Short-Term Treatment with Empagliflozin Resulted in Dehydration and Cardiac Arrest in an Elderly Patient with Specific Complications: A Case Report and Literature Review
Abstract
:1. Introduction
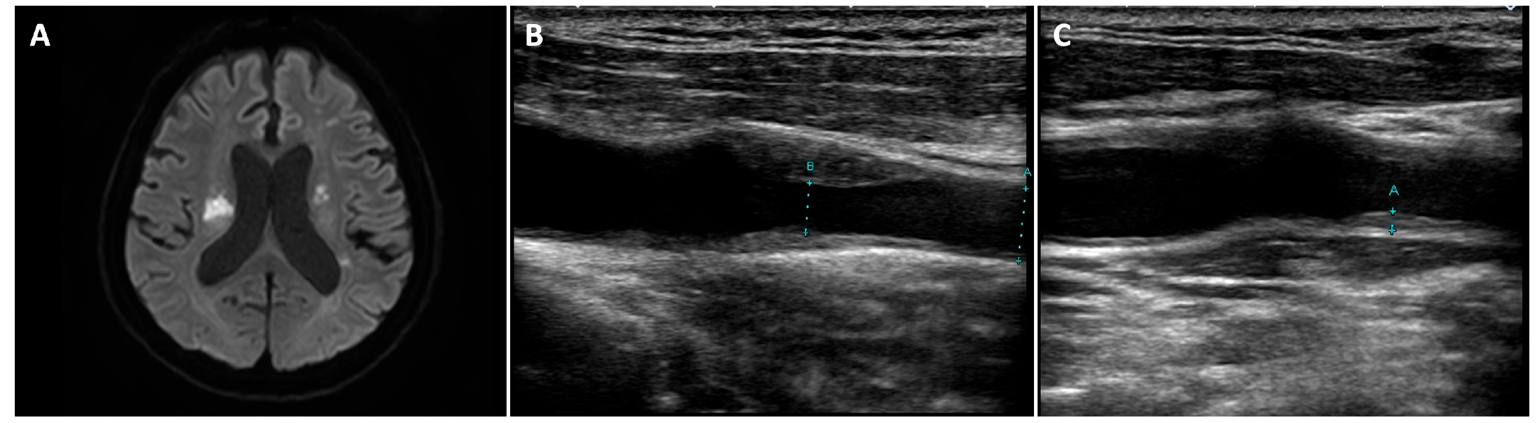
2. Case Presentation
3. Discussion
4. Conclusions
Author Contributions
Funding
Institutional Review Board Statement
Informed Consent Statement
Data Availability Statement
Conflicts of Interest
References
- Frampton, J.E. Empagliflozin: A Review in Type 2 Diabetes. Drugs 2018, 78, 1037–1048. [Google Scholar] [CrossRef] [PubMed]
- Anker, S.D.; Butler, J.; Filippatos, G.; Ferreira, J.P.; Bocchi, E.; Böhm, M.; Brunner-La Rocca, H.P.; Choi, D.J.; Chopra, V.; Chuquiure-Valenzuela, E.; et al. EMPEROR-Preserved Trial Investigators. Empagliflozin in Heart Failure with a Preserved Ejection Fraction. N. Engl. J. Med. 2021, 385, 1451–1461. [Google Scholar] [CrossRef] [PubMed]
- Rao, S. Use of Sodium-Glucose Cotransporter-2 Inhibitors in Clinical Practice for Heart Failure Prevention and Treatment: Beyond Type 2 Diabetes. A Narrative Review. Adv. Ther. 2022, 39, 845–861. [Google Scholar] [CrossRef] [PubMed]
- McDonagh, T.A.; Metra, M.; Adamo, M.; Gardner, R.S.; Baumbach, A.; Böhm, M.; Burri, H.; Butler, J.; Čelutkienė, J.; Chioncel, O.; et al. ESC Scientific Document Group. 2021 ESC Guidelines for the diagnosis and treatment of acute and chronic heart failure. Eur. Heart J. 2021, 42, 3599–3726. [Google Scholar] [CrossRef]
- Kosiborod, M.; Birkeland, K.I.; Cavender, M.A.; Fu, A.Z.; Wilding, J.P.; Khunti, K.; Holl, R.W.; Norhammar, A.; Jørgensen, M.E.; Wittbrodt, E.T.; et al. CVD-REAL Investigators and Study Group. Rates of myocardial infarction and stroke in patients initiating treatment with SGLT2-inhibitors versus other glucose-lowering agents in real-world clinical practice: Results from the CVD-REAL study. Diabetes Obes. Metab. 2018, 20, 1983–1987. [Google Scholar] [CrossRef] [Green Version]
- Li, N.; Lv, D.; Zhu, X.; Wei, P.; Gui, Y.; Liu, S.; Zhou, E.; Zheng, M.; Zhou, D.; Zhang, L. Effects of SGLT2 Inhibitors on Renal Outcomes in Patients With Chronic Kidney Disease: A Meta-Analysis. Front. Med. 2021, 8, 728089. [Google Scholar] [CrossRef]
- Wanner, C.; Lachin, J.M.; Inzucchi, S.E.; Fitchett, D.; Mattheus, M.; George, J.; Woerle, H.J.; Broedl, U.C.; von Eynatten, M.; Zinman, B. EMPA-REG OUTCOME Investigators. Empagliflozin and Clinical Outcomes in Patients with Type 2 Diabetes Mellitus, Established Cardiovascular Disease, and Chronic Kidney Disease. Circulation 2018, 137, 119–129. [Google Scholar] [CrossRef]
