Introducing an Innovative Approach for Managing Proximal Non-Cavitated Carious Lesions in Juvenile Permanent Dentition: Combining Orthodontic Separators and Silver Fluoride Application
Abstract
:1. Introduction
2. Case Presentations
- Clinical diagnostics: Proximal surfaces were screened with a near-infrared imaging system and revealed the presence of both enamel and dentine lesions.
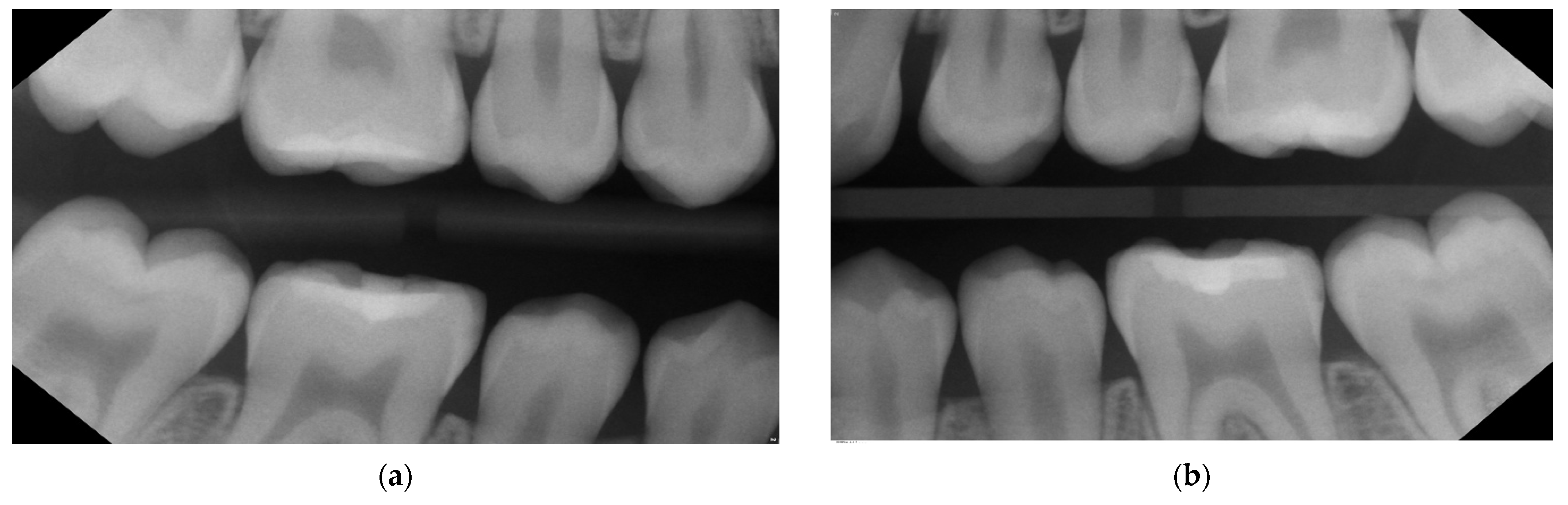
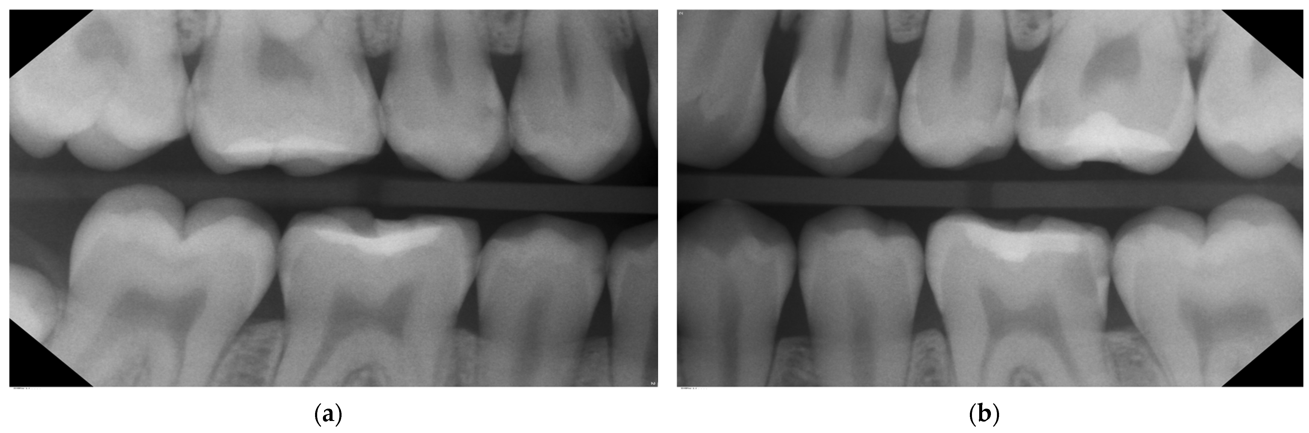
- Bitewings radiographs: During the same dental visit, bitewing X-rays were taken to confirm the presence of lesions and to determine their depth and proximity to the pulp (Figure 1). The ADA proximal caries classification system was used to diagnose and monitor progression of these lesions: E1: lesion in the outer half of the enamel; E2: lesion within the inner half of the enamel; D1: lesion passing the enamel dentin junction (EDJ) and within the outer third of dentin; D2: lesion within the 2nd third of the dentine; D3: deep lesion passing the 2nd third of the dentin [16]. For evaluations of the bitewing X-rays, three calibrated pediatric dentists classified the lesions independently in a dark room with the option to digitally modify the contrast and brightness of the X-rays. In the rare cases of disagreement, consent was reached via a discussion (Table 1). Bitewings were taken using a Sirona Heliodent DS and a Xios XG supreme intraoral sensor, with a standard dose of 0.16 mAs. The same criteria for bitewings were considered also for the follow-up visit which was at the same time the pre-SDF radiographic examination (Figure 2).
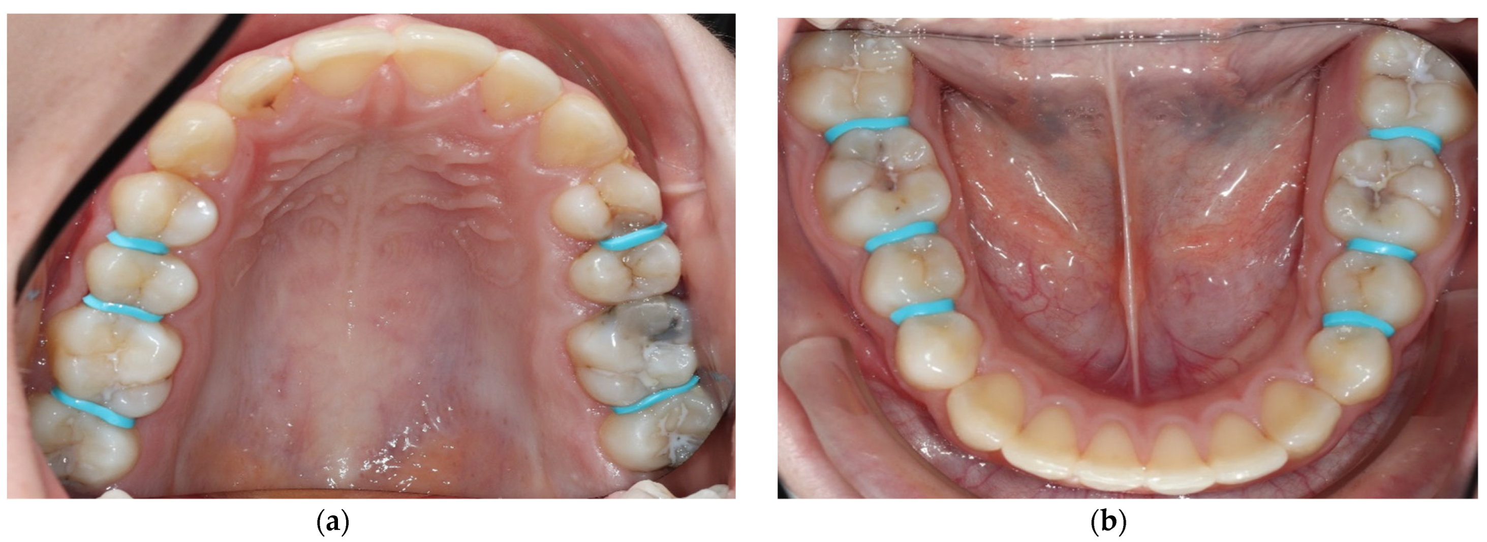
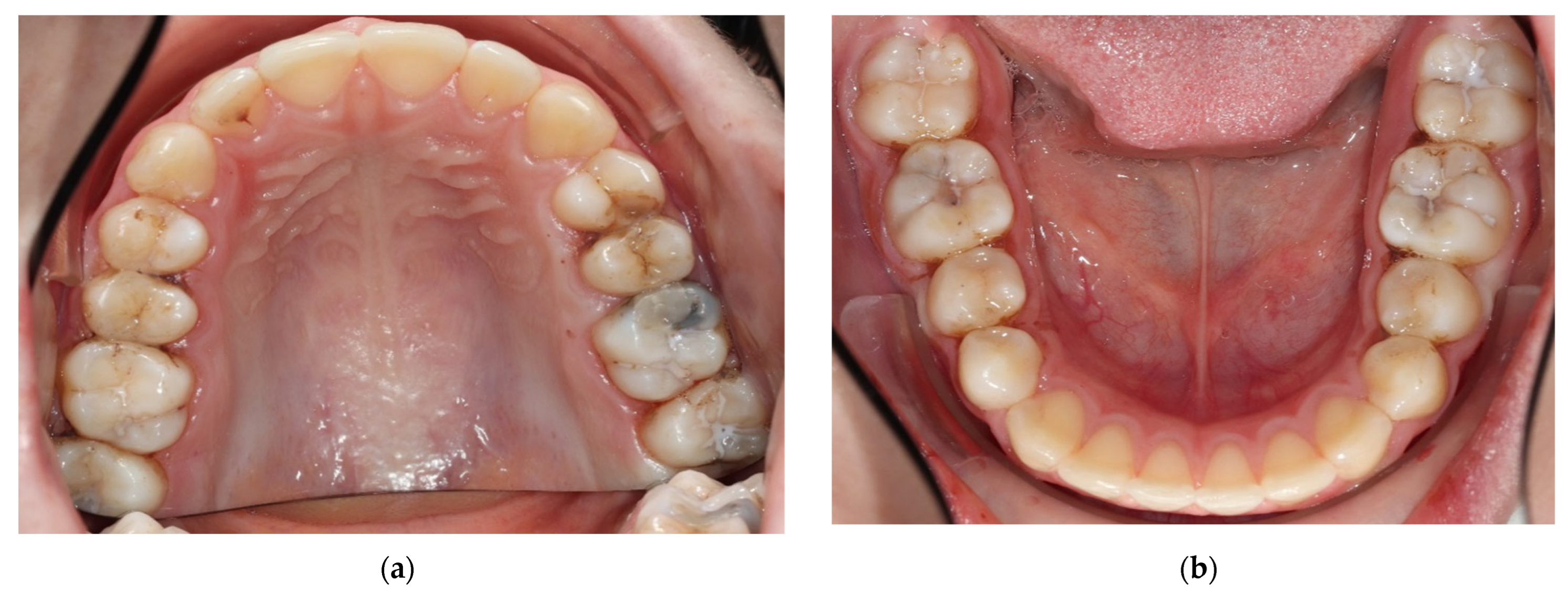
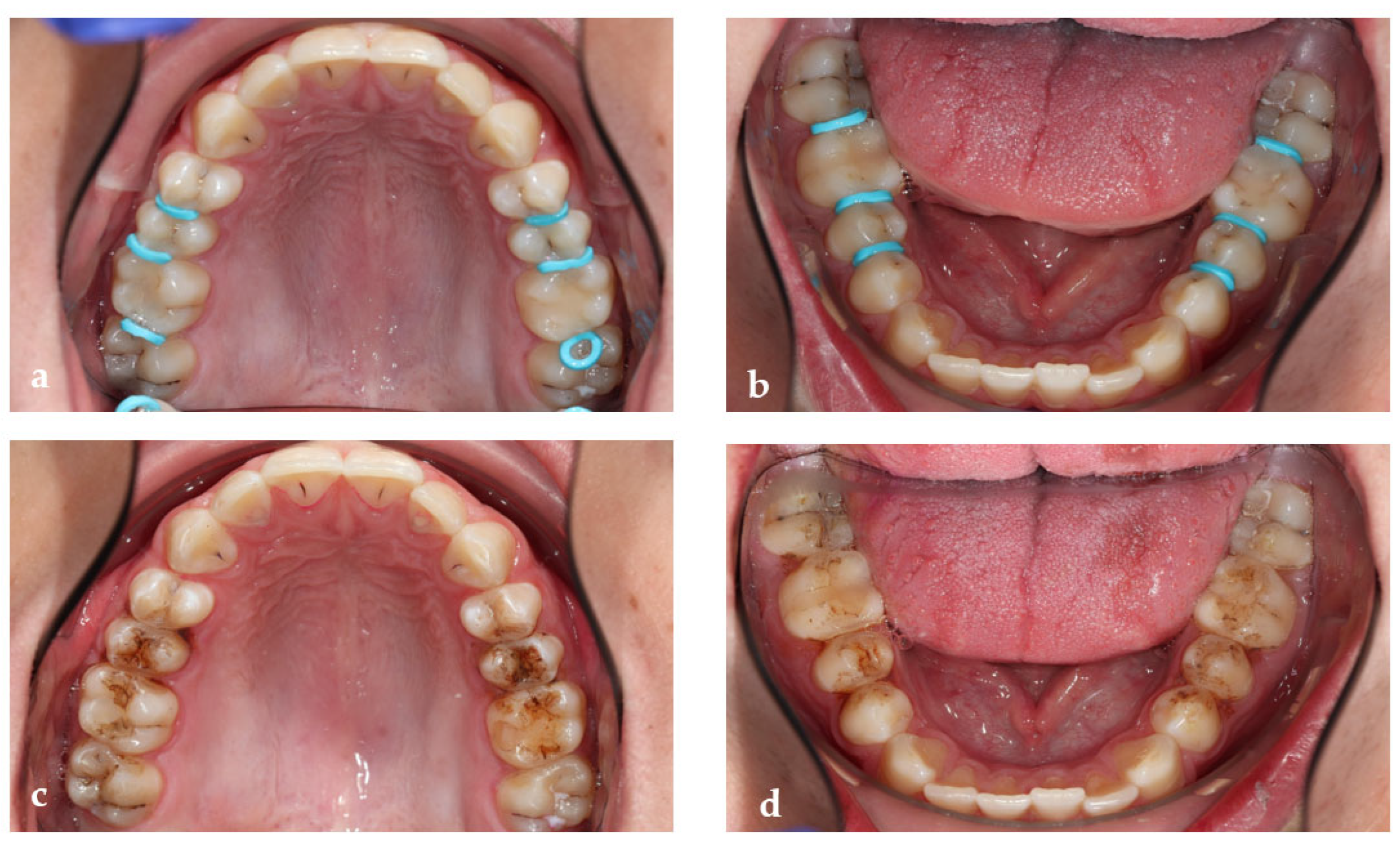
- Tooth separation with orthodontic rubbers: This revealed the absence of cavitation (Figure 3a,b).
- Prophylaxis program
- 2.
- Indicated use of SF
- (1)
- Placement of orthodontic separators
- (2)
- SF application (Riva Star®, SDI)
- ▪
- Petroleum gel was used to protect and avoid/reduce staining of lips and surrounding extra-oral soft tissue [19].
- ▪
- Other tooth surfaces were isolated using cotton rolls and a saliva ejector to minimize unwanted staining or irritation of soft tissue or other surfaces.
- ▪
- Using air, the area was dried before application of the material.
- ▪
- SF was applied using a micro-brush for about 30 s to one minute per proximal area [20].
- ▪
- A light curing of 10 s for each proximal space was used to accelerate activation of SF and to allow SF to penetrate deeper into the lesion [21].
