Management of Complex Acetabular Fractures by Using 3D Printed Models
Abstract
1. Introduction
2. Materials and Methods
Technical Specifications
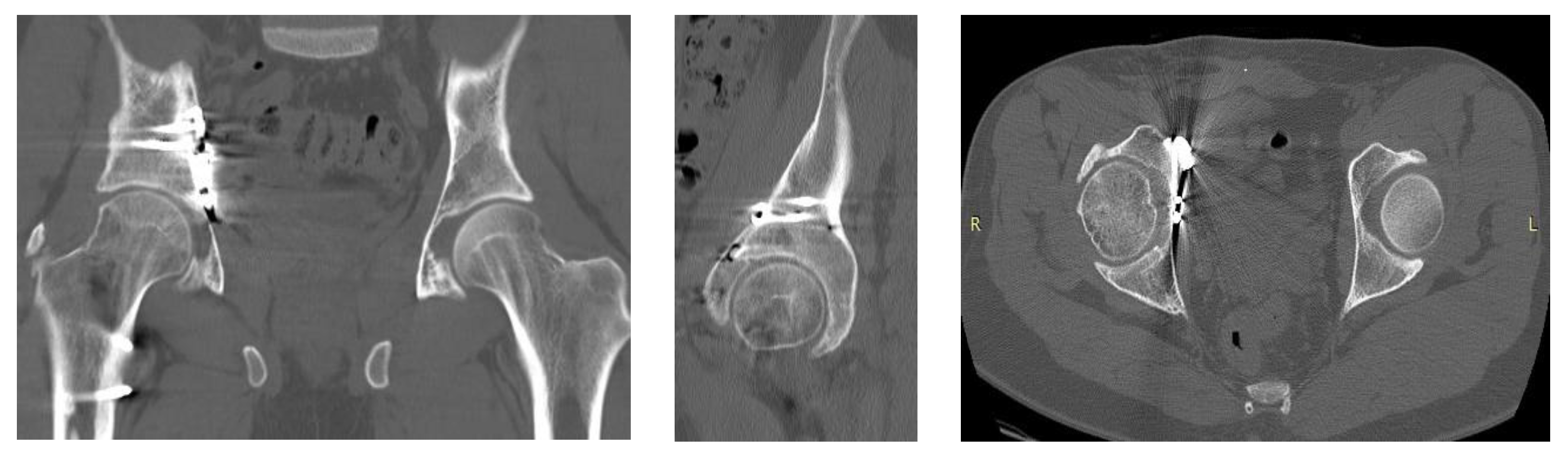
3. Results
4. Discussion
5. Conclusions
Author Contributions
Funding
Institutional Review Board Statement
Informed Consent Statement
Data Availability Statement
Conflicts of Interest
References
- Rinne, P.P.; Laitinen, M.K.; Huttunen, T.; Kannus, P.; Mattila, V.M. The incidence and trauma mechanisms of acetabular fractures: A nationwide study in Finland between 1997 and 2014. Injury 2017, 48, 2157–2161. [Google Scholar] [CrossRef]
- Melhem, E.; Riouallon, G.; Habboubi, K.; Gabbas, M.; Jouffroy, P. Epidemiology of pelvic and acetabular fractures in France. Orthop. Traumatol. Surg. Res. 2020, 106, 831–839. [Google Scholar] [CrossRef]
- Giannoudis, P.V.; Grotz, M.R.W.; Papakostidis, C.; Dinopoulos, H. Operative treatment of displaced fractures of the acetabulum. J. Bone Jt. Surg. 2005, 87, 2–9. [Google Scholar] [CrossRef]
- Hirvensalo, E.; Lindahl, J.; Kiljunen, V. Modified and new approaches for pelvic and acetabular surgery. Injury 2007, 38, 431–441. [Google Scholar] [CrossRef]
- Mears, D.C.; Velyvis, J.H.; Chang, C.-P. Displaced Acetabular Fractures Managed Operatively: Indicators of Outcome. Clin. Orthop. Relat. Res. 2003, 407, 173–186. [Google Scholar] [CrossRef]
- Beaulé, P.E.; Dorey, F.J.; Matta, J.M. Letournel classification for acetabular fractures. Assessment of interobserver and intraobserver reliability. J. Bone Jt. Surg. 2003, 85, 1704–1709. [Google Scholar] [CrossRef]
- Garrett, J.; Halvorson, J.; Carroll, E.; Webb, L.X. Value of 3-D CT in Classifying Acetabular Fractures During Orthopedic Residency Training. Orthopedics 2012, 35, e615–e620. [Google Scholar] [CrossRef]
- Cimerman, M.; Kristan, A. Preoperative planning in pelvic and acetabular surgery: The value of advanced computerised planning modules. Injury 2007, 38, 442–449. [Google Scholar] [CrossRef]
- Durkee, N.J.; Jacobson, J.; Jamadar, D.; Karunakar, M.A.; Morag, Y.; Hayes, C. Classification of Common Acetabular Fractures: Radiographic and CT Appearances. Am. J. Roentgenol. 2006, 187, 915–925. [Google Scholar] [CrossRef]
- Lal, H.; Patralekh, M.K. 3D printing and its applications in orthopaedic trauma: A technological marvel. J. Clin. Orthop. Trauma 2018, 9, 260–268. [Google Scholar] [CrossRef]
- Judet, R.; Judet, J.; Letournel, E. Fractures of the acetabulum: Classification and surgical approaches for open reduction. preliminary report. J. Bone Jt. Surgery. Am. 1964, 46, 1615–1646. [Google Scholar] [CrossRef]
- Alton, T.B.; Gee, A.O. Classifications in Brief: Letournel Classification for Acetabular Fractures. Clin. Orthop. Relat. Res. 2013, 472, 35–38. [Google Scholar] [CrossRef]
