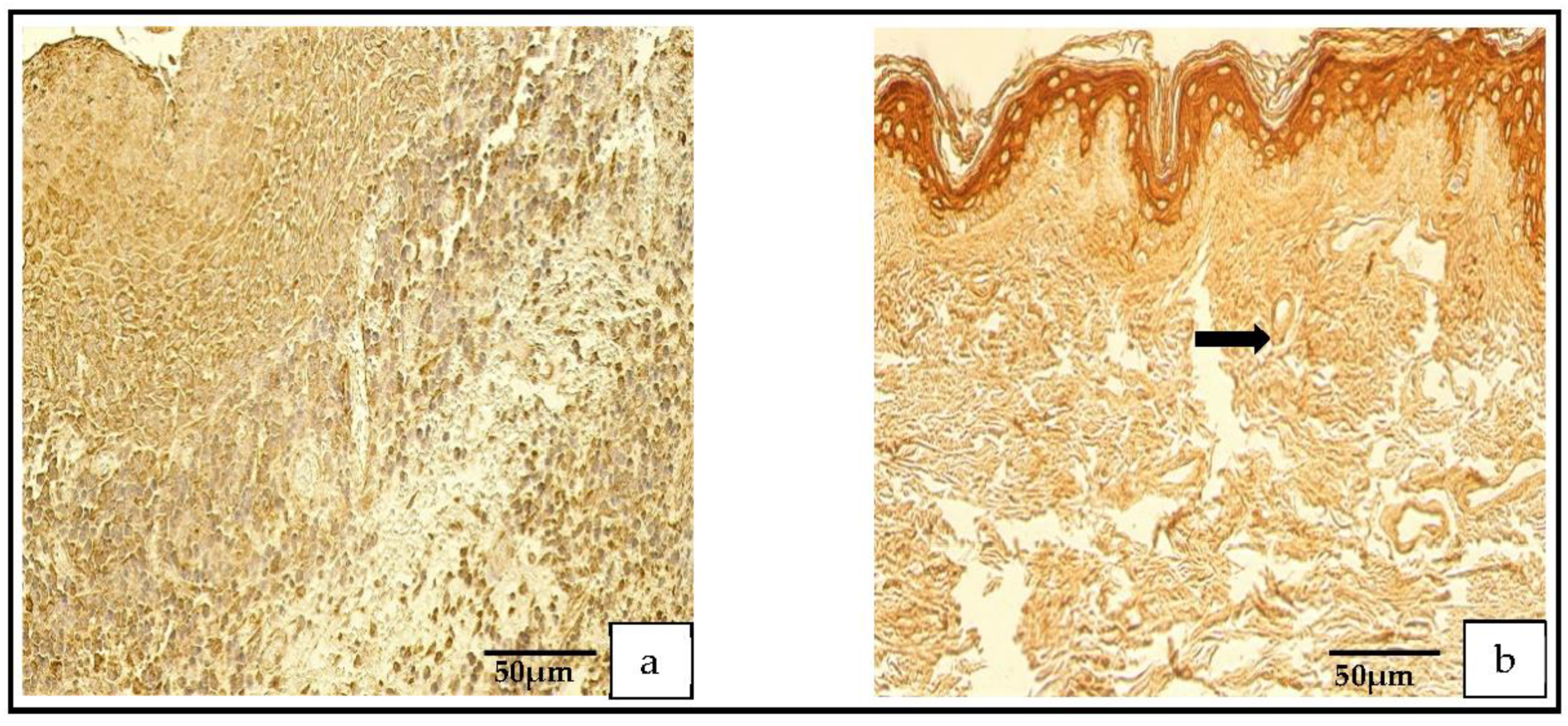
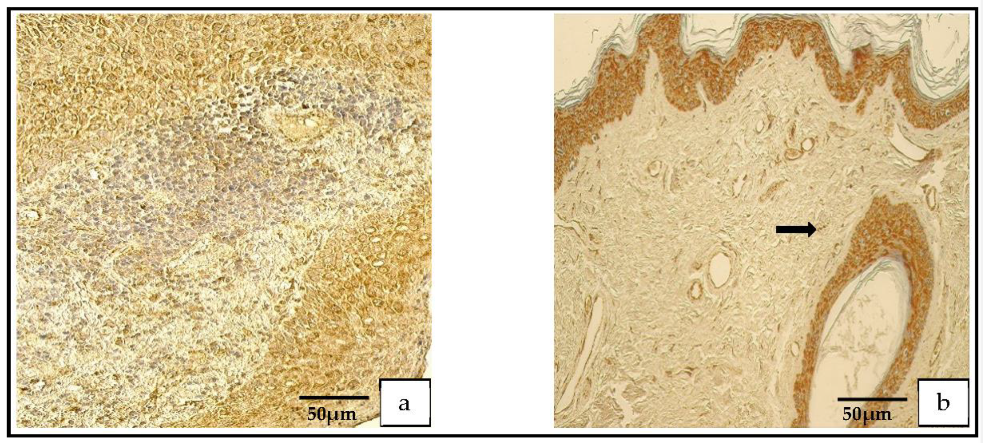
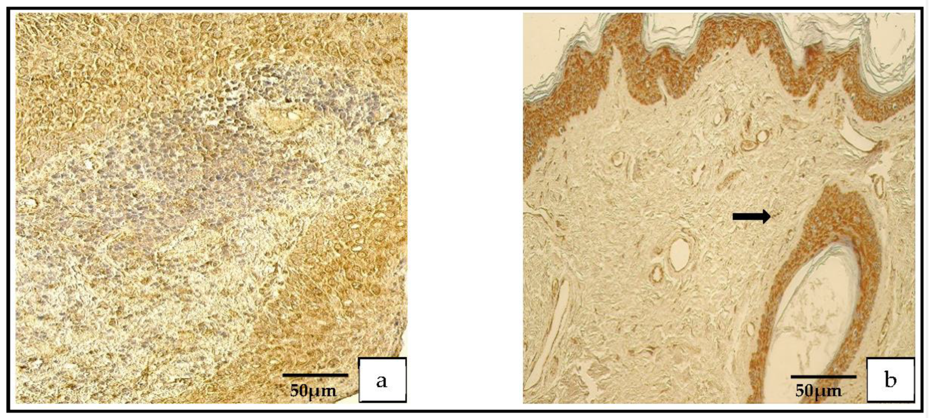
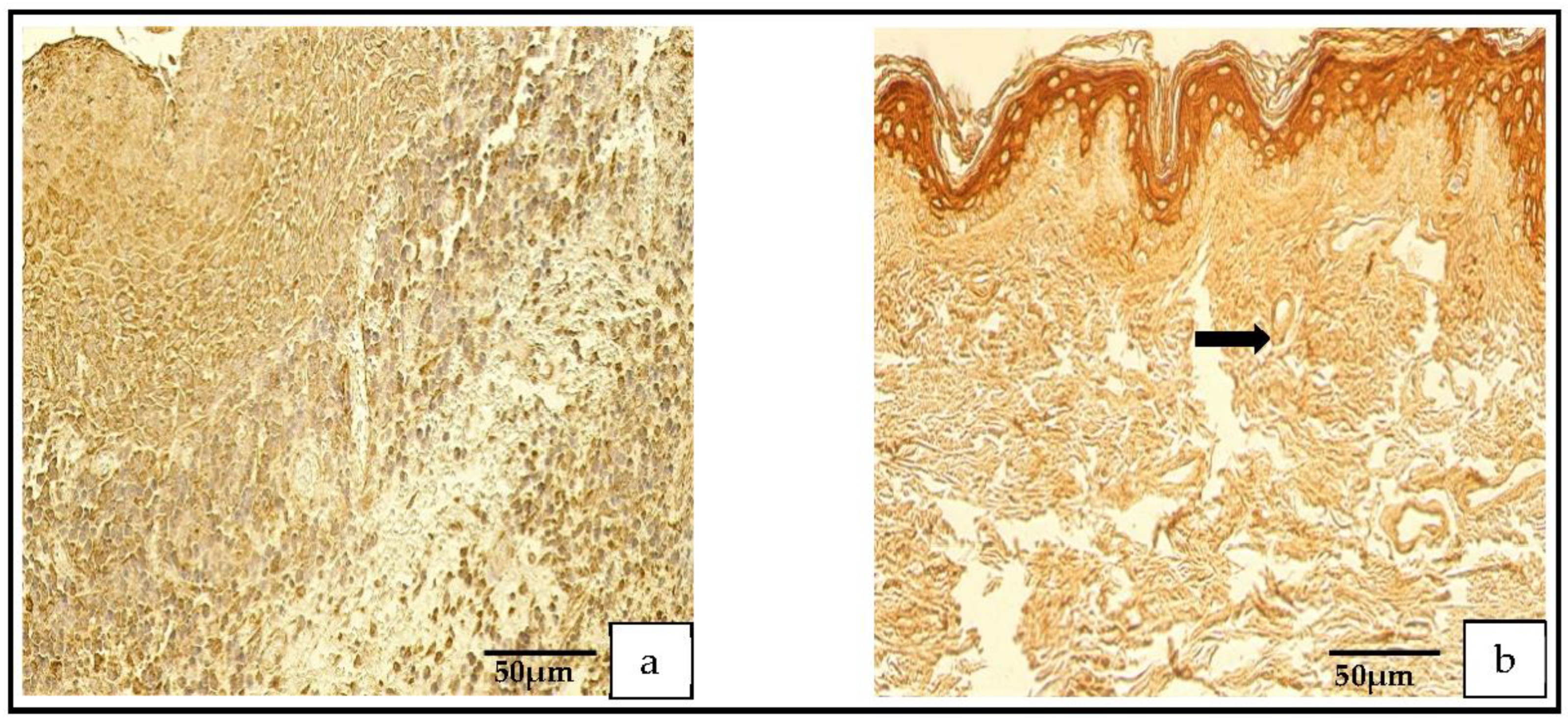
3.2. Description of Immunohistochemical (IHC) Findings
3.2.1. IHC Findings of Proliferation Markers
3.2.2. IHC Findings on the Angiogenetic Factor
3.2.3. IHC Findings on the Tissue-Remodeling Factors
3.2.4. IHC Findings of Pro- and Anti-Inflammatory Cytokines and Defensins
3.2.5. IHC Findings of Shh Gene Protein
3.3. Statistical Analysis
4. Discussion
5. Conclusions
Supplementary Materials
Author Contributions
Funding
Institutional Review Board Statement
Informed Consent Statement
Data Availability Statement
Acknowledgments
Conflicts of Interest
References
- Kuo, C.L.; Shiao, A.S.; Yung, M.; Sakagami, M.; Sudhoff, H.; Wang, C.H.; Hsu, C.H.; Lien, C.F. Updates and knowledge gaps in cholesteatoma research. Biomed. Res. Int. 2015, 2015, 854024. [Google Scholar] [CrossRef]
- Aslıer, M.; Erdag, T.K.; Sarioglu, S.; Güneri, E.A.; Ikiz, A.O.; Uzun, E.; Özer, E. Analysis of histopathological aspects and bone destruction characteristics in acquired middle ear cholesteatoma of pediatric and adult patients. Int. J. Pediatr. Otorhinolaryngol. 2016, 82, 73–77. [Google Scholar] [CrossRef]
- Xie, S.; Xiang, Y.; Wang, X.; Ren, H.; Yin, T.; Ren, J.; Liu, W. Acquired cholesteatoma epithelial hyperproliferation: Roles of cell proliferation signal pathways. Laryngoscope 2016, 126, 1923–1930. [Google Scholar] [CrossRef]
- Olszewska, E.; Chodynicki, S.; Chyczewski, L.; Rogowski, M. Some markers of proliferative activity in cholesteatoma epithelium in adults. Med. Sci. Monit. Int. Med. J. Exp. Clin. Res. 2006, 12, CR337–CR340. [Google Scholar]
- Server, E.A.; Ertugay, Ç.K.; Koca, S.B.; Longur, E.S.; Yiğit, Ö.; Demirhan, H.; Çakır, Y. Predictive Role of Ki-67 and Proliferative-Cell Nuclear Antigen (PCNA) in Recurrent Cholesteatoma. J. Int. Adv. Otol. 2019, 15, 38–42. [Google Scholar] [CrossRef]
- Byun, J.Y.; Yune, T.Y.; Lee, J.Y.; Yeo, S.G.; Park, M.S. Expression of CYLD and NF-kappaB in human cholesteatoma epithelium. Mediat. Inflamm. 2010, 2010, 796315. [Google Scholar] [CrossRef]
- Hamajima, Y.; Komori, M.; Preciado, D.A.; Choo, D.I.; Moribe, K.; Murakami, S.; Ondrey, F.G.; Lin, J. The role of inhibitor of DNA-binding (Id1) in hyperproliferation of keratinocytes: The pathological basis for middle ear cholesteatoma from chronic otitis media. Cell Prolif. 2010, 43, 457–463. [Google Scholar] [CrossRef]
- Schönermark, M.; Mester, B.; Kempf, H.G.; Bläser, J.; Tschesche, H.; Lenarz, T. Expression of matrix-metalloproteinases and their inhibitors in human cholesteatomas. Acta Oto-Laryngol. 1996, 116, 451–456. [Google Scholar] [CrossRef]
- Suchozebrska-Jesionek, D.; Szymański, M.; Kurzepa, J.; Gołabek, W.; Stryjecka-Zimmer, M. Gelatinolytic activity of matrix metalloproteinases 2 and 9 in middle ear cholesteatoma. J. Otolaryngol. Head Neck Surg. 2008, 37, 628–632. [Google Scholar]
- Jackson, H.W.; Defamie, V.; Waterhouse, P.; Khokha, R. TIMPs: Versatile extracellular regulators in cancer. Nat. Rev. Cancer 2017, 17, 38–53. [Google Scholar] [CrossRef]
