Intrapericardial Thymoma Presented as Pericardial Tamponade with Post-Operative Myasthenia Gravis
Abstract
:1. Introduction
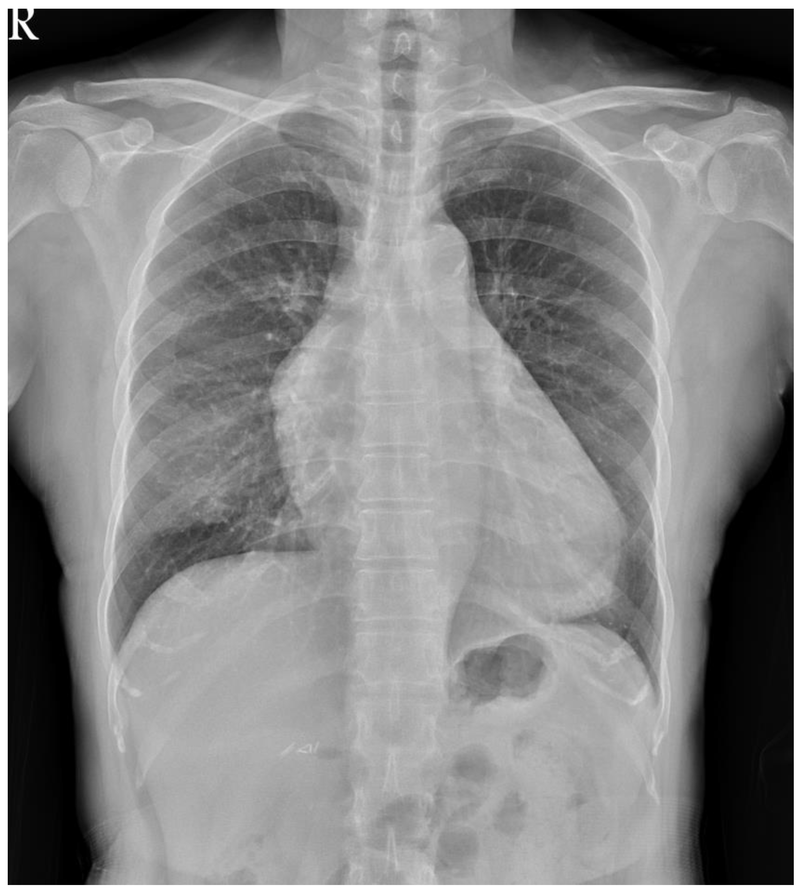
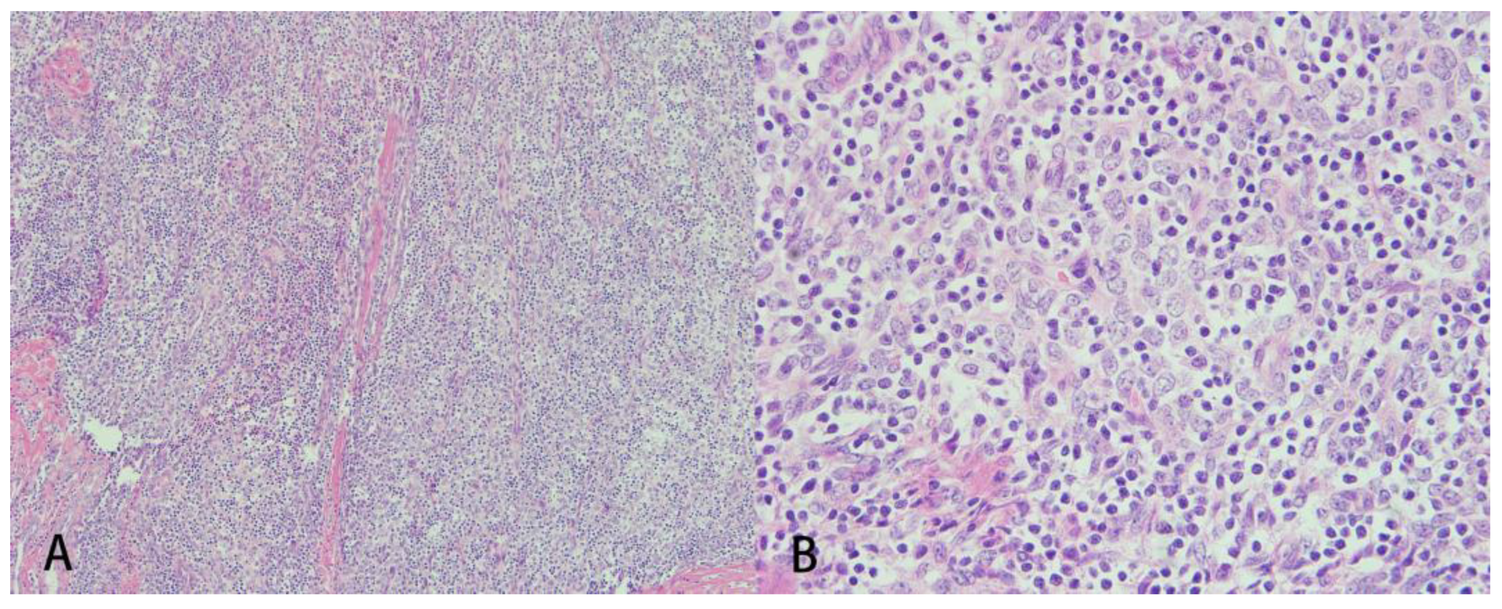
2. Detailed Case Description
3. Discussion
4. Conclusions
Author Contributions
Funding
Institutional Review Board Statement
Informed Consent Statement
Data Availability Statement
Acknowledgments
Conflicts of Interest
References
- Weissferdt, A.; Moran, C.A. The spectrum of ectopic thymomas. Virchows Arch. 2016, 469, 245–254. [Google Scholar] [CrossRef] [PubMed]
- Iliceto, S.; Quagliara, D.; Calabrese, P.; Rizzon, P. Visualization of pericardial thymoma and evaluation of chemotherapy by two-dimensional echocardiography. Am. Heart J. 1984, 107, 605–606. [Google Scholar] [CrossRef]
- Salih Deveci, M.; Ceyhan, K.; Deveci, G.; Finci, R. Pericardial rhabdomyomatous spindle cell thymoma with mucinous cystic degeneration. Histopathology 2001, 38, 479–481. [Google Scholar] [CrossRef] [PubMed]
- Theodore, S.; Parija, C.; Neelakandhan, K.S. Giant ectopic pericardial thymoma. Indian J. Thorac. Cardiovasc. Surg. 2004, 20, 102–103. [Google Scholar] [CrossRef]
- Azoulay, S.; Adem, C.; Gatineau, M.; Finet, J.F.; Bakdach, H.; Regnard, J.F.; Capron, F. Pericardial ectopic thymoma. Virchows Arch. 2005, 446, 185–188. [Google Scholar] [CrossRef] [PubMed]
- Arai, H.; Rino, Y.; Fushimi, K.; Goda, M.; Yoshioka, E.; Okudela, K.; Yukawa, N.; Masuda, M. Pericardial ectopic thymoma presenting with cardiac tamponade: Report of a case. Surg. Today 2015, 45, 1200–1204. [Google Scholar] [CrossRef] [PubMed]
- Zoroufian, A.; Shirzad, M.; Shahbazi, N.; Saheb Jam, M.; Rahnamoun, Z.; Shirani, S.; Davarpasand, T. Bloody Pericardial Effusion with a Huge Pericardial Mass: A Case Report. J. Tehran Univ. Heart Cent. 2020, 15, 35–38. [Google Scholar] [CrossRef]
- Mirra, M.; Zanella, M.; Bussani, R.; Falconieri, G. Intrapericardial thymoma: Report of two incidental autopsy cases and review of the literature. Arch. Pathol. Lab. Med. 1997, 121, 59–63. [Google Scholar] [PubMed]