- Fedorov, A.; Beichel, R.; Kalpathy-Cramer, J.; Finet, J.; Fillion-Robin, J.-C.; Pujol, S.; Bauer, C.; Jennings, D.; Fennessy, F.; Sonka, M.; et al. 3D Slicer as an image computing platform for the Quantitative Imaging Network. Magn. Reson. Imaging 2012, 30, 1323–1341. [Google Scholar] [CrossRef]
- Autodesk Meshmixer. Available online: https://www.meshmixer.com (accessed on 11 December 2022).
- Prusa MK3S 3D Printer. Prusa Research. Available online: https://www.prusa3d.com/product/original-prusa-i3-mk3s-3d-printer-3 (accessed on 11 December 2022).
- Ansari, S.; Barik, S.; Singh, S.K.; Sarkar, B.; Goyal, T.; Kalia, R.B. Role of 3D printing in the management of complex acetabular fractures: A comparative study. Eur. J. Trauma Emerg. Surg. 2020, 47, 1291–1296. [Google Scholar] [CrossRef]
- Hung, C.-C.; Li, Y.-T.; Chou, Y.-C.; Chen, J.-E.; Wu, C.-C.; Shen, H.-C.; Yeh, T.-T. Conventional plate fixation method versus pre-operative virtual simulation and three-dimensional printing-assisted contoured plate fixation method in the treatment of anterior pelvic ring fracture. Int. Orthop. 2018, 43, 425–431. [Google Scholar] [CrossRef]
- Huang, J.-H.; Liao, H.; Tan, X.-Y.; Xing, W.-R.; Zhou, Q.; Zheng, Y.-S.; Cao, H.-Y.; Zeng, C.-J. Surgical treatment for both-column acetabular fractures using pre-operative virtual simulation and three-dimensional printing techniques. Chin. Med J. 2020, 133, 395–401. [Google Scholar] [CrossRef]
- Giannoudis, P.V.; Pohlemann, T.; Bircher, M. Pelvic and acetabular surgery within Europe: The need for the co-ordination of treatment concepts. Injury 2007, 38, 410–415. [Google Scholar] [CrossRef]
- Glas, P.Y.; Fessy, M.H.; Carret, J.P.; Béjui-Hugues, J. Surgical treatment of acetabular fractures: Outcome in a series of 60 consecutive cases. Rev. Chir. Orthopédique Réparatrice L’appareil Mot. 2001, 87, 529–538. [Google Scholar]
- Horas, K.; Hoffmann, R.; Faulenbach, M.; Heinz, S.M.; Langheinrich, A.; Schweigkofler, U. Advances in the Preoperative Planning of Revision Trauma Surgery Using 3D Printing Technology. J. Orthop. Trauma 2020, 34, e181–e186. [Google Scholar] [CrossRef]
- Preece, D.; Williams, S.B.; Lam, R.; Weller, R. Let’s Get Physical: Advantages of a physical model over 3D computer models and textbooks in learning imaging anatomy. Anat. Sci. Educ. 2013, 6, 216–224. [Google Scholar] [CrossRef]
- Fang, C.; Cai, H.; Kuong, E.; Chui, E.; Siu, Y.C.; Ji, T.; Drstvenšek, I. Surgical applications of three-dimensional printing in the pelvis and acetabulum: From models and tools to implants. Der Unfallchirurg 2019, 122, 278–285. [Google Scholar] [CrossRef]
- Valchanov, P.S. 3D Printing in medicine—Principles, applications and challenges. Scr. Sci. Vox Stud. 2017, 1, 18–22. [Google Scholar] [CrossRef]
- Brouwers, L.; Pull Ter Gunne, A.F.; De Jongh, M.A.C.; Van Der Heijden, F.H.W.M.; Leenen, L.P.H.; Spanjersberg, W.R.; Van Helden, S.H.; Verbeek, D.O.; Bemelman, M.; Lansink, K.W.W. The Value of 3D Printed Models in Understanding Acetabular Fractures. 3D Print. Addit. Manuf. 2018, 5, 37–46. [Google Scholar] [CrossRef]
