Colorectal Carcinomas: Searching for New Histological Parameters Associated with Lymph Node Metastases
Abstract
1. Introduction
2. Materials and Methods
2.1. Study Design and Participants
2.2. Data Sources and Variables of Interest
2.3. Demographic Data and Histopathological Parameters Analysis
2.3.1. Patients’ Age and Tumor Location
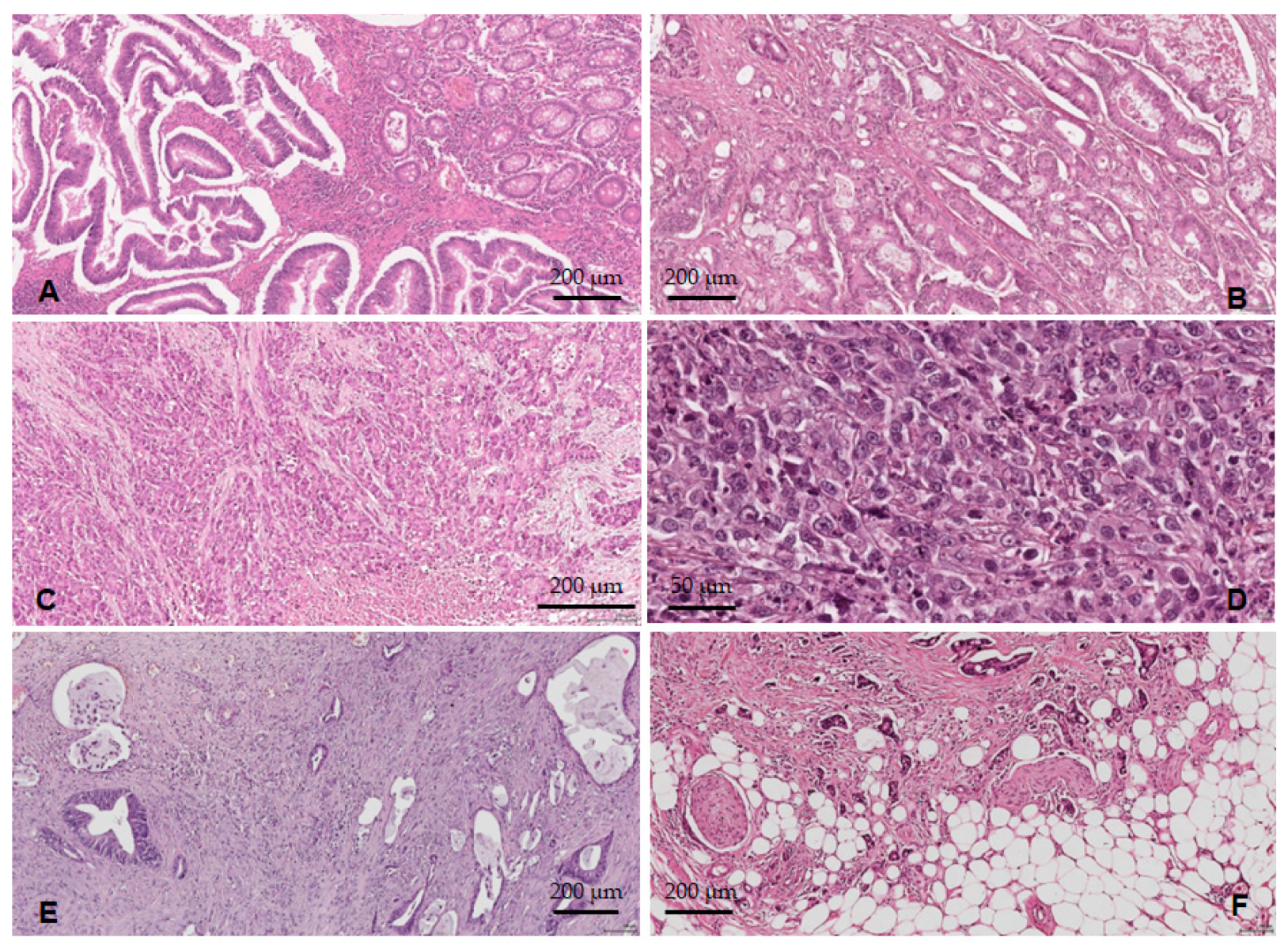
2.3.2. Histological Subtype and Degree of Differentiation of Tumors
- Evaluation of the WHO grade
- Evaluation of GBd grade
- Evaluation of PDCs-G grade
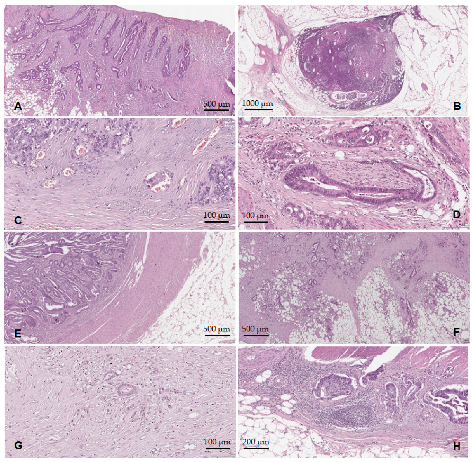
2.3.3. TNM Stage, Necrosis, Ulceration, Lymphovascular, and Perineural Invasion
2.3.4. Assessment of TILs and Tumor Border Configuration
2.4. Statistical Analysis
3. Results
3.1. Histopathology and Patient Characteristics
3.2. Comparison Amongst the Three Grading Systems
3.3. The Results of the Multivariate Analysis
4. Discussion
4.1. Patients’ Age and Sex and the Site of the Tumor
4.2. Grading Systems
4.3. TNM AJCC Stage of the Disease
4.4. Lymphovascular and Perineural Invasion, Tumor Ulceration, and Necrosis
4.5. Tumor Border Configuration and Tumor-Infiltrating Lymphocytes
4.6. Limitations of the Study
5. Conclusions
Supplementary Materials
Author Contributions
Funding
Institutional Review Board Statement
Informed Consent Statement
Data Availability Statement
Acknowledgments
Conflicts of Interest
References
- Odze, R.D.; Nagtegaal, I.D.; Arends, M.; Salto-Tellez, M. Colorectal Adenocarcinoma: Tumours of the Colon and Rectum. In World Health Organization Classification of Tumours of the Digestive System, 5th ed.; WHO Classification of Tumours Editorial Board, Ed.; IARC Press: Lyon, France, 2019; Volume 1, pp. 177–187. [Google Scholar]
- Arnold, M.; Sierra, M.S.; Laversanne, M.; Soerjomataram, I.; Jemal, A.; Bray, F. Global patterns and trends in colorectal cancer incidence and mortality. Gut 2017, 66, 683–691. [Google Scholar] [CrossRef] [PubMed]
- Dema, A.L.C.; Tăban, S.; Jurescu, A.; Gheju, A.R.; Văduva, A.O.; Duţă, C.C.; Lazăr, O.F. Paving the way to tumor budding assessment using digital pathology: A pilot study in Timişoara City (Romania). Rom. J. Morphol. Embryol. 2018, 59, 703–713. [Google Scholar] [PubMed]
- Hari, D.M.; Leung, A.M.; Lee, J.H.; Sim, M.S.; Vuong, B.; Chiu, C.G.; Bilchik, A.J. AJCC Cancer Staging Manual 7th edition criteria for colon cancer: Do the complex modifications improve prognostic assessment? J. Am. Coll. Surg. 2013, 217, 181–190. [Google Scholar] [CrossRef] [PubMed]
- Maguire, A.; Sheahan, K. Controversies in the pathological assessment of colorectal cancer. World J. Gastroenterol. 2014, 20, 9850–9861. [Google Scholar] [CrossRef] [PubMed]
