Anatomical Changes in a Case with Asymmetrical Bilateral Maxillary Sinus Hypoplasia
Abstract
1. Introduction
2. Materials and Methods
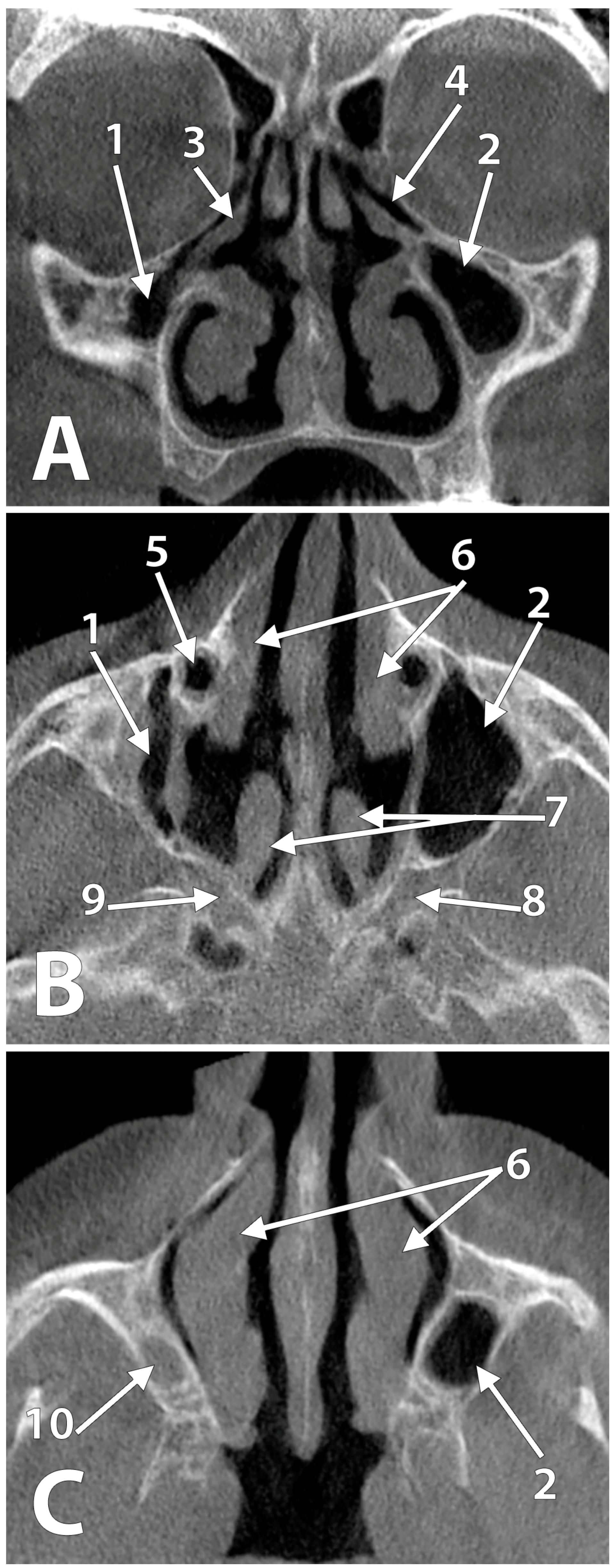
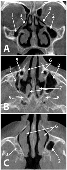
3. Results
4. Discussion
5. Conclusions
Author Contributions
Funding
Institutional Review Board Statement
Informed Consent Statement
Data Availability Statement
Conflicts of Interest
References
- Bolger, W.E.; Woodruff, W.W., Jr.; Morehead, J.; Parsons, D.S. Maxillary sinus hypoplasia: Classification and description of associated uncinate process hypoplaia. Otolaryngol.-Head Neck Surg. 1990, 103, 759–765. [Google Scholar] [CrossRef] [PubMed]
- Lawson, W.; Patel, Z.M.; Lin, F.Y. The development and pathologic processes that influence maxillary sinus pneumatization. Anat. Rec. 2008, 291, 1554–1563. [Google Scholar] [CrossRef] [PubMed]
- Weed, D.T.; Cole, R.R. Maxillary sinus hypoplasia and vertical dystopia of the orbit. Laryngoscope 1994, 104, 758–762. [Google Scholar] [CrossRef] [PubMed]
- Wake, M.; Shankar, L.; Hawke, M.; Takeno, S. Maxillary sinus hypoplasia, embryology, and radiology. Arch. Otolaryngol.-Head Neck Surg. 1993, 119, 1353–1357. [Google Scholar] [CrossRef]
- Bassiouny, A.; Newlands, W.J.; Ali, H.; Zaki, Y. Maxillary sinus hypoplasia and superior orbital fissure asymmetry. Laryngoscope 1982, 92, 441–448. [Google Scholar] [CrossRef]
- Meyers, R.M.; Valvassori, G. Interpretation of anatomic variations of computed tomography scans of the sinuses: A surgeon’s perspective. Laryngoscope 1998, 108, 422–425. [Google Scholar] [CrossRef]
- Sirikci, A.; Bayazit, Y.; Gumusburun, E.; Bayram, M.; Kanlikana, M. A new approach to the classification of maxillary sinus hypoplasia with relevant clinical implications. Surg. Radiol. Anat. 2000, 22, 243–247. [Google Scholar] [CrossRef]
- Selcuk, A.; Ozcan, K.M.; Akdogan, O.; Bilal, N.; Dere, H. Variations of maxillary sinus and accompanying anatomical and pathological structures. J. Craniofacial Surg. 2008, 19, 159–164. [Google Scholar] [CrossRef]
- Geraghty, J.J.; Dolan, K.D. Computed tomography of the hypoplastic maxillary sinus. Ann. Otol. Rhinol. Laryngol. 1989, 98, 916–918. [Google Scholar] [CrossRef]
- Ozcan, K.M.; Hizli, O.; Ulusoy, H.; Coskun, Z.U.; Yildirim, G. Localization of orbit in patients with maxillary sinus hypoplasia: A radiological study. Surg. Radiol. Anat. 2018, 40, 1099–1104. [Google Scholar] [CrossRef]
