A Rare Case of Left Ventricular Malignant Peripheral Nerve Sheath Tumour—Case Report and Review of the Literature
Abstract
1. Introduction
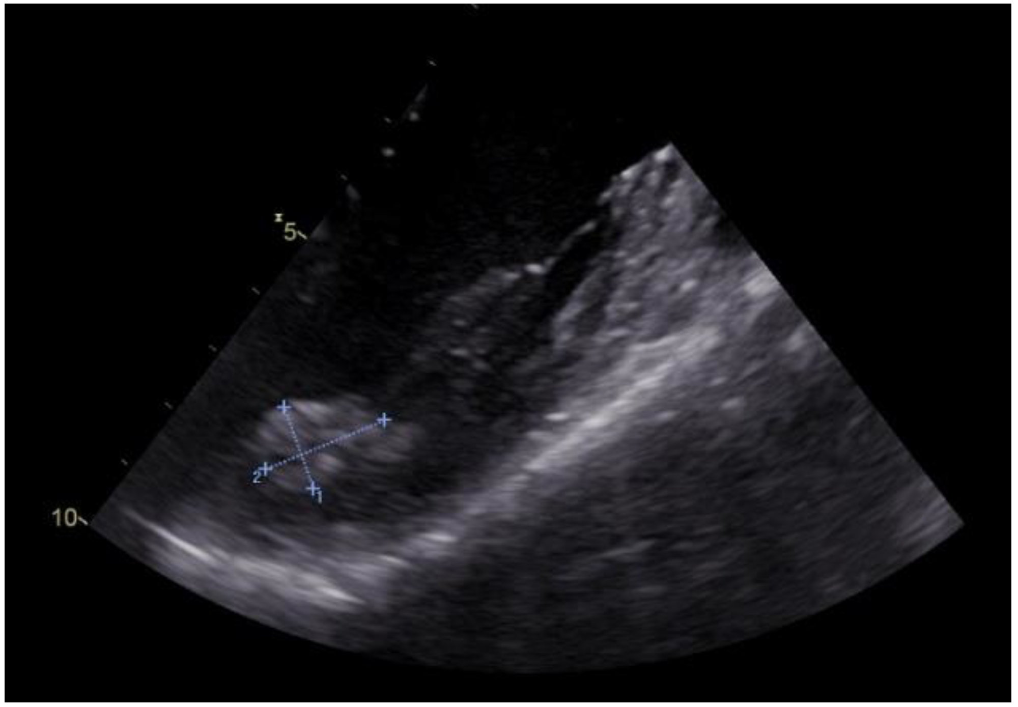
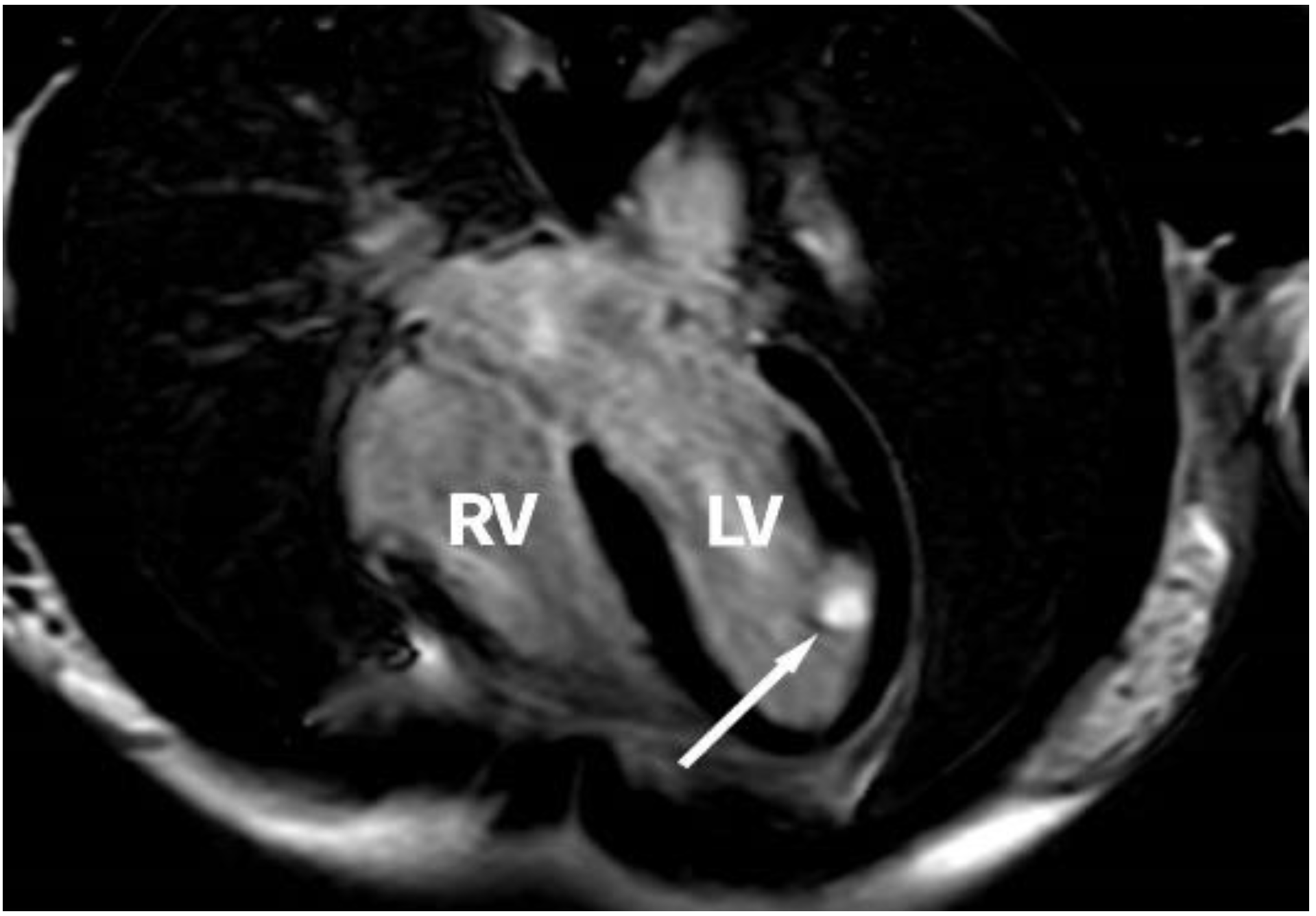
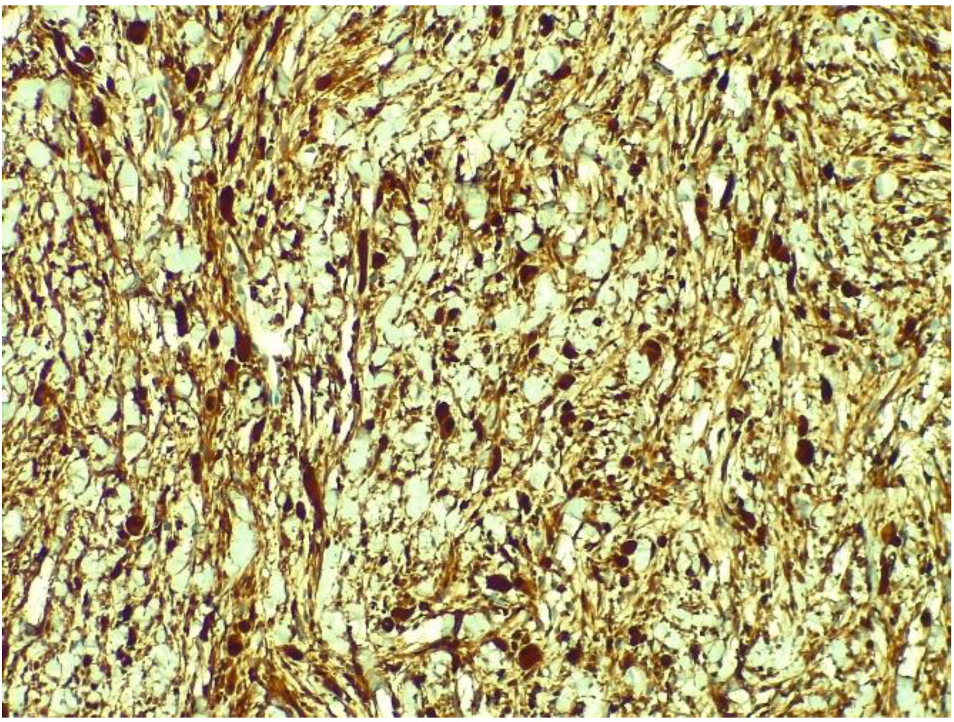
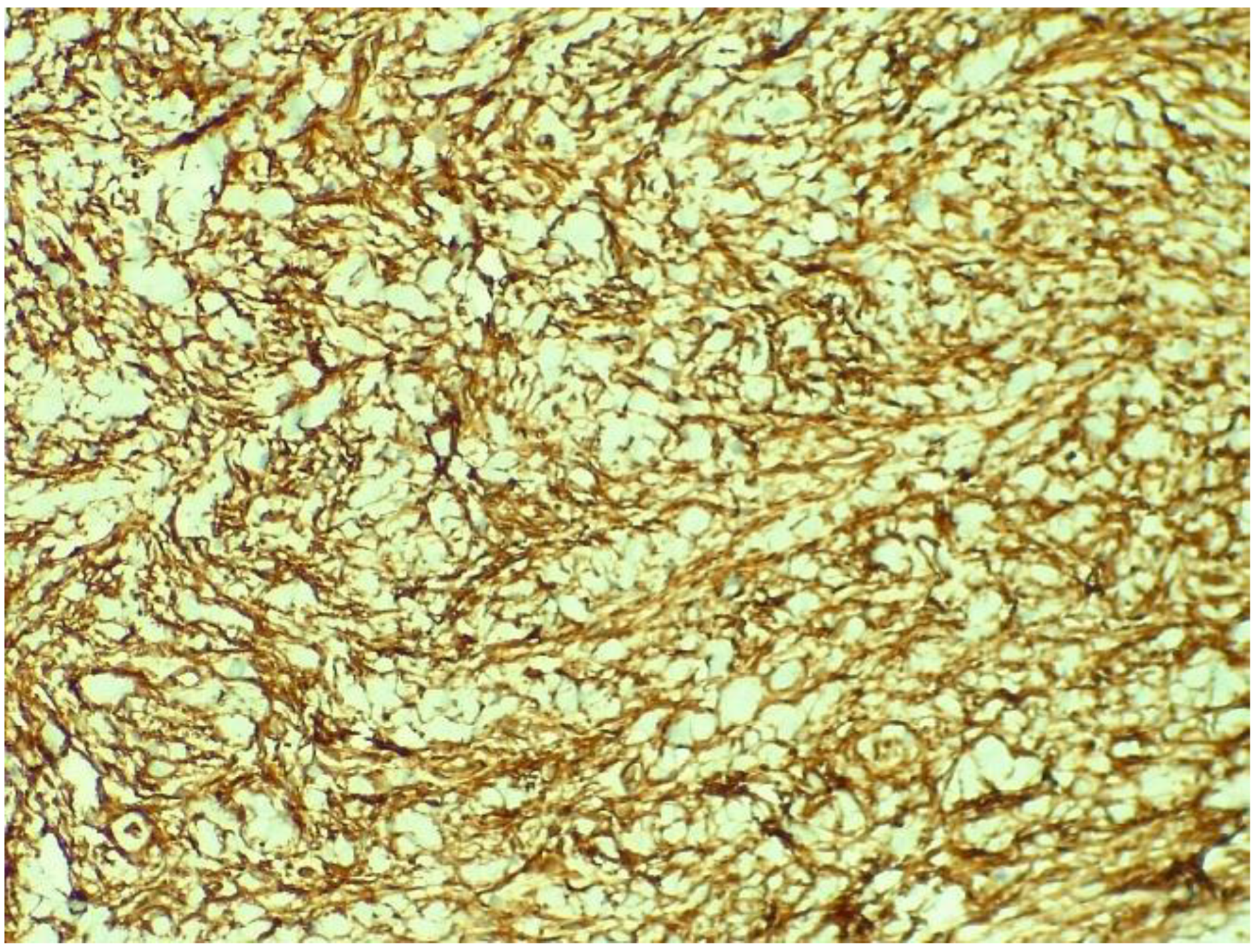
2. Case Report
3. Discussions
4. Conclusions
Author Contributions
Funding
Institutional Review Board Statement
Informed Consent Statement
Data Availability Statement
Conflicts of Interest
References
- Katz, D.; Lazar, A.; Lev, D. Malignant peripheral nerve sheath tumour (MPNST): The clinical implications of cellular signalling pathways. Expert Rev. Mol. Med. 2009, 11, e30. [Google Scholar] [CrossRef]
- Kar, M.; Deo, S.V.; Shukla, N.K.; Malik, A.; DattaGupta, S.; Mohanti, B.K.; Thulkar, S. Malignant peripheral nerve sheath tumors (MPNST)--clinicopathological study and treatment outcome of twenty-four cases. World J. Surg. Oncol. 2006, 4, 55. [Google Scholar] [CrossRef] [PubMed]
- Gupta, G.; Maniker, A. Malignant peripheral nerve sheath tumors. Neurosurg. Focus 2007, 22, 1–8. [Google Scholar] [CrossRef] [PubMed]
- Farid, M.; Demicco, E.G.; Garcia, R.; Ahn, L.; Merola, P.R.; Cioffi, A.; Maki, R.G. Malignant Peripheral Nerve Sheath Tumors. Oncologist 2014, 19, 193–201. [Google Scholar] [CrossRef]
- Ferner, R.E.; Gutmann, D.H. International consensus statement on malignant peripheral nerve sheath tumors in neurofibromatosis. Cancer Res. 2002, 62, 1573–1577. [Google Scholar]
- Rodriguez, F.J.; Folpe, A.L.; Giannini, C.; Perry, A. Pathology of peripheral nerve sheath tumors: Diagnostic overview and update on selected diagnostic problems. Acta Neuropathol. 2012, 123, 295–319. [Google Scholar] [CrossRef]
