Is Diastasis Recti Abdominis Rehabilitation after Childbirth Able to Prevent the Onset of Stress Urinary Incontinence? A Case-Control Study
Abstract
:1. Introduction
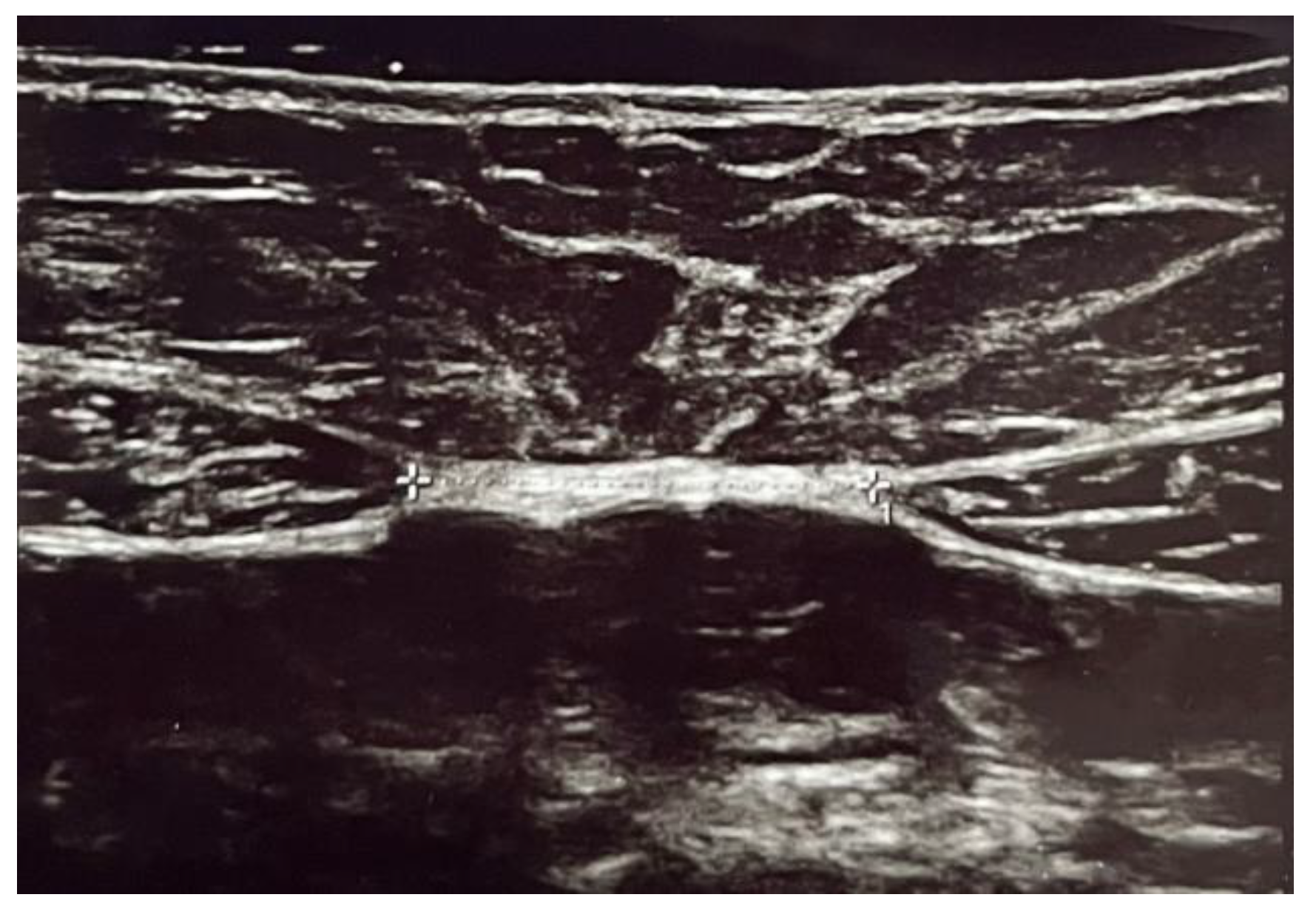
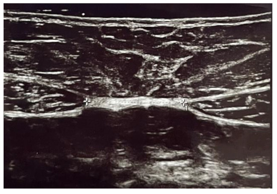
2. Materials and Methods
3. Results
4. Discussion
5. Conclusions
Author Contributions
Funding
Institutional Review Board Statement
Informed Consent Statement
Data Availability Statement
Conflicts of Interest
References
- Hallock, J.L.; Handa, V.L. The Epidemiology of Pelvic Floor Disorders and Childbirth. An Update. Obstet. Gynecol. Clin. North Am. 2016, 43, 1–13. [Google Scholar] [CrossRef]
- Nygaard, I.; Barber, M.D.; Burgio, K.L.; Kenton, K.; Meikle, S.; Schaffer, J.; Spino, C.; Whitehead, W.E.; Wu, J.; Brody, D.J.; et al. Prevalence of Symptomatic Pelvic Floor Disorders in US Women. JAMA 2008, 300, 1311–1316. [Google Scholar] [CrossRef]
- MacLennan, A.H.; Taylor, A.W.; Wilson, D.H.; Wilson, D. The Prevalence of Pelvic Floor Disorders and Their Relationship to Gender, Age, Parity and Mode of Delivery. Br. J. Obstet. Gynaecol. 2000, 107, 1460–1470. [Google Scholar] [CrossRef]
- Soligo, M.; Livio, S.; De Ponti, E.; Scebba, I.; Carpentieri, F.; Serati, M.; Ferrazzi, E. Pelvic Floor Assessment after Delivery: How Should Women Be Selected? Eur. J. Obstet. Gynecol. Reprod. Biol. 2016, 206, 153–157. [Google Scholar] [CrossRef]
- Serati, M.; Salvatore, S.; Khullar, V.; Uccella, S.; Bertelli, E.; Ghezzi, F.; Bolis, P. Prospective study to assess risk factors for pelvic floor dysfunction after delivery. Acta Obstet. Gynecol. Scand. 2008, 87, 313–318. [Google Scholar] [CrossRef]
- Haylen, B.T.; De Ridder, D.; Freeman, R.M.; Swift, S.E.; Berghmans, B.; Lee, J.; Monga, A.; Petri, E.; Rizk, D.E.; Sand, P.K.; et al. An International Urogynecological Association (IUGA)/International Continence Society (ICS) joint report on the terminology for female pelvic floor dysfunction. Int. Urogynecol. J. 2010, 21, 5–26. [Google Scholar] [CrossRef]