- Cabral-Pacheco, G.A.; Garza-Veloz, I.; Castruita-De la Rosa, C.; Ramirez-Acuña, J.M.; Perez-Romero, B.A.; Guerrero-Rodriguez, J.F.; Martinez-Avila, N.; Martinez-Fierro, M.L. The Roles of Matrix Metalloproteinases and Their Inhibitors in Human Diseases. Int. J. Mol. Sci. 2020, 21, 9739. [Google Scholar] [CrossRef]
- Kaya, İ.; Avcı, Ç.B.; Şahin, F.F.; Özateş, N.P.; Sezgin, B.; Kurt, C.Ç.; Bilgen, C.; Kirazlı, T. Evaluation of significant gene expression changes in congenital and acquired cholesteatoma. Mol. Biol. Rep. 2020, 47, 6127–6133. [Google Scholar] [CrossRef]
- Hamed, M.A.; Sayed, R.H.; Shiogama, K.; Eltaher, M.A.; Suzuki, K.; Nakata, S. Localisation of basic fibroblast growth factor in cholesteatoma matrix: An immunochemical study. J. Laryngol. Otol. 2019, 133, 183–186. [Google Scholar] [CrossRef]
- Akiri, G.; Nahari, D.; Finkelstein, Y.; Le, S.Y.; Elroy-Stein, O.; Levi, B.Z. Regulation of vascular endothelial growth factor (VEGF) expression is mediated by internal initiation of translation and alternative initiation of transcription. Oncogene 1998, 17, 227–236. [Google Scholar] [CrossRef]
- Huang, Q.; Zhang, Z.; Zheng, Y.; Zheng, Q.; Chen, S.; Xu, Y.; Ou, Y.; Qiu, Z. Hypoxia-inducible factor and vascular endothelial growth factor pathway for the study of hypoxia in a new model of otitis media with effusion. Audiol. Neuro-Otol. 2012, 17, 349–356. [Google Scholar] [CrossRef]
- Fukudome, S.; Wang, C.; Hamajima, Y.; Ye, S.; Zheng, Y.; Narita, N.; Sunaga, H.; Fujieda, S.; Hu, X.; Feng, L.; et al. Regulation of the angiogenesis of acquired middle ear cholesteatomas by inhibitor of DNA binding transcription factor. JAMA Otolaryngol. Head Neck Surg. 2013, 139, 273–278. [Google Scholar] [CrossRef]
- Ricciardiello, F.; Cavaliere, M.; Mesolella, M.; Iengo, M. Notes on the microbiology of cholesteatoma: Clinical findings and treatment. Acta Otorhinolaryngol. Ital. Organo Uff. Della Soc. Ital. Otorinolaringol. E Chir. Cervico-Facciale 2009, 29, 197–202. [Google Scholar]
- Kuczkowski, J.; Sakowicz-Burkiewicz, M.; Iżycka-Świeszewska, E.; Mikaszewski, B.; Pawełczyk, T. Expression of tumor necrosis factor-α, interleukin-1α, interleukin-6 and interleukin-10 in chronic otitis media with bone osteolysis. ORL J. Oto-Rhino-Laryngol. Relat. Spec. 2011, 73, 93–99. [Google Scholar] [CrossRef]
- Likus, W.; Siemianowicz, K.; Markowski, J.; Wiaderkiewicz, J.; Kostrząb-Zdebel, A.; Jura-Szołtys, E.; Dziubdziela, W.; Wiaderkiewicz, R.; Łos, M.J. Bacterial Infections and Osteoclastogenesis Regulators in Men and Women with Cholesteatoma. Arch. Immunol. Ther. Exp. 2016, 64, 241–247. [Google Scholar] [CrossRef]
- Bujía, J.; Kim, C.; Ostos, P.; Sudhoff, H.; Kastenbauer, E.; Hültner, L. Interleukin 1 (IL-1) and IL-1-receptor antagonist (IL-1-RA) in middle ear cholesteatoma: An analysis of protein production and biological activity. Eur. Arch. Oto-Rhino-Laryngol. Off. J. Eur. Fed. Oto-Rhino-Laryngol. Soc. (EUFOS) Affil. Ger. Soc. Oto-Rhino-Laryngol.—Head Neck Surg. 1996, 253, 252–255. [Google Scholar] [CrossRef]
- Iyer, S.S.; Cheng, G. Role of interleukin 10 transcriptional regulation in inflammation and autoimmune disease. Crit. Rev. Immunol. 2012, 32, 23–63. [Google Scholar] [CrossRef]
- Uzun, T.; Çaklı, H.; Coşan, D.T.; İncesulu, Ş.A.; Kaya, E.; Çalış, İ.U.; Yıldız, E. In vitro study on immune response modifiers as novel medical treatment options for cholesteatoma. Int. J. Pediatr. Otorhinolaryngol. 2021, 145, 110743. [Google Scholar] [CrossRef]
