Massive Spontaneous Pneumomediastinum—A Form of Presentation for Severe COVID-19 Pneumonia
Abstract
1. Introduction
2. Materials and Methods
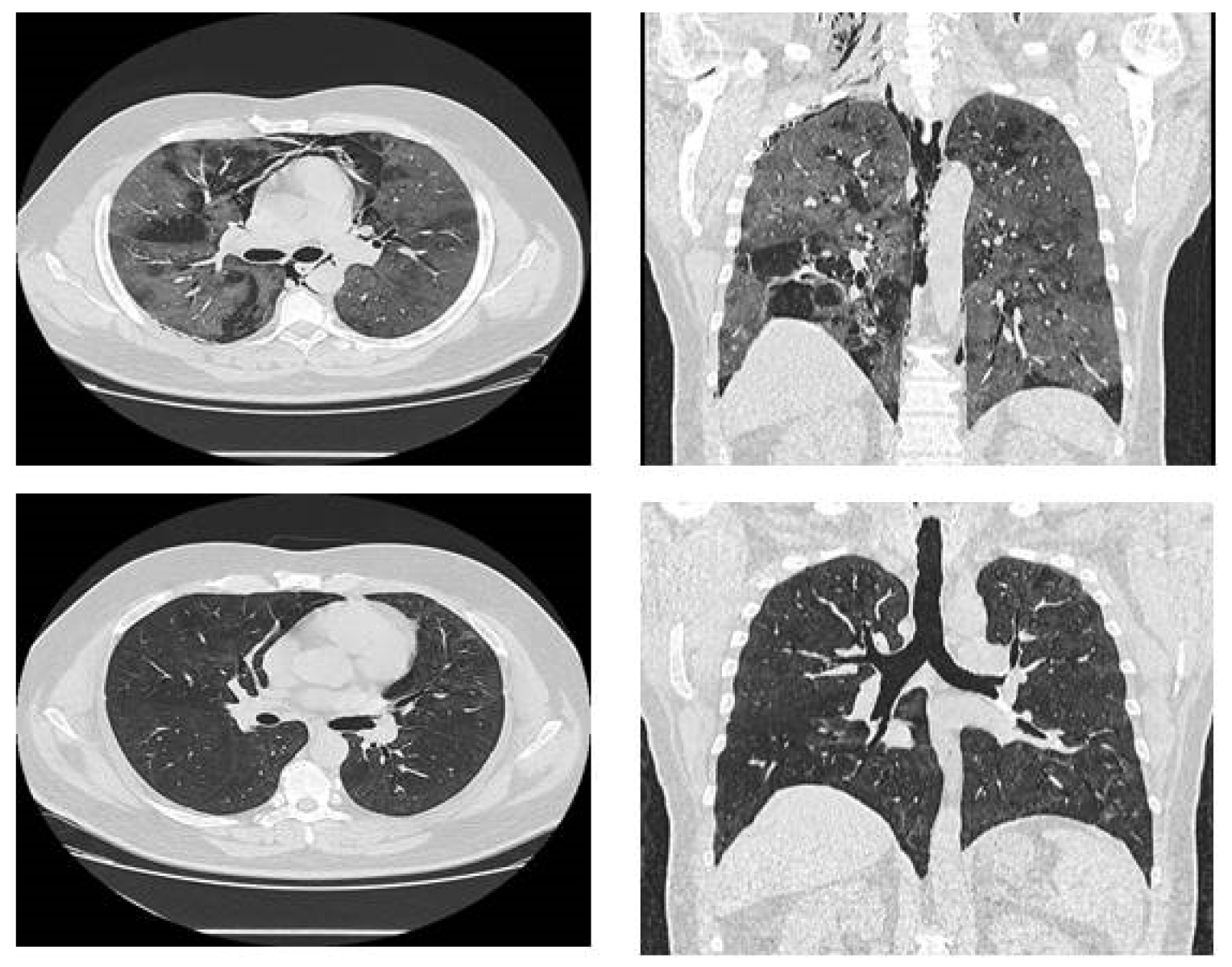
Case Presentation
3. Discussion
4. Conclusions
Author Contributions
Funding
Institutional Review Board Statement
Informed Consent Statement
Data Availability Statement
Conflicts of Interest
References
- Meireles, J.; Neves, S.; Castro, A.; França, M. Spontaneous pneumomediastinum revisited. Respir. Med. CME 2011, 4, 181–183. [Google Scholar] [CrossRef]
- Marza, A.M.; Petrica, A.; Buleu, F.N.; Mederle, O.A. Case report: Massive spontaneous pneumothorax—A rare form of presentation for severe COVID-19 pneumonia. Medicina 2021, 57, 82. [Google Scholar] [CrossRef] [PubMed]
- Alemu, B.N.; Yeheyis, E.T.; Tiruneh, A.G. Spontaneous primary pneumomediastinum: Is it always benign? J. Med. Case Rep. 2021, 15, 157. [Google Scholar] [CrossRef] [PubMed]
- Loffi, M.; Regazzoni, V.; Sergio, P.; Martinelli, E.; Stifani, I.; Quinzani, F.; Robba, D.; Cotugno, A.; Dede, M.; Danzi, G.B. Spontaneous pneumomediastinum in COVID-19 pneumonia. Monaldi Arch. Chest Dis. 2020. [Google Scholar] [CrossRef] [PubMed]
- Macklin, M.T.; Macklin, C.C. Malignant interstitial emphysema of the lungs and mediastinum as an important occult complication in many respiratory diseases and other conditions: An interpretation of the clinical literature in the light of laboratory experiment. Medicine 1944, 23, 281–358. [Google Scholar] [CrossRef]
- Underner, M.; Peiffer, G.; Perriot, J.; Jaafari, N. Spontaneous pneumomediastinum: A rare complication of COVID-19? Rev. Des. Mal. Respir. 2020, 37, 680–683. [Google Scholar] [CrossRef] [PubMed]
- Kangas-Dick, A.; Gazivoda, V.; Ibrahim, M.; Sun, A.; Shaw, J.P.; Brichkov, I.; Wiesel, O. Clinical Characteristics and Outcome of Pneumomediastinum in Patients with COVID-19 Pneumonia. J. Laparoendosc. Adv. Surg. Tech. A 2021, 31, 273–278. [Google Scholar] [CrossRef] [PubMed]