- Thom, D.H.; Rortveit, G. Prevalence of postpartum urinary incontinence: A systematic review. Acta Obstet. Gynecol. Scand. 2010, 89, 1511–1522. [Google Scholar] [CrossRef] [PubMed]
- Nambiar, A.K.; Bosch, R.; Cruz, F.; Lemack, G.E.; Thiruchelvam, N.; Tubaro, A.; Bedretdinova, D.A.; Ambühl, D.; Farag, F.; Lombardo, R.; et al. EAU Guidelines on Assessment and Nonsurgical Management of Urinary Incontinence. Eur. Urol. 2018, 73, 596–609. [Google Scholar] [CrossRef] [PubMed]
- Cardozo, L.; Rovner, E.; Wagg, A.; Wein, A.; Abrams, P. (Eds.) Incontinence, 7th ed.; International Continence Society: Bristol, UK, 2023; ISBN 978-0-9569607-4-0. [Google Scholar]
- Thompson, J.A.; O’Sullivan, P.B.; Briffa, N.K.; Neumann, P. Altered muscle activation patterns in symptomatic women during pelvic floor muscle contraction and Valsalva manouvre. Neurourol. Urodyn. 2006, 25, 268–276. [Google Scholar] [CrossRef] [PubMed]
- Kurz, J.; Borello-France, D. Movement System Impairment-Guided Approach to the Physical Therapist Treatment of a Patient with Postpartum Pelvic Organ Prolapse and Mixed Urinary Incontinence: Case Report. Phys. Ther. 2017, 97, 464–477. [Google Scholar] [CrossRef]
- Moore, K.; Dalley, A.; Agur, A. Abdomen. In Clinically Oriented Anatomy, 6th ed.; Wolters Kluwer Health: Lippincott Williams & Wilkins: Philadelphia, PA, USA, 2010. [Google Scholar]
- Lee, D.; Hodges, P.W. Behavior of the Linea Alba during a Curl-up Task in Diastasis Rectus Abdominis: An Observational Study. J. Orthop. Sports Phys. Ther. 2016, 46, 580–589. [Google Scholar] [CrossRef] [PubMed]
- Smith, M.D.; Coppieters, M.W.; Hodges, P.W. Postural response of the pelvic floor and abdominal muscles in women with and without incontinence. Neurourol. Urodynamics 2007, 26, 377–385. [Google Scholar] [CrossRef] [PubMed]
- Wang, Q.; Yu, X.; Chen, G.; Sun, X.; Wang, J. Does diastasis recti abdominis weaken pelvic floor function? A cross-sectional study. Int. Urogynecol. J. 2020, 31, 277–283. [Google Scholar] [CrossRef]
- Gluppe, S.; Engh, M.E.; Bø, K. What is the evidence for abdominal and pelvic floor muscle training to treat diastasis recti abdominis postpartum? A systematic review with meta-analysis. Braz. J. Phys. Ther. 2021, 25, 664–675. [Google Scholar] [CrossRef]