- Harder, J.; Meyer-Hoffert, U.; Teran, L.M.; Schwichtenberg, L.; Bartels, J.; Maune, S.; Schröder, J.M. Mucoid Pseudomonas aeruginosa, TNF-alpha, and IL-1beta, but not IL-6, induce human beta-defensin-2 in respiratory epithelia. Am. J. Respir. Cell Mol. Biol. 2000, 22, 714–721. [Google Scholar] [CrossRef]
- Smiley, A.K.; Gardner, J.; Klingenberg, J.M.; Neely, A.N.; Supp, D.M. Expression of human beta defensin 4 in genetically modified keratinocytes enhances antimicrobial activity. J. Burn. Care Res. Off. Publ. Am. Burn. Assoc. 2007, 28, 127–132. [Google Scholar] [CrossRef]
- Park, K.; Moon, S.K.; Choung, Y.H.; Choi, H.S. Expression of beta-defensins in human middle ear cholesteatoma. Acta Oto-Laryngol. 2003, 123, 236–240. [Google Scholar] [CrossRef]
- Dambergs, K.; Sumeraga, G.; Pilmane, M. Complex Evaluation of Tissue Factors in Pediatric Cholesteatoma. Children 2021, 8, 926. [Google Scholar] [CrossRef]
- Ankamreddy, H.; Bok, J.; Groves, A.K. Uncovering the secreted signals and transcription factors regulating the development of mammalian middle ear ossicles. Dev. Dyn. Off. Publ. Am. Assoc. Anat. 2020, 249, 1410–1424. [Google Scholar] [CrossRef]
- Chiang, C.; Litingtung, Y.; Lee, E.; Young, K.E.; Corden, J.L.; Westphal, H.; Beachy, P.A. Cyclopia and defective axial patterning in mice lacking Sonic hedgehog gene function. Nature 1996, 383, 407–413. [Google Scholar] [CrossRef]
- Pilmane, M.; Rumba, I.; Sundler, F.; Luts, A. Patterns of distribution and occurrence of neuroendocrine elements in lungs of humans with chronic lung disease. Proc. Latv. Acad. Sci. 1998, 52, 144–152. [Google Scholar]
- Sudhoff, H.; Bujia, J.; Fisseler-Eckhoff, A.; Holly, A.; Schulz-Flake, C.; Hildmann, H. Expression of a cell-cycle-associated nuclear antigen (MIB 1) in cholesteatoma and auditory meatal skin. Laryngoscope 1995, 105, 1227–1231. [Google Scholar] [CrossRef]
- Akdogan, V.; Yilmaz, I.; Canpolat, T.; Ozluoglu, L.N. Role of Langerhans cells, Ki-67 protein and apoptosis in acquired cholesteatoma: Prospective clinical study. J. Laryngol. Otol. 2013, 127, 252–259. [Google Scholar] [CrossRef] [PubMed]
- Chung, J.H.; Lee, S.H.; Park, C.W.; Kim, K.R.; Tae, K.; Kang, S.H.; Oh, Y.H.; Pyo, J.Y. Expression of Apoptotic vs Antiapoptotic Proteins in Middle Ear Cholesteatoma. Otolaryngol.--Head Neck Surg. Off. J. Am. Acad. Otolaryngol.—Head Neck Surg. 2015, 153, 1024–1030. [Google Scholar] [CrossRef] [PubMed]
- Kuczkowski, J.; Pawelczyk, T.; Bakowska, A.; Narozny, W.; Mikaszewski, B. Expression patterns of Ki-67 and telomerase activity in middle ear cholesteatoma. Otol. Neurotol. Off. Publ. Am. Otol. Soc. Am. Neurotol. Soc. Eur. Acad. Otol. Neurotol. 2007, 28, 204–207. [Google Scholar] [CrossRef] [PubMed]
- Heenen, M.; Thiriar, S.; Noël, J.C.; Galand, P. Ki-67 immunostaining of normal human epidermis: Comparison with 3H-thymidine labelling and PCNA immunostaining. Dermatology 1998, 197, 123–126. [Google Scholar] [CrossRef] [PubMed]
- Hamed, M.A.; Nakata, S.; Shiogama, K.; Suzuki, K.; Sayed, R.H.; Nishimura, Y.; Iwata, N.; Sakurai, K.; Badawy, B.S.; Inada, K.I.; et al. Cytokeratin 13, Cytokeratin 17, and Ki-67 Expression in Human Acquired Cholesteatoma and Their Correlation With Its Destructive Capacity. Clin. Exp. Otorhinolaryngol. 2017, 10, 213–220. [Google Scholar] [CrossRef] [PubMed]