- Kong, N.; Gao, C.; Xu, M.S.; Xie, Y.L.; Zhou, C.Y. Spontaneous pneumomediastinum in an elderly COVID-19 patient: A case report. World J. Clin. Cases 2020, 8, 3573–3577. [Google Scholar] [CrossRef] [PubMed]
- Kara, H.; Uyar, H.G.; Degirmenci, S.; Bayir, A.; Oncel, M.; Ak, A. Dyspnoea and chest pain as the presenting symptoms of pneumomediastinum: Two cases and a review of the literature. Cardiovasc. J. Afr. 2015, 26, 1–4. [Google Scholar] [CrossRef] [PubMed]
- Janssen, J.; Kamps, M.J.A.; Joosten, T.M.B.; Barten, D.G. Spontaneous pneumomediastinum in a male adult with COVID-19 pneumonia. Am. J. Emerg. Med. 2021. [Google Scholar] [CrossRef] [PubMed]
- Mobarek, S.K. Persistent unexplained chest pain and dyspnea in a patient with coronary artery disease: A case report. BMC Cardiovasc. Disord. 2020. [Google Scholar] [CrossRef] [PubMed]
- Pescaru, C.C.; Marițescu, A.; Costin, E.O.; Trăilă, D.; Marc, M.S.; Trușculescu, A.A.; Pescaru, A.; Oancea, C.I. The Effects of COVID-19 on Skeletal Muscles, Muscle Fatigue and Rehabilitation Programs Outcomes. Medicina (Kaunas) 2022, 58, 1199. [Google Scholar] [CrossRef] [PubMed]
- Dirweesh, A.; Alvarez, C.; Khan, M.; Christmas, D. Spontaneous pneumomediastinum in a healthy young female: A case report and literature review. Respir. Med. Case Rep. 2017, 20, 129–132. [Google Scholar] [CrossRef] [PubMed]
- Kelly, S.; Hughes, S.; Nixon, S.; Paterson-Brown, S. Spontaneous pneumomediastinum (Hamman’s syndrome). Surgeon 2010, 8, 63–66. [Google Scholar] [CrossRef]
- Elhakim, T.S.; Abdul, H.S.; Pelaez Romero, C.; Rodriguez-Fuentes, Y. Spontaneous pneumomediastinum, pneumothorax and subcutaneous emphysema in COVID-19 pneumonia: A rare case and literature review. BMJ Case Rep. 2020, 13, e239489. [Google Scholar] [CrossRef]

| Laboratory Test | Conventional Units | Value | Reference Range Value |
|---|---|---|---|
| WBC | * 103/µL | 5.05 | 4.00–10.00 |
| Lymphocytes | * 103/µL | 0.74 | 1.20–4.40 |