- ▪
- Prophylaxis program
3. Discussion
4. Conclusions
5. Patients’ Perspective
Author Contributions
Funding
Institutional Review Board Statement
Informed Consent Statement
Data Availability Statement
Acknowledgments
Conflicts of Interest
References
- Marsh, P. In Sickness and in Health—What Does the Oral Microbiome Mean to Us? An Ecological Perspective. Adv. Dent. Res. 2018, 29, 60–65. [Google Scholar] [CrossRef] [PubMed]
- Kachuie, M.; Khoroushi, M. Prevention and treatment of white spot lesions in orthodontic patients. Contemp. Clin. Dent. 2017, 8, 11–19. [Google Scholar] [CrossRef] [PubMed]
- Rechmann, P.; Kinsel, R.; Featherstone, J.D.B. Integrating Caries Management by Risk Assessment (CAMBRA) and Prevention Strategies Into the Contemporary Dental Practice. Compend. Contin. Educ. Dent. 2018, 39, 226. [Google Scholar]
- Agarwal, D.; Machale, P.S.; Hegde-Shetiya, S. The Incipient Caries. J. Contemp. Dent. 2013, 3, 20–24. [Google Scholar] [CrossRef]
- Mejàre, I.; Källestål, C.; Stenlund, H. Incidence and Progression of Approximal Caries from 11 to 22 Years of Age in Sweden: A Prospective Radiographic Study. Caries Res. 1999, 33, 93–100. [Google Scholar] [CrossRef]
- Splieth, C.; Kanzow, P.; Wiegand, A.; Schmoeckel, J.; Jablonski-Momeni, A. How to intervene in the caries process: Proximal caries in adolescents and adults—A systematic review and meta-analysis. Clin. Oral Investig. 2020, 24, 1623–1636. [Google Scholar] [CrossRef]
- Contreras, V.; Toro, M.J.; Elías-Boneta, A.R.; Encarnación-Burgos, A. Effectiveness of silver diamine fluoride in caries prevention and arrest: A systematic literature review. Gen. Dent. 2017, 65, 22–28. [Google Scholar]
- Macey, R.; Walsh, T.; Riley, P.; Hogan, R.; Glenny, A.-M.; Worthington, H.V.; E Clarkson, J.; Ricketts, D. Transillumination and optical coherence tomography for the detection and diagnosis of enamel caries. Cochrane Database Syst. Rev. 2021, 2021, CD013855. [Google Scholar]
- Shimada, Y.; Burrow, M.F.; Araki, K.; Zhou, Y.; Hosaka, K.; Sadr, A.; Yoshiyama, M.; Miyazaki, T.; Sumi, Y.; Tagami, J. 3D imaging of proximal caries in posterior teeth using optical coherence tomography. Sci. Rep. 2020, 10, 15754. [Google Scholar] [CrossRef]
- Croll, T.P.; Berg, J. Delivery Methods of Silver Diammine Fluoride to Contacting Proximal Tooth Surfaces and History of Silver in Dentistry. Compend. Contin. Educ. Dent. 2020, 41, 84–89. [Google Scholar]
- Oliveira, B.H.; Rajendra, A.; Veitz-Keenan, A.; Niederman, R. The Effect of Silver Diamine Fluoride in Preventing Caries in the Primary Dentition: A Systematic Review and Meta-Analysis. Caries Res. 2018, 53, 24–32. [Google Scholar] [CrossRef] [PubMed]
- Gao, S.S.; Zhao, I.S.; Hiraishi, N.; Duangthip, D.; Mei, M.L.; Lo, E.C.; Chu, C.H. Clinical Trials of Silver Diamine Fluoride in Arresting Caries among Children: A Systematic Review. JDR Clin. Trans. Res. 2016, 1, 201–210. [Google Scholar] [CrossRef] [PubMed]
- Punyanirun, K.; Yospiboonwong, T.; Kunapinun, T.; Thanyasrisung, P.; Trairatvorakul, C. Silver diamine fluoride remineralized artificial incipient caries in permanent teeth after bacterial pH-cycling in-vitro. J. Dent. 2018, 69, 55–59. [Google Scholar] [CrossRef] [PubMed]
- Idoraşi, L.; Crăciunescu, E.L.; Stan, A.T.; Sinescu, C.; Chiş, A.C.; Onchiş-Moacă, D.; Romînu, M.; Negruţiu, M.L. Morphological aspects in remineralizing potential of Silver Diamine Fluoride. Rom. J. Morphol. Embryol. 2021, 62, 537–543. [Google Scholar] [CrossRef] [PubMed]
- Riley, D.S.; Barber, M.S.; Kienle, G.S.; Aronson, J.K.; von Schoen-Angerer, T.; Tugwell, P.; Kiene, H.; Helfand, M.; Altman, D.G.; Sox, H.; et al. CARE guidelines for case reports: Explanation and elaboration document. J. Clin. Epidemiol. 2017, 89, 218–235. [Google Scholar] [CrossRef]
- Young, D.A.; Nový, B.B.; Zeller, G.G.; Hale, R.; Hart, T.C.; Truelove, E.L.; Ekstrand, K.R.; Featherstone, J.D.; Fontana, M.; Ismail, A.; et al. The american dental association caries classification system for clinical practice: A report of the american dental association council on scientific affairs. JADA 2015, 146, 79–86. [Google Scholar]
- Mialhe, F.; Pereira, A.; Meneghim, M.; Ambrosano, G.; Pardi, V. The relative diagnostic yields of clinical, FOTI and radiographic examinations for the detection of approximal caries in youngsters. Indian. J. Dent. Res. 2009, 20, 136–140. [Google Scholar] [CrossRef]
- Ekstrand, K.R.; Zero, D.T.; Martignon, S.; Pitts, N.B. Detection, Assessment, Diagnosis and Monitoring of Caries. Monogr. Oral Sci. 2009, 21, 63–90. Available online: http://karger.com/books/book/chapter-pdf/2098567/000224213.pdf (accessed on 24 October 2023).