- Kudo, S.-E.; Ichimasa, K.; Villard, B.; Mori, Y.; Misawa, M.; Saito, S.; Hotta, K.; Saito, Y.; Matsuda, T.; Yamada, K.; et al. Artificial Intelligence System to Determine Risk of T1 Colorectal Cancer Metastasis to Lymph Node. Gastroenterology 2021, 160, 1075–1084.e2. [Google Scholar] [CrossRef] [PubMed]
- Yasue, C.; Chino, A.; Takamatsu, M.; Namikawa, K.; Ide, D.; Saito, S.; Igarashi, M.; Fujisaki, J. Pathological risk factors and predictive endoscopic factors for lymph node metastasis of T1 colorectal cancer: A single-center study of 846 lesions. J. Gastroenterol. 2019, 54, 708–717. [Google Scholar] [CrossRef] [PubMed]
- Gupta, R.; Sinha, S.; Paul, R.N. The impact of microsatellite stability status in colorectal cancer. Curr. Probl. Cancer 2018, 42, 548–559. [Google Scholar] [CrossRef] [PubMed]
- Ueno, H.; Mochizuki, H.; Hashiguchi, Y.; Ishiguro, M.; Kajiwara, Y.; Sato, T.; Shimazaki, H.; Hase, K.; Talbot, I.C. Histological grading of colorectal cancer: A simple and objective method. Ann. Surg. 2008, 247, 811–818. [Google Scholar] [CrossRef]
- Lugli, A.; Karamitopoulou, E.; Zlobec, I. Tumour budding: A promising parameter in colorectal cancer. Br. J. Cancer 2012, 106, 1713–1717. [Google Scholar] [CrossRef]
- Kim, J.W.; Shin, M.K.; Kim, B.C. Clinicopathologic impacts of poorly differentiated cluster-based grading system in colorectal carcinoma. J. Korean Med. Sci. 2015, 30, 16–23. [Google Scholar] [CrossRef][Green Version]
- Bonetti, L.R.; Barresi, V.; Bettelli, S.; Domati, F.; Palmiere, C. Poorly differentiated clusters (PDC) in colorectal cancer: What is and ought to be known. Diagn. Pathol. 2016, 11, 31. [Google Scholar] [CrossRef] [PubMed]
- Koelzer, V.H.; Lugli, A. The Tumor Border Configuration of Colorectal Cancer as a Histomorphological Prognostic Indicator. Front. Oncol. 2014, 4, 29. [Google Scholar] [CrossRef] [PubMed]
- Galon, J.; Mlecnik, B.; Bindea, G.; Angell, H.K.; Berger, A.; Lagorce, C.; Lugli, A.; Zlobec, I.; Hartmann, A.; Bifulco, C.; et al. Towards the introduction of the ‘Immunoscore’ in the classification of malignant tumours. J. Pathol. 2013, 232, 199–209. [Google Scholar] [CrossRef] [PubMed]
- Hamilton, S.R.; Bosman, F.T.; Boffetta, P.; Theise, N.D. Carcinoma of the Colon and Rectum. In WHO Classification of Tumours of the Digestive System; Bosman, F.T., Carneiro, F., Hruban, R.H., Theise, N.D., Eds.; IARC Press: Lyon, France, 2010; pp. 134–146. [Google Scholar]
