Quantitative Evaluation of Inflammatory Markers in Peri-Implantitis and Periodontitis Tissues: Digital vs. Manual Analysis—A Proof of Concept Study
Abstract
:1. Introduction
2. Materials and Methods
- -
- Over 18 years old;
- -
- No systemic diseases;
- -
- No long-term medications;
- -
- No smoking;
- -
- No pregnant or lactating women;
- -
- Diagnosis of active periodontitis or peri-implantitis according to the criteria further described and requiring surgical therapy;
- -
- Have read and signed the informed consent.
- -
- Hyperemia;
- -
- Bleeding;
- -
- Probing depth ≥ 5 mm;
- -
- Suprabony defect confirmed by intraoral radiography.
2.1. Surgical Procedures and Sample Collection
2.2. Histological and Immunohistochemical Processing
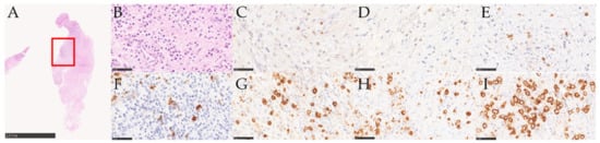
2.3. Selection and Analysis of the Images
2.3.1. MC
2.3.2. DC
2.3.3. Agreement between MC and DC
2.4. Statistical Analysis
2.4.1. Comparison between Methods (MC vs. DC)
2.4.2. Lesion Comparison (PI vs. PD)
3. Results
3.1. Methodological Comparisons
3.1.1. Concordance between Observers
3.1.2. Agreement and Correlation between Methods
Agreement
Correlation
3.1.3. Time
3.2. Lesion Comparison
3.2.1. Tissue Structure
PD Lesions
PI Lesions
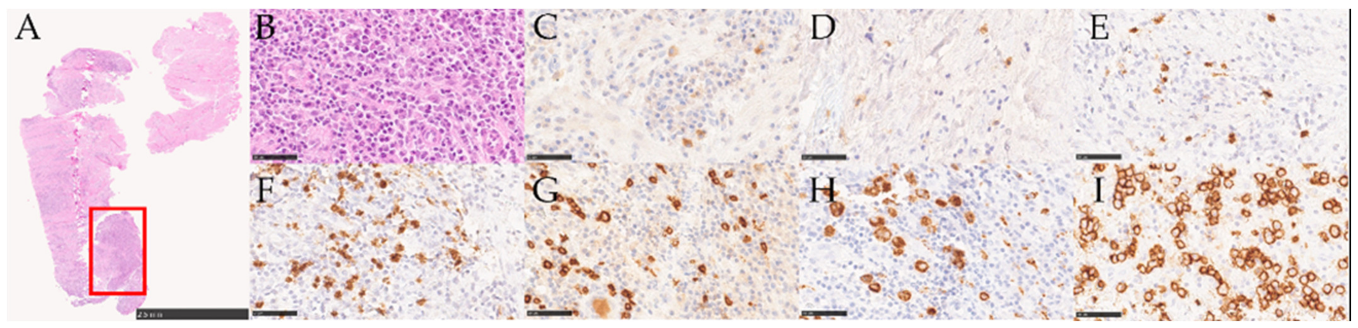
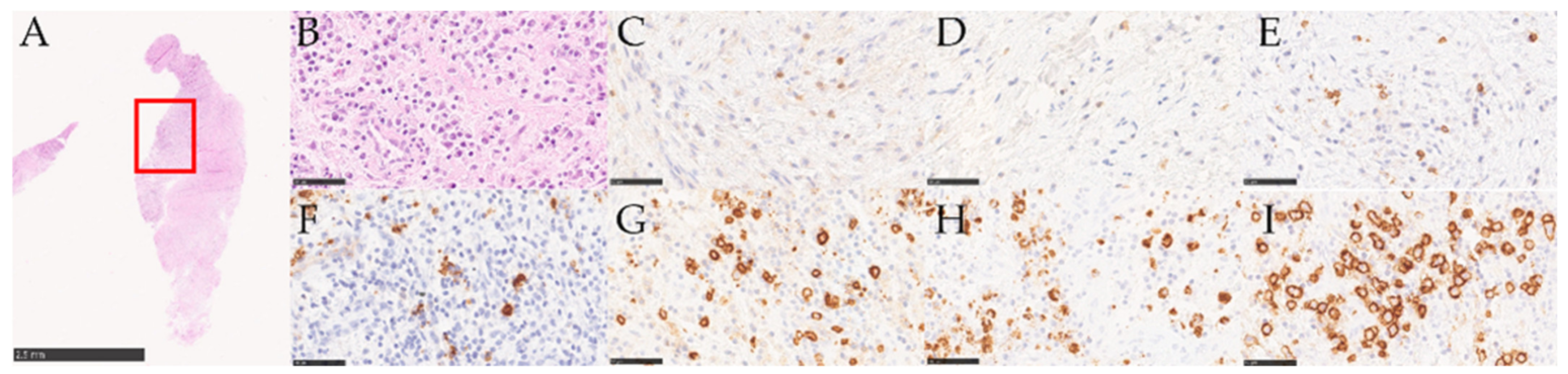
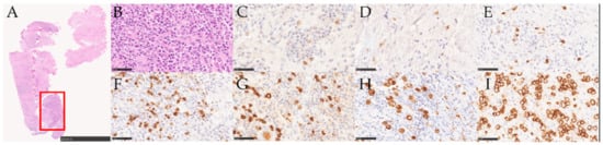
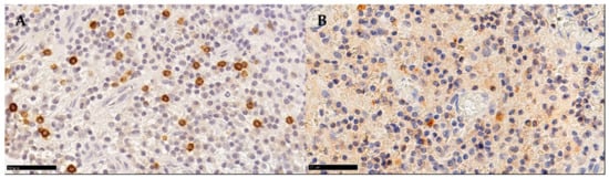
3.2.2. Immunohistochemical Analysis
3.2.3. Morphometry
MC
DC
MC vs. DC
4. Discussion
5. Conclusions
Author Contributions
Funding
Institutional Review Board Statement
Informed Consent Statement
Data Availability Statement
Conflicts of Interest
References
- Carmagnola, D.; Botticelli, D.; Canciani, E.; Rossi, F.; Milani, S.; Dellavia, C. Histologic and immunohistochemical description of early healing at marginal defects around implants. Int. J. Periodontics Restor. Dent. 2014, 34, e50–e57. [Google Scholar] [CrossRef] [PubMed] [Green Version]
- Schwarz, F.; Derks, J.; Monje, A.; Wang, H.-L. Peri-implantitis. J. Periodontol. 2018, 89, S267–S290. [Google Scholar] [CrossRef] [PubMed]
- Sanz, M.; Quirynen, M. Advances in the aetiology of periodontitis. Group A Consensus report of the 5th European Workshop in Periodontology. J. Clin. Periodontol. 2005, 32, 54–56. [Google Scholar] [CrossRef]
- Tonetti, M.S.; Greenwell, H.; Kornman, K.S. Staging and grading of periodontitis: Framework and proposal of a new classification and case definition. J. Periodontol. 2018, 89, S159–S172. [Google Scholar] [CrossRef] [Green Version]
- Dellavia, C.; Canullo, L.; Allievi, C.; Lang, N.P.; Pellegrini, G. Soft tissue surrounding switched platform implants: An immunohistochemical evaluation. Clin. Oral Implant. Res. 2013, 24, 63–70. [Google Scholar] [CrossRef] [PubMed]
- Carcuac, O.; Berglundh, T. Composition of Human Peri-implantitis and Periodontitis Lesions. J. Dent. Res. 2014, 93, 1083–1088. [Google Scholar] [CrossRef] [PubMed] [Green Version]