- Juhász, A.; Sziklai, I.; Rákosy, Z.; Ecsedi, S.; Adány, R.; Balázs, M. Elevated level of tenascin and matrix metalloproteinase 9 correlates with the bone destruction capacity of cholesteatomas. Otol. Neurotol. Off. Publ. Am. Otol. Soc. Am. Neurotol. Soc. Eur. Acad. Otol. Neurotol. 2009, 30, 559–565. [Google Scholar] [CrossRef]
- Mallet, Y.; Nouwen, J.; Lecomte-Houcke, M.; Desaulty, A. Aggressiveness and quantification of epithelial proliferation of middle ear cholesteatoma by MIB1. Laryngoscope 2003, 113, 328–331. [Google Scholar] [CrossRef]
- Chole, R.A. The molecular biology of bone resorption due to chronic otitis media. Ann. N. Y. Acad. Sci. 1997, 830, 95–109. [Google Scholar] [CrossRef]
- MRocha Morales, D.S.; Oliveira Penido, N.D.; Coltrin Guerreiro da Silva, I.D.; Norberto Stávale, J.; Guilherme, A.; Fukuda, Y. Matrix Metalloproteinase 2: An important genetic marker for cholesteatomas. Braz. J. Otorhinolaryngol. 2007, 73, 55–61. [Google Scholar] [CrossRef]
- Olszewska, E.; Matulka, M.; Mroczko, B.; Pryczynicz, A.; Kemona, A.; Szmitkowski, M.; Mierzwinski, J.; Pietrewicz, T. Diagnostic value of matrix metalloproteinase 9 and tissue inhibitor of matrix metalloproteinases 1 in cholesteatoma. Histol. Histopathol. 2016, 31, 307–315. [Google Scholar] [CrossRef]
- Banerjee, A.R.; James, R.; Narula, A.A. Matrix metalloproteinase-2 and matrix metalloproteinase-9 in cholesteatoma and deep meatal skin. Clin. Otolaryngol. Allied Sci. 1998, 23, 345–347. [Google Scholar] [CrossRef] [PubMed]
- Pozzi, A.; LeVine, W.F.; Gardner, H.A. Low plasma levels of matrix metalloproteinase 9 permit increased tumor angiogenesis. Oncogene 2002, 21, 272–281. [Google Scholar] [CrossRef] [PubMed]
- Seo, D.W.; Li, H.; Guedez, L.; Wingfield, P.T.; Diaz, T.; Salloum, R.; Wei, B.Y.; Stetler-Stevenson, W.G. TIMP-2 mediated inhibition of angiogenesis: An MMP-independent mechanism. Cell 2003, 114, 171–180. [Google Scholar] [CrossRef] [PubMed]
- Bourboulia, D.; Jensen-Taubman, S.; Stetler-Stevenson, W.G. TIMP-2: An Endogenous Angiogenesis Inhibitor with Distinct Antitumoral Properties. Treat. Strateg. Hematol. 2012, 2, 31–35. [Google Scholar]
- Yetiser, S.; Satar, B.; Aydin, N. Expression of epidermal growth factor, tumor necrosis factor-alpha, and interleukin-1alpha in chronic otitis media with or without cholesteatoma. Otol. Neurotol. Off. Publ. Am. Otol. Soc. Am. Neurotol. Soc. Eur. Acad. Otol. Neurotol. 2002, 23, 647–652. [Google Scholar] [CrossRef] [PubMed]
- Song, J.J.; Chae, S.W.; Woo, J.S.; Lee, H.M.; Jung, H.H.; Hwang, S.J. Differential expression of human beta defensin 2 and human beta defensin 3 in human middle ear cholesteatoma. Ann. Otol. Rhinol. Laryngol. 2007, 116, 235–240. [Google Scholar] [CrossRef]
- Moon, S.K.; Lee, H.Y.; Li, J.D.; Nagura, M.; Kang, S.H.; Chun, Y.M.; Linthicum, F.H.; Ganz, T.; Andalibi, A.; Lim, D.J. Activation of a Src-dependent Raf-MEK1/2-ERK signaling pathway is required for IL-1alpha-induced upregulation of beta-defensin 2 in human middle ear epithelial cells. Biochim. Biophys. Acta 2002, 1590, 41–51. [Google Scholar] [CrossRef] [PubMed]