- Compton, C.; Fenoglio-Preiser, C.M.; Pettigrew, N.; Fielding, L.P. American Joint Committee on Cancer Prognostic Factors Con-sensus Conference: Colorectal Working Group. Cancer 2000, 88, 1739–1757. [Google Scholar] [CrossRef]
- Compton, C.C. Key Issues in Reporting Common Cancer Specimens: Problems in Pathologic Staging of Colon Cancer. Arch. Pathol. Lab. Med. 2006, 130, 318–324. [Google Scholar] [CrossRef] [PubMed]
- Lugli, A.; Kirsch, R.; Ajioka, Y.; Bosman, F.; Cathomas, G.; Dawson, H.; El Zimaity, H.; Fléjou, J.-F.; Hansen, T.P.; Hartmann, A.; et al. Recommendations for reporting tumor budding in colorectal cancer based on the International Tumor Budding Consensus Conference (ITBCC) 2016. Mod. Pathol. 2017, 30, 1299–1311. [Google Scholar] [CrossRef] [PubMed]
- Horcic, M.; Koelzer, V.H.; Karamitopoulou, E.; Terracciano, L.; Puppa, G.; Zlobec, I.; Lugli, A. Tumor budding score based on 10 high-power fields is a promising basis for a standardized prognostic scoring system in stage II colorectal cancer. Hum. Pathol. 2012, 44, 697–705. [Google Scholar] [CrossRef]
- Ueno, H.; Kajiwara, Y.; Shimazaki, H.; Shinto, E.; Hashiguchi, Y.; Nakanishi, K.; Maekawa, K.; Katsurada, Y.; Nakamura, T.; Mochizuki, H.; et al. New Criteria for Histologic Grading of Colorectal Cancer. Am. J. Surg. Pathol. 2012, 36, 193–201. [Google Scholar] [CrossRef]
- Barresi, V.; Bonetti, L.R.; Branca, G.; Di Gregorio, C.; de Leon, M.P.; Tuccari, G. Colorectal carcinoma grading by quantifying poorly differentiated cell clusters is more reproducible and provides more robust prognostic information than conventional grading. Virchows Arch. 2012, 461, 621–628. [Google Scholar] [CrossRef]
- Edge, S.B.; Byrd, D.R.; Compton, C.C.; Fritz, A.G.; Greene, F.L.; Trotti, A., III (Eds.) AJCC Cancer Staging Handbook, 7th ed.; Springer: New York, NY, USA, 2010; pp. 173–206. [Google Scholar]
- Lang-Schwarz, C.; Melcher, B.; Haumaier, F.; Lang-Schwarz, K.; Rupprecht, T.; Vieth, M.; Sterlacci, W. Budding and tumor—Infiltrating lymphocytes—Combination of both parameters predicts survival in colorectal cancer and leads to new prognostic subgroups. Hum. Pathol. 2018, 79, 160–167. [Google Scholar] [CrossRef]
- Jurescu, A.; Văduva, A.; Tăban, S.; Gheju, A.; Olteanu, G.; Mihai, I.; Lăzureanu, C.; Cornianu, M.; Lazăr, F.; Dema, A. Poorly differentiated clusters: Prognostic significance in colorectal carcinomas. Pol. J. Pathol. 2019, 70, 235–245. [Google Scholar] [CrossRef] [PubMed]
- Jurescu, A.; Dema, A.; Văduva, A.; Gheju, A.; Vița, O.; Barna, R.; Lăzureanu, C.; Cornianu, M.; Tăban, S.; Duță, C.; et al. Poorly differentiated clusters and tumor budding are important prognostic factors in colorectal carcinomas. Bosn. J. Basic Med. Sci. 2021, 22, 164–177. [Google Scholar] [CrossRef] [PubMed]
