The First Case of Infectious Spondylitis Caused by Gemella bergeri
Abstract
1. Introduction
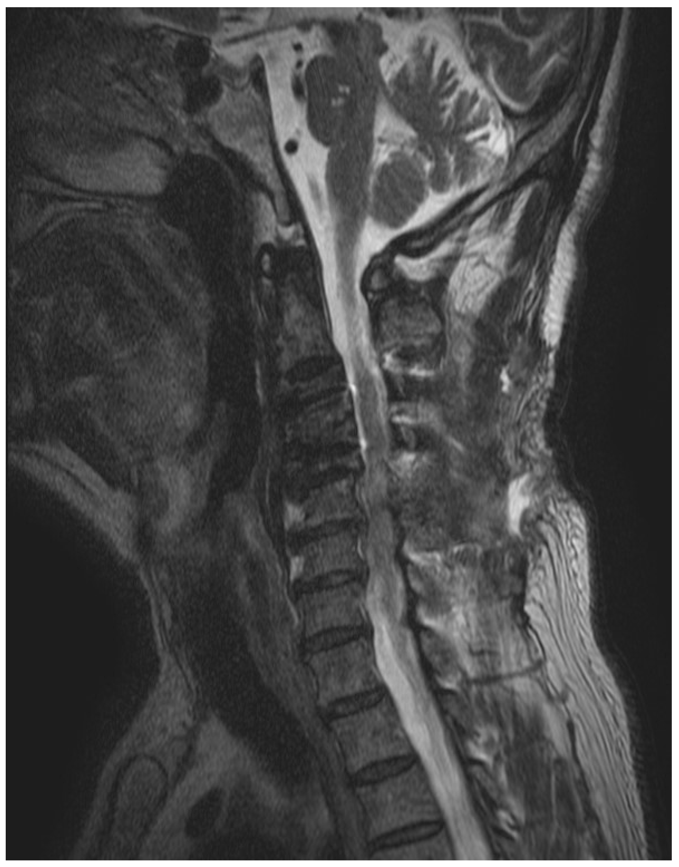
2. Case Presentation
3. Discussion
Author Contributions
Funding
Institutional Review Board Statement
Informed Consent Statement
Data Availability Statement
Conflicts of Interest
References
- Pachirat, O.; Watt, G.; Pussadhamma, B. First Case of Tricuspid Valve Endocarditis Caused byGemella bergeri. Case Rep. Med. 2015, 2015, 704785. [Google Scholar] [CrossRef] [PubMed]
- Yamagishi, T.; Hikone, M.; Sugiyama, K.; Tanabe, T.; Wada, Y.; Furugaito, M.; Arai, Y.; Uzawa, Y.; Mizushima, R.; Kamada, K.; et al. Purpura fulminans with Lemierre’s syndrome caused by Gemella bergeri and Eikenella corrodens: A case report. BMC Infect. Dis. 2018, 18, 523. [Google Scholar] [CrossRef] [PubMed]
- Collins, M.D.; A Hutson, R.; Falsen, E.; Sjöden, B.; Facklam, R.R. Gemella bergeriae sp. nov., isolated from human clinical specimens. J. Clin. Microbiol. 1998, 36, 1290–1293. [Google Scholar] [CrossRef] [PubMed]
- Tanner, A.C.R.; Sonis, A.L.; Holgerson, P.; Starr, J.R.; Núñez, Y.; Kressirer, C.A.; Paster, B.J.; Johansson, I. White-spot lesions and gingivitis microbiotas in orthodontic patients. J. Dent. Res. 2012, 91, 853–858. [Google Scholar] [CrossRef] [PubMed]
- Christensen, J.J.; Ruoff, L. Aerococcus, Abiotrophia, and Other Infrequently Isolated Aerobic Catalase-Negative, Gram-Positive Cocci. In Manual of Clinical Microbiology, 8th ed.; American Society for Microbiology: Washington, DC, USA, 2003; pp. 434–444. [Google Scholar]
- Elsayed, S.; Zhang, K. Gemella bergeriae Endocarditis Diagnosed by Sequencing of rRNA Genes in Heart Valve Tissue. J. Clin. Microbiol. 2004, 42, 4897–4900. [Google Scholar] [CrossRef] [PubMed]
- Toyoshima, H.; Fujii, K.; Tanigawa, M.; Nakamura, A.; Tanabe, M.; Tanaka, H.; Nakanishi, Y.; Sakabe, S. The First Case Report of Mediastinal Abscess Caused by Gemella bergeri. Intern. Med. 2021, 60, 1631–1635. [Google Scholar] [CrossRef] [PubMed]
- Logan, L.K.; Zheng, X.; Shulman, S.T. Gemella bergeriae endocarditis in a boy. Pediatr. Infect. Dis. J. 2008, 27, 184–186. [Google Scholar] [CrossRef] [PubMed]
- Hussain, K.; Abubaker, J.; Al Deesi, Z.O.; Ahmed, R. Unreported neurological complications of Gemella bergeriae infective endocarditis. BMJ Case Rep. 2014, 2014, bcr2014204405. [Google Scholar] [CrossRef] [PubMed]
- Virgilio, E.; Chieco, P.A. Sixth case of infective endocarditis caused by Gemella bergeri. Braz. J. Infect. Dis. 2014, 18, 467. [Google Scholar] [CrossRef] [PubMed]
- Zaidi, S.J.; Husayni, T.; Collins, M.A. Gemella bergeri infective endocarditis: A case report and brief review of literature. Cardiol. Young 2018, 28, 762–764. [Google Scholar] [CrossRef] [PubMed]
