Brain Metastases from Gynecologic Malignancies
Abstract
:1. Introduction
2. Materials and Methods
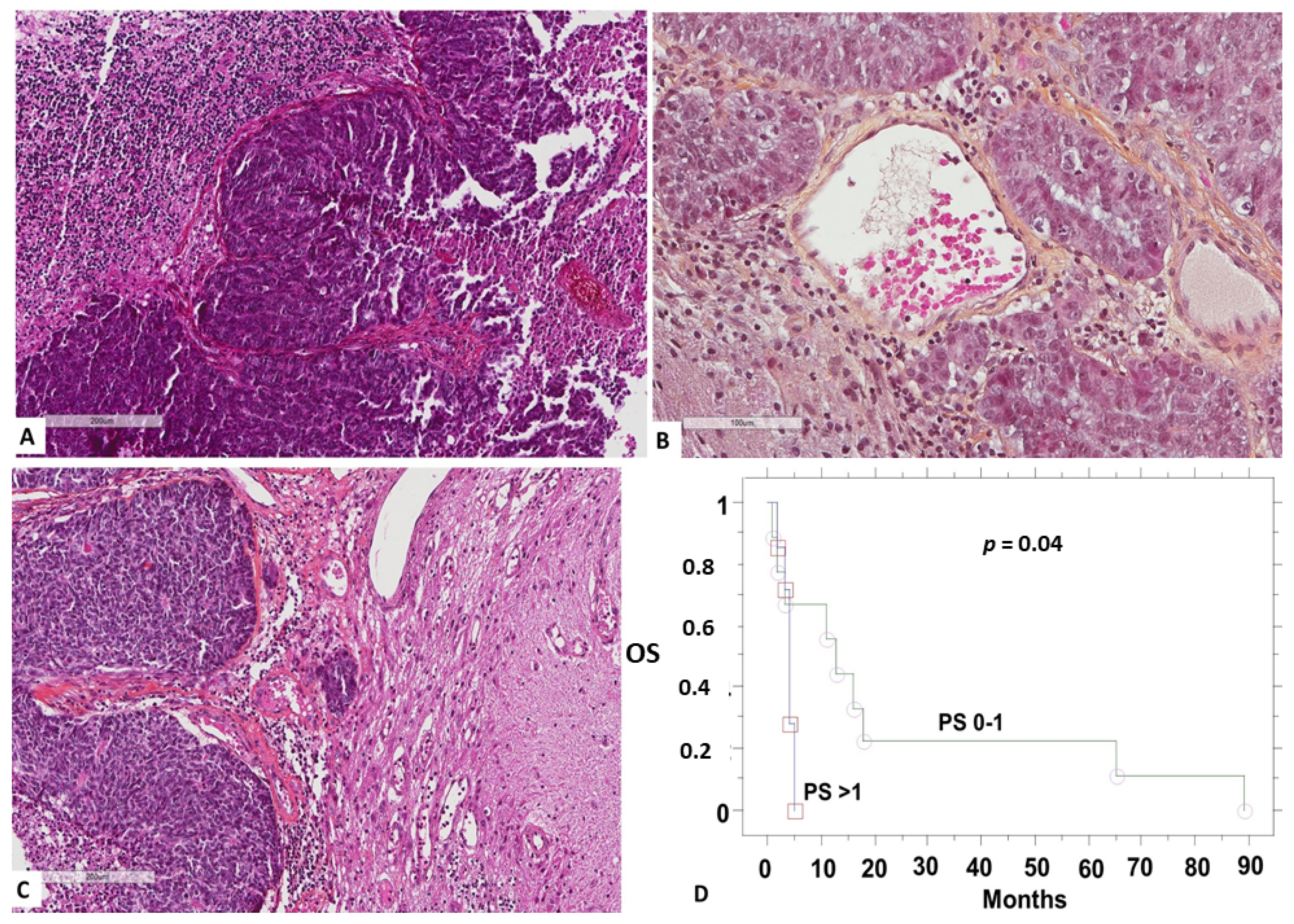
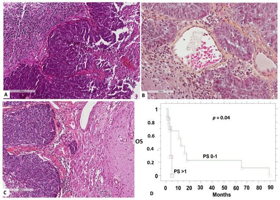
3. Results
4. Discussion
| Ref. | n | Primary Tumor (n) # | Histology of Primary Tumor | Incidence of Brain Metastasis * | Synchronous Lesions | Multiple Lesions | Localization | Age at Brain Metastasis | Time to Brain Metastasis (Months) | Survival after Brain Metastasis | Surgery Included in Treatment | ||
|---|---|---|---|---|---|---|---|---|---|---|---|---|---|
| EN | OV | CER | |||||||||||
| Zhang [4] | 42 | 24 | 9 | 5 | Ovary: 88.8% serous Uterine corpus: Endometrioid 45.8% (4 G1-G2, 7 G3) Serous 16.6% Carcinosarcoma 12.5% | NA | NA | 67% | Most frontal | 61.2 (median) | 20.7 (0–107) 22.8 for both uterine corpus and ovarian | NA | Treatment NA |
| Uccella [12] | 18 | 18 | 0 | 0 | Endometrioid 66.7% (G1 = 2, G2 = 2, G3 = 8) Adenosquamous 5.6% Serous 16.7% Undifferentiated 11.1% | 0.8% | 11% | 50% | Supratentorial 66.7% Infratentorial 11.1% Both 22.2% | 64 (42–82) | 5 (1–57) | 57 (7–118) months for 6 patients with single meta and no extracranial lesions 4 (0–28) months for the other 12 patients | 44.4% |
| Takeshita [7] | 47 | 12 | 17 | 18 | Uterine corpus: Endometrioid 50% Serous 2.5% Carcinosarcoma 1.7% Others + Ovary: Serous 65% Clear cell 18.8% Undifferentiated 5.9% Others + | 1.7% | 25% | 49% | NA | 62 | 26 (0–194) Uterine corpus: 22 Ovary: 28 | 5 (4–5 months) months The 6-, 12- and 24-month survival rates: 44.0%, 22.0% and 16.5%, respectively. Poor survival: extracranial metastasis, performance status 3–4, treatment-free interval of <6 months and no anti-cancer treatment for brain metastasis | 24.4% |
| Ratner [13] | 24 | 0 | 23 | 0 | Serous 70.9% Endometrioid 12.5% Undifferentiated 16.6% | 1% | NA | 70.8% | Cerebral 62.5% Cerebellar 16.6% | 56 (37–78) | 23 (1–74) | 8.5 months (1–97) with a 42% 1-year survival and 16% 2-year survival. Patients with single lesions had longer survival than patients with multiple lesions | 16.6% |
| Rades [14] | 42 | 11 | 22 | 9 | NA | NA | NA | 81% ≥4 lesions | NA | 50% ≥60 years | NA | 5 months Improved survival was associated with performance status ≥70, <4 brain metastases, and lack of extracranial metastases | No surgery |
| Marchetti [6] | 174 | 0 | 174 | 0 | 77.6% serous 7.5% endometrioid 5.2% clear cell 6.3% undifferentiated Others | NA | NA | 57.6% | NA | 60 (35–88) | 26 (2–129) | 12 (9.6–14.3) Poor overall survival: multiple brain metastasis, extracranial disease, age and monotherapy | 35.6% |