- Pilleron, S.; Sarfati, D.; Janssen-Heijnen, M.; Vignat, J.; Ferlay, J.; Bray, F.; Soerjomataram, I. Global cancer incidence in older adults, 2012 and 2035: A population-based study. Int. J. Cancer 2018, 144, 49–58. [Google Scholar] [CrossRef] [PubMed]
- Gheju, A.; Jurescu, A.; Tăban, S.; Al-Jobory, D.; Lazăr, F.; Dema, A. Different disease characteristics in young patients with colorectal cancer: A large retrospective study in a city in Romania. J. Int. Med. Res. 2021, 49, 1016630. [Google Scholar] [CrossRef] [PubMed]
- Fleming, M.; Ravula, S.; Tatishchev, S.F.; Wang, H.L. Colorectal carcinoma: Pathologic aspects. J. Gastrointest. Oncol. 2012, 3, 153–173. [Google Scholar] [CrossRef] [PubMed]
- Missiaglia, E.; Jacobs, B.; D’Ario, G.; Di Narzo, A.; Soneson, C.; Budinska, E.; Popovici, V.; Vecchione, L.; Gerster, S.; Yan, P.; et al. Distal and proximal colon cancers differ in terms of molecular, pathological, and clinical features. Ann. Oncol. 2014, 25, 1995–2001. [Google Scholar] [CrossRef] [PubMed]
- Georgescu, D.; Ionita, I.; Lascu, A.; Hut, E.-F.; Dragan, S.; Ancusa, O.-E.; Ionita, M.; Calamar-Popovici, D.; Georgescu, L.-A.; Lighezan, D.-F. Gallstone Disease and Bacterial Metabolic Performance of Gut Microbiota in Middle-Aged and Older Patients. Int. J. Gen. Med. 2022, 15, 5513–5531. [Google Scholar] [CrossRef]
- Rezasoltani, S.; Sadeghi, A.; Radinnia, E.; Naseh, A.; Gholamrezaei, Z.; Looha, M.A.; Yadegar, A. The association between gut microbiota, cholesterol gallstones, and colorectal cancer. Gastroenterol. Hepatol. Bed Bench 2019, 12, S8–S13. [Google Scholar]
- Georgescu, D.; Caraba, A.; Ionita, I.; Lascu, A.; Hut, E.F.; Dragan, S.; Ancusa, O.E.; Suceava, I.; Lighezan, D. Dyspepsia and Gut Microbiota in Female Patients with Postcholecystectomy Syndrome. Int. J. Women's Health 2022, 14, 41–56. [Google Scholar] [CrossRef]
- Campana, J.P.; Pellegrini, P.A.; Rossi, G.L.; Quintana, G.O.; Mentz, R.E.; Vaccaro, C.A. Right versus left laparoscopic colectomy for colon cancer: Does side make any difference? Int. J. Color. Dis. 2017, 32, 907–912. [Google Scholar] [CrossRef]
- Boeckx, N.; Koukakis, R.; de Beeck, K.O.; Rolfo, C.; Van Camp, G.; Siena, S.; Tabernero, J.; Douillard, J.-Y.; André, T.; Peeters, M. Primary tumor sidedness has an impact on prognosis and treatment outcome in metastatic colorectal cancer: Results from two randomized first-line panitumumab studies. Ann. Oncol. 2017, 28, 1862–1868. [Google Scholar] [CrossRef] [PubMed]