- McQuinn, M.; Horswell, B.B. First Case of Cutaneous Orbital Abscess Caused by Gemella: A Case Report and Review of the Liter-ature. J. Oral Maxillofac. Surg. 2019, 77, 1414–1417. [Google Scholar] [CrossRef] [PubMed]
- Lockhart, P.B.; Brennan, M.T.; Thornhill, M.; Michalowicz, B.S.; Noll, J.; Bahrani-Mougeot, F.K.; Sasser, H.C. Poor oral hygiene as a risk factor for infective endocarditis–related bacteremia. J. Am. Dent. Assoc. 2009, 140, 1238–1244. [Google Scholar] [CrossRef] [PubMed]
- Graeber, A.; Cecava, N.D. Vertebral Osteomyelitis. In StatPearls; StatPearls Publishing LLC: Treasure Island, FL, USA, 2022. [Google Scholar]
- Joyce, K.; Sakai, D.; Pandit, A. Preclinical models of vertebral osteomyelitis and associated infections: Current models and recom-mendations for study design. JOR Spine 2021, 4, e1142. [Google Scholar] [CrossRef] [PubMed]
- Rajagopal, T.S.; Walia, M.; Wilson, H.A.; Marshall, R.W.; Andrade, A.J.; Iyer, S. Gemella haemolysans spondylodiscitis: A report of two cases. J. Bone Jt. Surg. Br. 2012, 94, 825–828. [Google Scholar] [CrossRef] [PubMed]
- Eisenberger, U.; Brunkhorst, R.; Perharic, L.; Petersen, R.; Kliem, V. Gemella morbillorum-spondylodiscitis in a patient with a renal graft. Nephrol. Dial. Transplant. 1998, 13, 1565–1567. [Google Scholar] [CrossRef] [PubMed]


Disclaimer/Publisher’s Note: The statements, opinions and data contained in all publications are solely those of the individual author(s) and contributor(s) and not of MDPI and/or the editor(s). MDPI and/or the editor(s) disclaim responsibility for any injury to people or property resulting from any ideas, methods, instructions or products referred to in the content. |
© 2023 by the authors. Licensee MDPI, Basel, Switzerland. This article is an open access article distributed under the terms and conditions of the Creative Commons Attribution (CC BY) license (https://creativecommons.org/licenses/by/4.0/).
Share and Cite
Lim, K.R.; Son, J.S.; Moon, S.-y. The First Case of Infectious Spondylitis Caused by Gemella bergeri. Medicina 2023, 59, 145. https://doi.org/10.3390/medicina59010145
Lim KR, Son JS, Moon S-y. The First Case of Infectious Spondylitis Caused by Gemella bergeri. Medicina. 2023; 59(1):145. https://doi.org/10.3390/medicina59010145
Chicago/Turabian StyleLim, Kyoung Ree, Jun Seong Son, and Soo-youn Moon. 2023. "The First Case of Infectious Spondylitis Caused by Gemella bergeri" Medicina 59, no. 1: 145. https://doi.org/10.3390/medicina59010145
APA StyleLim, K. R., Son, J. S., & Moon, S.-y. (2023). The First Case of Infectious Spondylitis Caused by Gemella bergeri. Medicina, 59(1), 145. https://doi.org/10.3390/medicina59010145

