The Correlation between Proliferative Immunohistochemical Markers and Papillary Thyroid Carcinoma Aggressiveness
Abstract
1. Introduction
2. Material and Methods
2.1. Tissue Processing
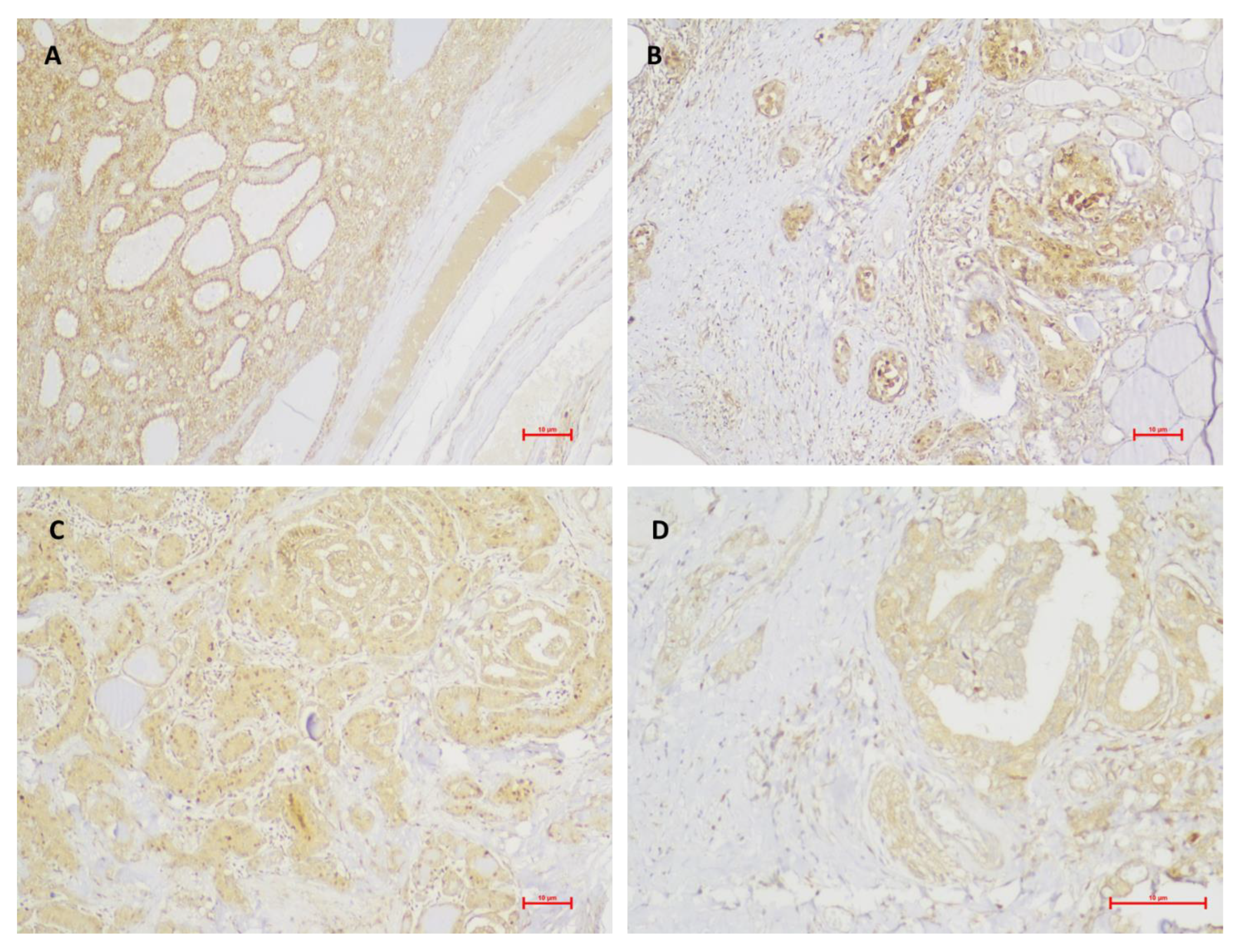
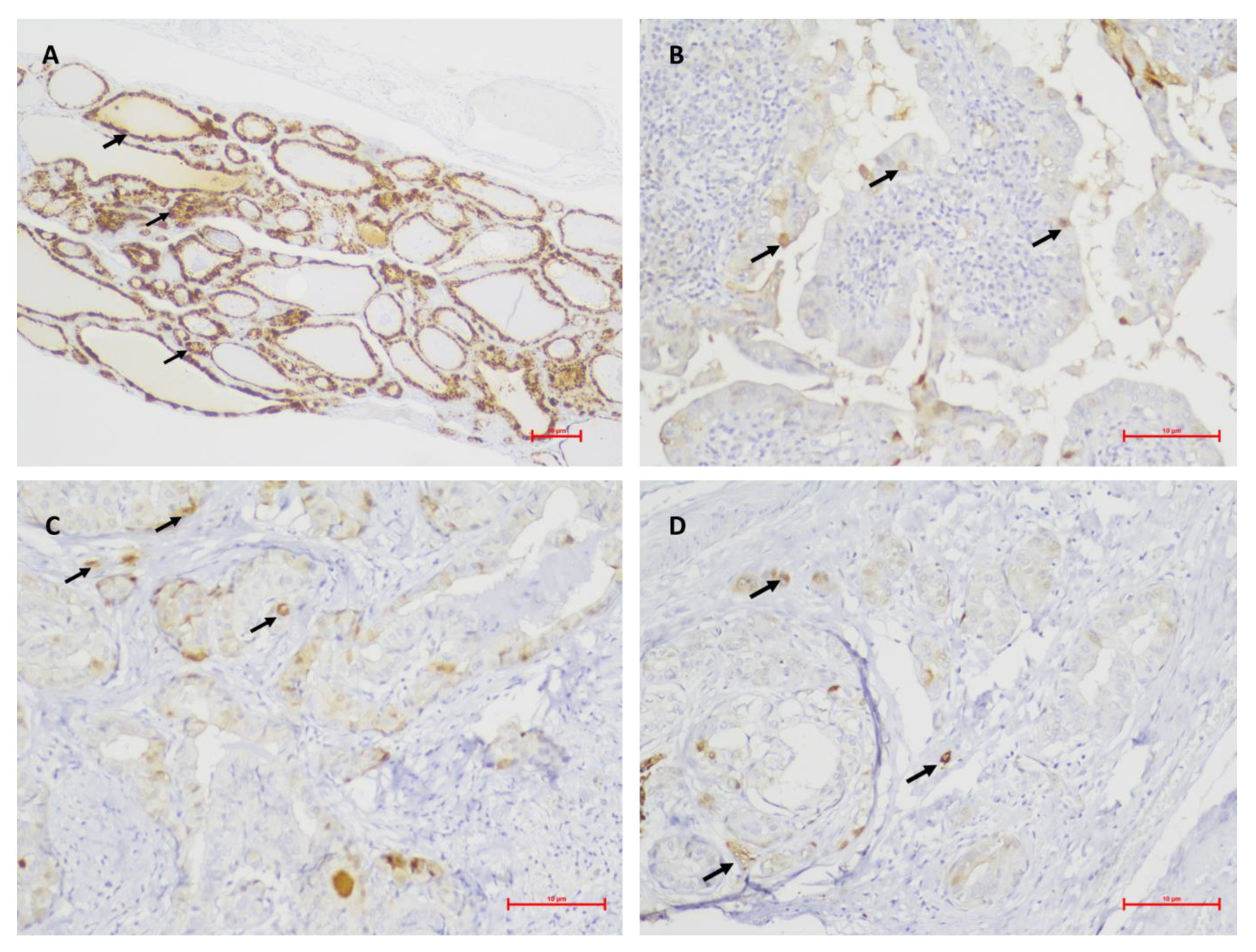
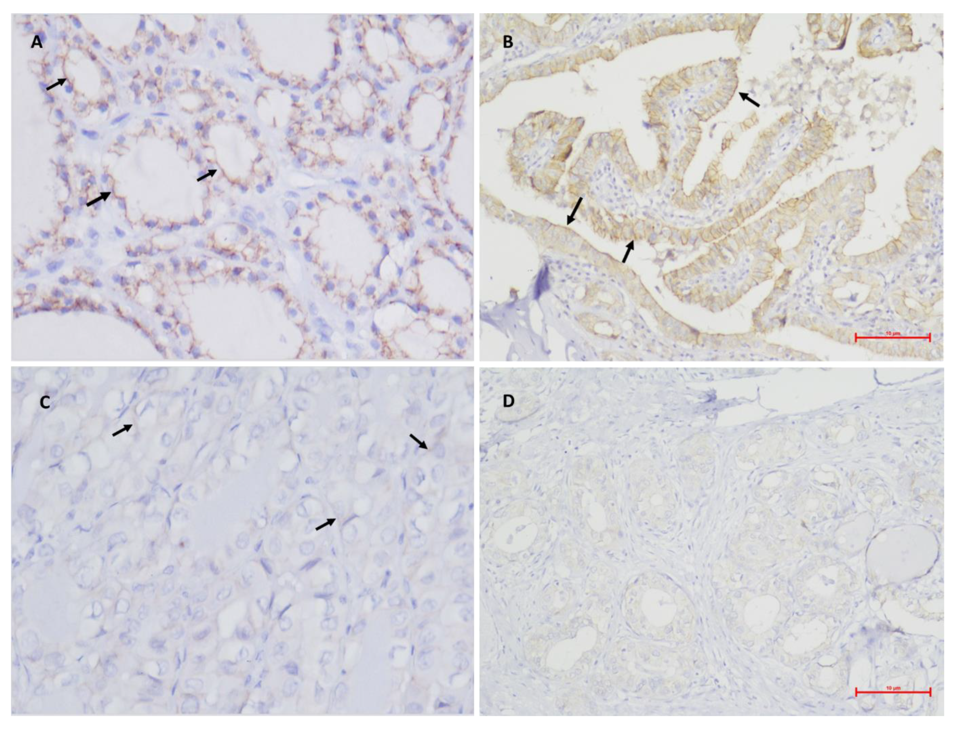
2.2. Immunohistochemistry
2.3. Staining Scoring
2.4. Statistical Analysis
3. Results
4. Discussion
5. Conclusions
Author Contributions
Funding
Institutional Review Board Statement
Informed Consent Statement
Data Availability Statement
Conflicts of Interest
References
- Pusztaszeri, M.; Auger, M. Update on the cytologic features of papillary thyroid carcinoma variants. Diagn. Cytopathol. 2017, 45, 714–730. [Google Scholar] [CrossRef] [PubMed]
- Khanafshar, E.; Lloyd, R.V. The spectrum of papillary thyroid carcinoma variants. Adv. Anat. Pathol. 2011, 18, 90–97. [Google Scholar] [CrossRef] [PubMed]
- Menon, S.S.; Guruvayoorappan, C.; Sakthivel, K.M.; Rasmi, R.R. Ki-67 protein as a tumour proliferation marker. Clin. Chim. Acta 2019, 491, 39–45. [Google Scholar] [CrossRef]
- Lee, Y.S.; Ha, S.A.; Kim, H.J.; Shin, S.M.; Kim, H.K.; Kim, S.; Kang, C.S.; Lee, K.Y.; Hong, O.K.; Lee, S.H.; et al. Minichromosome maintenance protein 3 is a candidate proliferation marker in papillary thyroid carcinoma. Exp. Mol. Pathol. 2010, 88, 138–142. [Google Scholar] [CrossRef] [PubMed]
- Ito, Y.; Miyauchi, A.; Kakudo, K.; Hirokawa, M.; Kobayashi, K.; Miya, A. Prognostic significance of ki-67 labeling index in papillary thyroid carcinoma. World J. Surg. 2010, 34, 3015–3021. [Google Scholar] [CrossRef] [PubMed]
- Kakudo, K.; Liu, Z.; Bai, Y.; Li, Y.; Kitayama, N.; Satoh, S.; Nakashima, M.; Jung, C.K. How to identify indolent thyroid tumors unlikely to recur and cause cancer death immediately after surgery—Risk stratification of papillary thyroid carcinoma in young patients. Endocr. J. 2021, 68, 871–880. [Google Scholar] [CrossRef]
