PD-L1 Status in Tenosynovial Giant Cell Tumors
Abstract
:1. Introduction
2. Materials and Methods
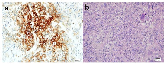
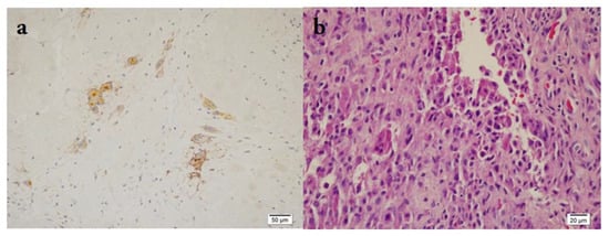
3. Results
4. Discussion
5. Conclusions
Author Contributions
Funding
Institutional Review Board Statement
Informed Consent Statement
Data Availability Statement
Conflicts of Interest
References
- Lucas, D.R. Tenosynovial giant cell tumor: Case report and review. Arch. Pathol. Lab. Med. 2012, 136, 901–906. [Google Scholar] [CrossRef] [PubMed]
- De Saint Aubain Somerhausen, N.; van de Rijn, M. Tenosynovial giant cell tumour. In WHO Classification of Tumours of Soft-Tissue and Bone, 4th ed.; Fletcher, C.D.M., Bridge, J.A., Hogendoorn, P.C.W., Mertens, F., Eds.; IARC: Lyon, France, 2013; Volume 5, pp. 100–103. [Google Scholar]
- Gouin, F.; Noailles, T. Localized and diffuse forms of tenosynovial giant cell tumor (formerly giant cell tumor of the tendon sheath and pigmented villonodular synovitis). Orthop. Traumatol. Surg. Res. 2017, 103, S91–S97. [Google Scholar] [CrossRef] [PubMed]
- Peyraud, F.; Cousin, S.; Italiano, A. CSF-1R Inhibitor Development: Current Clinical Status. Curr. Oncol. Rep. 2017, 19, 70. [Google Scholar] [CrossRef] [PubMed]
- Ehrenstein, V.; Andersen, S.L.; Qazi, I.; Sankar, N.; Pedersen, A.B.; Sikorski, R.; Acquavella, J.F. Tenosynovial Giant Cell Tumor: Incidence, Prevalence, Patient Characteristics, and Recurrence. A Registry-based Cohort Study in Denmark. J. Rheumatol. 2017, 44, 1476–1483. [Google Scholar] [CrossRef]
- Imakiire, N.; Fujino, T.; Morii, T.; Honya, K.; Mochizuki, K.; Satomi, K.; Fujioka, Y. Malignant pigmented villonodular synovitis in the knee—Report of a case with rapid clinical progression. Open Orthop. J. 2011, 3, 13–16. [Google Scholar] [CrossRef]
- Theunissen, C.I.J.M.; Bras, J.; van Lienden, K.P.; Obdeijn, M.C. Malignant giant cell tumor in the carpal tunnel: A case report and review of literature. J. Wrist Surg. 2013, 2, 271–275. [Google Scholar] [CrossRef]
- Latchman, Y.; Wood, C.R.; Chernova, T.; Chaudhary, D.; Borde, M.; Chernova, I.; Iwai, Y.; Long, A.J.; Brown, J.A.; Nunes, R.; et al. PD-L2 is a second ligand for PD-1 and inhibits T cell activation. Nat. Immunol. 2001, 2, 261–268. [Google Scholar] [CrossRef]
- Ravetch, J.V.; Lanier, L.L. Immune inhibitory receptors. Science 2000, 290, 84–89. [Google Scholar] [CrossRef]
- Healey, J.H.; Bernthal, N.M.; van de Sande, M. Management of Tenosynovial Giant Cell Tumor: A Neoplastic and Inflammatory Disease. JAAOS Glob. Res. Rev. 2020, 4, e20.00028. [Google Scholar] [CrossRef]
- Wang, X.; Teng, F.; Kong, L.; Yu, J. PD-L1 expression in human cancers and its association with clinical outcomes. OncoTargets Ther. 2016, 12, 5023–5039. [Google Scholar]