- Crystal, Y.O.; Marghalani, A.A.; Ureles, S.D. Chairside Guide: Silver Diamine Fluoride in the Management of Dental Caries Lesions. Pediatr. Dent. 2017, 39, 135–145. [Google Scholar]
- Young, D.A.; Quock, R.L.; Horst, J.; Kaur, R.; MacLean, J.K.; Frachella, J.C.; Duffin, S.; Semprum-Clavier, A.; Zandona, A.G. Clinical Instructions for Using Silver Diamine Fluoride (SDF) in Dental Caries Management. Compend. Contin. Educ. Dent. 2021, 42, 5–9. [Google Scholar]
- Hassan, M.; Bakhurji, E.; Alsheikh, R. Application of Er,Cr:YSGG laser versus photopolymerization after silver diamine fluoride in primary teeth. Sci. Rep. 2021, 11, 20780. [Google Scholar] [CrossRef] [PubMed]
- Ruff, R.R.; Whittemore, R.; Grochecki, M.; Bateson, J.; Barry Godín, T.J. Silver diamine fluoride and oral health-related quality of life: A review and network meta-analysis. PLoS ONE 2022, 17, e0261627. [Google Scholar] [CrossRef] [PubMed]
- Mitchell, C.; Gross, A.J.; Milgrom, P.; Mancl, L.; Prince, D.B. Silver diamine fluoride treatment of active root caries lesions in older adults: A case series. J. Dent. 2021, 105, 103561. [Google Scholar] [CrossRef]
- Keys, T.; Burrow, M.F.; Rajan, S.; Rompre, P.; Doméjean, S.; Muller-Bolla, M.; Manton, D.J. Carious lesion management in children and adolescents by Australian dentists. Aust. Dent. J. 2019, 64, 282–292. [Google Scholar] [CrossRef]
- Daruich, P.; Brizuela, M. Remineralization of Initial Carious Lesions; StatPearls: Treasure Island, FL, USA, 2022. [Google Scholar]
- Schwendicke, F.; Meyer-Lueckel, H.; Stolpe, M.; Dörfer, C.E.; Paris, S. Costs and Effectiveness of Treatment Alternatives forProximal Caries Lesions. PLoS ONE 2014, 1, E86992. [Google Scholar]
- Melo, M.; Pascual, A.; Camps, I.; Ata-Ali, F.; Ata-Ali, J. Combined Near-Infrarred Light Transillumination and Direct Digital Radiography Increases Diagnostic in Approximal Caries. Sci. Rep. 2019, 9, 14224. [Google Scholar] [CrossRef]
- Yalçın Yeler, D.; Koraltan, M. Diagnostic accuracy of five different techniques for detection of approximal caries. Acta Odontol. Turc. 2017, 35, 9–16. [Google Scholar] [CrossRef]
- Alammar, R.; Sadaf, D. Accurate detection of non-cavitated proximal caries in posterior permanent teeth: An in vivo study. Risk Manag. Healthc. Policy 2020, 13, 1431–1436. [Google Scholar] [CrossRef]
- Schwendicke, F.; Göstemeyer, G. Conventional bitewing radiography. Clin. Dent. Rev. 2020, 4, 22–30. [Google Scholar] [CrossRef]
- Chray, M.; Khorn, S.; Da, S.; Turton, B.; Durward, C. Pilot evaluation of the therapeutic effect of Silver Diamine Fluoride (SDF) in Arresting dental caries in the primary teeth of Cambodian slum children. In Proceedings of the 11th International Dentistry Scientific Meeting (IDSM 2017), Central Jakarta, Indonesia, 16–17 September 2017; Atlantis Press: Amsterdam, The Netherlands, 2018; pp. 125–133. [Google Scholar]
- Amaechi, B.T. Remineralization Therapies for Initial Caries Lesions. Curr. Oral Health Rep. 2015, 2, 95–101. [Google Scholar] [CrossRef]