- Wang, N.; Dong, C.R.; Jiang, R.; Tang, C.; Yang, L.; Jiang, Q.F.; Chen, G.G.; Liu, Z.M. Overexpression of HIF-1α, metallothionein and SLUG is associated with high TNM stage and lymph node metastasis in papillary thyroid carcinoma. Int. J. Clin. Exp. Pathol. 2013, 7, 322–330. [Google Scholar]
- Ivanova, K.; Ananiev, J.; Aleksandrova, E.; Ignatova, M.M.; Gulubova, M. Expression of E-Cadherin/Beta-Catenin in Epithelial Carcinomas of the Thyroid Gland. Open Access Maced. J. Med. Sci. 2017, 5, 155–159. [Google Scholar] [CrossRef]
- Graziani, G.; Lacal, P.M. Neuropilin-1 as Therapeutic Target for Malignant Melanoma. Front. Oncol. 2015, 5, 125. [Google Scholar] [CrossRef]
- Xu, Y.; Li, P.; Zhang, X.; Wang, J.; Gu, D.; Wang, Y. Prognostic implication of neuropilin-1 upregulation in human nasopharyngeal carcinoma. Diagn. Pathol. 2013, 8, 155. [Google Scholar] [CrossRef]
- Mitchell, B.; Dhingra, J.K.; Mahalingam, M. BRAF and Epithelial-Mesenchymal Transition: Lessons from Papillary Thyroid Carcinoma and Primary Cutaneous Melanoma. Adv. Anat. Pathol. 2016, 23, 244–271. [Google Scholar] [CrossRef] [PubMed]
- Saiegh, L.; Sheikh-Ahmad, M.; Shechner, C.; Reut, M.; Darawsha, Y.; Zolotov, S.; Shefer, H.; Bejar, I.; Bejar, J. Metallothionein protein and minichromosome maintenance protein-2 expression in adrenocortical tumors. Ann. Endocrinol. 2019, 80, 324–328. [Google Scholar] [CrossRef] [PubMed]
- Reena, R.M.; Mastura, M.; Siti-Aishah, M.A.; Munirah, M.A.; Norlia, A.; Naqiyah, I.; Rohaizak, M.; Sharifah, N.A. Minichromosome maintenance protein 2 is a reliable proliferative marker in breast carcinoma. Ann. Diagn. Pathol. 2008, 12, 340–343. [Google Scholar] [CrossRef] [PubMed]
- Wu, W.; Wang, X.; Shan, C.; Li, Y.; Li, F. Minichromosome maintenance protein 2 correlates with the malignant status and regulates proliferation and cell cycle in lung squamous cell carcinoma. OncoTargets Ther. 2018, 11, 5025–5034. [Google Scholar] [CrossRef] [PubMed]