| Kim [15] | 13 | 0 | 13 | 0 | Serous 69.2% Others + | 2.7% | NA | 84.6% | Supratentorial 46.1% Cerebellar 7.8% Both 46.1% | 52 (31–73) | 28 (13–99) | 7 months Prognostic factors: Performance status >70, primary control, solitary brain metastases, gamma-knife radiosurgery | 7.6% |
| Kim [8] | 61 | 19 | 32 | 10 | Uterine corpus: 17 carcinomas Ovarian: 23 epithelial neoplasms No further details | 11.5% | 37.7% | Supratentorial 65.9% Infratentorial 31.8% Leptomeninges 2.3% | 54.7 (23–80) | 25.4 (0–84.3) Uterine corpus: 27.8 Ovary: 21.6, but no direct comparison | Type of primary cancer (uterine), performance status, status of primary cancer, recursive partitioning analysis class, and combined therapies, were significantly related to the overall survival | 32.7% | |
| Growdon [10] | 47 | 12 | 30 | 3 | Serous 26 Others 21 Not further described | 0.9% | NA | Cerebral 38.3% Cerebellar 25.5% Both 36.2% | 12 >60 | >24 months for 22 patients No comparison between primaries | 7.5 median (9 d–64 m), 40% 1-year survival Extracranial disease predicted decreased survival, while use of any chemotherapy predicted longer survival. Also, serous histology predicted longer survival, but ovarian vs. endometrial primary showed no difference | 38.3% | |
| Gien [11] | 8 | 8 | 0 | 0 | Endometrioid 37.5% (all G3) Serous 25% Clear cell 12.5% Carcinosarcoma 12.5% Adenosquamous 12.5% | 0.6% | 25% | 50% | Cerebellar 25% cerebral 50% both 25% | 66 (48–82) | 8.5 (2–40) | 3.5 months | No surgery |
| Divine [9] | 100 | 32 | 49 | 19 | Serous 38% Endometrioid 19% Others + | 4% | NA | NA | 59.4 mean (32–85) | 33.6 ± 30.4 (0–164.8) No comparison between primaries | Primary ovarian disease, CA-125 at brain metastasis diagnosis, and isolated metastases were all associated with longer survival. | ||
| D’Andrea [16] | 11 | 0 | 11 | 0 | All serous | None | None, all solitary | 9 cerebral 2 cerebellar | 60.3 med | 21 median | Mean 28 months | All surgery | |
| Owaga [17] | 18 | NA | 7 | NA | 7 squamous Others not defined | 0.7% | 13 | 55 (42–74) | 16 (0.78) No comparison between primaries | Median 4.1 months 11% 1 y and 2 y survival Prognostic factors: Performance status, extracranial disease, number of brain metastases | 33.3% | ||
| Anupol [18] | 15 | 0 | 15 | 0 | Serous 93.3% Carcinosarcoma 6.7% | 1.4% | 7 | 22 median | Median 6 months | 33.3% | |||
| Mahmud-Ahmed [19] | 25 | 10 | 9 | 6 | Adenocarcinoma (no further details) 80% Adenosquamous 8% Squamous 12% | 19 cerebral 2 cerebellar 4 both | 46 (37–78) | 12.7 (0.2–106.5) No comparison between primaries | Median 7.3 months Better with single brain metastasis | 40% | |||
5. Conclusions