- Duţă, C.; Tăban, S.; Al-Jobory, D.; Gheju, A.R.; Timar, R.B.; Dema, S.; Petrescu, P.H. Histopathological findings regarding oncological feasibility of laparoscopic versus open approach for rectal cancer: A retrospective study. Rom. J. Morphol. Embryol. 2016, 57, 1063–1068. [Google Scholar] [PubMed]
- Hamilton, S.R.; Aaltonen, L.A. (Eds.) Carcinoma of the colon and rectum. In World Health Organization Classification of Tumours. Pathology and Genetics of Tumors of the Digestive System; IARC Press: Lyon, France, 2000; pp. 105–119. [Google Scholar]
- Loughrey, M.; Quirke, P.; Shepherd, N.A. G049 Dataset for Histopathological Reporting of Colorectal Cancer; The Royal College of Pathologists: London, UK, 2017; pp. 1–62. [Google Scholar]
- Marzouk, O.; Schofield, J. Review of Histopathological and Molecular Prognostic Features in Colorectal Cancer. Cancers 2011, 3, 2767–2810. [Google Scholar] [CrossRef] [PubMed]
- Compton, C.C.; Fielding, L.P.; Burgart, L.J.; Conley, B.; Cooper, H.S.; Hamilton, S.R.; Hammond, M.E.H.; Henson, D.E.; Hutter, R.V.P.; Nagle, R.B.; et al. Prognostic Factors in Colorectal Cancer. Arch. Pathol. Lab. Med. 2000, 124, 979–994. [Google Scholar] [CrossRef] [PubMed]
- Ueno, H.; Shinto, E.; Kajiwara, Y.; Fukazawa, S.; Shimazaki, H.; Yamamoto, J.; Hase, K. Prognostic impact of histological categorisation of epithelial–mesenchymal transition in colorectal cancer. Br. J. Cancer 2014, 111, 2082–2090. [Google Scholar] [CrossRef] [PubMed]
- Zlobec, I.; Lugli, A. Epithelial mesenchymal transition and tumor budding in aggressive colorectal cancer: Tumor budding as oncotarget. Oncotarget 2010, 1, 651–661. [Google Scholar] [CrossRef] [PubMed]
- Mitrovic, B.; Schaeffer, D.F.; Riddell, R.H.; Kirsch, R. Tumor budding in colorectal carcinoma: Time to take notice. Mod. Pathol. 2012, 25, 1315–1325. [Google Scholar] [CrossRef] [PubMed]
- Graham, R.P.; Vierkant, R.A.; Tillmans, L.S.; Wang, A.H.; Laird, P.W.; Weisenberger, D.J.; Lynch, C.F.; French, A.J.; Slager, S.L.; Raissian, Y.; et al. Tumor Budding in Colorectal Carcinoma: Confirmation of prognostic significance and histologic cutoff in a population-based cohort. Am. J. Surg. Pathol. 2015, 39, 1340–1346. [Google Scholar] [CrossRef]
- Barresi, V.; Bonetti, L.R.; Ieni, A.; Branca, G.; Baron, L.; Tuccari, G. Histologic grading based on counting poorly differentiated clusters in preoperative biopsy predicts nodal involvement and pTNM stage in colorectal cancer patients. Hum. Pathol. 2013, 45, 268–275. [Google Scholar] [CrossRef]
- Barresi, V.; Bonetti, L.R.; Ieni, A.; Caruso, R.A.; Tuccari, G. Poorly Differentiated Clusters: Clinical Impact in Colorectal Cancer. Clin. Color. Cancer 2016, 16, 9–15. [Google Scholar] [CrossRef]