- Wehkamp, K.; Schwichtenberg, L.; Schröder, J.M.; Harder, J. Pseudomonas aeruginosa- and IL-1beta-mediated induction of human beta-defensin-2 in keratinocytes is controlled by NF-kappaB and AP-1. J. Investig. Dermatol. 2006, 126, 121–127. [Google Scholar] [CrossRef] [PubMed]
- Kanda, N.; Kamata, M.; Tada, Y.; Ishikawa, T.; Sato, S.; Watanabe, S. Human β-defensin-2 enhances IFN-γ and IL-10 production and suppresses IL-17 production in T cells. J. Leukoc. Biol. 2011, 89, 935–944. [Google Scholar] [CrossRef]
- Hussein, M.R.; Sayed, R.H.; Abu-Dief, E.E. Immune cell profile in invasive cholesteatomas: Preliminary findings. Exp. Mol. Pathol. 2010, 88, 316–323. [Google Scholar] [CrossRef]
- Haworth, K.E.; Wilson, J.M.; Grevellec, A.; Cobourne, M.T.; Healy, C.; Helms, J.A.; Sharpe, P.T.; Tucker, A.S. Sonic hedgehog in the pharyngeal endoderm controls arch pattern via regulation of Fgf8 in head ectoderm. Dev. Biol. 2007, 303, 244–258. [Google Scholar] [CrossRef] [PubMed]
- Helwany, M.; Tadi, P. Embryology, Ear. In StatPearls; StatPearls Publishing: Tampa, FL, USA, 2021. [Google Scholar]








| N | Age | Ki-67 | NF-κβ | VEGF | MMP-2 | MMP-9 | TIMP-2 | TIMP-4 | IL-1 | IL-10 | HβD-2 | HβD-4 | Shh | ||||||||||||
|---|---|---|---|---|---|---|---|---|---|---|---|---|---|---|---|---|---|---|---|---|---|---|---|---|---|
| M * | P * | M * | P | M | P | M | P | M * | P | M | P | M | P | M | P | M | P | M | P * | M | P | M | P * | ||
| P1 | 58 | + | + | ++ | +++ | ++/+++ | 0/+ | ++/+++ | +/++ | 0 | + | +++ | + | +/++ | +++ | +/++ | + | ++/+++ | ++ | ++/+++ | ++ | ++ | + | +++ | ++ |
| P2 | 46 | 0/+ | 00/+ | +/++ | + | + | 0 | +/++ | +/++ | 0/+ | 0/+ | 0 | 0 | +/++ | +/++ | +/++ | + | ++ | + | ++ | ++ | 0 | ++ | ++/+++ | ++ |
| P3 | 23 | 0/+ | 00/+ | ++ | ++ | +/++ | 0/+ | 0 | + | 0/+ | 0/+ | 0/+ | +/++ | ++/+++ | ++/+++ | ++/+++ | +++ | +++ | +++ | ++ | +/++ | + | 0/+ | ++ | ++ |
| P4 | 38 | + | + | +++ | +++ | ++/+++ | 0 | +/++ | 0/+ | 0/+ | 0/+ | 0/+ | 0/+ | ++/+++ | ++/+++ | +++ | +/++ | +++ | ++ | ++/+++ | ++ | +/++ | + | ++/+++ | ++ |
| P5 | 75 | 0/+ | + | ++ | ++ | ++ | 0 | 0/+ | +/++ | 0 | + | 0 | 0/+ | ++/+++ | ++ | ++ | +/++ | ++ | ++ | ++ | +/++ | 0/+ | 0/+ | ++ | +/++ |
| P6 | 28 | 0/+ | +/++ | ++ | ++ | +++ | ++ | 0/+ | + | + | + | 00/+ | 00/+ | +++ | +++ | ++ | ++ | +/++ | ++ | +/++ | + | 0 | 00/+ | +/++ | ++ |
| P7 | 31 | + | 00/+ | ++/+++ | ++ | ++/+++ | 0/+ | + | 0/+ | ++ | + | 00/+ | 00/+ | +++/++++ | +++ | 0/+ | 0/+ | +/++ | + | + | + | 00/+ | 00/+ | ++ | ++ |
| P8 | 38 | 0/+ | 0/+ | ++ | 0/+ | ++/+++ | +/++ | +/++ | + | 0 | 0/+ | +/++ | 0/+ | ++/+++ | ++ | +/++ | + | ++/+++ | +/++ | ++ | + | 0 | 00/+ | +++ | + |
| P9 | 26 | + | + | + | ++ | + | + | + | +/++ | 0/+ | + | 0/+ | 0/+ | ++/+++ | +++ | +/++ | ++ | +/++ | +/++ | +/++ | +/++ | 0 | 00/+ | ++ | ++/+++ |
| P10 | 39 | 0/+ | 0 | + | 0 | +/++ | 0 | 00/+ | 00/+ | 0 | 0 | 0 | 0 | ++ | +/++ | 0/+ | 00/+ | 0/+ | 0/+ | + | 0 | 0 | 0 | + | 0/+ |
| P11 | 22 | 00/+ | 0/+ | +++ | ++ | ++/+++ | +/++ | ++ | ++ | + | +/++ | ++ | ++ | ++/+++ | ++ | ++ | +/++ | ++/+++ | ++ | ++/+++ | + | 0 | 00/+ | ++/+++ | +/++ |
| P12 | 19 | 00/+ | 0 | ++ | +/++ | ++/+++ | ++ | +/++ | +/++ | + | + | ++ | ++ | +++ | ++ | ++ | + | ++/+++ | ++ | +/++ | + | 0 | 00/+ | +++ | + |