Author Contributions
Funding
Institutional Review Board Statement
Informed Consent Statement
Data Availability Statement
Acknowledgments
Conflicts of Interest
References
- Siegel, R.L.; Miller, K.D.; Jemal, A. Cancer statistics, 2020. CA Cancer J. Clin. 2020, 70, 7–30. [Google Scholar] [CrossRef] [PubMed]
- Zhu, L.; Sun, X.; Bai, W. Nomograms for Predicting Cancer-Specific and Overall Survival among Patients with Endometrial Carcinoma: A SEER Based Study. Front. Oncol. 2020, 10, 269. [Google Scholar] [CrossRef] [PubMed]
- Arnold, M.; Rutherford, M.J.; Bardot, A.; Ferlay, J.; Andersson, T.M.; Myklebust, T.Å.; Tervonen, H.; Thursfield, V.; Ransom, D.; Shack, L.; et al. Progress in cancer survival, mortality, and incidence in seven high-income countries 1995–2014 (ICBP SURVMARK-2): A population-based study. Lancet Oncol. 2019, 20, 1493–1505. [Google Scholar] [CrossRef] [Green Version]
- Gardner, A.B.; Charo, L.M.; Mann, A.K.; Kapp, D.S.; Eskander, R.N.; Chan, J.K. Ovarian, uterine, and cervical cancer patients with distant metastases at diagnosis: Most common locations and outcomes. Clin. Exp. Metastasis 2020, 37, 107–113. [Google Scholar] [CrossRef] [PubMed]
- Zhang, Y.; Grant, M.S.; Stepp, W.H.; Clark, L.H. Clinical characteristics of CNS metastases from primary gynecologic cancers. Gynecol. Oncol. Rep. 2019, 30, 100518. [Google Scholar] [CrossRef] [PubMed]
- Marchetti, C.; Ferrandina, M.G.; Cormio, G.; Gambino, A.; Cecere, S.; Lorusso, D.; De Giorgi, U.; Bogliolo, S.; Fagotti, A.; Mammoliti, S.; et al. Brain metastases in patients with EOC: Clinicopathological and prognostic factors. A multicentric retrospective analysis from the MITO group (MITO 19). Gynecol. Oncol. 2016, 143, 532–538. [Google Scholar] [CrossRef]
- Takeshita, S.; Todo, Y.; Furuta, Y.; Okamoto, K.; Minobe, S.; Yamashiro, K.; Kato, H. Prognostic factors for patients with brain metastasis from gynecological cancer: A significance of treat-ment-free interval of more than 6 months. Jpn. J. Clin. Oncol. 2017, 47, 604–610. [Google Scholar] [CrossRef] [Green Version]
- Kim, Y.Z.; Kwon, J.H.; Lim, S. A Clinical Analysis of Brain Metastasis in Gynecologic Cancer: A Retrospective Multi-institute Analysis. J. Korean Med. Sci. 2015, 30, 66. [Google Scholar] [CrossRef] [PubMed] [Green Version]
- Divine, L.M.; Kizer, N.T.; Hagemann, A.R.; Pittman, M.E.; Chen, L.; Powell, M.A.; Mutch, D.G.; Rader, J.S.; Thaker, P.H. Clinicopathologic characteristics and survival of patients with gynecologic malignancies metastatic to the brain. Gynecol. Oncol. 2016, 142, 76–82. [Google Scholar] [CrossRef] [Green Version]