- Barresi, V.; Bonetti, L.R.; Ieni, A.; Caruso, R.A.; Tuccari, G. Histological grading in colorectal cancer: New insights and perspectives. Histol. Histopathol. 2015, 30, 1059–1067. [Google Scholar] [CrossRef] [PubMed]
- Barresi, V.; Tuccari, G. Colorectal Carcinoma Grading Quantified by Counting Poorly Differentiated Clusters. Am. J. Surg. Pathol. 2013, 37, 943–945. [Google Scholar] [CrossRef]
- Barresi, V.; Branca, G.; Ieni, A.; Bonetti, L.R.; Baron, L.; Mondello, S.; Tuccari, G. Poorly differentiated clusters (PDCs) as a novel histological predictor of nodal metastases in pT1 colorectal cancer. Virchows Arch. 2014, 464, 655–662. [Google Scholar] [CrossRef] [PubMed]
- Ueno, H.; Hase, K.; Hashiguchi, Y.; Shimazaki, H.; Yoshii, S.; Kudo, S.-E.; Tanaka, M.; Akagi, Y.; Suto, T.; Nagata, S.; et al. Novel risk factors for lymph node metastasis in early invasive colorectal cancer: A multi-institution pathology review. J. Gastroenterol. 2013, 49, 1314–1323. [Google Scholar] [CrossRef] [PubMed]
- Amin, M.B.; Edge, S.B.; Greene, F.L.; Byrd, D.R.; Brookland, R.K.; Washington, M.K.; Gershenwald, J.E.; Compton, C.C.; Hess, K.R.; Sullivan, D.C.; et al. (Eds.) AJCC Cancer Staging Manual, 8th ed.; Springer: New York, NY, USA, 2017; pp. 251–274. [Google Scholar]
- Caie, P.D.; Turnbull, A.K.; Farrington, S.M.; Oniscu, A.; Harrison, D.J. Quantification of tumour budding, lymphatic vessel density and invasion through image analysis in colorectal cancer. J. Transl. Med. 2014, 12, 156. [Google Scholar] [CrossRef] [PubMed]
- Langner, C.; Schneider, N. Prognostic stratification of colorectal cancer patients: Current perspectives. Cancer Manag. Res. 2014, 6, 291–300. [Google Scholar] [CrossRef]
- Betge, J.; Pollheimer, M.J.; Lindtner, R.A.; Kornprat, P.; Schlemmer, A.; Rehak, P.; Vieth, M.; Hoefler, G.; Langner, C. Intramural and extramural vascular invasion in colorectal cancer: Prognostic significance and quality of pathology reporting. Cancer 2011, 118, 628–638. [Google Scholar] [CrossRef]
- Van Wyk, H.C.; Roxburgh, C.S.; Horgan, P.G.; Foulis, A.F.; McMillan, D.C. The detection and role of lymphatic and blood vessel invasion in predicting survival in patients with node negative operable primary colorectal cancer. Crit. Rev. Oncol. Hematol. 2014, 90, 77–90. [Google Scholar] [CrossRef]
- Knijn, N.; Mogk, S.C.; Teerenstra, S.; Simmer, F.; Nagtegaal, I.D. Perineural Invasion Is a Strong Prognostic Factor in Colorectal Cancer. Am. J. Surg. Pathol. 2016, 40, 103–112. [Google Scholar] [CrossRef]