- Pula, B.; Domoslawski, P.; Podhorska-Okolow, M.; Dziegiel, P. Role of metallothioneins in benign and malignant thyroid lesions. Thyroid Res. 2012, 5, 26. [Google Scholar] [CrossRef]
- Naito, A.; Iwase, H.; Kuzushima, T.; Nakamura, T.; Kobayashi, S. Clinical significance of E-cadherin expression in thyroid neoplasms. J. Surg. Oncol. 2001, 76, 176–180. [Google Scholar] [CrossRef]
- Harb, O.; Kaf, R.M.; Taha, H.; Balata, S.; Hemeda, R.; Yehia, A.M.; Gertallah, L.; Embaby, A. Clinical, pathological and prognostic implications of USP22, SIRT1 and E-cadherin expression in papillary thyroid cancer (PTC) and adjacent non-neoplastic tissue. Surg. Exp. Pathol 2019, 2, 22. [Google Scholar] [CrossRef]
- Pećina-Slaus, N. Tumor suppressor gene E-cadherin and its role in normal and malignant cells. Cancer Cell Int. 2003, 3, 17. [Google Scholar] [CrossRef]
- Nikiforov, Y.E. Molecular analysis of thyroid tumors. Mod. Pathol. 2011, 24 (Suppl. S2), S34–S43. [Google Scholar] [CrossRef]
- Baquero, P.; Sánchez-Hernández, I.; Jiménez-Mora, E.; Orgaz, J.L.; Jiménez, B.; Chiloeches, A. (V600E)BRAF promotes invasiveness of thyroid cancer cells by decreasing E-cadherin expression through a Snail-dependent mechanism. Cancer Lett. 2013, 335, 232–241. [Google Scholar] [CrossRef]
- Zhou, C.; Yang, C.; Chong, D. E-cadherin expression is associated with susceptibility and clinicopathological characteristics of thyroid cancer: A PRISMA-compliant meta-analysis. Medicine 2019, 98, e16187. [Google Scholar] [CrossRef] [PubMed]
- Cho Mar, K.; Eimoto, T.; Nagaya, S.; Tateyama, H. Cell proliferation marker MCM2, but not Ki67, is helpful for distinguishing between minimally invasive follicular carcinoma and follicular adenoma of the thyroid. Histopathology 2006, 48, 801–807. [Google Scholar] [CrossRef] [PubMed]