- Tormoehlen, L.M.; Pascuzzi, R.M. Thymoma, myasthenia gravis, and other paraneoplastic syndromes. Hematol. Oncol. Clin. N. Am. 2008, 22, 509–526. [Google Scholar] [CrossRef] [PubMed]
- Engels, E.A. Epidemiology of thymoma and associated malignancies. J. Thorac. Oncol. 2010, 5, S260–S265. [Google Scholar] [CrossRef] [PubMed] [Green Version]
- Zhang, Z.; Cui, Y.; Jia, R.; Xue, L.; Liang, H. Myasthenia gravis in patients with thymoma affects survival rate following extended thymectomy. Oncol. Lett. 2016, 11, 4177–4182. [Google Scholar] [CrossRef] [PubMed] [Green Version]
- Casey, E.M.; Kiel, P.J.; Loehrer, P.J., Sr. Clinical management of thymoma patients. Hematol. Oncol. Clin. N. Am. 2008, 22, 457–473. [Google Scholar] [CrossRef] [PubMed]
- Tateishi, Y.; Horita, N.; Namkoong, H.; Enomoto, T.; Takeda, A.; Kaneko, T. Postoperative Radiotherapy for Completely Resected Masaoka/Masaoka-Koga Stage II/III Thymoma Improves Overall Survival: An Updated Meta-Analysis of 4746 Patients. J. Thorac. Oncol. 2021, 16, 677–685. [Google Scholar] [CrossRef] [PubMed]
- Kondo, K.; Monden, Y. Myasthenia gravis appearing after thymectomy for thymoma. Eur. J. Cardiothorac. Surg. 2005, 28, 22–25. [Google Scholar] [CrossRef] [PubMed] [Green Version]
- Gamez, J.; Salvadó, M.; Carmona, F.; de Nadal, M.; Romero, L.; Ruiz, D.; Jáuregui, A.; Martínez, O.; Pérez, J.; Suñé, P.; et al. Intravenous immunoglobulin to prevent myasthenic crisis after thymectomy and other procedures can be omitted in patients with well-controlled myasthenia gravis. Ther. Adv. Neurol. Disord. 2019, 12, 1756286419864497. [Google Scholar] [CrossRef] [PubMed] [Green Version]



| Case No | Author | Age | Sex | Presentation | Myasthenia Gravis | Tumor Size | WHO Classification | Treatment | Pathology |
|---|---|---|---|---|---|---|---|---|---|
| 1 | Iliceto | 27 | F | chest pain | Absent | NA | NA | Surgery + Chemotherapy | epithelial spindle cell |
| 2 | Mirra | 61 | F | weight loss | Absent | 4 × 2 × 2 cm | A | NA | Spindle cells, lymphocytes |
| 3 | Mirra | 82 | F | heart failure | Absent | 10 × 6 × 4 cm | A | NA | Spindle cells, lymphocytes |