- Zheng, B.; Yu, L.; Hu, J.; Xu, H.; Wang, J.; Shi, Y.; Luo, X.; Yan, W. Expression of PD-L1 in mononuclear cells, multinucleated cells, and foam cells in tenosynovial giant cell tumors. Int. J. Clin. Exp. Pathol. 2019, 12, 876–884. [Google Scholar]
- Jaffe, H.L.; Lichtenstein, L.; Sutro, C.J. Pigmented villonodular synovitis, bursitis and tenosynovitis. Arch. Pathol. 1941, 31, 731–765. [Google Scholar]
- Yang, C.-Y.; Lin, M.-W.; Chang, Y.-L.; Wu, C.-T.; Yang, P.-C. Programmed cell death-ligand 1 expression in surgically resected stage I pulmonary adenocarcinoma and its correlation with driver mutations and clinical outcomes. Eur. J. Cancer 2014, 50, 1361–1369. [Google Scholar] [CrossRef] [PubMed]
- Weiss, S.W.; Goldblum, J.R. Benign tumors and tumor-like lesions of synovial tissue. In Enzinger & Weiss’s Soft Tissue Tumors; Mosby Elsevier: Philadelphia, PA, USA, 2008; pp. 769–788. [Google Scholar]
- Adams, E.L.; Yoder, E.M.; Kasdan, M.L. Giant cell tumor of the tendon sheath: Experience with 65 cases. Eplasty 2012, 12, e50. [Google Scholar] [PubMed]
- Ushijima, M.; Hashimoto, H.; Tsuneyoshi, M.; Enjoji, M. Giant cell tumor of the tendon sheath (nodular tenosynovitis). A study of 207 cases to compare the large joint group with the common digit group. Cancer 1986, 57, 875–884. [Google Scholar] [CrossRef]
- Boland, J.M.; Folpe, A.L.; Hornick, J.L.; Grogg, K.L. Clusterin is expressed in normal synoviocytes and in tenosynovial giant cell tumors of localized and diffuse types: Diagnostic and histogenetic implications. Am. J. Surg. Pathol. 2009, 33, 1225–1229. [Google Scholar] [CrossRef] [PubMed]
- Kuhnen, C.; Müller, K.M.; Rabstein, S.; Kasprzynski, A.; Herter, P. Tenosynovialer Riesenzelltumor Morphologische, ultrastrukturelle und immunhistochemische Befunde sowie Differenzia ldiagnose riesenzellhaltiger Tumoren des Weichgewebes [Tenosynovial giant cell tumor]. Pathologe 2005, 26, 96–110. [Google Scholar] [CrossRef]
- Somerhausen, N.S.; Fletcher, C.D. Diffuse-type giant cell tumor: Clinicopathologic and immunohistochemical analysis of 50 cases with extraarticular disease. Am. J. Surg. Pathol. 2000, 24, 479–492. [Google Scholar] [CrossRef]
- Botez, P.; Sirbu, P.D.; Grierosu, C.; Mihailescu, D.; Savin, L.; Scarlat, M.M. Adult multifocal pigmented villonodular synovitis—Clinical review. Int. Orthop. 2013, 37, 729–733. [Google Scholar] [CrossRef]
- Dines, J.S.; DeBerardino, T.; Wells, J.L.; Dodson, C.C.; Shindle, M.; DiCarlo, E.F.; Warren, R.F. Long-term follow-up of surgically treated localized pigmented villonodular synovitis of the knee. Arthrosc. J. Arthrosc. Relat. Surg. 2007, 23, 930–937. [Google Scholar] [CrossRef]
- Palmerini, E.; Staals, E.L.; Maki, R.G.; Pengo, S.; Cioffi, A.; Gambarotti, M.; Picci, P.; Daolio, P.A.; Parafioriti, A.; Morris, C.; et al. Tenosynovial giant cell tumour/pigmented villonodular synovitis: Outcome of 294 patients before the era of kinase inhibitors. Eur. J. Cancer 2014, 51, 210–217. [Google Scholar] [CrossRef] [PubMed]