- Lee, M.; Brooksbank, K.; Wetherall, K.; Mangion, K.; Roditi, G.; Campbell, R.T.; Berry, C.; Chong, V.; Coyle, L.; Docherty, K.F.; et al. Effect of Empagliflozin on Left Ventricular Volumes in Patients With Type 2 Diabetes, or Prediabetes, and Heart Failure With Reduced Ejection Fraction (SUGAR-DM-HF). Circulation 2021, 143, 516–525. [Google Scholar] [CrossRef]
- Kaku, K.; Wanner, C.; Anker, S.D.; Pocock, S.; Yasui, A.; Mattheus, M.; Lund, S.S. The effect of empagliflozin on the total burden of cardiovascular and hospitalization events in the Asian and non-Asian populations of the EMPA-REG OUTCOME trial of patients with type 2 diabetes and cardiovascular disease. Diabetes Obes. Metab. 2022, 24, 662–674. [Google Scholar] [CrossRef]
- Tsutsui, H.; Ide, T.; Ito, H.; Kihara, Y.; Kinugawa, K.; Kinugawa, S.; Makaya, M.; Murohara, T.; Node, K.; Saito, Y.; et al. Japanese Circulation Society and the Japanese Heart Failure Society Joint Working Group. JCS/JHFS 2021 Guideline Focused Update on Diagnosis and Treatment of Acute and Chronic Heart Failure. Circ. J. Off. J. Jpn. Circ. Soc. 2021, 85, 2252–2291. [Google Scholar]
- Nakagaito, M.; Joho, S.; Ushijima, R.; Nakamura, M.; Kinugawa, K. Comparison of Canagliflozin, Dapagliflozin and Empagliflozin Added to Heart Failure Treatment in Decompensated Heart Failure Patients With Type 2 Diabetes Mellitus. Circ. Rep. 2019, 1, 405–413. [Google Scholar] [CrossRef] [PubMed] [Green Version]
- Griffin, M.; Rao, V.S.; Ivey-Miranda, J.; Fleming, J.; Mahoney, D.; Maulion, C.; Suda, N.; Siwakoti, K.; Ahmad, T.; Jacoby, D.; et al. Empagliflozin in Heart Failure: Diuretic and Cardiorenal Effects. Circulation 2020, 142, 1028–1039. [Google Scholar] [CrossRef] [PubMed]
- Anker, S.D.; Butler, J.; Filippatos, G.; Khan, M.S.; Marx, N.; Lam, C.; Schnaidt, S.; Ofstad, A.P.; Brueckmann, M.; Jamal, W.; et al. Effect of Empagliflozin on Cardiovascular and Renal Outcomes in Patients With Heart Failure by Baseline Diabetes Status: Results From the EMPEROR-Reduced Trial. Circulation 2021, 143, 337–349. [Google Scholar] [CrossRef] [PubMed]
- Ferrannini, E.; Muscelli, E.; Frascerra, S.; Baldi, S.; Mari, A.; Heise, T.; Broedl, U.C.; Woerle, H.J. Metabolic response to sodium-glucose cotransporter 2 inhibition in type 2 diabetic patients. J. Clin. Investig. 2014, 124, 499–508. [Google Scholar] [CrossRef] [PubMed] [Green Version]
- Hinnen, D. Short commentary on empagliflozin and its potential clinical impact. Ther. Adv. Endocrinol. Metab. 2015, 6, 68–81. [Google Scholar] [CrossRef] [Green Version]