- Hansen, E.; Marmor, M.; Matityahu, A. Impact of a Three-Dimensional “Hands-On” Anatomic Teaching Module on Acetabular Fracture Pattern Recognition by Orthopaedic Residents. J. Bone Jt. Surg. 2012, 94, e177. [Google Scholar] [CrossRef]
- Manganaro, M.S.; Morag, Y.; Weadock, W.J.; Yablon, C.M.; Gaetke-Udager, K.; Stein, E.B. Creating Three-dimensional Printed Models of Acetabular Fractures for Use as Educational Tools. RadioGraphics 2017, 37, 871–880. [Google Scholar] [CrossRef]
- Yu, A.W.; Duncan, J.M.; Daurka, J.S.; Lewis, A.; Cobb, J. A Feasibility Study into the Use of Three-Dimensional Printer Modelling in Acetabular Fracture Surgery. Adv. Orthop. 2015, 2015, 617046. [Google Scholar] [CrossRef]
- Niikura, T.; Sugimoto, M.; Lee, S.Y.; Sakai, Y.; Nishida, K.; Kuroda, R.; Kurosaka, M. Tactile Surgical Navigation System for Complex Acetabular Fracture Surgery. Orthopedics 2014, 37, 237–242. [Google Scholar] [CrossRef]
- Lee, A.K.-X.; Lin, T.-L.; Hsu, C.-J.; Fong, Y.-C.; Chen, H.-T.; Tsai, C.-H. Three-Dimensional Printing and Fracture Mapping in Pelvic and Acetabular Fractures: A Systematic Review and Meta-Analysis. J. Clin. Med. 2022, 11, 5258. [Google Scholar] [CrossRef]
- Cao, J.; Zhu, H.; Gao, C. A Systematic Review and Meta-Analysis of 3D Printing Technology for the Treatment of Acetabular Fractures. BioMed Res. Int. 2021, 2021, 1–15. [Google Scholar] [CrossRef]
- Øvre, S.; Sandvik, L.; Madsen, J.E.; Røise, O. Comparison of distribution, agreement and correlation between the original and modified Merle d’Aubigné-Postel Score and the Harris Hip Score after acetabular fracture treatment: Moderate agreement, high ceiling effect and excellent correlation in 450 patients. Acta Orthop. 2005, 76, 796–802. [Google Scholar] [CrossRef]
- Matta, J.M.; Mehne, D.K.; Roffi, R. Fractures of the acetabulum. Early results of a prospective study. Clin. Orthop. Relat. Res. 1986, 205, 241–250. [Google Scholar] [CrossRef]
- Zhang, Y.-D.; Wu, R.-Y.; Xie, D.-D.; Zhang, L.; He, Y.; Zhang, H. Effect of 3D printing technology on pelvic fractures: A Meta-analysis. Zhongguo Gu Shang 2018, 31, 465–471. [Google Scholar] [CrossRef]
- Öztürk, A.M.; Süer, O.; Şirintürk, S.; Aktuğlu, K.; Govsa, F.; Özer, M.A. A retrospective comparison of the conventional versus three-dimensional printed model-assisted surgery in the treatment of acetabular fractures. Acta Orthop. Traumatol. Turc. 2020, 54, 385–393. [Google Scholar] [CrossRef]
- Wang, C.; Chen, Y.; Wang, L.; Wang, D.; Gu, C.; Lin, X.; Liu, H.; Chen, J.; Wen, X.; Liu, Y.; et al. Three-dimensional printing of patient-specific plates for the treatment of acetabular fractures involving quadrilateral plate disruption. BMC Musculoskelet. Disord. 2020, 21, 451. [Google Scholar] [CrossRef]