- Rakic, M.; Radunovic, M.; Petkovic-Curcin, A.; Tatic, Z.; Basta-Jovanovic, G.; Sanz, M. Study on the immunopathological effect of titanium particles in peri-implantitis granulation tissue: A case–control study. Clin. Oral Implant. Res. 2022, 33, 656–666. [Google Scholar] [CrossRef]
- Ravidà, A.; Siqueira, R.; Di Gianfilippo, R.; Kaur, G.; Giannobile, A.; Galindo-Moreno, P.; Wang, C.; Wang, H. Prognostic factors associated with implant loss, disease progression or favorable outcomes after peri-implantitis surgical therapy. Clin. Implant Dent. Relat. Res. 2022, 24, 222–232. [Google Scholar] [CrossRef]
- Berglundh, T.; Lindhe, J.; Ericsson, I.; Marinello, C.P.; Liljenberg, B.; Thornsen, P. The soft tissue barrier at implants and teeth. Clin. Oral Implants Res. 1991, 2, 81–90. [Google Scholar] [CrossRef]
- Dellavia, C.; Giammattei, M.; Carmagnola, D.; Musto, F.; Canciani, E.; Chiapasco, M. Iliac Crest Fresh-Frozen Allografts Versus Autografts in Oral Pre-Prosthetic Bone Reconstructive Surgery: Histologic and Histomorphometric Study. Implant Dent. 2016, 25, 731–738. [Google Scholar] [CrossRef]
- Jahn, S.W.; Plass, M.; Moinfar, F. Digital pathology: Advantages, limitations and emerging perspectives. J. Clin. Med. 2020, 9, 3697. [Google Scholar] [CrossRef] [PubMed]
- Kent, M.N.; Olsen, T.G.; Feeser, T.A.; Tesno, K.C.; Moad, J.C.; Conroy, M.P.; Kendrick, M.J.; Stephenson, S.R.; Murchland, M.R.; Khan, A.U.; et al. Diagnostic Accuracy of Virtual Pathology vs Traditional Microscopy in a Large Dermatopathology Study. JAMA Dermatol. 2017, 153, 1285–1291. [Google Scholar] [CrossRef]
- Onega, T.; Barnhill, R.L.; Piepkorn, M.W.; Longton, G.M.; Elder, D.E.; Weinstock, M.A.; Knezevich, S.R.; Reisch, L.M.; Carney, P.A.; Nelson, H.D.; et al. Accuracy of Digital Pathologic Analysis vs Traditional Microscopy in the Interpretation of Melanocytic Lesions. JAMA Dermatol. 2018, 154, 1159. [Google Scholar] [CrossRef] [PubMed]
- Kazdal, D.; Rempel, E.; Oliveira, C.; Allgäuer, M.; Harms, A.; Singer, K.; Kohlwes, E.; Ormanns, S.; Fink, L.; Kriegsmann, J.; et al. Conventional and semi-automatic histopathological analysis of tumor cell content for multigene sequencing of lung adenocarcinoma. Transl. Lung Cancer Res. 2021, 10, 1666–1678. [Google Scholar] [CrossRef]
- De Ruiter, E.J.; Bisheshar, S.K.; de Roest, R.H.; Wesseling, F.W.R.; Hoebers, F.J.P.; van den Hout, M.F.C.M.; Leemans, C.R.; Brakenhoff, R.H.; de Bree, R.; Terhaard, C.H.J.; et al. Assessing the prognostic value of tumor-infiltrating CD57+ cells in advanced stage head and neck cancer using QuPath digital image analysis. Virchows Archiv 2022, in press. [Google Scholar] [CrossRef] [PubMed]