- Grempler, R.; Thomas, L.; Eckhardt, M.; Himmelsbach, F.; Sauer, A.; Sharp, D.E.; Bakker, R.A.; Mark, M.; Klein, T.; Eickelmann, P. Empagliflozin, a novel selective sodium glucose cotransporter-2 (SGLT-2) inhibitor: Characterisation and comparison with other SGLT-2 inhibitors. Diabetes Obes. Metab. 2012, 14, 83–90. [Google Scholar] [CrossRef]
- Roden, M.; Weng, J.; Eilbracht, J.; Delafont, B.; Kim, G.; Woerle, H.J.; Broedl, U.C. EMPA-REG MONO trial investigators. Empagliflozin monotherapy with sitagliptin as an active comparator in patients with type 2 diabetes: A randomised, double-blind, placebo-controlled, phase 3 trial. Lancet. Diabetes Endocrinol. 2013, 1, 208–219. [Google Scholar] [CrossRef]
- Häring, H.U.; Merker, L.; Seewaldt-Becker, E.; Weimer, M.; Meinicke, T.; Woerle, H.J.; Broedl, U.C. EMPA-REG METSU Trial Investigators. Empagliflozin as add-on to metformin plus sulfonylurea in patients with type 2 diabetes: A 24-week, randomized, double-blind, placebo-controlled trial. Diabetes Care 2013, 36, 3396–3404. [Google Scholar] [CrossRef] [Green Version]
- Häring, H.U.; Merker, L.; Seewaldt-Becker, E.; Weimer, M.; Meinicke, T.; Broedl, U.C.; Woerle, H.J. EMPA-REG MET Trial Investigators. Empagliflozin as add-on to metformin in patients with type 2 diabetes: A 24-week, randomized, double-blind, placebo-controlled trial. Diabetes Care 2014, 37, 1650–1659. [Google Scholar] [CrossRef] [Green Version]
- Kovacs, C.S.; Seshiah, V.; Merker, L.; Christiansen, A.V.; Roux, F.; Salsali, A.; Kim, G.; Stella, P.; Woerle, H.J.; Broedl, U.C. EMPA-REG EXTEND™ PIO investigators. Empagliflozin as Add-on Therapy to Pioglitazone with or without Metformin in Patients With Type 2 Diabetes Mellitus. Clin. Ther. 2015, 37, 1773–1788.e1. [Google Scholar] [CrossRef]
- Lewin, A.; DeFronzo, R.A.; Patel, S.; Liu, D.; Kaste, R.; Woerle, H.J.; Broedl, U.C. Initial combination of empagliflozin and linagliptin in subjects with type 2 diabetes. Diabetes Care 2015, 38, 394–402. [Google Scholar] [CrossRef] [PubMed] [Green Version]
- DeFronzo, R.A.; Lewin, A.; Patel, S.; Liu, D.; Kaste, R.; Woerle, H.J.; Broedl, U.C. Combination of empagliflozin and linagliptin as second-line therapy in subjects with type 2 diabetes inadequately controlled on metformin. Diabetes Care 2015, 38, 384–393. [Google Scholar] [CrossRef] [PubMed] [Green Version]
- Tikkanen, I.; Narko, K.; Zeller, C.; Green, A.; Salsali, A.; Broedl, U.C.; Woerle, H.J. EMPA-REG BP Investigators. Empagliflozin reduces blood pressure in patients with type 2 diabetes and hypertension. Diabetes Care 2015, 38, 420–428. [Google Scholar] [CrossRef] [PubMed] [Green Version]
