Laparoscopic Radical Trachelectomy after Neoadjuvant Chemotherapy for Fertility Preservation in Early-Stage Bulky Cervical Cancer: A Case Report and Literature Review
Abstract
1. Introduction
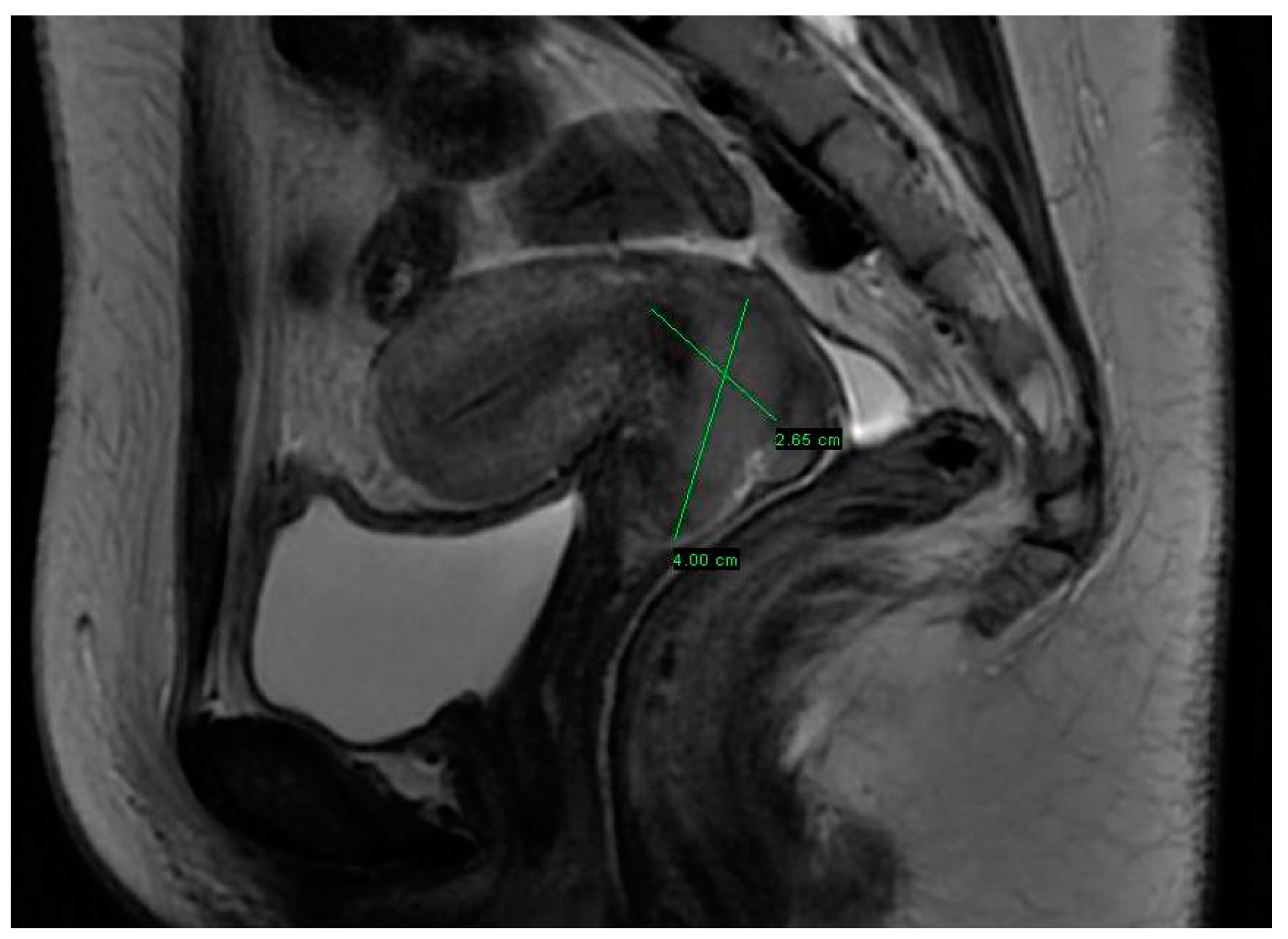
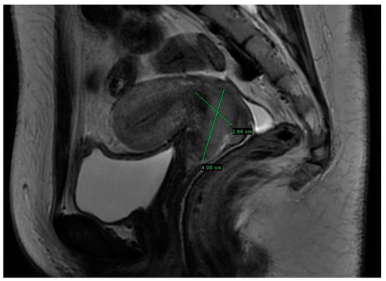
2. Case Report
3. Discussion
4. Conclusions
Supplementary Materials
Author Contributions
Funding
Institutional Review Board Statement
Informed Consent Statement
Data Availability Statement
Acknowledgments
Conflicts of Interest
Abbreviations
References
- Kasius, J.C.; van der Velden, J.; Denswil, N.P.; Tromp, J.M.; Mom, C.H. Neo-adjuvant chemotherapy in fertility-sparing cervical cancer treatment. Best Pract. Res. Clin. Obstet. Gynaecol. 2021, 75, 82–100. [Google Scholar] [CrossRef] [PubMed]
- Guo, J.; Hu, Q.; Deng, Z.; Jin, X. Outcomes of trachelectomy vs. hysterectomy for early-stage cervical cancer: A systematic review and meta-analysis. Front. Surg. 2021, 8, 735944. [Google Scholar] [CrossRef] [PubMed]
- Ind, T. Overview of fertility sparing treatments for cervical cancer. Best Pract. Res. Clin. Obstet. Gynaecol. 2021, 75, 2–9. [Google Scholar] [CrossRef] [PubMed]
- Segarra-Vidal, B.; Persson, J.; Falconer, H. Radical trachelectomy. Int. J. Gynecol. Cancer 2021, 31, 1068–1074. [Google Scholar] [CrossRef] [PubMed]
- Bhatla, N.; Berek, J.S.; Cuello Fredes, M.; Denny, L.A.; Grenman, S.; Karunaratne, K.; Kehoe, S.T.; Konishi, I.; Olawaiye, A.B.; Prat, J. Revised FIGO staging for carcinoma of the cervix uteri. Int. J. Gynaecol. Obstet. 2019, 145, 129–135. [Google Scholar] [CrossRef] [PubMed]
- Kuznicki, M.L.; Chambers, L.M.; Morton, M.; Son, J.; Horowitz, M.; Crean-Tate, K.K.; Hackett, L.; Rose, P.G. Fertility-Sparing surgery for early-stage cervical cancer: A systematic review of the literature. J. Minim. Invasive Gynecol. 2021, 28, 513–526.e1. [Google Scholar] [CrossRef] [PubMed]
- Bentivegna, E.; Maulard, A.; Pautier, P.; Chargari, C.; Gouy, S.; Morice, P. Fertility results and pregnancy outcomes after conservative treatment of cervical cancer: A systematic review of the literature. Fertil. Steril. 2016, 106, 1195–1211.e5. [Google Scholar] [CrossRef] [PubMed]
- Gwacham, N.I.; McKenzie, N.D.; Fitzgerald, E.R.; Ahmad, S.; Holloway, R.W. Neoadjuvant chemotherapy followed by fertility sparing surgery in cervical cancers size 2–4 cm: Emerging data and future perspectives. Gynecol. Oncol. 2021, 162, 809–815. [Google Scholar] [CrossRef] [PubMed]