| P13 | 45 | 0/+ | 0 | + | 0 | +/++ | 0 | ++ | ++ | 0 | 00/+ | 0 | 0 | 0 | 0 | 0 | 0 | 0/+ | 0/+ | 0/+ | 0/+ | 0 | 0 | +/++ | ++ |
| P14 | 24 | + | 0 | +/++ | 0/+ | ++/+++ | 0/+ | ++ | +/++ | 0 | 0 | 0 | 00/+ | ++/+++ | +/++ | 0 | 0 | + | 0/+ | + | + | + | + | +++ | ++/+++ |
| P15 | 39 | 0/++ | 00/+ | ++/+++ | 0/+ | 0/++ | 00/+ | ++/+++ | +/++ | 0 | 00/+ | 0/+ | 00/+ | +++ | ++ | 0/+ | +/++ | 0 | 0/+ | + | 00/+ | ++ | 0/+ | +++ | ++ |
| P16 | 40 | 00/+ | 0/+ | ++ | 00/+ | 00/+ | 0/+ | ++ | +/++ | 0 | 0/+ | +/++ | 00/+ | +++ | +/++ | +/++ | 0/+ | 0/+ | 00/+ | +/++ | 00/+ | ++ | 0/+ | +++ | +/++ |
| P17 | 27 | +/++ | +/++ | +++ | 0/+ | +/++ | +/++ | +++/++++ | +++ | 0 | 0/+ | ++/+++ | 0/+ | +++/++++ | ++ | 0 | + | 0 | + | + | ++ | +++ | +/++ | ++++ | +++ |
| P18 | 41 | 0/+ | 00/+ | ++ | 00/+ | 0/+ | 00/+ | ++ | + | 0/+ | + | + | 00/+ | +++ | ++ | +/++ | 00/+ | + | 00/+ | +/++ | 0/+ | +/++ | 00/+ | ++/+++ | ++ |
| P19 | 32 | 00/+ | 0/+ | +/++ | + | 00/+ | 0/+ | +/++ | + | 0/+ | +/++ | 0 | 00/+ | +++ | ++ | 0 | +/++ | 0 | 0 | + | 0/+ | 0 | 00/+ | +++ | +/++ |
| AVG | 36.37 | 0/++ | 0/+ | ++ | +/++ | +/++ | 0/++ | +/++ | +/++ | 0/+ | 0/++ | + | 0/+ | ++/+++ | ++ | + | + | +/++ | + | +/++ | + | 0/++ | 0/+ | ++/+++ | ++ |
| M–W | p | 0.000 | 0.010 | 0.001 | 0.055 | 0.073 | 0.497 | 0.279 | 0.073 | 0.008 | 0.866 | 0.055 | 0.209 | 0.188 | 0.152 | 0.120 | 0.231 | 0.534 | 0.395 | 0.094 | 0.004 | 0.169 | 0.461 | 0.188 | 0.000 |
| Ki-67 | NF-κβ | VEGF | MMP-2 | MMP-9 | TIMP-2 | TIMP-4 | IL-1 | IL-10 | HβD-2 | HβD-4 | Shh | ||||||||||||||
| N | - | E | CT | E | CT | E | CT | E | CT | E | CT | E | CT | E | CT | E | CT | E | CT | E | CT | E | CT | E | CT |
| C1 | - | 0 | 0 | 0 | 00/+ | ++/+++ | + | 0/+ | + | 0/+ | 0/+ | 0/+ | + | ++ | + | + | 0/+ | + | + | + | 0/+ | + | 0/+ | 0 | 0 |
| C2 | - | 0 | 0 | 0/+ | 0/+ | ++/+++ | + | 0 | + | +/++ | + | + | + | ++/+++ | ++ | 0 | + | ++ | ++ | + | 0 | + | 0/+ | ++ | + |
| C3 | - | 0 | 0 | 0 | 0 | ++ | 0/+ | 0 | 0/+ | 0/+ | 0/+ | + | 0 | +/++ | +/++ | 0/+ | + | ++ | ++ | 00/+ | 0 | +/++ | + | 0/+ | 0 |
| C4 | - | 00/+ | 00/+ | + | 0/+ | +++ | +/++ | +++ | + | +/++ | 0/++ | ++/+++ | + | ++/+++ | ++ | 0/+ | 0/+ | ++/+++ | ++ | ++ | 0/+ | + | 0/+ | +++/++++ | + |
| C5 | - | 0 | 0 | ++ | +/++ | +++ | + | ++/+++ | + | +/++ | +/++ | ++/+++ | + | +++ | ++ | 0 | 0/+ | ++/+++ | ++ | ++ | 0/+ | ++ | + | +++/++++ | + |
| C6 | - | 00/+ | 00/+ | + | 0/+ | ++ | 0/+ | + | + | + | 0/+ | ++ | 0/+ | ++/+++ | ++ | + | 0/+ | + | 0/+ | 0/+ | 0 | + | 0/+ | +/++ | 0/+ |
| C7 | - | 0 | 0 | 0/+ | 0 | ++ | 0 | 0/+ | + | + | 0/+ | +/++ | 0/+ | + | + | +/++ | + | +/++ | + | 0/+ | 00/+ | + | 0 | 0/+ | + |
| AVG | - | 0 | 0 | 0/++ | 0/+ | ++/+++ | 0/++ | + | + | + | 0/++ | +/++ | 0/++ | ++ | +/++ | 0/++ | 0/++ | ++ | +/++ | + | 00/+ | + | 0/+ | +/++ | 0/+ |
| Detected Factor | Mann–Whitney U Test | Z-Score | p-Value |
|---|---|---|---|
| Ki-67 matrix and Ki-67 control epithelium | 5000 | −3670 | 0.000 |
| Ki-67 perimatrix and Ki-67 control connective tissue | 23,000 | −2604 | 0.010 |
| NF-κβ matrix and NF-κβ control epithelium | 13,000 | −3176 | 0.001 |
| MMP-9 matrix and MMP-9 control epithelium | 22,000 | −2679 | 0.008 |
| HβD-2 perimatrix and HβD-2 control connective tissue | 17,000 | −2911 | 0.004 |
| Shh perimatrix and Shh control connective tissue | 8500 | −3453 | 0.000 |