- Wan, L.; Zhang, X.; Zhang, S.; Li, K.; Cao, P.; Li, J.; Wu, G. Clinical feasibility and application value of computer virtual reduction combined with 3D printing technique in complex acetabular fractures. Exp. Ther. Med. 2019, 17, 3630–3636. [Google Scholar] [CrossRef]
- Downey, C.; McCarrick, C.; Fenelon, C.; Murphy, E.P.; O’Daly, B.J.; Leonard, M. A novel approach using 3-D printing in the Irish National Centre for pelvic and acetabular surgery. Ir. J. Med Sci. 2019, 189, 219–228. [Google Scholar] [CrossRef]
- Li, Y.-T.; Hung, C.-C.; Chou, Y.-C.; Chen, J.-E.; Wu, C.-C.; Shen, H.-C.; Yeh, T.-T. Surgical Treatment for Posterior Dislocation of Hip Combined with Acetabular Fractures Using Preoperative Virtual Simulation and Three-Dimensional Printing Model-Assisted Precontoured Plate Fixation Techniques. BioMed Res. Int. 2019, 2019, 3971571. [Google Scholar] [CrossRef]
- Kim, J.; Oh, H. The submuscular sliding plate technique for acetabular posterior wall fractures extending to the acetabular roof. Orthop. Traumatol. Surg. Res. 2014, 100, 967–970. [Google Scholar] [CrossRef]
- Elmadağ, M.; Güzel, Y.; Acar, M.; Uzer, G.; Arazi, M. The Stoppa approach versus the ilioinguinal approach for anterior acetabular fractures: A case control study assessing blood loss complications and function outcomes. Orthop. Traumatol. Surg. Res. 2014, 100, 675–680. [Google Scholar] [CrossRef]
- Upex, P.; Jouffroy, P.; Riouallon, G. Application of 3D printing for treating fractures of both columns of the acetabulum: Benefit of pre-contouring plates on the mirrored healthy pelvis. Orthop. Traumatol. Surg. Res. 2017, 103, 331–334. [Google Scholar] [CrossRef]
- De Franco, C.; Colò, G.; Melato, M.; Battini, A.; Cambursano, S.; Logrieco, G.P.; Balato, G.; Zoccola, K. Fracture-Related Infection in Bicolumnar Acetabular Fracture: A Case Report. Diagnostics 2022, 12, 2476. [Google Scholar] [CrossRef]
- Chepelev, L.; Wake, N.; Ryan, J.; Althobaity, W.; Gupta, A.; Arribas, E.; Santiago, L.; Ballard, D.H.; Wang, K.C.; Weadock, W.; et al. Radiological Society of North America (RSNA) 3D printing Special Interest Group (SIG): Guidelines for medical 3D printing and appropriateness for clinical scenarios. 3D Print. Med. 2018, 4, 1–38. [Google Scholar] [CrossRef]
- Brouwers, L.; Teutelink, A.; van Tilborg, F.A.J.B.; de Jongh, M.A.C.; Lansink, K.W.W.; Bemelman, M. Validation study of 3D-printed anatomical models using 2 PLA printers for preoperative planning in trauma surgery, a human cadaver study. Eur. J. Trauma Emerg. Surg. 2018, 45, 1013–1020. [Google Scholar] [CrossRef]
- Kanters, D.; de Vries, A.; Boon, H.; Urbach, J.; Becht, A.; Kooistra, H.-A. Quality Assurance in Medical 3D-Printing. IFMBE Proc. 2018, 68, 669–674. [Google Scholar] [CrossRef]
- Odeh, M.; Levin, D.; Inziello, J.; Fenoglietto, F.L.; Mathur, M.; Hermsen, J.; Stubbs, J.; Ripley, B. Methods for verification of 3D printed anatomic model accuracy using cardiac models as an example. 3D Print. Med. 2019, 5, 6–12. [Google Scholar] [CrossRef]