| 4 | Deveci | 57 | M | None | Absent | 15 × 10 × 8 mm, | NA | Surgery | rhabdomyomatous thymoma |
| 5 | Theodore | 62 | F | significant | Absent | 16 × 13 × 9 cm | NA | Surgery | lympho-epithelial type of thymoma |
| 6 | Azoulay | 72 | F | weight loss | Present | 6 × 4 × 3 cm | B2 | Surgery | mixed lymphocytic and polygonal epithelial cell type |
| 7 | Arai | 72 | M | dyspnea, dysphonia | Absent | 50 mm in diameter | AB | Surgery + radiation therapy | Spindle cells and polygonal epithelial cells |
| 8 | Zoroufian | 73 | M | Heart failure | Absent | 13 cm | B3 | Surgery | polygonal epithelial cells and lymphocytes |
| 9 | Present study | 66 | F | dyspnea, cough | Present | 11 × 8 × 1.5 cm | B2 | Surgery + radiation therapy | epithelioid cells mixed with mature lymphocytes |
Publisher’s Note: MDPI stays neutral with regard to jurisdictional claims in published maps and institutional affiliations. |
© 2022 by the authors. Licensee MDPI, Basel, Switzerland. This article is an open access article distributed under the terms and conditions of the Creative Commons Attribution (CC BY) license (https://creativecommons.org/licenses/by/4.0/).
Share and Cite
Tsai, Y.-H.; Ko, K.-H.; Yen, H.; Huang, T.-W. Intrapericardial Thymoma Presented as Pericardial Tamponade with Post-Operative Myasthenia Gravis. Medicina 2022, 58, 609. https://doi.org/10.3390/medicina58050609
Tsai Y-H, Ko K-H, Yen H, Huang T-W. Intrapericardial Thymoma Presented as Pericardial Tamponade with Post-Operative Myasthenia Gravis. Medicina. 2022; 58(5):609. https://doi.org/10.3390/medicina58050609
Chicago/Turabian StyleTsai, Yueh-Hsun, Kai-Hsiung Ko, Hao Yen, and Tsai-Wang Huang. 2022. "Intrapericardial Thymoma Presented as Pericardial Tamponade with Post-Operative Myasthenia Gravis" Medicina 58, no. 5: 609. https://doi.org/10.3390/medicina58050609
APA StyleTsai, Y.-H., Ko, K.-H., Yen, H., & Huang, T.-W. (2022). Intrapericardial Thymoma Presented as Pericardial Tamponade with Post-Operative Myasthenia Gravis. Medicina, 58(5), 609. https://doi.org/10.3390/medicina58050609