| Markers | MMP-2 M | MMP-2 P | MMP-9 M | MMP-9 P | TIMP-2 M | TIMP-2 P | TIMP-4 M | TIMP-4 P | Shh M | Shh P | IL-1 M | IL-1 P | IL-10 M | IL-10 P | NF-κβ M | NF-κβ P | Ki-67 M | Ki-67 P | VEGF M | VEGF P | HβD2 M | HβD2 P | HβD4 M | HβD4 P | |
|---|---|---|---|---|---|---|---|---|---|---|---|---|---|---|---|---|---|---|---|---|---|---|---|---|---|
| MMP-2 M | Rs p | ||||||||||||||||||||||||
| MMP-2 P | Rs p | 0.626 * 0.004 | |||||||||||||||||||||||
| MMP-9 M | Rs p | −0.383 0.105 | −0.281 0.243 | ||||||||||||||||||||||
| MMP-9 P | Rs p | −0.119 0.627 | 0.003 0.989 | 0.635 * 0.004 | |||||||||||||||||||||
| TIMP-2 M | Rs p | 0.482 * 0.037 | 0.288 0.231 | 0.053 0.830 | 0.282 0.242 | ||||||||||||||||||||
| TIMP-2 P | Rs p | 0.024 0.922 | 0.205 0.399 | 0.233 0.338 | 0.466 * 0.044 | 0.697 * 0.001 * | |||||||||||||||||||
| TIMP-4 M | Rs p | 0.114 0.643 | −0.111 0.652 | 0.334 0.162 | 0.309 0.198 | 0.283 0.241 | 0.108 0.660 | ||||||||||||||||||
| TIMP-4 P | Rs p | −0.267 0.270 | −0.318 0.185 | 0.497 * 0.030 | 0.558 * 0.013 | 0.350 0.141 | 0.523 * 0.021 | 0.289 0.230 | |||||||||||||||||
| Shh M | Rs p | 0.702 * 0.001 | 0.359 0.131 | −0.275 0.255 | 0.017 0.946 | 0.543 * 0.016 | 0.309 0.199 | 0.358 0.132 | −0.107 0.662 | ||||||||||||||||
| Shh P | Rs p | 0.312 0.194 | 0.291 0.227 | −0.019 0.938 | −0.162 0.507 | 0.006 0.981 | −0.070 0.777 | 0.092 0.708 | 0.264 0.274 | 0.072 0.770 | |||||||||||||||
| IL-1 M | Rs p | −0.425 0.070 | −0.205 0.400 | 0.436 0.062 | 0.346 0.147 | 0.291 0.226 | 0.587 * 0.008 | −0.102 0.676 | 0.438 0.061 | −0.241 0.320 | −0.249 0.304 | ||||||||||||||
| IL-1 P | Rs p | −0.373 0.115 | −0.063 0.796 | 0.367 0.122 | 0.439 0.060 | 0.128 0.600 | 0.513 * 0.025 | 0.115 0.640 | 0.631 * 0.004 | −0.102 0.677 | 0.056 0.821 | 0.583 * 0.009 | |||||||||||||
| IL-10 M | Rs p | −0.354 0.138 | −0.186 0.446 | 0.382 0.107 | 0.261 0.280 | 0.285 0.238 | 0.643 * 0.003 | −0.352 0.140 | 0.431 0.065 | −0.149 0.543 | −0.164 0.503 | 0.820 * 0.000 * | 0.366 0.123 | ||||||||||||
| IL-10 P | Rs p | −0.360 0.130 | 0.016 0.948 | 0.334 0.162 | 0.279 0.247 | 0.321 0.180 | 0.734 * 0.000 | −0.206 0.397 | 0.580 * 0.009 | −0.204 0.402 | −0.009 0.971 | 0.777 * 0.000 | 0.600 * 0.007 | 0.839 * 0.000 | |||||||||||
| NF-κβ M | Rs p | 0.311 0.195 | 0.055 0.823 | 0.232 0.339 | 0.232 0.340 | 0.592 * 0.008 | 0.507 * 0.027 | 0.518 * 0.023 | 0.392 0.097 | 0.359 0.132 | 0.072 0.769 | 0.350 0.142 | 0.269 0.265 | 0.249 0.305 | 0.358 0.132 | ||||||||||
| NF-κβ P | Rs p | −0.279 0.248 | −0.123 0.616 | 0.499 * 0.030 | 0.563 * 0.012 | 0.210 0.388 | 0.624 * 0.004 * | −0.028 0.911 | 0.804 * 0.000 | −0.091 0.711 | 0.163 0.506 | 0.627 * 0.004 | 0.674 * 0.002 | 0.690 * 0.001 | 0.779 * 0.000 * | 0.389 0.100 | |||||||||
| Ki-67 M | Rs p | 0.014 0.954 | −0.068 0.783 | −0.128 0.602 | −0.185 0.449 | 0.015 0.952 | 0.030 0.903 | −0.108 0.660 | 0.358 0.132 | −0.073 0.766 | 0.683 * 0.001 | −0.155 0.527 | −0.129 0.599 | 0.120 0.625 | 0.192 0.431 | 0.040 0.870 | 0.276 0.252 | ||||||||
| Ki-67 P | Rs p | 0.040 0.870 | 0.096 0.697 | 0.028 0.911 | 0.449 0.054 | 0.352 0.139 | 0.372 0.117 | 0.213 0.382 | 0.579 * 0.009 | 0.137 0.577 | 0.235 0.333 | 0.304 0.206 | 0.585 * 0.009 | 0.128 0.600 | 0.364 0.126 | 0.406 0.084 | 0.538 * 0.017 | 0.302 0.209 | |||||||