- Martin, R.C., 2nd; Osborne, D.L.; Edwards, M.J.; Wrightson, W.; McMasters, K.M. Giant cell tumor of tendon sheath, tenosynovial giant cell tumor, and pigmented villonodular synovitis: Defining the presentation, surgical therapy and recurrence. Oncol. Rep. 2000, 7, 413–422. [Google Scholar] [PubMed]
- Tsukamoto, S.; Zucchini, R.; Staals, E.; Mavrogenis, A.F.; Akahane, M.; Palmerini, E.; Errani, C.; Tanaka, Y. Incomplete resection increases the risk of local recurrence and negatively affects functional outcome in patients with tenosynovial giant cell tumor of the hindfoot. Foot Ankle Surg. 2020, 26, 822–827. [Google Scholar] [CrossRef] [PubMed]
- Kotwal, P.P.; Gupta, V.; Malhotra, R. Giant-cell tumour of the tendon sheath. Is radiotherapy indicated to prevent recurrence after surgery? J. Bone Jt. Surg. 2000, 82, 571–573. [Google Scholar] [CrossRef]
- Shi, J.; Zheng, J.; Zhou, X.; Li, Z.; Chen, X.; Gao, W.; Yan, H. Risk Factors Associated With Postoperative Recurrence in Patients With Tenosynovial Giant Cell Tumor of the Hand: A Retrospective Cohort Study. Ann. Plast. Surg. 2019, 83, 523–528. [Google Scholar] [CrossRef] [PubMed]
- Mastboom, M.J.L.; Palmerini, E.; Verspoor, F.G.M.; Rueten-Budde, A.J.; Stacchiotti, S.; Staals, E.L.; Schaap, G.R.; Jutte, P.C.; Aston, W.; Gelderblom, H.; et al. Surgical outcomes of patients with diffuse-type tenosynovial giant-cell tumours: An international, retrospective, cohort study. Lancet Oncol. 2019, 20, 877–886. [Google Scholar] [CrossRef]
- Msc, A.M.G.; Ferguson, P.C.; Catton, C.N.; Chung, P.W.M.; White, L.M.; Wunder, J.S.; Bell, R.S.; O’Sullivan, B. Long-term outcome of the treatment of high-risk tenosynovial giant cell tumor/pigmented villonodular synovitis with radiotherapy and surgery. Cancer 2012, 118, 4901–4909. [Google Scholar]
- Al-Ibraheemi, A.; Ahrens, W.A.; Fritchie, K.; Dong, J.; Oliveira, A.M.; Balzer, B.; Folpe, A.L. Malignant Tenosynovial Giant Cell Tumor: The True “Synovial Sarcoma?” A Clinicopathologic, Immunohistochemical, and Molecular Cytogenetic Study of 10 Cases, Supporting Origin from Synoviocytes. Mod. Pathol. 2019, 32, 242–251. [Google Scholar] [CrossRef]
- Han, Y.; Liu, D.; Li, L. PD-1/PD-L1 pathway: Current researches in cancer. Am. J. Cancer Res. 2020, 10, 727–742. [Google Scholar]
- West, R.B.; Rubin, B.P.; Miller, M.A.; Subramanian, S.; Kaygusuz, G.; Montgomery, K.; Zhu, S.; Marinelli, R.J.; De Luca, A.; Downs-Kelly, E.; et al. A landscape effect in tenosynovial giant-cell tumor from activation of CSF1 expression by a translocation in a minority of tumor cells. Proc. Natl. Acad. Sci. USA 2006, 103, 690–695. [Google Scholar] [CrossRef]