- Aparicio, L.F.; Rejano-Campo, M.; Donnelly, G.M.; Vicente-Campos, V. Self-reported symptoms in women with diastasis rectus abdominis: A systematic review. J. Gynecol. Obstet. Hum. Reprod. 2021, 50, 101995. [Google Scholar] [CrossRef] [PubMed]
- Spitznagle, T.M.; Leong, F.C.; Van Dillen, L.R. Prevalence of diastasis recti abdominis in a urogynecological patient population. Int. Urogynecol. J. Pelvic Floor Dysfunct. 2007, 18, 321–328. [Google Scholar] [CrossRef]
- Smith, C.A.; Smith, E.A.; Parrott, T.S.; Broecker, B.H.; Woodard, J.R. Voiding function in patients with the prune-belly syndrome after monfort abdominoplasty. J. Urol. 1998, 159, 1675–1679. [Google Scholar] [CrossRef]
- Mast, B.A. Alleviation of Urinary Incontinence After Abdominoplasty. Ann. Plast. Surg. 1999, 42, 456–457. [Google Scholar] [CrossRef]
- Fei, H.; Liu, Y.; Li, M.; He, J.; Liu, L.; Li, J.; Wan, Y.; Li, T. The relationship of severity in diastasis recti abdominis and pelvic floor dysfunction: A retrospective cohort study. BMC Women’s Health 2021, 21, 68. [Google Scholar] [CrossRef]
- Braga, A.; Barba, M.; Serati, M.; Soligo, M.; Marzi, V.L.; Agrò, E.F.; Musco, S.; Caccia, G.; Castronovo, F.; Manodoro, S.; et al. Update on Italian-validated questionnaires for pelvic floor disorders. Minerva Obstet. Gynecol. 2023, 75, 62–68. [Google Scholar] [CrossRef]
- Rosier, P.F.; Schaefer, W.; Lose, G.; Goldman, H.B.; Guralnick, M.; Eustice, S.; Dickinson, T.; Hashim, H. International Continence Society Good Urodynamic Practices and Terms 2016: Urodynamics, uroflowmetry, cystometry, and pressure-flow study. Neurourol. Urodyn. 2017, 36, 1243–1260. [Google Scholar] [CrossRef] [PubMed]
- Rosmini, F.; Ferrigno, L. Istisan Reports 15/44—Ethical Aspects of Epidemiological Research. 2015. Available online: https://www.iss.it/serie/-/asset_publisher/Ga8fOpve0fNN/content/15-44-aspetti-etici-della-ricerca-epidemiologica.francesco-rosmini-luigina-ferrigno-2015-32-p (accessed on 22 September 2023).