- Growdon, W.B.; Varela, E.L.; Littell, R.; Oliva, E.; Seiden, M.; Krasner, C.; Lee, H.; Fuller, A. Extent of extracranial disease is a powerful predictor of survival in patients with brain metastases from gynecological cancer. Int. J. Gynecol. Cancer 2008, 18, 262–268. [Google Scholar] [CrossRef]
- Gien, L.T.; Kwon, J.S.; D’Souza, D.P.; Radwan, J.S.; Hammond, J.; Sugimoto, A.K.; Carey, M.S. Brain metastases from endometrial carcinoma: A retrospective study. Gynecol. Oncol. 2004, 93, 524–528. [Google Scholar] [CrossRef] [PubMed]
- Uccella, S.; Morris, J.M.; Multinu, F.; Cliby, W.A.; Podratz, K.C.; Gostout, B.S.; Dowdy, S.C.; Ghezzi, F.; Makdisi, P.B.; Keeney, G.L.; et al. Primary brain metastases of endometrial cancer: A report of 18 cases and review of the literature. Gynecol. Oncol. 2016, 142, 70–75. [Google Scholar] [CrossRef] [PubMed]
- Ratner, E.S.; Toy, E.; O’Malley, D.M.; McAlpine, J.; Rutherford, T.J.; Azodi, M.; Higgins, S.A.; Schwartz, P.E. Brain Metastases in Epithelial Ovarian and Primary Peritoneal Carcinoma. Int. J. Gynecol. Cancer 2009, 19, 856–859. [Google Scholar] [CrossRef] [PubMed]
- Rades, D.; Fischer, D.; Veninga, T.; Stalpers, L.J.; Schild, S.E. Prognostic factors for survival and intracerebral control after irradiation for brain metastases from gynecological cancer. Gynecol. Oncol. 2009, 114, 506–508. [Google Scholar] [CrossRef] [PubMed]
- Kim, T.-J.; Song, S.; Kim, C.K.; Kim, W.Y.; Choi, C.H.; Lee, J.-H.; Bae, D.-S.; Kim, B.-G. Prognostic factors associated with brain metastases from epithelial ovarian carcinoma. Int. J. Gynecol. Cancer 2007, 17, 1252–1257. [Google Scholar] [CrossRef] [PubMed]
- D’Andrea, G.; Roperto, R.; Dinia, L.; Caroli, E.; Salvati, M.; Ferrante, L. Solitary cerebral metastases from ovarian epithelial carcinoma: 11 cases. Neurosurg. Rev. 2005, 28, 120–123. [Google Scholar] [CrossRef] [PubMed]
- Ogawa, K.; Yoshii, Y.; Aoki, Y.; Nagai, Y.; Tsuchida, Y.; Toita, T.; Kakinohana, Y.; Tamaki, W.; Iraha, S.; Adachi, G.; et al. Treatment and Prognosis of Brain Metastases from Gynecological Cancers. Neurol. Med.-Chir. 2008, 48, 57–63. [Google Scholar] [CrossRef] [PubMed] [Green Version]
- Anupol, N.; Ghamande, S.; Odunsi, K.; Driscoll, D.; Lele, S. Evaluation of Prognostic Factors and Treatment Modalities in Ovarian Cancer Patients with Brain Metastases. Gynecol. Oncol. 2002, 85, 487–492. [Google Scholar] [CrossRef] [PubMed]
- Mahmoud-Ahmed, A.S.; Kupelian, P.A.; Reddy, C.A.; Suh, J.H. Brain metastases from gynecological cancers: Factors that affect overall survival. Technol. Cancer Res. Treat. 2002, 1, 305–310. [Google Scholar] [CrossRef] [PubMed] [Green Version]