- Kannus, P.; Palvanen, M.; Niemi, S.; Parkkari, J.; Järvinen, M. Epidemiology of Osteoporotic Pelvic Fractures in Elderly People in Finland: Sharp Increase in 1970-1997 and Alarming Projections for the New Millennium. Osteoporos. Int. 2000, 11, 443–448. [Google Scholar] [CrossRef]
- Brouwers, L.; ter Gunne, A.F.P.; de Jongh, M.A.; Maal, T.J.J.; Vreeken, R.; van der Heijden, F.H.W.M.; Leenen, L.P.H.; Spanjersberg, W.R.; van Helden, S.H.; Verbeek, D.O.; et al. What is the value of 3D virtual reality in understanding acetabular fractures? Eur. J. Orthop. Surg. Traumatol. 2019, 30, 109–116. [Google Scholar] [CrossRef]





| Parameter | Group | p-Value | |
|---|---|---|---|
| Conventional | 3D Printed | ||
| Gender | 10 m/2 f | 9 m/2 f | 0.65 |
| Fracture I | 6 | 5 | 0.93 |
| Fracture II | 2 | 2 | 0.94 |
| Fracture III | 4 | 3 | 0.93 |
| Parameter | Group | Mean | SD | Median | Range | p-Value |
|---|---|---|---|---|---|---|
| Patents age (years) | 1 | 50.9 | 11.6 | 54 | 27–65 | 0.74 |
| 2 | 49.1 | 12.2 | 54 | 26–64 | ||
| Time from injury to operation (days) | 1 | 7.5 | 2.4 | 7 | 5–8 | 0.89 |
| 2 | 7.8 | 2.8 | 7 | 5–9 | ||
| Operative time (min) | 1 | 252.5 | 30.2 | 240 | 220–300 | <0.01 |
| 2 | 193.5 | 26.0 | 195 | 160–240 | ||
| Blood loss (mL) | 1 | 837.5 | 68.0 | 835 | 780–980 | <0.01 |
| 2 | 665.0 | 52.7 | 690 | 580–720 | ||
| Intraoperative x-rays | 1 | 66.5 | 6.7 | 65 | 58–80 | <0.01 |
| 2 | 25.9 | 5.6 | 24.5 | 20–36 | ||
| Follow-up (months) | 1 | 17.6 | 0.7 | 18 | 17–19 | 0.78 |
| 2 | 17.1 | 5.2 | 17 | 8–24 | ||
| Modified Merle d’Aubigné–Postel score at follow-up | 1 | 13.1 | 1.7 | 14 | 10–15 | 0.03 |
| 2 | 14.7 | 1.6 | 15 | 12–17 |
Publisher’s Note: MDPI stays neutral with regard to jurisdictional claims in published maps and institutional affiliations. |
© 2022 by the authors. Licensee MDPI, Basel, Switzerland. This article is an open access article distributed under the terms and conditions of the Creative Commons Attribution (CC BY) license (https://creativecommons.org/licenses/by/4.0/).
Share and Cite
Ivanov, S.; Valchanov, P.; Hristov, S.; Veselinov, D.; Gueorguiev, B. Management of Complex Acetabular Fractures by Using 3D Printed Models. Medicina 2022, 58, 1854. https://doi.org/10.3390/medicina58121854
Ivanov S, Valchanov P, Hristov S, Veselinov D, Gueorguiev B. Management of Complex Acetabular Fractures by Using 3D Printed Models. Medicina. 2022; 58(12):1854. https://doi.org/10.3390/medicina58121854
Chicago/Turabian StyleIvanov, Stoyan, Petar Valchanov, Stoyan Hristov, Deyan Veselinov, and Boyko Gueorguiev. 2022. "Management of Complex Acetabular Fractures by Using 3D Printed Models" Medicina 58, no. 12: 1854. https://doi.org/10.3390/medicina58121854
APA StyleIvanov, S., Valchanov, P., Hristov, S., Veselinov, D., & Gueorguiev, B. (2022). Management of Complex Acetabular Fractures by Using 3D Printed Models. Medicina, 58(12), 1854. https://doi.org/10.3390/medicina58121854