- Modic, M.T.; Weinstein, M.A.; Berlin, A.J.; Duchesneau, P.M. Maxillary sinus hypoplasia visualized with computed tomography. Radiology 1980, 135, 383–385. [Google Scholar] [CrossRef] [PubMed]
- Liu, J.; Dai, J.; Wen, X.; Wang, Y.; Zhang, Y.; Wang, N. Imaging and anatomical features of ethmomaxillary sinus and its differentiation from surrounding air cells. Surg. Radiol. Anat. 2018, 40, 207–215. [Google Scholar] [CrossRef]
- Khanobthamchai, K.; Shankar, L.; Hawke, M.; Bingham, B. Ethmomaxillary sinus and hypoplasia of maxillary sinus. J. Otolaryngol. 1991, 20, 425–427. [Google Scholar] [PubMed]
- Rusu, M.C.; Sava, C.J.; Ilie, A.C.; Sandulescu, M.; Dinca, D. Agger Nasi Cells Versus Lacrimal Cells and Uncinate Bullae in Cone-Beam Computed Tomography. Ear Nose Throat J. 2019, 98, 334–339. [Google Scholar] [CrossRef] [PubMed]
- Rusu, M.C.; Sandulescu, M.; Sava, C.J.; Dinca, D. Bifid and secondary superior nasal turbinates. Folia Morphol. 2019, 78, 199–203. [Google Scholar] [CrossRef] [PubMed]
- Sava, C.J.; Rusu, M.C.; Sandulescu, M.; Dinca, D. Vertical and sagittal combinations of concha bullosa media and paradoxical middle turbinate. Surg. Radiol. Anat. 2018, 40, 847–853. [Google Scholar] [CrossRef] [PubMed]
- Kantarci, M.; Karasen, R.M.; Alper, F.; Onbas, O.; Okur, A.; Karaman, A. Remarkable anatomic variations in paranasal sinus region and their clinical importance. Eur. J. Radiol. 2004, 50, 296–302. [Google Scholar] [CrossRef]
- Perez, P.; Sabate, J.; Carmona, A.; Catalina-Herrera, C.J.; Jimenez-Castellanos, J. Anatomical variations in the human paranasal sinus region studied by CT. J. Anat. 2000, 197 Pt 2, 221–227. [Google Scholar] [CrossRef]
- Fadda, G.L.; Rosso, S.; Aversa, S.; Petrelli, A.; Ondolo, C.; Succo, G. Multiparametric statistical correlations between paranasal sinus anatomic variations and chronic rhinosinusitis. Acta Otorhinolaryngol. Ital. 2012, 32, 244–251. [Google Scholar]
- Kaplanoglu, H.; Kaplanoglu, V.; Dilli, A.; Toprak, U.; Hekimoglu, B. An analysis of the anatomic variations of the paranasal sinuses and ethmoid roof using computed tomography. Eurasian J. Med. 2013, 45, 115–125. [Google Scholar] [CrossRef]
- Basak, S.; Akdilli, A.; Karaman, C.Z.; Kunt, T. Assessment of some important anatomical variations and dangerous areas of the paranasal sinuses by computed tomography in children. Int. J. Pediatr. Otorhinolaryngol. 2000, 55, 81–89. [Google Scholar] [CrossRef]
- Erdem, T.; Aktas, D.; Erdem, G.; Miman, M.C.; Ozturan, O. Maxillary sinus hypoplasia. Rhinology 2002, 40, 150–153. [Google Scholar] [PubMed]