- Huh, J.W.; Lee, W.Y.; Shin, J.K.; Park, Y.A.; Cho, Y.B.; Kim, H.C.; Yun, S.H. A novel histologic grading system based on lymphovascular invasion, perineural invasion, and tumor budding in colorectal cancer. J. Cancer Res. Clin. Oncol. 2019, 145, 471–477. [Google Scholar] [CrossRef]
- Pollheimer, M.J.; Kornprat, P.; Lindtner, R.A.; Harbaum, L.; Schlemmer, A.; Rehak, P.; Langner, C. Tumor necrosis is a new promising prognostic factor in colorectal cancer. Hum. Pathol. 2010, 41, 1749–1757. [Google Scholar] [CrossRef] [PubMed]
- Jass, J.R. Classification of colorectal cancer based on correlation of clinical, morphological and molecular features. Histopathology 2006, 50, 113–130. [Google Scholar] [CrossRef]
- Pagès, F.; Mlecnik, B.; Marliot, F.; Bindea, G.; Ou, F.-S.; Bifulco, C.; Lugli, A.; Zlobec, I.; Rau, T.T.; Berger, M.D.; et al. International validation of the consensus Immunoscore for the classification of colon cancer: A prognostic and accuracy study. Lancet 2018, 391, 2128–2139. [Google Scholar] [CrossRef]
- Iseki, Y.; Shibutani, M.; Maeda, K.; Nagahara, H.; Fukuoka, T.; Matsutani, S.; Kashiwagi, S.; Tanaka, H.; Hirakawa, K.; Ohira, M. A new method for evaluating tumor-infiltrating lymphocytes (TILs) in colorectal cancer using hematoxylin and eosin (H-E)-stained tumor sections. PLoS ONE 2018, 13, e0192744. [Google Scholar] [CrossRef] [PubMed]
- Salgado, R.; Denkert, C.; Demaria, S.; Sirtaine, N.; Klauschen, F.; Pruneri, G.; Wienert, S.; Van den Eynden, G.; Baehner, F.L.; Penault-Llorca, F.; et al. The evaluation of tumor-infiltrating lymphocytes (TILs) in breast cancer: Recommendations by an International TILs Working Group 2014. Ann. Oncol. 2015, 26, 259–271. [Google Scholar] [CrossRef] [PubMed]
- Kim, Y.; Bae, J.M.; Li, G.; Cho, N.Y.; Kang, G.H. Image Analyzer-Based Assessment of Tumor-Infiltrating T Cell Subsets and Their Prognostic Values in Colorectal Carcinomas. PLoS ONE 2015, 10, e0122183. [Google Scholar] [CrossRef]





| Parameters | n = 71 | % | |
|---|---|---|---|
| Sex | Male | 44 | 62.0 |
| Female | 27 | 38.0 | |
| Age of diagnosis | Median age 66.47 years | ||
| <65 years old | 28 | 39.4 | |
| ≥65 years old | 43 | 60.6 | |
| Site of tumor | Right colon | 15 | 21.1 |
| Left colon | 23 | 32.4 | |
| Rectum | 33 | 46.5 | |
| Depth of tumor invasion | pT1–pT2 | 11 | 15.5 |
| pT3–pT4 | 60 | 84.5 | |
| Lymph node status | pN− | 37 | 52.1 |
| pN+ | 34 | 47.9 | |
| TNM AJCC stage of the disease | I | 10 | 14.1 |
| II | 28 | 39.4 | |
| III | 28 | 39.4 | |
| IV | 5 | 7.1 | |
| Lymphovascular invasion | LVI− | 43 | 60.6 |
| LVI+ | 28 | 39.4 | |
| Perineural invasion | PNI− | 48 | 67.6 |