- Wu, H.; Souedet, N.; You, Z.; Jan, C.; Clouchoux, C.; Delzescaux, T. Evaluation of Deep Learning Topcoders Method for Neuron Individualization in Histological Macaque Brain Section. In Proceedings of the Annual International Conference of the IEEE Engineering in Medicine and Biology Society, EMBS, Guadalajara, Mexico, 1–5 November 2021. [Google Scholar] [CrossRef]
- Delides, G.S.; Garas, G.; Georgouli, G.; Jiortziotis, D.; Lecca, J.; Liva, T.; Elemenoglou, J. Intralaboratory variations in the grading of breast carcinoma. Arch. Pathol. Lab. Med. 1982, 106, 126–128. [Google Scholar] [PubMed]
- Rakha, E.A.; Aleskandarany, M.; Toss, M.S.; Mongan, N.P.; ElSayed, M.E.; Green, A.R.; Ellis, I.; Dalton, L.W. Impact of breast cancer grade discordance on prediction of outcome. Histopathology 2018, 73, 904–915. [Google Scholar] [CrossRef]
- Robbins, P.; Pinder, S.; de Klerk, N.; Dawkins, H.; Harvey, J.; Sterrett, G.; Ellis, I.; Elston, C. Histological grading of breast carcinomas: A study of interobserver agreement. Hum. Pathol. 1995, 26, 873–879. [Google Scholar] [CrossRef]
- Morley, A.; Blake, J. Observer error in histological assessment of marrow hypocellularity. J. Clin. Pathol. 1975, 28, 104–108. [Google Scholar] [CrossRef] [Green Version]
- Peck, M.; Moffatt, D.; Latham, B.; Badrick, T. Review of diagnostic error in anatomical pathology and the role and value of second opinions in error prevention. J. Clin. Pathol. 2018, 71, 995–1000. [Google Scholar] [CrossRef]
- Aeffner, F.; Zarella, M.D.; Buchbinder, N.; Bui, M.M.; Goodman, M.R.; Hartman, D.J.; Lujan, G.M.; Molani, M.A.; Parwani, A.V.; Lillard, K.; et al. Introduction to Digital Image Analysis in Whole-slide Imaging: A White Paper from the Digital Pathology Association. J. Pathol. Inform. 2019, 10, 9. [Google Scholar] [CrossRef] [PubMed]
- Zhou, Y.; Ru, G.Q.; Yan, R.; Wang, M.S.; Chen, M.J.; Yu, L.L.; Wang, H. An Inexpensive Digital Image Analysis Technique for Liver Fibrosis Quantification in Chronic Hepatitis B Patients. Ann. Hepatol. 2017, 16, 881–887. [Google Scholar] [CrossRef] [PubMed]
- Henin, D.; Pellegrini, G.; Carmagnola, D.; Lanza Attisano, G.C.; Lopez, G.; Ferrero, S.; Amendola, A.; De Angelis, D.; Tanzi, E.; Dellavia, C. Morphological and Immunopathological Aspects of Lingual Tissues in COVID-19. Cells 2022, 11, 1248. [Google Scholar] [CrossRef] [PubMed]
- Güllü, C.; Ozmeric, N.; Tokman, B.; Elgun, S.; Balos, K. Effectiveness of scaling and root planing versus modified Widman flap on nitric oxide synthase and arginase activity in patients with chronic periodontitis. J. Periodontal Res. 2005, 40, 168–175. [Google Scholar] [CrossRef]
- Pellegrini, G.; Rasperini, G.; Obot, G.; Farronato, D.; Dellavia, C. Soft tissue healing in alveolar socket preservation technique: Histologic evaluations. Int. J. Periodontics Restor. Dent. 2014, 34, 531–539. [Google Scholar] [CrossRef] [Green Version]
