Patient with Aberrant Internal Carotid Artery in the Middle Ear Presenting with Rare Symptoms of Mixed Hearing Loss and Postauricular Pain: A Case Report
Abstract
1. Introduction
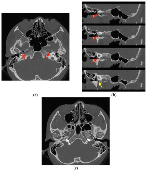
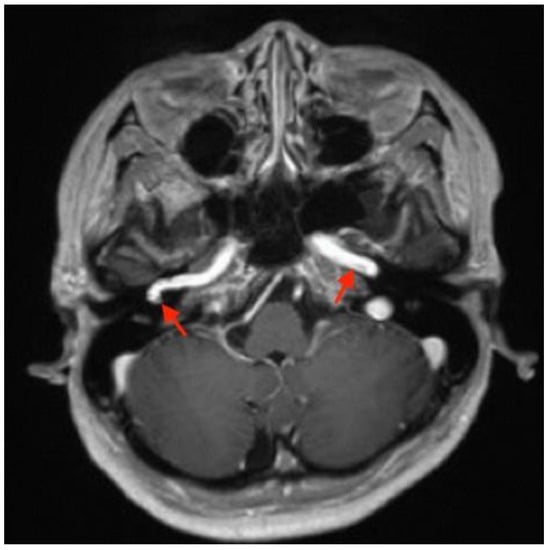
2. Case Report
3. Discussion
4. Conclusions
Supplementary Materials
Funding
Institutional Review Board Statement
Informed Consent Statement
Data Availability Statement
Conflicts of Interest
References
- Wadhavkar, N.; Goldrich, D.Y.; Roychowdhury, S.; Kwong, K. Laceration of aberrant internal carotid artery following myringotomy: A case report and review of literature. Ann. Otol. Rhinol. Laryngol. 2022, 131, 555–561. [Google Scholar] [CrossRef] [PubMed]
- Windfuhr, J.P. Aberrant internal carotid artery in the middle ear. Ann. Otol. Rhinol. Laryngol. Suppl. 2004, 192, 1–16. [Google Scholar] [CrossRef] [PubMed]
- Saini, J.; Kesavadas, C.; Thomas, B. Aberrant petrous internal carotid artery with cochlear anomaly-an unusual association. Surg. Radiol. Anat. 2008, 30, 453–457. [Google Scholar] [CrossRef] [PubMed]
- Song, Y.-S.; Yuan, Y.-Y.; Wang, G.-J.; Dai, P.; Han, D.-Y. Aberrant internal carotid artery causing objective pulsatile tinnitus and conductive hearing loss. Acta Otolaryngol. 2012, 132, 1126–1130. [Google Scholar] [CrossRef] [PubMed]
- Sauvaget, E.; Paris, J.; Kici, S.; Kania, R.; Guichard, J.P.; Chapot, R.; Thomassin, J.M.; Herman, P.; Huy, P.T.B. Aberrant internal carotid artery in the temporal bone: Imaging findings and management. Arch. Otolaryngol. Head Neck. Surg. 2006, 132, 86–91. [Google Scholar] [CrossRef] [PubMed]
- Toros, S.Z.; Karaca, T.C.; Noşeri, H.; Naiboğlu, B.; Kalaycık, C.; Egeli, E. Bilateral aberrant internal carotid arteries: A case report presenting with pulsatile middle ear discharge. Int. J. Pediatr. Otorhinolaryngol. 2010, 74, 97–98. [Google Scholar] [CrossRef] [PubMed]
- Soyka, M.B.; Schuknecht, B.; Huber, A.M. Aberrant internal carotid artery as a cause of pulsatile tinnitus: A difficult diagnosis in MRI? HNO 2010, 58, 151–154. [Google Scholar] [CrossRef] [PubMed]
- Lo, W.W.; Solti-Bohman, L.G.; McElveen, J.T., Jr. Aberrant carotid artery: Radiologic diagnosis with emphasis on high-resolution computed tomography. Radiographics 1985, 5, 985–993. [Google Scholar] [CrossRef] [PubMed]
- Hitier, M.; Zhang, M.; Labrousse, M. Persistent stapedial arteries in human: From phylogeny to surgical consequences. Surg. Radiol. Anat. 2013, 35, 883–891. [Google Scholar] [CrossRef] [PubMed]
- Gartrell, B.C.; Kennedy, T.A.; Gubbels, S.P. Bilateral duplicated internal carotid arteries presenting as middle ear masses: A case report and review of the literature. Ann. Otol. Rhinol. Laryngol. 2012, 121, 521–524. [Google Scholar] [CrossRef] [PubMed]
- Midilli, R.; Akyildiz, S.; Kirazli, T.; Savas, R. Aberrant internal carotid artery in the middle ear: A case report. Kulak. Burun. Bogaz. Ihtis. Derg. 2006, 16, 135–139. [Google Scholar] [PubMed]
- Lin, Y.-Y.; Wang, C.-H.; Liu, S.-C.; Chen, H.-C. Aberrant internal carotid artery in the middle ear with dehiscent high jugular bulb. J. Laryngol. Otol. 2012, 126, 645–647. [Google Scholar] [CrossRef] [PubMed]
- Hashim, N.D.; Jang, S.H.; Moon, I.S. Endoscopic intervention of aberrant carotid artery in the middle ear. Otol. Neurotol. 2021, 42, e82–e85. [Google Scholar] [CrossRef] [PubMed]





Publisher’s Note: MDPI stays neutral with regard to jurisdictional claims in published maps and institutional affiliations. |
© 2022 by the author. Licensee MDPI, Basel, Switzerland. This article is an open access article distributed under the terms and conditions of the Creative Commons Attribution (CC BY) license (https://creativecommons.org/licenses/by/4.0/).
Share and Cite
Chen, B.-N. Patient with Aberrant Internal Carotid Artery in the Middle Ear Presenting with Rare Symptoms of Mixed Hearing Loss and Postauricular Pain: A Case Report. Medicina 2022, 58, 1672. https://doi.org/10.3390/medicina58111672
Chen B-N. Patient with Aberrant Internal Carotid Artery in the Middle Ear Presenting with Rare Symptoms of Mixed Hearing Loss and Postauricular Pain: A Case Report. Medicina. 2022; 58(11):1672. https://doi.org/10.3390/medicina58111672
Chicago/Turabian StyleChen, Bo-Nien. 2022. "Patient with Aberrant Internal Carotid Artery in the Middle Ear Presenting with Rare Symptoms of Mixed Hearing Loss and Postauricular Pain: A Case Report" Medicina 58, no. 11: 1672. https://doi.org/10.3390/medicina58111672
APA StyleChen, B.-N. (2022). Patient with Aberrant Internal Carotid Artery in the Middle Ear Presenting with Rare Symptoms of Mixed Hearing Loss and Postauricular Pain: A Case Report. Medicina, 58(11), 1672. https://doi.org/10.3390/medicina58111672