| Primary tumor | |
| Ovarian carcinoma | 12 (66.7%) |
| Endometrial carcinoma | 6 (33.3%) |
| Age at brain metastasis diagnosis | |
| Mean | 61.7 ± 12.7 |
| Median (range) | 63.5, (35–82) |
| Performance status | |
| 0–1 | 10 |
| >1 | 8 |
| Size (mm) | |
| Mean | 29.2 ± 8.4 |
| Median (range) | 30 (11–42) |
| Interval from primary diagnosis (months) | |
| Mean | 42.9 ± 32.9 |
| Median (range) | 34 (6–115) |
| Survival after metastasis diagnosis (months) | |
| Mean | 17.2 ± 26.2 |
| Median (range) | 5 (1–89) |
| Brain metastasis localization | |
| Cerebral | 11 (61.1%) |
| Frontal | 5 (27.8%) |
| Temporal | 4 (22.2%) |
| Parietal | 2 (11.1%) |
| Cerebellar | 7 (38.9%) |
| Multiple | |
| No | 16 (88.9%) |
| Yes | 2 (11.1%) |
| Synchronous metastases | |
| Yes | 3 (16.7%), all ovarian |
| No | 15 (83.3%) |
| Ovarian Carcinoma n = 12 | Endometrial Carcinoma n = 6 | p | |
|---|---|---|---|
| Age at metastasis diagnosis (>60) | |||
| Yes | 6 | 5 | 0.3 |
| No | 6 | 1 | |
| Performance status | |||
| 0–1 | 7 | 3 | 0.4 |
| >1 | 5 | 3 | |
| Size | 29.1 | 29.3 | 0.6 |
| Interval from primary diagnosis | 27.8 | 53.5 | 0.05 |
| Brain metastasis localization | |||
| Cerebral | 6 | 5 | 0.3 |
| Cerebellar | 6 | 1 | |
| Multiple brain metastases | |||
| No | 10 | 6 | 0.5 |
| Yes | 2 | 0 | |
| Synchronous metastases | |||
| Yes | 3 | 0 | 0.5 |
| No | 9 | 6 |
Publisher’s Note: MDPI stays neutral with regard to jurisdictional claims in published maps and institutional affiliations. |
© 2022 by the authors. Licensee MDPI, Basel, Switzerland. This article is an open access article distributed under the terms and conditions of the Creative Commons Attribution (CC BY) license (https://creativecommons.org/licenses/by/4.0/).
Share and Cite
Karpathiou, G.; Camy, F.; Chauleur, C.; Dridi, M.; Dal Col, P.; Peoc’h, M. Brain Metastases from Gynecologic Malignancies. Medicina 2022, 58, 548. https://doi.org/10.3390/medicina58040548
Karpathiou G, Camy F, Chauleur C, Dridi M, Dal Col P, Peoc’h M. Brain Metastases from Gynecologic Malignancies. Medicina. 2022; 58(4):548. https://doi.org/10.3390/medicina58040548
Chicago/Turabian StyleKarpathiou, Georgia, Florian Camy, Céline Chauleur, Maroa Dridi, Pierre Dal Col, and Michel Peoc’h. 2022. "Brain Metastases from Gynecologic Malignancies" Medicina 58, no. 4: 548. https://doi.org/10.3390/medicina58040548
APA StyleKarpathiou, G., Camy, F., Chauleur, C., Dridi, M., Dal Col, P., & Peoc’h, M. (2022). Brain Metastases from Gynecologic Malignancies. Medicina, 58(4), 548. https://doi.org/10.3390/medicina58040548