- Brohl, A.S.; Kahen, E.; Yoder, S.J.; Teer, J.K.; Reed, D.R. The genomic landscape of malignant peripheral nerve sheath tumors: Diverse drivers of Ras pathway activation. Sci. Rep. 2017, 7, 14992. [Google Scholar] [CrossRef]
- Rahman, M.; Cook, D.S.; Ellis, G.; O’Keefe, P.A. Malignant Peripheral Nerve Sheath Tumor of the Heart. Asian Cardiovasc. Thorac. Ann. 2006, 14, 425–427. [Google Scholar] [CrossRef]
- Voluckiene, E.; Uzdavinys, G.; Cicenas, S.; Ivaskeviciene, L.; Zakarkaite, D.; Nogiene, G. Primary malignant peripheral nerve sheath tumour of the heart. Open Med. 2012, 7, 655–658. [Google Scholar] [CrossRef]
- Lee, J.-Y.; Lee, S.H.; Kim, W.-H. Primary malignant peripheral nerve sheath tumour of the pericardium. Eur. Heart J. Cardiovasc. Imaging 2019, 20, 1429. [Google Scholar] [CrossRef]
- Pauwels, P.; Dal Cin, P.; Sciot, R.; Lammens, M.; Penn, O.; van Nes, E.; Kwee, W.S.; van den Berghe, H. Primary malignant peripheral nerve sheath tumour of the heart. Histopathology 1999, 34, 56–59. [Google Scholar] [CrossRef] [PubMed]
- Cho, W.C.; Jung, S.H.; Lee, S.H.; Bang, J.H.; Kim, J.; Lee, J.W. Malignant Peripheral Nerve Sheath Tumor Arising from the Left Ventricle. J. Card. Surg. 2012, 27, 567–570. [Google Scholar] [CrossRef]
- Xiao, Y.; Cai, Y.; Tang, H.; Xiao, X. Primary malignant peripheral nerve sheath tumour in the right atrium. Eur. Heart J. 2018, 39, 3147–3148. [Google Scholar] [CrossRef] [PubMed]
- Eindhoven, J.A.; Loonstra, E.E.G.; Kik, C.; van den Bos, E.J.; Kofflard, M.J.M. Atypical presentation of a primary cardiac malignant peripheral nerve sheath tumor. Int. J. Cardiovasc. Imaging 2018, 34, 903–904. [Google Scholar] [CrossRef] [PubMed]