- Cassier, A.P.; Italiano, A.; Gomez-Roca, A.C.; Le Tourneau, C.; Toulmonde, M.; Cannarile, A.M.; Ries, C.; Brillouet, A.; Müller, C.; Jegg, A.-M.; et al. CSF1R inhibition with emactuzumab in locally advanced diffuse-type tenosynovial giant cell tumours of the soft tissue: A dose-escalation and dose-expansion phase 1 study. Lancet Oncol. 2015, 16, 949–956. [Google Scholar] [CrossRef]
- Gelderblom, H.; Pérol, D.; Chevreau, C.; Tattersall, M.H.; Stacchiotti, S.; Casali, P.G.; Cropet, C.; Piperno-Neumann, S.; Le Cesne, A.; Italiano, A.; et al. An open-label international multicentric phase II study of nilotinib in progressive pigmented villo-nodular synovitis (PVNS) not amenable to a conservative surgical treatment. J. Clin. Oncol. 2013, 31, 10516. [Google Scholar] [CrossRef]
- Gelderblom, H.; de Sande, M.V. Pexidartinib: First approved systemic therapy for patients with tenosynovial giant cell tumor. Future Oncol. 2020, 16, 2345–2356. [Google Scholar] [CrossRef] [PubMed]
- Verspoor, F.G.M.; Mastboom, M.J.L.; Hannink, G.; Maki, R.G.; Wagner, A.; Bompas, E.; Desai, J.; Italiano, A.; Seddon, B.M.; Van Der Graaf, W.T.A.; et al. Long-term efficacy of imatinib mesylate in patients with advanced Tenosynovial Giant Cell Tumor. Sci. Rep. 2019, 9, 14551. [Google Scholar] [CrossRef] [PubMed]
- Ishida, Y.; Agata, Y.; Shibahara, K.; Honjo, T. Induced expression of PD-1, a novel member of the immunoglobulin gene superfamily, upon programmed cell death. EMBO J. 1992, 11, 3887–3895. [Google Scholar] [CrossRef] [PubMed]
- De Visser, K.E.; Eichten, A.; Coussens, L.M. Paradoxical roles of the immune system during cancer development. Nat. Rev. Cancer 2006, 6, 24–37. [Google Scholar] [CrossRef]
- Dong, H.; Zhu, G.; Tamada, K.; Chen, L. B7-H1, a third member of the B7 family, co-stimulates T-cell proliferation and interleukin-10 secretion. Nat. Med. 1999, 5, 1365–1369. [Google Scholar] [CrossRef]


| S/N | Patient | Age (Years) | Sex | Tumor Type (Diffuse/Localized) | Tumor Size (cm) | Recurrence | Location | PD-L1 Immunostaining | Multinucleated Cells M | Mononuclear Cells | Foam Cells |
|---|---|---|---|---|---|---|---|---|---|---|---|
| 1. | H.S. | 42 | F | Diffuse | 8.0 × 5.0 × 4.0 | None | Knee | 52% (4) | + | + | + |
| 2. | E.T. | 38 | M | Diffuse | 16 × 10 × 3.5 | None | Hip | 3% (1) | + | − | − |
| 3. | S.S. | 32 | F | Localized | 2.5 × 1.2 × 1.2 | None | Knee | 6% (2) | + | − | − |
| 4. | T.E. | 55 | M | Diffuse | 2.5 × 2.0 × 0.5 | None | Ankle | 1% (1) | + | − | − |
| 5. | S.S. | 14 | M | Diffuse | 3.0 × 2.0 × 0.5 | None | Hip | 5% (2) | + | − | − |
| 6. | E.T.S. | 45 | F | Localized | 2.0 × 1.5 × 1.0 | None | Finger | 45% (3) | + | − | − |
| 7. | D.S. | 38 | F | Diffuse | 13 × 4.0 × 1.5 | Once | Knee | 12% (3) | + | − | + |
| 8. | N.Y. | 56 | M | Diffuse | 3.0 × 2.2 × 1.0 | None | Hip | 4% (1) | + | + | − |
| 9. | H.C.B. | 16 | M | Diffuse | 10 × 8.0 × 2.0 | None | Knee | 4% (1) | + | − | − |
| 10. | R.K. | 70 | F | Diffuse | 1.5 × 1.5 × 0.3 | None | Finger | 40% (3) | + | − | + |