- Haugen, B.R.; Alexander, E.K.; Bible, K.C.; Doherty, G.M.; Mandel, S.J.; Nikiforov, Y.E.; Pacini, F.; Randolph, G.W.; Sawka, A.M.; Schlumberger, M.; et al. 2015 American Thyroid Association Management Guidelines for Adult Patients with Thyroid Nodules and Differentiated Thyroid Cancer: The American Thyroid Association Guidelines Task Force on Thyroid Nodules and Differentiated Thyroid Cancer. Thyroid 2016, 26, 1–133. [Google Scholar] [CrossRef] [PubMed]




| Benign Neoplasm | PTC + 0 | PTC + E | PTC + M | All Patients | |
|---|---|---|---|---|---|
| Number of cases | 22 | 21 | 12 | 11 | 66 |
| Age (years) | 44.55 ± 14.74 | 53.14 ± 13.75 | 59.33 ± 12.13 | 51 ± 22.33 | 51.05 ± 16.07 |
| Male/Female | 7/15 | 6/15 | 3/9 | 3/8 | 19/47 |
| Diameter of primary neoplasm (cm) | 2.99 ± 1.64 | 1.33 ± 0.96 | 1.58 ± 0.57 | 3.26 ± 1.76 | 2.25 ± 1.57 |
| Benign Neoplasm | PTC + 0 | PTC + E | PTC + M | |
|---|---|---|---|---|
| NP-1 (score range 0–3) | 1.95 ± 1.046 | 2.1 ± 0.944 | 2.25 ± 0.45 | 1.91 ± 0.7 |
| MT (score range 0–3) | 2.82 ± 0.66 | 1.76 ± 1.338 * | 1.58 ± 1.24 * | 1.27 ± 1.42 * |
| E-Cadherin (score range 0–3) | 1.64 ± 0.727 | 1 ± 0.837 * | 1 ± 0.603 * | 0.45 ± 0.82 * |
| Ki-LI (%) | 0.82 ± 1.5 | 0.62 ± 1.564 | 0.08 ± 0.29 * | 0.86 ± 0.98 |
| MCM2 (%) | 11.05 ± 10.67 | 24.76 ± 22.365 * | 24.96 ± 17.84 * | 22.55 ± 18.19 * |
| Benign Neoplasm Versus PTC + 0 | Benign Neoplasm Versus PTC + E | Benign Neoplasm Versus PTC + M | PTC + 0 Versus PTC + E | PTC + 0 Versus PTC + M | PTC + E Versus PTC + M | |
|---|---|---|---|---|---|---|
| NP-1 | NS | NS | NS | NS | NS | NS |
| MT | 0.002 | 0.001 | 0.01 | NS | NS | NS |
| E-Cadherin | 0.004 | 0.006 | <0.001 | NS | 0.028 | 0.021 |
| Ki-LI | NS | 0.015 | NS | NS | NS | 0.017 |
| MCM2 | 0.005 | 0.01 | 0.037 | NS | NS | NS |