- Patibandla, S.; Elwidaa, A.; Ludhwani, D.; Lindsey, B.; Auber, M.; Balla, S.; Hamirani, Y. Aggressive Malignant Peripheral Nerve Sheath Tumor with Metastasis to The Right Ventricle. J. Am. Coll. Cardiol. 2021, 77, 2624. [Google Scholar] [CrossRef]
- Nkere, U.; Walter, N. Malignant peripheral nerve sheath tumour: A rare tumour and an unusual intrapericardial presentation. Eur. J. Cardio-Thorac. Surg. 1997, 12, 144–146. [Google Scholar] [CrossRef]
- Machado, I.; Arana, E.; Cruz, J.; Brotons, S.; Vendrell, J.; Escriba, I.; Chust, M.L.; Martínez-Banaclocha, N.; Lavernia, J.; Llombart-Bosch, A. Malignant Peripheral Nerve Sheath Tumor with Osseous Heterologous Differentiation in Uncommon Locations (Heart and Retropharynx). Int. J. Surg. Pathol. 2016, 24, 456–462. [Google Scholar] [CrossRef]
- Prifti, E.; Baboci, A.; Ikonomi, M. A Giant Cardiac Malignant Peripheral Nerve Sheath Tumor Presenting with Total Obstruction of the Superior Vena Cava. Ann. Thorac. Surg. 2014, 97, e7–e9. [Google Scholar] [CrossRef] [PubMed]
- Kitamura, M.; Wada, N.; Nagata, S.; Iizuka, N.; Jin, Y.F.; Tomoeda, M.; Yuki, M.; Naka, N.; Araki, N.; Yutani, C.; et al. Malignant peripheral nerve sheath tumor associated with neurofibromatosis type 1, with metastasis to the heart: A case report. Diagn. Pathol. 2010, 5, 2. [Google Scholar] [CrossRef]
- Wasa, J.; Nishida, Y.; Tsukushi, S.; Shido, Y.; Sugiura, H.; Nakashima, H.; Ishiguro, N. MRI Features in the Differentiation of Malignant Peripheral Nerve Sheath Tumors and Neurofibromas. Am. J. Roentgenol. 2010, 194, 1568–1574. [Google Scholar] [CrossRef]