| 11. | G.Y. | 38 | F | Localized | 2.0 × 1.5 × 0.5 | None | Knee | 5% (2) | + | − | − |
| 12. | L.S. | 45 | F | Localized | 2.0 × 1.0 × 0.8 | None | Finger | 9% (2) | + | − | − |
| 13. | F.K. | 39 | F | Diffuse | 10 × 9.0 × 1.0 | None | Knee | 30% (3) | + | + | + |
| 14. | S.A. | 40 | F | Diffuse | 1.0 × 0.2 × 2.0 | None | Knee | 6% (2) | + | − | − |
| 15. | V.E. | 39 | F | Diffuse | 7.0 × 3.0 × 1.5 | None | Knee | 1% (1) | − | + | − |
| 16. | M.E | 64 | F | Localized | 3.0 × 2.5 × 2.5 | None | Leg | 8% (2) | − | + | − |
| 17. | S. G | 17 | F | Diffuse | 5.0 × 4.5 × 2.5 | None | Ankle | 10% (3) | + | − | − |
| 18 | A.Z. | 38 | F | Localized | 1.5 × 1.3 × 0.3 | None | Knee | 50% (4) | + | + | + |
| 19. | E.C. | 31 | F | Diffuse | 4.5 × 4.1 | None | Ankle | 30% (3) | + | − | + |
| 20. | F.M | 48 | F | Localized | 1.0 × 0.5 × 0.5 | Twice | Finger | 40% (3) | + | − | − |
| Percentage of Staining | Type | ||
|---|---|---|---|
| Localized | Diffuse | ||
| PD-L1 immunohistochemical staining | 5–9% | 4 (66.7%) | 2 (33.3%) |
| 10–49% | 2 (28.6%) | 5 (71.4%) | |
| ≥50% | 1 (50%) | 1 (50%) | |
| PD-L1 Immunostaining | p | |||
|---|---|---|---|---|
| Grade 1 | Grade 2-3-4 | |||
| Tumor size | <5 | 1 (20%) | 9 (60%) | 0.152 |
| >5 | 4 (80%) | 6 (40%) | ||
| n | Average ± Ss | Min-Max (Median) | p | ||
|---|---|---|---|---|---|
| Age | Grade 1 | 5 | 40.8 ± 16.27 | 16–56 (39) | 0.826 |
| Grade 2-3-4 | 15 | 40.07 ± 14.53 | 14–70 (39) |
Publisher’s Note: MDPI stays neutral with regard to jurisdictional claims in published maps and institutional affiliations. |
© 2022 by the authors. Licensee MDPI, Basel, Switzerland. This article is an open access article distributed under the terms and conditions of the Creative Commons Attribution (CC BY) license (https://creativecommons.org/licenses/by/4.0/).
Share and Cite
Zenginkinet, T.; Faruq, A.U.; Toksoz Yildirim, A.N.; Iyetin, Y.; Ozturan, B.; Okay, E.; Celik, A.; Ozkan, K.; Akyurek, M. PD-L1 Status in Tenosynovial Giant Cell Tumors. Medicina 2022, 58, 1270. https://doi.org/10.3390/medicina58091270
Zenginkinet T, Faruq AU, Toksoz Yildirim AN, Iyetin Y, Ozturan B, Okay E, Celik A, Ozkan K, Akyurek M. PD-L1 Status in Tenosynovial Giant Cell Tumors. Medicina. 2022; 58(9):1270. https://doi.org/10.3390/medicina58091270
Chicago/Turabian StyleZenginkinet, Tulay, Abdullahi Umar Faruq, Ayse Nur Toksoz Yildirim, Yusuf Iyetin, Burak Ozturan, Erhan Okay, Aykut Celik, Korhan Ozkan, and Muhlik Akyurek. 2022. "PD-L1 Status in Tenosynovial Giant Cell Tumors" Medicina 58, no. 9: 1270. https://doi.org/10.3390/medicina58091270
APA StyleZenginkinet, T., Faruq, A. U., Toksoz Yildirim, A. N., Iyetin, Y., Ozturan, B., Okay, E., Celik, A., Ozkan, K., & Akyurek, M. (2022). PD-L1 Status in Tenosynovial Giant Cell Tumors. Medicina, 58(9), 1270. https://doi.org/10.3390/medicina58091270