- Gavrielides, M.A.; Conway, C.; O’Flaherty, N.; Gallas, B.D.; Hewitt, S.M. Observer Performance in the Use of Digital and Optical Microscopy for the Interpretation of Tissue-Based Biomarkers. Anal. Cell. Pathol. 2014, 2014, 157308. [Google Scholar] [CrossRef] [Green Version]
- Schroeder, H.E.; Münzel-Pedrazzoli, S. Morphometric model, tissue sampling and test of stereologic procedures. J. Microsc. 1973, 99, 301–329. [Google Scholar] [CrossRef]
- Clarke, E.L.; Treanor, D. Colour in digital pathology: A review. Histopathology 2017, 70, 153–163. [Google Scholar] [CrossRef]
- Fleiss, J.L. The Design and Analysis of Clinical Experiments; Wiley Online Library: Hoboken, NJ, USA, 1999. [Google Scholar] [CrossRef]
- Giavarina, D. Understanding Bland Altman analysis. Biochem. Med. 2015, 25, 141–151. [Google Scholar] [CrossRef] [Green Version]
- Sundar, M.K.; Chelliah, V. Ten Steps to Create Virtual Smile Design Templates with Adobe Photoshop® CS6. Compend. Contin. Educ. Dent. 2018, 39, e4–e8. [Google Scholar]
- McLaren, E.A.; Goldstein, R.E. The Photoshop Smile Design Technique. Compend. Contin. Educ. Dent. 2018, 39, e17–e20. [Google Scholar] [PubMed]
- Buchwalow, I.; Samoilova, V.; Boecker, W.; Tiemann, M. Non-specific binding of antibodies in immunohistochemistry: Fallacies and facts. Sci. Rep. 2011, 1, 28. [Google Scholar] [CrossRef] [PubMed] [Green Version]
- Magaki, S.; Hojat, S.A.; Wei, B.; So, A.; Yong, W.H. An introduction to the performance of immunohistochemistry. In Methods in Molecular Biology; Springer: Berlin/Heidelberg, Germany, 2019; Volume 1897. [Google Scholar] [CrossRef]
- Vodovnik, A. Diagnostic time in digital pathology: A comparative study on 400 cases. J. Pathol. Inform. 2016, 7, 4. [Google Scholar] [CrossRef] [PubMed]
- Baidoshvili, A.; Bucur, A.; van Leeuwen, J.; van der Laak, J.; Kluin, P.; van Diest, P.J. Evaluating the benefits of digital pathology implementation: Time savings in laboratory logistics. Histopathology 2018, 73, 784–794. [Google Scholar] [CrossRef]
- Gualini, F.; Berglundh, T. Immunohistochemical characteristics of inflammatory lesions at implants. J. Clin. Periodontol. 2003, 30, 14–18. [Google Scholar] [CrossRef]
- De Araújo, M.F.; Etchebehere, R.M.; de Melo, M.L.R.; Beghini, M.; Severino, V.O.; de Castro Côbo, E.; Rodrigues, D.B.R.; de Lima Pereira, S.A. Analysis of CD15, CD57 and HIF-1α in biopsies of patients with peri-implantitis. Pathol. Res. Pract. 2017, 213, 1097–1101. [Google Scholar] [CrossRef]
- Dutzan, N.; Konkel, J.E.; Greenwell-Wild, T.; Moutsopoulos, N.M. Characterization of the human immune cell network at the gingival barrier. Mucosal Immunol. 2016, 9, 1163–1172. [Google Scholar] [CrossRef]
- Canciani, E.; Sirello, R.; Pellegrini, G.; Henin, D.; Perrotta, M.; Toma, M.; Khomchyna, N.; Dellavia, C. Effects of Vitamin and Amino Acid-Enriched Hyaluronic Acid Gel on the Healing of Oral Mucosa: In Vivo and In Vitro Study. Medicina 2021, 57, 285. [Google Scholar] [CrossRef]