- Matsuo, K.; Chen, L.; Mandelbaum, R.S.; Melamed, A.; Roman, L.D.; Wright, J.D. Trachelectomy for reproductive-aged women with early-stage cervical cancer: Minimally invasive surgery versus laparotomy. Am. J. Obstet. Gynecol. 2019, 220, 469.e1–469.e13. [Google Scholar] [CrossRef] [PubMed]
- Pareja, R.; Rendón, G.J.; Vasquez, M.; Echeverri, L.; Sanz-Lomana, C.M.; Ramirez, P.T. Immediate radical trachelectomy versus neoadjuvant chemotherapy followed by conservative surgery for patients with stage IB1 cervical cancer with tumors 2 cm or larger: A literature review and analysis of oncological and obstetrical outcomes. Gynecol. Oncol. 2015, 137, 574–580. [Google Scholar] [CrossRef] [PubMed]
- Viveros-Carreño, D.; Rodriguez, J.; Rendon Pereira, G.J.; Slama, J.; Halaska, M.J.; Robova, H.; Pareja, R. Fertility-sparing surgery after neo-adjuvant chemotherapy in women with cervical cancer larger than 4 cm: A systematic review. Int. J. Gynecol. Cancer 2022, 32, 486–493. [Google Scholar] [CrossRef] [PubMed]
- Kim, H.S.; Sardi, J.E.; Katsumata, N.; Ryu, H.S.; Nam, J.H.; Chung, H.H.; Park, N.H.; Song, Y.S.; Behtash, N.; Kamura, T.; et al. Efficacy of neoadjuvant chemotherapy in patients with FIGO stage IB1 to IIA cervical cancer: An international collaborative meta-analysis. Eur. J. Surg. Oncol. 2013, 39, 115–124. [Google Scholar] [CrossRef] [PubMed]
- Van Kol, K.G.G.; Vergeldt, T.F.M.; Bekkers, R.L.M. Abdominal radical trachelectomy versus chemotherapy followed by vaginal radical trachelectomy in stage 1B2 (FIGO 2018) cervical cancer. A systematic review on fertility and recurrence rates. Gynecol. Oncol. 2019, 155, 515–521. [Google Scholar] [CrossRef] [PubMed]
- Zaccarini, F.; Sanson, C.; Maulard, A.; Schérier, S.; Leary, A.; Pautier, P.; Chargari, C.; Genestie, C.; Gouy, S.; Morice, P. Cervical cancer and fertility-sparing treatment. J. Clin. Med. 2021, 10, 4825. [Google Scholar] [CrossRef] [PubMed]
- Burbano, J.; Heredia, F.; Sanabria, D.; Ardila, E.G.; Viveros-Carreño, D.; Rodriguez, J. Neoadjuvant chemotherapy prior to fertility-sparing surgery in cervical tumors larger than 2 cm: A systematic review on fertility and oncologic outcomes. Int. J. Gynecol. Cancer 2021, 31, 387–398. [Google Scholar] [CrossRef] [PubMed]
- Buda, A.; Borghese, M.; Puppo, A.; Perotto, S.; Novelli, A.; Borghi, C.; Olearo, E.; Tripodi, E.; Surace, A.; Bar, E.; et al. Neoadjuvant chemotherapy prior fertility-sparing surgery in women with FIGO 2018 stage IB2 cervical cancer: A systematic review. Cancers 2022, 14, 797. [Google Scholar] [CrossRef] [PubMed]