| VEGF M | Rs p | −0.171 0.484 | −0.105 0.668 | 0.274 0.256 | 0.110 0.654 | 0.162 0.507 | 0.399 0.091 | −0.101 0.681 | 0.386 0.103 | −0.132 0.590 | −0.028 0.908 | 0.361 0.128 | 0.071 0.773 | 0.588 * 0.008 | 0.674 * 0.002 | 0.315 0.189 | 0.512 * 0.025 | 0.328 0.171 | 0.145 0.553 | ||||||
| VEGF P | Rs p | 0.070 0.776 | 0.192 0.431 | 0.368 0.121 | 0.428 0.068 | 0.581 * 0.009 | 0.549 * 0.015 | 0.475 * 0.040 | 0.403 0.087 | 0.346 0.146 | 0.012 0.963 | 0.128 0.601 | 0.293 0.224 | 0.139 0.570 | 0.308 0.200 | 0.265 0.273 | 0.221 0.364 | −0.059 0.811 | 0.308 0.199 | 0.384 0.105 | |||||
| HβD-2 M | Rs p | −0.128 0.602 | −0.048 0.845 | 0.205 0.399 | 0.372 0.117 | 0.416 0.077 | 0.616 * 0.005 | −0.322 0.178 | 0.376 0.112 | 0.040 0.870 | −0.186 0.446 | 0.822 * 0.000 | 0.463 * 0.046 * | 0.841 * 0.000 | 0.694 * 0.001 * | 0.346 0.147 | 0.654 * 0.002 | 0.000 0.998 | 0.431 0.066 | 0.326 0.173 | 0.078 0.752 | ||||
| HβD-2 P | Rs p | −0.033 0.893 | 0.189 0.438 | 0.140 0.566 | 0.197 0.419 | 0.236 0.331 | 0.491 * 0.033 | −0.201 0.410 | 0.455 0.051 | 0.118 0.631 | 0.456 * 0.050 | 0.382 0.107 | 0.382 0.106 | 0.583 * 0.009 | 0.663 * 0.002 * | 0.268 0.267 | 0.692 * 0.001 | 0.618 * 0.005 | 0.520 * 0.022 | 0.371 0.118 | 0.100 0.683 | 0.577 * 0.010 | |||
| HβD-4 M | Rs p | 0.538 * 0.018 | 0.143 0.560 | −0.414 0.078 | −0.232 0.340 | 0.412 0.080 | 0.145 0.554 | 0.313 0.192 | 0.110 0.653 | 0.483 * 0.036 | 0.420 0.073 | −0.065 0.792 | −0.096 0.696 | −0.160 0.513 | −0.094 0.703 | 0.520 * 0.022 | 0.017 0.945 | 0.297 0.218 | 0.247 0.307 | −0.186 0.447 | −0.149 0.544 | 0.040 0.870 | 0.165 0.500 | ||
| HβD-4 P | Rs p | 0.350 0.142 | 0.269 0.266 | −0.242 0.317 | −0.185 0.448 | 0.184 0.450 | 0.182 0.456 | 0.000 0.998 | 0.048 0.846 | 0.525 * 0.021 | 0.474 * 0.040 | 0.107 0.664 | 0.138 0.573 | 0.161 0.511 | 0.184 0.452 | 0.355 0.136 | 0.302 0.209 | 0.356 0.134 | 0.328 0.171 | −0.011 0.963 | −0.118 0.631 | 0.353 0.138 | 0.650 * 0.003 | 0.640 * 0.003 |
Disclaimer/Publisher’s Note: The statements, opinions and data contained in all publications are solely those of the individual author(s) and contributor(s) and not of MDPI and/or the editor(s). MDPI and/or the editor(s) disclaim responsibility for any injury to people or property resulting from any ideas, methods, instructions or products referred to in the content. |
© 2023 by the authors. Licensee MDPI, Basel, Switzerland. This article is an open access article distributed under the terms and conditions of the Creative Commons Attribution (CC BY) license (https://creativecommons.org/licenses/by/4.0/).
Share and Cite
Dambergs, K.; Sumeraga, G.; Pilmane, M. Morphopathogenesis of Adult Acquired Cholesteatoma. Medicina 2023, 59, 306. https://doi.org/10.3390/medicina59020306
Dambergs K, Sumeraga G, Pilmane M. Morphopathogenesis of Adult Acquired Cholesteatoma. Medicina. 2023; 59(2):306. https://doi.org/10.3390/medicina59020306
Chicago/Turabian StyleDambergs, Kristaps, Gunta Sumeraga, and Māra Pilmane. 2023. "Morphopathogenesis of Adult Acquired Cholesteatoma" Medicina 59, no. 2: 306. https://doi.org/10.3390/medicina59020306
APA StyleDambergs, K., Sumeraga, G., & Pilmane, M. (2023). Morphopathogenesis of Adult Acquired Cholesteatoma. Medicina, 59(2), 306. https://doi.org/10.3390/medicina59020306