- Pavelescu, C.; Bebliuc, A.; Asmarandei, R.; Safta, M.S.; Zaharia, O.; Costache, V.S.; Molnar, A.; Gheorghita, D.; Voica, C.; Moldovan, H. Giant Sternal Chondrosarcoma in a 50-Year-Old Patient. Healthcare 2022, 10, 158. [Google Scholar] [CrossRef]
- Maleszewski, J.J.; Anavekar, N.S.; Moynihan, T.J.; Klarich, K.W. Pathology, imaging, and treatment of cardiac tumours. Nat. Rev. Cardiol. 2017, 14, 536–549. [Google Scholar] [CrossRef]
- Cresti, A.; Chiavarelli, M.; Glauber, M.; Tanganelli, P.; Scalese, M.; Cesareo, F.; Guerrini, F.; Capati, E.; Focardi, M.; Severi, S. Incidence rate of primary cardiac tumors. J. Cardiovasc. Med. 2016, 17, 37–43. [Google Scholar] [CrossRef]
- James, A.W.; Shurell, E.; Singh, A.; Dry, S.M.; Eilber, F.C. Malignant Peripheral Nerve Sheath Tumor. Surg. Oncol. Clin. N. Am. 2016, 25, 789–802. [Google Scholar] [CrossRef]
- Holtkamp, N.; Malzer, E.; Zietsch, J.; Okuducu, A.F.; Mucha, J.; Mawrin, C.; Mautner, V.F.; Schildhaus, H.U.; Von Deimling, A. EGFR and erbB2 in malignant peripheral nerve sheath tumors and implications for targeted therapy. Neuro-Oncology 2008, 10, 946–957. [Google Scholar] [CrossRef]
- Li, S.; Qiu, Y.; Yu, J.; Liang, C.; Peng, L. Cardiac malignant peripheral nerve sheath tumor on computed tomography and magnetic resonance imaging. Medicine 2019, 98, e17463. [Google Scholar] [CrossRef]
- Endo, R.; Tomioka, T.; Okada, K.; Inoue, K. MRI of malignant peripheral nerve sheath tumour in pericardial cavity. BMJ Case Rep. 2018, bcr-2018-224481. [Google Scholar] [CrossRef]
- Yun, J.; Winfree, C.J. A Clinical and Radiographic Score to Assess Malignant Potential of Peripheral Nerve Sheath Tumors. Neurosurgery 2016, 63, 169. [Google Scholar] [CrossRef]