- Plante, M.; van Trommel, N.; Lheureux, S.; Oza, A.M.; Wang, L.; Sikorska, K.; Ferguson, S.E.; Han, K.; Amant, F. FIGO 2018 stage IB2 (2–4 cm) cervical cancer treated with neo-adjuvant chemotherapy followed by fertility Sparing Surgery (CONTESSA); Neo-Adjuvant Chemotherapy and Conservative Surgery in Cervical Cancer to Preserve Fertility (NEOCON-F). A PMHC, DGOG, GCIG/CCRN and multicenter study. Int. J. Gynecol. Cancer 2019, 29, 969–975. [Google Scholar] [PubMed]
- Tamauchi, S.; Kajiyama, H.; Osuka, S.; Moriyama, Y.; Yoshihara, M.; Kikkawa, F. Reduced response to controlled ovarian stimulation after radical trachelectomy: A pitfall of fertility-sparing surgery for cervical cancer. Int. J. Gynaecol. Obstet. 2021, 154, 162–168. [Google Scholar] [CrossRef] [PubMed]
- Nitecki, R.; Floyd, J.; Lamiman, K.; Clapp, M.A.; Fu, S.; Jorgensen, K.; Melamed, A.; Brady, P.C.; Kaimal, A.; del Carmen, M.G.; et al. Outcomes of the first pregnancy after fertility-sparing surgery for early-stage cervical cancer. Obstet. Gynecol. 2021, 138, 565–573. [Google Scholar] [CrossRef] [PubMed]



Publisher’s Note: MDPI stays neutral with regard to jurisdictional claims in published maps and institutional affiliations. |
© 2022 by the authors. Licensee MDPI, Basel, Switzerland. This article is an open access article distributed under the terms and conditions of the Creative Commons Attribution (CC BY) license (https://creativecommons.org/licenses/by/4.0/).
Share and Cite
Vasilevska, D.; Semczuk, A.; Vasilevska, D.; Širvys, A.; Rudaitis, V. Laparoscopic Radical Trachelectomy after Neoadjuvant Chemotherapy for Fertility Preservation in Early-Stage Bulky Cervical Cancer: A Case Report and Literature Review. Medicina 2022, 58, 1827. https://doi.org/10.3390/medicina58121827
Vasilevska D, Semczuk A, Vasilevska D, Širvys A, Rudaitis V. Laparoscopic Radical Trachelectomy after Neoadjuvant Chemotherapy for Fertility Preservation in Early-Stage Bulky Cervical Cancer: A Case Report and Literature Review. Medicina. 2022; 58(12):1827. https://doi.org/10.3390/medicina58121827
Chicago/Turabian StyleVasilevska, Danuta, Andrzej Semczuk, Dominika Vasilevska, Artiomas Širvys, and Vilius Rudaitis. 2022. "Laparoscopic Radical Trachelectomy after Neoadjuvant Chemotherapy for Fertility Preservation in Early-Stage Bulky Cervical Cancer: A Case Report and Literature Review" Medicina 58, no. 12: 1827. https://doi.org/10.3390/medicina58121827
APA StyleVasilevska, D., Semczuk, A., Vasilevska, D., Širvys, A., & Rudaitis, V. (2022). Laparoscopic Radical Trachelectomy after Neoadjuvant Chemotherapy for Fertility Preservation in Early-Stage Bulky Cervical Cancer: A Case Report and Literature Review. Medicina, 58(12), 1827. https://doi.org/10.3390/medicina58121827