- Dorri, M.; Dunne, S.M.; Walsh, T.; Schwendicke, F. Micro-invasive interventions for managing proximal dental decay in primary and permanent teeth. Cochrane Database Syst. Rev. 2015, 11, CD010431. [Google Scholar] [CrossRef] [PubMed]
- Sorkhdini, P.; Crystal, Y.O.; Tang, Q.; Lippert, F. The effect of silver diamine fluoride on the remineralization of early enamel carious lesions under pH-cycling conditions. JADA Found. Sci. 2022, 1, 100006. [Google Scholar] [CrossRef]
- Kidd, E.A.M.; Fejerskov, O. What Constitutes Dental Caries? Histopathology of Carious Enamel and Dentin Related to the Action of Cariogenic Biofilms. J. Dent. Res. 2004, 83, 35–38. [Google Scholar] [CrossRef] [PubMed]
- Merchant, A.T. Flossing for 2 Weeks Reduces Microbes Associated with Oral Disease. J. Evid. Based Dent. Pract. 2009, 9, 223–224. [Google Scholar] [CrossRef] [PubMed]
- Corby, P.M.; Biesbrock, A.; Bartizek, R.; Corby, A.L.; Monteverde, R.; Ceschin, R.; Bretz, W.A. Treatment Outcomes of Dental Flossing in Twins: Molecular Analysis of the Interproximal Microflora | Enhanced Reader. J. Periodontol. 2008, 79, 1426–1433. [Google Scholar] [CrossRef]
- Ashkenazi, M.; Bidoosi, M.; Levin, L. Factors associated with reduced compliance of children to dental preventive measures. Odontology 2012, 100, 241–248. [Google Scholar] [CrossRef]
- Ekstrand, K.R.; Bakhshandeh, A.; Martignon, S.; Ekstrand, K. Treatment of Proximal Superficial Caries Lesions on Primary Molar Teeth with Resin Infiltration and Fluoride Varnish versus Fluoride Varnish Only: Efficacy after 1 Year. Caries Res. 2010, 44, 41–46. [Google Scholar] [CrossRef]
- Altarabulsi, M.B.; Alkilzy, M.; Petrou, M.A.; Splieth, C. Aus der Abteilung für präventive Zahnmedizin und Kinderzahnheilkunde Clinical Applicability, Safety and Effect of Resin Infiltration for Proximal Caries. Eur. J. Paediatr. Dent. 2012, 15, 39–44. [Google Scholar]
- Alkilzy, M.; Berndt, C.; Splieth, C.H. Sealing proximal surfaces with polyurethane tape: Three-year evaluation. Clin. Oral Investig. 2011, 15, 879–884. [Google Scholar] [CrossRef]
- Chen, Y.; Chen, D.; Lin, H. Infiltration and sealing for managing non-cavitated proximal lesions: A systematic review and meta-analysis. BMC Oral Health 2020, 21, 13. [Google Scholar] [CrossRef]
- Diab, E.; Hesse, D.; Bonifacio, C.C. A retrospective clinical study on the resin infiltration of proximal caries lesions: The operator’s effect. Eur. Arch. Paediatr. Dent. 2021, 22, 879–885. [Google Scholar] [CrossRef] [PubMed]
- Crystal, Y.O.; Niederman, R. Evidence-Based Dentistry Update on Silver Diamine Fluoride. Dent. Clin. N. Am. 2019, 63, 45–68. [Google Scholar] [CrossRef] [PubMed]
- Crystal, Y.O.; Janal, M.N.; Hamilton, D.S.; Niederman, R. Parental perceptions and acceptance of silver diamine fluoride staining. JADA 2017, 148, 510–518. [Google Scholar] [CrossRef] [PubMed]










| Tooth | 17 | 16 | 15 | 14 | 24 | 25 | 26 | 27 | ||||||
|---|---|---|---|---|---|---|---|---|---|---|---|---|---|---|
| Surface | M | D | M | D | M | D | M | M | D | M | D | M | D | M |
| Figure 1—11/2019 | ? | 0 | E1 | E2 | E2 | E2 | D1 | 0 | D1 | E2 | D1 | D2 | 0 | 0 |
| Figure 2—02/2022 | ? | D1 | D1 | D1 | E2 | D1 | - | - | D2 | D1 | D1 | D3 | E2 | ? |