- Wu, L.; Gu, Y.; Gu, Y.; Wang, Y.; Lu, X.; Zhu, C.; Lu, Z.; Xu, H. Diastasis recti abdominis in adult women based on abdominal computed tomography imaging: Prevalence, risk factors and its impact on life. J. Clin. Nurs. 2021, 30, 518–527. [Google Scholar] [CrossRef] [PubMed]
- Cavalli, M.; Aiolfi, A.; Bruni, P.G.; Manfredini, L.; Lombardo, F.; Bonfanti, M.T.; Bona, D.; Campanelli, G. Prevalence and risk factors for diastasis recti abdominis: A review and proposal of a new anatomical variation. Hernia 2021, 25, 883–890. [Google Scholar] [CrossRef] [PubMed]
- Boissonnault, J.S.; Blaschak, M.J. Incidence of Diastasis Recti Abdominis During the Childbearing Year. Phys. Ther. 1988, 68, 1082–1086. [Google Scholar] [CrossRef] [PubMed]
- Sperstad, J.B.; Tennfjord, M.K.; Hilde, G.; Ellström-Engh, M.; Bø, K. Diastasis recti abdominis during pregnancy and 12 months after childbirth: Prevalence, risk factors and report of lumbopelvic pain. Br. J. Sports Med. 2016, 50, 1092–1096. [Google Scholar] [CrossRef]
- Gustavsson, C.; Eriksson-Crommert, M. Physiotherapists’ and midwives’ views of increased inter recti abdominis distance and its management in women after childbirth. BMC Women’s Health 2020, 20, 37. [Google Scholar] [CrossRef]
- Zhang, Y.; Zuo, X. Impact of a postpartum care rehabilitation program to prevent postpartum depression at a secondary municipal hospital in Qingdao China: A cross-sectional study. BMC Pregnancy Childbirth 2023, 23, 239. [Google Scholar] [CrossRef]
- Liang, P.; Liang, M. Rehabilitation programme including EMG-biofeedbackassisted pelvic floor muscle training for rectus diastasis after childbirth: A randomised controlled trial. Physiotherapy 2022, 117, 16–21. [Google Scholar] [CrossRef]
- Coldron, Y.; Stokes, M.J.; Newham, D.J.; Cook, K. Postpartum characteristics of rectus abdominis on ultrasound imaging. Man. Ther. 2008, 13, 112–121. [Google Scholar] [CrossRef]
- Liu, X.; Wang, Q.; Chen, Y.; Luo, J.; Wan, Y. Factors Associated with Stress Urinary Incontinence and Diastasis of Rectus Abdominis in Women at 6–8 Weeks Postpartum. Urogynecology 2023, 29, 844–850. [Google Scholar] [CrossRef]
- Kucukkaya, B.; Sut, H.K. Effectiveness of pelvic floor muscle and abdominal training in women with stress urinary incontinence. Psychol. Health Med. 2021, 26, 779–786. [Google Scholar] [CrossRef]
- Michalska, A.; Rokita, W.; Wolder, D.; Pogorzelska, J.; Kaczmarczyk, K. Diastasis recti abdominis—A review of treatment methods. Ginekol. Polska 2018, 89, 97–101. [Google Scholar] [CrossRef]
- Gluppe, S.B.; Engh, M.E.; Bø, K. Immediate Effect of Abdominal and Pelvic Floor Muscle Exercises on Interrecti Distance in Women with Diastasis Recti Abdominis Who Were Parous. Phys. Ther. 2020, 100, 1372–1383. [Google Scholar] [CrossRef] [PubMed]
- Gluppe, S.L.; Hilde, G.; Tennfjord, M.K.; Engh, M.E.; Bø, K. Effect of a Postpartum Training Program on the Prevalence of Diastasis Recti Abdominis in Postpartum Primiparous Women: A Randomized Controlled Trial. Phys. Ther. 2018, 98, 260–268. [Google Scholar] [CrossRef] [PubMed]
- Braga, A.; Caccia, G.; Nasi, I.; Ruggeri, G.; Di Dedda, M.C.; Lamberti, G.; Salvatore, S.; Papadia, A.; Serati, M. Diastasis recti abdominis after childbirth: Is it a predictor of stress urinary incontinence? J. Gynecol. Obs. Hum. Reprod. 2019, 26, 101657. [Google Scholar] [CrossRef] [PubMed]