- Ionescu, D.; Stone, D.; Stone, J.; Durand, J.B.; Banchs, J.; Iliescu, C. The role of endomyocardial biopsy in cardiac tumors diagnosis. J. Clin. Oncol. 2017, 35, e22536. [Google Scholar] [CrossRef]
- Thant, K.P.; Iliff, J.; Kepreotis, S.V.; Prashar, A.; Sader, M. Multimodal Imaging and Endomyocardial Biopsy in the Assessment and Diagnosis of a Cardiac Melanoma. Circ. Cardiovasc. Imaging 2021, 14, e012953. [Google Scholar] [CrossRef]
- Grebenc, M.L.; Rosado de Christenson, M.L.; Burke, A.P.; Green, C.E.; Galvin, J.R. Primary Cardiac and Pericardial Neoplasms: Radiologic-Pathologic Correlation. RadioGraphics 2000, 20, 1073–1103. [Google Scholar] [CrossRef] [PubMed]
- Kim, E.Y.; Choe, Y.H.; Sung, K.; Park, S.W.; Kim, J.H.; Ko, Y.H. Multidetector CT and MR Imaging of Cardiac Tumors. Korean J. Radiol. 2009, 10, 164. [Google Scholar] [CrossRef] [PubMed]
- Dobritoiu, F.; Moldovan, H.; Oncica, R.; Vasile, G.; Nechifor, E.; Copaescu, C. Giant Cavernous Hemangioma of the Right Atrium—A Rare Case and Literature Review. Chirurgia 2020, 115, 267–273. [Google Scholar] [CrossRef]
- Luo, C.; Zhu, J.; Bao, C.; Ding, F.; Mei, J. Minimally invasive and conventional surgical treatment of primary benign cardiac tumors. J. Cardiothorac. Surg. 2019, 14, 76. [Google Scholar] [CrossRef] [PubMed]
- Mankad, R.; Herrmann, J. Cardiac tumors: Echo assessment. Echo Res. Pract. 2016, 3, R65–R77. [Google Scholar] [CrossRef]
- Sun, J.; Chen, S.; Fan, R. Primary cardiac malignant peripheral nerve sheath tumor in a 23-month-old infant. Cardiovasc. Pathol. 2014, 23, 248–250. [Google Scholar] [CrossRef]