| Figure 6—07/2023 | ? | D1 | D1 | D1 | E2 | D1 | F | 0 | F | F | D1 | F | E2 | 0 |
| Tooth | 47 | 46 | 45 | 44 | 34 | 35 | 36 | 37 | ||||||
| Surface | M | D | M | D | M | D | D | M | D | M | D | M | ||
| Figure 1—11/2019 | 0 | 0 | E1 | E1 | 0 | 0 | E2 | E1 | E2 | 0 | 0 | ? | ||
| Figure 2—02/2022 | 0 | 0 | E1 | E2 | 0 | 0 | E2 | E1 | E2 | E1 | E1 | ? | ||
| Figure 6—07/2023 | 0 | 0 | E1 | E2 | 0 | 0 | E2 | E1 | E2 | E1 | ? | 0 | ||
| Tooth | 17 | 16 | 15 | 14 | 24 | 25 | 26 | 27 | ||||||
|---|---|---|---|---|---|---|---|---|---|---|---|---|---|---|
| Surface | M | D | M | D | M | D | M | M | D | M | D | M | D | M |
| Figure 7—02/2019 | 0 | 0 | E1 | 0 | 0 | 0 | 0 | 0 | 0 | 0 | E1 | D1 | 0 | 0 |
| Figure 8—03/2022 | E1 | D1 | E1 | E2 | D1 | E2 | 0 | 0 | D2 | D1 | D1 | D2 | E1 | E1 |
| Figure 10—03/2023 | E1 | D1 | E1 | E2 | D1 | E2 | 0 | 0 | D2 | D1 | D3 | D2 | E1 | 0 |
| Tooth | 47 | 46 | 45 | 44 | 34 | 35 | 36 | 37 | ||||||
| Surface | M | D | M | D | M | D | D | M | D | M | D | M | ||
| Figure 7—02/2019 | 0 | 0 | 0 | 0 | 0 | 0 | 0 | 0 | 0 | 0 | E1 | 0 | ||
| Figure 8—03/2022 | E1 | D1 | E1 | E1 | E2 | E1 | E1 | E2 | E1 | E1 | D2 | E1 | ||
| Figure 10—03/2023 | E1 | D1 | E1 | E1 | E2 | E1 | E1 | E2 | E1 | E1 | F | E1 | ||
Disclaimer/Publisher’s Note: The statements, opinions and data contained in all publications are solely those of the individual author(s) and contributor(s) and not of MDPI and/or the editor(s). MDPI and/or the editor(s) disclaim responsibility for any injury to people or property resulting from any ideas, methods, instructions or products referred to in the content. |
© 2023 by the authors. Licensee MDPI, Basel, Switzerland. This article is an open access article distributed under the terms and conditions of the Creative Commons Attribution (CC BY) license (https://creativecommons.org/licenses/by/4.0/).
Share and Cite
Ahmed, E.E.A.; Al Nesser, S.; Schmoeckel, J. Introducing an Innovative Approach for Managing Proximal Non-Cavitated Carious Lesions in Juvenile Permanent Dentition: Combining Orthodontic Separators and Silver Fluoride Application. Medicina 2023, 59, 1892. https://doi.org/10.3390/medicina59111892
Ahmed EEA, Al Nesser S, Schmoeckel J. Introducing an Innovative Approach for Managing Proximal Non-Cavitated Carious Lesions in Juvenile Permanent Dentition: Combining Orthodontic Separators and Silver Fluoride Application. Medicina. 2023; 59(11):1892. https://doi.org/10.3390/medicina59111892
Chicago/Turabian StyleAhmed, Eilaf E. A., Salma Al Nesser, and Julian Schmoeckel. 2023. "Introducing an Innovative Approach for Managing Proximal Non-Cavitated Carious Lesions in Juvenile Permanent Dentition: Combining Orthodontic Separators and Silver Fluoride Application" Medicina 59, no. 11: 1892. https://doi.org/10.3390/medicina59111892
APA StyleAhmed, E. E. A., Al Nesser, S., & Schmoeckel, J. (2023). Introducing an Innovative Approach for Managing Proximal Non-Cavitated Carious Lesions in Juvenile Permanent Dentition: Combining Orthodontic Separators and Silver Fluoride Application. Medicina, 59(11), 1892. https://doi.org/10.3390/medicina59111892