- Tasar, M.; Cankal, F.; Bozlar, U.; Hidir, Y.; Saglam, M.; Ors, F. Bilateral maxillary sinus hypoplasia and aplasia: Radiological and clinical findings. Dento Maxillo Facial Radiol. 2007, 36, 412–415. [Google Scholar] [CrossRef] [PubMed]
- Khanduri, S.; Agrawal, S.; Chhabra, S.; Goyal, S. Bilateral maxillary sinus hypoplasia. Case Rep. Radiol. 2014, 2014, 148940. [Google Scholar] [CrossRef][Green Version]
- Haktanir, A.; Acar, M.; Yucel, A.; Aycicek, A.; Degirmenci, B.; Albayrak, R. Combined sphenoid and frontal sinus aplasia accompanied by bilateral maxillary and ethmoid sinus hypoplasia. Br. J. Radiol. 2005, 78, 1053–1056. [Google Scholar] [CrossRef]
- Uluyol, S.; Arslan, I.B.; Demir, A.; Mercan, G.C.; Dogan, O.; Cukurova, I. The role of the uncinate process in sinusitis aetiology: Isolated agenesis versus maxillary sinus hypoplasia. J. Laryngol. Otol. 2015, 129, 458–461. [Google Scholar] [CrossRef]
- Jang, Y.J.; Kim, H.C.; Lee, J.H.; Kim, J.H. Maxillary sinus hypoplasia with a patent ostiomeatal complex: A therapeutic dilemma. Auris Nasus Larynx 2012, 39, 175–179. [Google Scholar] [CrossRef]
- Lozano-Carrascal, N.; Salomo-Coll, O.; Gehrke, S.A.; Calvo-Guirado, J.L.; Hernandez-Alfaro, F.; Gargallo-Albiol, J. Radiological evaluation of maxillary sinus anatomy: A cross-sectional study of 300 patients. Ann. Anat. 2017, 214, 1–8. [Google Scholar] [CrossRef]
- Al-Zahrani, M.S.; Al-Ahmari, M.M.; Al-Zahrani, A.A.; Al-Mutairi, K.D.; Zawawi, K.H. Prevalence and morphological variations of maxillary sinus septa in different age groups: A CBCT analysis. Ann. Saudi Med. 2020, 40, 200–206. [Google Scholar] [CrossRef]
- Vinson, R.P.; Collette, R.P. Maxillary sinus hypoplasia masquerading as chronic sinusitis. Postgrad. Med. 1991, 89, 189–190. [Google Scholar] [CrossRef]
- Dedeoglu, N.; Duman, S.B. Clinical significance of maxillary sinus hypoplasia in dentistry: A CBCT study. Dent. Med. Probl. 2020, 57, 149–156. [Google Scholar] [CrossRef]
- Park, W.B.; Kim, Y.J.; Kang, K.L.; Lim, H.C.; Han, J.Y. Long-term outcomes of the implants accidentally protruding into nasal cavity extended to posterior maxilla due to inferior meatus pneumatization. Clin. Implant Dent. Relat. Res. 2020, 22, 105–111. [Google Scholar] [CrossRef]
- Matsushita, K.; Yamamoto, H. Bilateral hypoplasia of the maxillary sinus: Swelling of the nasal mucosa after periapical periodontitis. Br. J. Oral Maxillofac. Surg. 2017, 55, 324–325. [Google Scholar] [CrossRef]