- Tang, H.; Zhang, X.; Zhang, J.; Li, Y.; Del Gobbo, L.C.; Zhai, S.; Song, Y. Elevated serum magnesium associated with SGLT2 inhibitor use in type 2 diabetes patients: A meta-analysis of randomised controlled trials. Diabetologia 2016, 59, 2546–2551. [Google Scholar] [CrossRef] [Green Version]
- Kohan, D.E.; Fioretto, P.; Tang, W.; List, J.F. Long-term study of patients with type 2 diabetes and moderate renal impairment shows that dapagliflozin reduces weight and blood pressure but does not improve glycemic control. Kidney Int. 2014, 85, 962–971. [Google Scholar] [CrossRef] [Green Version]
- Gelbenegger, G.; Buchtele, N.; Schoergenhofer, C.; Roeggla, M.; Schwameis, M. Severe Hypernatraemic Dehydration and Unconsciousness in a Care-Dependent Inpatient Treated with Empagliflozin. Drug Saf-Case Rep. 2017, 4, 17. [Google Scholar] [CrossRef] [Green Version]
- Allison, R.; Goldstein, D.; Musso, M.W. Challenges in the Diagnosis of Euglycemic Diabetic Ketoacidosis in a Patient with Multiple Sclerosis Taking a Sodium-Glucose Cotransporter 2 Inhibitor. J. Emerg. Med. 2019, 57, e1–e3. [Google Scholar] [CrossRef]
- Reber, E.; Gomes, F.; Dähn, I.A.; Vasiloglou, M.F.; Stanga, Z. Management of Dehydration in Patients Suffering Swallowing Difficulties. J. Clin. Med. 2019, 8, 1923. [Google Scholar] [CrossRef] [Green Version]
- Gross, C.R.; Lindquist, R.D.; Woolley, A.C.; Granieri, R.; Allard, K.; Webster, B. Clinical indicators of dehydration severity in elderly patients. J. Emerg. Med. 1992, 10, 267–274. [Google Scholar] [CrossRef]
- Dossetor, J.B. Creatininemia versus uremia. The relative significance of blood urea nitrogen and serum creatinine concentrations in azotemia. Ann. Intern. Med. 1966, 65, 1287–1299. [Google Scholar] [CrossRef]
- Chidester, J.C.; Spangler, A.A. Fluid intake in the institutionalized elderly. J. Am. Diet. Assoc. 1997, 97, 23–30. [Google Scholar] [CrossRef]
- Volkert, D.; Beck, A.M.; Cederholm, T.; Cruz-Jentoft, A.; Goisser, S.; Hooper, L.; Kiesswetter, E.; Maggio, M.; Raynaud-Simon, A.; Sieber, C.C.; et al. ESPEN guideline on clinical nutrition and hydration in geriatrics. Clin. Nutr. 2019, 38, 10–47. [Google Scholar] [CrossRef] [PubMed] [Green Version]
- U.S. Food and Drug Administration. Drug Safety Communication: FDA Warns that SGLT2 Inhibitors for Diabetes May Result in a Serious Condition of too much Acid in the Blood. Available online: http://www.fda.gov/downloads/Drugs/DrugSafety/UCM446954.pdf (accessed on 4 June 2022).