Publisher’s Note: MDPI stays neutral with regard to jurisdictional claims in published maps and institutional affiliations. |
© 2022 by the authors. Licensee MDPI, Basel, Switzerland. This article is an open access article distributed under the terms and conditions of the Creative Commons Attribution (CC BY) license (https://creativecommons.org/licenses/by/4.0/).
Share and Cite
Moldovan, H.; Ciomaga, I.; Nechifor, E.; Tigănașu, R.; Badea, A.; Dobra, I.; Nica, C.; Scarlat, C.; Gheorghiță, D.; Antoniac, I.; et al. A Rare Case of Left Ventricular Malignant Peripheral Nerve Sheath Tumour—Case Report and Review of the Literature. Medicina 2022, 58, 1404. https://doi.org/10.3390/medicina58101404
Moldovan H, Ciomaga I, Nechifor E, Tigănașu R, Badea A, Dobra I, Nica C, Scarlat C, Gheorghiță D, Antoniac I, et al. A Rare Case of Left Ventricular Malignant Peripheral Nerve Sheath Tumour—Case Report and Review of the Literature. Medicina. 2022; 58(10):1404. https://doi.org/10.3390/medicina58101404
Chicago/Turabian StyleMoldovan, Horațiu, Irina Ciomaga, Elena Nechifor, Robert Tigănașu, Aida Badea, Irina Dobra, Claudia Nica, Costin Scarlat, Daniela Gheorghiță, Iulian Antoniac, and et al. 2022. "A Rare Case of Left Ventricular Malignant Peripheral Nerve Sheath Tumour—Case Report and Review of the Literature" Medicina 58, no. 10: 1404. https://doi.org/10.3390/medicina58101404
APA StyleMoldovan, H., Ciomaga, I., Nechifor, E., Tigănașu, R., Badea, A., Dobra, I., Nica, C., Scarlat, C., Gheorghiță, D., Antoniac, I., & Zaharia, O. (2022). A Rare Case of Left Ventricular Malignant Peripheral Nerve Sheath Tumour—Case Report and Review of the Literature. Medicina, 58(10), 1404. https://doi.org/10.3390/medicina58101404