| Monocyte | * 103/µL | 0.6 | 0.22–1.00 |
| Interleukin 6 | Pg/mL | 50.75 | <9.7 |
| LDH | U/L | 778 | 135–225 |
| Blood glucose | mg/dL | 126 | 74–106 |
| Ferritin | µg/L | 2861.6 | 30–400 |
| D-dimers | µg/mL | 0.62 | <0.5 |
| AST | U/L | 226.1 | 0–40 |
| ALT | U/L | 124.8 | 0–41 |
| CRP | mg/L | 79.9 | 0–5 |
| aPTT | seconds | 25.4 | 25–36 |
| PCR Covid | positive/negative | positive | - |
Publisher’s Note: MDPI stays neutral with regard to jurisdictional claims in published maps and institutional affiliations. |
© 2022 by the authors. Licensee MDPI, Basel, Switzerland. This article is an open access article distributed under the terms and conditions of the Creative Commons Attribution (CC BY) license (https://creativecommons.org/licenses/by/4.0/).
Share and Cite
Pescaru, C.C.; Marc, M.S.; Costin, E.O.; Pescaru, A.; Trusculescu, A.-A.; Maritescu, A.; Suppini, N.; Oancea, C.I. Massive Spontaneous Pneumomediastinum—A Form of Presentation for Severe COVID-19 Pneumonia. Medicina 2022, 58, 1525. https://doi.org/10.3390/medicina58111525
Pescaru CC, Marc MS, Costin EO, Pescaru A, Trusculescu A-A, Maritescu A, Suppini N, Oancea CI. Massive Spontaneous Pneumomediastinum—A Form of Presentation for Severe COVID-19 Pneumonia. Medicina. 2022; 58(11):1525. https://doi.org/10.3390/medicina58111525
Chicago/Turabian StylePescaru, Camelia Corina, Monica Steluța Marc, Emanuela Oana Costin, Andrei Pescaru, Ana-Adriana Trusculescu, Adelina Maritescu, Noemi Suppini, and Cristian Iulian Oancea. 2022. "Massive Spontaneous Pneumomediastinum—A Form of Presentation for Severe COVID-19 Pneumonia" Medicina 58, no. 11: 1525. https://doi.org/10.3390/medicina58111525
APA StylePescaru, C. C., Marc, M. S., Costin, E. O., Pescaru, A., Trusculescu, A.-A., Maritescu, A., Suppini, N., & Oancea, C. I. (2022). Massive Spontaneous Pneumomediastinum—A Form of Presentation for Severe COVID-19 Pneumonia. Medicina, 58(11), 1525. https://doi.org/10.3390/medicina58111525