| No. | Targets | Number of Participants | Dose | Duration | Main Outcomes | Reference |
|---|---|---|---|---|---|---|
| 1 | Established CVD with T2DM | 7200 | 10 or 25 mg/day | 192 weeks | The risks of cardiovascular death, all-cause mortality, hospitalization for heart failure, and all-cause hospitalization were reduced in patients with and without prevalent kidney disease after Empagliflozin treatment. No significant hyperkalemia event was observed in the treatment group. Serum uric acid was lower in the treatment group. | [7] |
| 2 | Decompensated HF with T2DM | 23 | 10 mg/day | 7 days | Increased urine volume was observed on day 1 after the start of the treatment and returned to baseline on day 7. While there were no changes in serum potassium and creatinine on day 7, plasma neurohormone, including aldosterone and noradrenaline levels, increased. eGFR slightly decreased on day 7. | [11] |
| 3 | Chronic stable HF with T2DM | 20 | 10 mg/day | 14 days | The enhanced natriuretic effect of empagliflozin persists at day 14 without electrolyte alterations, neurohormone activation, and kidney dysfunction. Thus, Empagliflozin favors volume management in patients with HF and DM. | [12] |
| 4 | Chronic HFrEF with/without DM | 1863 | 10 mg/day | 27 months | The risk of cardiorenal outcomes was reduced after treatment with empagliflozin in addition to other HF therapy in HFrEF patients both with and without DM. There was no significant hyperkalemia, volume depletion, or acute renal failure among the treatment/placebo and DM/non-DM groups. | [13] |
| 5 | HFrEF with DM | 105 | 10 mg/day | 36 weeks | Empagliflozin is effective in reducing the left ventricular end-systolic and end-diastolic indexed volumes (6.0 and 8.2 mL/m2). The drug also reduced N-terminal pro-B-type natriuretic peptide by 28% after 36-week treatment. | [8] |
| 6 | HFpEF with/without DM | 5988 | 10 mg/day | 36 months | The number of deaths from cardiovascular causes or hospitalization due to HF was reduced in the empagliflozin group. | [2] |
| 7 | Asian participants with T2D and established ASCVD | 1517 | 10 or 25 mg/day | 3.1 years (Median follow-up) | Empagliflozin reduced the relative risk of the primary outcome of 3-point major adverse CV events (composite of CV death, non-fatal myocardial infarction, and non-fatal stroke), hospitalization for HF, and CV mortality. The medication efficacy and adverse event profile were similar between the Asian and Non-Asian populations. | [9] |
Publisher’s Note: MDPI stays neutral with regard to jurisdictional claims in published maps and institutional affiliations. |
© 2022 by the authors. Licensee MDPI, Basel, Switzerland. This article is an open access article distributed under the terms and conditions of the Creative Commons Attribution (CC BY) license (https://creativecommons.org/licenses/by/4.0/).
Share and Cite
Supakul, S.; Nishikawa, Y.; Teramura, M.; Takase, T. Short-Term Treatment with Empagliflozin Resulted in Dehydration and Cardiac Arrest in an Elderly Patient with Specific Complications: A Case Report and Literature Review. Medicina 2022, 58, 815. https://doi.org/10.3390/medicina58060815
Supakul S, Nishikawa Y, Teramura M, Takase T. Short-Term Treatment with Empagliflozin Resulted in Dehydration and Cardiac Arrest in an Elderly Patient with Specific Complications: A Case Report and Literature Review. Medicina. 2022; 58(6):815. https://doi.org/10.3390/medicina58060815
Chicago/Turabian StyleSupakul, Sopak, Yurika Nishikawa, Masanori Teramura, and Tetsuro Takase. 2022. "Short-Term Treatment with Empagliflozin Resulted in Dehydration and Cardiac Arrest in an Elderly Patient with Specific Complications: A Case Report and Literature Review" Medicina 58, no. 6: 815. https://doi.org/10.3390/medicina58060815
APA StyleSupakul, S., Nishikawa, Y., Teramura, M., & Takase, T. (2022). Short-Term Treatment with Empagliflozin Resulted in Dehydration and Cardiac Arrest in an Elderly Patient with Specific Complications: A Case Report and Literature Review. Medicina, 58(6), 815. https://doi.org/10.3390/medicina58060815