| PNI+ | 23 | 32.4 | |
| Tumor ulceration | absent | 10 | 14.1 |
| present | 61 | 85.9 | |
| Tumor necrosis | absent | 24 | 33.8 |
| present | 47 | 66.2 | |
| Configuration of the tumor invasion front | pushing | 26 | 36.6 |
| infiltrating | 45 | 63.4 | |
| Tumor-infiltrating lymphocytes | TILs− | 11 | 15.5 |
| TILs+ | 60 | 84.5 | |
| Parameters | n = 69 | % | |
|---|---|---|---|
| The usual grading system—WHO grade | G1 | 6 | 8.7 |
| G2 | 55 | 79.7 | |
| G3–G4 | 8 | 11.6 | |
| The grading system based on TB quantification—GBd | G1Bd | 16 | 23.2 |
| G2Bd | 19 | 27.5 | |
| G3Bd | 34 | 49.3 | |
| The grading system based on PDCs quantification—PDCs-G | PDCs-G1 | 11 | 16.0 |
| PDCs-G2 | 31 | 44.9 | |
| PDCs-G3 | 27 | 39.1 | |
Disclaimer/Publisher’s Note: The statements, opinions and data contained in all publications are solely those of the individual author(s) and contributor(s) and not of MDPI and/or the editor(s). MDPI and/or the editor(s) disclaim responsibility for any injury to people or property resulting from any ideas, methods, instructions or products referred to in the content. |
© 2023 by the authors. Licensee MDPI, Basel, Switzerland. This article is an open access article distributed under the terms and conditions of the Creative Commons Attribution (CC BY) license (https://creativecommons.org/licenses/by/4.0/).
Share and Cite
Jurescu, A.; Văduva, A.; Vița, O.; Gheju, A.; Cornea, R.; Lăzureanu, C.; Mureșan, A.; Cornianu, M.; Tăban, S.; Dema, A. Colorectal Carcinomas: Searching for New Histological Parameters Associated with Lymph Node Metastases. Medicina 2023, 59, 1761. https://doi.org/10.3390/medicina59101761
Jurescu A, Văduva A, Vița O, Gheju A, Cornea R, Lăzureanu C, Mureșan A, Cornianu M, Tăban S, Dema A. Colorectal Carcinomas: Searching for New Histological Parameters Associated with Lymph Node Metastases. Medicina. 2023; 59(10):1761. https://doi.org/10.3390/medicina59101761
Chicago/Turabian StyleJurescu, Aura, Adrian Văduva, Octavia Vița, Adelina Gheju, Remus Cornea, Codruța Lăzureanu, Anca Mureșan, Marioara Cornianu, Sorina Tăban, and Alis Dema. 2023. "Colorectal Carcinomas: Searching for New Histological Parameters Associated with Lymph Node Metastases" Medicina 59, no. 10: 1761. https://doi.org/10.3390/medicina59101761
APA StyleJurescu, A., Văduva, A., Vița, O., Gheju, A., Cornea, R., Lăzureanu, C., Mureșan, A., Cornianu, M., Tăban, S., & Dema, A. (2023). Colorectal Carcinomas: Searching for New Histological Parameters Associated with Lymph Node Metastases. Medicina, 59(10), 1761. https://doi.org/10.3390/medicina59101761