- Unger, J.M.; Dennison, B.F.; Duncavage, J.A.; Toohill, R.J. The radiological appearance of the post-Caldwell-Luc maxillary sinus. Clin. Radiol. 1986, 37, 77–81. [Google Scholar] [CrossRef]
- Nemec, S.F.; Peloschek, P.; Koelblinger, C.; Mehrain, S.; Krestan, C.R.; Czerny, C. Sinonasal imaging after Caldwell-Luc surgery: MDCT findings of an abandoned procedure in times of functional endoscopic sinus surgery. Eur. J. Radiol. 2009, 70, 31–34. [Google Scholar] [CrossRef] [PubMed]
- Fiorenza, U.D.; Spoldi, C.; Nekrasova, L.; Pipolo, C.; Lozza, P.; Scotti, A.; Maccari, A.; Felisati, G.; Saibene, A.M. Prevalence of Maxillary Sinus Hypoplasia and Silent Sinus Syndrome: A Radiological Cross-Sectional Retrospective Cohort Study. Am. J. Rhinol. Allergy 2022, 36, 123–128. [Google Scholar] [CrossRef] [PubMed]
- Keren, S.; Sinclair, V.; McCallum, E.; Martinez-Devesa, P.; Norris, J.H. Silent sinus syndrome: Potentially misleading features that should be recognized. Can. J. Ophthalmol. 2021. [Google Scholar] [CrossRef]
- Facon, F.; Eloy, P.; Brasseur, P.; Collet, S.; Bertrand, B. The silent sinus syndrome. Eur. Arch. Oto-Rhino-Laryngol. Head Neck 2006, 263, 567–571. [Google Scholar] [CrossRef]


Publisher’s Note: MDPI stays neutral with regard to jurisdictional claims in published maps and institutional affiliations. |
© 2022 by the authors. Licensee MDPI, Basel, Switzerland. This article is an open access article distributed under the terms and conditions of the Creative Commons Attribution (CC BY) license (https://creativecommons.org/licenses/by/4.0/).
Share and Cite
Ilie, A.C.; Jianu, A.M.; Rusu, M.C.; Mureșan, A.N. Anatomical Changes in a Case with Asymmetrical Bilateral Maxillary Sinus Hypoplasia. Medicina 2022, 58, 564. https://doi.org/10.3390/medicina58050564
Ilie AC, Jianu AM, Rusu MC, Mureșan AN. Anatomical Changes in a Case with Asymmetrical Bilateral Maxillary Sinus Hypoplasia. Medicina. 2022; 58(5):564. https://doi.org/10.3390/medicina58050564
Chicago/Turabian StyleIlie, Adrian Cosmin, Adelina Maria Jianu, Mugurel Constantin Rusu, and Alexandru Nicolae Mureșan. 2022. "Anatomical Changes in a Case with Asymmetrical Bilateral Maxillary Sinus Hypoplasia" Medicina 58, no. 5: 564. https://doi.org/10.3390/medicina58050564
APA StyleIlie, A. C., Jianu, A. M., Rusu, M. C., & Mureșan, A. N. (2022). Anatomical Changes in a Case with Asymmetrical Bilateral Maxillary Sinus Hypoplasia. Medicina, 58(5), 564. https://doi.org/10.3390/medicina58050564