| Cellular Type | Antibody | Clone | Diluition IgG | Pre-Treatment |
|---|---|---|---|---|
| T lymphocytes | CD3+ | F7.2.38 | 1:40 | EDTA |
| T helper | CD4+ | 1F6 | 1:50 | EDTA |
| T cytotoxic | CD8+ | C8/144B | 1:100 | Citrate |
| Neutrophils | CD15+ | C3D-1 | 1:50 | EDTA |
| B lymphocytes | CD20+ | L26 | 1:500 | Citrate |
| Macrophages | CD68+ | PGM1 | 1:100 | Citrate |
| Plasma cells | CD128+ | B-B4 | 1:1000 | Citrate |
| Observer | Technique | Variance | Error | p-Value | ICC | Fleiss (1986) [30] |
|---|---|---|---|---|---|---|
| Observer 1 | DC | 2.12 | 0.24 | p < 0.0001 | 0.88 | Excellent |
| MC | 1.52 | 0.10 | p < 0.0001 | 0.77 | Excellent | |
| Observer 2 | DC | 2.28 | 0.37 | p < 0.0001 | 0.85 | Excellent |
| MC | 2.71 | 0.20 | p < 0.0001 | 0.88 | Excellent |
| Technique | Background | Variance | Error | p-Value | ICC | Fleiss (1986) [30] |
|---|---|---|---|---|---|---|
| DC | GOOD | 2.0 | 0.25 | p < 0.0001 | 0.78 | Excellent |
| NOISE | 2.01 | 0.41 | p < 0.0001 | 0.65 | Good | |
| MC | GOOD | 1.07 | 0.14 | p < 0.0001 | 0.76 | Excellent |
| NOISE | 1.82 | 0.12 | p < 0.0001 | 0.87 | Excellent |
Publisher’s Note: MDPI stays neutral with regard to jurisdictional claims in published maps and institutional affiliations. |
© 2022 by the authors. Licensee MDPI, Basel, Switzerland. This article is an open access article distributed under the terms and conditions of the Creative Commons Attribution (CC BY) license (https://creativecommons.org/licenses/by/4.0/).
Share and Cite
Henin, D.; Fiorin, L.G.; Carmagnola, D.; Pellegrini, G.; Toma, M.; Cristofalo, A.; Dellavia, C. Quantitative Evaluation of Inflammatory Markers in Peri-Implantitis and Periodontitis Tissues: Digital vs. Manual Analysis—A Proof of Concept Study. Medicina 2022, 58, 867. https://doi.org/10.3390/medicina58070867
Henin D, Fiorin LG, Carmagnola D, Pellegrini G, Toma M, Cristofalo A, Dellavia C. Quantitative Evaluation of Inflammatory Markers in Peri-Implantitis and Periodontitis Tissues: Digital vs. Manual Analysis—A Proof of Concept Study. Medicina. 2022; 58(7):867. https://doi.org/10.3390/medicina58070867
Chicago/Turabian StyleHenin, Dolaji, Luiz Guilherme Fiorin, Daniela Carmagnola, Gaia Pellegrini, Marilisa Toma, Aurora Cristofalo, and Claudia Dellavia. 2022. "Quantitative Evaluation of Inflammatory Markers in Peri-Implantitis and Periodontitis Tissues: Digital vs. Manual Analysis—A Proof of Concept Study" Medicina 58, no. 7: 867. https://doi.org/10.3390/medicina58070867
APA StyleHenin, D., Fiorin, L. G., Carmagnola, D., Pellegrini, G., Toma, M., Cristofalo, A., & Dellavia, C. (2022). Quantitative Evaluation of Inflammatory Markers in Peri-Implantitis and Periodontitis Tissues: Digital vs. Manual Analysis—A Proof of Concept Study. Medicina, 58(7), 867. https://doi.org/10.3390/medicina58070867