Disclaimer/Publisher’s Note: The statements, opinions and data contained in all publications are solely those of the individual author(s) and contributor(s) and not of MDPI and/or the editor(s). MDPI and/or the editor(s) disclaim responsibility for any injury to people or property resulting from any ideas, methods, instructions or products referred to in the content. |
© 2023 by the authors. Licensee MDPI, Basel, Switzerland. This article is an open access article distributed under the terms and conditions of the Creative Commons Attribution (CC BY) license (https://creativecommons.org/licenses/by/4.0/).
Share and Cite
Sheikh-Ahmad, M.; Shalata, Y.; Bejar, J.; Kreizman Shefer, H.; Sirhan, M.F.; Laniado, M.; Matter, I.; Agbarya, A.; Reut, M.; Yovanovich, E.; et al. The Correlation between Proliferative Immunohistochemical Markers and Papillary Thyroid Carcinoma Aggressiveness. Medicina 2023, 59, 110. https://doi.org/10.3390/medicina59010110
Sheikh-Ahmad M, Shalata Y, Bejar J, Kreizman Shefer H, Sirhan MF, Laniado M, Matter I, Agbarya A, Reut M, Yovanovich E, et al. The Correlation between Proliferative Immunohistochemical Markers and Papillary Thyroid Carcinoma Aggressiveness. Medicina. 2023; 59(1):110. https://doi.org/10.3390/medicina59010110
Chicago/Turabian StyleSheikh-Ahmad, Mohammad, Yara Shalata, Jacob Bejar, Hila Kreizman Shefer, Majd F. Sirhan, Monica Laniado, Ibrahim Matter, Abed Agbarya, Maria Reut, Ekaterina Yovanovich, and et al. 2023. "The Correlation between Proliferative Immunohistochemical Markers and Papillary Thyroid Carcinoma Aggressiveness" Medicina 59, no. 1: 110. https://doi.org/10.3390/medicina59010110
APA StyleSheikh-Ahmad, M., Shalata, Y., Bejar, J., Kreizman Shefer, H., Sirhan, M. F., Laniado, M., Matter, I., Agbarya, A., Reut, M., Yovanovich, E., & Saiegh, L. (2023). The Correlation between Proliferative Immunohistochemical Markers and Papillary Thyroid Carcinoma Aggressiveness. Medicina, 59(1), 110. https://doi.org/10.3390/medicina59010110