| SUI Group | Control Group | p Value | |
|---|---|---|---|
| N = 102 | N = 100 | ||
| Age, yr, median, (IQR) | 59.2 (57.5–69) | 58.4 (57.5–66.6) | 0.87 |
| BMI, kg/m2, median, (IQR) | 24 (25–29) | 23.4 (23–25.8) | 0.72 |
| Menopause, (%) | 65 (63.7) | 66 (66) | 1 |
| Parity, median, (IQR) | 2 (1–4) | 2 (1–4) | 0.33 |
| Vacuum/forceps extraction, (%) | 10 (9.8) | 10 (10) | 1 |
| Cesarean section, (%) | 15 (14.7) | 16 (16) | 0.84 |
| Macrosome > 4000 gr, (%) | 17 (16.7) | 20 (20) | 0.58 |
| Smoking habits, (%) | 18 (17.6) | 22 (22) | 0.48 |
| Previous Hysterectomy, (%) | 26 (25.5) | 13 (13) | 0.03 |
| Hormone Replace Therapy, (%) | 7 (6.8) | 8 (8) | 0.79 |
| Questionnaire | SUI Group |
|---|---|
| (m/IQR) | |
| ICI-Q SF | 13 (9–16) |
| UDI-6 SF | 57 (46–67) |
| IIQ-7 SF | 27.5 (11–55) |
| VAS | 7.5 (5–9) |
| MUCP (cmH2O) | 47 (31–64) |
| I-OpenP (cmH2O) | 8 (4–15) |
| VLPP (cmH2O) | 60 (21–82) |
| SUI Group | Control Group | p Value | |
|---|---|---|---|
| N = 102 | N = 100 | ||
| DRA superior | 2.12 ± 0.98 | 2.1 ± 0.77 | 0.94 |
| DRA inferior | 0.98 ± 0.9 | 1.33 ± 0.87 | 0.009 |
Disclaimer/Publisher’s Note: The statements, opinions and data contained in all publications are solely those of the individual author(s) and contributor(s) and not of MDPI and/or the editor(s). MDPI and/or the editor(s) disclaim responsibility for any injury to people or property resulting from any ideas, methods, instructions or products referred to in the content. |
© 2023 by the authors. Licensee MDPI, Basel, Switzerland. This article is an open access article distributed under the terms and conditions of the Creative Commons Attribution (CC BY) license (https://creativecommons.org/licenses/by/4.0/).
Share and Cite
Braga, A.; Galli, L.; Caccia, G.; Amato, G.; Papadia, A.; Torella, M.; Salvatore, S.; Scancarello, C.; Baruch, Y.; Serati, M. Is Diastasis Recti Abdominis Rehabilitation after Childbirth Able to Prevent the Onset of Stress Urinary Incontinence? A Case-Control Study. Medicina 2023, 59, 2182. https://doi.org/10.3390/medicina59122182
Braga A, Galli L, Caccia G, Amato G, Papadia A, Torella M, Salvatore S, Scancarello C, Baruch Y, Serati M. Is Diastasis Recti Abdominis Rehabilitation after Childbirth Able to Prevent the Onset of Stress Urinary Incontinence? A Case-Control Study. Medicina. 2023; 59(12):2182. https://doi.org/10.3390/medicina59122182
Chicago/Turabian StyleBraga, Andrea, Livia Galli, Giorgio Caccia, Giulia Amato, Andrea Papadia, Marco Torella, Stefano Salvatore, Chiara Scancarello, Yoav Baruch, and Maurizio Serati. 2023. "Is Diastasis Recti Abdominis Rehabilitation after Childbirth Able to Prevent the Onset of Stress Urinary Incontinence? A Case-Control Study" Medicina 59, no. 12: 2182. https://doi.org/10.3390/medicina59122182
APA StyleBraga, A., Galli, L., Caccia, G., Amato, G., Papadia, A., Torella, M., Salvatore, S., Scancarello, C., Baruch, Y., & Serati, M. (2023). Is Diastasis Recti Abdominis Rehabilitation after Childbirth Able to Prevent the Onset of Stress Urinary Incontinence? A Case-Control Study. Medicina, 59(12), 2182. https://doi.org/10.3390/medicina59122182

